medigraphic.com
ENGLISH

Revista Mexicana de Cirugía Bucal y Maxilofacial

ISSN 2007-3178 (Impreso)
Asociación Mexicana de Cirugía Bucal y Maxilofacial, Colegio Mexicano de Cirugía Bucal y Maxilofacial, A.C.
  • Mostrar índice
  • Números disponibles
  • Información
    • Información general        
    • Directorio
  • Publicar
    • Instrucciones para autores        
    • Envío de artículos
  • medigraphic.com
    • Inicio
    • Índice de revistas            
    • Registro / Acceso
  • Mi perfil

2022, Número 1-3

<< Anterior Siguiente >>

Rev Mex Cir Bucal Maxilofac 2022; 18 (1-3)


Quiste óseo aneurismático en maxilar y malar tratado mediante abordaje Weber-Ferguson modificado: reporte de caso y seguimiento a ocho años

Téllez Rodríguez, Jorge1; López Fernández, Rubí1; Piña Ramírez, Carlos Eduardo2
Texto completo Cómo citar este artículo 10.35366/110402

DOI

DOI: 10.35366/110402
URL: https://dx.doi.org/10.35366/110402
Artículos similares

Idioma: Español
Referencias bibliográficas: 20
Paginas: 26-32
Archivo PDF: 319.95 Kb.


PALABRAS CLAVE

aneurismática, hueso, quistes, enfoque.

RESUMEN

El quiste óseo aneurismático es una lesión de naturaleza osteolítica que frecuentemente se presenta en los huesos largos y rara vez se observa en dos huesos del complejo maxilofacial de manera simultánea; el manejo quirúrgico de estas lesiones se basa principalmente en la enucleación o resección, dependiendo de las características y situación anatómica de la lesión. Cuando existen lesiones de gran tamaño en los huesos faciales, los abordajes extraorales son una necesidad terapéutica; sin embargo, las repercusiones estéticas se deben considerar. Se reporta el caso de un paciente masculino con afección simultánea del maxilar y malar tratado con resección de la lesión a través de un abordaje tipo Weber-Ferguson modificado y su seguimiento durante ocho años.



INTRODUCCIóN

El quiste óseo aneurismático (QOA) es definido por la organización mundial de la salud como una lesión expansiva osteolítica, a menudo multilocular, con espacios rellenos de sangre separados por septos fibrosos que contienen células gigantes osteoclásticas y tejido óseo reactivo.1

Fue descrito inicialmente en 1893 por Van Arsdale; luego, en 1942, es acuñado el término "quiste óseo aneurismático" por Jaffe y Lichtenstein, quienes lo reconocieron como tal. En 1958, Sherman y Skoog realizaron la primera descripción de esta lesión en la mandíbula. También es conocido con otros nombres, como "hematoma osificante" y "quiste óseo hemorrágico".2,3

Se presenta principalmente en la segunda década de la vida y puede desarrollarse como una enfermedad primaria o secundaria a una lesión preexistente. Por lo general, se encuentra en huesos largos; su afección en maxilares representa del 1 al 3% de todos los QOA. El comportamiento clínico, así como los signos y síntomas, varían en relación con la ubicación anatómica en la que se presente; por lo común son asintomáticos y suelen ser descubiertos de manera incidental en estudios radiográficos, en donde se observan zonas generalmente radiolúcidas, multiloculares, con bordes bien definidos y separadas por septos óseos.4,5

Histológicamente, se observan cavidades rellenas de sangre rodeadas por macrófagos y no por células epiteliales, por lo que el término "quiste" no es conveniente, pues no presenta un epitelio; los septos se componen de fibroblastos, células gigantes osteoclásticas, osteoide o tejido óseo reactivo. La etiología de esta patología no es del todo conocida; se acepta que son provocados por una hemorragia traumática intramedular que provoca la formación de hematomas intraóseos; sin embargo, el antecedente de trauma no se conoce en todos los casos.1,4

El tratamiento consiste en la enucleación y curetaje o resección de la lesión cuando presenta un comportamiento más agresivo; sin embargo, se han empleado otras opciones terapéuticas.6,7

Se reporta el caso clínico de un paciente masculino de seis años de edad que presenta una recidiva de quiste óseo aneurismático en la región maxilar y malar del lado izquierdo. Debido a la localización y tamaño de la lesión, se realiza manejo quirúrgico para hemimaxilectomía y reconstrucción mediante colocación de material de osteosíntesis a través de un abordaje tipo Weber-Ferguson modificado.



