medigraphic.com
ENGLISH

Anales Médicos de la Asociación Médica del Centro Médico ABC

ISSN 0185-3252 (Impreso)
Revista de la Asociación Médica del Centro Médico ABC
  • Mostrar índice
  • Números disponibles
  • Información
    • Información general        
    • Directorio
  • Publicar
    • Instrucciones para autores        
  • medigraphic.com
    • Inicio
    • Índice de revistas            
    • Registro / Acceso
  • Mi perfil

2022, Número 4

<< Anterior Siguiente >>

An Med Asoc Med Hosp ABC 2022; 67 (4)


Endocarditis infecciosa por Staphylococcus lentus

Crespo-Ortega, Laura1; Bonilla-Hernández, Rebeca1; Pedraza, Axel1,2; Lisker, Arturo1,3
Texto completo Cómo citar este artículo 10.35366/108784

DOI

DOI: 10.35366/108784
URL: https://dx.doi.org/10.35366/108784
Artículos similares

Idioma: Español
Referencias bibliográficas: 12
Paginas: 304-308
Archivo PDF: 261.45 Kb.


PALABRAS CLAVE

endocarditis infecciosa, Staphylococcus lentus, endocarditis subaguda.

RESUMEN

A pesar de ser una entidad infrecuente, la endocarditis infecciosa es una causa de alta morbimortalidad en el ámbito mundial, por lo que su diagnóstico y tratamiento oportuno son imprescindibles. Los agentes causales más frecuentes son los cocos Gram positivos (Staphylococcus aureus en 80% de los casos) y, en ocasiones infrecuentes, bacilos Gram negativos y hongos. El Staphylococcus lentus, a pesar de ser un coco Gram positivo, es una bacteria que de forma excepcional genera infecciones en humanos; dentro de los factores de riesgo más importantes para la infección con este microorganismo está la exposición a animales de corral y granja. Existen pocos casos reportados en la literatura médica de infección por S. lentus en humanos, y en todos existe el antecedente de zoonosis. A continuación se describe el caso de un hombre de 81 años de edad, sin los factores de riesgo epidemiológicos, quien se presenta con endocarditis infecciosa subaguda por Staphylococcus lentus MecA(+) ameritando manejo con antibiótico y quirúrgico.



ABREVIATURAS:

  • Hb = Hemoglobina.
  • VCM = Volumen corpuscular medio.
  • HCM = Concentración de hemoglobina corpuscular media.
  • Hto = Hematocrito.
  • Plaq = Plaquetas.
  • Leu = Leucocitos.
  • Neu = Neutrófilos absolutos.
  • Linf = Linfocitos absolutos.
  • mono = Monocitos absolutos.
  • BUN = Nitrógeno ureico.
  • TSH = Hormona estimulante de tiroides.
  • PCR = Proteína C reactiva.
  • PCT = Procalcitonina.
  • VSG = Velocidad de sedimentación globular.
  • LDH = Lactato deshidrogenasa.
  • CK = Creatinfosfoquinasa.



INTRODUCCIóN

La endocarditis infecciosa es una entidad infrecuente, a pesar de una alta morbimortalidad, que consta de la infección de la superficie endocárdica del corazón, lesión endotelial y la formación de vegetaciones, 80% de los casos son causados por cocos Gram positivos, entre los cuales destacan Staphylococcus aureus, el más frecuente en el mundo, representando 35-40% de los casos, seguido por estreptococos del grupo viridans (17%), S. gallolyticus (15%) y enterococos (10%).1 En Sudamérica existe una mayor cantidad de casos relacionados a S. viridans a comparación con Europa y Estados Unidos, la cual está ligada a la alta prevalencia de cardiopatía reumática.2 Microorganismos más raros, incluyendo hongos, bacilos Gram negativos y los microorganismos del grupo HACEK (Haemophilus spp., Aggregatibacter spp, Cardiobacterium spp., Eikenella corrodens y Kingella spp) son identificados en menos de 5% de casos.1 Sin embargo, a pesar de ser menos frecuentes, estos microorganismos implican una mayor morbimortalidad, por lo que el manejo empírico de una endocarditis debe incluir cobertura contra tanto cocos Gram positivos como Gram negativos aeróbicos con ceftriaxona y vancomicina intravenosas. Al obtener el aislamiento definitivo se debe ajustar el manejo antibiótico con base en los resultados del antibiograma. Como parte del tratamiento existen tres indicaciones claramente estudiadas y delineadas en la literatura médica para manejo quirúrgico de endocarditis: 1) insuficiencia cardiaca secundaria a disfunción valvular; 2) falta de control de foco infeccioso ante la presencia de abscesos paravalvulares, bacteriemia persistente, aislamiento de patógenos resistentes o infecciones fúngicas; y 3) prevención de embolización sistémica particularmente en casos de vegetaciones > 10 mm en válvulas de corazón izquierdo asociadas a ≥ 1 evento embólico.3

