medigraphic.com
ENGLISH

Anales Médicos de la Asociación Médica del Centro Médico ABC

ISSN 0185-3252 (Impreso)
Revista de la Asociación Médica del Centro Médico ABC
  • Mostrar índice
  • Números disponibles
  • Información
    • Información general        
    • Directorio
  • Publicar
    • Instrucciones para autores        
  • medigraphic.com
    • Inicio
    • Índice de revistas            
    • Registro / Acceso
  • Mi perfil

2022, Número 4

<< Anterior Siguiente >>

An Med Asoc Med Hosp ABC 2022; 67 (4)


Perforación intestinal secundaria a retención de cápsula endoscópica en un paciente con enteritis por radiación

Gutiérrez Lozano, Isabel1; García Wigueras, Rafael Payró1; Saavedra Pérez Salas, Rafael1; Quijano Orvañanos, Fernando2
Texto completo Cómo citar este artículo 10.35366/108785

DOI

DOI: 10.35366/108785
URL: https://dx.doi.org/10.35366/108785
Artículos similares

Idioma: Español
Referencias bibliográficas: 22
Paginas: 309-313
Archivo PDF: 298.73 Kb.


PALABRAS CLAVE

sangrado indeterminado del intestino delgado, enteritis por radiación, cápsula endoscópica.

RESUMEN

Existen muy pocos casos reportados de perforación intestinal por retención de cápsula endoscópica, la mayoría de ellos han ocurrido en pacientes con enfermedad de Crohn. Basándonos en los pocos casos reportados con retención asintomática de cápsula endoscópica en pacientes con enteritis por radiación, hemos hipotetizado que el antecedente de terapia de radiación puede ser un riesgo potencial para la obstrucción relacionada a cápsula endoscópica. Presentamos el caso de una mujer de 74 años, con antecedente de radioterapia abdominal como parte del manejo de un carcinoma epidermoide del canal anal, quien se presentó con sangrado indeterminado del intestino delgado (antes conocido como sangrado de origen oscuro) 14 años después del tratamiento radioterápico. Posterior al abordaje con endoscopia y colonoscopia con hallazgos normales, se decidió realizar videoendoscopia con cápsula. La cápsula endoscópica (CE) reportó úlceras intestinales circunferenciales con estenosis de la luz. Dos semanas posteriores a la ingesta de la cápsula endoscópica, la paciente se presentó con clínica de abdomen agudo. En la exploración quirúrgica, se encontró una perforación ileal sellada proximal al sitio de estenosis, con la cápsula endoscópica impactada. Se realizó resección con anastomosis íleo-ileal, latero-lateral con engrapadora. El examen histológico mostró inflamación transmural con úlceras y fibrosis extensa, hallazgo consistente con enteritis por radiación, así como un área de perforación ileal.



ABREVIATURAS:

  • SGOO = sangrado gastrointestinal de origen oscuro.
  • CE = cápsula endoscópica.
  • EDB = enteroscopia de doble balón.
  • ER = enteropatía por radiación.



INTRODUCCIóN

El sangrado indeterminado de intestino delgado, antes conocido como sangrado gastrointestinal de origen oscuro (SGOO), se define como un sangrado del tracto gastrointestinal con prueba de sangre oculta en heces (guayaco) positiva o presencia de anemia ferropénica, sin un origen aparente en una panendoscopia, colonoscopia y evaluación radiológica.1 Representa aproximadamente 5% de los casos de sangrado gastrointestinal y usualmente proviene del intestino delgado. Debido a su excelente perfil de seguridad, tolerabilidad del paciente y potencial de realizar una endoscopia completa, las guías de la European Society of Gastrointestinal Endoscopy (ESGE) recomiendan el uso de cápsula endoscópica (CE) como test de primera línea para evaluar el origen del sangrado en el contexto de sangrado indeterminado de intestino delgado.2

La incidencia de eventos adversos con el uso de la cápsula endoscópica es baja y variable, que depende de si el paciente está sano o tiene una enfermedad intestinal subyacente (0-21% en pacientes con oclusión intestinal sospechada).3 La retención de CE es la principal complicación observada, su incidencia es de alrededor de 2.1% en pacientes con sospecha de sangrado del intestino delgado y de 2.2% para aquellos en evaluación por dolor abdominal y/o diarrea.4 En un estudio de 5,428 procedimientos con CE, el total de eventos adversos fue de 1.9%, el más frecuente fue la retención de la cápsula (90/104). Solamente 1.9% (2 de 104) de los pacientes que presentaron retención de la cápsula tuvieron oclusión intestinal, no hubo casos de perforación reportados en esta serie.3 La intervención quirúrgica es el procedimiento de elección cuando se requiere recuperar la cápsula.

