medigraphic.com
ENGLISH

Latin American Journal of Oral and Maxillofacial Surgery

ISSN 2992-7757 (Digital)
Órgano de difusión de la Asociación Latinoamericana de Cirugía y Traumatología Bucomaxilofacial (ALACIBU)
  • Mostrar índice
  • Números disponibles
  • Información
    • Información general        
    • Directorio
  • Publicar
    • Instrucciones para autores        
  • medigraphic.com
    • Inicio
    • Índice de revistas            
    • Registro / Acceso
  • Mi perfil

2022, Número 4

<< Anterior Siguiente >>

Lat Am J Oral Maxillofac Surg 2022; 2 (4)


Osteocondroma de apófisis coronoides: enfermedad de Jacob

Peluso, Facundo César1; Baroni, María Carolina2
Texto completo Cómo citar este artículo 10.35366/110019

DOI

DOI: 10.35366/110019
URL: https://dx.doi.org/10.35366/110019
Artículos similares

Idioma: Español
Referencias bibliográficas: 21
Paginas: 172-177
Archivo PDF: 510.23 Kb.


PALABRAS CLAVE

osteocondroma, apófisis coronoides, enfermedad de Jacob.

RESUMEN

El osteocondroma de apófisis coronoides es una lesión poco común en el esqueleto facial. Ocasiona una disminución progresiva de la apertura bucal, restricción de los movimientos mandibulares, asimetría facial y ausencia de dolor. La tomografía computarizada (TC) con reconstrucción 3D resulta efectiva para realizar su diagnóstico (forma, localización, tamaño y relación con otras estructuras). El tratamiento de elección es la coronoidectomía con abordaje intraoral, aunque dependiendo del tamaño de la lesión se acepta una vía de abordaje extraoral o mixta. El pronóstico es muy bueno siendo escasas las recidivas. El diagnóstico de certeza será confirmado por la histología.



INTRODUCCIóN

El osteocondroma es un tumor benigno muy frecuente, común en el esqueleto axial.1 Representa de 20 a 50% de todos los tumores óseos benignos y de 10 a 15% de los tumores óseos en total.2 Rara vez ocurre en la región craneofacial (menos de 1%) siendo aún menos común en la apófisis coronoides.3,4 La etiología del tumor no se ha comprendido del todo. La teoría más aceptada es la hipótesis de Lichtenstein, que sugiere que el periostio tiene pluripotencialidad de producir tejido óseo y cartilaginoso.4,5 Weimann y Sicher proponen que la continua actividad de los tendones insertos en la apófisis coronoides estimulan el crecimiento hiperplásico de células embrionarias con potencial condrogénico.6,7 Otros autores postulan la hiperactividad del músculo temporal o desplazamiento del disco de la articulación temporomandibular.8 También se ha sugerido el trauma como posible factor etiológico.6 El alargamiento del proceso coronoideo fue descripto por Von Lagenbeck en 1853,9 pero fue el francés Jacob quien describió la formación de una pseudoarticulación entre el arco cigomático y la apófisis coronoides en el año 1899.10 Este tumor es de crecimiento lento, por lo general indoloro que produce una limitación progresiva de la apertura bucal.4,11,12 Es más frecuente en hombres en la tercera década de vida.1,4,12,13 Esta patología es de difícil visualización con una radiografía panorámica únicamente, la superposición de estructuras óseas dificultan su correcta interpretación. Tanto la TC multislice, la tomografía computarizada de haz cónico (CBCT) y la reconstrucción 3D son esenciales para completar el diagnóstico, determinar el tamaño del tumor, su relación anatómica y el planeamiento quirúrgico.4,12-15 En la mayoría de los casos el tratamiento será la coronoidectomía por abordaje intraoral, de acuerdo a la mayoría de los autores.3,12,14,15



REPORTE DE CASO

Paciente femenino de 57 años de edad es derivada a nuestro consultorio particular; concurre con una limitación de la apertura bucal de cerca de un año y medio de evolución. A la anamnesis relata haber sido sometida a cirugía de carcinoma de colon cuatro años atrás (año 2015) y haber padecido un trauma facial en la infancia. Clínicamente se aprecia una limitación de la apertura bucal de 11 mm de espacio interincisivo y un end feel duro, sin ruido, sin dolor y leve abombamiento de la región malar izquierda (Figura 1).

