medigraphic.com
ENGLISH

Revista Odontológica Mexicana Órgano Oficial de la Facultad de Odontología UNAM

ISSN 1870-199X (Impreso)
Órgano oficial de la Facultad de Odontología, UNAM
  • Mostrar índice
  • Números disponibles
  • Información
    • Información general        
    • Directorio
  • Publicar
    • Instrucciones para autores        
  • medigraphic.com
    • Inicio
    • Índice de revistas            
    • Registro / Acceso
  • Mi perfil

2021, Número 4

<< Anterior Siguiente >>

Rev Odont Mex 2021; 25 (4)


Quiste dentígero circunferencial asociado a mesiodens invertido oronasal: reporte de caso

Melián Rivas, Andrés Noah1; Tobar Villanueva, Nicolas2; Boin Bakit, Camila1; Alegría Villa, Daniela3; Torrealba, Marcela4; Marino Espinoza, Antonio5
Texto completo Cómo citar este artículo Artículos similares

Idioma: Español/Inglés [English version]
Referencias bibliográficas: 19
Paginas: 345-352
Archivo PDF: 252.45 Kb.


PALABRAS CLAVE

quiste dentígero, mesiodens invertido, diente supernumerario, oronasal.

RESUMEN

Introducción: el quiste dentígero es un quiste odontogénico del desarrollo, caracterizado por rodear la corona de dientes no erupcionados o en desarrollo, cuya patogenia exacta es desconocida. La asociación de estas lesiones a dientes supernumerarios es rara, representando 5-6% de todos los quistes dentígeros reportados, desarrollándose en 90%, alrededor de mesiodens en el maxilar anterior con escasos reportes asociados a mesiodens invertidos. En adición a esto, se han identificado pocos casos de variantes de quistes dentígeros circunferenciales, los cuales rodean por completo al diente, siendo una entidad muy rara, cuyo diagnóstico diferencial representa un desafío. Objetivo: presentar un caso de una variante circunferencial poco frecuente de quiste dentígero de localización oronasal, asociado a un diente supernumerario invertido en el maxilar superior. Reporte del caso: paciente masculino, 43 años, sistémicamente sano, relata presión en zona maxilar anterior. Clínicamente, se palpa tumoración vestibular y palatina de consistencia firme, recubierta por mucosa normal. Al examen radiográfico se observa área osteolítica corticalizada, con focos radiopacos. En CBCT se aprecia lesión quística, que se relaciona cranealmente con mesiodens, en posición invertida. Se realiza instalación de cánula de descompresión y biopsia incisional. El análisis histopatológico muestra membrana quística con revestimiento epitelial escamoso no queratinizado y focos de calcificaciones distróficas. Se plantea el diagnóstico de quiste dentígero. Tras seis meses se realiza control con radiografía panorámica y CBCT, evidenciándose disminución del tamaño de la lesión, efectuándose la consecuente enucleación quirúrgica con posterior relleno del lecho con hueso liofilizado, sin recidivas a los seis meses. Conclusión: dado el comportamiento clínico de esta lesión y su particular localización, es fundamental la ejecución de un completo examen clínico, estudio imagenológico e histopatológico, para la correcta formulación del diagnóstico y plan de tratamiento.



INTRODUCCIóN

El quiste dentígero, también llamado quiste folicular, es un quiste epitelial odontogénico proveniente de células del epitelio reducido del órgano del esmalte.1 Se caracteriza por rodear la corona de un diente no erupcionado o en vías de desarrollo, el cual se encuentra adherido al cuello del diente a nivel de la unión cemento-esmalte.1,2 Su patogenia es incierta, pero se ha sugerido que la presión ejercida por un diente en erupción en el folículo puede obstruir el flujo venoso induciendo la acumulación de exudado entre el epitelio reducido del esmalte y la corona del diente, por otra parte, investigaciones reportan que procesos inflamatorios a nivel periapical de dientes deciduos no vitales cerca de los folículos de los sucesores permanentes podrían ser un factor de riesgo asociado a la aparición de los quistes dentígeros.2,3 Éstos representan 24% de los quistes odontogénicos y ocupan el segundo lugar en frecuencia de los quistes maxilares.3 Se manifiestan principalmente en personas de sexo masculino entre la segunda y tercera década, siendo raros en niños con menos de 2% de incidencia. A menudo son asintomáticos, por lo que son frecuentemente hallazgos radiográficos, que pueden generar grandes expansiones óseas, con fracturas patológicas, erosiones, rizalisis, desplazamiento de dientes e incluso sobreinfecciones siendo considerados los quistes odontogénicos más agresivos.3-5 Radiográficamente se manifiesta como una radiolucidez unilocular bien delimitada que rodea la corona de un diente no erupcionado, pudiendo presentar márgenes radiopacos corticalizados;5 sin embargo, el estudio histopatológico es mandatorio para su diagnóstico definitivo.1-5 La localización más frecuente es a nivel de terceros molares inferiores, con una frecuencia de alrededor de 75%. Sin embargo, a pesar de que la mayoría se encuentra asociado a dientes permanentes, un 5% se ha asociado a supernumerarios, lo que es un hallazgo poco frecuente, siendo el mesiodens el más afectado.5-7

