medigraphic.com
ENGLISH

Revista Odontológica Mexicana Órgano Oficial de la Facultad de Odontología UNAM

ISSN 1870-199X (Impreso)
Órgano oficial de la Facultad de Odontología, UNAM
  • Mostrar índice
  • Números disponibles
  • Información
    • Información general        
    • Directorio
  • Publicar
    • Instrucciones para autores        
  • medigraphic.com
    • Inicio
    • Índice de revistas            
    • Registro / Acceso
  • Mi perfil

2021, Número 4

<< Anterior Siguiente >>

Rev Odont Mex 2021; 25 (4)


Granuloma central de células gigantes en un paciente infantil

Vaquera Torres, Nuth Erendira1; Hernández Montoya, Martha Elena2; Reyes Méndez, Edgar3; Quiñonez Ruvalcaba, Francelia1; Díaz Rosas, Cristal Yurixie2
Texto completo Cómo citar este artículo Artículos similares

Idioma: Español/Inglés [English version]
Referencias bibliográficas: 17
Paginas: 328-336
Archivo PDF: 335.55 Kb.


PALABRAS CLAVE

granuloma de células gigantes, cirugía bucal, células gigantes, patología bucal.

RESUMEN

Introducción: los tumores de células gigantes constituyen un conjunto de procesos patológicos con cierto grado de controversia en el diagnóstico, diferentes en su comportamiento, pero con características histológicas en común. El granuloma central de células gigantes (GCCG) es una lesión intraósea de tejido fibroso celular con múltiples focos hemorrágicos y agregaciones celulares gigantes nucleadas. El objetivo de este artículo es reportar las características clínicas y de imagen, abordaje y seguimiento de una paciente infantil con GCCG. Reporte de caso: se trata de paciente femenino de seis años de edad que fue referida al Servicio de Cirugía Maxilofacial del Hospital General de Zacatecas, sin antecedentes médicos relevantes. Al examen intrabucal se observó visible aumento de volumen de aspecto sésil y coloración rojiza, doloroso a la palpación, localizado en la cara interna de la mucosa labial superior y frenillo, que se extendía hacia el canino derecho, causando una franca asimetría en la porción anterior del paladar duro. Tras la realización de estudios de imagen (radiográficos y Cone Beam) se realizó la extirpación quirúrgica de la lesión bajo anestesia general y se confirmó histológicamente el granuloma de células gigantes. Conclusión: en las lesiones orales la elección del tratamiento está influenciada por el comportamiento clínico de la lesión. La detección temprana permite un abordaje conservador.



INTRODUCCIóN

Las lesiones de células gigantes son un grupo de lesiones que afectan a los maxilares y tienen características histopatológicas comunes con contenido variable.1 Se han encontrado tres grupos de lesiones que contienen células gigantes: el primero comprende diferentes procesos como la displasia fibrosa, el querubinismo, la enfermedad de Paget, entre otros; y un segundo y tercer grupo constituido por el granuloma central de células gigantes y el verdadero tumor de células gigantes, respectivamente.2

El granuloma central de células gigantes (GCCG) fue descrito por primera vez por Jaffe (1953) como un granuloma reparativo de células gigantes;3 la Organización Mundial de la Salud (OMS) lo define como una lesión intraósea de tejido fibroso celular que contiene múltiples focos de hemorragia, agregaciones múltiples de células gigantes nucleadas y, en ocasiones, trabéculas de tejido óseo,4 es de etiología controversial, se sugiere que se trata de una lesión reactiva, anomalía del desarrollo o una neoplasia benigna. Es el más común, aunque es poco frecuente, ya que representa sólo 7% de todas las lesiones benignas de los maxilares;4 se localiza preferentemente en la mandíbula (70%)2,5 en la región anterior, aunque no es inusual entre premolares y molares, en el maxilar se le localiza mayormente en la sección anterior.2

