medigraphic.com
ENGLISH

Latin American Journal of Oral and Maxillofacial Surgery

ISSN 2992-7757 (Digital)
Órgano de difusión de la Asociación Latinoamericana de Cirugía y Traumatología Bucomaxilofacial (ALACIBU)
  • Mostrar índice
  • Números disponibles
  • Información
    • Información general        
    • Directorio
  • Publicar
    • Instrucciones para autores        
  • medigraphic.com
    • Inicio
    • Índice de revistas            
    • Registro / Acceso
  • Mi perfil

2022, Número 4

<< Anterior Siguiente >>

Lat Am J Oral Maxillofac Surg 2022; 2 (4)


Retiro de un cuerpo extraño inusual dentro de la fosa pterigomaxilar

Huamani Parra, Jaime1; Cordero Peña, Grover2
Texto completo Cómo citar este artículo 10.35366/110020

DOI

DOI: 10.35366/110020
URL: https://dx.doi.org/10.35366/110020
Artículos similares

Idioma: Español
Referencias bibliográficas: 11
Paginas: 178-181
Archivo PDF: 252.73 Kb.


PALABRAS CLAVE

fosa pterigomaxilar, fluoroscopia, cuerpo extraño.

RESUMEN

El acceso a la fosa pterigomaxilar (FP) para el retiro de cuerpos extraños (CE) no es un procedimiento habitual para el cirujano bucal y maxilofacial, además de la complejidad anatómica que representa la FP, puede dificultar más el acceso quirúrgico a la misma. Se presenta el caso clínico de una paciente de 25 años de edad, quien acudió al Servicio de Cirugía Bucal y Maxilofacial del Hospital Nacional Cayetano Heredia en Perú, con el antecedente de haber sido tratada quirúrgicamente por una fractura de ángulo mandibular derecho en otra institución, presentando una limitación a la apertura bucal como principal sintomatología. Dentro de los hallazgos en la tomografía espiral multicorte (TEM) se evidenció la inclusión de un CE de densidad metálica en la FP, mismo que fue removido en quirófano mediante un abordaje intraoral con el uso de fluoroscopia. Posterior a la remoción del CE, la paciente restableció su apertura bucal y correcta reparación ósea de la fractura mandibular. Se presenta el caso por la dificultad de acceso quirúrgico, además de la escasa literatura de casos similares con la que se cuenta en la actualidad.



INTRODUCCIóN

La presencia de cuerpos extraños (CE) impactados en la región de cabeza y cuello no es muy común; sin embargo, en caso de presentarse, estos pueden ser variables en cuanto a su composición, tamaño y localización.1 La etiología de los CE por lo general es de carácter traumático (accidentes automovilísticos, accidentes laborales y/o deportivos, agresión por terceros con arma de fuego, armas blancas u objetos punzocortantes), también pueden ser resultantes de complicaciones transoperatorias como fractura de aguja por infiltración anestésica, fractura de instrumentos endodónticos, desplazamiento de implantes dentales o dientes a zonas vecinas, fracturas de instrumentos rotatorios y olvido de material quirúrgico dentro del lecho quirúrgico, este último es más común en cirugía abdominal.1-7

Es de suma importancia la correcta identificación del cuerpo extraño localizado en el macizo facial; hoy en día, se cuenta con distintos exámenes imagenológicos como la tomografía computarizada de haz cónico, tomografía médica espiral multicorte, angiografía, resonancia magnética, ecografía, entre otros, cada uno con diferente especificidad e indicación, estos exámenes permitirán determinar el tamaño, la forma y la densidad del CE, además de determinar su relación con estructuras anatómicas adyacentes, ya sean vasculares, nerviosas, musculares u óseas.8-10 En la actualidad, los softwares de planificación virtual 3D para odontología pueden proporcionar información mucho más clara y precisa del CE, así como confeccionar guías 3D personalizadas para la remoción quirúrgica del CE en ciertos casos cuando el acceso lo permita.3

La fosa pterigomaxilar (FP) contiene estructuras vasculares y nerviosas de importancia que pueden entorpecer el acceso quirúrgico, este mismo se realiza comúnmente mediante abordajes abiertos transfaciales o mediante endoscopia transnasal para el tratamiento de neoplasias que afectan la FP.11 Existen diferentes formas de abordar la FP para remoción de CE: Vargas en 2010 reportó un caso clínico de un CE de madera alojado en ambas FP, para lo cual emplearon un abordaje con osteotomía Le Fort I para la remoción del mismo;1 Liceaga en 2013 reportó el uso de la fluoroscopia para el retiro de un tercer molar de la FP;4 otra alternativa para el retiro de CE en el macizo facial es el empleo de sistemas de navegación quirúrgica, sin embargo, son equipamientos de alto costo y requieren de curva de aprendizaje.10

El propósito de la presentación del caso es mostrar el retiro exitoso mediante fluoroscopia de un CE situado en la FP, el cual generaba limitación en la apertura bucal.