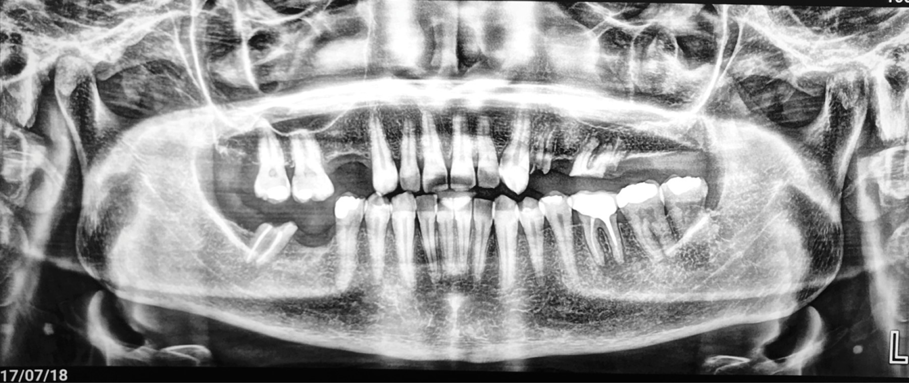
La radiografía panorámica no mostró con claridad la lesión (Figura 2).

Se solicita resonancia magnética nuclear (RMN) y CBCT sospechando trastorno temporomandibular intracapsular (Figuras 3 y 4).

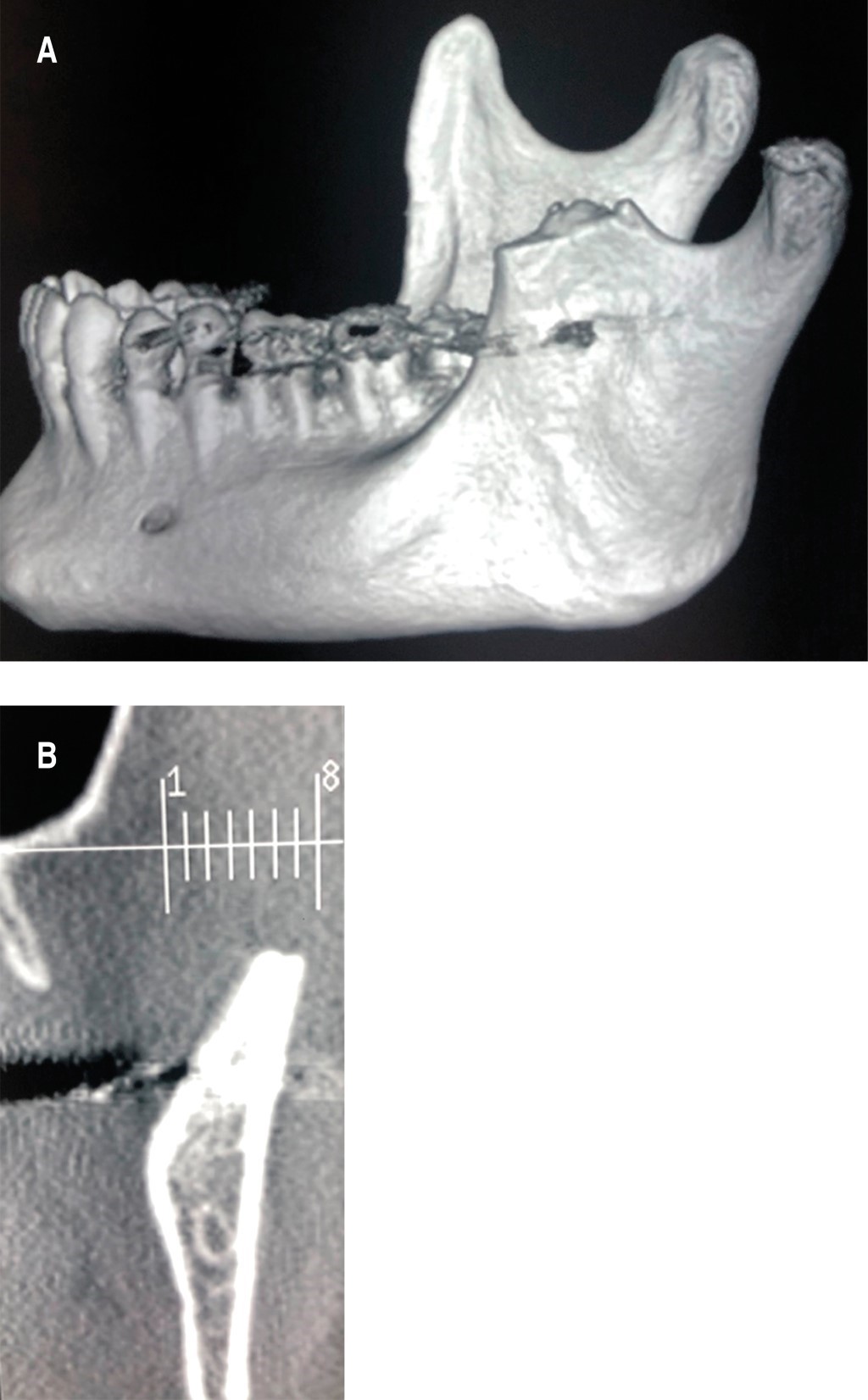
En la RMN se observa una lesión en la apófisis coronoides del lado izquierdo (Figura 4). En la ciudad de Bahía Blanca, Buenos Aires, Argentina donde desarrollamos nuestra práctica, no contamos con tomógrafo computarizado de haz cónico de Fov amplio, por lo tanto, se solicita una tomografía computarizada multislice, en la cual se verifica una lesión tumoral en la apófisis coronoides izquierda con forma de hongo, que se introduce entre el arco cigomático y el maxilar desplazando ambas estructuras (Figuras 5 y 6).

