medigraphic.com
ENGLISH

Revista Odontológica Mexicana Órgano Oficial de la Facultad de Odontología UNAM

ISSN 1870-199X (Impreso)
Órgano oficial de la Facultad de Odontología, UNAM
  • Mostrar índice
  • Números disponibles
  • Información
    • Información general        
    • Directorio
  • Publicar
    • Instrucciones para autores        
  • medigraphic.com
    • Inicio
    • Índice de revistas            
    • Registro / Acceso
  • Mi perfil

2021, Número 4

<< Anterior Siguiente >>

Rev Odont Mex 2021; 25 (4)


Granuloma central de células gigantes agresivo maxilar: tratamiento con infiltración de triamcinolona y curetaje

Nieto Munguía, Ana María1; Mendoza García, Raúl2; González Rebattú y González, Mauricio3; Cázarez Ríos, Víctor Daniel4
Texto completo Cómo citar este artículo Artículos similares

Idioma: Español/Inglés [English version]
Referencias bibliográficas: 20
Paginas: 368-375
Archivo PDF: 268.86 Kb.


PALABRAS CLAVE

granuloma central de células gigantes, triamcinolona, tratamiento conservador.

RESUMEN

Introducción: el granuloma central de células gigantes (GCCG) es una lesión osteolítica benigna, localmente agresiva de los maxilares, caracterizada por la presencia de células gigantes de tipo osteoclasto en un estroma vascular. Alrededor de 30% de los casos se presentan en forma agresiva, caracterizándose por un crecimiento rápido, tamaño superior a 5 cm, dolor, perforación de corticales e invasión del tejido periférico y reabsorción radicular. Se pueden clasificar en agresivos y no agresivos. Objetivo: presentar el caso de una paciente con un granuloma central de células gigantes agresivo, el cual fue tratado con varios recursos terapéuticos. Presentación del caso: paciente femenino de 35 años de edad, la cual presentaba un granuloma central de células gigantes agresivo en el maxilar de lado derecho, que fue tratado con infiltración de triamcinolona siguiendo el protocolo de Jacoway y posteriormente enucleación y curetaje quirúrgico. Resultados: se logró disminuir el tamaño total de la lesión en 30% aproximadamente, para después realizar la enucleación y curetaje, con control a un año; actualmente sin recidiva. El uso de terapias coadyuvantes a la cirugía, como la infiltración de corticoesteroides intralesionales es un tratamiento útil en el manejo del granuloma central de células gigantes, teniendo en la mayoría de los casos un transquirúrgico menos radical y traumático, lo que se traduce en la disminución de la morbilidad en el paciente.



INTRODUCCIóN

La Organización Mundial de la Salud define al granuloma central de células gigantes (GCCG) como una lesión osteolítica benigna, localmente agresiva de los maxilares, caracterizada por la presencia de células gigantes de tipo osteoclasto en un estroma vascular. Representa 10% de todos los tumores benignos de los maxilares. Estas lesiones son más frecuentes en la región anterior de la mandíbula y la presencia de múltiples lesiones se relacionan con los síndromes de LEOPARD, Noonan o neurofibromatosis tipo 1.1 La etiología del GCCG es incierta, lo describen como una proliferación inflamatoria, también se puede comportar como un proceso neoplásico agresivo.2 Jaffe considera este tumor como una reacción localmente reparativa del hueso debido a inflamación, trauma local o hemorragia.3 Worth intentó probar la teoría anterior usando evidencia radiográfica, que presentaban reparación ósea de lesiones no tratadas.4

Los GCCG puedan tener diferentes características clínicas, las más comunes: crecimiento lento, asintomático, con expansión de corticales sin perforación ni afectación de los dientes adyacentes. Según Choung, alrededor de 30% de los casos se presentan en forma agresiva, teniendo como características: crecimiento rápido, tamaño superior a 5 cm, dolor, perforación de corticales e invasión del tejido periférico y reabsorción radicular; éstos tienen alto índice de recurrencia posterior al curetaje quirúrgico.5 Las células gigantes multinucleadas son de tipo osteoclasto con propiedades antigénicas y marcadores fenotípicos de precursores mononucleares.6 La literatura reporta un alto grado de recurrencia para el curetaje quirúrgico, especialmente en lesiones agresivas.7-9 Se cree que los esteroides inhiben a las células gigantes, a través de la proteasa lisosomal evitando así la reabsorción ósea, además los esteroides inducen la apoptosis de las células parecidas a los osteoblastos.10,11

