medigraphic.com
ENGLISH

Cirujano General

ISSN 2594-1518 (Digital)
ISSN 1405-0099 (Impreso)
  • Mostrar índice
  • Números disponibles
  • Información
    • Información general        
    • Directorio
  • Publicar
    • Instrucciones para autores        
    • Envío de artículos
  • medigraphic.com
    • Inicio
    • Índice de revistas            
    • Registro / Acceso
  • Mi perfil

2022, Número 2

<< Anterior Siguiente >>

Cir Gen 2022; 44 (2)


Complicaciones y efectos a largo plazo en paciente con neumonía atípica por COVID-19: reporte de caso clínico

Jiménez-Fuentes, Edgardo1; Barlandas-Quintana, Érika2; Piña-Moreno, Karla del Carmen2; Zubillaga, Asya2; Carrión-Astudillo, Christian Marcelo2
Texto completo Cómo citar este artículo 10.35366/109717

DOI

DOI: 10.35366/109717
URL: https://dx.doi.org/10.35366/109717
Artículos similares

Idioma: Español/Inglés [English version]
Referencias bibliográficas: 15
Paginas: 83-86
Archivo PDF: 170.11 Kb.


PALABRAS CLAVE

COVID-19, SARS-CoV-2, complicaciones pulmonares.

RESUMEN

Introducción: la infección por coronavirus de tipo 2 causante del síndrome respiratorio agudo severo (SARS-CoV-2) se ha propagado rápidamente resultando en una pandemia, condicionando afección grave en miles de pacientes alrededor del mundo. Aunque el número de artículos sobre esta patología crece exponencialmente, hay pocos casos clínicos publicados que describan complicaciones pulmonares a largo plazo. Reporte de caso: masculino de 57 años con derrame pleural derecho secundario a enfermedad por coronavirus de 2019 (COVID-19), se coloca sonda endopleural sin lograr expansión pulmonar completa. Se presenta a toracotomía exploradora que revela neumonía necrotizante, fístula broncopleural del lóbulo medio derecho y paquipleuritis como complicaciones pulmonares tardías de infección por SARS-CoV-2. Conclusión: se requiere continuar una ardua investigación con respecto a la gran variabilidad de complicaciones por COVID-19 y plantear tratamiento quirúrgico para pacientes seleccionados.



INTRODUCCIóN

A finales de 2019 se identificó un nuevo coronavirus como causa de neumonía atípica en un grupo de pacientes en Wuhan, China. Desde entonces este microorganismo se ha propagado rápidamente, resultando en una pandemia. Dicha infección fue designada por la Organización Mundial de la Salud con el término de enfermedad por COVID-19 (es decir, enfermedad por coronavirus 2019).1 El virus que causa COVID-19 se denomina coronavirus 2 del síndrome respiratorio agudo severo (SARS-CoV-2). La mayor morbilidad y mortalidad por COVID-19 se debe en gran medida a la neumonitis viral aguda que evoluciona a síndrome de dificultad respiratoria aguda (SDRA). Se presenta el caso de un paciente con hospitalización e intubación prolongadas secundarias a enfermedad por COVID-19, así como las complicaciones pulmonares observadas y su resolución quirúrgica.



PRESENTACIóN DE CASO CLíNICO

Masculino de 57 años de edad, con antecedente de hipertensión arterial sistémica de larga evolución en tratamiento con losartán 50 mg cada 12 horas. Inicia padecimiento con odinogafia, astenia y adinamia, por lo que acude a médico particular quien diagnosticó faringoamigdalitis e indicó tratamiento antibiótico no especificado. Cinco días después inicia con alzas térmicas no cuantificadas, tos seca en accesos y disnea de medianos esfuerzos, motivo por el cual acude a valoración de urgencias.

Es revisado en el triaje respiratorio de nuestra unidad que observa saturación de oxígeno de 45%, con lo que se inicia manejo con oxígeno suplementario, aumentando hasta 55%, por lo que se decidió su ingreso al servicio de choque como prioridad tipo I. Por datos de insuficiencia respiratoria se inició manejo de la vía aérea, realizando sedación y bloqueo neuromuscular con midazolam y rocuronio, posteriormente se colocó tubo orotraqueal número 7.5, a 21 cm de la arcada dentaria; a su vez se decide colocación de catéter venoso central con abordaje subclavio derecho, sin complicaciones.