Teniendo en cuenta sus antecedentes de carcinoma de colon y para descartar la posible metástasis del tumor se solicita una centellografía total focalizada en el macizo facial, la cual muestra una hipercaptación del marcador en la apófisis coronoides del maxilar izquierdo, el resto del escáner reveló una fijación ósea del radiofármaco regular y simétrica (foco osteoblástico único) (Figura 7).

La paciente fue hospitalizada en el Hospital Privado Dr. Raúl Matera de la ciudad de Bahía Blanca, Buenos Aires, Argentina.

Se realiza tratamiento quirúrgico bajo anestesia general con intubación nasotraqueal y por medio de abordaje intraoral se procedió a la coronoidectomía con instrumental rotatorio, desinserción del músculo temporal y remoción de una masa tumoral con forma de hongo envuelta con un tejido cartilaginoso (Figuras 8 y 9).

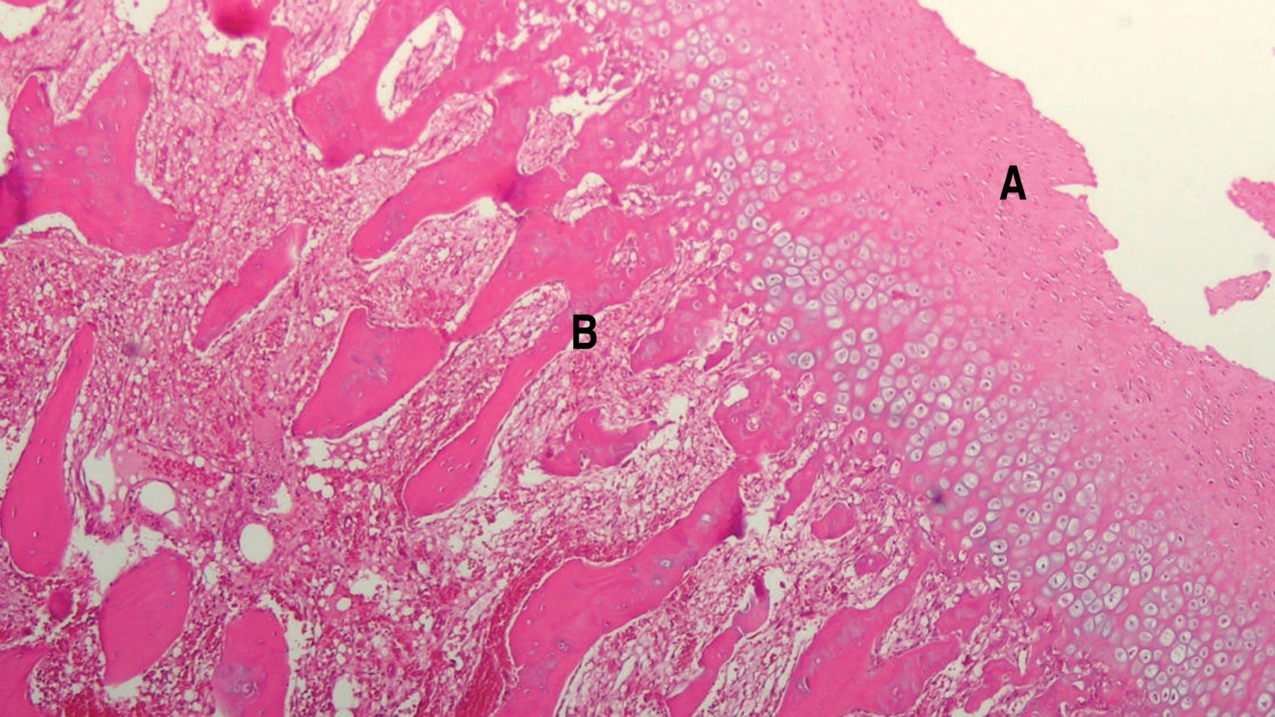
El estudio histopatológico informó un fragmento óseo de 2.5 × 5.5 cm que presenta una formación exofítica grisácea firme con superficie externa irregular. Los cortes histológicos muestran tejido cartilaginoso típico superficial con formación ósea trabecular subyacente típica con escasos focos cartilaginosos intratrabeculares. Diagnóstico osteocondroma (Figura 10).

