medigraphic.com
ENGLISH

Acta Médica Grupo Angeles

Órgano Oficial del Hospital Angeles Health System
  • Mostrar índice
  • Números disponibles
  • Información
    • Información general        
    • Directorio
  • Publicar
    • Instrucciones para autores        
    • Envío de artículos
    • Políticas
    • Nombre y afiliación del Comité Editorial
  • Nosotros
    • Plan de gestión e intercambio de datos
    • Objetivos declarados y alcance
  • medigraphic.com
    • Inicio
    • Índice de revistas            
    • Registro / Acceso
  • Mi perfil

2023, Número 1

<< Anterior Siguiente >>

Acta Med 2023; 21 (1)


Presentación de un síndrome paraneoplásico con involucro cerebeloso y anticuerpos anti-Yo positivo

Pacheco Aispuro, Gerónimo1; Escobar Arriaga, Elizabeth2; Taracena Pacheco, Santiago3; Borjas Dorado, Jandy4; Carrillo Mezo, Roger Antonio5
Texto completo Cómo citar este artículo 10.35366/109026

DOI

DOI: 10.35366/109026
URL: https://dx.doi.org/10.35366/109026
Artículos similares

Idioma: Español
Referencias bibliográficas: 2
Paginas: 71-72
Archivo PDF: 165.09 Kb.


PALABRAS CLAVE

paraneoplásico, anti-Yo, síndrome cerebeloso.

RESUMEN

Femenino de 54 años con diagnóstico de cáncer de ovario estadio IIIC que había sido sometida a citorreducción quirúrgica y quimioterapia sin evidencia de recurrencia, se presenta en el servicio de urgencias con un síndrome cerebeloso subagudo. El estudio de imagen descarta alteraciones estructurales, punción lumbar con pleocitosis linfocitaria, hiperproteinorraquia y anti-Yo positivo, con actividad tumoral inguinal confirmada por PET-CT.



INTRODUCCIóN

Se trata de una paciente en la quinta década de la vida con diagnóstico de cáncer de ovario en estadio IIIC sometida a quimioterapia y citorreducción quirúrgica. Dado que la mayoría de los síndromes paraneoplásicos debutan como parte de la presentación inicial de la enfermedad, este caso es peculiar. Presenta un síndrome paraneoplásico agregado a una adenopatía inguinal con actividad documentada por tomografía por emisión de positrones, lo cual es una presentación atípica de un síndrome poco documentado.



PRESENTACIóN DEL CASO

Paciente femenino con antecedente de cáncer de ovario en estadio clínico avanzado con presencia de recurrencia, tratada con quimioterapia y citorreducción secundaria en sitio quirúrgico primario; cuenta con antecedente de infección de vías respiratorias superiores tres días previos a iniciar su cuadro clínico.

