medigraphic.com
ENGLISH

Acta Médica Grupo Ángeles

Órgano Oficial del Hospital Ángeles Health System
  • Mostrar índice
  • Números disponibles
  • Información
    • Información general        
    • Directorio
  • Publicar
    • Instrucciones para autores        
    • Envío de artículos
    • Políticas
    • Nombre y afiliación del Comité Editorial
  • Nosotros
    • Plan de gestión e intercambio de datos
    • Objetivos declarados y alcance
  • medigraphic.com
    • Inicio
    • Índice de revistas            
    • Registro / Acceso
  • Mi perfil

2023, Número 2

<< Anterior Siguiente >>

Acta Med 2023; 21 (2)


Resolución de atelectasia completa del pulmón izquierdo con manejo de fisioterapia pulmonar

Jones Baro, Robert Alexander1; Martínez Camacho, Miguel Ángel1; Aguirre Curiel, Eliseo Moctezuma2; Duarte Molina, Pablo3
Texto completo Cómo citar este artículo 10.35366/110270

DOI

DOI: 10.35366/110270
URL: https://dx.doi.org/10.35366/110270

Idioma: Español
Referencias bibliográficas: 0
Paginas: 178-179
Archivo PDF: 135.85 Kb.


PALABRAS CLAVE

Sin palabras Clave



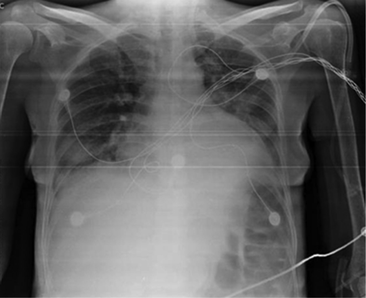
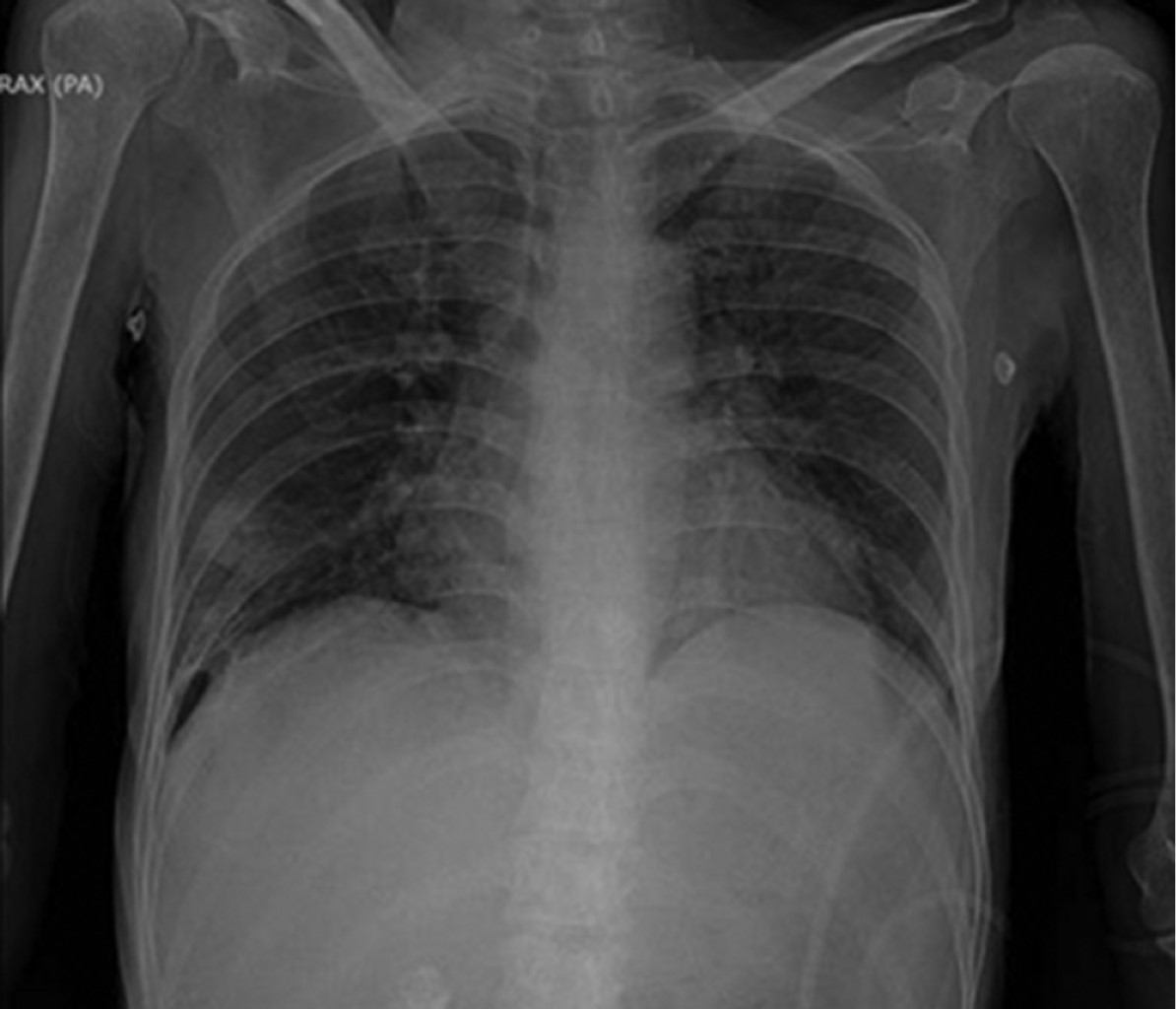
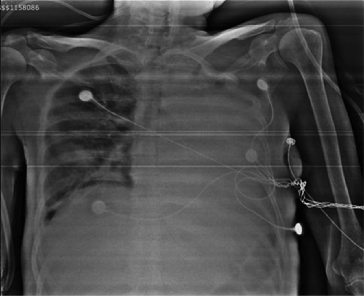
Mujer de 40 años de edad postnefrectomía secundario a absceso perirrenal, deterioro hemodinámico y respiratorio que requirió manejo en la Unidad de Cuidados Intensivos (UCI). La paciente presentó ventilación prolongada con necesidad de traqueotomía. Después de 38 días de estancia en la UCI se logra la decanulación de traqueostomía con éxito. Sin embargo, al cuarto día posterior a la decanulación presenta atelectasia completa del pulmón izquierdo sin datos de inestabilidad respiratoria (Figura 1). Las atelectasias completas se caracterizan radiológicamente por pérdida de la aireación pulmonar, radiopacidad de la región afectada, pérdida