La prevalencia general de los mesiodens es entre un 0.15 y 1.9%, donde la edad habitual de presentación clínica del quiste dentígero debido a un diente supernumerario es en las primeras cuatro décadas de la vida.8 Los dientes supernumerarios pueden aparecer solos o múltiples, unilaterales o bilaterales, erupcionados o impactados, y aparecer tanto en el maxilar como la mandíbula. Se ha reportado que la dirección de erupción de mesiodens se puede dividir en tres formas: normal, horizontal o inversa, siendo la mayoría de los casos documentados de forma inversa9,10 y cuya presencia puede generar complicaciones tales como impactación dentaria, apiñamiento, formación de diastemas, desplazamiento de dientes, interferencias oclusales, caries, problemas periodontales y formación de quistes dentígeros11 como es el caso que se reporta.

Existen escasos reportes en la literatura sobre la asociación de quistes dentígeros con mesiodens invertidos y aún más rara la asociación a quistes dentígeros circunferenciales. El objetivo es presentar el manejo terapéutico de un quiste dentígero variante circunferencial asociado a un mesiodens invertido oronasal.



PRESENTACIóN DE CASO

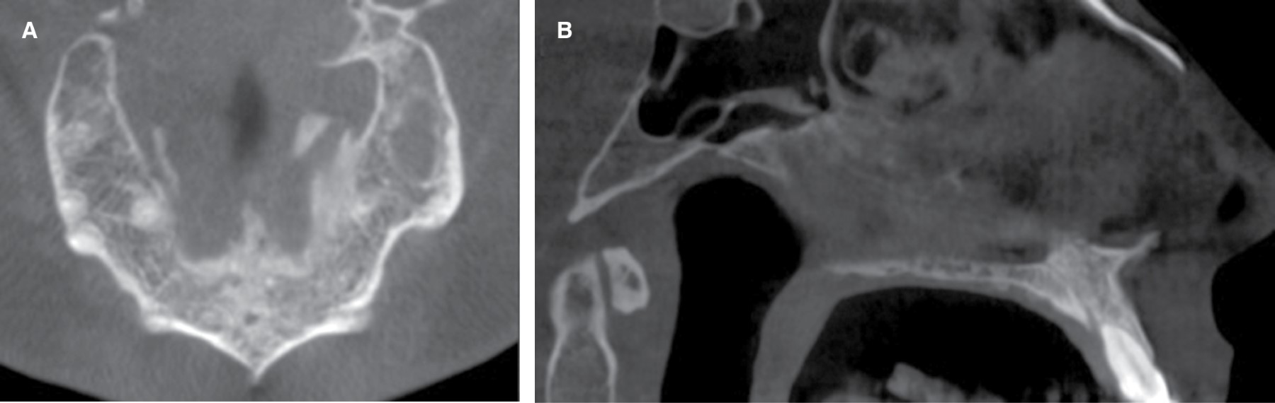
Paciente de género masculino de 43 años de edad consulta por aumento de volumen en paladar. Sin antecedentes sistémicos, relata dolor moderado, intermitente, localizado junto a sensación opresiva en sector anterosuperior maxilar, con tiempo de evolución desconocido. Al examen clínico se observa tumoración en fondo de vestíbulo y paladar, extendida desde 2.2 hasta 1.1, de forma redondeada, consistencia firme, cubierta por mucosa normal, doloroso a la palpación y de límites definidos. Los dientes involucrados presentaban caries, pero se encontraban vitales a las pruebas endodónticas y no presentaban movilidad ni desplazamiento (Figura 1A).

