medigraphic.com
ENGLISH

Acta Ortopédica Mexicana

ISSN 2992-8036 (Digital)
ISSN 2306-4102 (Impreso)
Órgano Oficial del Colegio Mexicano de Ortopedia y Traumatología
  • Mostrar índice
  • Números disponibles
  • Información
    • Información general        
    • Directorio
  • Publicar
    • Instrucciones para autores        
  • medigraphic.com
    • Inicio
    • Índice de revistas            
    • Registro / Acceso
  • Mi perfil

2022, Número 4

<< Anterior Siguiente >>

Acta Ortop Mex 2022; 36 (4)


Revascularización ósea: aloinjerto estructural intramedular versus extramedular. Trabajo experimental

Cristiani-Winer, M1; Allende-Nores, C1; Paganini, F1; Gutiérrez, N1
Texto completo Cómo citar este artículo 10.35366/109807

DOI

DOI: 10.35366/109807
URL: https://dx.doi.org/10.35366/109807
Artículos similares

Idioma: Español
Referencias bibliográficas: 7
Paginas: 223-229
Archivo PDF: 369.63 Kb.


PALABRAS CLAVE

revascularización ósea, aloinjerto, intramedular, extramedular, trabajo experimental.

RESUMEN

Introducción: el tratamiento exitoso en pacientes con importantes defectos óseos secundarios a infección, no consolidación y fracturas osteoporóticas consecuentes a traumatismos previos representa un desafío. En la literatura actual no encontramos ningún reporte que compare el uso de tablas de aloinjerto intramedular versus las mismas colocadas lateral a la lesión. Material y métodos: se trabajó sobre una muestra de 20 conejos (dos grupos de 10 conejos cada uno). El grupo 1 fue operado mediante la técnica de colocación extramedular del aloinjerto, mientras que el grupo 2 con técnica intramedular. A los cuatro meses postquirúrgico se realizaron estudios por imágenes e histología para comparar un grupo con el otro. Resultados: el análisis de los estudios por imágenes evidenció una diferencia estadísticamente significativa entre ambos grupos con mayor reabsorción e integración ósea del aloinjerto colocado intramedular. Respecto a la histología, no hubo diferencias estadísticamente significativas, pero sí una predicción significativa con p valor < 0.10 a favor del aloinjerto intramedular. Conclusión: mediante nuestro trabajo pudimos mostrar la gran diferencia que hay entre la técnica de colocación del aloinjerto respecto al análisis imagenológico e histológico utilizando marcadores de revascularización. Si bien el aloinjerto colocado de manera intramedular nos muestra mayor integración ósea, el injerto extramedular brindará más soporte y estructura en pacientes que así lo requieran.



INTRODUCCIóN

El tratamiento exitoso en pacientes con importantes defectos óseos secundarios a infección, no consolidación y fracturas osteoporóticas consecuentes a traumatismos previos representa un desafío. Con el paso de los años se fue evolucionando respecto al desarrollo de implantes en búsqueda de mejor y mayor estabilidad mecánica. Sin embargo, el avance respecto al aporte biológico fue mucho menor.

Existen diferentes injertos para poder brindar soporte, estructura y estimulación biológica en sitios donde se encuentra atenuada. Las opciones varían desde autoinjertos hasta aloinjertos y dentro de los mismos el injerto puede ser cortical (estructural) o esponjoso (molido). El injerto tiene propiedades osteogénicas, osteoconductoras y osteoinductivas, especialmente la forma esponjosa, mientras que la cortical tiene menor propiedad osteoinductiva y osteogénica y es principalmente osteoconductora. El injerto cortical autólogo puede proporcionar buena resistencia mecánica, pero debido a la fase de reabsorción inicial, aún debe estar apoyado por una fijación interna o externa duradera y estable. Las principales ventajas del injerto autólogo son una completa histocompatibilidad, sin ningún riesgo de transmisión de la enfermedad y una buena tasa de resultados satisfactorios, pero factores tales como la morbilidad del sitio donante, la cantidad limitada de hueso disponible y el mayor tiempo quirúrgico justifican considerar posibles alternativas.

El aloinjerto puede proporcionar soporte mecánico con una capacidad osteoconductora satisfactoria, pero con propiedades osteogénicas y osteoinductivas deficientes.