La calcitonina ha sido usada con éxito en el tratamiento de estas lesiones. Su uso se basa en que la apariencia histológica del GCCG con el tumor pardo del hiperparatiroidismo, por sus propiedades antagonistas de la calcitonina con la parathormona. Por lo tanto, se piensa que las células gigantes tienen receptores de calcitonina.12 Por otra parte, el tratamiento con alfa interferón se basa en la supresión de los factores de crecimiento, que podrían reducir la angiogénesis. La terapéutica consiste en la administración subcutánea y el monitoreo constante del factor de crecimiento fibroblástico en la orina. Algunos protocolos sugieren iniciar con el tratamiento quirúrgico, seguido de al menos seis meses de terapia con alfa interferón.13 Los inhibidores del receptor activador del factor nuclear kappa-β se han desarrollado como una alternativa eficaz para el tratamiento de este tipo de lesiones, principalmente en las de tipo agresivo, ya que inhiben a los osteoclastos; sin embargo, los estudios en los maxilares aún no han sido significativos.14

La infiltración intralesional de esteroide en GCCG fue reportada primeramente por Jacoway et al en 1988.15 En 1994, Terry y Jacoway16 introdujeron el protocolo de tratamiento utilizando una infiltración semanal de una mezcla en partes iguales de acetónido de triamcinolona (10 mg/mL) y un anestésico local (bupivacaína 0.5% con epinefrina al 1:200,000). La dosis recomendada es 2 mL/2 cm de radiolucidez y la inyección debe realizarse en diferentes zonas de la lesión por al menos seis semanas. El tratamiento con esteroides está basado en la apariencia microscópica entre el GCCG y la sarcoidosis. Soportado por un estudio con dexametasona sobre osteoclastos, Hirayama afirma que estos medicamentos tienen un efecto directo sobre la formación y la actividad de estas células e inhiben la actividad de los osteoclastos maduros.17



PRESENTACIóN DEL CASO

Paciente femenino de 35 años de edad, la cual presenta en junio de 2017 un aumento de volumen asintomático en la región geniana derecha, de aproximadamente cuatro meses de evolución.

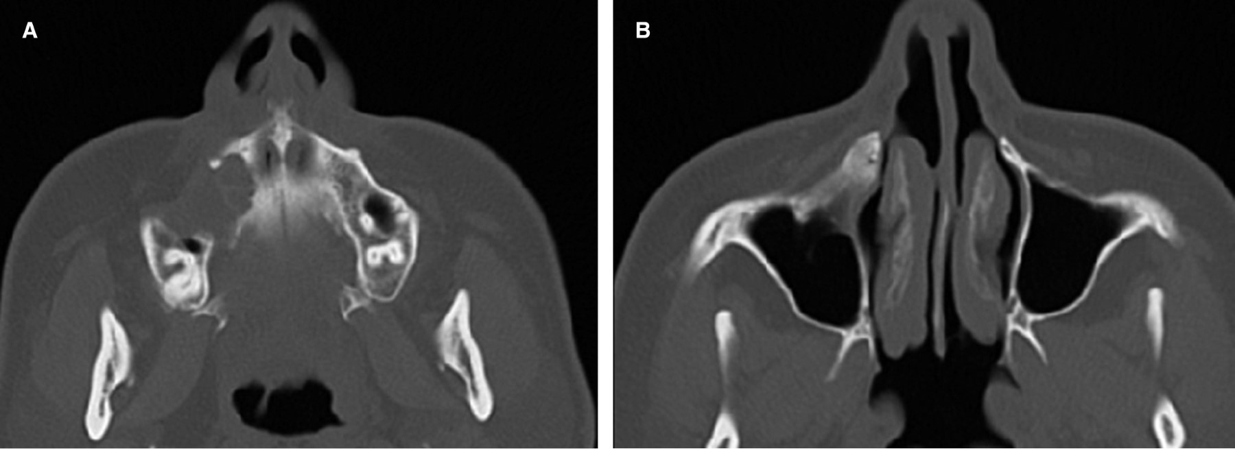
A la exploración clínica presentaba ligera asimetría facial a expensas de aumento de volumen en región nasogeniana derecha de aproximadamente 4.0 × 4.0 cm, sin cambios en la piel. Intraoralmente se observó pérdida de fondo de repliegue mucogingival debido al aumento de volumen que va desde la zona cercana a la apófisis triangular maxilar hasta el borde alveolar cercano al primer premolar de lado derecho. Bien delimitado, superficie lisa, mismo color que las mucosas adyacentes, de consistencia firme, asintomático a la palpación, con extrusión de primer y segundo premolar. En la tomografía axial computarizada simple se muestra una lesión mixta: zonas hiperintensas e hipodensas a tejido blando, la cual se encuentra ocupando el maxilar de lado derecho. Se extiende por el cuerpo, la apófisis piramidal, gran parte el seno maxilar y región alveolar desde canino a primer molar ipsilateral, con desplazamiento de los mismos, expansión y perforación de la cortical vestibular (Figura 1). De acuerdo con las características clínicas y de imagen, el diagnóstico presuntivo corresponde a GCCG, y se indica toma de biopsia incisional, la cual resulta compatible con GCCG, para descartar tumor pardo del hiperparatiroidismo se solicitan niveles de parathormona, la cual se encuentra dentro de parámetros normales.

