medigraphic.com
ENGLISH

Cirujano General

ISSN 2594-1518 (Digital)
ISSN 1405-0099 (Impreso)
  • Mostrar índice
  • Números disponibles
  • Información
    • Información general        
    • Directorio
  • Publicar
    • Instrucciones para autores        
    • Envío de artículos
  • medigraphic.com
    • Inicio
    • Índice de revistas            
    • Registro / Acceso
  • Mi perfil

2022, Número 3

<< Anterior Siguiente >>

Cir Gen 2022; 44 (3)


Derivación cistogástrica laparoendoscópica de una necrosis pancreática. Reporte de caso

Carrillo, Luis Miguel1; Barba-Valadez, Claudia Teresa2; Ramírez-Reyes, David3; Mora-Montoya, Cristina Elizabeth4; Rodríguez-Osuna, José Augusto5; Chávez-Fernández, Danyel Alejandro5
Texto completo Cómo citar este artículo 10.35366/109773

DOI

DOI: 10.35366/109773
URL: https://dx.doi.org/10.35366/109773
Artículos similares

Idioma: Español/Inglés [English version]
Referencias bibliográficas: 12
Paginas: 131-135
Archivo PDF: 300.63 Kb.


PALABRAS CLAVE

pancreatitis, derivación cistogástrica, mínima invasión.

RESUMEN

La incidencia de pancreatitis aguda (PA) está aumentando hasta en 0.7 hospitalizaciones por 1,000 habitantes en los EE. UU. En 80% de los pacientes, la PA es leve y autolimitada, pero hasta 20% de los pacientes puede presentar un curso necrotizante grave, responsable de una morbilidad sustancial y una tasa de mortalidad de hasta 27%. La principal causa de muerte es la infección de la necrosis, que se asocia con un mal pronóstico con una mortalidad de 15 a 39%. Hasta hace muy poco, el estándar de oro para el tratamiento de la necrosis infectada solía ser la necrosectomía quirúrgica mediante laparotomía. Este procedimiento proporciona un acceso amplio a la necrosis infectada, pero es muy invasivo y se asocia con tasas de morbilidad de 34 a 95% y una mortalidad de 11 a 39%. Los métodos alternativos implican principalmente el desbridamiento mediante abordajes retroperitoneales, laparoscópicos, endoscópicos o combinaciones de éstos. Comparten el objetivo común de evitar la laparotomía y en conjunto se conocen como "necrosectomía por mínima invasión". Estas técnicas continúan evolucionando y sometiéndose a refinamiento. Hasta la fecha no hay pruebas o ensayos aleatorizados que comparen estas técnicas con la necrosectomía "abierta" tradicional, o lo que es igualmente importante, que comparen las diferentes técnicas de necrosectomía por mínima invasión entre sí. Esto representa un problema para los cirujanos que tratan a pacientes con necrosis pancreática, ya que necesitan consultar la evidencia disponible para guiar la selección de su tratamiento. Este caso proporciona una descripción general, pero concisa de un abordaje por mínima invasión con especial referencia en la técnica y el resultado.



INTRODUCCIóN

Con el surgimiento de la mínima invasión en procedimientos quirúrgicos se ha buscado el menor impacto en el paciente, siendo estos métodos el tratamiento de elección en diversas patologías, como en este caso del drenaje de colecciones pancreáticas. Históricamente diversos términos se han utilizado para describir los acúmulos de fluidos alrededor y dentro del páncreas, dependiendo de su cronicidad y características se dividen en cuatro grupos: colecciones agudas de líquido peripancreático, colecciones líquidas necróticas, pseudoquiste pancreático y necrosis pancreática amurallada (WON [walled off necrosis]). La necrosis pancreática con formación de colecciones es susceptible a infección, por lo que es un reto por la morbilidad que se añade al drenarlas de manera abierta. Recientemente los abordajes percutáneo y endoscópico han ganado gran popularidad debido a su naturaleza de mínima invasión;1,2 sin embargo, la técnica laparoscópica ha demostrado buenos resultados terapéuticos y mayores beneficios al paciente, tales como estancia intrahospitalaria más corta y menos tiempo de recuperación.2



