medigraphic.com
ENGLISH

Cirujano General

ISSN 2594-1518 (Digital)
ISSN 1405-0099 (Impreso)
  • Mostrar índice
  • Números disponibles
  • Información
    • Información general        
    • Directorio
  • Publicar
    • Instrucciones para autores        
    • Envío de artículos
  • medigraphic.com
    • Inicio
    • Índice de revistas            
    • Registro / Acceso
  • Mi perfil

2021, Número 4

<< Anterior Siguiente >>

Cir Gen 2021; 43 (4)


Malrotación intestinal y vólvulo de ciego. Presentación de caso y revisión bibliográfica

Cervantes-Gutiérrez, Oscar1; Cervantes-Millán, Gustavo2; Sorsby-Vargas, Andrew3; de la Cajiga León, Ana4; Flores Armenta, Jesús1
Texto completo Cómo citar este artículo 10.35366/109130

DOI

DOI: 10.35366/109130
URL: https://dx.doi.org/10.35366/109130
Artículos similares

Idioma: Español/Inglés [English version]
Referencias bibliográficas: 12
Paginas: 259-264
Archivo PDF: 246.00 Kb.


PALABRAS CLAVE

vólvulo, ciego, malrotación intestinal, oclusión intestinal.

RESUMEN

Introducción: la malrotación intestinal es el resultado de una alteración durante el desarrollo embrionario. La ausencia del ligamento de Treitz aunado a las fallas de fijación mesentéricas provoca un desplazamiento del intestino delgado hacia el lado derecho del abdomen, acompañado de un ciego localizado del lado izquierdo, permaneciendo unido a la pared abdominal por bandas peritoneales fibrosas "bandas de Ladd", asociándose a vólvulo cecal y obstrucción intestinal. Caso clínico: presentamos el caso clínico de un paciente femenino de 61 años quien acude a urgencias presentando abdomen agudo secundario a vólvulo cecal y obstrucción intestinal asociado a malrotación intestinal. Conclusiones: se debe tener un alto índice de sospecha en casos con abdomen agudo, puesto que la mayoría de los pacientes cursan su vida adulta asintomáticos o con síntomas gastrointestinales no específicos.



INTRODUCCIóN

La malrotación intestinal es el resultado de una alteración durante el desarrollo embrionario, ocasionada frecuentemente entre las 10 a 12 semanas de gestación. Se describe una falta en la unión oblicua normal del mesenterio del intestino delgado acompañada de la falta de la unión normal del mesenterio del colon ascendente. Las complicaciones asociadas a esta patología son potencialmente catastróficas, por lo que es indispensable contar con los conocimientos anatómicos, criterios diagnósticos, conocimientos terapéuticos y sobre todo la adquisición de un alto índice de sospecha.1,2

La incidencia se aproxima a 1 de cada 500 recién nacidos afectados y se presenta frecuentemente dentro del primer mes de vida en 64 a 80% de los pacientes; sin embargo, en algunos casos se presenta en edad adulta. Algunos pacientes pueden cursar toda su vida asintomáticos, mientras que otros pueden presentar sintomatología en la adultez como: vómito biliar postprandial intermitente (30%), dolor abdominal postprandial intermitente (20%), intolerancia a la vía oral, diarrea crónica y malabsorción. La mayoría de los síntomas se presentan alrededor de seis meses antes del diagnóstico. En pacientes asintomáticos que pasan desapercibidos, la malrotación intestinal se presenta con frecuencia como vólvulo cecal u obstrucción intestinal. La mal posición intestinal aislada no se considera un factor predisponente de vólvulo, sino la falta de fijación en estas estructuras. Se estima que 10 a 15% de los casos presentan abdomen agudo secundario a vólvulo.3,4 Estos pacientes acuden con dolor abdominal severo, datos de obstrucción intestinal, hematemesis, hematoquecia o inestabilidad hemodinámica.5,6



REPORTE DE CASO

Presentamos el caso de un paciente femenino de 65 años con antecedentes de artritis reumatoide de larga evolución tratada con prednisona; neuralgia postherpética tratada con la colocación de una bomba de infusión analgésica durante cinco años y hernia ventral epigástrica no complicada de dos años de evolución. La paciente se presentó al Servicio de Urgencias con dolor abdominal tipo cólico, de inicio súbito e intensidad 8/10 en la escala visual análoga (EVA); distensión abdominal, obstipación y vómito de características intestinales en múltiples ocasiones.

