medigraphic.com
ENGLISH

Latin American Journal of Oral and Maxillofacial Surgery

ISSN 2992-7757 (Digital)
Órgano de difusión de la Asociación Latinoamericana de Cirugía y Traumatología Bucomaxilofacial (ALACIBU)
  • Mostrar índice
  • Números disponibles
  • Información
    • Información general        
    • Directorio
  • Publicar
    • Instrucciones para autores        
  • medigraphic.com
    • Inicio
    • Índice de revistas            
    • Registro / Acceso
  • Mi perfil

2022, Número 3

<< Anterior Siguiente >>

Lat Am J Oral Maxillofac Surg 2022; 2 (3)


Algoritmo para el éxito en la elección del material de reconstrucción de las fracturas de la pared medial asociadas al suelo orbitario en la reconstrucción de la zona clave. Una serie de casos

Guerra, Raphael Capelli1; Borim Pulino, Bianca de Fátima2; Pereira, Rodrigo3; Nastri de Luca, Daniel4; Garcia Júnior, Idelmo Rangel5; Hochuli Vieira, Eduardo6; Hammer, Beat7
Texto completo Cómo citar este artículo 10.35366/108188

DOI

DOI: 10.35366/108188
URL: https://dx.doi.org/10.35366/108188
Artículos similares

Idioma: Español
Referencias bibliográficas: 9
Paginas: 113-118
Archivo PDF: 352.20 Kb.


PALABRAS CLAVE

Fracturas orbitales, implante de malla de titanio, fractura del suelo orbital.

RESUMEN

Las fracturas orbitarias son lesiones faciales comunes que suelen producirse en pacientes diagnosticados de fracturas cigomático-orbitarias y que pueden clasificarse como fracturas puras por estallido o formar parte de lesiones panfaciales. Las fracturas de la pared orbitaria se producen por dos mecanismos principales: por impacto en los tejidos blandos y por impacto en las estructuras sólidas de la pared orbitaria. Las fracturas de la pared medial de la órbita suelen afectar a la lámina papirácea del hueso etmoides, que es el componente más grande y delgado, y el responsable de la parte más vulnerable de la pared medial de la órbita. Por lo tanto, estas fracturas se ven afectadas por una combinación del aumento de la presión intraorbitaria y la fuerza disipada del reborde orbitario medial. Para el tratamiento de las grandes fracturas orbitarias es necesario un abordaje coronal junto con incisiones locales, y es incuestionable el uso de estos abordajes quirúrgicos para exponer las líneas de fractura y definir posteriormente la secuencia de reconstrucción. La razón por la que la malla de titanio ha proporcionado mejores resultados en las reconstrucciones se debe a la facilidad con la que la malla puede moldearse para adaptarse a los intrincados contornos de la órbita interna. Este trabajo tiene como objetivo describir una serie de tres casos clínicos de reconstrucción de la órbita, principalmente fracturas del techo y de la pared medial de la órbita reconstruidas con malla de titanio y abordar las posibles complicaciones en este tipo de tratamiento.



INTRODUCCIóN

Las fracturas orbitarias son lesiones faciales comunes que suelen producirse en pacientes diagnosticados de fracturas zigomático-orbitarias, pueden clasificarse como fracturas puras por estallido o formar parte de lesiones panfaciales. Si el tamaño del defecto orbitario se considera funcionalmente relevante y se indica la reconstrucción, los mejores resultados funcionales y estéticos pueden obtenerse con una reconstrucción temprana.1

Las fracturas orbitarias mediales representan alrededor de 4% de todas las fracturas orbitarias resultantes de traumatismos de alta energía. Las fracturas de la pared medial pueden producirse solas o en combinación con fracturas más complejas de la estructura esquelética.2

La reconstrucción de los defectos orbitarios suele ir precedida de un reposicionamiento y una fijación rígida del reborde orbitario y del complejo cigomático para obtener un marco facial externo adecuado.

