medigraphic.com
ENGLISH

Cirujano General

ISSN 2594-1518 (Digital)
ISSN 1405-0099 (Impreso)
  • Mostrar índice
  • Números disponibles
  • Información
    • Información general        
    • Directorio
  • Publicar
    • Instrucciones para autores        
    • Envío de artículos
  • medigraphic.com
    • Inicio
    • Índice de revistas            
    • Registro / Acceso
  • Mi perfil

2022, Número 2

<< Anterior Siguiente >>

Cir Gen 2022; 44 (2)


Absceso hepático amebiano de localización poco frecuente

Alvarado Hernández, Roberto Antonio1; Mayorga Lira, Gerardo de Jesús2
Texto completo Cómo citar este artículo 10.35366/109716

DOI

DOI: 10.35366/109716
URL: https://dx.doi.org/10.35366/109716
Artículos similares

Idioma: Español/Inglés [English version]
Referencias bibliográficas: 10
Paginas: 77-82
Archivo PDF: 267.41 Kb.


PALABRAS CLAVE

absceso hepático, drenaje, laparotomía.

RESUMEN

Se trata de paciente masculino de 38 de edad, el cual es valorado en el servicio de urgencias por dolor abdominal, sin antecedentes de relevancia, inicia padecimiento actual con dolor en epigastrio, irradiado a flanco derecho, agravado con la ingesta de alimentos. Se realiza una tomografía computarizada, la cual mostró una importante cantidad de líquido en el espacio pleural izquierdo que condicionó una atelectasia pasiva del lóbulo inferior, se detecta en el hígado una lesión con densidad heterogénea, además de incremento del lóbulo hepático izquierdo. Se procede al drenaje de la lesión encontrando un absceso hepático roto a cavidad peritoneal, se obtienen cerca de tres litros de líquido purulento hemático con aspecto de "pasta de anchoas". Se realiza estudio citológico y citoquímico del líquido drenado, aislando Entamoeba histolytica.



INTRODUCCIóN

La infección por E. histolytica es altamente endémica y muy común en nuestro medio,1-3 por lo regular se asocia a condiciones sanitarias de poca calidad, un gran porcentaje de las personas contagiadas son portadores,4,5 por lo que debe sospecharse en pacientes que presentan dolor en el cuadrante superior derecho del abdomen, fiebre, hepatomegalia y absceso hepático.1,6,7

E. histolytica recibe su nombre por el efecto lítico que ocasiona a las células circundantes.2,8 Bajo microscopia electrónica de barrido se ha demostrado que los principales organelos involucrados en la respuesta patológica es la lisis de los núcleos y citoplasma,6 la ameba se une a las células del hospedero a través de enlaces galactosa lectina, en las fases iniciales la invasión tisular es ocasionada por la acción de proteasas procedentes de los trofozoitos, las cuales degradan la fibronectina y laminina, componentes de la matriz extracelular desencadenando una respuesta inmunitaria innata. La lisis de la célula se da por la formación de amebaporos creados por la acción de fosfolipasas, este ciclo es el que terminará en la formación de un absceso.2,8,9

Es común en todos los grupos de edad, es ligeramente más frecuente en hombres de entre 20-40 años, predominante en países con clima tropical.1,4,5 Se piensa que la predominancia de género está asociada al consumo de alcohol, ya que éste desencadena una disfunción de las células de Kupffer así como una respuesta celular y humoral inadecuada.10

La clínica suele aparecer cuatro meses después de estar expuesto en una zona endémica,4,5 y variar con la severidad del cuadro y la localización del absceso. Es común que en abscesos del lóbulo derecho haya fiebre de inicio súbito, que se acompaña de escalofríos, sudoración de predominio nocturno, así como dolor constante e intenso en hipocondrio derecho que se irradia a la región escapular y deltoidea derecha,7 que se agrava con la tos, mientras que en los abscesos del lóbulo izquierdo es frecuente que los pacientes refieran epigastralgia que se irradia a la región deltoidea izquierda.10 Aproximadamente 30% de los pacientes desarrollan tos no productiva, anorexia, náuseas vómito, diarrea y pérdida de peso.1 En ambos casos la hepatomegalia y el dolor a la palpación del hipocondrio son muy comunes, por el contrario la ictericia se observa en menos de 10%. Las lesiones del lóbulo izquierdo representan sólo 35% con un peor pronóstico1,7,10 y una amplia tasa de complicaciones por su extensión extrahepática. El peritoneo, los grandes vasos, el pericardio, la pleura, el árbol bronquial y los pulmones son los más afectados.10