La exploración física revela un abdomen con distensión generalizada, ruidos peristálticos ausentes, timpanismo a la percusión, doloroso a la palpación superficial principalmente en hemiabdomen derecho. Se excluyen datos de irritación peritoneal, pero se encuentra una masa de 5 × 5 cm en epigastrio, de contenido no reductible y sin datos de estrangulación.

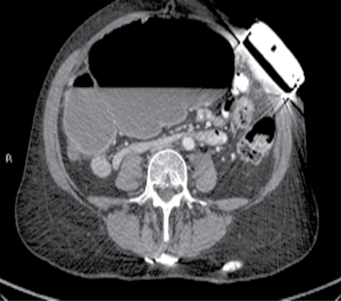
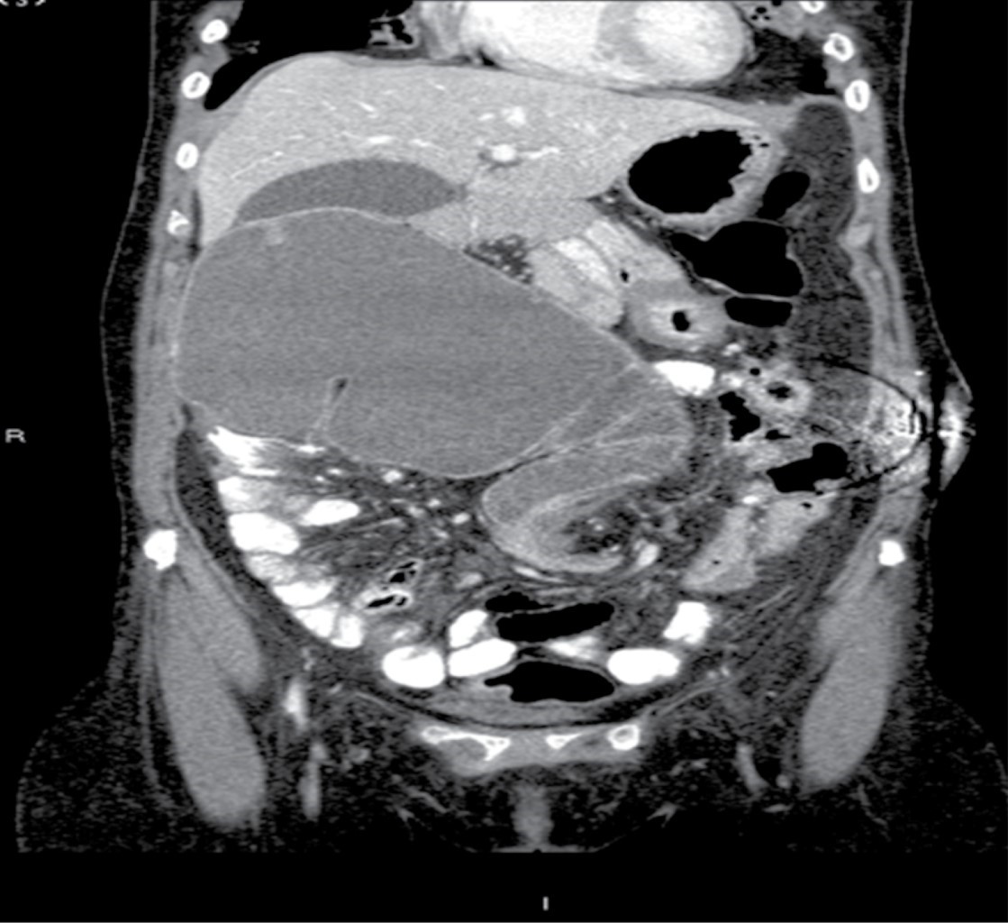
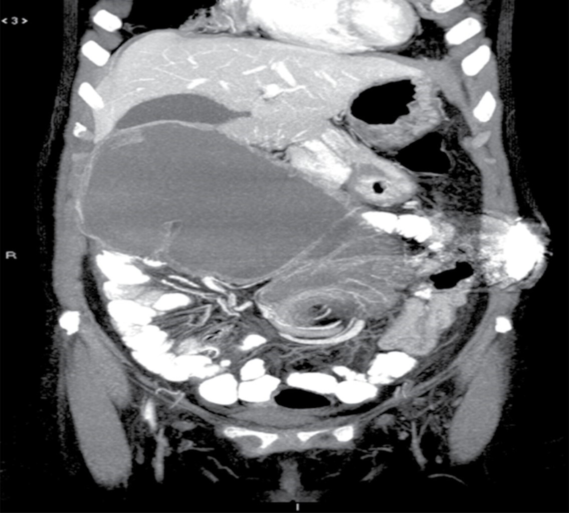
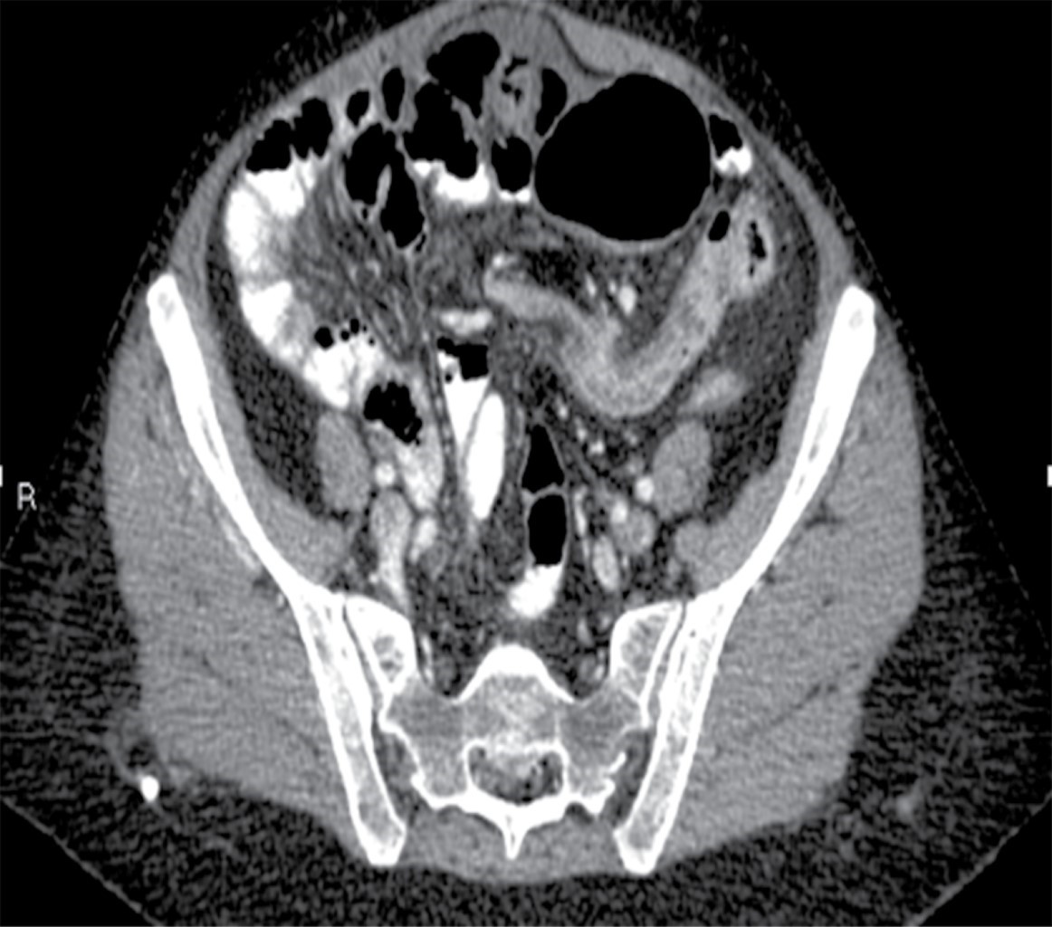
Se solicitaron estudios de laboratorio, los cuales reportaron 12,000 leucocitos por milímetro cúbico, siete bandas y niveles de lactato sérico de 2.8 mmol/l. Posteriormente se realizó una tomografía de abdomen con doble contraste, encontrando importante dilatación cecal, dilatación de colon ascendente y de la porción proximal de colon transverso, junto con una zona de transición hacia tercio distal, localizado en fosa iliaca izquierda. De igual manera, se encuentra hernia de pared abdominal supraumbilical en línea media con escaso tejido graso y epiplón (Figuras 1, 2, 3 y 4).