Los defectos de la parte anterior del suelo orbitario influyen en la posición del globo ocular, mientras que los defectos de la pared posteromedial pueden conducir a una posición más baja del contenido orbitario, lo que provoca un enoftalmos.3

Las indicaciones de la cirugía en las fracturas de la pared medial de la órbita son controvertidas, para la mayoría la falta de motilidad ocular es una consideración importante. La motilidad limitada es el atrapamiento de los músculos extraoculares en un hueco de fractura en la pared orbital. Por lo tanto, las indicaciones fuertes para la reconstrucción orbitaria incluyen los trastornos significativos de la motilidad ocular, la diplopía y el enoftalmos, siendo este último un signo de un defecto importante.4

Este trabajo tiene como objetivo describir una serie de tres casos clínicos de reconstrucción de órbita, principalmente fracturas del techo y de la pared medial de la órbita reconstruidas con malla de titanio, y abordar las posibles complicaciones en este tipo de tratamiento.



CASOS CLíNICOS



CASO UNO

Paciente varón de 28 años que sufrió una caída de aproximadamente tres metros debido a una descarga eléctrica. Fue atendido por el servicio de Cirugía Oral y Maxilofacial y Traumatología del Hospital Santa Casa de Araraquara servicio de urgencias de primera atención/São Paulo. El examen físico extraoral mostró hueso frontal con escalón óseo en el techo de la órbita en el lado izquierdo, pupilas isocóricas y fotorreactivas, movimientos oculares libres, ausencia de diplopía monocular y binocular, y proyección alterada del cigomático derecho.

Una tomografía computarizada de la cara mostró una fractura de tipo Le Fort I del suelo, de la pared medial y del techo orbitario bilateral, fractura del cigomático derecho y de la pared anterior del hueso frontal.

Bajo anestesia general, el paciente fue intervenido cinco días después del traumatismo para la reducción y fijación de las fracturas realizando un acceso bicoronal (Figura 1), infraciliar bilateral, sutura frontozigomática del lado izquierdo y acceso intraoral de Caldwell-Luc en fondo del saco superior del lado derecho. Las fracturas orbitarias bilaterales se reconstruyeron con malla de titanio en el suelo, la pared medial y el techo orbitario; todas las fracturas se fijaron con placas y tornillos del sistema de 1.5 mm; se realizó una prueba de ducción forzada con pinzas Adson y la movilidad del globo terráqueo fue satisfactoria (Figura 2).

En la tomografía computarizada postoperatoria de la cara se puede observar la reconstrucción de las fracturas del seno frontal, del techo, de la pared medial y del suelo orbitario y sus respectivas fijaciones (Figuras 3 y 4).

Paciente en seguimiento ambulatorio durante tres años sin quejas, se mantuvo clínicamente sin evidencia de infección ni complicación grave como diplopía y enoftalmia, buena proyección del cigomático derecho, sin cambios oculares ni intercurrencias durante este periodo postoperatorio (Figura 4).



CASO DOS

Paciente femenino de 35 años, víctima de un traumatismo de alta energía (patada de caballo), atendida por el equipo de Cirugía Oral y Maxilofacial y Traumatología de UNIMED Birugui. Presentaba un traumatismo en la región orbitaria derecha, que evolucionaba con signos clínicos de enoftalmia, distopía, hiposfagia y oftalmoplejía en lateralidad y supraversión, asociados a pérdida de agudeza visual.

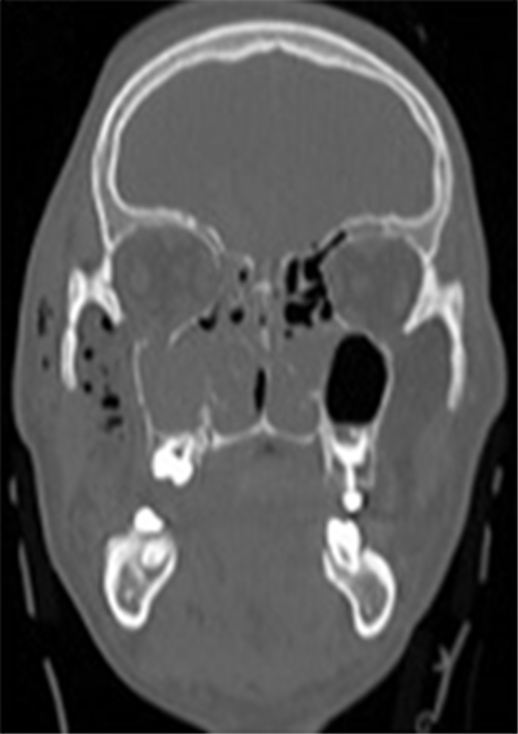
La tomografía computarizada coronal de la cara muestra una extensa destrucción de la pared orbital medial (Figura 5) y la reconstrucción con malla de titanio para corregir el extenso defecto (Figura 6).