En el postoperatorio inmediato la apertura bucal fue de 22 mm. Se realiza una desprogramación neuromuscular con TENS (Trans Electrical Neural Stimulation) BioTens de Bioresearch durante 40 minutos con un pulso entre 0 a 20 miliamperios con el propósito de establecer una posición de reposo de la mandibula. Toma de registro de la posición mandibular con magnetógrafo computarizado (Jaw Traker) Bioresearch, confección de sobredentadura en acrílico de termocurado en maxilar inferior, se realiza un control mensual durante tres meses logrando una apertura de 30 mm (Figura 11).16,17

No se observó recidiva hasta la fecha (Figuras 12A y B).



DISCUSIóN

El osteocondroma es una entidad muy rara en la región craneofacial, el lugar de mayor frecuencia en esta región es el cóndilo mandibular 88.3% y la apófisis coronoides 8.7%.4

Algunos autores muestran una preferencia por el sexo femenino en una relación de 1.85:13 en contraposición con otros que muestran preferencia por el sexo masculino,4,13 la distribución por edad fue entre 13 y 76 años con un promedio de 41 años3 y una leve predilección por el lado izquierdo.13 En este caso se presenta del lado izquierdo en paciente femenino de 57 años de edad.

La etiología de esta entidad sigue siendo controvertida, aunque la teoría más aceptada es la hipótesis de Lichtenstein que sugiere que el periostio tiene pluriprobabilidad de producir tejido óseo y cartilaginoso.5

El osteocondroma debe sospecharse en pacientes con limitación de apertura bucal y deformidad facial, aunque la limitación debe ser diferenciada con desórdenes temporomandibulares. El diagnóstico diferencial debe plantearse con osteoblastoma benigno de proceso coronoideo, condroblastoma, hiperplasia de apófisis coronoides y condroma.12,18,19 El diagnóstico de certeza será confirmado por el estudio histopatológico.19

La tomografía computarizada multislice sigue siendo el estándar de oro en el diagnóstico, ya que entrega información detallada sobre la localización, tamaño, densidad y relación con otras estructuras adyacentes, información valorable para la elección del tratamiento.4,12,14,20

La histología muestra presencia de trabeculado óseo recubierto por una capa de tejido cartilaginoso y fibroso.4,12

Los osteocondromas en los huesos largos en su mayoría son asintomáticos y no requieren tratamiento, a diferencia de los ubicados en la región craneofacial, los cuales generan alteraciones funcionales y estéticas siendo necesaria su resección.4

El tratamiento es la coronoidectomía y el abordaje quirúrgico puede ser intraoral, extraoral o mixto.1,3,20

La mayoría de los cirujanos favorecen un abordaje intraoral en 49%, otros un abordaje extraoral y otros un abordaje combinado 11%.21

El abordaje intraoral (de nuestra preferencia) permite un acceso directo al proceso coronoideo eliminando el posible daño al nervio facial y cicatrices indeseables.2-4,12,21

El pronóstico es excelente y las recidivas son raras.2,12



CONCLUSIONES

El diagnóstico de esteocondroma debe tenerse cuenta en pacientes con limitación de apertura bucal. Los estudios por imágenes, en especial la tomografía computarizada multislice y CBCT, son pilares fundamentales para el diagnóstico del osteocondroma, aunque el diagnóstico de certeza se realizará a través del estudio histopatológico de la lesión. La coronoidectomía con abordaje intraoral sigue siendo el tratamiento de elección.


REFERENCIAS (EN ESTE ARTÍCULO)

  1. Stringer DE, Chatelain KB, Tandon R. Surgical treatment of Jacob's disease: a case report involving an osteochondroma of the coronoid process. Case Rep Surg. 2013; 2013: 253740.

  2. Roscher DF, Attaguile A, Benitez J, Giannunzio G. Jacob's disease: a case report and literature review. Dentistry 2018, 8: 5.

  3. Peroz I. Osteochondroma of the condyle: case report whit 15 years of follow-up. Int J Oral Maxillofac Surg. 2016; 45 (9): 1120-1122.