Decidimos realizar una exploración quirúrgica de cavidad abdominal mediante laparotomía media, con disección de contenido y saco herniario a nivel de epigastrio. Posteriormente, acceso a cavidad abdominal en donde se encuentra vólvulo de ciego acompañado de distensión de hasta 12 cm desde el ciego hasta el tercio medio del colon transverso. Se encuentra malrotación intestinal desde el ángulo de Treitz secundario a la presencia de adherencias congénitas hacia la pared abdominal, llamadas bandas de Ladd. Se encontró el hemicolon derecho con una zona extensa de necrosis, por lo que se realizó hemicolectomía derecha con posterior anastomosis mecánica íleo-transversa laterolateral, con engrapadora GIA 60 mm cartucho azul (Figura 5). Posterior a lavado exhaustivo de cavidad abdominal, se colocan dos drenajes tipo Blake 19 Fr. Se cierra pared abdominal por planos, afrontando aponeurosis con sutura Prolene 1 en sutura continua.

El postoperatorio transcurrió sin eventualidades, con manejo antibiótico con ceftriaxona 1 g por vía intravenosa (iv) cada 12 horas y metronidazol 500 mg iv cada ocho horas, durante seis días. Se inicia vía oral al segundo día postoperatorio, con posterior alta a su domicilio al sexto día. Su evolución ambulatoria es satisfactoria, sin eventualidades.



DISCUSIóN

En 1936, William Edwards Ladd describió el término malrotación intestinal como una anomalía congénita en el periodo de rotación y fijación intestinal durante el desarrollo fetal. Esta anomalía se caracteriza por alteraciones en la unión oblicua normal del mesenterio del intestino delgado y unión normal del mesenterio del colon ascendente. El desarrollo embriológico intestinal puede sufrir alteraciones en cualquiera de sus fases y, de igual manera, pueden agruparse según la etapa de desarrollo correspondiente.2,7

La fase de herniación, o mejor conocida como primera fase, ocurre durante las primeras 10 semanas de gestación y se caracteriza por una protrusión intestinal a través del saco vitelino. Cuando ocurre una falla en la primera fase, se puede desarrollar un onfalocele.1,7

La segunda fase, conocida como la fase de retorno al abdomen, ocurre durante la semana 10 y 11. El intestino cursa por una retracción del cordón umbilical y regresa al abdomen, siendo el asa duodeno-yeyunal la primera en regresar a la cavidad abdominal. Posteriormente, rota en sentido antihorario 270 grados sobre el eje de la arteria mesentérica superior. Durante esta fase, se describen tres alteraciones: la no rotación, la rotación incompleta y la rotación inversa; siendo más frecuente la no rotación.1,7 En los casos de no rotación intestinal, se describe un duodeno que desciende hacia el lado derecho de la arteria mesentérica superior, resultando en un intestino delgado desplazado hacia el hemiabdomen derecho y un colon localizado en hemiabdomen izquierdo. La ausencia del desarrollo del ligamento de Treitz ocasiona que el ciego permanezca en el hemiabdomen izquierdo, en cambio, éste permanece unido a la pared abdominal derecha mediante bandas fibrosas peritoneales, las bandas de Ladd. Esto ocasiona que el intestino delgado sea altamente móvil, aumentando el riesgo de desarrollar vólvulo. Estas bandas generalmente rodean el duodeno, ocasionando sintomatología de obstrucción intestinal intermitente.1,3,7 En los casos de rotación incompleta o malrotación, se describen alteraciones como obstrucción intestinal por bandas de Ladd o vólvulo, causadas por un giro duodenal de únicamente 180 grados y una asa colónica-cecal que carece 180 grados de su rotación normal.1,3

La falla en tercera fase, conocida como fase de fijación, ocurre desde la semana 12 hasta el nacimiento. Puede resultar en un ciego móvil, ciego subhepático o apéndice retrocecal. En otros casos, es posible que se presente una falla de fijación mesentérica intestinal, la cual condiciona a un riesgo incrementado de desarrollar vólvulo.1

