medigraphic.com
ENGLISH

Revista Odontológica Mexicana Órgano Oficial de la Facultad de Odontología UNAM

ISSN 1870-199X (Impreso)
Órgano oficial de la Facultad de Odontología, UNAM
  • Mostrar índice
  • Números disponibles
  • Información
    • Información general        
    • Directorio
  • Publicar
    • Instrucciones para autores        
  • medigraphic.com
    • Inicio
    • Índice de revistas            
    • Registro / Acceso
  • Mi perfil

2021, Número 4

<< Anterior

Rev Odont Mex 2021; 25 (4)


Clasificación de enfermedades y condiciones periodontales y periimplantarias 2018. Segunda parte

Yáñez Ocampo, Beatriz Raquel1; Vargas Casillas, Ana Patricia2
Texto completo Cómo citar este artículo Artículos similares

Idioma: Español/Inglés [English version]
Referencias bibliográficas: 17
Paginas: 376-392
Archivo PDF: 538.47 Kb.


PALABRAS CLAVE

enfermedad sistémica, absceso periodontal, fenotipo, recesión gingival, implante dental, enfermedades periimplantarias.

RESUMEN

La clasificación de enfermedades periodontales del año 1999 estuvo vigente durante 18 años, por lo que en 2017 se realizó un taller mundial, donde expertos periodontales de todo el mundo, con el copatrocinio de la Academia Americana de Periodontología (AAP) y de la Federación Europea de Periodontología (EFP), se reunieron para actualizar y presentar una nueva clasificación conforme se ha ido expandiendo la evidencia basada en investigaciones científicas. Se dividieron en cuatro grupos de trabajo consistentes en: I salud periodontal, enfermedades y condiciones gingivales. II Formas de periodontitis. III manifestaciones periodontales de las enfermedades sistémicas y condiciones del desarrollo y adquiridas. IV Enfermedades y condiciones periimplantarias. En esta segunda parte se abordarán las principales definiciones y parámetros del grupo III (manifestaciones periodontales de las enfermedades sistémicas y condiciones del desarrollo y adquiridas), donde se incluye a las enfermedades sistémicas que ocasionan daño directo a los tejidos periodontales sanos, a los abscesos periodontales y las lesiones endodóncicas-periodontales, clasificándolos según si existe o no presencia de periodontitis. También se considera el cambio del término biotipo por fenotipo periodontal y una nueva clasificación de las recesiones gingivales, la cual evalúa su severidad a partir de la pérdida de la inserción interproximal. Asimismo, se revisa el grupo IV (enfermedades y condiciones periimplantarias) donde se describe la salud periimplantaria, la mucositis periimplantaria y la periimplantitis, y las deficiencias de tejidos blandos y duros.



INTRODUCCIóN

En 2017 la Academia Americana de Periodontología (AAP) y la Federación Europea de Periodontología (EFP) reunió a 120 expertos, 50 de cada asociación y 20 del resto del mundo, con el fin de actualizar y presentar una nueva clasificación apoyada en la sólida evidencia científica disponible en el campo de la periodontología y la implantología, aunque también se incluyeron las de un nivel menor y la opinión de los expertos, en caso de no existir datos suficientes de investigación.1

Los expertos participaron en alguno de los cuatro grupos de trabajo, siendo: I salud periodontal, enfermedades y condiciones gingivales. II Formas de periodontitis. III Manifestaciones periodontales de las enfermedades sistémicas y condiciones del desarrollo y adquiridas. IV Enfermedades y condiciones periimplantarias.1

En esta segunda parte se presentarán las definiciones, parámetros de las enfermedades sistémicas y subclasificaciones de las condiciones periodontales del grupo III, y las definiciones de salud y enfermedades periimplantarias, así como las deficiencias previas y posteriores a la colocación del implante (Tabla 1).