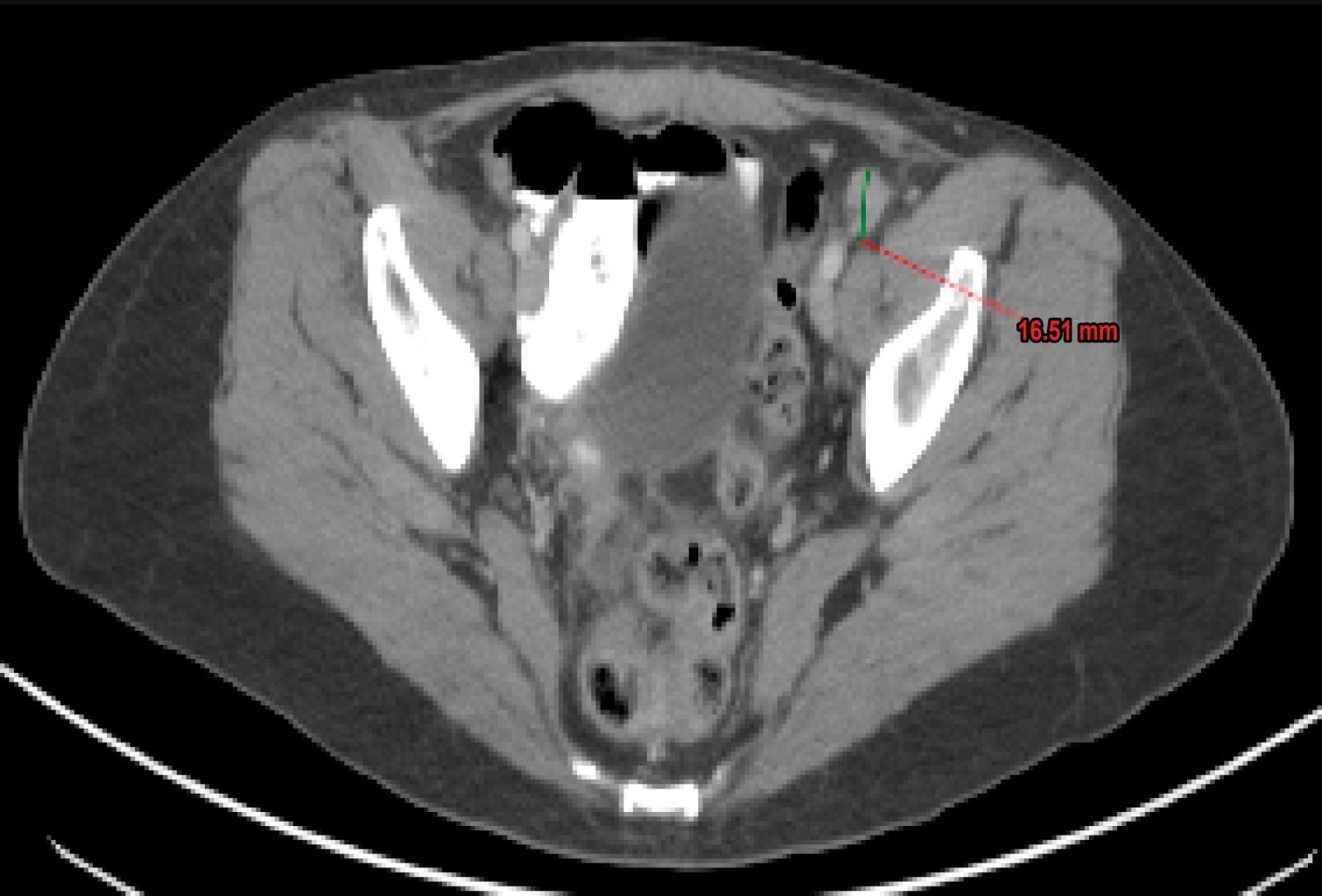
Inicia seis días previos a su ingreso con diplopía bilateral, mareo e inestabilidad postural. A su ingreso se presenta alerta con nistagmus multidireccional no fatigable, trofismo y fuerza muscular normal, destaca arreflexia y marcha atáxica con signo de Romberg presente. Se realiza resonancia magnética que se reporta normal con subsecuente punción lumbar, no se reportan hallazgos relevantes en citología y citoquímica, la paciente presenta anticuerpos anti-Yo positivos (≥ 1:10), por lo que se establece síndrome paraneoplásico con recurrencia de la enfermedad confirmada por tomografía por emisión de positrones a nivel ganglionar inguinal izquierdo (Figuras 1 y 2).



SíNDROME PARANEOPLáSICO CEREBELOSO ANTI-YO POSITIVO

El conocimiento de los síndromes paraneoplásicos anti-Yo es basado en conjuntos de casos de poblaciones pequeñas1 y los datos de presentación son los más importantes para contar con alta sospecha clínica. De acuerdo con un conjunto de casos reciente,2 la causa neoplásica más común es el cáncer de pulmón y, subsecuentemente, mama; el síndrome de presentación predominante es el síndrome cerebeloso y de los casos documentados se ha establecido que 70% se presentarán como manifestación que debutará previo al diagnóstico de cáncer, haciendo este caso muy peculiar dado que la paciente ya contaba con cáncer de ovario previamente documentado.


REFERENCIAS (EN ESTE ARTÍCULO)

  1. Venkatraman A, Opal P. Paraneoplastic cerebellar degeneration with anti-Yo antibodies–a review. Ann Clin Transl Neurol. 2016; 3 (8): 655-663.

  2. Vogrig A, Gigli GL, Segatti S, Corazza E, Marini A, Bernardini A et al Epidemiology of paraneoplastic neurological syndromes: a population-based study. J Neurol. 2020; 267 (1): 26-35.



AFILIACIONES

1 Neurólogo y Neurofisiólogo. Hospital Angeles Pedregal.

2 Oncología Médica, Medicina Interna. Hospital Angeles Pedregal.

3 Residente de Medicina Interna. Hospital Angeles Pedregal.

4 Médico General. Hospital Angeles Pedregal.

5 Jefe de Resonancia Magnética. Hospital Angeles Pedregal.



CORRESPONDENCIA

Santiago Taracena Pacheco. Correo electrónico: soytaracena@gmail.com




Aceptado: 16-02-2022.

Figura 1
Figura 2

2020     |     www.medigraphic.com

Mi perfil

C?MO CITAR (Vancouver)

Acta Med. 2023;21

ARTíCULOS SIMILARES

CARGANDO ...