En una primera instancia, se observó radiográficamente presencia de lesión radiolúcida de gran tamaño. Sin embargo, se observó integridad de espacios periodontales en los dientes comprometidos, por lo que se solicitó complementar con ortopantomografía y CBCT, donde se encontró una lesión osteolítica circunscrita, bien delimitada con márgenes corticalizados en relación con raíces dentarias de dientes 1.1 a 2.2, confirmando la presencia de lesión quística en zona maxilar anterosuperior asociada a la existencia de diente supernumerario invertido de localización buconasal con la corona proyectada hacia la cavidad nasal y la raíz orientada a la cavidad oral, con diámetros de 2.5 × 2.0 × 1.9 cm. Se evidenció además expansión de corticales óseas vestibular y palatina, generando un desplazamiento del conducto nasopalatino, sin compromiso de raíces de dientes vecinos (Figura 1B).

Posterior a consentimiento informado, se realiza biopsia incisional bajo anestesia local, donde se procede a instalar una cánula de descompresión con el objetivo de disminuir el tamaño de la lesión y se indicó aseo con clorhexidina al 0.12% tres veces al día con seguimiento radiográfico a los seis meses (Figura 2A). Con hipótesis diagnóstica de tumor odontogénico adenomatoide, las muestras obtenidas fueron enviadas a estudio histopatológico, el cual mostró una membrana quística con revestimiento epitelial escamoso no queratinizado, de pocas capas, focos de calcificaciones distróficas siendo características sugestivas de quiste dentígero. Tras seis meses de la intervención se realizó una nueva evaluación clínica e imagenológica, donde el paciente relató disminución del tamaño de la lesión y cese de sintomatología opresiva en relación con el sector anatómico comprometido, observándose radiográficamente una disminución del tamaño de la lesión quística en sector anterosuperior con un diámetro de 1.4 × 1.7 × 1.5 cm asociada a la presencia de cánula de descompresión en su espesor (Figura 2B-D).

Se procedió a realizar una nueva intervención quirúrgica bajo anestesia local, donde se efectuó la enucleación y remoción quística con curetaje óseo con exodoncia de supernumerario. Finalmente se realiza relleno de cavidad con hueso microparticulado liofilizado xenogénico (Alpha Bio's GRAFT) más una membrana de colágeno reabsorbible (MEDPRIN ReDuraTM), suturando finalmente la mucosa comprometida (Figura 3A y B). La muestra obtenida (Figura 3C) fue enviada nuevamente a análisis histopatológico evidenciándose metaplasia de epitelio quístico escamoso no queratinizado, rodeado por una cápsula de tejido conjuntivo laxo con infiltrado inflamatorio crónico confirmando diagnóstico de quiste dentígero (Figura 3D). No se observaron recidivas tras seis meses de seguimiento de la lesión (Figura 4).



DISCUSIóN

La ubicación habitual del quiste dentígero es en relación con dientes permanentes no erupcionados frecuentemente a nivel del tercer molar inferior; por el contrario, sólo un 5% de éstos se ha asociado a piezas supernumerarias, por lo que los reportes de éstos en relación con mesiodens son poco frecuentes,1,12 tal como se presenta en nuestro caso. Adicionalmente, los reportes de quistes dentígeros publicados hacen alusión a su variante común donde la lesión rodea la corona del diente afectado; sin embargo, en la literatura se describen radiográficamente dos variantes adicionales de quistes dentígero: una variante lateral donde la lesión puede encontrarse lateralmente a lo largo de la raíz de la pieza dentaria cubriendo parcialmente la corona y finalmente una variedad circunferencial cuando el quiste además de rodear la corona, se extiende hacia abajo a lo largo de la superficie de la raíz, dando así la impresión del diente dentro del quiste tal como se presenta en nuestro caso, siendo un hallazgo muy raro, y digno de ser informado.13,14 La rareza de esta variante se encontraría relacionada al desplazamiento producido por la presión osmótica que generan estos quistes produciendo estas variaciones anatómicas.15 La persistencia de esta lesión se ha asociado a complicaciones patológicas, tales como fracturas óseas patológicas, reabsorción radicular o desplazamiento de dientes adyacentes y fístulas oronasales debido a la extensión de las lesiones entre la cavidad oral y nasal,2,15 tal como en el caso que se reporta en este trabajo, e incluso se han reportado grandes inflamaciones y deformaciones del labio superior.15,16 Esto es fundamental dado que existen diagnósticos diferenciales asociados a estas variantes como el tumor odontogénico adenomatoide, ameloblastoma uniquístico, tumor de Pindborg y fibroma odontogénico.2,12,17