Casi la totalidad de los pacientes presentan leucocitosis y se estima que aproximadamente 5% de los casos desarrollaron reacciones leucemoides,1 la fosfatasa alcalina se encuentra elevada en más de 50% de los pacientes y se considera uno de los marcadores más fidedignos de absceso hepático.9 La anemia leve se presenta en uno de cuatro de los pacientes,6 y aproximadamente en un tercio de éstos se encuentra hiperbilirrubinemia, siendo poco común la elevación de las aminotransferasas e hipoalbuminemia.1,6 Los anticuerpos antiameba suelen estar presentes en 90% de los pacientes alcanzando su pico máximo en el tercer mes y son detectables nueve meses posteriores a la resolución del absceso.4 Se considera que las pruebas de hemaglutinación indirecta son las más sensibles y específicas con un corte considerado de 1:512, mientras que en zonas no endémicas 0es de 1:256.8 El método de imagen de elección es la ultrasonografía, en la cual se demuestran lesiones únicas, ocupantes de espacio con márgenes bien definidos, en la tomografía se observan lesiones hipointensas bien delimitadas, en la radiografía de tórax se puede apreciar elevación del hemidiafragma derecho, presencia de íleo y distribución anómala del gas.1,4,5,10



PRESENTACIóN DEL CASO

Se trata de paciente masculino de 38 años que ingresa al servicio de urgencias con el diagnóstico de dolor abdominal en estudio, a descartar obstrucción intestinal versus pancreatitis.

Como antecedentes de importancia refiere ser comerciante en venta de frutas y verduras, originario de la ciudad de Lerdo, Durango, México. Antecedente de tabaquismo, suspendido hace tres meses a razón de tres cigarrillos al día, negando antecedentes de enfermedades crónico-degenerativas y procedimientos quirúrgicos, hiporexia y pérdida de peso de dos meses de evolución, sin antecedente de disentería.

Paciente inicia padecimiento 15 días antes de su ingreso con la presencia de dolor abdominal tipo cólico urente de intensidad 7/10 localizado en epigastrio, irradiado a flanco derecho y mesogastrio, exacerbado con la ingesta de alimentos, manejado con paracetamol y omeprazol con atenuación leve del dolor. Se asocia a astenia, distensión abdominal, intolerancia a la vía oral, estreñimiento e hiporexia de tres días antes de su ingreso, sin presencia de fiebre.

A la exploración física a su ingreso se encontró consciente, Glasgow de 15 puntos, orientado, con marcha antiálgica en su ingreso, diaforético con palidez de piel y tegumentos, tórax con aumento en la frecuencia respiratoria y disminución en la saturación de O2 a 90% al aire ambiente necesitando apoyo de oxígeno suplementario, hemitórax izquierdo hipo ventilado en su base así como disminución en las vibraciones vocales y matidez a la percusión, precordio rítmico con aumento en su frecuencia. Abdomen distendido, doloroso a la palpación superficial y profunda de forma generalizada, resistencia muscular y rebote positivo, peristalsis ausente, matidez a la percusión. Genitales con presencia de sonda Foley, gasto con orina concentrada, tacto rectal con ámpula vacía. Al ingresar al nosocomio el paciente presentó laboratorios externos con leucocitosis de 21,000 mm3, trombocitosis de 825,000, glucosa 230 mg/dl. Se le realizaron laboratorios al ingreso, los cuales reportaron hemoglobina (Hb) 11.7 g/dl, hematocrito (Hto) 37.6%, leucocitos (Leu) 15.9 mm3, neutrófilos (Neu) 79%, bandas 2%, plaquetas. 858,000 mcl, glucosa 270 g/dl, Cr 0.4 mg/dl, electrólitos séricos con Na 130 mEq/l, Ca 7.8 mg/dl, P 4.6 mg/dl, Cl 89 mEq/l, K 4.9 mEq/l, para descartar el diagnóstico de pancreatitis se midieron las enzimas pancreáticas, las cuales reportaron amilasa 33 y lipasa 36. Pruebas de función hepática con BT 7.3 mg/dl, BI 5.5 mg/dl, BD 1.8 mg/dl, albúmina 2.7 g/dl, TGO 43 U/l, TGP 28 U/l, GGT 225 U/l, FA 203 U/l, DHL 288 U/l gasometría arterial con pH 7.52, pCO2 41, pO2 72, HCO3 27.2 mmol/l, EB +3, O2 2 3 Sat 96%, lactato 1.59.