En un metaanálisis que incluyó un total de 33 estudios (5,876 pacientes), la retención de CE varió entre 0 y 7%. La razón más frecuente de retención de la CE fue estenosis del intestino delgado (52%) y, entre las causas de estenosis, se encontró la enfermedad de Crohn en 24 casos (46%) e inducida por AINE (medicamentos antiinflamatorios no esteroides) en tres casos, así como inducida por radiación y postoperatoria en tres casos, respectivamente. Ningún caso de perforación fue reportado en este metaanálisis.5

A la fecha, existen muy pocos casos reportados de perforación intestinal debido a retención de CE, la mayoría de ellos ocurren en pacientes con enfermedad de Crohn,6-8 el íleon terminal es el sitio de perforación más frecuente, solamente un caso ocurrió en el yeyuno distal.9 Otras etiologías que pueden ocasionar retención de cápsula y perforación incluyen neoplasias6-8 y adherencias secundarias a cirugía abdominal.10 A la fecha, no ha sido reportado ningún caso de perforación de intestino delgado secundario por CE, en un paciente con enteritis por radiación (ER). Basándonos en los pocos casos reportados de retención asintomática de cápsula en paciente con ER, hemos hipotetizado que el antecedente de radioterapia puede ser un factor de riesgo potencial para la oclusión relacionada con la retención de CE.11,12 En una serie de casos de 15 pacientes rumanos que se sometieron a endoscopia con cápsula, dos pacientes presentaron retención de la cápsula, uno de ellos aparentemente debido a ER, a pesar de que seis pacientes tenían antecedentes de haber recibido radiación pélvica.13



REPORTE DE CASO

Una mujer de 74 años se presentó a nuestra unidad hospitalaria con antecedente de pérdida de peso, diarrea y, ocasionalmente, hematoquecia. Refirió, además, antecedente de carcinoma epidermoide del canal anal, que sucedió 14 años antes de la presentación actual, para el cual recibió tratamiento quirúrgico con resección del segmento afectado, así como varias sesiones de quimio y radioterapia, con lo que logró alcanzar la remisión completa de la neoplasia.