Con base en sus características clínicas y radiográficas se han propuesto dos categorías: a) no agresivos, asintomáticos, de crecimiento lento, sin perforación de corticales óseas ni reabsorción radicular, y baja tendencia a la recurrencia; b) agresivos, de crecimiento rápido, doloroso, con parestesia, expansión y/o perforación de cortical ósea, reabsorción radicular y alta tendencia a la recurrencia (11-49%).5 En etapas tempranas, su detección ocurre de forma fortuita, tras un examen físico o radiográfico. Su comportamiento biológico puede cambiar de la forma no agresiva a agresiva, con dolor, reabsorción, desplazamientos dentarios y/o gérmenes y crecimiento rápido.4,6,7 En lesiones avanzadas es posible observar una asimetría facial evidente, además de sangrado nasal espontáneo y obstrucción nasal, cuando hay invasión del espacio del seno maxilar.8 Su apariencia radiográfica es diversa, como áreas uni o multiloculares que pueden estar asociadas a los dientes adyacentes, desplazamientos dentarios y/o de gérmenes, reabsorción radicular y perforaciones óseas.7-9 El diagnóstico diferencial en lesiones pequeñas es con granulomas o quistes periapicales, y ameloblastomas en lesiones multiloculares.3 El uso de tomografía computarizada de haz cónico es útil en el diagnóstico de lesiones de este tipo.7 Histopatológicamente contiene focos y mantos de células gigantes multinucleadas de forma y tamaño variable en un estroma fibroblástico compuesto por células ovoides o fusiformes que muestran un alto índice mitótico. La densidad vascular es prominente, distinguiéndose marcada extravasación de eritrocitos y depósitos de hemosiderina y la cantidad de sus núcleos varía de unos pocos a varias docenas.10

El objetivo del presente es reportar las características clínicas y de imagen, abordaje y seguimiento de una paciente infantil con granuloma central de células gigantes.



REPORTE DE CASO

Paciente femenino de seis años dos meses, que es referido por un odontólogo de práctica general al Servicio de Cirugía Maxilofacial del Hospital General de Zacatecas "Luz González Cosío", por presentar "una bolita en su boca" según lo refirió la madre; seis meses atrás en una revisión dental en su lugar de residencia, le fue realizada la extracción del OD (órgano dental) 51 por estar asociada a un abultamiento en la encía, mismo que evolucionó durante las siguientes semanas, incrementando su volumen.

Tras haber realizado y firmado por la persona responsable el consentimiento informado, se elaboró la historia clínica que reveló a una paciente sin antecedentes patológicos, personales o familiares relevantes. El examen físico general mostró buen estado general, cuyas funciones vitales y desarrollo psicomotor se mostraban normales.

En el examen facial (Figura 1) se notó una clara asimetría y deformación moderada asociada al labio superior. Al examen intraoral, la mucosa labial superior mostró aumento de volumen por encima del frenillo labial, extendido hacia el canino superior derecho (Figura 2A) que involucra al reborde alveolar; se observó de igual manera en el paladar duro anterior, con un aspecto sésil y rojizo, con dolor a la palpación. Dentalmente, se encontraba la paciente en dentición mixta, la ausencia del OD 51 era por una extracción previa, el OD 61 mostraba desplazamiento distal (Figura 2B). Los OD 71 y 81 se habían exfoliado fisiológicamente y el OD 41 se encontraba en erupción temprana. En arcada inferior se observaron los órganos dentarios 72, 73, 74, 75, 41, 82, 83, 84 y 85, los molares deciduos inferiores presentaron lesiones por caries en esmalte y dentina, no hubo alteración en tejidos blandos en dicha arcada (Figura 2C); y en la arcada superior estuvieron presentes los OD 52, 53, 54, 55, 62, 63, 64 y 65.

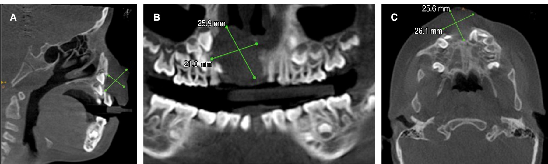
Radiográficamente, se observó un área unilocular amplia (Figura 3) que causaba desplazamiento dentario y de los gérmenes de incisivos centrales permanentes por su extensión hacia el piso de la cavidad nasal. La imagen computarizada Cone Beam permitió ver la presencia de una masa de 25 mm en la mayoría de sus dimensiones (Figura 4).

