medigraphic.com
SPANISH

Cirujano General

ISSN 2594-1518 (Electronic)
ISSN 1405-0099 (Print)
  • Contents
  • View Archive
  • Information
    • General Information        
    • Directory
  • Publish
    • Instructions for authors        
    • Send manuscript
  • medigraphic.com
    • Home
    • Journals index            
    • Register / Login
  • Mi perfil

2021, Number 4

<< Back Next >>

Cir Gen 2021; 43 (4)

Intestinal malrotation and cecum volvulus. Case presentation and bibliographic review

Cervantes-Gutiérrez, Oscar1; Cervantes-Millán, Gustavo2; Sorsby-Vargas, Andrew3; de la Cajiga León, Ana4; Flores Armenta, Jesús1
Full text How to cite this article 10.35366/109130

DOI

DOI: 10.35366/109130
URL: https://dx.doi.org/10.35366/109130

Language: English/Spanish [Versi?n en espa?ol]
References: 12
Page: 259-264
PDF size: 261.14 Kb.


Key words:

volvulus, cecum, intestinal malrotation, intestinal obstruction.

ABSTRACT

Introduction: intestinal malrotation is the result of an alteration during embryonic development. The absence of the Treitz ligament together with the mesenteric fixation failures causes a displacement of the small intestine towards the right side of the abdomen, accompanied by a localized cecum on the left side, remaining attached to the abdominal wall by fibrous peritoneal bands "Ladd bands", associated with caecal volvulus and intestinal obstruction. Clinical case: we present the clinical case of a 61-year-old female patient who arrived to the emergency room presenting an acute abdomen secondary to caecal volvulus and intestinal obstruction associated with intestinal malrotation. Conclusions: it is necessary to have a high index of suspicion in patients with acute abdomen since most of the patients go through their adult life asymptomatic or with non-specific gastrointestinal symptoms.



INTRODUCTION

Intestinal malrotation results from an alteration during embryonic development, frequently occurring between 10 to 12 weeks of gestation. It describes a lack of the normal oblique junction of the mesentery of the small intestine and a lack of the normal junction of the mesentery of the ascending colon. The complications associated with this pathology are potentially catastrophic, so it is essential to have anatomical knowledge, diagnostic criteria, therapeutic knowledge, and the acquisition of a high index of suspicion.1,2

The incidence is approximately 1 in 500 newborns affected and frequently presents within the first month of life in 64 to 80% of patients; however, in some cases, it presents in adulthood. Some patients may be asymptomatic throughout their lives. In contrast, others may present with symptoms in adulthood, such as intermittent postprandial biliary vomiting (30%), intermittent postprandial abdominal pain (20%), oral intolerance, chronic diarrhea, and malabsorption. Most symptoms present about six months before diagnosis. In asymptomatic patients who go unnoticed, intestinal malrotation often presents as cecal volvulus or intestinal obstruction. Isolated intestinal malposition is not considered a predisposing factor for volvulus, but the lack of fixation in these structures. Approximately 10 to 15% of cases present acute abdomen secondary to volvulus.3,4 These patients present with severe abdominal pain and evidence of intestinal obstruction, hematemesis, hematochezia, or hemodynamic instability.5,6



CASE REPORT

We present the case of a 65-year-old female patient with a history of long-standing rheumatoid arthritis treated with prednisone, postherpetic neuralgia treated with the placement of an analgesic infusion pump for five years, and uncomplicated ventral epigastric hernia of two years of evolution. The patient presented to the Emergency Department with colicky abdominal pain of sudden onset and intensity 8/10 on the visual analog scale (VAS); abdominal distension, obstipation, and vomiting of intestinal characteristics on multiple occasions.

Physical examination revealed an abdomen with generalized distension, absent peristaltic sounds, tympanic on percussion, and pain on superficial palpation, mainly in the right hemiabdomen. Peritoneal irritation was excluded, but a 5 × 5 cm mass was found in the epigastrium, with non-reducible contents and no evidence of strangulation.