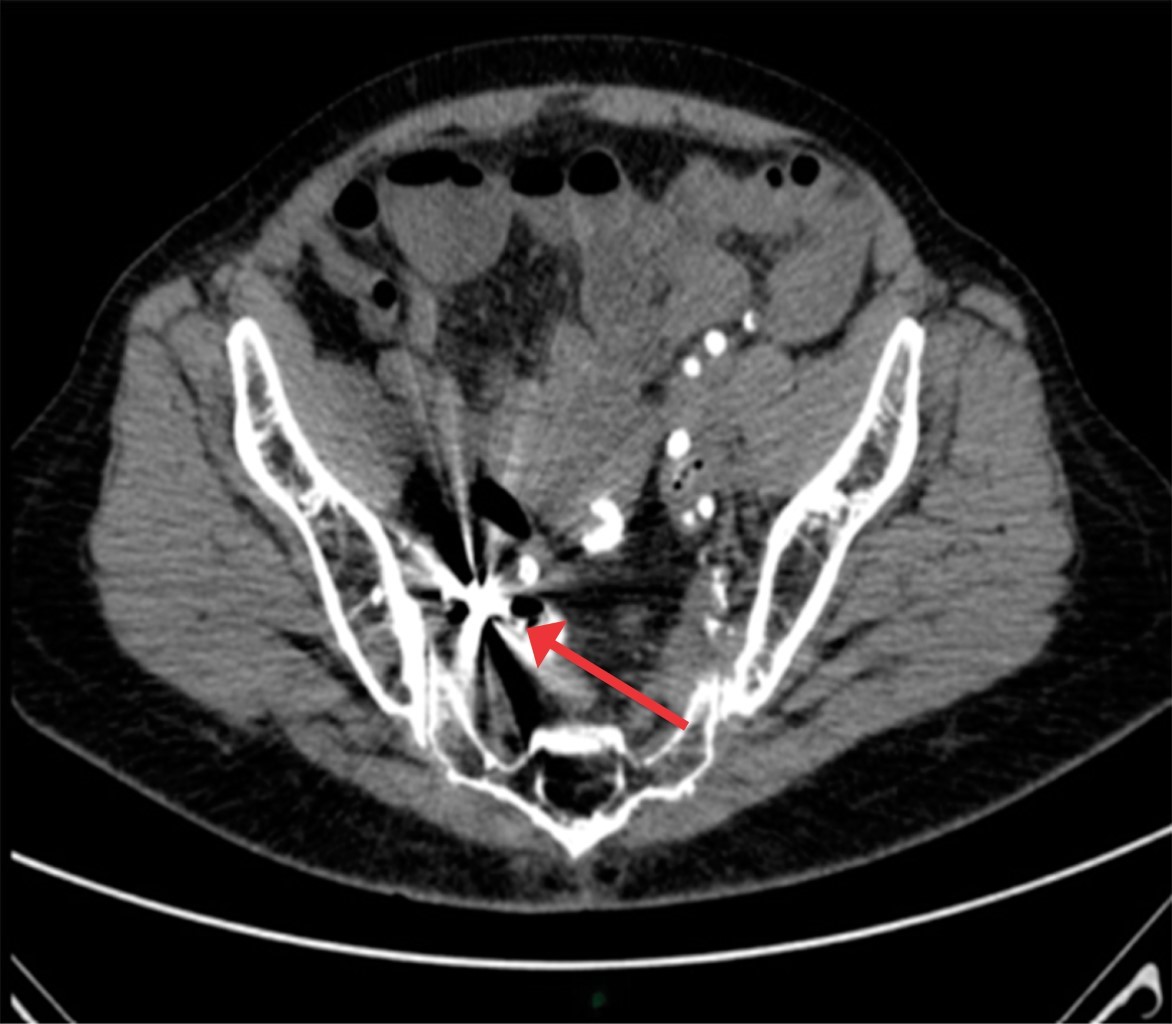
Los exámenes de laboratorio mostraron anemia normocítica normocrómica. Se realizó endoscopia y colonoscopia sin lograr encontrar una fuente clara del sangrado. Como parte de la evaluación del probable sangrado de intestino delgado, se realizó una videoendoscopia con cápsula. La CE reportó úlceras intestinales circunferenciales que causaron un sitio de estenosis donde se retuvo la cápsula. Dos semanas posteriores a la ingestión de la cápsula la paciente se presentó al Servicio de Urgencias con datos de oclusión intestinal y abdomen agudo. Los exámenes de laboratorio mostraron leucocitosis 11.1 × 103/L (4.8-11.0 × 103/L), hemoglobina de 10.2 g/dL (13.5-15.5 g/dL), así como una proteína C reactiva de 19.6 mg/dL (0.00-0.50 mg/dL). Se realizó una TAC abdominal que mostró la CE cerca del íleon terminal, además de engrosamiento ileal y de pared vesical (Figura 1).