Se inicia el protocolo de infiltración intralesional, tomando como base el protocolo descrito por Jacoway, se infiltran 3.5 mL de acetónido de triamcinolona con 3.5 mL de lidocaína a 2% con epinefrina al 1:100,000 una vez por semana, hasta completar seis aplicaciones, una vez concluidas las mismas, la tumoración disminuyó de manera discreta (Figura 2), por lo que se realiza bajo anestesia general balanceada, la enucleación y curetaje de la lesión, se retira de manera completa el espécimen; mismo que se deposita en formalina al 10% (Figura 3).

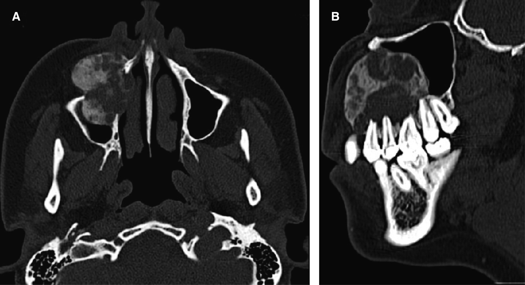
Se envía a estudio histopatológico, donde se confirma el diagnóstico de: granuloma central de células gigantes. Se obtiene una tomografía computarizada simple de control a un año, donde se aprecia una evolución favorable, no presenta datos de recidiva y se aprecia el hueso maxilar en franca recuperación. La paciente actualmente evoluciona de manera adecuada sin sintomatología asociada (Figura 4).



DISCUSIóN

Dolanmaz18 publicó el tratamiento de siete pacientes con GCCG manejados con infiltración intralesionales con 3.5 mL de acetónido de triamcinolona (Kenacort-A) y 3.5 mL de bupivacaína al 0.5% con epinefrina al 1:200,000, semanalmente por un tiempo de seis semanas, siguiendo de manera estrecha el protocolo de Terry y Jacoway. No reportan efectos secundarios en ningún paciente por el uso de los esteroides, se presentó resolución completa y osificación de cuatro pacientes, el resto de los pacientes no presentaron resolución absoluta, pero sí una disminución considerable del tamaño; a dos años de control no reportan recidivas. Nuestra paciente tuvo una reducción discreta del tamaño de la lesión original.

Rachmiel y colaboradores19 reportaron en 2012 el tratamiento de un paciente femenino de 24 años de edad con un GCCG agresivo, con una combinación de inyecciones intralesionales de Kenacort-A con lidocaína al 2% con epinefrina al 1:100,000 en una dosis de 1 mL por cada centímetro de radiolucidez de la lesión determinada por una ortopantomografía, por seis semanas y espray nasal de calcitonina a 200 UI diariamente por tres meses. Tres meses después se realizó curetaje quirúrgico con osteotomía periférica con preservación de la continuidad de la mandíbula y los órganos dentarios. La reconstrucción se realizó de forma inmediata con injerto autólogo de cresta iliaca, con cinco años de control, sin datos de recidiva. Al igual que los anteriores autores, nuestro protocolo fue muy fiel al original de Jacoway, en nuestro caso no usamos calcitonina y la reconstrucción resulta diferente, ya que en el caso del paciente presentado en este artículo, se encontraba en el cuerpo del maxilar.