En la literatura actual se puede encontrar diferentes artículos que informan sobre el uso de autoinjerto versus aloinjerto, diferentes formas de colocación del mismo y el uso de osteosíntesis en pacientes con fracturas y no consolidaciones asociadas a seudoartrosis o importantes defectos óseos.1,2,3,4,5,6,7 Sin embargo, ninguno realiza una comparación entre diferentes técnicas para así lograr determinar un mejor resultado de una sobre otra y no encontramos ningún reporte que compare el uso de tablas de aloinjerto intramedular versus las mismas colocadas lateral a la lesión. A partir de aquí es donde decidimos plantear un trabajo de investigación experimental comparando el uso de aloinjerto estructural colocado de manera extramedular versus intramedular.

El objetivo de nuestro trabajo fue estudiar la revascularización ósea en aloinjertos estructurales intramedular y extramedular a partir de evaluaciones radiográficas, de resonancia magnética y tomografía e histología realizadas por especialistas.



MATERIAL Y MéTODOS

Se trabajó sobre el fémur derecho de cada conejo. En el grupo 1 se realizó un abordaje lateral longitudinal al eje del fémur derecho y se colocó aloinjerto estructural (Figura 1) sobre la diáfisis femoral luego de una elevación del periostio de la misma, fijándose el aloinjerto con Vicryl N° 3-0, es decir, de manera extramedular (Figura 2); y en el grupo 2, se colocó la tabla de aloinjerto de manera intramedular, realizando el punto de entrada en rodilla simulando un clavo retrógrado de fémur, impactando a presión el injerto (Figura 3). Luego se cerró la herida por planos.

El procedimiento quirúrgico se llevó a cabo en el laboratorio de cirugía experimental de un centro universitario autorizado. La inducción anestésica se realizó con ketamina por vía intramuscular (60 mg/kg) y diazepam 1/3 por vía intramuscular y 2/3 por vía intrarrectal (5 mg/kg). A todos los conejos se les administró cefalomicina 20 mg/kg por vía intramuscular, antes de la cirugía y después de ella. Como analgesia posquirúrgica se administró ketorolaco 1 mg/kg por vía intramuscular. La medida del aloinjerto estructural fue de 4 cm de largo (3.7;4.2) y 0.4 cm de diámetro (0.38;0.41).

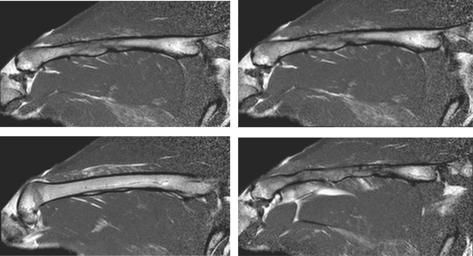
A los cuatro meses del procedimiento quirúrgico, todos los conejos fueron sacrificados y se les realizó estudios de imágenes: radiografías de ambos fémures, resonancia magnética y tomografía computarizada del fémur derecho de cada conejo. Las radiografías de ambos fémures se utilizaron para hacer una evaluación comparativa respecto al fémur sano (Figura 4). La resonancia magnética y tomografía brindaron datos para determinar la integración y/o reabsorción ósea (Figuras 5 y 6). Dichos estudios fueron evaluados por un médico especialista en diagnóstico por imágenes, subespecialista en el sistema musculoesquelético. El observador fue ciego al tipo de tratamiento.

