medigraphic.com
ENGLISH

Acta Médica Grupo Ángeles

Órgano Oficial del Hospital Ángeles Health System
  • Mostrar índice
  • Números disponibles
  • Información
    • Información general        
    • Directorio
  • Publicar
    • Instrucciones para autores        
    • Envío de artículos
    • Políticas
    • Nombre y afiliación del Comité Editorial
  • Nosotros
    • Plan de gestión e intercambio de datos
    • Objetivos declarados y alcance
  • medigraphic.com
    • Inicio
    • Índice de revistas            
    • Registro / Acceso
  • Mi perfil

2023, Número 2

<< Anterior Siguiente >>

Acta Med 2023; 21 (2)


Síndrome de Von Hippel-Lindau

Díaz Sánchez, Mario de Jesús1; Castro Sánchez, José1; Conde Castro, Benjamín1; Piña Ramírez, Luis1; Valencia Arana, Carlos1; Mina Romero, Elizabeth2; Vadillo Santos, Adriana2; Gaxiola Mascareño, Aarón1
Texto completo Cómo citar este artículo 10.35366/110266

DOI

DOI: 10.35366/110266
URL: https://dx.doi.org/10.35366/110266
Artículos similares

Idioma: Español
Referencias bibliográficas: 3
Paginas: 167-169
Archivo PDF: 140.84 Kb.


PALABRAS CLAVE

síndrome de Von Hippel-Lindau, resonancia magnética, imagenología diagnóstica, síndromes neoplásicos, quistes renales, quistes pancreáticos.

RESUMEN

Introducción: la enfermedad de Von Hippel-Lindau (VHL) es un trastorno hereditario, que predispone al desarrollo de una variedad de tumores que afectan principalmente el sistema nervioso central, riñón y páncreas. Debido a su posibilidad de desarrollar carcinoma de células renales y tener consecuencias clínicas en páncreas es necesaria su vigilancia por imagenología para identificar de forma oportuna estas manifestaciones. Caso clínico: mujer de 23 años, con diagnóstico reciente de enfermedad de VHL y evidencia de hemangioblastoma en cerebelo que requirió tratamiento quirúrgico, acude asintomática para realización de resonancia magnética de abdomen como parte de sus estudios de tamizaje. Conclusión: los estudios de imagenología son necesarios en los pacientes con diagnóstico de enfermedad de VHL, para realizar un diagnóstico oportuno de las posibles afectaciones en los órganos más frecuentemente relacionados con la enfermedad.



INTRODUCCIóN

El trastorno hereditario autosómico dominante de la enfermedad de Von Hippel-Lindau (VHL) es causado por mutaciones de la línea germinal en el gen supresor de tumores, localizado en el brazo corto del cromosoma 3 (locus 25-26), estas mutaciones predisponen al desarrollo de una variedad de tumores como hemangioblastoma de retina y del sistema nervioso central, carcinoma de células renales de células claras, feocromocitoma, tumores de los islotes pancreáticos y tumores del saco endolinfático.1

Las manifestaciones pancreáticas en la enfermedad de VHL incluyen cistoadenomas, quistes y tumores neuroendocrinos pancreáticos. Las alteraciones renales se presentan en 50-70% de los casos como quistes, generalmente múltiples, tanto simples como complejos y en pocas ocasiones comprometen la función renal, el epitelio de revestimiento puede ser displásico o desarrollar carcinoma in situ dando lugar a carcinoma de células renales.2

Los pacientes que tienen diagnosticada la enfermedad de VHL, requieren de vigilancia anual para identificar de forma oportuna y temprana la enfermedad tumoral maligna. El cribado radiológico puede incluir resonancia magnética (RM) con contraste, de utilidad para identificar enfermedad temprana, secuelas o posibles complicaciones relacionadas con la enfermedad de VHL. Recientemente se ha sugerido un protocolo abreviado de RM de cuerpo entero, con duración aproximada de 35 minutos y con una sola inyección de gadolinio con el objetivo de reducir el tiempo e incrementar la utilidad del estudio.3