Se debe iniciar la sospecha de malrotación intestinal en pacientes adultos que presenten el cuadro clínico previamente mencionado o de igual manera hallazgos anormales en estudios de imagen realizados por otros motivos. La serie gastrointestinal superior se considera como el estudio estándar de oro, tanto para pacientes pediátricos como adultos, gracias a su capacidad para visualizar el trayecto normal del duodeno, donde se detecta el medio de contraste en su segunda porción o la apariencia clásica de sacacorchos en las primeras asas del yeyuno.8 Hoy en día se ha incrementado el uso de la tomografía axial computarizada para el diagnóstico. A pesar de ello, los pacientes que cursan con abdomen agudo secundario a malrotación intestinal con datos de isquemia intestinal, deberán ser sometidos a laparotomía de urgencia sin la necesidad de realizar estudios de imagen previos.8

La tomografía axial computarizada resulta ser una herramienta alterna útil para el diagnóstico, tiene la capacidad de identificar patrones de rotación que pueden estar asociados a complicaciones particulares.9 De igual manera se puede observar una inversión de la arteria mesentérica superior junto con la vena mesentérica superior situada a la izquierda o rotada alrededor de la arteria. Sin embargo, en series más recientes ha llegado a demostrar la misma sensibilidad y especificidad que la serie gastrointestinal superior.10

La ultrasonografía abdominal no es de gran utilidad para realizar el diagnóstico, ya que su resultado negativo no excluye la presencia de mal rotación intestinal. De igual manera, en algunos casos es posible llegar al diagnóstico de manera incidental por otros motivos.11

La terapéutica en los pacientes que padecen mal rotación intestinal depende de la presentación inicial. En casos asintomáticos, sin datos de vólvulo, isquemia intestinal o con manifestaciones gastrointestinales que no amenazan la vida, se puede realizar un procedimiento de Ladd de manera electiva. El procedimiento de Ladd se puede llevar a cabo de forma abierta o laparoscópica gracias a las diferencias significativas en las tasas de complicaciones, necesidad de reintervención o persistencia de los síntomas.6

En 1936, William Edwards Ladd describió un procedimiento que aún hoy en día continúa siendo la técnica terapéutica empleada. Se describe como un procedimiento diseñado para tratar el problema agudo y, de igual manera, disminuir el riesgo de presentar vólvulo posteriormente. El procedimiento de Ladd consta de cinco pasos: identificación y detorsión del vólvulo en sentido antihorario, división de las bandas de Ladd, división de las bandas intermesentéricas (bandas fibrosas ubicadas entre asas intestinales no cecales y el duodeno) y finalmente apendicectomía. Una vez que se hayan realizado los cinco pasos, se coloca el intestino en su posición anatómica normal. Históricamente se prefería un abordaje por laparotomía, hoy en día se han estudiado y comprobado los beneficios de realizar el procedimiento laparoscópico. Es posible enfrentarse a un caso en el que exista sospecha de la viabilidad de las asas intestinales, por lo que se recomienda realizar una exploración dentro de 24 a 48 horas.12

En caso de presentar abdomen agudo secundario a vólvulo intestinal e isquemia, se requiere la realización de una laparotomía de emergencia. Cabe mencionar que durante el preoperatorio se necesita una adecuada reanimación con volumen, se necesita colocar una sonda nasogástrica e iniciar antibiótico de amplio espectro, lo cual se realizó en el caso presentado. Las medidas preoperatorias no deberán retrasar el inicio de la cirugía y deberán llevarse a cabo mientras el paciente es trasladado a la sala de quirófano. Aun así, es más frecuente que los pacientes sometidos a laparotomía tengan un riesgo incrementado de desarrollar adherencias, al igual que otras complicaciones. En el caso anterior, el paciente evolucionó satisfactoriamente, sin desarrollo de complicaciones hasta el momento. En la mayoría de los casos, como el que se menciona, el diagnóstico se realiza en el transoperatorio, ya que cursan con inestabilidad hemodinámica, por lo que su manejo quirúrgico es de manera inmediata.