III. MANIFESTACIONES PERIODONTALES DE LAS ENFERMEDADES SISTéMICAS Y CONDICIONES DEL DESARROLLO Y ADQUIRIDAS

En este rubro de la nueva clasificación se presenta una actualización de: 1) las enfermedades sistémicas que afectan el aparato de inserción periodontal sano y 2) otras condiciones periodontales como son los abscesos en pacientes con y sin periodontitis, y las lesiones endodóncicas-periodontales con y sin daño radicular.

Entre las deformidades y condiciones mucogingivales alrededor de los dientes, se agrupan: el fenotipo periodontal, recesiones gingivales, falta de vestíbulo poco profundo, frenillos aberrantes, exceso gingival, color anormal y las condiciones de la superficie radicular expuesta.

Otras manifestaciones en los tejidos periodontales son las fuerzas oclusales traumáticas, representadas por el trauma oclusal primario, secundario y el ejercido por las fuerzas ortodóncicas; por último, se consideran los factores dentales y protésicos que predisponen a la enfermedad periodontal (Figura 1).

1. Enfermedades sistémicas que lesionan el aparato de inserción periodontal

Son un grupo de diversas enfermedades sistémicas que dañan los tejidos periodontales sin que esté presente alguna de las enfermedades periodontales.2

Incluyen enfermedades sistémicas que ocasionan defectos o provocan cambios metabólicos en la encía o en el tejido conectivo periodontal y enfermedades neoplásicas –como el carcinoma de células escamosas y tumores odontogénicos– o histiocitosis de células de Langerhans, entre otros; pueden aparentar las manifestaciones clínicas de la periodontitis (Tabla 2).2,3

2. Otras condiciones periodontales

Ciertas condiciones o lesiones pueden afectar el aparato de inserción periodontal pudiendo estar o no involucrados con la periodontitis. Dentro de estas condiciones se encuentran los abscesos periodontales y lesiones endodóncicas-periodontales. Son de importancia clínica por requerir de un tratamiento inmediato, ya que suelen producir dolor y al desarrollarse ocasionan rápida destrucción de los tejidos periodontales.4

  • a. Abscesos periodontales. Se define como la acumulación localizada de pus dentro de la pared gingival de la bolsa periodontal, con evidente ruptura periodontal, que se presenta durante un tiempo limitado y con síntomas clínicos fácilmente detectables.
  • Su clasificación se realizó en función de los factores etiológicos involucrados, debido a que puede presentarse en sitios con periodontitis o en sitios sanos.4

    • i. Absceso periodontal en pacientes con periodontitis: representa la exacerbación de la enfermedad en un determinado sitio, favorecido por la existencia de bolsas profundas tortuosas, presencia de lesión en la furcación o un defecto vertical. El cierre marginal de la bolsa puede ocasionar mayor movilidad y extensión de la infección a tejidos periodontales circunvecinos. Se ha observado que los cambios en la composición de la microbiota subgingival producen mayor virulencia bacteriana, y que la disminución en los mecanismos de defensa del huésped podrían dar como resultado una capacidad disminuida para drenar la supuración (Figura 2A y B).
    • El absceso periodontal puede presentarse como el evento agudo de una periodontitis no tratada o después del raspado y alisado radicular, debido a la administración de medicamentos antimicrobianos sin el tratamiento periodontal, o durante la fase de mantenimiento.
    • ii. Absceso periodontal en pacientes sin periodontitis: también puede presentarse en sitios previamente sanos, pudiéndose ocasionar por la impactación de cuerpos extraños, factores ortodóncicos, agrandamiento gingival, o alteraciones en la superficie radicular, tales como fracturas o resorción radicular externa.4
    • La Tabla 3 muestra la clasificación de los abscesos periodontales en función de los factores etiológicos involucrados.
  • b. Lesiones endodóncicas-periodontales. Son condiciones clínicas que involucran tanto la pulpa dental como los tejidos periodontales y pueden presentarse en formas agudas o crónicas.4

Los signos y síntomas más comunes asociados a un diente afectado por una lesión endoperiodontal son la presencia de una bolsa periodontal profunda que alcanza o está próxima al ápice con respuesta negativa o alterada a las pruebas de vitalidad; también puede presentarse resorción ósea en la región apical o en la furcación, dolor espontáneo o a la palpación y/o percusión, exudado purulento, movilidad del diente, presencia de un trayecto sinuoso y alteraciones en el color de la corona del diente.