Varios planes de tratamiento se han descrito en la literatura para el manejo de estas lesiones, pero no existe un consenso sobre los criterios de selección sobre la modalidad de tratamiento adecuada, la elección de ésta debe basarse en el tamaño y localización del quiste, edad, dentición afectada, y la relación con estructuras circundantes.14 Los métodos empleados para la eliminación han incluido descompresión, marsupialización y enucleación. Sin embargo, los criterios para seleccionar estas modalidades de tratamiento no están claramente definidos. Además, en la literatura faltan series de estudios y seguimiento a largo plazo para evaluar diversos resultados de tratamiento, recurrencias y comparar datos demográficos, siendo la enucleación en conjunto con la extirpación del diente afectado la más utilizada dado que se ha reportado que es el método terapéutico con menor tasa de recidiva. Además, se ha reportado el uso de diferentes materiales de injerto para rellenar la cavidad residual, incluyendo hueso aloplástico, hueso alogénico, hueso xenogénico o una combinación de estos materiales, pero los injertos de celulosa autógenos producen los resultados más favorables y predecibles, tanto experimental como clínicamente.14,17-19 En nuestro caso se prefirió la descompresión con la posterior enucleación a los seis meses con extracción del diente supernumerario y posteriormente se rellenó la cavidad con hueso microparticulado liofilizado xenogénico.



CONCLUSIóN

La aparición de quistes dentígeros asociados a dientes supernumerarios invertidos en la región anterior del maxilar es poco frecuente, siendo los mesiodens invertidos los más prevalentes. Para prevenir el desarrollo de este tipo de lesiones, además de evitar efectos no deseados en los dientes adyacentes y estructuras anatómicas vecinas, la detección prematura basada en un examen clínico y radiográfico completo es necesaria para un diagnóstico preciso y una planificación adecuada de tratamiento. Además, es fundamental realizar un análisis histopatológico para realizar diagnóstico diferencial con lesiones potencialmente invasivas y/o malignas.


REFERENCIAS (EN ESTE ARTÍCULO)

  1. Agrawal NK. Dentigerous cyst in a child associated with multiple inverted supernumerary teeth: a rare occurrence. Int J Burns Trauma. 2012; 2 (3): 171-173.

  2. Anthonappa RP, Ekambaram M, Neboda CNG, King NM, Rabie AM. Genetic basis of dentigerous cysts associated with supernumerary teeth: A narrative review. J Investig Clin Dent. 2018; 9 (1). doi: 10.1111/jicd.12267.

  3. Dhupar A, Yadav S, Dhupar V, Mittal HC, Malik S, Rana P. Bi-maxillary dentigerous cyst in a non-syndromic child – review of literature with a case presentation. J Stomatol Oral Maxillofac Surg. 2017; 118 (1): 45-48. doi: 10.1016/j.jormas.2016.12.001.

  4. EI-Naggar AK, Chan JKC, Grandis JR, Takata T, Slootweg PJ. WHO Classification of head and neck tumours. 4th edition. Lyon: IACR; 2017.

  5. Borrás-Ferreres J, Sánchez-Torres A, Aguirre-Urizar JM, Gay-Escoda C. Dentigerous cyst with parietal and intracystic calcifications: a case report and literature review. J Clin Experimental Dent. 2018; 10 (3): e296-e299. doi: 10.4317/jced.54505.

  6. Villasis-Sarmiento L, Portilla-Robertson J, Melendez-Ocampo A, Gaitan-Cepeda LA, Leyva-Huerta ER. Prevalence and distribution of odontogenic cysts in a Mexican sample. A 753 cases study. J Clin Exp Dent. 2017; 9 (4): e531-e538. doi: 10.4317/jced.53627.

  7. Lin HP, Wang YP, Chen HM, Cheng SJ, Sun A, Chiang CP. A clinicopathological study of 338 dentigerous cysts. J Oral Pathol Med. 2012; 42 (6): 462-467. doi: 10.1111/jop.12042.