A continuación presentamos el caso de un paciente con endocarditis infecciosa de válvula nativa ameritando tratamiento médico y quirúrgico, el cual fue causado por Staphylococcus lentus, un aislamiento excepcionalmente raro y con pocos casos reportados en la literatura médica.



PRESENTACIóN DEL CASO

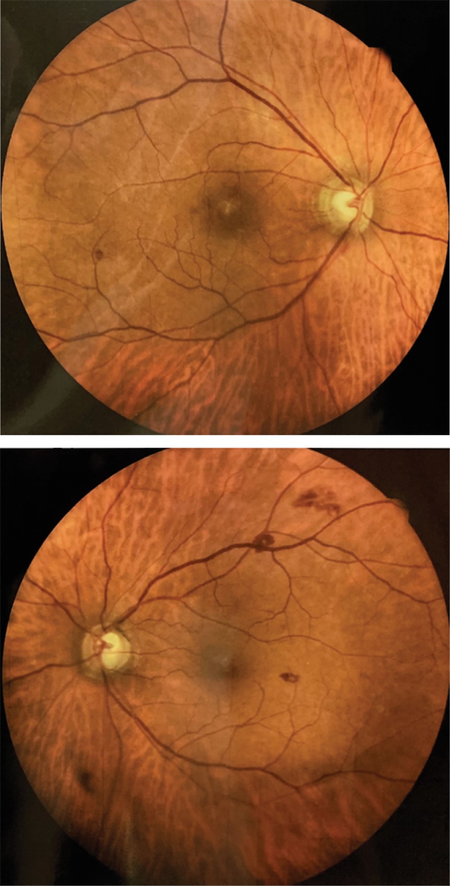
Nuestro paciente es un hombre de 81 años, que ingresó al piso de medicina interna por presentar deterioro funcional caracterizado por incapacidad para deambular, anorexia, astenia, adinamia, abulia y disminución de la agudeza visual de una semana de evolución. Dado que el paciente se conocía con cataratas, acudió a consulta con su oftalmólogo, quien lo refirió a nuestra institución por encontrar manchas de Roth en la retina (Figura 1). Junto con los síntomas mencionados, el paciente refirió disminución de 18 kg de forma no intencionada en un mes, tos seca no disneizante, dolor abdominal tipo cólico en hipocondrio izquierdo y evacuaciones pastosas malolientes de color negro-verdoso.

En cuanto a sus antecedentes, el paciente refirió tabaquismo suspendido hace 25 años (con un índice tabáquico de 15) y una plastia inguinal bilateral con colocación de malla en 2018. Negó enfermedades crónicas degenerativas, otras cirugías u hospitalizaciones previas. Asimismo, negó viajes recientes o cualquier tipo de contacto con animales.

A la exploración física lo encontramos emaciado, caquéctico, con madarosis supraciliar bilateral y signos vitales dentro de parámetros normales. Neurológicamente estaba desorientado en tiempo, con abulia, bradipsiquia, bradilalia y datos de liberación piramidal (Hoffman y Trommner positivos de predominio derecho). El resto de la exploración física se encontró normal, no se auscultaron soplos y no presentaba ningún fenómeno inmunológico ni trombótico en extremidades.

En sus laboratorios de ingreso únicamente destacaba anemia normocítica normocrómica de patrón tanto ferropénico como inflamatorio (hemoglobina en 10 mg/dL, hierro en 14 μg/dL, ferritina 669 ng/mL) y elevación significativa de marcadores de inflamación (velocidad de sedimentación globular en 64 mm/h, proteína C reactiva en 4 mg/dL). A parte de esto, se solicitaron VDRL y ELISA para VIH con resultados negativos (Tabla 1).

Dado que el paciente acudió con un síndrome consuntivo importante, se sospechó que se tratara de un proceso neoplásico, por lo que se realizó un PET-CT, el cual únicamente reportó adenopatías mediastinales, y marcadores tumorales, los cuales resultaron dentro de parámetros normales.