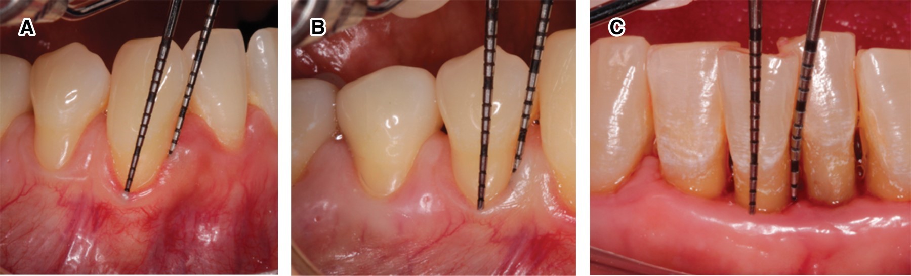
Para el diagnóstico de estas lesiones es importante conocer la historia del paciente en relación con la lesión, con el fin de identificar si se produjo algún trauma o lesión durante el tratamiento de conductos, o si hubo una lesión durante o después de la colocación de un poste intrarradicular. Si son identificados uno o más de estos eventos, se debe buscar en la examinación clínica y radiográfica la presencia de perforaciones (Figura 3A), fracturas radiculares (Figura 3B), fisuras o resorción radicular externa. En caso de no detectar perforaciones o fracturas debe procederse a la examinación en busca de una bolsa periodontal que esté próxima al ápice (Figura 3C).4

La clasificación de las lesiones endoperiodontales se basa en el estado de la condición en cuanto se detecta, pues tiene un impacto directo en el pronóstico y tratamiento. Por ello la nueva clasificación las divide en dos grandes grupos: lesión endoperiodontal con daño radicular y lesión endoperiodontal sin daño radicular (Tabla 4).4

3. Deformidades y condiciones mucogingivales alrededor de los dientes

Se consideran deformidades o condiciones mucogingivales a los defectos ocasionados por enfermedad periodontal o trauma que modificaron los tejidos blandos y/o hueso, desviando la relación anatómica normal entre el margen gingival y la línea mucogingival.5

  • a. Fenotipo periodontal. Surge de la relación de un genotipo con el ambiente y es una característica que puede ser: física, fisiológica, bioquímica o conductual. Esto significa que puede cambiar a través del tiempo, dependiendo de factores del medio ambiente y de intervenciones clínicas a las que esté sometido, pudiendo ser sitio-específico.3

El biotipo se define como la forma típica de animal o planta que puede considerarse modelo de su especie, variedad o raza y no puede ser modificado a través de la vida.6

Basada en las definiciones anteriores, la nueva clasificación adoptó el término fenotipo periodontal para describir lo que anteriormente se consideraba biotipo gingival, con el propósito de reconocer sus determinantes multifactoriales, incluyendo tanto factores genéticos como factores ambientales adquiridos, así como el resultado de la intervención terapéutica.3

El fenotipo periodontal se basa en las características anatómicas de los componentes del complejo masticatorio.7

  • • Fenotipo gingival (grosor gingival y ancho del tejido queratinizado).
  • • Morfotipo óseo (grosor de la cortical ósea bucal).
  • • Dimensión del diente.