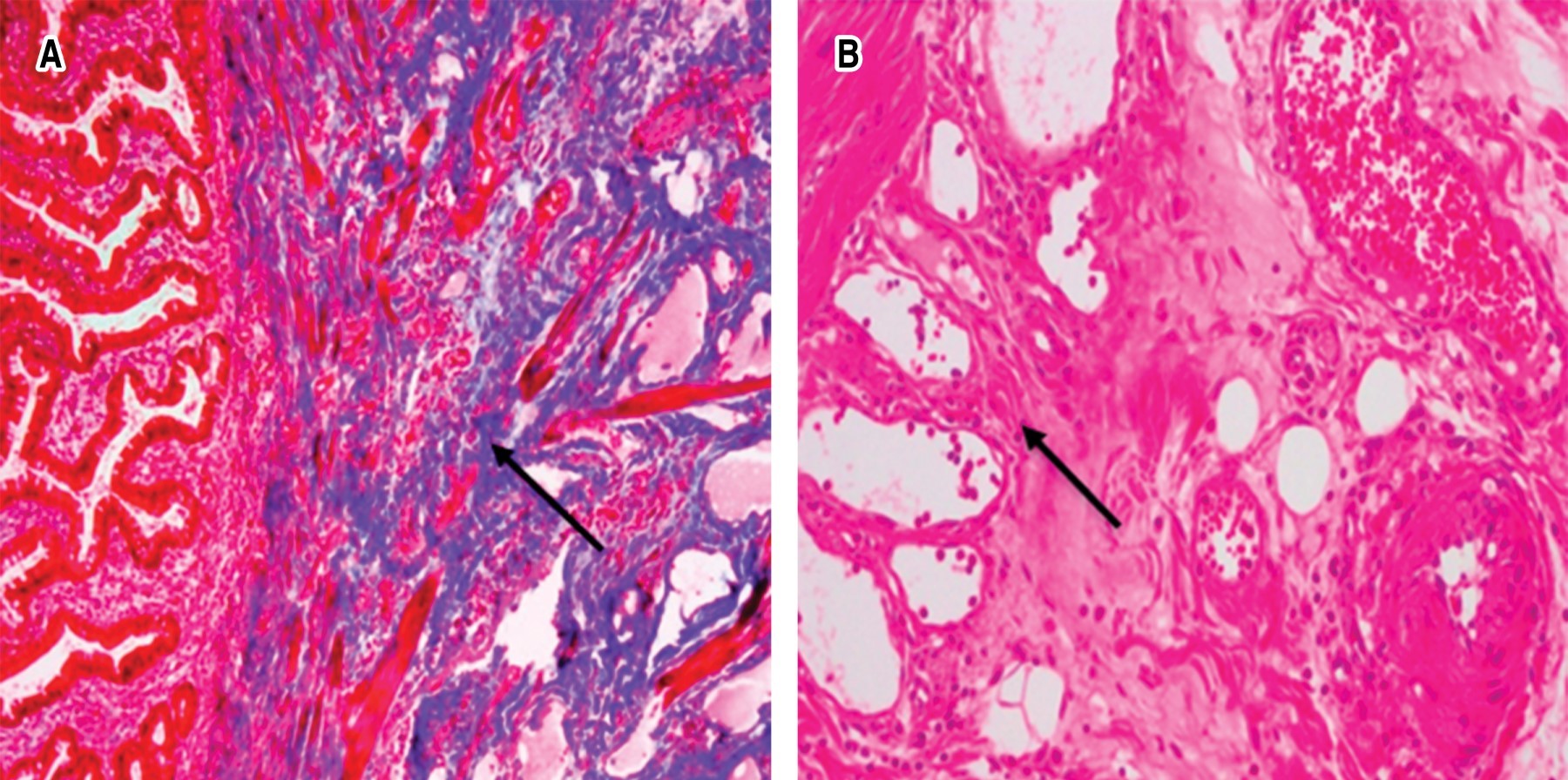
Debido a este hallazgo se realizó cirugía de urgencia; durante la exploración quirúrgica se encontró una perforación ileal proximal al sitio de la estenosis en el íleon terminal, la cual se encontraba sellada con la cápsula endoscópica in situ. Se realizó resección latero-lateral con anastomosis íleo-ileal con grapas. El examen histopatológico mostró inflamación transmural con úlceras y fibrosis extensa, consistente con ER, así como un área de perforación ileal (Figuras 2 y 3).

Cuatro días posteriores a la cirugía, la paciente presentó signos y síntomas de oclusión intestinal que no mejoraron con tratamiento médico, por lo que necesitó reintervención quirúrgica; se realizó resección de las adherencias encontradas. Posteriormente, la paciente tuvo una evolución favorable y fue dada de alta completamente asintomática.



DISCUSIóN

La radioterapia es utilizada en al menos 50% de los pacientes con cáncer y tiene un rol crucial en 25% de las remisiones.14 Anualmente, se estima que más de 200,000 pacientes en los Estados Unidos reciben radiación abdominal o pélvica, con una incidencia de síntomas de toxicidad intestinal aguda de 60-80%.15 La enteropatía por radiación (ER) es un efecto adverso muy común en la radioterapia pélvica, alrededor de 90% de los pacientes que se someten a este tipo de tratamiento sufrirán cambios permanentes en el hábito intestinal.16 Existe evidencia adicional que sugiere que, incluso, porcentajes más elevados de pacientes con tumores gastrointestinales y ginecológicos sufren de estos cambios luego de la terapia con radiación.17 La localización más frecuente de lesión por radiación es el íleon (70%).18