A las 24 horas de su ingreso, el paciente presentó fiebre, por lo que se tomaron hemocultivos. En lo que se obtenía un aislamiento microbiológico, ante la sospecha de endocarditis infecciosa subaguda, se realizó un ecocardiograma transtorácico (ECOTT) con presencia de imagen sugestiva de vegetación en la válvula mitral, corroborando mediante un ecocardiograma transesofágico (ECOTE) la presencia de dos masas longilíneas (1.45 × 0.3 y 0.8 × 0.3 cm) en la válvula mitral, condicionando insuficiencia mitral moderada. Se obtuvo como reporte preliminar de hemocultivos crecimiento de Staphylococcus coagulasa negativo, por lo que se decidió iniciar manejo empírico con vancomicina y gentamicina IV, así como anticoagulación con enoxaparina. Finalmente, en los hemocultivos se identificó Staphylococcus lentus con gen MecA (+).

Tras ocho días de hospitalización, se realizó un cambio valvular mitral con válvula biológica dado que el paciente tenía vegetaciones > 10 mm. En el postoperatorio inmediato cursó con choque cardiogénico por lo que permaneció en la Unidad de Terapia Intensiva durante 12 días, donde recibió norepinefrina y levosimendán, así como ventilación mecánica invasiva durante 48 horas. Posteriormente, su estancia se complicó con neumonía intrahospitalaria por K. pneumoniae y E. cloacae, así como múltiples trastornos del ritmo documentándose episodios de fibrilación auricular aberrante, taquicardia supraventricular y bradicardia sinusal, con lo que se integró disfunción del nodo sinusal. A los 17 días de estancia hospitalaria se colocó el marcapasos definitivo, cursando con adecuada evolución. Egresó a su domicilio sin complicaciones.



DISCUSIóN

Staphylococcus lentus es un estafilococo coagulasa negativo que forma parte del grupo Staphylococcus sciuri, junto con S. sciuri y S. vitulinus.4 Es una bacteria comensal que coloniza la piel de múltiples especies animales, incluyendo aves de corral y animales de granja, así como sus productos alimenticios. Esto contrasta significativamente con los antecedentes epidemiológicos que reportaba nuestro paciente, dado que negó contacto con animales tanto domésticos como de granja.

A pesar de que las personas involucradas en el manejo de productos animales se han reportado como portadores de S. lentus, este microorganismo raramente causa infecciones en humanos.5,6 Existen únicamente algunos casos reportados en la literatura médica de infecciones por éste, entre ellos destacándose el reporte de un absceso esplénico,7 y el reporte de peritonitis asociada a diálisis peritoneal.8

A diferencia de S. lentus, S. sciuri se ha encontrado como microorganismo causal de numerosas infecciones en seres humanos, incluyendo peritonitis, infecciones de vías urinarias, endoftalmitis, enfermedad pélvica inflamatoria e infecciones de tejidos blandos.9 Pese a pertenecer a la misma familia, S. lentus es un microorganismo de menor virulencia y mayor susceptibilidad antibiótica a comparación con S. sciuri porque generalmente carece del gen MecA. El gen MecA codifica para una proteína de unión a penicilina con baja afinidad por antibióticos β-lactámicos, PBP2a10,11 causando que la bacteria que porte este gen sea intrínsecamente resistente a meticilina, penicilina y la gran mayoría de β-lactámicos. Considerando lo previamente mencionado, este caso es extraordinariamente excepcional, dado que no sólo se trata de una endocarditis bacteriana por un microorganismo infrecuente, sino que este mismo microorganismo era portador del gen MecA, volviéndolo una cepa excepcionalmente rara aun dentro de su especie. El tratamiento de elección para las infecciones por estafilococos del grupo Staphylococcus sciuri es la vancomicina, aunque en la mayoría de cepas los antibióticos β-lactámicos también son eficaces.11,12 Debido a la diversidad de agentes infecciosos transmitidos por animales, es imposible crear pautas generales de antibióticos para todos ellos.

Vale la pena mencionar que en el caso presentado, el paciente recibió vancomicina + gentamicina como manejo empírico y a los ocho días se sometió a manejo quirúrgico de la endocarditis para lograr adecuado control de foco y prevención de embolizaciones sistémicas. Este es el primer caso reportado de endocarditis subaguda de válvula nativa por S. lentus MecA (+) que requirió manejo quirúrgico.