Se descartó una lesión quística y tras la evaluación multidisciplinaria se realizó exéresis quirúrgica bajo anestesia general (Figura 5). Se infiltró anestésico local (lidocaína/epinefrina), seguido de la incisión con bisturí y electrobisturí para su posterior remoción (Figura 6). Con ayuda de una legra se obtuvieron múltiples fragmentos firmes de color amarillo (de 25.0 × 25.0 × 10.0 mm la de mayor tamaño, y menor de 5.0 × 5.0 × 4.0 mm) y se suturó. Se determinó histopatológicamente la presencia de células gigantes multinucleadas (Figura 7), lo que permitió confirmar que se trató de un granuloma central de células gigantes. Se retiraron los puntos 10 días después de la intervención.

Se examinó tres semanas después en la Clínica de Odontopediatría de la Universidad Autónoma de Zacatecas para evaluar la evolución clínica y radiográfica (Figura 8), donde se apreció la cicatrización de los tejidos blandos involucrados. Se observó además la exposición de un incisivo central en el vestíbulo de la lesión, y radiográficamente se apreció la presencia de los dientes 11, 21 y 22 aún con formación radicular incompleta.

Se indicó control radiográfico mensual para dar seguimiento a los gérmenes dentarios presentes, formación ósea y monitorear la posibilidad de recidiva del granuloma, para finalmente considerar la rehabilitación bucodental; sin embargo, no se apega al plan de seguimiento y no asiste a las citas de control, lo cual pudo deberse a que no radica en un lugar cercano a las instalaciones de las clínicas.



DISCUSIóN

El tratamiento del GCCG debe particularizarse para cada caso, en ello debe considerarse la edad del paciente, su condición general de salud, el desarrollo y localización de la lesión, así como su evolución y el grado de penetración hacia los tejidos circundantes.

Pueden aparecer a cualquier edad, pero la mayor cantidad de casos ocurre entre los 10 y 30 años de edad,5 en una relación de mujer-hombre de 2:1;8 en el caso de la paciente que aquí se reporta, el GCCG inició a edad temprana (antes de los cinco años de edad) y con un comportamiento agresivo, ocasionando cambio de coloración en la mucosa que puede ir de un tono azulado o pardo,8 las cuales dependiendo de su ubicación y tamaño puede producir desplazamientos dentarios o movilidad, lo que da como consecuencia maloclusión y mal posición dentaria.11

Un gran problema relacionado a la naturaleza destructiva y alta recurrencia del GCCG se deriva de la realización de procedimientos quirúrgicos repetitivos con beneficios cuestionables, por las importantes secuelas funcionales y estéticas. Éstas son probablemente de mayor trascendencia cuando la lesión afecta a la población pediátrica o adolescente.5 El tratamiento clásico del GCCG es la exéresis de la lesión, ya que permite eliminar la totalidad mediante un curetaje simple. En lesiones agresivas el tratamiento va desde el curetaje del lecho de la lesión con criocirugía, la resección quirúrgica con osteotomía periférica y la resección en bloque, en este caso los pacientes quedan con secuelas importantes como la pérdida de gérmenes dentarios, de dientes adyacentes o de extensas zonas de los maxilares.11-14 En la actualidad, se han reportado tratamientos coadyuvantes y conservadores como el uso de corticoides intralesionales, el tratamiento con calcitonina, interferón alfa y anticuerpos monoclonales humanos (RANK-L) y proteínas inhibidoras de la tirosinasa como el imatinib.8,11,15

En 2007 Delgado-Azañero y colaboradores reportaron el caso de un paciente femenino de nueve años con un GCCG multilocular localizado en la sínfisis mandibular, de comportamiento osteolítico agresivo. Se confirmó la presencia de GCCG a través de biopsia y estudio histopatológico, y fue tratado con inyecciones intralesionales de triamcinolona y lidocaína, al cabo de 15 sesiones se observó una evolución favorable al reducirse el tamaño de la lesión, acompañada de la recuperación y remodelación de la estructura ósea alrededor de los dientes y la continuidad en la formación de los gérmenes dentarios asociados a la misma.5 Janas y su equipo describen el caso de un granuloma central localizado en el maxilar, cercano a los premolares del lado derecho, en un niño de ocho años de edad, el cual se observó como un bulto en el paladar duro, asintomático, con características normales de la mucosa de revestimiento. Radiográficamente se describió como una lesión unilocular osteolítica del hueso maxilar con desplazamiento de un germen dentario (OD 14). Se realizó biopsia aspiracional y estudio histopatológico para confirmar la lesión y se procedió a la remoción quirúrgica bajo anestesia general del tumor y el diente asociado. Tras dos años de seguimiento, no se observó la recurrencia de la lesión.16