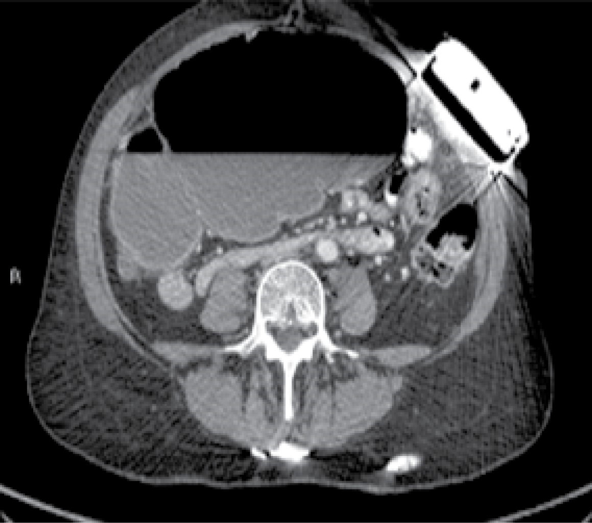
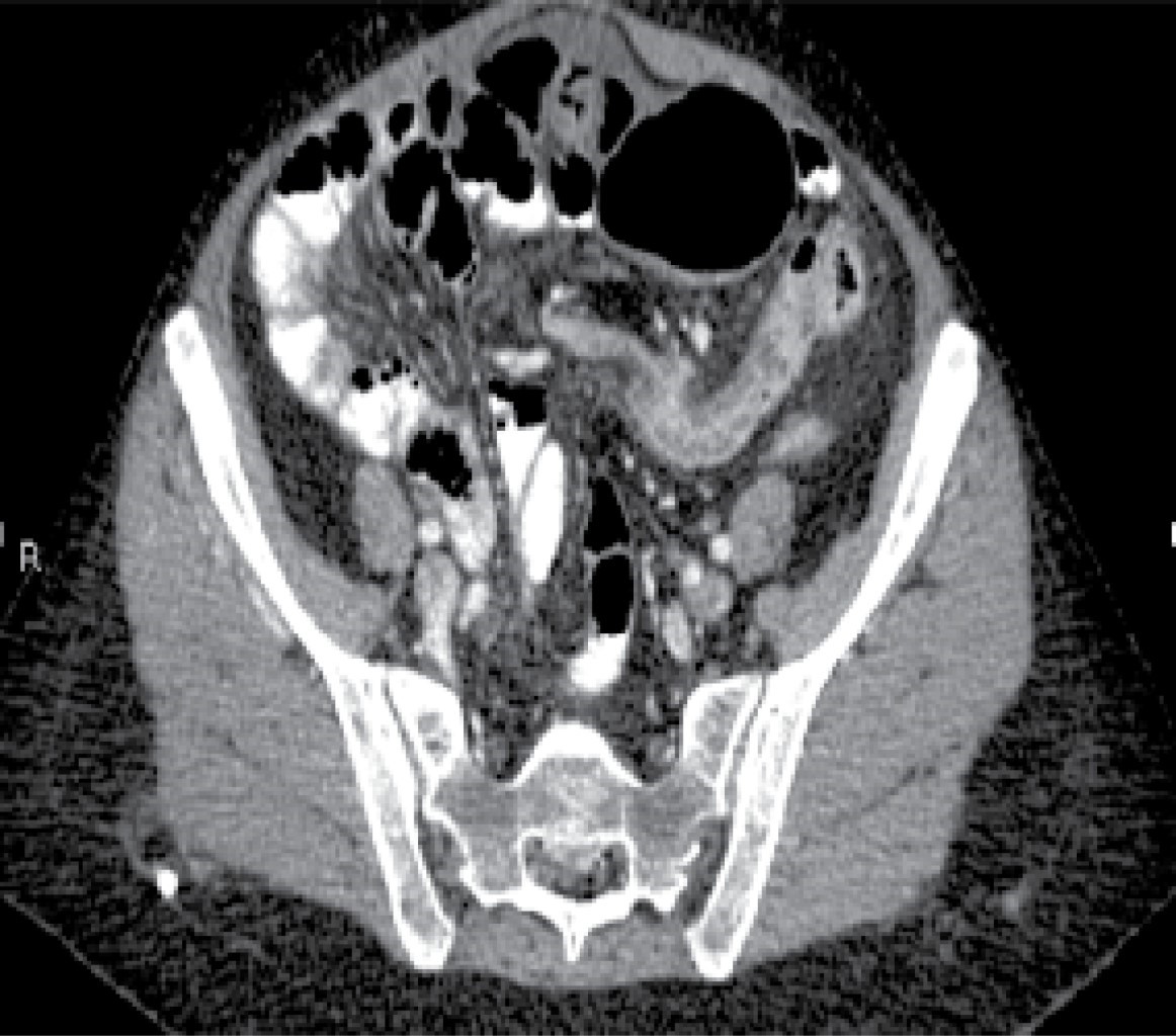
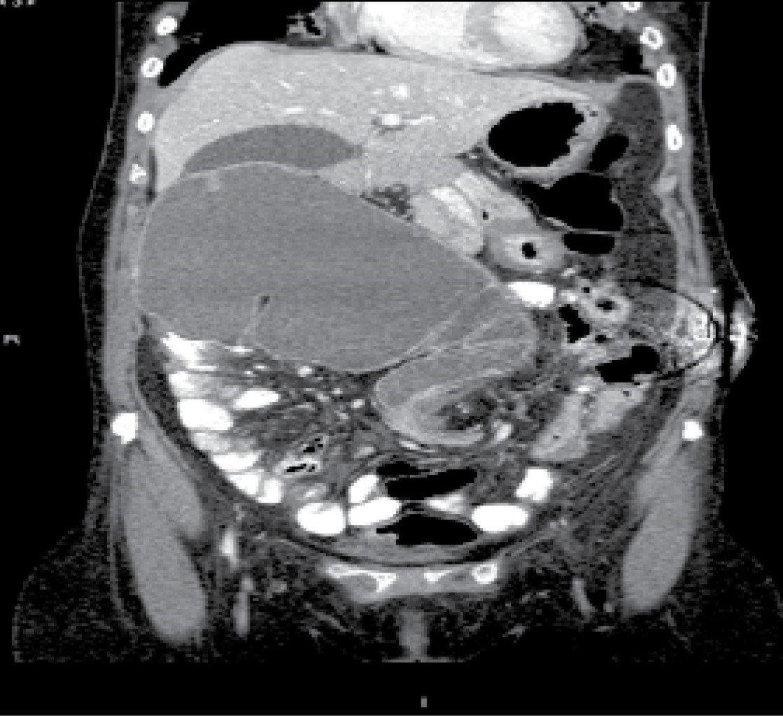
Laboratory studies were requested, which reported 12,000 leukocytes per cubic millimeter, seven-band forms, and serum lactate levels of 2.8 mmol/l. Subsequently, an abdominal tomography with double contrast was performed, finding significant cecal dilatation, the ascending colon and the proximal portion of the transverse colon, and a transition zone towards the distal third located in the left iliac fossa. Likewise, a supraumbilical abdominal wall hernia is found in the midline with scarce fatty tissue and omentum (Figures 1, 2, 3 and 4).