Usando estos parámetros se han definido tres diferentes fenotipos periodontales.7


  • i. Fenotipo festoneado delgado en el que existe una mayor asociación con una corona triangular delgada, con una ligera convexidad cervical, contactos interproximales cerca del borde incisal, una zona estrecha de tejido queratinizado, encía fina, delgada, translúcida y un hueso alveolar relativamente delgado (Figura 4A).
  • ii. Fenotipo plano grueso que muestra una forma de corona más cuadrada, marcada convexidad cervical, gran contacto interproximal localizado apicalmente, una amplia zona de tejido queratinizado, encía gruesa fibrótica y un hueso alveolar comparativamente grueso (Figura 4B).
  • iii.Fenotipo festoneado grueso caracterizado por una encía gruesa fibrótica, con dientes delgados, una zona estrecha de tejido queratinizado con marcado festoneado gingival y un hueso alveolar comparativamente grueso (Figura 4C).

  • b. Recesión gingival o de tejido blando. Se define como la migración apical del margen gingival, causada por diferentes condiciones o patologías; está asociada a la pérdida de inserción sin presentar periodontitis; puede tener lugar en cualquiera de las superficies del diente (bucal, lingual, interproximal).3
  • El reporte del consenso sustituyó la clasificación propuesta por Miller8 de la recesión gingival por la de Cairo, quien toma como referencia el nivel de inserción interproximal.9

    • i. Recesión tipo 1 (RT1): recesión gingival sin pérdida de inserción interproximal. La unión cemento esmalte (UCE) interproximal no es detectable clínicamente en las caras distal y mesial del diente (Figura 5A).
    • ii. Recesión tipo 2 (RT2): recesión gingival asociada con pérdida de inserción interproximal. La cantidad de pérdida de inserción interproximal es menor o similar a la pérdida de inserción vestibular (Figura 5B).
    • iii. Recesión tipo 3 (RT3): recesión gingival asociada a pérdida de inserción interproximal. La cantidad de pérdida de inserción interproximal es mayor que la pérdida de inserción vestibular (Figura 5C).

  • c. Falta de encía, vestíbulo poco profundo. Son condiciones que no están asociadas al desarrollo de recesiones gingivales o de enfermedad periodontal. Pueden conservarse en estado de salud periodontal cuando el paciente realice medidas apropiadas de higiene oral y asista a un mantenimiento profesional.7
  • d. Frenillo aberrante. Clínicamente, los frenillos con inserción en papila interdentaria y en la papila palatina se consideran aberrantes y se asocian con la pérdida de la papila interdental, recesión gingival, diastema, dificultad para el cepillado dental y malposición dentaria.10
  • e. Exceso gingival. Se considera un exceso gingival a las pseudobolsas, margen gingival irregular, exposición gingival excesiva y agrandamiento gingival.7
  • f. Color anormal. Cuando se presenta en la encía puede ser ocasionado por melanosis del fumador o tatuaje por tallado del metal dentro de la cavidad bucal.
  • g. Condición de la superficie radicular expuesta. Además de determinar el tipo de recesión gingival observada en el paciente, se sugiere realizar una lista de factores que afectan el resultado terapéutico, como el grosor gingival, ancho de tejido queratinizado, presencia o ausencia de lesiones cervicales no cariosas (Figura 6A) y la presencia o ausencia de la unión cemento-esmalte o de escalón sobre la superficie radicular (Figura 6B).7

4. Fuerzas oclusales traumáticas

Son fuerzas que exceden la capacidad adaptativa del periodonto y/o de los dientes. La lesión producida por las fuerzas oclusales traumáticas se denomina trauma oclusal y es detectado clínicamente por el desgaste excesivo o fractura de los dientes.3

Aunque el trauma oclusal es un término histológico que se refiere a una lesión en el ligamento periodontal, cemento y hueso adyacente, puede realizarse su diagnóstico clínico con la presencia de uno o más de los siguientes signos: movilidad dentaria progresiva o adaptativa (fremitus), ensanchamiento del espacio del ligamento periodontal visto radiográficamente, migración dentaria, malestar o dolor durante la masticación y resorción radicular.3

El trauma oclusal se clasifica en:

  • a. Trauma oclusal primario. Es el daño que ocasiona cambios en los tejidos y es producido por fuerzas oclusales traumáticas aplicadas a un diente o dientes con soporte periodontal normal. Se manifiesta clínicamente con movilidad adaptativa y no es progresiva.3
  • b. Trauma oclusal secundario. Se define como una afectación de los tejidos producida por la aplicación de fuerzas oclusales normales o traumáticas sobre un diente o dientes con soporte reducido. Los dientes con movilidad progresiva pueden presentar migración y dolor durante su función.3
  • c. Fuerzas ortodóncicas. La evidencia en modelos animales sugiere que algunas fuerzas ortodóncicas pueden afectar adversamente el periodonto y ocasionar resorción radicular, alteraciones pulpares, recesiones gingivales y pérdida de hueso alveolar.9 Sin embargo, estudios observacionales señalan que con un buen control de la biopelícula dental se pueden lograr movimientos ortodóncicos en dientes con periodonto sano pero reducido, sin comprometer el soporte periodontal.11

5. Factores relacionados con el diente y prótesis dental que modifican o predisponen a las enfermedades gingivales inducidas por biopelícula dental y/o periodontitis

El estado periodontal puede verse afectado considerablemente por factores relacionados con los dientes y prótesis dentales. La extensión en la que estas condiciones contribuyen al proceso de la enfermedad puede depender de la susceptibilidad de cada paciente.3,12

  • a. Factores localizados relacionados con el diente. Se consideran factores anatómicos del diente a las proyecciones cervicales del esmalte, perlas del esmalte, fisuras del desarrollo, proximidad radicular, anormalidades y fracturas, así como las relaciones dentarias dentro de la arcada. Estos factores están relacionados con la inflamación inducida por biopelícula dental y pérdida de los tejidos de soporte periodontales.3
  • Erupción pasiva: es una condición del desarrollo que se caracteriza por presentar el margen gingival (y en algunas ocasiones la cresta ósea) a un nivel más coronal. Esta condición puede estar asociada clínicamente con la formación de pseudobolsas y/o afectaciones estéticas.3
  • b. Factores localizados relacionados con la prótesis dental.
  • Tejidos de adherencia e inserción supracrestal: el término grosor biológico se ha utilizado para describir la dimensión ápico-coronal del tejido blando supracrestal presente en el diente, histológicamente está compuesto por el epitelio de unión y la inserción del tejido conectivo supracrestal.

Este término fue sustituido en la nueva clasificación por el de tejidos de adherencia e inserción supracrestal con el fin de resaltar su naturaleza histológica.3

Los márgenes de las restauraciones que se colocan invadiendo los tejidos de adherencia e inserción supracrestal, se asocian con inflamación, migración apical del epitelio de unión y pérdida de inserción. Sin embargo, no se han realizado suficientes estudios para determinar si estas características clínicas son ocasionadas por la presencia de biopelícula dental o por el trauma ejercido durante la preparación del diente, en la fabricación, colocación, tipo de material o una combinación de estos factores.3

De acuerdo con la evidencia disponible, el control de placa realizado por el paciente y el cumplimiento del mantenimiento periodontal es de enorme importancia para mantener la salud del periodonto cuando se colocan márgenes subgingivales de restauraciones o de coronas que soportan una prótesis fija. Los márgenes subgingivales de las coronas protésicas pueden provocar cambios permanentes en el periodonto, tales como la recesión gingival. Sin embargo, la presencia de la recesión gingival parece estar asociada más bien al trauma ejercido sobre el periodonto durante la preparación protésica, por parte de los instrumentos y materiales empleados para colocar y registrar los márgenes en una posición subgingival, más que a la propia posición del margen.3

Reacciones adversas a los materiales dentales: los materiales dentales pueden estar asociados con reacciones de hipersensibilidad, clínicamente se pueden detectar como una inflamación localizada que no responde a las medidas adecuadas del control de placa. Cierta evidencia in vitro sugiere que determinados iones liberados por los materiales dentales pueden afectar la viabilidad y función celular.3



IV. ENFERMEDADES Y CONDICIONES PERIIMPLANTARIAS

Los tejidos periimplantarios son aquellos que se forman alrededor de un implante dental oseointegrado. Se dividen en: tejido blando o mucosa periimplantaria y tejido duro formado por el hueso en íntimo contacto con la superficie del implante (oseointegración). En la Figura 7 se muestran las enfermedades y condiciones alrededor de los implantes dentales.