CASO CLíNICO

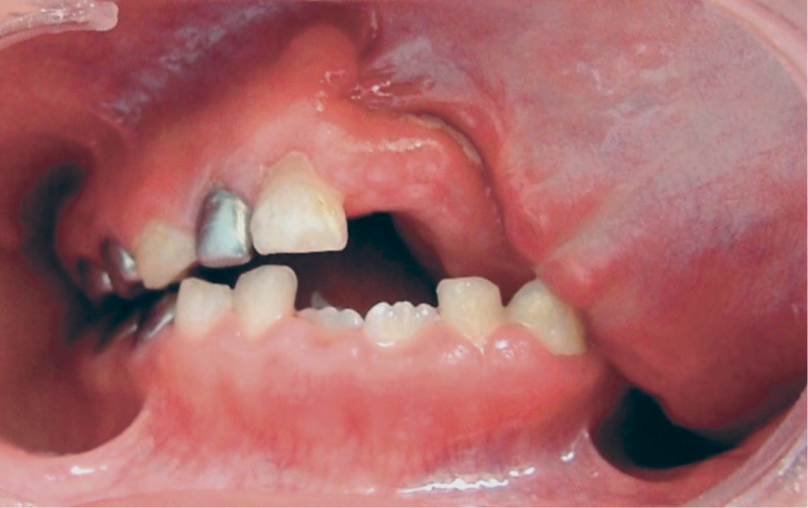
Inicia su padecimiento en el mes de marzo de 2007, cuando presenta aumento de volumen en la región maxilar y malar del lado izquierdo. Es valorado en primera instancia por un facultativo del Hospital del Niño Poblano, donde realizan manejo quirúrgico inicial de resección de la lesión en el mes de agosto del mismo año. Cursa con una evolución aparentemente adecuada; sin embargo, en diciembre de 2008 presenta nuevamente aumento de volumen en la misma región, por lo que es referido al Servicio de Cirugía Maxilofacial del Instituto Nacional de Pediatría. Se valora el paciente masculino de seis años de edad que a la exploración física presenta importante aumento de volumen, de aproximadamente 10 cm de diámetro, que involucra las regiones maxilar y malar del lado izquierdo y condiciona una asimetría facial importante, así como limitación de la apertura palpebral ipsilateral (Figura 1), no doloroso a la palpación, de consistencia firme, no móvil, con tegumentos sin cambios de coloración. Intraoralmente, observamos aumento de volumen del maxilar del lado izquierdo con pérdida del fondo de repliegue mucogingival anterior y posterior del lado izquierdo, de consistencia firme, con presencia de úlceras traumáticas en la zona posterior a expensas de contacto oclusal con órganos dentarios antagonistas (Figura 2).

El paciente no cuenta con antecedentes patológicos de importancia (a excepción de la tumoración inicial ya mencionada), por lo que se le solicitan estudios de imagen y se programa para la toma de una biopsia de la lesión para corroborar el diagnóstico clínico presuntivo de quiste óseo aneurismático.