Bajo anestesia general, se realizó un acceso bicoronal e infraciliar para la extracción de tejidos blandos y la reducción de la fractura de la pared medial así como la reconstrucción con malla orbital premoldeada, devolviendo el marco y el volumen orbitario. Una tomografía de la cara en el postoperatorio inmediato mostró la reconstrucción de la órbita con malla y tornillo del sistema de fijación de 1.5 mm (Figuras 7 y 8). A continuación, se realizó una prueba de ducción forzada con fórceps Adson y se comprobó la movilidad pasiva del globo. Seguimiento de 60 días en el postoperatorio, sin presentar restricciones de movimiento ocular, distopía y diplopía, con retorno de la agudeza visual, y edema discreto en región periorbitaria.



CASO TRES

Paciente masculino, 30 años, víctima de accidente de motocicleta, sin protección, con colisión frontal con otra motocicleta, recibió atención del equipo de Cirugía Oral y Maxilofacial y Traumatología del Hospital da Posse en la ciudad de Nova Iguaçu, Río de Janeiro. Presentaba un traumatismo en la región orbitaria derecha, que evolucionaba con signos clínicos de enoftalmos, distopía y oftalmoplejía en mesial y supraversión.

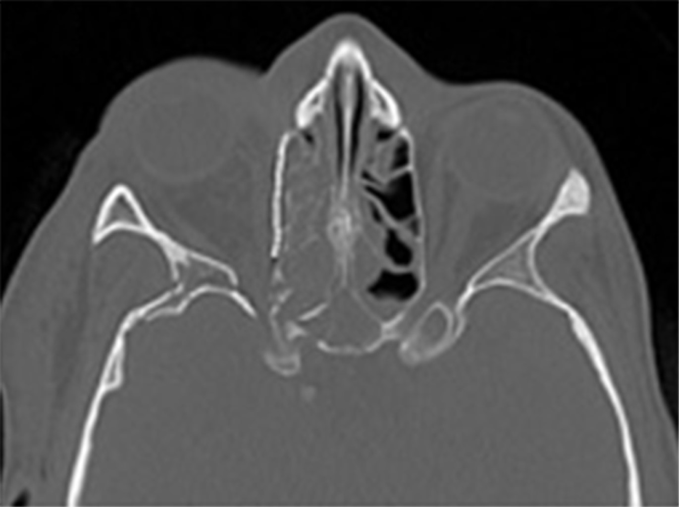
La tomografía de la cara muestra afectación de la pared orbital medial que a su vez afecta al suelo orbital y a la región de la zona clave (Figura 9).

Se realiza abordaje bicoronal y subtarsal para la resolución del atrapamiento de tejidos blandos, de la musculatura del recto inferior y medial así como la reducción de la fractura. Se utiliza para la reconstrucción una malla orbital para el correcto reposicionamiento y reconstrucción de la zona clave, así como del contenido orbital. La tomografía computarizada del postoperatorio inmediato mostró la reconstrucción de la órbita mediante malla y sistema de fijación con tornillos de 1.5 mm; se observa el correcto contorno de la órbita, el retorno de su contenido y forma así como la importancia de la adaptación posteromedial y la correcta reducción y reconstrucción de la zona clave para el éxito y resolución del caso (Figuras 10, 11 y 12). Seguimiento de 60 días postoperatorios sin presentar restricciones de movimiento ocular, distopía y diplopía, retorno de la agudeza visual y edema leve en región periorbitaria.