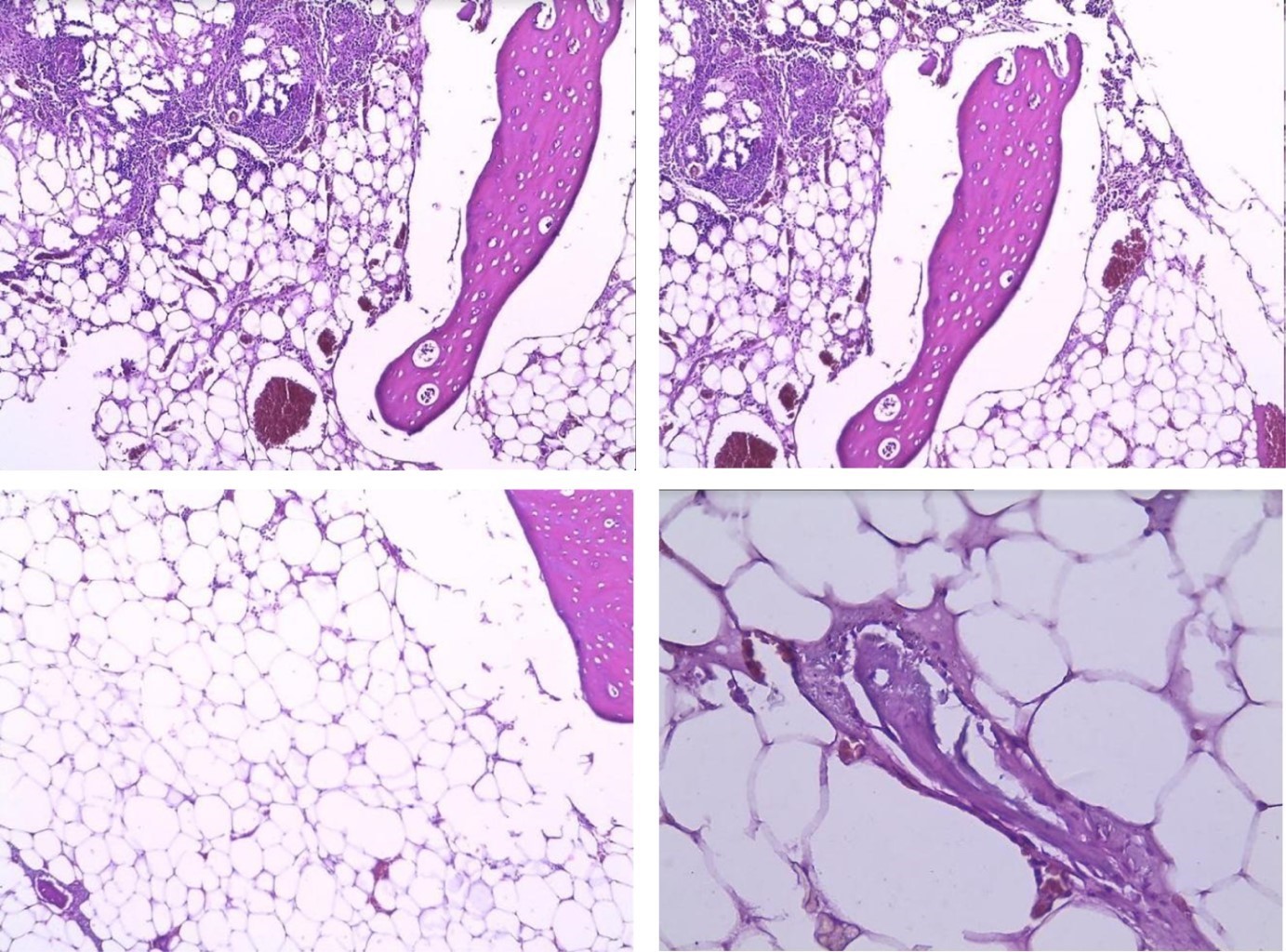
Para la evaluación histológica los cortes se obtuvieron seccionando una muestra de 2 × 2 cm, los cuales fueron incluidos en parafina. Se efectuaron múltiples cortes de 4 micrómetros de espesor con micrótomo y mediante la tinción con hematoxilina-eosina se les observó bajo microscopía de luz convencional (Figuras 7 y 8).

Se realizó una evaluación cualitativa y cuantitativa de las muestras para determinar la proliferación celular y vascular, el grado de fibrosis e inflamación. Por otro lado, se realizó estudio de inmunohistoquímica con marcador vascular CD31 para determinar la revascularización de cada pieza ósea. Todas las muestras fueron evaluadas por el mismo patólogo ciego al tipo de tratamiento (Figura 9).



ASPECTOS éTICOS

El trabajo se realizó de acuerdo a los principios éticos de la experimentación animal, contemplando y respetando cada uno de ellos. Desde un principio se evaluó la factibilidad del protocolo en relación a los objetivos del estudio, la posibilidad de obtener conclusiones válidas con la menor cantidad de animales posible velando siempre para que los animales no sufran innecesariamente y tengan una eutanasia adecuada.



METODOLOGíA ESTADíSTICA

Con los datos recopilados se construyó una base de datos que posteriormente fue procesada estadísticamente. Para las variables cuantitativas se calcularon las medidas centrales y de dispersión (media, mediana y desvío estándar) y para las variables cualitativas se calcularon las frecuencias relativas y absolutas. Para la comparación de medias se aplicó el test de Wilcoxon y para evaluar las correlaciones el test de χ2. En todos los casos se utilizó un nivel de significancia de 0.05. El software utilizado fue el InfoStat.