de la silueta cardiaca, ascenso de la cúpula diafragmática, desplazamiento de las estructuras mediastinales y tráquea de forma ipsilateral. Debido a las características del caso y las posibles complicaciones de manejo por medio de broncoscopia, se decide abordar de forma conservadora por medio de técnicas de fisioterapia pulmonar. Dentro del manejo fisioterapéutico se utilizaron técnicas de expansión torácica con apoyo de presión positiva con bolsa válvula mascarilla + válvula de presión positiva al final de la espiración (PEEP) de 10 cmH2O, tos asistida manual, fisioterapia de tórax para el manejo de secreciones y decúbito inspiratorio controlado (EDIC). Esta última técnica prioriza la ventilación hemipulmonar colocando en supralateral el pulmón a ventilar seguido de inspiraciones guiadas y finalizadas con espiraciones asistidas por compresión manual del tórax. Después de la radiografía de control a las seis horas (Figura 2) se decide la utilización de ventilación mecánica no invasiva durante la noche como manejo coadyuvante con una presión soporte 5 cmH2O y una PEEP de 5 cmH2O. Se logra el egreso hospitalario a los ocho días del evento con seguimiento médico y fisioterapéutico (Figura 3).




AFILIACIONES

1 Servicio de Fisioterapia en Áreas Críticas. Hospital General de México "Dr. Eduardo Liceaga", Ciudad de México.

2 Residencia de Medicina Crítica. Hospital General de México "Dr. Eduardo Liceaga", Ciudad de México.

3 Servicio de Terapia Intensiva de Infectología. Hospital General de México "Dr. Eduardo Liceaga", Ciudad de México.



CORRESPONDENCIA

Miguel Ángel Martínez Camacho. Correo electrónico: lftmiguelangelmtz@gmail.com




Aceptado: 05-10-2022.

Figura 1
Figura 2
Figura 3

2020     |     www.medigraphic.com

Mi perfil

C?MO CITAR (Vancouver)

Acta Med. 2023;21

ARTíCULOS SIMILARES

CARGANDO ...