DESCRIPCIóN DEL CASO

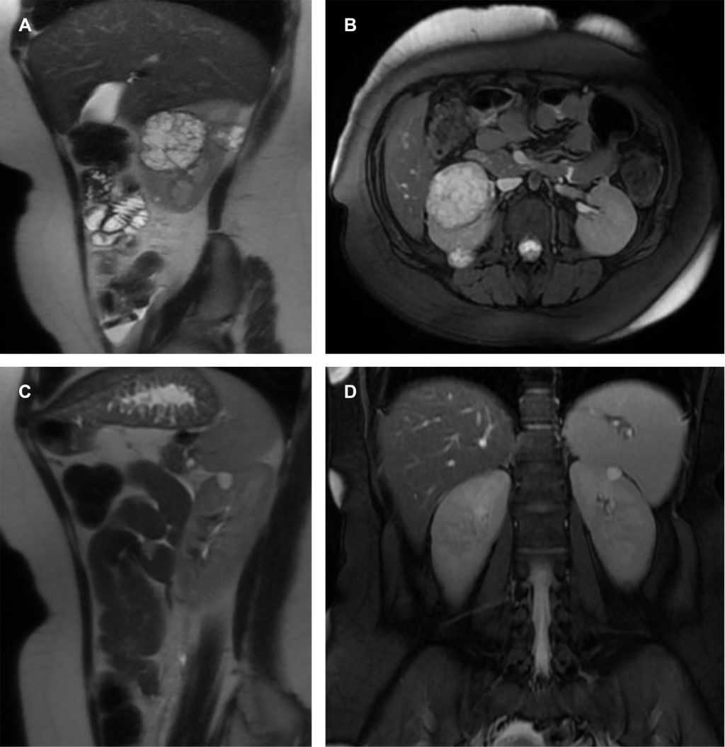
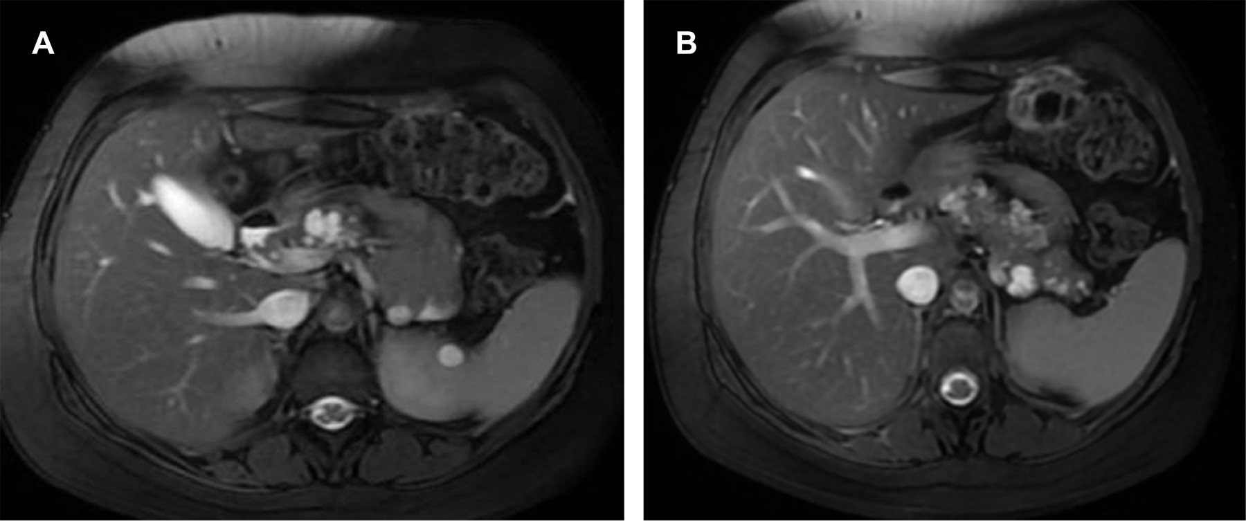
Mujer de 23 años con diagnóstico reciente de enfermedad de VHL y evidencia de hemangioblastoma en cerebelo que requirió tratamiento quirúrgico, acude asintomática para realización de RM abdominal como parte de sus estudios de tamizaje, en donde se evidenciaron quistes complejos en ambos riñones (Figura 1) y en páncreas (Figura 2).



DISCUSIóN

Debido a la alta frecuencia de afectación renal y pancreática relacionadas con la enfermedad de VHL, es necesaria la vigilancia radiológica para identificar la posible existencia de quistes, el número de afectación en cada órgano y caracterizar de forma detallada cada quiste en simple, complejo y complicado, como lo reportado en este caso, en el cual se reconoce la utilidad de realizar estudios que permitan el proceso diagnóstico integral.



CONCLUSIóN

Es indispensable realizar estudios de imagenología en los casos con diagnóstico de enfermedad de VHL, que permitan la detección y diagnóstico completo de la afectación relacionada con el síndrome para posibilitar, en caso necesario, un tratamiento oportuno.


REFERENCIAS (EN ESTE ARTÍCULO)

  1. Maher ER, Neumann HP, Richard S. von Hippel–Lindau disease: a clinical and scientific review. Eur J Hum Genet. 2011; 19 (6): 617-623.

  2. Olea I, Vargas B, Sobrino B, Domínguez E. Manifestaciones abdominales en la enfermedad de von Hippel Lindau en una serie de 7 pacientes y revisión de la bibliografía. Radiología. 2009; 51 (2): 198-203.

  3. Glasker S, Vergauwen E, Koch CA, Kutikov A, Vortmeyer AO. Von Hippel-Lindau disease: current challenges and future prospects. Onco Targets Ther. 2020; 13: 5669-5690.



AFILIACIONES

1 Médico radiólogo de Salud Digna, A.C. México.

2 Médico radiólogo del Hospital Angeles Pedregal. México.



CORRESPONDENCIA

Mario de Jesús Díaz Sánchez. Correo electrónico: mario.diaz@salud-digna.org




Aceptado: 28-06-2022.

Figura 1
Figura 2

2020     |     www.medigraphic.com

Mi perfil

C?MO CITAR (Vancouver)

Acta Med. 2023;21

ARTíCULOS SIMILARES

CARGANDO ...