We decided to perform a surgical exploration of the abdominal cavity by mid-laparotomy, with dissection of the contents and hernial sac at the epigastric level. Subsequently, we accessed the abdominal cavity, where we found cecum volvulus accompanied by distension of up to 12 cm from the cecum to the middle third of the transverse colon. Intestinal malrotation was found from the angle of Treitz secondary to the presence of congenital adhesions to the abdominal wall, called Ladd bands. The right hemicolon was found with an extensive area of necrosis, so a right hemicolectomy was performed with subsequent latero-lateral ileo-transverse mechanical anastomosis with a GIA 60 mm blue cartridge stapler (Figure 5). After thoroughly washing the abdominal cavity, two 19 Fr Blake drains were placed. The abdominal wall was closed in planes, facing the aponeurosis with Prolene 1 suture in the continuous suture.

The postoperative period was uneventful, with antibiotic management with ceftriaxone 1 g intravenous (iv) every 12 hours and metronidazole 500 mg iv every eight hours for six days. The patient was started orally on the second postoperative day and was discharged home on the sixth day. Outpatient evolution was satisfactory, with no eventualities.



DISCUSSION

In 1936, William Edwards Ladd described intestinal malrotation as a congenital anomaly in the period of intestinal rotation and fixation during fetal development. Alterations in the normal oblique junction of the mesentery of the small intestine and the normal junction of the mesentery of the ascending colon characterize this anomaly. The intestinal embryological development can suffer alterations in any of its phases and, in the same way, they can be grouped according to the corresponding developmental stage.2,7

The herniation phase, better known as the first phase, occurs during the first ten weeks of gestation and is characterized by intestinal protrusion through the yolk sac. When failure of the first phase occurs, an omphalocele may develop.1,7

The second phase, the abdominal return phase, occurs during the 10th and 11th weeks. The intestine undergoes a retraction of the umbilical cord and returns to the abdomen, with the duodenojejunal loop being the first to return to the abdominal cavity. Subsequently, it rotates counterclockwise 270 degrees about the axis of the superior mesenteric artery. During this phase, three alterations are described: non-rotation, incomplete rotation, and reverse rotation, non-rotation being the more frequent.1,7 In intestinal non-rotation, a duodenum descending towards the right side of the superior mesenteric artery is described, resulting in a small intestine displaced towards the right hemiabdomen and a colon located in the left hemiabdomen. The absence of the development of the ligament of Treitz causes the cecum to remain in the left hemiabdomen. Instead, it remains attached to the right abdominal wall by peritoneal fibrous bands, the bands of Ladd. This type causes the small bowel to be highly mobile, increasing the risk of developing volvulus. These bands usually encircle the duodenum, causing symptoms of intermittent intestinal obstruction.1,3,7 In incomplete rotation or malrotation, alterations are described as intestinal obstruction by Ladd's bands or volvulus caused by a duodenal rotation of only 180 degrees and a colonic-cecal loop that lacks 180 degrees of its regular rotation.1,3

Third-stage failure, known as the fixation stage, occurs from week 12 until birth. It may result in a mobile cecum, subhepatic cecum, or retrocecal appendix. In other cases, mesenteric intestinal fixation failure may occur, which leads to an increased risk of developing volvulus.1

Intestinal malrotation should be suspected in adult patients presenting with the previously mentioned clinical picture or similarly abnormal findings in imaging studies performed for other reasons. The upper gastrointestinal series is considered the gold standard study for pediatric and adult patients, thanks to its ability to visualize the normal course of the duodenum, where the contrast medium is detected in its second portion or the classic corkscrew appearance in the first loops of the jejunum.8 Nowadays, the use of computed axial tomography for diagnosis has increased. Nevertheless, patients presenting with acute abdomen secondary to intestinal malrotation with evidence of intestinal ischemia should undergo emergency laparotomy without needing prior imaging studies.8

Computed axial tomography proves to be a useful alternative diagnostic tool; it can identify rotation patterns associated with particular complications.9 Similarly, the superior mesenteric artery can be inverted with the superior mesenteric vein positioned to the left or rotated around the artery. However, in more recent series, it has come to demonstrate the same sensitivity and specificity as the upper gastrointestinal series.10

Abdominal ultrasonography is not very useful for diagnosis since its negative result does not exclude the presence of intestinal malrotation. Likewise, in some cases, it is possible to reach the diagnosis incidentally for other reasons.11

Therapeutics in patients with intestinal malrotation depend on the initial presentation. In asymptomatic cases, without evidence of volvulus, intestinal ischemia, or with non-life threatening gastrointestinal manifestations, a Ladd procedure can be performed electively. The Ladd procedure can be performed open or laparoscopically due to significant differences in complication rates, need for reoperation, or persistence of symptoms.6

In 1936, William Edwards Ladd described a procedure that is still the therapeutic technique used today. It is described as a procedure designed to treat acute problems and, at the same time, reduce the risk of developing volvulus later on. The Ladd procedure consists of five steps: identification and counterclockwise detorsion of the volvulus, division of the Ladd bands, division of the inter-mesenteric bands (fibrous bands located between the non-cecal bowel loops and the duodenum), and finally, appendectomy. Once all five steps have been performed, the bowel is placed in its normal anatomic position. Historically a laparotomy approach was preferred. Today the benefits of performing the procedure laparoscopically have been studied and proven. It is possible to be confronted with a case in which there is a suspicion of the viability of the intestinal loops, so it is recommended to perform an exploration within 24 to 48 hours.12

Emergency laparotomy is required in case of acute abdomen secondary to intestinal volvulus and ischemia. It is worth mentioning that adequate volume resuscitation is needed during the preoperative period, a nasogastric tube should be placed, and a broad-spectrum antibiotic should be started, which was performed in the case presented. Preoperative measures should not delay the start of surgery and should be carried out while the patient is transferred to the operating room. Even so, it is more common for patients undergoing laparotomy to have an increased risk of developing adhesions and other complications. In the above case, the patient evolved satisfactorily, with no complications developing. In most cases, such as the one mentioned, the diagnosis is made in the transoperative period since they present with hemodynamic instability, and therefore their surgical management is immediate.



