medigraphic.com
SPANISH

Cirujano General

ISSN 2594-1518 (Electronic)
ISSN 1405-0099 (Print)
  • Contents
  • View Archive
  • Information
    • General Information        
    • Directory
  • Publish
    • Instructions for authors        
    • Send manuscript
  • medigraphic.com
    • Home
    • Journals index            
    • Register / Login
  • Mi perfil

2022, Number 3

<< Back Next >>

Cir Gen 2022; 44 (3)

Laparoendoscopic cystogastric bypass of a pancreatic necrosis. Case report

Carrillo, Luis Miguel1; Barba-Valadez, Claudia Teresa2; Ramírez-Reyes, David3; Mora-Montoya, Cristina Elizabeth4; Rodríguez-Osuna, José Augusto5; Chávez-Fernández, Danyel Alejandro5
Full text How to cite this article 10.35366/109773

DOI

DOI: 10.35366/109773
URL: https://dx.doi.org/10.35366/109773

Language: English/Spanish [Versi?n en espa?ol]
References: 12
Page: 131-135
PDF size: 360.09 Kb.


Key words:

pancreatitis, cystogastric bypass, minimally invasive.

ABSTRACT

The incidence of acute pancreatitis (AP) is increasing, up to 0.7 hospitalizations per 1,000 inhabitants in the U.S. In 80% of patients, AP is mild and self-limited, but up to 20% of patients may have a severe necrotizing course, responsible for substantial morbidity and a mortality rate of up to 27%. The main cause of death is necrosis infection, which is associated with a poor prognosis with a mortality of 15 to 39%. Until very recently, the gold standard for treating infected necrosis used to be surgical necrosectomy by laparotomy. This procedure provides wide access to infected necrosis but is highly invasive and is associated with morbidity rates of 34 to 95% and mortality rates of 11 to 39%. Alternative methods primarily involve debridement using retroperitoneal, laparoscopic, endoscopic, or combinations of these. They share the common goal of avoiding laparotomy and together are known as "minimally invasive necrosectomy". These techniques continue to evolve and undergo refinement. To date there is no evidence or randomized trials comparing these techniques with traditional "open" necrosectomy or, equally important, comparing different minimally invasive necrosectomy techniques with each other. This presents a problem for surgeons dealing with patients with pancreatic necrosis as they need to consult the available evidence to guide the selection of their treatment. This case provides a concise but general description of a minimally invasive approach with special reference to technique and outcome.



INTRODUCTION

With the emergence of minimally invasive surgical procedures, the aim has been to minimize the impact on the patient, these methods being the treatment of choice in various pathologies, as in this case, the drainage of pancreatic collections. Historically, several terms have been used to describe fluid accumulations around and inside the pancreas; depending on their chronicity and characteristics, they are divided into four groups: acute peripancreatic fluid collections, necrotic fluid collections, pancreatic pseudocyst and walled-off pancreatic necrosis (WON). Pancreatic necrosis with collection formation is susceptible to infection, making it challenging due to the added morbidity of open drainage. Recently the percutaneous and endoscopic approaches have gained tremendous popularity due to their minimally invasive nature;1,2 however, the laparoscopic technique has demonstrated good therapeutic results and more significant benefits to the patient, such as shorter hospital stay and less recovery time.2



