medigraphic.com
ENGLISH

Acta Médica Grupo Ángeles

Órgano Oficial del Hospital Ángeles Health System
  • Mostrar índice
  • Números disponibles
  • Información
    • Información general        
    • Directorio
  • Publicar
    • Instrucciones para autores        
    • Envío de artículos
    • Políticas
    • Nombre y afiliación del Comité Editorial
  • Nosotros
    • Plan de gestión e intercambio de datos
    • Objetivos declarados y alcance
  • medigraphic.com
    • Inicio
    • Índice de revistas            
    • Registro / Acceso
  • Mi perfil

2023, Número 2

<< Anterior Siguiente >>

Acta Med 2023; 21 (2)


Síndrome de heterotaxia o situs ambiguous: diagnóstico prenatal

Santiago Sanabria, Leopoldo1; Ignacio García, Melissa Gretel2; Malfavón Farías, Montserrat3; Porras Ibarra, Gina Daniela1
Texto completo Cómo citar este artículo 10.35366/110269

DOI

DOI: 10.35366/110269
URL: https://dx.doi.org/10.35366/110269

Idioma: Español
Referencias bibliográficas: 0
Paginas: 176-177
Archivo PDF: 153.86 Kb.


PALABRAS CLAVE

Sin palabras Clave



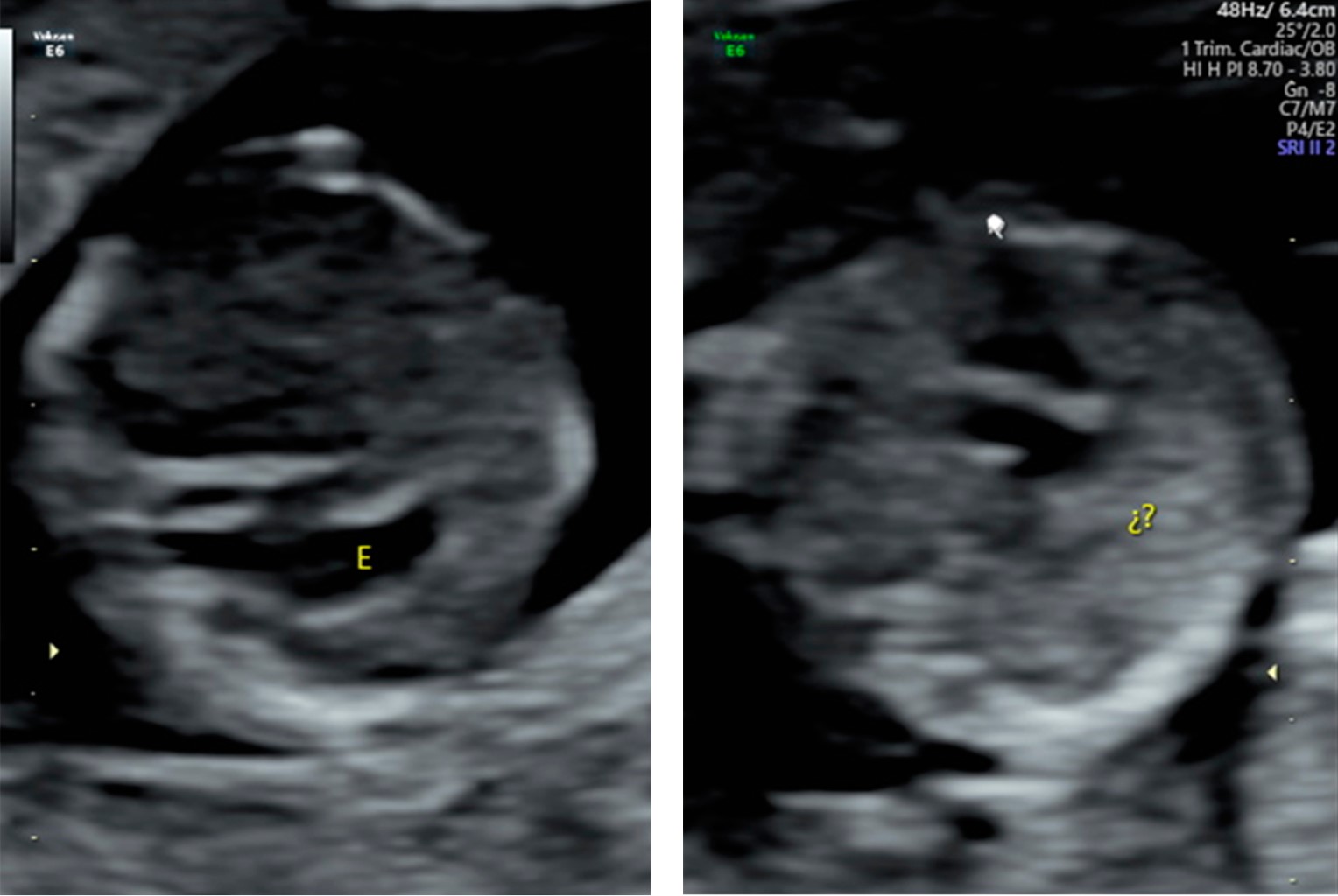
El síndrome de heterotaxia proviene del vocablo griego heteros (diferente) y taxis (configuración), se caracteriza por una configuración anormal en el eje derecho/izquierdo de los órganos torácicos y abdominales, los cuales se desarrollan en imagen en espejo "isómero" (Figuras 1 y 2).