CONCLUSIONS

Malrotation is a pathology that can go unnoticed since most patients are asymptomatic; however, others present variable gastrointestinal alterations before the diagnosis can be approached. Acute abdominal presentation requires emergency surgical intervention. The procedure of choice is the Ladd procedure, characterized by detorsion of the volvulus, division of the intermesenteric bands, appendectomy, and anatomical bowel repositioning.

Considering the potentially catastrophic outcome, it is imperative to have a high index of suspicion in patients with the characteristics mentioned above to employ the best therapy in a timely and appropriate manner.


REFERENCES

  1. Torres AM, Ziegler MM. Malrotation of the intestine. World J Surg. 1993; 17: 326-331.

  2. Ladd WE. Surgical diseases of the alimentary tract in infants. N Engl J Med. 1936; 215: 705-708.

  3. Haak BW, Bodewitz ST, Kuijper CF, de Widt-Levert LM. Intestinal malrotation and volvulus in adult life. Int J Surg Case Rep. 2014; 5: 259-261.

  4. Yanez R, Spitz L. Intestinal malrotation presenting outside the neonatal period. Arch Dis Child. 1986; 61: 682-685.

  5. Devlin HB, Williams RS, Pierce JW. Presentation of midgut malrotation in adults. Br Med J. 1968; 1: 803-807.

  6. Fung AT, Konkin DE, Kanji ZS. Malrotation with midgut volvulus in an adult: a case report and review of the literature. J Surg Case Rep. 2017; 2017: rjx081.

  7. Hernando-Almudí E, Cerdán-Pascual R, Vallejo-Bernad C, Martín-Cuartero J, Sánchez-Rubio M, Casamayor-Franco M. Malrotación intestinal en adulto asociada a vólvulo intestinal. Cirugía y Cirujanos. 2017; 85: 424-427.

  8. Kotobi H, Tan V, Lefevre J, Duramé F, Audry G, Parc Y. Total midgut volvulus in adults with intestinal malrotation. Report of eleven patients. J Visc Surg. 2017; 154: 175-183.

  9. Yang B, Chen WH, Zhang XF, Luo ZR. Adult midgut malrotation: multi-detector computed tomography (MDCT) findings of 14 cases. Jpn J Radiol. 2013; 31: 328-335.

  10. Durkin ET, Lund DP, Shaaban AF, Schurr MJ, Weber SM. Age-related differences in diagnosis and morbidity of intestinal malrotation. J Am Coll Surg. 2008; 206: 658-663.

  11. Ashley LM, Allen S, Teele RL. A normal sonogram does not exclude malrotation. Pediatr Radiol. 2001; 31: 354-356.

  12. Frasier LL, Leverson G, Gosain A, Greenberg J. Laparoscopic versus open Ladd's procedure for intestinal malrotation in adults. Surg Endosc. 2015; 29: 1598-1604.



AFFILIATIONS

1 Ascribed to the General Surgery Service. Hospital Ángeles Lomas. Mexico City, Mexico.

2 General Surgery Resident. Hospital Ángeles Lomas. Mexico City, Mexico.

3 Intern of the General Surgery Service. Hospital Ángeles Lomas. Mexico City, Mexico.

4 Ascribed to the Anesthesiology Service. Hospital Ángeles Lomas. Mexico City, Mexico.



Ethical considerations and responsibility: the authors declare that they followed the protocols of their work center on the publication of patient data, safeguarding their right to privacy through the confidentiality of their data.

Funding: no financial support was received for this work.

Disclosure: the authors declare that there is no conflict of interest in carrying out the work.



CORRESPONDENCE

Oscar Cervantes-Gutiérrez. E-mail: ocervan@hotmail.com




Received: 09/10/2020. Accepted: 04/20/2021

Figure 1
Figure 2
Figure 3
Figure 4
Figure 5

2020     |     www.medigraphic.com

Mi perfil

C?MO CITAR (Vancouver)

Cir Gen. 2021;43