En contraste con Janas (2015) y Delgado-Azañero (2007) el caso presentado se trató de una paciente de seis años con un granuloma de evolución desfavorable con compromiso de estructuras óseas y gérmenes dentarios, el cual para su escisión requirió de una eliminación estructural amplia, además de dificultades para realizar su seguimiento clínico odontológico. También en población infantil se ha reportado la eliminación quirúrgica radical del GCCG, tal es el caso del paciente reportado por Wang y su grupo, en el que fue realizada la resección en bloque de un GCCG de gran tamaño y comportamiento agresivo encontrado en un paciente femenino de seis años de edad, que involucraba el cóndilo mandibular.17 Se ha explorado la eficacia de los tratamientos alternativos, aunque la intervención quirúrgica continúa siendo el estándar de atención, principalmente cuando se observa un comportamiento agresivo,9 la enucleación y curetaje del nicho son favorables para la preservación de la cortical ósea y nervios adyacentes. En pacientes infantiles como fue nuestro caso, es importante buscar la conservación de las estructuras faciales involucradas, para obtener los mejores resultados a largo plazo.



CONCLUSIóN

El GCCG es una lesión de difícil diagnóstico debido a la baja frecuencia en que se presenta, sus características y comportamiento clínico, esto sumado a las características individuales y estado socioeconómico del paciente. La detección temprana en los afectados permite una gestión conservadora, lo que resulta en disminución de la pérdida indeseable de estructuras orales, ya que son patologías con consecuencias estéticas y funcionales indeseables.



AGRADECIMIENTOS

Dra. Bertha Berthaud González (médico anatomopatólogo del Hospital General de Zacatecas "Luz González Cosío"), M.C.D. Omar Geraldo Ramírez Rivera (residente de especialidad en Odontopediatría), M.C.D. Francisco Javier Mejía Pérez, M.C.D. Karen García Herrera,† M.C.D. Carlos Pérez Ponce, M.C.D. Jeremy Alfonzo Márquez (pasantes de Servicio Social de Cirugía Maxilofacial, Hospital General de Zacatecas "Luz González Cosío").


REFERENCIAS (EN ESTE ARTÍCULO)

  1. Cantillo Pallares O, Herrera Herrera A, Diaz Caballero A. Consideraciones sobre el granuloma central de células gigantes. Ciencia y Salud Virtual. 2014; 6 (1): 65-72.

  2. Donado Rodríguez M, Samper B. Cirugía bucal: patología y técnica. España: Masson; 2002.

  3. Neville B, Damm LD, Allen C, Bouquet J. Oral and maxillofacial pathology. 2nd ed. Pennsylvania: Saunders; 2002.

  4. Tecco S, Caruso S, Nota A, Leocata P, Cipollone G, Gatto R et al. Bilateral central giant cell granuloma of the mandibular angle in three females from the same family. Head Face Med. 2018; 14 (1): 14. doi: 10.1186/s13005-018-0171-7.

  5. Delgado-Azañero WA, Concha-Cusihuallpa H, Cabello-Morales E, Beltrán-Silva J, Guevara-Canales JO. Granuloma central de células gigantes en un niño tratado con corticoide intralesional. Rev Estomatol Herediana. 2007; 17 (2): 76-83. doi: 10.20453/reh.v17i2.1862.

  6. Escalera JCL, Pérez LAM, Barrios BCA, Cruz MEV, Lugo JA, Ojeda JL. Lesión central de células gigantes: reporte de un caso y revisión de la literatura. Rev ADM. 2015; 72 (1): 48-53.