1. Salud periimplantaria

Se caracteriza por la ausencia de: eritema, sangrado al sondeo, inflamación y supuración en la mucosa periimplantaria pudiendo presentar una leve pérdida ósea (que no exceda ≥ 2 mm) en el implante oseointegrado.13

Dado que las variaciones en la profundidad al sondeo pueden diferir, dependiendo de la altura del tejido blando con respecto a la ubicación del implante, no es posible definir un rango de profundidad al sondeo compatible con la salud (Figura 8A). Esto implica que la salud periimplantaria también puede existir alrededor de implantes con soporte óseo reducido.13

2. Mucositis periimplantaria

Se define como una lesión inflamatoria en los tejidos blandos que rodean al implante endóseo sin pérdida del soporte óseo. La principal causa es la acumulación de biopelícula bacteriana en la superficie de los implantes oseointegrados ocasionando una respuesta inflamatoria.14

La principal característica de la mucositis periimplantaria es la presencia de sangrado al sondeo; también pueden estar presentes eritema, inflamación y/o supuración. Puede haber aumento en la profundidad al sondeo ocasionado por la inflamación o por la disminución en la resistencia al sondeo (Figura 8B).15

La mucositis periimplantaria puede estar presente por largos periodos sin progresar a una periimplantitis. Sin embargo, deben tomarse en cuenta los sitios con mucositis periimplantaria como de mayor riesgo para el desarrollo de la periimplantitis.14

3. Periimplantitis

Es una condición patológica asociada a la biopelícula que se presenta en los tejidos que rodean a los implantes dentales, caracterizada por la inflamación de la mucosa periimplantaria con la subsecuente pérdida progresiva del hueso de soporte.13

Los sitios con periimplantitis muestran signos de inflamación, sangrado al sondeo y/o supuración, aumento en la profundidad al sondeo (en comparación con las mediciones obtenidas durante la colocación de la supraestructura), y/o recesión del margen de la mucosa periimplantaria. Esto es adicional a la pérdida ósea observada radiográficamente y comparada con examinaciones previas (Figura 8C y D).13

A falta de radiografías y mediciones iniciales de profundidad al sondeo, la evidencia radiográfica de nivel óseo igual o mayor a 3 mm y/o profundidades al sondeo iguales o mayores a 6 mm, junto con la presencia de un sangrado profuso, se consideran signos representativos de periimplantitis.13

Existe fuerte evidencia de mayor riesgo de periimplantitis en pacientes que han tenido historia de periodontitis, deficiente control de placa y falta de mantenimiento regular después de la terapia de implantes.16

4. Deficiencias de los tejidos duro y blando periimplantarios

Las deficiencias en los sitios con implantes pueden ser el resultado de una diversidad de factores previos o posteriores a la colocación del implante dental. Éstas pueden ocasionar complicaciones o comprometer la sobrevivencia del implante (Tabla 5).17

Entre los factores locales que pueden ocasionar estas deficiencias se incluye la pérdida del soporte óseo provocado por: periodontitis, infecciones periapicales, fracturas radiculares, resorción en corticales óseas delgadas o trauma durante la extracción del diente; además de la neumatización del seno maxilar y enfermedades y condiciones sistémicas, así como la ingesta de medicamentos que ocasionan la disminución de la formación ósea natural. En la mayoría de los casos estas deficiencias se presentan por la combinación de varios de los factores anteriores.17

Las deficiencias del tejido blando incluyen a la recesión o dehiscencia de la mucosa periimplantaria, la falta de mucosa queratinizada y la altura de la papila.17



CONCLUSIONES

El taller realizado por la Academia Americana de Periodontología (AAP) y la Federación Europea de Periodontología (EFP) emprendió una exhaustiva revisión de la literatura para categorizar las enfermedades y condiciones periodontales y periimplantarias, así como la salud periodontal y periimplantaria.