Se toma la biopsia incisional, así como por punción, del contenido de la lesión, en donde se reporta contenido hemático con fragmentos de tejido óseo con actividad osteoclástica y fragmentos de pared de quiste con proliferación fibroblástica, osteoclastos y depósitos de osteoide, compatibles con diagnóstico de quiste óseo aneurismático. Se realizan estudios prequirúrgicos habituales, así como tomografía computarizada con reconstrucción 3D y estereolitografía para la planificación quirúrgica (Figura 3). Se programa para tratamiento quirúrgico bajo anestesia general en octubre de 2008. Debido a la localización y extensión de la lesión, se decide llevar a cabo maxilectomía mediante un abordaje tipo Weber-Ferguson modificado, con colocación de material de osteosíntesis para reconstrucción maxilar tras realizar la hemimaxilectomía (Figura 4). La muestra obtenida de la lesión es enviada para su estudio histopatológico, que reporta fragmentos de tumor de 38 g de peso, irregulares, laminares, de color café, con coágulos sanguíneos asociados con fragmentos de hueso café claro, duro y poroso, con diagnóstico de quiste óseo aneurismático.

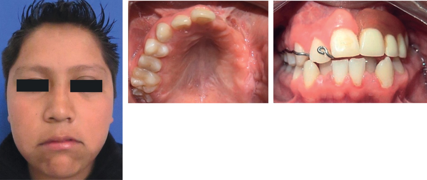
Tras el procedimiento quirúrgico, el paciente es evaluado periódicamente a la semana, dos semanas, uno, tres y seis meses, y luego, revisión cada seis meses, donde presenta una evolución adecuada. En febrero de 2013 se observa una exposición de cuatro milímetros del material de osteosíntesis, por lo que se realiza cierre de la exposición con rotación de colgajo de bola adiposa de Bichat. En la actualidad, el paciente no presenta datos de exposición de material de osteosíntesis ni recidiva de la lesión (Figura 5), muestra una adecuada evolución, sin limitaciones funcionales y con presencia de material de osteosíntesis en posición y función adecuadas, como se puede observar en la tomografía computarizada de control (Figura 6).



DISCUSIóN

El QOA es una lesión que se presenta principalmente en la metáfisis de huesos largos como el fémur y la tibia o la columna, en donde representan del 1 al 2% de todos los tumores óseos primarios. La afección de cabeza y cuello se observa sobre todo en las áreas sinonasales y la mandíbula, donde ocurre el 2% del total de los QOA; éstos, a su vez, son el 1.5% de todos los quistes no odontogénicos de la región maxilofacial, con una proporción mayor en la mandíbula que en el maxilar 2:1; raramente se encuentran asociados a dos huesos de forma simultánea en la región maxilofacial, como en el presente caso. A pesar de que la mayoría de las revisiones de la literatura no reportan una predilección por sexo, en algunas series de casos se observa un ligero predominio por el sexo masculino, 1.2:1. Su incidencia es de 0.014/100 000, y aunque se observa en un rango amplio de edades, es predominante en la segunda década de la vida.1-3,5,7-9

La etiología de esta lesión aún no está del todo esclarecida. Principalmente se acepta una naturaleza reactiva por formación de hematomas intraóseos; sin embargo, el antecedente de trauma sólo se observa en el 50% de los casos; pese a esto, es una lesión que puede presentar una alta agresividad local. Biesecker y colaboradores sugieren un origen a partir de malformaciones arteriovenosas, con un aumento de la presión venosa intralesional y con la consecuente resorción ósea. Struthers y Shear proponen un antecedente traumático y la formación de un hematoma subperióstico, mientras que Bhaskar propone la degeneración de una lesión ósea, granulomatosa o tumoral preexistente. Otras teorías proponen factores como reacciones de osteoclasia local o, incluso, alteraciones de la oclusión. Los QOA pueden ser lesiones primarias o secundarias. Según la literatura, el 50% de las lesiones son secundarias a padecimientos previos comprobables, como el granuloma de células gigantes, tumor pardo, condroblastoma, osteoblastoma, fibromixoma, displasia fibrosa, hemangioma, granuloma eosinofílico y fibroma osificante. El término "aneurismático" se relaciona con el efecto de distensión producido por la presión sanguínea, y el término "quiste" refleja el hecho de que el tumor semeja una cavidad rellena de sangre; sin embargo, esta lesión no representa un verdadero quiste debido a la falta del epitelio en su estructura.6,8