  7. Abdelkarim AZ, Abu El Sadat SM, Chmieliauskaite M, Syed AZ. Radiographic diagnosis of a central giant cell granuloma using advanced imaging: cone beam computed tomography. Cureus. 2018; 10 (6): e2735. doi: 10.7759/cureus.2735.

  8. Aguilar-José D, Vallejo-Rodrigo F, Gárate-Juan C, Terreros-Peralta AC. Lesión central de células gigantes en mandíbula, reporte de caso. Revista OACTIVA UC Cuenca. 2018; 3 (2): 29-32. doi: 10.31984/oactiva.v3i2.218.

  9. Chavis SE, Shrikian TM, Haerian A, Edwards SP, Munz SM. Coordinated pediatric reconstruction and rehabilitation of maxillary central giant cell granuloma: A case report. J Am Dent Assoc. 2018; 149 (12): 1065-1072. doi: 10.1016/j.adaj.2018.07.020.

  10. Liu B, Yu SF, Li TJ. Multinucleated giant cells in various forms of giant cell containing lesions of the jaws express features of osteoclasts. J Oral Pathol Med. 2003; 32 (6): 367-375. doi: 10.1034/j.1600-0714.2003.00126.x.

  11. De Lange J, van den Akker HP, van den Berg H. Central giant cell granuloma of the jaw: a review of the literature with emphasis on therapy options. Oral Surg Oral Med Oral Pathol Oral Radiol Endod. 2007; 104 (5): 603-615. doi: 10.1016/j.tripleo.2007.04.003.

  12. Chuong R, Kaban LB, Kozakewich H, Perez-Atayde A. Central giant cell lesions of the jaws: a clinicopathologic study. J Oral Maxillofac Surg. 1986; 44 (9): 708-713. doi: 10.1016/0278-2391(86)90040-6.

  13. Rawashdeh MA, Bataineh AB, Al-Khateeb T. Long-term clinical and radiological outcomes of surgical management of central giant cell granuloma of the maxilla. Int J Oral Maxillofac Surg. 2006; 35 (1): 60-66. doi: 10.1016/j.ijom.2005.03.005.

  14. Kruse-Lösler B, Diallo R, Gaertner C, Mischke KL, Joos U, Kleinheinz J. Central giant cell granuloma of the jaws: a clinical, radiologic, and histopathologic study of 26 cases. Oral Surg Oral Med Oral Pathol Oral Radiol Endod. 2006; 101 (3): 346-354. doi: 10.1016/j.tripleo.2005.02.060.

  15. Martinez AP, Torres-Mora J. Selected giant cell rich lesions of the temporal bone. Head Neck Pathol. 2018; 12 (3): 367-377. doi: 10.1007/s12105-018-0906-6.

  16. Janas A, Osica P. Central giant cell granuloma located in the maxilla in a 8-year old boy. Dev Period Med. 2015; 19 (2): 189-192.

  17. Wang Y, Le A, El Demellawy D, Shago M, Odell M, Johnson-Obaseki S. An aggressive central giant cell granuloma in a pediatric patient: case report and review of literature. J Otolaryngol Head Neck Surg. 2019; 48 (1): 32. doi: 10.1186/s40463-019-0356-5.



AFILIACIONES

1 Residente del Programa de Especialidad en Odontopediatría. Unidad Académica de Odontología. Universidad Autónoma de Zacatecas. Zacatecas, México.

2 Profesor en la Especialidad en Odontopediatría. Unidad Académica de Odontología. Universidad Autónoma de Zacatecas. Zacatecas, México.

3 Servicio de Cirugía Maxilofacial, Hospital General de Zacatecas "Luz González Cosío". Profesor de la Especialidad en Odontopediatría. Unidad Académica de Odontología. Universidad Autónoma de Zacatecas. Zacatecas, México.



CORRESPONDENCIA

Cristal Yurixie Díaz Rosas. E-mail: yurixie_d@hotmail.com




Recibido: Marzo 2020. Aceptado: Junio 2020.

Figura 1
Figura 2
Figura 3
Figura 4
Figura 5
Figura 6
Figura 7
Figura 8

2020     |     www.medigraphic.com

Mi perfil

C?MO CITAR (Vancouver)

Rev Odont Mex. 2021;25

ARTíCULOS SIMILARES

CARGANDO ...