El daño inducido por radioterapia en tejido de proliferación rápida, tal como la mucosa intestinal, puede ser observado en tan sólo días o semanas.19 Los cambios en la arquitectura del intestino delgado se pueden dividir en agudos y crónicos. Los cambios agudos varían desde daño epitelial leve a necrosis masiva y ulceración, que pueden ser vistos incluso poco tiempo después de haber recibido radiación local. La enteropatía por radiación crónica se caracteriza por endarteritis obliterante progresiva, la cual causa isquemia del tejido que terminará progresando a fibrosis submucosa exagerada. Esta fibrosis empeora la isquemia preexistente y se forman vasos telangiectásicos, además de dilatación linfática como respuesta. Ambos cambios fueron apreciados en la biopsia realizada en nuestra paciente. Macroscópicamente, la enteritis por radiación se manifiesta con estenosis, formación de fístulas, abscesos locales, perforación y/o sangrado.20 A largo plazo, la mayoría de los pacientes sufrirán síntomas recurrentes o persistentes, y aproximadamente 10% morirán con una correlación directa a la enteropatía por radiación.21 Los estudios iniciales de elección cuando se sospecha enteritis por radiación crónica son tomografía axial computarizada y resonancia magnética, y cuando estos son negativos la CE representa uno de los mejores métodos para llegar al diagnóstico.20 Otra técnica utilizada en estos casos es la enteroscopia de doble balón (EDB).

En 2014, Nakamura y colaboradores reportaron tres casos de pacientes con sangrado gastrointestinal, los cuales fueron diagnosticados con ER, utilizando videocápsula endoscópica. La cápsula reveló cambios típicos de ER, tales como ileítis difusa con múltiples angiectasias, cicatrices ulcerosas circulares y erosiones con mucosa atrófica e irregular, así como vellosidades intestinales blanquecinas dispersas. La videoendoscopia con cápsula mostró ser superior a la EDB en el diagnóstico de la ER.22



CONCLUSIóN

A pesar de que la CE parece ser un dispositivo útil y seguro para el abordaje diagnóstico del paciente con sangrado del intestino delgado, algunas condiciones subyacentes como la enfermedad de Crohn y la ER pueden incrementar el riesgo de complicaciones como la retención de la cápsula y la perforación intestinal. Se necesitan más estudios y reportes de caso para establecer el riesgo que relacione el uso de la cápsula endoscópica, la ER y la perforación intestinal.


REFERENCIAS (EN ESTE ARTÍCULO)

  1. Raju GS, Gerson L, Das A, Lewis B. American Gastroenterological Association (AGA) Institute Medical Position Statement on obscure gastrointestinal bleeding. Gastroenterology. 2007; 133 (5): 1694-1696.

  2. Pennazio M, Spada C, Eliakim R, Keuchel M, May A, Mulder C et al. Small-bowel capsule endoscopy and device-assisted enteroscopy for diagnosis and treatment of small-bowel disorders: European Society of Gastrointestinal Endoscopy (ESGE) clinical guideline. Endoscopy. 2015; 47 (04): 352-386.

  3. Fernández-Urién I, Carretero C, González B, Pons V, Caunedo A, Valle J et al. Incidence, clinical outcomes, and therapeutic approaches of capsule endoscopy-related adverse events in a large study population. Rev Esp Enferm Dig. 2015; 107 (12): 745-752.

  4. Rondonotti E, Spada C, Adler S, May A, Despott E, Koulaouzidis A et al. Small-bowel capsule endoscopy and device-assisted enteroscopy for diagnosis and treatment of small-bowel disorders: European Society of Gastrointestinal Endoscopy (ESGE) technical review. Endoscopy. 2018; 50 (4): 423-446.

  5. Rezapour M, Amadi C, Gerson LB. Retention associated with video capsule endoscopy: systematic review and meta-analysis. Gastrointest Endosc. 2017; 85 (6): 1157-1168.e2.

  6. De Palma GD, Masone S, Persico M, Siciliano S, Salvatori F, Maione F et al. Capsule impaction presenting as acute small bowel perforation: a case series. J Med Case Rep. 2012; 6: 121.

  7. Simon M, Barge S, Jeune F, Corte H, Cattan P, Gornet JM. Small-bowel perforation caused by AdvanCE capsule endoscopy delivery device. Endoscopy. 2016; 48 (S 01): E342.