Por lo general, son lesiones que se observan de manera incidental en estudios de imagen. Clínicamente, suelen ser asintomáticas y presentar expansión de corticales óseas como datos más relevantes; cuando alcanzan gran tamaño (en cabeza y cuello llegan a tener dimensiones que varían de 1-10 cm de diámetro) pueden provocar alteraciones, síntomas y signos clínicos con base en la localización anatómica en que se presenten, e incluso, pueden llegar a provocar fracturas patológicas. En los maxilares, los dientes relacionados a la lesión son vitales, pero el desplazamiento y la resorción radicular son fenómenos que llegan a ocurrir en raras ocasiones. Otras localizaciones más específicas como el cóndilo mandibular o la rama pueden condicionar diferentes grados de limitación en los movimientos mandibulares. Las lesiones en el maxilar pueden provocar obstrucción nasal, diplopía, epífora, epistaxis recurrente o exoftalmos. La presentación puede ser tan variada que existen reportes de casos en que la lesión simula diferentes condiciones clínicas, como el ameloblastoma uniquístico y el tumor odontogénico queratoquístico; también puede estar asociada a otras patologías como el fibroma osificante juvenil psamomatoide, donde se ha relacionado con una mayor agresividad y reincidencia local alta, así como con alteraciones en los cromosomas Xq26 y 2q33.2,4-6,10

Radiográficamente, son lesiones uniloculares o multiloculares radiolúcidas, aunque hasta un 10% presentan un aspecto mixto o de vidrio esmerilado; los bordes son bien definidos, pero pueden observarse perforaciones en las corticales, con extensión a los tejidos blandos, con presencia de septos óseos en la lesión.

Basados en las características clínicas y radiográficas, Sun y colaboradores establecen tres estadios para los QOA en los huesos largos: inactivo (márgenes bien definidos con bordes escleróticos), activo (recubierta perióstica incompleta, pero con márgenes bien definidos) y agresivo (falta de márgenes definidos). Capana y su grupo enfatizaron la relación entre estos estadios, el comportamiento y el tratamiento quirúrgico; mencionan una alta recurrencia local en los estadios activo y agresivo, sin recurrencia en los inactivos.

La tomografía computarizada es el estudio ideal para evaluar la extensión y la planificación del tratamiento quirúrgico, mismo que puede complementarse con el uso de la esterolitografía. Los niveles de fluidos producidos por la sedimentación de las células sanguíneas en las cavidades de la lesión son particularmente visibles en la resonancia magnética (en secuencia T2, el gradiente es característico). La angiografía sólo es útil ocasionalmente y no debe utilizarse como un medio de diagnóstico, sino como un estudio complementario cuando la resonancia magnética muestre un aspecto altamente vascular o relación con una malformación arteriovenosa.2,5,6,11,12

Histológicamente, se observan cavidades formadas por espacios sinusoides y vasculares rellenos de sangre, rodeadas por macrófagos, sin revestimiento epitelial; los septos se componen de fibroblastos, células gigantes osteoclásticas, osteoide o pequeñas cantidades de neoformación ósea. Es de resaltar la importancia de realizar la biopsia incisional o por aspiración debido a la amplia variedad de presentaciones clínicas y radiográficas que se pueden observar en esta patología. Inmunohistoquímicamente, se observan sinusoides revestidos por fibroblastos e histiocitos y con una cantidad variable de osteoide. En el aspecto genético, un hallazgo constante en el esqueleto extracraneal es el reordenamiento en el cromosoma 17p y translocaciones en el 16q. Un caso reportado en la nariz reveló una translocación 6;17 en p21 y p13, aunque otros cromosomas también pueden estar involucrados.1,2,4,8

El tratamiento habitual es la enucleación y el curetaje o la resección de la lesión, dependiendo de su agresividad local, con una tasa de recidiva en diferentes series de estudios del 20 al 30%, con una mayor recidiva en aquellos casos en que se realizó el curetaje aislado de la lesión.