DISCUSIóN

Debido a la compleja estructura tridimensional de la órbita interna se realizó una descripción clínicamente relevante de las fracturas orbitarias, incluyendo diferentes tamaños de defectos; se utilizó un modelo bidimensional con el fin de visualizar la tercera dimensión que falta y de mostrar las áreas relevantes para el volumen. En la Tabla 1 se muestra una descripción detallada de la clasificación realizada por Jaquiéry y colegas de los defectos orbitales.2

Según Shere y colaboradores 80% de las fracturas de la pared orbital evaluadas se clasificaron en la categoría II (n = 34) o III (n = 34). Este tipo de fracturas, que implican el suelo orbitario y la pared medial, son causadas principalmente por traumatismos indirectos y romos de gran energía y se observan con mucha frecuencia.5 La incidencia de las fracturas orbitarias complejas y conminutas representadas por las categorías IV (n = 4) y V (n = 7) ha disminuido drásticamente gracias al despliegue de las bolsas de aire en los accidentes automovilísticos.6

La incisión coronal facilita el acceso a la mitad superior de toda la órbita y puede ser necesaria incluso en un defecto de tamaño medio de la pared medial (categoría II), a condición de que el defecto esté situado en la parte superior y dorsal de la pared medial.

La reconstrucción con placas y tornillos de titanio se considera un método de tratamiento fiable que da buenos resultados en la reconstrucción de fracturas. La malla de titanio parece ser un material valioso para la reconstrucción de la pared orbital, especialmente en la zona del suelo orbital y la pared medial.7

En su estudio sobre la reconstrucción de la pared orbitaria interna, Ellis y Tan compararon el hueso de la tapa craneal con la malla de titanio en 38 pacientes. Llegaron a la conclusión de que tanto la malla de titanio como el hueso del casquete craneal pueden utilizarse con éxito para la reconstrucción de fracturas aisladas de la pared orbital, pero con una diferencia significativa en el área de la sección transversal de la región anterior de la órbita, probablemente debido a la fragilidad del hueso del casquete, que no puede obviarse para adaptar la compleja estructura de la órbita interna. La razón por la que la malla de titanio proporcionó mejores resultados en las reconstrucciones se debe a la facilidad con la que la malla puede moldearse para adaptarse a los intrincados contornos de la órbita interna. El hueso es muy frágil y no se puede contornear con facilidad para conseguir un ajuste más preciso.8

Recientemente, la literatura ha revelado que la fractura de la pared orbitaria medial es una causa importante del enoftalmos postraumático en las fracturas orbitarias puras, ya que tiene alta incidencia, baja tasa de diagnóstico y alta gravedad de los defectos óseos y del desplazamiento de los tejidos blandos.9

El material ideal para la reconstrucción de las paredes orbitales es el que tenga propiedades periorbitales que llevan a la separación de los aspectos mecánicos de la grasa orbital y la estructura de soporte de carbono. Hay muchos materiales disponibles para la reconstrucción, y en opinión de los autores los materiales inertes más suaves como las mallas de titanio son adecuados para la reparación de las fracturas de las paredes orbitarias y con resultados muy satisfactorios.



CONCLUSIóN

Los resultados de nuestra experiencia y la evaluación de los informes disponibles en la literatura concluyen que la malla de titanio puede proporcionar reconstrucciones más precisas que los injertos óseos. El resultado final del tratamiento depende de cómo respondan los tejidos blandos periorbitales a la cirugía y a los materiales de reconstrucción, en los que el algoritmo para el éxito está directamente ligado a la reconstrucción de la zona clave y al retorno del contenido correcto y del marco orbitario.


REFERENCIAS (EN ESTE ARTÍCULO)

  1. Gruss JS, Bubak PJ, Egbert MA. Craniofacial fractures. An algorithm to optimize results. Clin Plast Surg. 1992; 19 (1): 195-206.

  2. Jaquiéry C, Aeppli C, Cornelius P, Palmowsky A, Kunz C, Hammer B. Reconstruction of orbital wall defects: critical review of 72 patients. Int J Oral Maxillofac Surg. 2007; 36 (3): 193-199.