CASO CLíNICO

Se trata de paciente femenino de 25 años de edad, sin enfermedades sistémicas, quien refiere que 30 días antes del ingreso sufrió una agresión por terceras personas recibiendo golpes con puño en hemicara derecha, razón por la cual acudió a otra institución de salud donde le diagnosticaron una fractura de ángulo mandibular derecho y le realizaron reducción abierta más fijación interna con material de osteosíntesis. Posteriormente, siete días antes del ingreso, la paciente refiere que persistía la limitación de la apertura bucal y el dolor localizado de moderada intensidad al momento de la apertura, motivo por el cual se realizó una tomografía espiral multicorte (TEM) y acude a nuestro Servicio de Cirugía Bucal y Maxilofacial en el Hospital Nacional Cayetano Heredia, requiriendo tratamiento especializado.

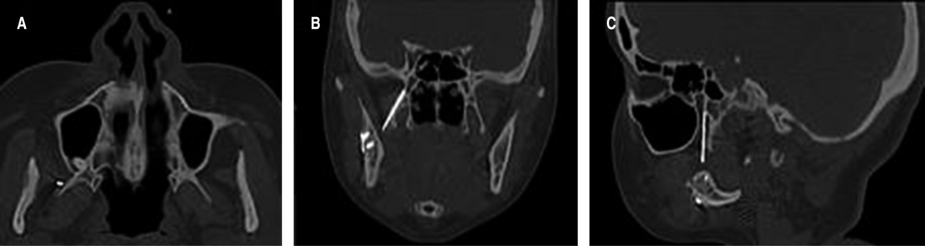
Dentro de los hallazgos imagenológicos se encontró imagen hiperdensa de forma fusiforme, de densidad similar al metal, de una longitud de 2.6 cm y un diámetro de 2 mm, esta misma se localizaba en la FP derecha, al correlacionar con el antecedente quirúrgico este CE era compatible con un fragmento de una broca percutánea del sistema 2.0; también se observan imágenes hiperdensas compatibles con una miniplaca de osteosíntesis con cuatro tornillos en ángulo mandibular, así como un área hipodensa correspondiente al trazo de fractura en proceso de cicatrización (Figuras 1 y 2).

A la evaluación extraoral se evidenciaba un perfil cóncavo; las demás estructuras se encontraban conservadas. A la evaluación intraoral se evidenciaba limitación de la apertura bucal de 2 cm (Figura 3), mucosas orales hidratadas, oclusión estable, maloclusión clase III y la presencia de sintomatología dolorosa a la apertura bucal en una escala EVA 7/10, además de presentar una cicatriz quirúrgica en rama mandibular, sin signos de infección.

Se realizó el retiro del CE mediante el fluoroscopio en sala de operaciones con un abordaje mínimamente invasivo en fondo de vestíbulo, pudiendo encontrar y remover exitosamente el CE de la FP derecha (Figuras 4 y 5). Posteriormente, se trató a la paciente mediante una férula miorrelajante, acompañada de fisioterapia por un lapso de cuatro meses, logrando así la recuperación de la apertura bucal, 35 milímetros aproximadamente (Figura 6). Es importante mencionar que entre el CE y los tejidos blandos circundantes se formó un área de tejido fibroso, la cual estaba condicionando la limitación de la apertura bucal. Se tomaron radiografías de control, las cuales evidenciaron la correcta consolidación de la fractura de ángulo derecho (Figura 7). Finalmente, la paciente fue transferida a ortodoncia para realizarse el tratamiento ortoquirúrgico de la maloclusión clase III.



DISCUSIóN

La incidencia de CE en cabeza y cuello no es común, y en caso de presentarse la zona más afectada en el macizo facial es la zona orbitaria, lo que hace mucho más rara la presencia de CE en la FP.2

Con base en la literatura revisada no se encontró ningún caso similar de complicación postoperatoria de fracturas mandibulares con inclusión de CE en la FP. Es importante mencionar que estas brocas percutáneas utilizadas para la instalación de tornillos distales en fracturas u osteotomías a nivel del ángulo mandibular deben ser empleadas mediante su guía de canal para que ésta no sufra cambios de dirección, por lo que una falla en la técnica podría haber sido un factor causal, otras posibles causas de ruptura de la misma podrían ser defectos de fábrica o el uso prolongado, al momento no es posible determinar la verdadera causa de la ruptura de la broca.

Otro detalle importante a mencionar es la repercusión del tiempo de permanencia del CE, el cual puede producir dolor, infección, malestar e inclusive migración del CE a estructuras vitales.10 La limitación de la apertura bucal que presentó la paciente se incrementó en el transcurso del tiempo conforme más tejido fibroso se generó en la periferia del CE, por lo cual la fisioterapia con medicina física estuvo dirigida a romper o elongar ese tejido fibroso en medida de lo posible para que se pueda restablecer la apertura bucal.