Nogueira y cols.20 reportan 21 casos de GCCG en el maxilar y la mandíbula tratado con inyecciones intralesionales de hexacetónido de triamcinolona (20 mg/mL) diluida en una solución anestésica de lidocaína al 2% con epinefrina al 1:200,000, en una proporción de 1:1; 1 mL de solución fue infiltrado por cada 1 cm3 del área radiolúcida de la lesión, con un total de seis aplicaciones cada semana. De dichos pacientes, 10 presentaban lesiones agresivas y 11 presentaban lesiones no agresivas. Dos pacientes mostraron una respuesta negativa y requirieron resección quirúrgica, cuatro mostraron respuesta moderada y 15 con respuesta adecuada. Ocho de los 19 que demostraron respuesta de moderada a buena requirieron osteoplastia para reestablecer la estética facial. El estudio de Nogueira es muy útil en la valoración de estas lesiones, ya que ellos realizan la distinción entre los agresivos y no agresivos. Siendo similar que los de tipo agresivo respondieran de forma discreta, requiriendo tratamiento quirúrgico adicionalmente.

En nuestro caso se presentó una paciente que tenía un GCCG de tipo agresivo, ocupando casi por completo el cuerpo del maxilar de lado derecho, debido al compromiso para la salud de la paciente que hubiera traído intentar retirar la lesión en su totalidad únicamente haciendo uso de la terapia quirúrgica, se decidió iniciar con la infiltración de corticoesteroides según lo establecido por el protocolo de Jacoway, logrando disminuir la lesión clínicamente en 30%. Pensamos que las características agresivas de la lesión no permitieron su remisión total únicamente con la terapia de infiltración de esteroides, coincidiendo con los reportes de la literatura, sin embargo, esto permitió en el transquirúrgico retirar totalmente la lesión y presentar un control a un año sin recidiva, con una franca regeneración ósea; sin datos de deformidad facial, ni comorbilidades importantes para la paciente.



CONCLUSIONES

El uso de terapias coadyuvantes a la cirugía, como la infiltración de corticoesteroides intralesionales, es un tratamiento útil en el manejo del GCCG, ya que ayuda de manera importante a disminuir el tamaño de la lesión inicial; repercutiendo en un transquirúrgico menos traumático y menos radical. En este caso en particular, se utilizó el protocolo de Jacoway para la administración de triamcinolona dentro de la lesión, lo que redujo su tamaño, posteriormente se realizó la cirugía donde se extirpó el mismo sin complicaciones y actualmente la paciente presenta una evolución adecuada, con formación de tejido óseo en el lecho del procedimiento como se ve en el control a un año de estudio de tomografía computarizada.


REFERENCIAS (EN ESTE ARTÍCULO)

  1. El-Naggar AK, Chan JK, Grandis JR, Takata T, Slootweg PJ. World Health Organization Classification of Head and Neck Tumours. Pathology and genetics of head and neck tumours. 4th ed. Lyon, Francia: IARC Press; 2017.

  2. Brennan PA, Schliephake H, Ghali GE, Cascarini L. Maxillofacial surgery. 3rd ed. St. Louis Missouiri, USA: Elsevier Sounders; 2017.

  3. Jaffe HL. Giant-cell reparative granuloma, traumatic bone cysts, and fibrous (fibro-oseous) dysplasia of the jawbones. Oral Surg Oral Med Oral Pathol. 1953; 6 (1): 159-175. doi: 10.1016/0030-4220(53)90151-0.

  4. Worth HM. Principles and practice of oral radiologic interpretation. Chicago: Year Book Medical Publishers; 1963.

  5. Chuong R, Kaban LB, Kozakewich H, Perez-Atayde A. Central giant cell lesions of the jaws: a clinicopathologic study. J Oral Maxillofac Surg. 1986; 44 (9): 708-713. doi: 10.1016/0278-2391(86)90040-6.

  6. Flanagan AM, Nui B, Tinkler SM, Horton MA, Williams DM, Chambers TJ. The multinucleate cells in giant cell granulomas of the jaw are osteoclasts. Cancer. 1988; 62 (6): 1139-1145.

  7. Flores Hidalgo A, Biggerstaff T, Murrah V. Hybrid central odontogenic fibroma and central giant cell granuloma lesion – a case report of an aggressive and recurrent lesion. J Oral Maxillofac Surg Med Pathol. 2019; 31 (6): 432-434. doi: 10.1016/j.ajoms.2019.08.003.

  8. Kudva A, Cariappa KM, Dhara V, Solomon M. Central giant cell granuloma: An uncommon presentation. Oral Maxillofac Surg Cases. 2018; 4 (4): 135-140. doi: 10.1016/j.omsc.2018.08.001.

