medigraphic.com
ENGLISH

Acta Médica Grupo Ángeles

Órgano Oficial del Hospital Ángeles Health System
  • Mostrar índice
  • Números disponibles
  • Información
    • Información general        
    • Directorio
  • Publicar
    • Instrucciones para autores        
    • Envío de artículos
    • Políticas
    • Nombre y afiliación del Comité Editorial
  • Nosotros
    • Plan de gestión e intercambio de datos
    • Objetivos declarados y alcance
  • medigraphic.com
    • Inicio
    • Índice de revistas            
    • Registro / Acceso
  • Mi perfil

2023, Número 2

<< Anterior Siguiente >>

Acta Med 2023; 21 (2)


Polimiositis asociada a neumopatía intersticial en adulto mayor

Arellano Aguilar, José Gregorio1; Arellano Gutiérrez, Gregorio2; Domínguez Carrillo, Luis Gerardo3
Texto completo Cómo citar este artículo 10.35366/110267

DOI

DOI: 10.35366/110267
URL: https://dx.doi.org/10.35366/110267
Artículos similares

Idioma: Español
Referencias bibliográficas: 4
Paginas: 170-172
Archivo PDF: 164.72 Kb.


PALABRAS CLAVE

polimiositis, síndrome de cabeza caída, neumopatía intersticial.

RESUMEN

Introducción: la polimiositis, un trastorno autoinmune relativamente poco común, se desarrolla debido a la activación anormal de los linfocitos T citotóxicos y macrófagos contra los antígenos musculares que se presenta como una miopatía proximal, se ve asociada a neumopatía intersticial entre 10 y 30% de los pacientes. Caso clínico: hombre de 76 años con evolución lenta de ocho meses, caracterizada por fatiga, pérdida de peso de 12 kilos, debilidad creciente en paravertebrales cervicales y músculos de cintura escapular y pélvica. El laboratorio mostró enzimas musculares elevadas, anticuerpos anti J-1 positivos, datos de electromiografía (EMG) compatibles y biopsia confirmatoria de polimiositis, asociada con neumopatía intersticial. Se inició tratamiento con esteroides y rehabilitación, obteniendo mejoría clínica importante a las tres semanas. Conclusión: ya que la polimiositis no es frecuente, al diagnóstico se llega por exclusión principalmente al coincidir la sintomatología y las imágenes tomográficas en época de COVID-19.



INTRODUCCIóN

La dermatomiositis y la polimiositis conforman el principal grupo de miopatías adquiridas en adulto, con incidencia de 0.6 por 100,000. Al presentarse un caso asociado a neumopatía intersticial (NI), con recuperación clínica rápida, realizamos esta comunicación.



CASO CLíNICO

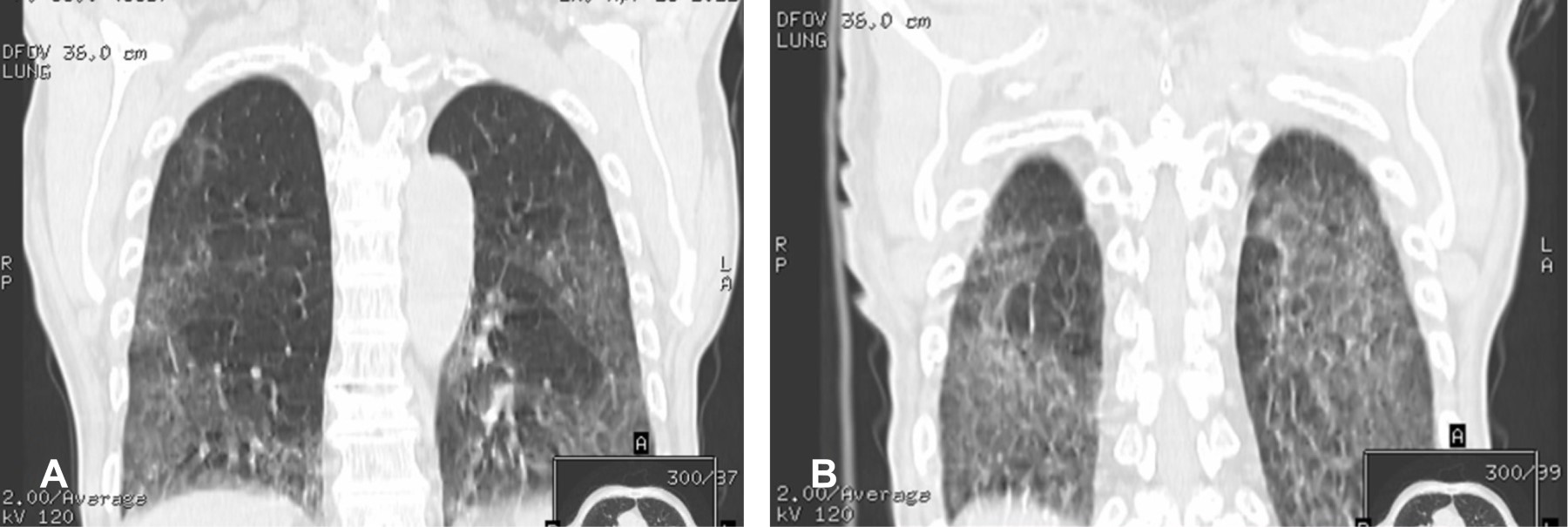
Hombre de 76 años. Inicia hace ocho meses con: debilidad creciente en paravertebrales cervicales y músculos de cintura escapular y pélvica, pérdida de 12 kg, cuenta con endoscopia de tubo digestivo alto y bajo normales y tomografía computarizada (TC) de tórax, mostrando neumopatía intersticial (Figura 1). A la exploración: tensión arterial 110/60 mmHg; frecuencia cardiaca 84/min; frecuencia respiratoria 24/min; temperatura 36.6 oC; peso 60 kg; talla 177 cm; índice de masa corporal 19.2. Oximetría de 90. Postura: columna cervical en flexión con barbilla pegada al tórax y cifosis dorsal; marcha asistida con aumento en base de sustentación; cuello en flexión con barbilla en pecho (Figura 2), paravertebrales cervicales en 1/5. Extremidades: calificación 3/5 para músculos de cintura escapular y pélvica, resto en 5/5.