  3. Pereira Rdos S, Jorge-Boos FB, Hochuli-Vieira E, da Rocha HV, Homsi N, de Melo WM. Management of pure medial orbital wall fracture with autogenous bone graft. J Craniofac Surg. 2013; 24 (5): e475-477.

  4. Kontio R. Treatment of orbital fractures: the case for reconstruction with autogenous bone. J Oral and Maxillofac Surg. 2004; 62 (7): 863-868.

  5. Shere JL, Boole JR, Holtel MR, Amoroso PJ. An analysis of 3599 midfacial and 1141 orbital blowout fractures among 4426 United States Army Soldiers, 1980-2000. Otolaryngol Head Neck Surg. 2004; 130 (2): 164-170.

  6. Duma SM, Jernigan MV. The effects of airbags on orbital fracture patterns in frontal automobile crashes. Ophthalmic Plast Reconstr Surg. 2003; 19 (2): 107-111.

  7. Kersey TL, Ng SG, Rosser P, Sloan B, Hart R. Orbital adherence with titanium mesh floor implants: a review of 10 cases. Orbit. 2013; 32 (1): 8-11.

  8. Ellis E, Tan Y. Assessment of internal orbital reconstructions for pure blowout fractures: cranial bone grafts versus titanium mesh. J Oral and Maxillofac Surg. 2003; 61 (4): 442-453.

  9. Lee WT, Kim HK, Chung SM. Relationship between small-size medial orbital wall fracture and late enophthalmos. J Craniofac Surg. 2009; 20 (1): 75-80.



AFILIACIONES

1 DDS, MSc, PhD - Cirugía Oral y Maxilofacial. Departamento de Cirugía Oral y Maxilofacial, Facultad de Odontología, São Bernardo do Campo, Universidad Metodista de São Paulo, Brasil; Departamento de Cirugía Oral y Maxilofacial, Hospital Leforte/Hospital e Maternidade "Dr. Christovão da Gama"; Departamento de Diagnóstico y Cirugía, Facultad de Odontología, Araraquara, Universidad del Estado de São Paulo - Unesp, Brasil.

2 DDS, MSc, Estudiante de Doctorado - Cirugía Oral y Maxilofacial. Departamento de Cirugía Oral y Maxilofacial, Hospital Leforte Hospital e Maternidade Christóvão da Gama, del Grupo Leforte, Santo André, Brasil; Departamento de Diagnóstico y Cirugía, Facultad de Odontología, Araçatuba, Universidad del Estado de São Paulo - Unesp, Brasil.

3 DDS, MSc, PhD - Cirugía Oral y Maxilofacial. Hospital da Posse, Nova Iguaçu; Universidad Grande Río (Unigranrio Caxias), RJ. Brasil.

4 DDS Instituto NUPEN - Centro de Investigación y Enseñanza de Fototerapia en Ciencias de la Salud - São Carlos, SP, Brasil.

5 DDS, MSc, PhD, Professor - Cirugía Oral y Maxilofacial. Facultad de Odontología, Araçatuba, Universidade Estadual Paulista "Júlio de Mesquita Filho", Brasil.

6 DDS, MSc, PhD, Profesor - Cirugía Oral y Maxilofacial. Departamento de Cirugía Oral y Maxilofacial, Hospital e Maternidade Christóvão da Gama, del Grupo Leforte, Santo André, Brasil. Department of Diagnosis and Surgery, School of Dentistry, Araraquara, São Paulo State University - Unesp. Brazil.

7 Hirslanden Medical Center, Aarau, Suiza.



CORRESPONDENCIA

Raphael Capelli Guerra. E-mail: dr.raphael.guerra@gmail.com




Recibido: 15/11/2021. Aceptado: 05/12/2021

Figura 1
Figura 2
Figura 3
Figura 4
Figura 5
Figura 6
Figura 7
Figura 8
Figura 9
Figura 10
Figura 11
Figura 12
Tabla 1

2020     |     www.medigraphic.com

Mi perfil

C?MO CITAR (Vancouver)

Lat Am J Oral Maxillofac Surg. 2022;2

ARTíCULOS SIMILARES

CARGANDO ...