  9. Whitaker SB, Waldron CA. Central giant cell lesions of the jaws. A clinical, radiologic and histopathologic study. Oral Surg Oral Med Oral Pathol. 1993; 75 (2): 199-208. doi: 10.1016/0030-4220(93)90094-k.

  10. Schreuder WH, van den Berg H, Westermann AM, Peacock ZS, de Lange J. Pharmacological and surgical therapy for the central giant cell granuloma: A long-term retrospective cohort study. J Craniomaxillofac Surg. 2017; 45 (2): 232-243. doi: 10.1016/j.jcms.2016.11.011.

  11. El Hadidi YN, Ghanem AA, Helmy I. Injection of steroids intralesional in central giant cell granuloma cases (giant cell tumor): is it free of systemic complications or not? A case report. Int J Surg Case Rep. 2015; 8C: 166-170. doi: 10.1016/j.ijscr.2015.02.001.

  12. Pogrel MA, Regezi JA, Harris ST, Goldring SR. Calcitonin treatment for central giant cell granulomas of the mandible: report of two cases. J Oral Maxillofac Surg. 1999; 57 (7): 848-853. doi: 10.1016/s0278-2391(99)90828-5.

  13. Tarsitano A, Del Corso G, Pizzigallo A, Marchetti C. Aggressive central giant cell granuloma of the mandible treated with conservative surgical enucleation and interferon–α-2a: complete remission with long-term follow-up. J Oral Maxillofac Surg. 2015; 73 (11): 2149-2154. doi: 10.1016/j.joms.2015.04.029.

  14. Santoro A, Pannone G, Ramaglia L, Bufo P, Lo Muzio L, Saviano R. Central odontogenic fibroma of the mandible: a case report with diagnostic considerations. Ann Med Surg (Lond). 2016; 5: 14-18. doi: 10.1016/j.amsu.2015.11.004.

  15. Jacoway JR, Howell FV, Terry BC. Central giant cell granuloma an alternative to surgical therapy. Oral Surg Oral Med Oral Pathol. 1988; 66: 572.

  16. Terry BC, Jacoway JR. Management of central giant cell lesions: an alternative to surgical therapy. Oral Maxillofac Surg Clin North Am. 1994; 6 (3): 579-598. doi: 10.1016/S1042-3699(20)30771-8.

  17. Hirayama T, Sabokbar A, Athanasou NA. Effect of corticosteroids on human osteoclast formation and activity. J Endocrinol. 2002; 175 (1): 155-163. doi: 10.1677/joe.0.1750155.

  18. Dolanmaz D, Esen A, Mihmanli A, Isik K. Management of central giant cell granuloma of the jaws with intralesional steroid injection and review of the literature. Oral Maxillofac Surg. 2016; 20 (2): 203-209. doi: 10.1007/s10006-015-0530-5.

  19. Rachmiel A, Emodi O, Sabo E, Aizenbud D, Peled M. Combined treatment of aggressive central giant cell granuloma in the lower jaw. J Craniomaxillofac Surg. 2012; 40 (3): 292-297. doi: 10.1016/j.jcms.2011.04.002.

  20. Nogueira RLM, Teixeira RC, Cavalcante RB, Ribeiro RA, Rabenhosrt SHB. Intralesional injection of triamcinolone hexacetonide as an alternative treatment for central giant cell granuloma in 21 cases. Int J Oral Maxillofac Surg. 2010; 39 (12): 1204-1210. doi: 10.1016/j.ijom.2010.06.015.



AFILIACIONES

1 Cirujana Maxilofacial adscrita al Servicio de Cirugía Maxilofacial del Hospital Regional "Lic. Adolfo López Mateos", ISSSTE. México.

2 Cirujano Maxilofacial, Secretaría de Salud. México.

3 Cirujano Maxilofacial adscrito al Servicio de Cirugía Maxilofacial del Hospital Regional 1o de Octubre, ISSSTE. México.

4 Residente de Cirugía Maxilofacial del Hospital Regional "Lic. Adolfo López Mateos", ISSSTE. México.



CORRESPONDENCIA

Ana María Nieto Munguía. E-mail: annie_tit@hotmail.com




Recibido: Marzo 2020. Aceptado: Julio 2020.

Figura 1
Figura 2
Figura 3
Figura 4

2020     |     www.medigraphic.com

Mi perfil

C?MO CITAR (Vancouver)

Rev Odont Mex. 2021;25

ARTíCULOS SIMILARES

CARGANDO ...