Con diagnósticos de: probable miopatía y neumopatía intersticial. El laboratorio mostró: glucosa 76 mg/dL; CPK total 3,586 U/L; TGO 252 U/L; TGP 278 U/L, GGT 133 U/L; DHL 4, 239 U/L y anticuerpos anti-Jo-1 positivos a 32 EU/mL; anti-ARS negativos; la electromiografía con fibrilaciones y ondas positivas, potenciales polifásicos de baja intensidad y baja amplitud en deltoides y glúteo mayor (Figura 3A); confirmando diagnóstico de polimiositis, con biopsia deltoidea (Figura 3B). Prescribiendo 60 mg de prednisona/día; inhibidor de bomba de protones, calcio, vitamina D y programa de rehabilitación. A tres semanas de tratamiento, se desteta collarín, con músculos en calificación 4/5 con marcha independiente.



DISCUSIóN

La polimiositis es una miopatía inflamatoria autoinmune, mediada por linfocitos T, con incidencia entre 0.5 y 8.4/millón.1,2 La NI ocurre entre 10 y 30% de los pacientes con polimiositis, puede anteceder a la miopatía.3 En la NI la miopatía está presente en 90%. El diagnóstico diferencial incluye al síndrome antisintetasa, caracterizado por: miositis, enfermedad pulmonar intersticial, artritis simétrica, artralgias, fenómeno de Raynaud, erupción heliotrópica, dismotilidad esofágica distal, "manos de mecánico" y anticuerpos antisintetasas (anti-ARS). El tratamiento incluye corticosteroides, inmunosupresores y fisioterapia. Los pacientes deben someterse a tamizaje de cáncer por asociación con malignidad. La supervivencia a cinco años se estima en 80%; el pronóstico de la NI es mejor que el de la fibrosis pulmonar idiopática.4 La mortalidad se relaciona más a menudo con malignidad asociada o complicaciones pulmonares, más aún en el adulto mayor.


REFERENCIAS (EN ESTE ARTÍCULO)

  1. Sarwar A, Dydyk AM, Jatwani S. Polymyositis. In: StatPearls [Internet]. Treasure Island (FL): StatPearls Publishing; 2022.

  2. Kesserwani H. Predominant neck extensor muscle weakness: a rare manifestation of idiopathic polymyositis. Cureus. 2020; 12 (6): e8735.

  3. Shao T, Shi X, Yang S, Zhang W, Li X, Shu J et al. Interstitial lung disease in connective tissue disease: a common lesion with heterogeneous mechanisms and treatment considerations. Front Immunol. 2021; 12: 684699.

  4. Hoyos N, Casanova A, Sánchez S, Valenzuela C, García A, Girón RM. Polymyositis and interstitial lung disease with a favorable response to corticosteroids and methotrexate. Arch Bronconeumol. 2007; 43 (11): 636-639.



AFILIACIONES

1 Médico internista. División de Medicina del Hospital Angeles León. León, Guanajuato, México.

2 Angiólogo. Departamento de Angiología, Cirugía Vascular y Endovascular, Unidad Médica de Alta Especialidad, Hospital de Cardiología No. 34, IMSS. Monterrey, Nuevo León, México.

3 Especialista en Medicina de Rehabilitación. Catedrático de la Facultad de Medicina de León, Universidad de Guanajuato. México.



CORRESPONDENCIA

Dr. José Gregorio Arellano Aguilar. Correo electrónico: gregareag@gmail.com




Aceptado: 01-09-2022.

Figura 1
Figura 2
Figura 3

2020     |     www.medigraphic.com

Mi perfil

C?MO CITAR (Vancouver)

Acta Med. 2023;21

ARTíCULOS SIMILARES

CARGANDO ...