PRESENTATION OF THE CASE

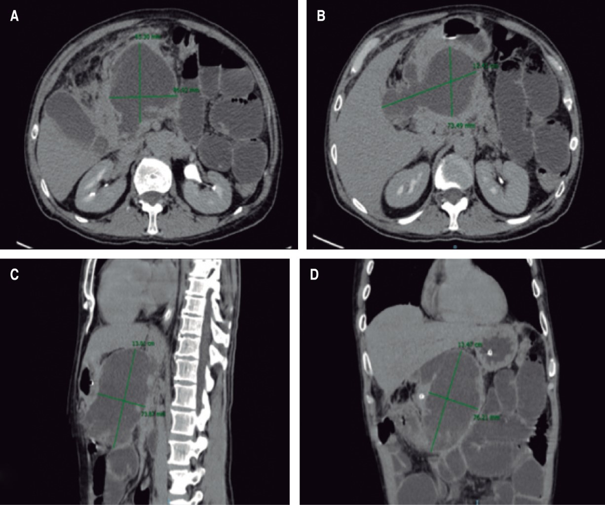
A 48-year-old male patient with a history of smoking (TI of 23), intense alcoholism, marijuana use, hepatitis C, and a history of two events of mild acute pancreatitis of alcoholic origin resolved without apparent complications. Two and a half months later, he came to the emergency department for abdominal pain, presenting hyporexia, nausea, and vomiting after two days of evolution, finding on physical examination pain and increased volume on palpation at the epigastric level located at deep planes, with no evidence of peritoneal irritation. The diagnostic protocol was completed documenting moderately severe acute alcoholic pancreatitis. A computed axial tomography (CT) scan showed evidence of hypodense and irregular image measuring 13.47 × 12.41 × 8.53 cm, with a defined wall and heterogeneous content corresponding to a pancreatic pseudocyst of 746 ml of volume (Figure 1). He started with supportive management until the remission of acute pancreatitis. Laparoendoscopic cystogastric bypass was performed, with findings of a pancreatic pseudocyst with septated necrotic content, which displaced the stomach, obtaining a total of 700 mL of cloudy liquid and detritus (Figure 2). A triple lumen nasojejunal tube was placed for immediate enteral feeding and gastric decompression. The patient was discharged in two days from the General Surgery Service of the Centenario Hospital "Miguel Hidalgo" with a nasojejunal tube and outpatient control, which was removed three weeks after the surgical event, adequately tolerating the oral route.



DISCUSSION

Surgical treatment of severe acute pancreatitis has evolved significantly in the last two decades with the emergence of minimally invasive surgery.3 For its resolution, there are several therapeutic options: percutaneous drainage, endoscopic management, either transpapillary or transmural, laparoscopic, and open technique.2,4,5

The main indication for drainage is persistent symptomatology (food intolerance, persistent discomfort, poor quality of life, and continuous pain), infection, or other complications. In our case, the patient presented with oral intolerance and persistent symptomatology. Given the weight of literature over the past three decades, it is clear that deferred surgical intervention of up to four weeks has proven to be safer and advantageous concerning almost all measurable outcomes.6-10

The standard treatment consists of an open necrosectomy to remove the affected tissue completely.7 However, this "gold standard" approach is associated with significant morbidity, especially high rates of pancreatic fistulas (40%), enteric fistulas (20%), and incisional hernias (25%), as well as mortality rates ranging from 11-39%, coupled with the risk of long-term pancreatic insufficiency.6,11,12

Thus, we are facing the rise of minimally invasive surgery;4 it has recently been shown that combining different approaches could significantly optimize clinical management in critically ill patients affected by complicated necrotizing pancreatitis.10,11 Recent literature supports that minimally invasive approaches are associated with better outcomes than early open necrosectomy.10

Surgical transgastric necrosectomy (TGN) is a procedure with little discussion.9 The retrospective study by Driedger et al.9 represents the most extensive experience of TGN within the current literature, which exposed a series of 178 patients at three hospital centers and concluded that TGN is an excellent one-step surgical option for symptomatic walled pancreatic necrosis, as it limits the risk of possibly inadequate pancreatic debridement and subsequent occurrence of a pancreatic-cutaneous fistula after traditional necrosectomy.9,12

Tan et al.3, in a retrospective study, which was the first comparison between the laparoscopic and open surgical treatment of infected pancreatic necrosis, showed that the complication rate, estimated blood loss, and mean postoperative hospital stay was significantly higher in the open approach group. However, the mean operative time was longer in laparoscopy.3



SURGICAL TECHNIQUE

In the present case, the surgical plan consisted of a laparoscopic procedure with an endoscopic variant, internal drainage, and transgastric pancreatic necrosectomy (Figure 3): a 10 mm transumbilical optical trocar was placed under the Hasson technique, followed by a pneumoperitoneum at 12 mmHg and two working ports in the subcostal region: right 10 mm and left 5 mm. If the left lobe of the liver is very prominent, a 5 mm trocar can be used in the epigastric region with a hepatic retractor (Figure 4). Anterior gastrotomies were performed for the introduction of transgastric trocars, insufflation of the gastric chamber with CO2 for endoscopic vision, a 6 cm posterior gastrotomy at the site of contact with the pancreatic cyst for the performance of cystogastric bypass was performed, ending with curettage and aspiration of the cystic cavity for the extraction of necrotic tissue and detritus. In the end, trocars were removed to the peritoneal cavity for gastrorrhaphy with 2-0 vicryl cross stitches (Figure 2); a soft drainage of the Penrose type was placed towards the surgical bed, and trocars were removed for subsequent closure of the abdominal wall in the usual way.