Se inició ventilación mecánica invasiva con los siguientes parámetros: volumen total de 30 ml, fracción inspirada de oxígeno (FiO2) al 100%, frecuencia respiratoria (FR) 24 rpm, presión positiva al final de la espiración (PEEP) 14, relación inspiración:espiración (I:E) 1:1.5, presión pico (Ppico) 36 cm H2O, manteniendo saturación de oxígeno (SatO2) > 90%. Se inició también manejo con norepinefrina 0.7 μg/kg/min y dobutamina a 2.5 μg/kg. Se administraron ceftriaxona, oseltamivir y claritromicina. Se integran los diagnósticos de: insuficiencia respiratoria aguda tipo 1, desequilibrio ácido-base mixto (acidosis respiratoria aguda, acidosis láctica) probable neumonía atípica versus SIRA grave (SARS-CoV-2, CURB 65 dos puntos, PSI PORT 127 puntos, SMART-COP ocho puntos), desequilibrio hidroelectrolítico (hipocalcemia leve sin repercusión electrocardiográfica).

Se realizó hisopado con reacción en cadena de la polimerasa (PCR) para SARS-CoV-2, la cual se reporta positiva el 27-04-20, se presenta a servicio de terapia intensiva el 28-04-20 por tratarse de un caso confirmado, con síndrome de insuficiencia respiratoria aguda (SIRA) severo y manejo avanzado de la vía aérea.

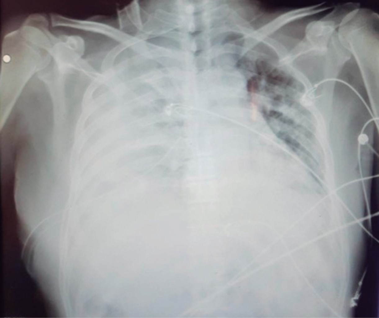
Es extubado el 28-05-20, posterior a ello el paciente presenta un derrame pleural derecho de 80%, por lo que se interconsulta al servicio de cirugía general el 05-06-20 para colocación de sonda endopleural (Figura 1).

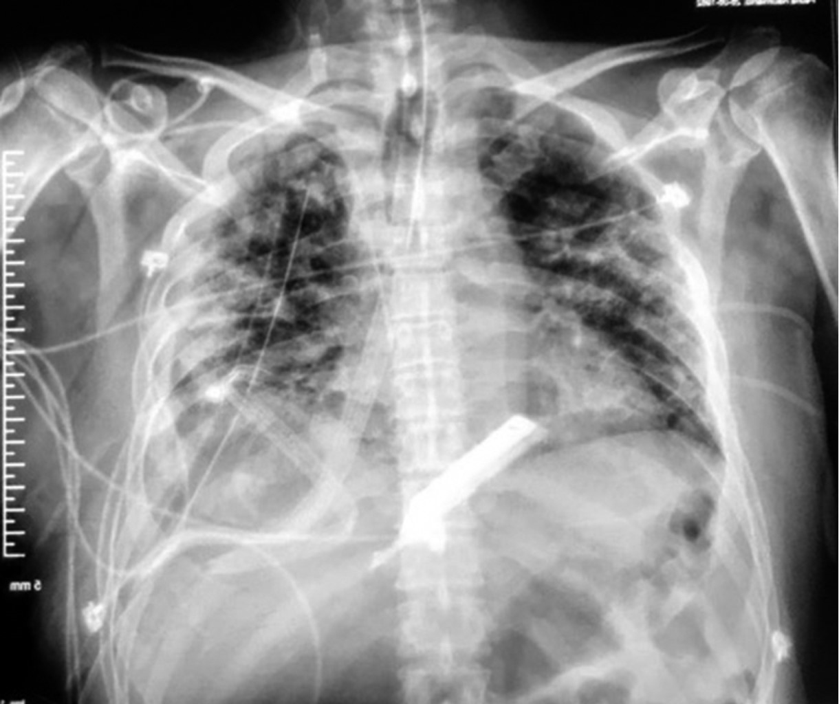
Sin embargo, el paciente evoluciona de manera tórpida, sin lograr reexpansión pulmonar, por lo que se presenta para toracotomía posterolateral derecha el 10-06-20 observando como hallazgos transoperatorios neumonía necrotizante, fístula broncopleural del lóbulo medio derecho y paquipleuritis (Figura 2); se drenaron aproximadamente 200 cm3 de material turbio, se enviaron cultivos y se dejan como drenajes una sonda endopleural y dos drenajes tipo Jackson-Pratt, uno anterior y el otro posterior (Figura 3).