Las opciones de abordaje quirúrgico que se han reportado para el manejo de las lesiones que involucran el maxilar difieren en función de la extensión y la ubicación específica, así como de la relación con estructuras anatómicas de importancia. Dentro de estas opciones quirúrgicas, una de las que más relevancia tiene es el abordaje tipo Weber-Ferguson, que ha sido sujeto a numerosas modificaciones a fin de ajustarse a las necesidades del cirujano. Una de las principales repercusiones de este abordaje es la cicatriz que produce, con un defecto más notorio en la incisión realizada en el labio superior; por ello, en este caso se utilizó un abordaje Weber-Ferguson modificado, que permite al cirujano prescindir de esta incisión labial sin limitar la exposición de la zona quirúrgica involucrada.

Existen reportes de tratamiento mediante la crioterapia, embolización percutánea, empaquetamiento abierto, escleroterapia y radioterapia, con diversos índices de éxito. Todas estas opciones fueron evaluadas dependiendo del caso en particular; son empleadas principalmente en el manejo de lesiones de gran tamaño y cuyo abordaje quirúrgico está condicionado por estructuras anatómicas de alto riesgo, evaluando el riesgo-beneficio para el paciente. El pronóstico es, en general, bueno, sin datos de transformación maligna.2,3,5-7,13-20



CONCLUSIóN

El quiste óseo aneurismático es una lesión que presenta una amplia variedad de características clínicas y radiográficas dependiendo de la zona anatómica que se encuentre involucrada, por lo que la realización de estudios de imagen complementarios, toma de biopsia y descartar otras patologías similares son de vital importancia para establecer un adecuado plan de tratamiento quirúrgico. Las opciones del mismo son principalmente la enucleación y la resección de la lesión en los casos más agresivos, por lo que la elección de un abordaje que permita una adecuada exposición de la patología, así como de la zona quirúrgica, es de vital importancia. El abordaje tipo Weber-Ferguson modificado que se propone es una excelente opción en el manejo de lesiones que involucran el maxilar, pues además de permitir un abordaje adecuado de este tipo de lesiones, presenta una mínima repercusión en la estética facial.


REFERENCIAS (EN ESTE ARTÍCULO)

  1. Barnes L, Everson JW, Reichart P, Sidransky D, eds. World Health Organization classification of tumours. Pathology and genetics of head and neck tumours. IARC Press: Lyon; 2005.

  2. Triantafillidou K, Venetis G, Karakinaris G, Iordanidis F, Lazaridou M. Variable histopathological features of 6 cases of aneurysmal bone cysts developed in the jaws: review of the literature. J Craniomaxillofac Surg. 2012; 40 (2): e33-e38.

  3. Sakuma T, Yamamoto N, Onda T, Sugahara K, Yamamoto M, Muramatsu K et al. Aneurysmal bone cyst in the mandible: report of 2 cases and review of literature. J Oral Maxillofac Surg Med Pathol. 2013; 25 (2): 129-133.

  4. Hatakeyama D, Tamaoki N, Iida K, Yonemoto K, Kato K, Makita H et al. Simple bone cyst of the mandibular condyle in a child: report of a case. J Oral Maxillofac Surg. 2012; 70 (9): 2118-2123.

  5. Waknis P, Sarodeb SC, Dolas RS. Psammomatoid juvenile ossifying fibroma of the mandible with secondary aneurysmal bone cyst: a case report. Asian J Oral Maxillofac Surg. 2011; 23 (2): 83-86.

  6. Saldaña-Rodríguez M, García-Reija MF, García-Montesinos PB, Mayorga-Fernández M, Saiz-Bustillo RC. Quiste óseo aneurismático mandibular de tipo sólido. Rev Esp Cir Oral Maxilofac. 2013; 35 (2): 78-82.