RESULTADOS

La muestra inicial estuvo conformada por n = 20 conejos, divididos en dos grupos de 10 conejos cada uno, pero tres de los conejos del grupo 2, murieron por complicaciones postquirúrgicas inmediatas (infecciones) quedando la muestra final con n = 17 conejos. El peso promedio de los conejos fue de 2,410 g (DE = 399) en el grupo 1 (aloinjerto extramedular) y de 2,957 g (DE = 237) en el grupo 2 (aloinjerto intramedular), la diferencia entre las medias fue estadísticamente significativa (p = 0.0130).



ANáLISIS DE LOS DIAGNóSTICOS POR IMáGENES

Al evaluar la revascularización ósea a través de las distintas técnicas de imágenes se observó que en el grupo 2 (aloinjerto intramedular), todos los casos mostraron una revascularización completa (Figura 10), ya sea con la radiografía (RX), la resonancia magnética (RMN) o la tomografía computarizada (TC). Pudimos objetivar dichos hallazgos debido a la importante integración que se generó con este tipo de tratamiento, ya que radiológica y tomográficamente no encontramos diferencias en el hueso tratado con el contralateral. En cuanto a la resonancia magnética, vemos que todo el fémur presenta la misma señal tanto en secuencias T1 como densidad protónica con supresión grasa. Creemos que esto está dado por la integración y revascularización que se produce con este tipo de injerto. En el grupo 1 (aloinjerto extramedular) se detectaron conejos con una revascularización parcial entre cuatro y seis de los 10 conejos, según la técnica de imagen. La diferencia entre grupos fue estadísticamente significativa en el caso de la RX y TC, con un valor de p < 0.05. Cabe señalar que con la TC en las parciales se detectó un porcentaje promedio de revascularización de 82.5%.



RESULTADOS HISTOLóGICOS

Los estudios histológicos indicaron que el en el grupo 2 no hubo casos de fibrosis ni inflamación (Figura 11); sin embargo, en el grupo 1 hubo casos con grados de severidad leve y moderada: cinco casos de fibrosis y dos con inflamación.

A la mayoría de los conejos del grupo 1, en el examen histológico se les detectó un vaso neoformado (siete de 10) (Figuras 12 y 13) y un conejo con dos vasos neoformados. En el grupo 2 la mayoría no tenía ninguno y sólo dos conejos con un vaso neoformado. Sucedió algo similar con el marcador de la revascularización ósea, CD31. La correlación no fue estadísticamente significativa.

Con respecto a la característica del tejido óseo, en el grupo 1 hubo tres conejos con tejido necrótico (Figura 14) y en el grupo 2 hubo dos casos con tejido necrótico. La diferencia no fue estadísticamente significativa.



DISCUSIóN

Existen múltiples situaciones donde el injerto óseo es una opción terapéutica de importancia, principalmente en grandes defectos óseos por secuelas de politraumatismos en huesos osteoporóticos, no consolidación o también en el tratamiento de tumores óseos en los que se realiza la resección del mismo.

Muchos autores han trabajado sobre la colocación de injertos óseos estructurales o esponjosos como también autoinjerto y aloinjerto. Sin embargo, no existen trabajos que hayan estudiado las diferencias entre la colocación intramedular o extramedular para evaluar cuál aportaría mayor soporte.

Hsiao y colaboradores decidieron evaluar en un estudio cadavérico la estabilidad sobreagregada que genera un injerto estructural intramedular en fracturas de húmero proximal que generalmente se tratan con placas bloqueadas. Se evidenció mayor rigidez y estabilidad y se cree que podría evitar los colapsos en varo como complicación de estos casos. Sin embargo, el estudio al ser cadavérico no evaluó las capacidades osteoinductoras, osteoconductoras y osteogénicas del injerto.3

Lazaro y colaboradores publicaron un artículo donde mostraron la importancia en la colocación de aloinjerto estructural en el tratamiento mediante osteosíntesis con tornillos canulados de fracturas mediales de cadera. Se produjo un aumento en la estabilidad interna hasta lograr la consolidación de la fractura y se evaluó clínica, radiográficamente y mediante resonancia magnética la integración ósea con un promedio de 86%.5