El paciente progresa hacia la mejoría, se decide retiro de sonda endopleural el 15-06-20; es extubado el 18-06-20 y se retira drenaje de Jackson Pratt anterior el 19-06-20. Egresa a domicilio el 23-06-20 para continuar seguimiento por consulta externa.

Posteriormente, se recaba reporte de patología, el cual menciona paquipleuritis aguda fibrinopurulenta y crónica organizada con escasas células gigantes de tipo cuerpo extraño; hallazgos histológicos compatibles con fístula broncopleural ulcerada con tejido de granulación, inflamación crónica con escasas células gigantes de tipo cuerpo extraño, hemorragia reciente y antigua. Fibrosis irregular de tipo cicatrizal en parénquima pulmonar adyacente.



DISCUSIóN

Tras la adquisición de la infección por SARS-CoV-2, pueden presentarse múltiples complicaciones asociadas. La edad parece ser el principal factor de riesgo que predice la progresión a síndrome de dificultad respiratoria aguda (SDRA).2-5 Las comorbilidades, fiebre alta (≥ 39 oC), antecedentes de tabaquismo y ciertas características de laboratorio también predicen la progresión y muerte por COVID-19. La necesidad de ventilación mecánica en pacientes gravemente enfermos es elevada, con un rango de 30 a 100%.3,5-8 No obstante, la distensibilidad pulmonar es alta comparada con otras etiologías de SDRA. Se ha observado que la incidencia de barotrauma en quienes requieren ventilación mecánica, se ha reportado hasta en 25% de los pacientes a pesar del uso de volúmenes corrientes y presiones máximas bajos.9 Por otra parte, los derrames pleurales se consideran inusuales.10

Hay una escasez de datos que describan la patología pulmonar de la neumonía por COVID-19 en pacientes críticos. La mayoría de los informes de autopsias describen inflamación mononuclear,11,12 cambios en la membrana hialina y trombosis de microvasos sugestivos de SDRA precoz (es decir, fases exudativas y proliferativas de daño alveolar difuso [DAD]).12-14 Otros hallazgos incluyen: neumonía bacteriana (aislada o superpuesta a DAD) y neumonitis viral.13,14 Los hallazgos menos comunes incluyen neumonía organizada fibrinosa aguda (en las últimas etapas),15 deposición de amiloide y rara vez hemorragia alveolar y vasculitis.14

En el caso de nuestro paciente hubo hallazgos histopatológicos relacionados, inflamación crónica con escasas células gigantes de tipo cuerpo extraño así como hallazgos descritos como "menos comunes" o atípicos, entre los que se encuentran paquipleuritis, fístula broncopleural ulcerada, hemorragia y fibrosis del parénquima pulmonar adyacente. Actualmente se desconoce el porcentaje de pacientes con secuelas a largo plazo; sin embargo, un estudio retrospectivo de 110 pacientes con COVID-19 informó anomalías persistentes en la función pulmonar al alta en pacientes con neumonía leve y neumonía grave.15



CONCLUSIóN

Este caso nos lleva a plantearnos la gran variabilidad de complicaciones posibles secundarias a este nuevo virus, y la necesidad de continuar una ardua investigación al respecto. Asimismo, este caso ejemplifica la necesidad de plantear tratamiento quirúrgico a aquellos pacientes críticos cuya distensibilidad pulmonar se encuentra comprometida y no responden a tratamiento médico convencional. No obstante, consideramos debe seleccionarse cuidadosamente a los pacientes para no generarles mayor agravio y ofrecer tratamiento resolutivo a aquellos que resulten candidatos al mismo.



AGRADECIMIENTOS

Agradecemos a los trabajadores del sector salud (personal médico, enfermeros, camilleros, personal de limpieza y administrativos) por sus inalcanzables esfuerzos para luchar contra la pandemia y cuidar de nuestros enfermos.


REFERENCIAS (EN ESTE ARTÍCULO)

  1. World Health Organization. Naming the coronavirus disease (COVID-19) and the virus that causes it. [Retrieved from February 10, 2021] Available in: https://www.who.int/emergencies/diseases/novel-coronavirus-2019/technical-guidance/naming-the-coronavirus-disease-(covid-2019)-and-the-virus-that-causes-it

  2. Liu K, Fang YY, Deng Y, Liu W, Wang MF, Ma JP, et al. Clinical characteristics of novel coronavirus cases in tertiary hospitals in Hubei Province. Chin Med J (Engl). 2020; 133: 1025.