La nueva clasificación presentada define a la salud periodontal y periimplantaria, así como a las enfermedades, principalmente, a partir de las características clínicas de presencia o ausencia de sitios con sangrado al sondeo y signos clínicos de inflamación o destrucción de los tejidos.

En el primer artículo se presentó la categorización de la salud periodontal en diferentes situaciones y la gingivitis inducida por la biopelícula dental, esta última subclasificada según su grado de severidad y extensión, con el fin de proporcionar al clínico y al investigador un parámetro confiable para diferenciar la salud de la gingivitis inducida por biopelícula. También se presentó la caracterización de la periodontitis por estadios y grados, así como las numerosas enfermedades y condiciones sistémicas que inician o agravan a la periodontitis. Todo ello tiene un impacto importante en el pronóstico, plan de tratamiento y mantenimiento periodontal del paciente.

Esta segunda parte abarcó las condiciones periodontales, la nueva manera de clasificar a los abscesos periodontales y lesiones endoperiodontales de acuerdo con su etiología, y si está presente o no la periodontitis, esto con el fin de establecer criterios para realizar diagnósticos precisos y tratamientos oportunos. La nueva clasificación cambia los términos de biotipo gingival por fenotipo periodontal y grosor biológico por tejidos de adherencia e inserción supracrestales, para adecuarlos a una terminología correcta. También considera la condición de la superficie de las recesiones gingivales, para obtener una mayor predictibilidad en su tratamiento. La inclusión en esta clasificación de la salud, enfermedades, condiciones y deficiencias periimplantarias los hace parte de la periodontología y no una rama distinta de la odontología.

Es importante que el dentista y el periodoncista comiencen a utilizar la nueva clasificación en la práctica diaria, ya que facilita la intervención oportuna del tratamiento periodontal, lo que puede impactar positivamente en la mejoría de la salud y el bienestar del paciente.

El nuevo sistema también busca implementar estas definiciones dentro de los criterios de inclusión de las futuras investigaciones periodontales y periimplantarias.

Para una mayor profundización en torno a la nueva clasificación, dirigimos al lector a los artículos que han sido publicados por la Academia Americana de Periodontología y la Federación Europea de Periodontología.



AGRADECIMIENTOS

Agradecemos las imágenes aportadas por los estudiantes de periodoncia e implantología de la División de Estudios de Posgrado e Investigación de la Facultad de Odontología de la Universidad Nacional Autónoma de México, México.


REFERENCIAS (EN ESTE ARTÍCULO)

  1. Caton J, Armitage G, Berglundh T et al. A new classification scheme for periodontal and periimplant diseases and conditions – Introduction and key changes from the 1999 classification. J Clin Periodontol. 2018; 45 (Suppl 20): S1-S8.

  2. Albandar JM, Susin C, Hughes FJ. Manifestations of systemic diseases and conditions that affect the periodontal attachment apparatus: case definitions and diagnostic considerations. J Clin Periodontol. 2018; 45 (Suppl 20): S171-S189.

  3. Jepsen S, Caton JG, Albandar JM et al. Periodontal manifestations of systemic diseases and developmental and acquired conditions: Consensus report of workgroup 3 of the 2017 World Workshop on the Classification of Periodontal and Peri-Implant Diseases and Conditions. J Clin Periodontol. 2018; 45 (Suppl 20): S219-S229.

  4. Herrera D, Retamal-Valdes B, Alonso B, Feres M. Acute periodontal lesions (periodontal abscesses and necrotizing periodontal diseases) and endo-periodontal lesions. J Clin Periodontol. 2018; 45 (Suppl 20): S78-S94.