  7. Ruiz de la Cuesta F, Alenda C, Monerris E, Gras Albert JR. Aneurysmal bone cyst of the ethmoid: apropos of a case and review of the medical literature. Acta Otorrinolaringol Esp. 2007; 58 (3): 113-115.

  8. Zadik Y, Akta? A, Drucker S, Nitzan DW. Aneurysmal bone cyst of mandibular condyle: a case report and review of the literature. J Craniomaxillofac Surg. 2012; 40 (8): e243-e248.

  9. Martínez-Jiménez JE, Pagán-Conesa JA, Salinas-Gilabert JE, Alonso-Díaz MM. El quiste óseo aneurismático en niños y adolescentes. Rev Esp Cir Osteoart. 1999; 34 (200): 181-185.

  10. Choi BJ, Choi SC, Kwon YD, Drew SJ. Aneurysmal bone cyst causing a pathologic fracture of the mandibular condyle. J Oral Maxillofac Surg. 2011; 69 (12): 2995-3000.

  11. Kalia V, Sawhney SK, Kalra G, Kaushal N. Aneurysmal bone cyst mimicking unicystic ameloblastoma/keratocystic odontogenic tumor: a case report and review of literature. J Oral Maxillofac Surg Med Pathol. 2014; 26 (1): 35-38.

  12. Marchetti C, Bacchini P, Tomasetti N, Bertoni F. Aneurysmal bone cyst: a radiolucent lesion of the mandible. Report of 3 cases. J Oral Maxillofac Surg. 2012; 70 (5): 1102-1108.

  13. Neuschl M, Reinert S, Gülicher D, Neuschl J, Hoffmann J. Aneurysmal bone cyst of the ascending ramus mandible. A case report. J Craniomaxillofac Surg. 2014; 42 (3): e36-e38.

  14. Ellis III E, Zide MF. Surgical approaches of the facial skeleton. Philadelphia: Lippinkoty Williams & Wilkins; 2006.

  15. Eley KA, Watt-Smith SR. The nasolabial approach: a potential alternative to the lip-splitting incision for maxillectomy. Br J Oral Maxillofac Surg. 2012; 50 (1): e6-e8.

  16. Guo Y, Guo C. Maxillary-fronto-temporal approach for removal of recurrent malignant infratemporal fossa tumors: anatomical and clinical study. J Craniomaxillofac Surg. 2014; 42 (3): 206-212.

  17. Mantravadi AV, Zender CA. Craniofacial approaches to the anterior skull base. Oper Tech Otolaryngol. 2010; 21 (3): 181-187.

  18. Shuman AG, Shah JP. Maxillary swing approach for removal of recurrent nasopharyngeal carcinoma. Oper Tech Otolaryngol. 2014; 25 (3): 248-253.

  19. Andi KA, Holmes SB, Hutchison IL. Infraorbital orbitotomy: modification of the Weber-Ferguson approach. Br J Oral Maxillofac Surg. 2010; 48 (1): 44-45.

  20. Rai A, Bhola N, Datarkar A, Borle R. Modified Weber-Fergusson incision with Borle's extension. Br J Oral Maxillofac Surg. 2010; 48 (5): e23-e24.



AFILIACIONES

1 Cirujano Maxilofacial adscrito al Instituto Nacional de Pediatría.

2 Cirujano Maxilofacial del Hospital General "Dr. Raymundo Abarca Alarcón", Chilpancingo, Guerrero.



CORRESPONDENCIA

Dr. Jorge Téllez Rodríguez. E-mail: jorgetellezrodriguez@hotmail.com




Recibido: Marzo 2019. Aceptado: Enero 2022.

Figura 1
Figura 2
Figura 3
Figura 4
Figura 5
Figura 6

2020     |     www.medigraphic.com

Mi perfil

C?MO CITAR (Vancouver)

Rev Mex Cir Bucal Maxilofac. 2022;18

ARTíCULOS SIMILARES

CARGANDO ...