PRESENTACIóN DEL CASO

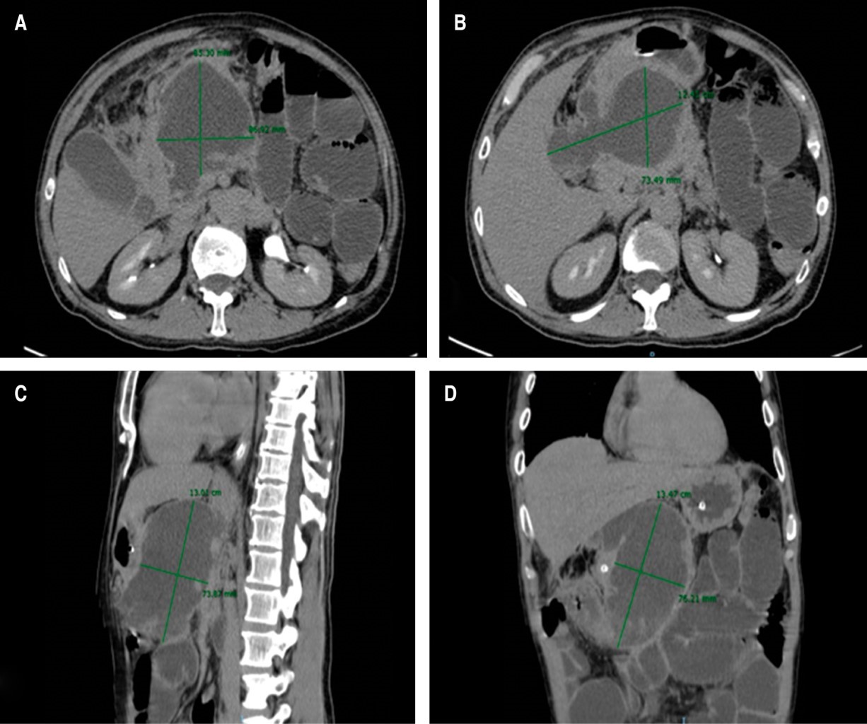
Paciente masculino de 48 años de edad con antecedentes de tabaquismo (IT 23), alcoholismo intenso, consumo de marihuana, hepatitis C, y antecedente de dos eventos de pancreatitis aguda leve de origen alcohólico resuelta sin aparentes complicaciones. Dos meses y medio después, acude por dolor abdominal al servicio de urgencias, presentando cuadro de hiporexia, náusea y vómito de dos días de evolución, encontrando a la exploración física dolor y aumento de volumen a la palpación a nivel epigástrico localizado a planos profundos, sin datos de irritación peritoneal, se completa el protocolo de diagnóstico documentando pancreatitis aguda alcohólica moderadamente severa. La tomografía axial computarizada (TAC) con evidencia de imagen hipodensa e irregular de 13.47 × 12.41 × 8.53 cm, pared definida y contenido heterogéneo correspondiente a un pseudoquiste pancreático de 746 ml de volumen (Figura 1). Se inicia con manejo de soporte hasta remisión de la pancreatitis aguda, posteriormente, se realiza derivación cistogástrica laparoendoscópica, con hallazgos de pseudoquiste pancreático de contenido necrótico septado, que desplaza estómago, obteniéndose un total de 700 ml de líquido turbio y detritus (Figura 2). Se coloca sonda nasoyeyunal de triple lumen para su alimentación enteral inmediata y descompresión gástrica. El paciente egresó en dos días del Servicio de Cirugía General del Centenario Hospital "Miguel Hidalgo" con sonda nasoyeyunal y control por consulta externa, la cual se retira tres semanas después del evento quirúrgico, tolerando adecuadamente la vía oral.