Estudio citoquímico de líquido pleural: color hemático, aspecto turbio, pH 6.9, glucosa 95, proteínas 3.2, albúmina 1.7, DHL 2,098; sedimento con incontables eritrocitos células epiteliales moderadas, bacterias abundantes, Leu 87.3, PMN 36, mononucleares 64, bacterias abundantes.

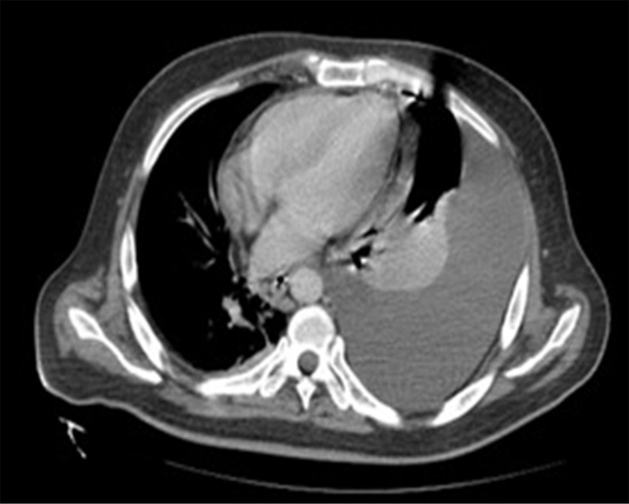
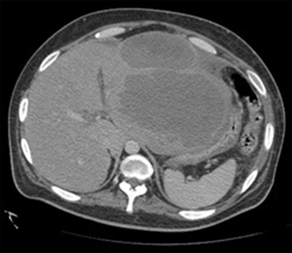
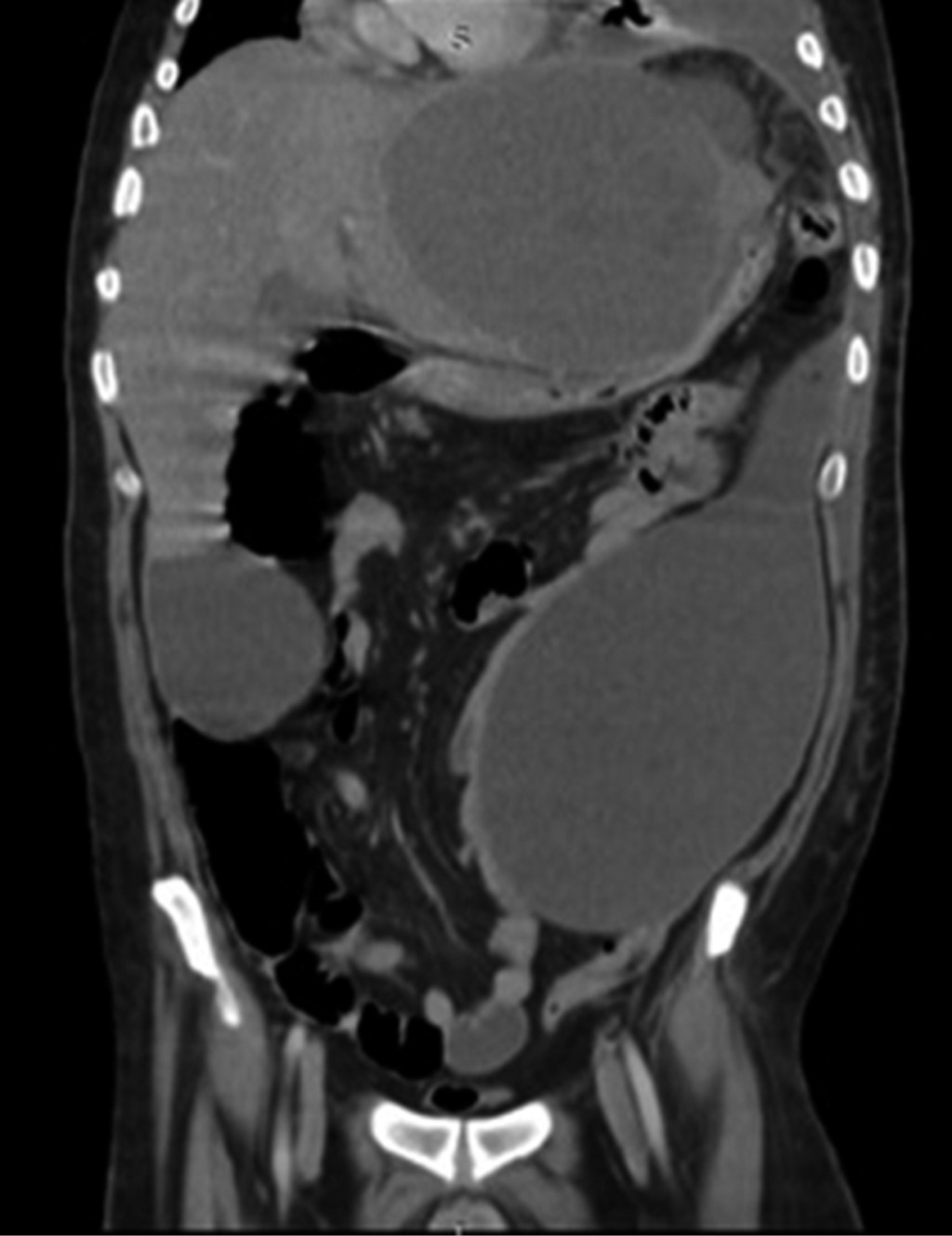
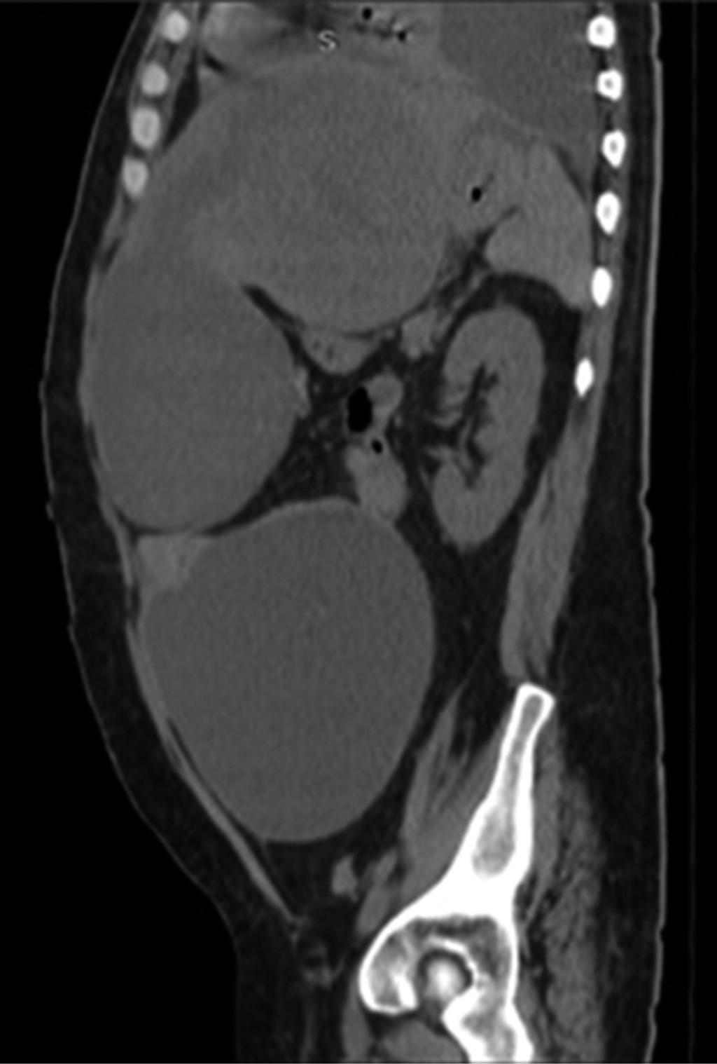
Se realizó una radiografía anteroposterior (AP) de tórax, en la cual se visualizó un derrame pleural izquierdo que cubría más de 50%. La tomografía computarizada mostró una importante cantidad de líquido en el espacio pleural izquierdo que condicionó una atelectasia pasiva del lóbulo inferior (Figura 1); el hígado se encontró con densidad heterogénea con incremento del lóbulo hepático izquierdo secundario a la presencia de una lesión heterogénea hipodensa con bordes lobulados, que muestra un reforzamiento periférico y de algunos septos internos, la cual abarca los segmentos II, III, IVa y IVb midiendo aproximadamente 20 × 14.5 × 12.5 cm (Figura 2), condicionando desplazamiento posterior y compresión del estómago y del páncreas y desplazamiento caudal de las asas intestinales (Figuras 3 y 4). En el polo inferior del lóbulo hepático derecho adyacente al segmento IV se identifica una lesión de aspecto quístico homogéneo con reforzamiento periférico tras la administración de contraste intravenoso, midiendo en sus ejes mayores 25 × 27 × 13 cm. Como manejo inicial se le colocó una sonda Foley y sonda nasogástrica presentando gasto de características gástricas (30 ml). Se colocó un catéter central, verificado por radiografía. Se solicitaron estudios de imagen. Se le indicó ayuno, se inició fluidoterapia, antibioticoterapia con ceftriaxona y metronidazol, manejo del dolor, control glucémico y protector gástrico. Al visualizar la imagen del derrame pleural izquierdo, se decide realizar una toracocentesis, obteniendo exudado espeso de aspecto "chocolatoso". Al momento de contar con la tomografía se inicia tratamiento quirúrgico urgente.