  8. Srai R, Tullie L, Wadoodi A, Saunders M. Capsule endoscopy: a dangerous but diagnostic tool. BMJ Case Rep. 2013; 2013: bcr2013009932.

  9. Pham T, Miller A, La Paglia D, Cham A. Small bowel obstruction with perforation secondary to PillCam. Case Rep Gastrointest Med. 2018; 2018: 9081742.

  10. Gonzólez Carro P, Picazo Yuste J, Fernández Díez S, Pérez Roldán F, Roncero García-Escribano O. Intestinal perforation due to retained wireless capsule endoscope. Endoscopy. 2005; 37 (7): 684.

  11. Rogers AM, Kuperman E, Puleo FJ, Shope TR. Intestinal obstruction by capsule endoscopy in a patient with radiation enteritis. JSLS. 2008; 12 (1): 85-87.

  12. Romero Vázquez J, Caunedo Álvarez A, Rodríguez-Téllez M, Sánchez Yagüe A, Pellicer Bautista F, Herrerías Gutiérrez JM. Previously unknown stricture due to radiation therapy diagnosed by capsule endoscopy. Rev Esp Enferm Dig. 2005; 97 (6): 449-454.

  13. Singeap AM, Trifan A, Cojocariu C, Sfarti C, Stanciu C. Outcomes after symptomatic capsule retention in suspected small bowel obstruction. Eur J Gastroenterol Hepatol. 2011; 23 (10): 886-890.

  14. Hauer-Jensen M, Denham JW, Andreyev HJ. Radiation enteropathy--pathogenesis, treatment and prevention. Nat Rev Gastroenterol Hepatol. 2014; 11 (8): 470-479.

  15. Siegel R, DeSantis C, Virgo K, Stein K, Mariotto A, Smith T et al. Cancer treatment and survivorship statistics, 2012. CA Cancer J Clin. 2012; 62 (4): 220-241.

  16. Bhutta BS, Fatima R, Aziz M. Radiation enteritis. In: StatPearls [Internet]. Treasure Island (FL): StatPearls Publishing; 2021. Available in: https://www.ncbi.nlm.nih.gov/books/NBK526032/

  17. Olopade FA, Norman A, Blake P, Dearnaley DP, Harrington KJ, Khoo V et al. A modified Inflammatory Bowel Disease questionnaire and the Vaizey Incontinence questionnaire are simple ways to identify patients with significant gastrointestinal symptoms after pelvic radiotherapy. Br J Cancer. 2005; 92 (9): 1663-1670.

  18. Ruiz-Tovar J, Morales V, Hervás A, Sanjuanbenito A, Lobo E, Martínez-Molina E. Late gastrointestinal complications after pelvic radiotherapy: radiation enteritis. Clin Transl Oncol. 2009; 11 (8): 539-543.

  19. Molla M, Biete A, Piqué JM, Panés J. Lesiones intestinales de la radioterapia. Gastroenterol Hepatol. 2001; 24 (9): 454-460.

  20. Harb AH, Abou Fadel C, Sharara AI. Radiation enteritis. Curr Gastroenterol Rep. 2014; 16 (5): 383.

  21. Larsen A, Reitan JB, Aase ST, Hauer-Jensen M. Long-term prognosis in patients with severe late radiation enteropathy: a prospective cohort study. World J Gastroenterol. 2007; 13 (26): 3610-3613.

  22. Nakamura M, Hirooka Y, Watanabe O, Yamamura T, Furukawa K, Funasaka K et al. Three cases with active bleeding from radiation enteritis that were diagnosed with vide o capsule endoscopy without retention. Nagoya J Med Sci. 2014; 76 (3-4): 369-374.



AFILIACIONES

1 Medicina interna, Centro Médico ABC.

2 Cirugía general, Centro Médico ABC.



CORRESPONDENCIA

Isabel Gutiérrez Lozano. E-mail: isabel.guti.loz@gmail.com




Recibido: 21/10/2021. Aceptado: 04/10/2022.

Figura 1
Figura 2
Figura 3

2020     |     www.medigraphic.com

Mi perfil

C?MO CITAR (Vancouver)

An Med Asoc Med Hosp ABC. 2022;67

ARTíCULOS SIMILARES

CARGANDO ...