La resolución de estos casos atípicos es muy variada y dependerá también de la tecnología que tenga a disposición el cirujano maxilofacial para el retiro del CE.3 En caso de que el cuerpo extraño esté muy próximo a las arterias carótidas, el enfoque idóneo es el empleo de la angiografía con sistema de navegación, para lo cual es importante previamente calibrar los instrumentales a ser empleados con la TEM.10 En este caso, el uso del fluoroscopio permitió conocer la información en tiempo real sobre el posicionamiento del material de osteosíntesis de manera segura, por lo que esta técnica se mantiene vigente; además, cabe mencionar que éste es empleado a manera de rutina en traumatología.4

Como recomendación se sugiere prestar más atención al recambio de brocas cada cierto tiempo según las indicaciones del fabricante, así como revisar la técnica para la instalación de material de osteosíntesis percutáneo como una medida de prevención para este tipo de complicaciones.


REFERENCIAS (EN ESTE ARTÍCULO)

  1. Vargas FI, Verdugo A F, González ME, Pedemonte TC. Cuerpo extraño de madera en ambas fosas pterigomaxilares: caso clínico. Rev Chil Cir. 2010; 62 (4): 391-394.

  2. De Santana ST, Avelar RL, Melo AR, De Moraes HHA, Dourado E. Current approach in the management of patients with foreign bodies in the maxillofacial region. J Oral Maxillofac Surg. 2011; 69 (9): 2376-2382.

  3. Lukas D, Jan M, Constantinus P, Paul L. Fractured needle removal with a 3-dimensionally printed surgical guide: a case report and literature review. J Oral Maxillofac Surg. 2021; 79 (5): 1019-1024.

  4. Liceaga ECJ, Castañeda SO, González OVM. Extracción de tercer molar superior desplazado a espacio pterigomaxilar apoyada por fluoroscopio. Rev ADM. 2013; 70 (6): 324-328.

  5. Dryer RR, Conrad HJ. Displacement of a dental implant into the pterygoid fossa: a clinical report. J Prosthodont. 2019; 28 (9): 1044-1046.

  6. Agrawal A, Shenoi P, Kubde R, Sonarkar S, Badole G, Kokane V, et al. accidental dislodgement of separated instrument in the maxillary sinus: A unusual case. Acta Sci Dent Scienecs. 2020; 4 (11): 68-73.

  7. Silva-Carmona A, Ganado-Escobar AM, Mondragón-Chimal MA. Textiloma que se presenta como una masa abdominal. Reb Med Inv. 2014; 2 (1): 18-22.

  8. Odabasi O, Erkmen E, Ozlem Ucok C, Akif Bakir M, Yildizer Keris E, Sahin O. Morphometric analysis of pterygomaxillary region by using cone beam computed tomography. J Stomatol Oral Maxillofac Surg. 2021; 122 (3): 273-277.

  9. Derinkuyu BE, Boyunaga O, Oztunali C, Alimli AG, Ucar M. Pterygopalatine Fossa: Not a Mystery! Can Assoc Radiol J. 2017; 68 (2): 122-130.

  10. Gui H, Yang H, Shen SGF, Xu B, Zhang S, Bautista JS. Image-guided surgical navigation for removal of foreign bodies in the deep maxillofacial region. J Oral Maxillofac Surg. 2013; 71 (9): 1563-1571.

  11. Kuan EC, Chandra R, O'Malley BW, Adappa ND. Chapter 24 - Pterygopalatine/pterygomaxillary space approaches, maxillary artery ligation, and approach to juvenile nasopharyngeal angiofibroma. In: Chiu AG, Palmer JN, Adappa ND. Atlas of endoscopic sinus and skull base surgery. 2nd ed. Philadelphia: Elsevier; 2019. pp. 195-210.



AFILIACIONES

1 Especialista en Cirugía Oral y Maxilofacial. Facultad de Estomatología Roberto Beltrán. Universidad Peruana Cayetano Heredia y Hospital Nacional Cayetano Heredia. Lima, Perú.

2 Especialista en Cirugía Oral y Maxilofacial. Clínica Dental Peña, La Paz Bolivia.



CORRESPONDENCIA

Grover Cordero Peña. E-mail: grovercordero909@gmail.com




Recibido: 11/07/2022. Aceptado: 31/08/2022

Figura 1
Figura 2
Figura 3
Figura 4
Figura 5
Figura 6
Figura 7

2020     |     www.medigraphic.com

Mi perfil

C?MO CITAR (Vancouver)

Lat Am J Oral Maxillofac Surg. 2022;2

ARTíCULOS SIMILARES

CARGANDO ...