Se coloca sonda endopleural izquierda obteniéndose gasto de características serosas en cantidad de un litro, Al realizar la cirugía se encuentra absceso hepático roto a cavidad peritoneal, obteniéndose cerca de tres litros de líquido purulento hemático con aspecto de "pasta de anchoas" (Figura 5). Se visualiza cápsula del absceso localizada en lóbulo hepático izquierdo segmentos 2, 3 y 4 de aproximadamente 10 cm de diámetro que se extiende hacia diafragma sin llegar a invadirlo (Figura 6). Se realiza lavado exhaustivo de cavidad peritoneal sin encontrar afección a órganos vecinos colocando drenaje saratoga dirigido a la cápsula del absceso y drenaje de Penrose dirigido a hueco pélvico (Figuras 5, 7 y 8).



CONCLUSIONES

Si bien la amebiasis intestinal continúa siendo una enfermedad endémica, cuya prevalencia no está bien dilucidada en nuestro país3 tanto por la baja notificación de los casos como por la gran cantidad de portadores asintomáticos,5 la tasa de complicación de esta enfermedad con manifestaciones extraintestinales es muy baja.1 Es interesante la evolución de este paciente por presentar un absceso de gran tamaño en una ubicación poco frecuente,4 lo que representa un reto quirúrgico por la gran cantidad de estructuras anatómicas involucradas.

Se logró un resultado satisfactorio después de un mes de tratamiento médico, seguimiento en consulta y rehabilitación posterior con una recuperación íntegra del paciente.