DISCUSIóN

El tratamiento quirúrgico de la pancreatitis aguda grave ha evolucionado de manera significativa en las últimas dos décadas con el surgimiento de la cirugía mínimamente invasiva.3 Para su resolución existen diversas opciones terapéuticas: el drenaje percutáneo, el manejo endoscópico; ya sea transpapilar o transmural, la técnica laparoscópica y abierta.2,4,5

La principal indicación para el drenaje es la persistencia de la sintomatología (intolerancia alimentaria, malestar persistente, mala calidad de vida y/o dolor continuo), infección u otras complicaciones. En nuestro caso el paciente presentó intolerancia a la vía oral así como sintomatología persistente. Dado el peso de la literatura durante las últimas tres décadas, está claro que la intervención quirúrgica diferida de hasta cuatro semanas ha demostrado ser más segura y ventajosa con respecto a casi todos los resultados medibles.6-10

El tratamiento estándar consiste en la necrosectomía abierta para extirpar por completo el tejido afectado.7 Sin embargo, este enfoque "estándar de oro" se asocia con una morbilidad significativa, sobre todo con altas tasas de fístulas pancreáticas (40%), fístulas entéricas (20%) y hernias incisionales (25%), así como tasas de mortalidad que oscilan entre 11 y 39%, aunado al riesgo de insuficiencia pancreática a largo plazo.6,11,12

Es así que nos encontramos ante el auge de la cirugía mínimamente invasiva;4 recientemente se ha comprobado que una combinación de diferentes enfoques podría optimizar de manera significativa el manejo clínico en pacientes críticamente enfermos afectados por pancreatitis necrotizante complicada.10,11 La literatura reciente respalda que los enfoques por mínima invasión se asocian con mejores resultados que la necrosectomía abierta temprana.10

La necrosectomía transgástrica quirúrgica (TGN) es un procedimiento con una discusión limitada.9 El estudio retrospectivo de Driedger y colaboradores9 representa la mayor experiencia de TGN dentro de la literatura actual, en el cual se expuso una serie de 178 pacientes en tres centros hospitalarios y se llegó a la conclusión de que la TGN es una excelente opción quirúrgica de un solo paso para la necrosis pancreática amurallada sintomática, ya que limita el riesgo de un desbridamiento pancreático posiblemente inadecuado y la aparición subsiguiente de una fístula pancreático-cutánea después de la necrosectomía tradicional.9,12

Tan y colaboradores3 en un estudio retrospectivo, que fue la primera comparación entre el tratamiento quirúrgico laparoscópico y abierto de la necrosis pancreática infectada, mostraron que la tasa de complicaciones, la pérdida de sangre estimada y la estancia hospitalaria postoperatoria media fue significativamente mayor en el grupo del abordaje abierto, aunque el tiempo operatorio medio fue más largo en laparoscopia.3



TéCNICA QUIRúRGICA

En el presente caso el plan quirúrgico consistió en un procedimiento por vía laparoscópica con una variante endoscópica, se realizó un drenaje interno y necrosectomía pancreática transgástrica (Figura 3): se colocó un trocar óptico transumbilical de 10 mm bajo técnica de Hasson, neumoperitoneo a 12 mmHg y dos puertos de trabajo en región subcostal: derecho de 10 mm e izquierdo de 5 mm. Si el lóbulo izquierdo del hígado es muy prominente, puede utilizarse un trocar de 5 mm en región epigástrica con retractor hepático (Figura 4). Se efectuaron gastrotomías en cara anterior para introducción de trocares transgástricos, insuflación de cámara gástrica con CO2 para visión endoscópica, gastrotomía posterior de 6 cm en sitio de contacto con quiste pancreático para la realización de derivación cistogástrica, se hizo legrado y aspirado de cavidad quística para la extracción de tejido necrótico y detritus. Al finalizar se retiraron trocares a cavidad peritoneal para gastrorrafia con puntos en cruz de vicryl 2-0 (Figura 2), se coloca drenaje blando tipo Penrose hacia lecho quirúrgico y se extraen trocares para posterior cierre de pared abdominal de manera habitual.



CONCLUSIóN

En la actualidad los procedimientos de mínima invasión son el estándar de oro para el tratamiento del pseudoquiste pancreático y la necrosis asociada, dada la baja tasa de complicaciones, menor incidencia de fístula pancreática, sin contaminación de la cavidad peritoneal, reduciendo así morbilidad asociada, estancia intrahospitalaria más corta y una evolución favorable con rápida incorporación a las actividades rutinarias de cada paciente.