  4. Lan T, Liu X, Liang PS, Tao Q. Osteochondroma of the coronoid process: a case report and review of the literature. Oncol Lett. 2019; 18 (3): 2270-2277.

  5. Hirst E. Bone tumors, 5th. Louis Lichtenstein. CV Mosby. St Luis. 1977, pp. 17-19.

  6. Villanueva J, González A, Cornejo M, Núñez C and Encina S. Osteochondroma of the coronoid process. Med Oral Patol Oral Cir Bucal. 2006; 11: E289-E291.

  7. Weimann JP, Sicher H. Bone and bones: fundamentals of bone biology. 2nd, C.V. Mosby, St Luis, 1995, pp .88-126.

  8. Isberg A. Isacsson G, Nah KS. Mandibular coronoid process locking: a prospective study of frequency and association with internal derangement of the temporomandibular joint. Oral Surg Oral Med Oral Pathol. 1987; 63: 275-279.

  9. Langenbeck B. Angeborene Kleinert der unterkiefer. Langenbecks Arch. 1861; 1: 451.

  10. Jacob O. Une cause rare de constriction permanente des machoires. Bull et Mem de la Société Anatomique de Paris 1899; 1: 917.

  11. Roychoudhury A, Gupta YK, Parkash H, Karak AK. Jacob disease: report of a case and review of the literature. J Oral Maxillofac Surg. 2002; 60: 699-703.

  12. Mohan Choontharu M, Buch SA, Babu GS, Castelino RL, Rao S, Rao K. A rare clinical presentation of an osteochondroma of coronoid process of mandible. J Dent (Shiraz). 2018; 19 (4): 325-330.

  13. Shin DW, Kim JE, Kim HS, Lee H. Jacob's disease: report of a case. Cranio. 2017; 35 (1): 58-63.

  14. Sawada K, Schulze D, Matsumoto K, Hirai S, Hashimoto K, Honda K. Osteochondroma of the coronoid process of the mandible. J Oral Sci. 2015; 57 (4): 389-392.

  15. Hernández-Alfaro F, Escuder O, Marco V. Joint formation between an osteochondroma of the coronoid process and the zygomatic arch (Jacob disease): report of case and review of literature. J Oral Maxillofac Surg. 2000; 58: 227-232.

  16. Cooper BC, Kleinberg I. Establishment of a temporomandibular physiological state with neuromuscular orthosis treatment affects reduction of TMD symptoms in 313 patients. Cranio. 2008; 26 (2): 104-117.

  17. Catunda IS, Vasconcelos BC, Correa MV. Non-invasive joint decompression: an important factor in the regeneration of the bone marrow and disc recapture in temporomandibular arthropathies. Med Oral Patol Oral Cir Bucal. 2018; 23 (5): e505-e510.

  18. Tamimi D, Hatcher D. Imagenología especializada articulación temporomandibular. Ed. Amolaca, Medellín, Colombia, 2019, pp. 540-545.

  19. Ramakant Dandriyal, Kolli Yada Giri, Swati Pant, Sarwar Alam, Ankur Joshi. Giant osteochondroma of the coronoid process. J Maxillofac Oral Surg. 2015; 14 (Suppl 1): 412-416.

  20. Roychoudhury A, Gupta YK, Parkash H, Karak AK. Jacob disease: report of a case and review of the literature. J Oral Maxillofac Surg. 2002; 60 (6): 699-703.

  21. Choi JG, Kim SY, Perez-Atayde AR, Padwa BL. Bilateral coronoid process hyperplasia with pseudocartilaginous joint formation: Jacob disease. J Oral Maxillofac Surg. 2013; 71 (2): 316-321.



AFILIACIONES

1 Especialista Jerarquizado en Cirugía y Traumatología Buco-Máxilo-Facial.

Sociedad Argentina de Cirugía y Traumatología Buco-Máxilo-Facial, seccional AOA. Buenos Aires, Argentina.

2 Especialista Jerarquizada en Endodoncia, Universidad del Salvador. Diplomada en Medicina del Sueño, Universidad Austral, Buenos Aires, Argentina.



CORRESPONDENCIA

Facundo César Peluso. E-mail: facundopeluso@hotmail.com




Recibido: 05/05/2022. Aceptado: 16/12/2022

Figura 1
Figura 2
Figura 3
Figura 4
Figura 5
Figura 6
Figura 7
Figura 8
Figura 9
Figura 10
Figura 11
Figura 12

2020     |     www.medigraphic.com

Mi perfil

C?MO CITAR (Vancouver)

Lat Am J Oral Maxillofac Surg. 2022;2

ARTíCULOS SIMILARES

CARGANDO ...