Yadav y su equipo realizaron un estudio donde trataron diferentes casos de seudoartrosis en huesos largos con injerto autólogo estructural de peroné en pacientes con secuelas de traumatismos y larga historia de problemas en la consolidación. Como resultado mostraron mayor proporción en cuanto a la estabilidad mecánica brindada por este tipo de injerto y un desarrollo de osteogénesis en huesos osteoporóticos que no estaba siendo generada previamente.6



CONCLUSIóN

Mediante nuestro trabajo pudimos mostrar la gran diferencia que hay entre la técnica de colocación del aloinjerto respecto al análisis imagenológico con diferencias estadísticamente significativas en radiografías, tomografías y resonancia magnética. En cuanto al análisis histológico, si bien la diferencia entre un grupo y el otro no fue estadísticamente significativa, se puede decir que se insinúa como una posible predictora significativa, ya que se obtuvieron valores de p < 0.10. Si bien el aloinjerto colocado de manera intramedular nos muestra mayor integración ósea, el injerto extramedular brindará más soporte y estructura en pacientes que así lo requieran.

Consideramos que como fortalezas del trabajo se destaca el hecho de ser experimental y comparativo. Por otro lado, también se incluyen análisis imagenológicos e histológicos, siendo estas dos aristas muy importantes para determinar las capacidades osteogénicas, osteoinductoras y osteoconductoras del hueso como también la capacidad de soporte estructural.

Como limitaciones del trabajo se podría decir que la muestra podría ser mayor para lograr aún más significancia en los resultados y que no se incluyó un análisis biomecánico del aloinjerto, lo cual nos brindaría datos importantes respecto a diferencia de estabilidad y rigidez de las técnicas.


REFERENCIAS (EN ESTE ARTÍCULO)

  1. Faldini C, Traina F, Perna F, et al. Surgical treatment of aseptic forearm nonunion with plate and opposite bone graft strut. Autograft or allograft? Inte Orthop. 2015; 39(7): 1343-9.

  2. Kanakeshwar RB, Jayaramaraju D, Agraharam D, Rajasekaran S. Management of resistant distal femur non-unions with allograft strut and autografts combined with osteosynthesis in a series of 22 patients. Injury. 2017; 48(Suppl 2): S14-7.

  3. Hsiao C, Tsai Y, Yen C, et al. Intramedullary cortical bone strut improves the cyclic stability of osteoporotic proximal humeral fractures. BMC Musculoskelet Disord. 2017; 18(1): 64.

  4. Basci O, Karakasli A, Kumtepe E, Güran O, Hav?tc?oglu H. Combination of anatomical locking plate and retrograde intramedullary nail in distal femoral fractures: comparison of mechanical stability. Eklem Hastalik Cerrahisi. 2015; 26(1): 21-6.

  5. Lazaro LE, Birnbaum JF, Farshad-Amacker NA, Helfet DL, Potter HG, Lorich DG. Endosteal biologic augmentation for surgical fixation of displaced femoral neck fractures. J Orthop Trauma. 2016; 30(2): 81-8.

  6. Yadav, Surender Singh MS(Ortho), FAMS, DLitta,1 The use of a free fibular strut as a "biological intramedullary nail" for the treatment of complex nonunion of long bones. JB JS Open Access. 2018; 3(2): e0050.

  7. Schliemann B, Wahnert D, Theisen C, et al. How to enhance the stability of locking plate fixation of proximal humerus fractures? An overview of current biomechanical and clinical data. Injury. 2015; 46(7): 1207-14.



AFILIACIONES

1 Traumatólogo, subespecialista en miembro superior. Sanatorio Allende, Córdoba, Argentina. Instituto Allende de Cirugía Reconstructiva. Sanatorio Allende, Córdoba, Argentina.



NIVEL DE EVIDENCIA

II



CORRESPONDENCIA

Mauro Cristiani-Winer. E-mail: maurocw7@gmail.com




Recibido: 29-06-2022. Aceptado: 01-12-2022.

Figura 1
Figura 2
Figura 3
Figura 4
Figura 5
Figura 6
Figura 7
Figura 8
Figura 9
Figura 10
Figura 11
Figura 12
Figura 13
Figura 14

2020     |     www.medigraphic.com

Mi perfil

C?MO CITAR (Vancouver)

Acta Ortop Mex. 2022 Jul-Ago;36

ARTíCULOS SIMILARES

CARGANDO ...