CONCLUSIóN

La endocarditis infecciosa, a pesar de caracterizarse por un cuadro clínico florido, rico tanto en signos como síntomas en la literatura, puede representar un reto diagnóstico. En casos que acuden con fiebre, bacteriemia y fenómenos trombóticos, se debe sospechar endocarditis infecciosa. A pesar de que los cocos Gram positivos representan 80% de los microorganismos causales de endocarditis infecciosa, aun dentro de éstos existen algunas bacterias que pueden ser atípicas, como es el caso del S.lentus. Es importante conocer la epidemiología, los factores de riesgo, susceptibilidades y virulencia de los diferentes agentes causales para poder guiar el manejo médico. Aun en pacientes sin factores de riesgo claros se debe mantener una alta sospecha clínica de endocarditis infecciosa y siempre considerar microorganismos atípicos como S lentus, que pueden ameritar un manejo distinto por sus resistencias antimicrobianas intrínsecas.


REFERENCIAS (EN ESTE ARTÍCULO)

  1. Chambers H, Bayer A. Native-valve infective endocarditis. N Engl J Med. 2020; 383 (6): 567-576.

  2. Hubers SA, DeSimone DC, Gersh BJ, Anavekar NS. Infective endocarditis: a contemporary review. Mayo Clin Proc. 2020; 95 (5): 982-997.

  3. Habib G, Lancellotti P, Antunes MJ, Bongiorni MG, Casalta JP et al. 2015 ESC Guidelines for the management of infective endocarditis: The Task Force for the Management of Infective Endocarditis of the European Society of Cardiology (ESC). Endorsed by: European Association for Cardio-Thoracic Surgery (EACTS), the European Association of Nuclear Medicine (EANM). Eur Heart J. 2015; 36 (44): 3075-3128.

  4. Dakic I, Morrison D, Vukovic D, Savic B, Shittu A, Jezek P et al. Isolation and molecular characterization of Staphylococcus sciuri in the hospital environment. J Clin Microbiol. 2005; 43 (6): 2782-2785.

  5. Huber H, Ziegler D, Pflüger V, Vogel G, Zweifel C, Stephan R. Prevalence and characteristics of methicillin-resistant coagulase-negative staphylococci from livestock, chicken carcasses, bulk tank milk, minced meat, and contact persons. BMC Vet Res. 2011; 7: 6.

  6. De Martino L, Lucido M, Mallardo K, Facello B, Mallardo M, Iovane G et al. Methicillin-resistant staphylococci isolated from healthy horses and horse personnel in Italy. J Vet Diagn Invest. 2010; 22 (1): 77-82.

  7. Karachalios GN, Michelis FV, Kanakis KV, Karachaliou I, Koutri R, Zacharof AK. Splenic abscess due to Staphylococcus lentus: a rare entity. Scand J Infect Dis. 2021; 38 (8): 708-710.

  8. Rivera M, Dominguez MD, Mendiola NR, Roso GR, Quereda C. Staphylococcus lentus peritonitis: a case report. Perit Dial Int. 2014; 34 (4): 469-470.

  9. Xu Z, Mkrtchyan HV, Cutler RR. Antibiotic resistance and mecA characterization of coagulase-negative Staphylococci isolated from three hotels in London, UK. Front Microbiol. 2015; 6: 947.

  10. Milheirico C, Oliveira DC, de Lencastre H. Update to the multiplex PCR strategy for assignment of mec element types in Staphylococcus aureus. Antimicrob Agents Chemother. 2007; 51 (9): 3374-3377.

  11. Koksal F, Yasar H, Samasti M. Antibiotic resistance patterns of coagulase-negative Staphylococcus strains isolated from blood cultures of septicemic patients in Turkey. Microbiol Res. 2009; 164 (4): 404-410.

  12. Wu C, Zhang X, Liang J, Li Q, Lin H, Lin C et al. Characterization of florfenicol resistance genes in the coagulase-negative Staphylococcus (CoNS) isolates and genomic features of a multidrug-resistant Staphylococcus lentus strain H29. Antimicrob Resist Infect Control. 2021; 10 (1): 9.



AFILIACIONES

1 Medicina Interna. Centro Médico ABC, Ciudad de México, México.

2 Medicina Crítica. Centro Médico ABC, Ciudad de México, México.

3 Departamento de Infectología. Centro Médico ABC, Ciudad de México, México.



CORRESPONDENCIA

Laura Crespo-Ortega. E-mail: lau.crespo@icloud.com




Recibido: 21/10/2021. Aceptado: 11/11/2022.

Figura 1
Tabla 1

2020     |     www.medigraphic.com

Mi perfil

C?MO CITAR (Vancouver)

An Med Asoc Med Hosp ABC. 2022;67

ARTíCULOS SIMILARES

CARGANDO ...