CONCLUSION

Currently, minimally invasive procedures are the gold standard for the treatment of pancreatic pseudocyst and associated necrosis, given the low rate of complications, lower incidence of pancreatic fistula, no contamination of the peritoneal cavity, thus reducing associated morbidity, a shorter hospital stay, and a favorable evolution with rapid incorporation to the routine activities of each patient.


REFERENCES

  1. Habashi S, Draganov PV. Pancreatic pseudocyst. World J Gastroenterol. 2009; 15: 38-47.

  2. Barba VCT, López RJL, Barba VLA, Gaitán MC. Necrosectomía pancreática transgástrica por vía laparoscópica. Reporte de un caso y revisión bibliográfica. Rev Mex Cir Endoscop. 2013; 14: 200-205.

  3. Tan V, Charachon A, Lescot T, Chafaï N, Le Baleur Y, Delchier JC, et al. Endoscopic transgastric versus surgical necrosectomy in infected pancreatic necrosis. Clin Res Hepatol Gastroenterol. 2014; 38: 770-776.

  4. Babu BI, Siriwardena AK. Current status of minimally invasive necrosectomy for post-inflammatory pancreatic necrosis. HPB (Oxford). 2009; 11: 96-102.

  5. Pan G, Wan MH, Xie KL, Li W, Hu WM, Liu XB, et al. Classification and management of pancreatic pseudocysts. Medicine (Baltimore). 2015; 94: e960.

  6. Warshaw AL. Improving the treatment of necrotizing pancreatitis--a step up. N Engl J Med. 2010; 362: 1535-1537.

  7. Bugiantella W, Rondelli F, Boni M, Stella P, Polistena A, Sanguinetti A, et al. Necrotizing pancreatitis: A review of the interventions. Int J Surg. 2016; 28 Suppl 1: S163-S171.

  8. Baron TH, DiMaio CJ, Wang AY, Morgan KA. American gastroenterological association clinical practice update: management of pancreatic necrosis. Gastroenterology. 2020; 158: 67-75.e1.

  9. Driedger M, Zyromski NJ, Visser BC, Jester A, Sutherland FR, Nakeeb A, et al. Surgical transgastric necrosectomy for necrotizing pancreatitis: a single-stage procedure for walled-off pancreatic necrosis. Ann Surg. 2020; 271: 163-168.

  10. Sorrentino L, Chiara O, Mutignani M, Sammartano F, Brioschi P, Cimbanassi S. Combined totally mini-invasive approach in necrotizing pancreatitis: a case report and systematic literature review. World J Emerg Surg. 2017; 12: 16.

  11. van Santvoort HC, Besselink MG, Bakker OJ, Hofker HS, Boermeester MA, Dejong CH, et al. A step-up approach or open necrosectomy for necrotizing pancreatitis. N Engl J Med. 2010; 362: 1491-1502.

  12. Worhunsky DJ, Qadan M, Dua MM, Park WG, Poultsides GA, Norton JA, et al. Laparoscopic transgastric necrosectomy for the management of pancreatic necrosis. J Am Coll Surg. 2014; 219: 735-743.



AFFILIATIONS

1 3rd Year, Resident of General Surgery. Centenario Hospital Miguel Hidalgo. Aguascalientes, Mexico.

2 General Surgeon attached to the General Surgery Service. Centenario Hospital Miguel Hidalgo. Aguascalientes, Mexico.

3 General Surgeon attached to the General Surgery Service. Tercer Milenio General Hospital. Aguascalientes, Mexico.

4 Surgeon and midwife. University of Guadalajara. Guadalajara, Jalisco, Mexico.

5 General Surgeon. Autonomous University of Aguascalientes. Aguascalientes, Mexico.



Ethical considerations and responsibility: the authors declare that they followed the protocols of their work center on the publication of patient data, safeguarding their right to privacy through the confidentiality of their data.

Funding: no financial support was received for this work.

Disclosure: the authors declare no conflict of interest in carrying out the work.



CORRESPONDENCE

Luis Miguel Carrillo. E-mail: jimmy_lcf@hotmail.com




Received: 07/21/2021. Accepted: 12/23/2022

Figure 1
Figure 2
Figure 3
Figure 4

2020     |     www.medigraphic.com

Mi perfil

C?MO CITAR (Vancouver)

Cir Gen. 2022;44