  8. Giovanetti K, Sigua-Rodriguez EA, Pacheco L, Portela-Figueiredo E, Albergaria-Barbosa JR. Mesiodens. Reporte de caso. Rev Fac Odontol Univ Antioq. 2016; 28 (1): 210-219. doi: 10.17533/udea.rfo.v28n1a12.

  9. Lee SS, Kim SG, Oh JS, You JS, Jeong KI, Kim YK et al. A comparative analysis of patients with mesiodenses: a clinical and radiological study. J Korean Assoc Oral Maxillofac Surg. 2015; 41 (4): 190-193. doi: 10.5125/jkaoms.2015.41.4.190.

  10. Goksel S, Agirgol E, Karabas HC, Ozcan I. Evaluation of prevalence and positions of mesiodens using cone-beam computed tomography. J Oral Maxillofac Res. 2018; 9 (4): e1. doi: 10.5037/jomr.2018.9401.

  11. Jeon JY, Park CJ, Cho SH, Hwang KG. Bilateral dentigerous cysts that involve all four dental quadrants: a case report and literature review. J Korean Assoc Oral Maxillofac Surg. 2016; 42 (2): 123-126. doi: 10.5125/jkaoms.2016.42.2.123.

  12. Kim KS, Mun SK. Extensive dentigerous cyst associated with a mesiodens: CT findings. Ear Nose Throat J. 2013; 92 (8): E6-E8. doi: 10.1177/014556131309200818.

  13. Narsapur SA, Choudhari S. Dentigerous cyst with atypical mesiodens: an unusual clinical case report. RSBO (Online). 2015; 12 (2): 220-224.

  14. Hasan S, Ahmed SA, Reddy LB. Dentigerous cyst in association with impacted inverted mesiodens: report of a rare case with a brief review of literature. Int J Appl Basic Med Res. 2014; 4 (Suppl 1): S61-S64. doi: 10.4103/2229-516X.140748.

  15. Riachi F, Khairallah CM, Ghosn N, Berberi AN. Cyst volume changes measured with a 3D reconstruction after decompression of a mandibular dentigerous cyst with an impacted third molar. Clin Pract. 2019; 9 (1): 1132. doi: 10.4081/cp.2019.1132.

  16. Kouhsoltani M, Mesgarzadeh AH, Moradzadeh Khiavi MM. Mandibular fracture associated with a dentigerous cyst: report of a case and literature review. J Dent Res Dent Clin Dent Prospects. 2015; 9 (3): 193-198. doi: 10.15171/joddd.2015.035.

  17. Patil AS, Jathar PN, Panse AM, Bahutule SR, Patil RU, Patil M. Infected dentigerous cyst and its conservative management: a report of two cases. Int J Clin Pediatr Dent. 2019; 12 (1): 68-72. doi: 10.5005/jp-journals-10005-1578.

  18. Patel K, Patel N, Venkataraghavan K. Management of a dentigerous cyst associated with inverted and fused mesiodens: a rare case report. J Int Oral Health. 2013; 5 (4): 73-77.

  19. Perjuci F, Ademi-Abdyli R, Abdyli Y, Morina E, Gashi A, Agani Z et al. Evaluation of spontaneous bone healing after enucleation of large residual cyst in maxilla without graft material utilization: case report. Acta Stomatol Croat. 2018; 52 (1): 53-60. doi: 10.15644/asc52/1/8.



AFILIACIONES

1 Cirujano Dentista, Servicio de Cirugía Oral y Maxilofacial, Hospital San Juan de Dios. Santiago, Chile.

2 Cirujano Dentista, Facultad de Odontología, Universidad Finis Terrae. Santiago, Chile.

3 Cirujana dentista, especialista en Patología Oral y Maxilofacial, Hospital de la Serena, La Serena, Chile.

4 Cirujana Dentista, especialista en Radiología Oral y Maxilofacial, Facultad de Odontología, Universidad Finis Terrae, Santiago, Chile.

5 Cirujano Maxilofacial, Servicio de Cirugía Maxilofacial, Hospital de Carabineros. Santiago, Chile.



CORRESPONDENCIA

Andrés Noah Melián Rivas. E-mail: andresmelianrivas@gmail.com




Recibido: Marzo 2020. Aceptado: Junio 2020.

Figura 1
Figura 2
Figura 3
Figura 4

2020     |     www.medigraphic.com

Mi perfil

C?MO CITAR (Vancouver)

Rev Odont Mex. 2021;25

ARTíCULOS SIMILARES

CARGANDO ...