CONCLUSIONES

La malrotación es una patología que puede pasar desapercibida, ya que la mayoría de los pacientes cursan asintomáticos; sin embargo, otros presentan alteraciones gastrointestinales variables antes de poder acercarse al diagnóstico. La presentación en forma de abdomen agudo requiere intervención quirúrgica de urgencia. El procedimiento de elección es el procedimiento de Ladd, caracterizado por detorsión del vólvulo, división de las bandas intermesentéricas, apendicectomía y la recolocación intestinal anatómica.

Teniendo en cuenta el resultado potencialmente catastrófico, es imperativo contar con un alto índice de sospecha en los pacientes con las características previamente mencionadas para poder emplear la mejor terapéutica en tiempo y forma adecuada.


REFERENCIAS (EN ESTE ARTÍCULO)

  1. Torres AM, Ziegler MM. Malrotation of the intestine. World J Surg. 1993; 17: 326-331.

  2. Ladd WE. Surgical diseases of the alimentary tract in infants. N Engl J Med. 1936; 215: 705-708.

  3. Haak BW, Bodewitz ST, Kuijper CF, de Widt-Levert LM. Intestinal malrotation and volvulus in adult life. Int J Surg Case Rep. 2014; 5: 259-261.

  4. Yanez R, Spitz L. Intestinal malrotation presenting outside the neonatal period. Arch Dis Child. 1986; 61: 682-685.

  5. Devlin HB, Williams RS, Pierce JW. Presentation of midgut malrotation in adults. Br Med J. 1968; 1: 803-807.

  6. Fung AT, Konkin DE, Kanji ZS. Malrotation with midgut volvulus in an adult: a case report and review of the literature. J Surg Case Rep. 2017; 2017: rjx081.

  7. Hernando-Almudí E, Cerdán-Pascual R, Vallejo-Bernad C, Martín-Cuartero J, Sánchez-Rubio M, Casamayor-Franco M. Malrotación intestinal en adulto asociada a vólvulo intestinal. Cirugía y Cirujanos. 2017; 85: 424-427.

  8. Kotobi H, Tan V, Lefevre J, Duramé F, Audry G, Parc Y. Total midgut volvulus in adults with intestinal malrotation. Report of eleven patients. J Visc Surg. 2017; 154: 175-183.

  9. Yang B, Chen WH, Zhang XF, Luo ZR. Adult midgut malrotation: multi-detector computed tomography (MDCT) findings of 14 cases. Jpn J Radiol. 2013; 31: 328-335.

  10. Durkin ET, Lund DP, Shaaban AF, Schurr MJ, Weber SM. Age-related differences in diagnosis and morbidity of intestinal malrotation. J Am Coll Surg. 2008; 206: 658-663.

  11. Ashley LM, Allen S, Teele RL. A normal sonogram does not exclude malrotation. Pediatr Radiol. 2001; 31: 354-356.

  12. Frasier LL, Leverson G, Gosain A, Greenberg J. Laparoscopic versus open Ladd's procedure for intestinal malrotation in adults. Surg Endosc. 2015; 29: 1598-1604.



AFILIACIONES

1 Adscrito al Servicio de Cirugía General. Hospital Ángeles Lomas. Ciudad de México, México.

2 Residente de Cirugía General. Hospital Ángeles Lomas. Ciudad de México, México.

3 Interno del Servicio de Cirugía General. Hospital Ángeles Lomas. Ciudad de México, México.

4 Adscrita al Servicio de Anestesiología. Hospital Ángeles Lomas. Ciudad de México, México.



Consideraciones y responsabilidad ética: los autores declaran que siguieron los protocolos de su centro de trabajo sobre la publicación de datos de pacientes, resguardando su derecho a la privacidad mediante la confidencialidad de sus datos.

Financiamiento: no se recibió apoyo financiero para la realización de este trabajo.

Conflicto de intereses: los autores declaran que no existe ningún conflicto de intereses en la realización del trabajo.



CORRESPONDENCIA

Oscar Cervantes-Gutiérrez. E-mail: ocervan@hotmail.com




Recibido: 10/09/2020. Aceptado: 20/04/2021

Figura 1
Figura 2
Figura 3
Figura 4
Figura 5

2020     |     www.medigraphic.com

Mi perfil

C?MO CITAR (Vancouver)

Cir Gen. 2021;43

ARTíCULOS SIMILARES

CARGANDO ...