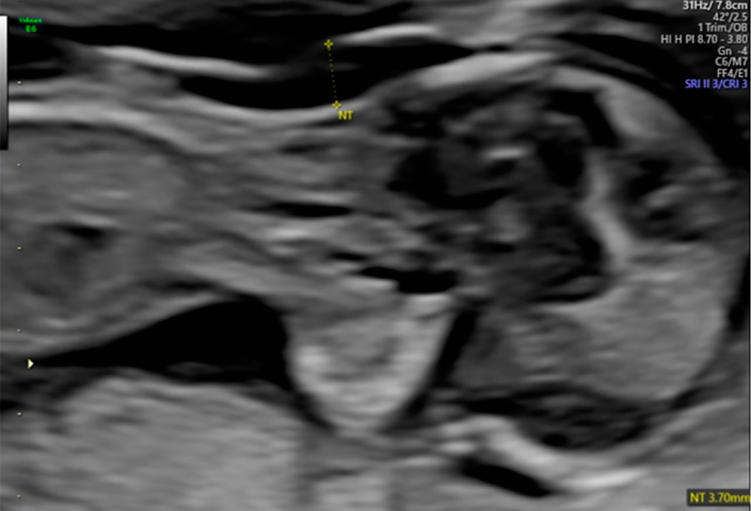
Tiene una frecuencia de 1 en cada 10,000 recién nacidos vivos y tiene gran relevancia dado que se asocia con malformaciones cardiacas y abdominales, las cuales se deben diagnosticar de manera prenatal a través del ultrasonido de tamizaje del primer trimestre del embarazo (Figura 3). Se debe emplear el Doppler color para la confirmación de cardiopatías. En este síndrome se agrupan variantes y diferentes grados de afectación (Figura 4).

Mujer de 26 años, gesta tres, un aborto, una cesárea, con embarazo de 35.1 semanas y ruptura prematura de membranas, con antecedente de feto con trisomía 18 (síndrome de Edwards) en gestación anterior. A la exploración física se registran frecuencias cardiacas fetales de 90 lpm. Después del nacimiento se confirma comunicación intraventricular y se estima que el recién nacido sea intervenido quirúrgicamente al año de vida.

La supervivencia se estima en 64% a los cinco años, la mortalidad puede alcanzar 50-81% y en algunos casos se diagnostica incidentalmente en la adultez.

Conflicto de intereses: los autores declaran no tener ningún conflicto de intereses y no haber recibido patrocinio para la realización del trabajo.




AFILIACIONES

1 Médico residente de ginecología y obstetricia, Hospital Angeles Lomas. Facultad de Medicina de la Universidad Nacional Autónoma de México. México. Hospital Angeles Lomas. Huixquilucan, Estado de México.

2 Médico residente de ginecología y obstetricia, Hospital de la Mujer Puebla. Benemérita Universidad Autónoma de Puebla. México. Hospital Angeles Lomas. Huixquilucan, Estado de México.

3 Médico residente de ginecología y obstetricia, Centro Médico ABC. Facultad de Medicina de la Universidad Nacional Autónoma de México. México. Hospital Angeles Lomas. Huixquilucan, Estado de México.



CORRESPONDENCIA

Dr. Leopoldo Santiago Sanabria. Correo electrónico: leopoldosantiagosanabria@gmail.com




Aceptado: 03-08-2022.

Figura 1
Figura 2
Figura 3
Figura 4

2020     |     www.medigraphic.com

Mi perfil

C?MO CITAR (Vancouver)

Acta Med. 2023;21

ARTíCULOS SIMILARES

CARGANDO ...