REFERENCIAS (EN ESTE ARTÍCULO)

  1. Habashi S, Draganov PV. Pancreatic pseudocyst. World J Gastroenterol. 2009; 15: 38-47.

  2. Barba VCT, López RJL, Barba VLA, Gaitán MC. Necrosectomía pancreática transgástrica por vía laparoscópica. Reporte de un caso y revisión bibliográfica. Rev Mex Cir Endoscop. 2013; 14: 200-205.

  3. Tan V, Charachon A, Lescot T, Chafaï N, Le Baleur Y, Delchier JC, et al. Endoscopic transgastric versus surgical necrosectomy in infected pancreatic necrosis. Clin Res Hepatol Gastroenterol. 2014; 38: 770-776.

  4. Babu BI, Siriwardena AK. Current status of minimally invasive necrosectomy for post-inflammatory pancreatic necrosis. HPB (Oxford). 2009; 11: 96-102.

  5. Pan G, Wan MH, Xie KL, Li W, Hu WM, Liu XB, et al. Classification and management of pancreatic pseudocysts. Medicine (Baltimore). 2015; 94: e960.

  6. Warshaw AL. Improving the treatment of necrotizing pancreatitis--a step up. N Engl J Med. 2010; 362: 1535-1537.

  7. Bugiantella W, Rondelli F, Boni M, Stella P, Polistena A, Sanguinetti A, et al. Necrotizing pancreatitis: A review of the interventions. Int J Surg. 2016; 28 Suppl 1: S163-S171.

  8. Baron TH, DiMaio CJ, Wang AY, Morgan KA. American gastroenterological association clinical practice update: management of pancreatic necrosis. Gastroenterology. 2020; 158: 67-75.e1.

  9. Driedger M, Zyromski NJ, Visser BC, Jester A, Sutherland FR, Nakeeb A, et al. Surgical transgastric necrosectomy for necrotizing pancreatitis: a single-stage procedure for walled-off pancreatic necrosis. Ann Surg. 2020; 271: 163-168.

  10. Sorrentino L, Chiara O, Mutignani M, Sammartano F, Brioschi P, Cimbanassi S. Combined totally mini-invasive approach in necrotizing pancreatitis: a case report and systematic literature review. World J Emerg Surg. 2017; 12: 16.

  11. van Santvoort HC, Besselink MG, Bakker OJ, Hofker HS, Boermeester MA, Dejong CH, et al. A step-up approach or open necrosectomy for necrotizing pancreatitis. N Engl J Med. 2010; 362: 1491-1502.

  12. Worhunsky DJ, Qadan M, Dua MM, Park WG, Poultsides GA, Norton JA, et al. Laparoscopic transgastric necrosectomy for the management of pancreatic necrosis. J Am Coll Surg. 2014; 219: 735-743.



AFILIACIONES

1 Residente de 3er año de Cirugía General. Centenario Hospital Miguel Hidalgo. Aguascalientes, México.

2 Cirujana general adscrita al Servicio de Cirugía General. Centenario Hospital Miguel Hidalgo. Aguascalientes, México.

3 Cirujano general adscrito al Servicio de Cirugía General. Hospital General Tercer Milenio. Aguascalientes, México.

4 Médica cirujana y partera. Universidad de Guadalajara. Guadalajara, Jalisco, México.

5 Cirujano general. Universidad Autónoma de Aguascalientes. Aguascalientes, México.



Consideraciones y responsabilidad ética: los autores declaran que siguieron los protocolos de su centro de trabajo sobre la publicación de datos de pacientes, resguardando su derecho a la privacidad mediante la confidencialidad de sus datos.

Financiamiento: no se recibió apoyo financiero para la realización de este trabajo.

Conflicto de intereses: los autores declaran que no existe ningún conflicto de intereses en la realización del trabajo.



CORRESPONDENCIA

Luis Miguel Carrillo. E-mail: jimmy_lcf@hotmail.com




Recibido: 21/07/2021. Aceptado: 23/12/2022.

Figura 1
Figura 2
Figura 3
Figura 4

2020     |     www.medigraphic.com

Mi perfil

C?MO CITAR (Vancouver)

Cir Gen. 2022;44

ARTíCULOS SIMILARES

CARGANDO ...