  3. Arentz M, Yim E, Klaff L, Lokhandwala S, Riedo FX, et al. Characteristics and outcomes of 21 critically ill patients with COVID-19 in Washington State. JAMA. 2020; 323: 1612-1614.

  4. Anderson MR, Geleris J, Anderson DR, Zucker J, Nobel YR, et al. Body mass index and risk for intubation or death in SARS-CoV-2 infection: a retrospective cohort study. Ann Intern Med. 2020; 173: 782-790.

  5. Wu C, Chen X, Cai Y, Xia J, Zhou X, Xu S, et al. Risk factors associated with acute respiratory distress syndrome and death in patients with coronavirus disease 2019 pneumonia in Wuhan, China. JAMA Intern Med. 2020; 180: 934-943.

  6. Yang X, Yu Y, Xu J, Shu H, Xia J, Liu H, et al. Clinical course and outcomes of critically ill patients with SARS-CoV-2 pneumonia in Wuhan, China: a single-centered, retrospective, observational study. Lancet Respir Med. 2020; 8: 475-481.

  7. Bhatraju PK, Ghassemieh BJ, Nichols M, Kim R, Jerome KR, Nalla AK, et al. Covid-19 in critically ill patients in the seattle region - case series. N Engl J Med. 2020; 382: 2012-2022.

  8. Grasselli G, Zangrillo A, Zanella A, Antonelli M, Cabrini L, Castelli A, et al. Baseline characteristics and outcomes of 1591 patients infected with SARS-CoV-2 admitted to ICUs of the Lombardy Region, Italy. JAMA. 2020; 323: 1574-1581.

  9. Gomersall CD, Joynt GM, Lam P, Li T, Yap F, Lam D, et al. Short-term outcome of critically ill patients with severe acute respiratory syndrome. Intensive Care Med. 2004; 30: 381-387.

  10. Peng QY, Wang XT, Zhang LN; Chinese Critical Care Ultrasound Study Group (CCUSG), et al. Findings of lung ultrasonography of novel corona virus pneumonia during the 2019-2020 epidemic. Intensive Care Med. 2020; 46: 849-850.

  11. Zhang Y, Gao Y, Qiao L, Wang W, Chen D. Inflammatory response cells during acute respiratory distress syndrome in patients with coronavirus disease 2019 (COVID-19). Ann Intern Med. 2020; 173: 402-404.

  12. Xu Z, Shi L, Wang Y, Zhang J, Huang L, Zhang C, et al. Pathological findings of COVID-19 associated with acute respiratory distress syndrome. Lancet Respir Med. 2020; 8: 420-422.

  13. Wichmann D, Sperhake JP, Lütgehetmann M, Steurer S, Edler C, Heinemann A, et al. Autopsy findings and venous thromboembolism in patients with COVID-19. Ann Intern Med. 2020; 173: 268-277.

  14. Menter T, Haslbauer JD, Nienhold R, Savic S, Hopfer H, Deigendesch N, et al. Postmortem examination of COVID-19 patients reveals diffuse alveolar damage with severe capillary congestion and variegated findings in lungs and other organs suggesting vascular dysfunction. Histopathology. 2020; 77: 198-209.

  15. Mo X, Jian W, Su Z, Chen M, Peng H, et al. Abnormal pulmonary function in COVID-19 patients at time of hospital discharge. Eur Respir J. 2020; 55: 2001217.



AFILIACIONES

1 Residente de Cirugía General. Departamento de Cirugía General y Endoscópica. Hospital General "Dr. Manuel Gea González", Secretaría de Salud (SSA), Ciudad de México.

2 Médico adscrito. Jefe del Servicio de Neumología y Cirugía de Tórax, Instituto Nacional de Cancerología. Hospital General "Dr. Manuel Gea González", Secretaría de Salud (SSA), Ciudad de México.



Consideraciones y responsabilidad ética: los autores declaran que siguieron los protocolos de su centro de trabajo sobre la publicación de datos de pacientes, resguardando su derecho a la privacidad mediante la confidencialidad de sus datos.

Financiamiento: los autores declaran que no se recibió ningún tipo de financiamiento para la redacción.

Conflicto de intereses: los autores declaran no tener conflicto de intereses.



CORRESPONDENCIA

Érika Barlandas-Quintana. E-mail: barlandas@gmail.com




Recibido: 30/03/2021. Aceptado: 23/12/2022

Figura 1
Figura 2
Figura 3

2020     |     www.medigraphic.com

Mi perfil

C?MO CITAR (Vancouver)

Cir Gen. 2022;44

ARTíCULOS SIMILARES

CARGANDO ...