AGRADECIMIENTOS

Agradecimiento especial al Servicio de Cirugía General del Hospital Universitario Torreón "Dr. Joaquín del Valle Sánchez", a sus residentes por involucrar a médicos internos de pregrado en la investigación y educación continua mostrando las virtudes del trabajo en equipo; al personal de consulta externa, quirófano y auxiliares así como al jefe de Servicio de Cirugía General de este hospital por su dedicación a la formación académica de sus residentes e internos.


REFERENCIAS (EN ESTE ARTÍCULO)

  1. Villalobos PJJ. Abscesos hepáticos. En: Valdovinos DMA, Olivera MMA, Torres VG, eds. Villalobos gastroenterología, Mendez Editores. 7a ed. 2020, pp. 555-563.

  2. Brooks GF. Parasitología médica. En: Carroll KC, Butel JS, Morse SA, Mietzner TA, eds. Jawetz, Melnick y Adelberg. Microbiología Médica, McGraw-Hill. 27a Ed, 2016, 665-702.

  3. Escandón RC, García MNT, Escobedo PJ, Hernández RJM, Olvera AJ, Cabral SJ. La amibiasis y el absceso hepático amibiano en México, un problema de salud pública de actualidad [Amebiasis and amebic liver abscess in Mexico: a present-day public health problem]. Rev Gastroenterol Mex. 1996; 61: 378-386.

  4. Leder K, Weller FP, Ryan E, Bogorodskaya M. Extraintestinal Entamoeba histolytica amebiasis. UpToDate, Retrieved. 2020. Available in: https://www.uptodate.com/contents/extraintestinal-entamoeba-histolytica-amebiasis/contributors

  5. Puebla CJG, Alday NMC, Peña RDH. Particularidades del absceso hepático amebiano en México: revisión de una cohorte de pacientes del Hospital General del Estado de Sonora. Med Int Mex. 2012; 28: 440-445.

  6. James M. Some observations of intestinal amebiasis due to infection with Entamoeba histolytica. Annals of Internal Medicine. 1928; 2: 171. Available in: https://doi.org/10.7326/0003-4819-2-2-171

  7. Sands BE. Infectious enteritis and colitis; bacterial food poisoning; intestinal protozoa and helminthic infestations. In: Mount sinai expert guides: gastroenterology. Wiley Blackwell. 2015, 250-260.

  8. Becerril MA. Amebiasis. En: Parasitología médica. McGraw Hill. 4a ed., 2014, 23-37.

  9. Aguilera P, Barry T, Tovar J. Entamoeba histolytica mitosomes: organelles in search of a function. Exp Parasitol. 2008; 118: 10-16. Available in: https://doi.org/10.1016/j.exppara.2007.08.004

  10. Rivera RJA, Soler ML, Valanci AS, Carrillo MA. Absceso hepático amebiano complicado abierto a la cavidad pleural. An Med Asoc Med Hosp ABC. 2017; 62: 293-297.



AFILIACIONES

1 Residente cuarto año, cirugía general. Hospital Universitario "Dr. Joaquín del Valle Sánchez", Torreón, Coahuila.

2 Jefe de médicos internos de pregrado. Hospital Universitario "Dr. Joaquín del Valle Sánchez", Torreón, Coahuila.



Consideraciones y responsabilidad ética: los autores declaran que siguieron los protocolos de su centro de trabajo sobre la publicación de datos de pacientes, resguardando su derecho a la privacidad mediante la confidencialidad de sus datos.

Financiamiento: no se recibió apoyo financiero para la realización de este trabajo.

Conflicto de intereses: los autores declaran que no existe ningún conflicto de intereses en la realización del trabajo.



CORRESPONDENCIA

Dr. Roberto Antonio Alvarado Hernández. E-mail: ra_ah17@hotmail.com




Recibido: 30/03/2021. Aceptado: 23/12/2022

Figura 1
Figura 2
Figura 3
Figura 4
Figura 5
Figura 6
Figura 7
Figura 8

2020     |     www.medigraphic.com

Mi perfil

C?MO CITAR (Vancouver)

Cir Gen. 2022;44

ARTíCULOS SIMILARES

CARGANDO ...