  5. Parameter on mucogingival conditions. American Academy of Periodontology. J Periodontol. 2000; 71 (5 Suppl): 861-862.

  6. Real Academia Española. Diccionario de la lengua española. 2019. [Consultado el 14 de marzo de 2020] Disponible en: https://dle.rae.es/

  7. Cortellini P, Bissada NF. Mucogingival conditions in the natural dentition: Narrative review, case definitions, and diagnostic considerations. J Clin Periodontol. 2018; 45 (Suppl 20): S190-S198.

  8. Miller PD. A classification of marginal tissue recession. Int J Periodont Rest Dent. 1985; 5 (2): 8-13.

  9. Cairo F, Nieri M, Cincinelli S, Mervelt J, Pagliaro U. The interproximal clinical attachment level to classify gingival recessions and predict root coverage outcomes: explorative and reliability study. J Clin Periodontol. 2011; 38: 661-666.

  10. Newman MG, Takei HH, Klokkevold PR, Carranza FA, editors. Newman and Carranza's clinical periodontology. Cap. 65. 13th ed. Philadelphia: Elsevier; 2019. pp. 660-663.

  11. Boyd RL, Leggott PJ, Quinn RS, Eakle WS, Chambers D. Periodontal implications of orthodontic treatment in adults with reduced or normal periodontal tissues versus those of adolescents. Am J Orthod Dentofacial Orthop. 1989; 96: 191-198.

  12. Ercoli C, Caton JG. Dental prostheses and tooth-related factors. J Clin Periodontol. 2018; 45 (Suppl 20): S207-S218.

  13. Berglundh T, Armitage G, Araujo MG et al. Peri-implant diseases and conditions: Consensus report of workgroup 4 of the 2017 World Workshop on the Classification of Periodontal and Peri-Implant Diseases and Conditions. J Clin Periodontol. 2018; 45 (Suppl 20): S286-S291.

  14. Heitz-Mayfield LJA, Salvi GE. Peri-implant mucositis. J Clin Periodontol. 2018; 45 (Suppl 20): S237-S245.

  15. Renvert S, Persson GR, Pirih FQ, Camargo PM. Peri-implant health, peri-implant mucositis, and peri-implantitis: Case definitions and diagnostic considerations. J Clin Periodontol. 2018; 45 (Suppl 20): S278-S285.

  16. Schwarz F, Derks J, Monje A, Wang HL. Peri-implantitis. J Clin Periodontol. 2018; 45 (Suppl 20): S246-S266.

  17. Hämmerle CHF, Tarnow D. The etiology of hard- and soft-tissue deficiencies at dental implants: A narrative review. J Clin Periodontol. 2018; 45 (Suppl 20): S267-S277.



AFILIACIONES

1 Cirujano Dentista. Doctorado en Ciencias de la Educación. Profesora en la Especialidad de Periodoncia e Implantología y Coordinadora del área de Periodontología. División de Estudios de Posgrado e Investigación de la Facultad de Odontología de la Universidad Nacional Autónoma de México. México.

2 Cirujano Dentista. Maestría en Periodoncia. Profesora y Coordinadora de la Especialidad de Periodoncia e Implantología. División de Estudios de Posgrado e Investigación de la Facultad de Odontología de la Universidad Nacional Autónoma de México. México.



CORRESPONDENCIA

Beatriz Raquel Yáñez Ocampo. E-mail: raquel.yaez@gmail.com




Recibido: Marzo 2020. Aceptado: Junio 2020.

Figura 1
Figura 2
Figura 3
Figura 4
Figura 5
Figura 6
Figura 7
Figura 8
Tabla 1
Tabla 2
Tabla 3
Tabla 4
Tabla 5

2020     |     www.medigraphic.com

Mi perfil

C?MO CITAR (Vancouver)

Rev Odont Mex. 2021;25

ARTíCULOS SIMILARES

CARGANDO ...