medigraphic.com
ENGLISH

Acta Médica Grupo Ángeles

Órgano Oficial del Hospital Ángeles Health System
  • Mostrar índice
  • Números disponibles
  • Información
    • Información general        
    • Directorio
  • Publicar
    • Instrucciones para autores        
    • Envío de artículos
    • Políticas
    • Nombre y afiliación del Comité Editorial
  • Nosotros
    • Plan de gestión e intercambio de datos
    • Objetivos declarados y alcance
  • medigraphic.com
    • Inicio
    • Índice de revistas            
    • Registro / Acceso
  • Mi perfil

2023, Número 3

<< Anterior Siguiente >>

Acta Med 2023; 21 (3)


Características tractográficas en población pediátrica con neuritis óptica

Mateo Mena, Isabel María1; Pacheco Aispuro, Gerónimo2; García Beristain, Juan Carlos3; Hidalgo Tobón, Silvia4; Barragán, Eduardo3; Dies, Pilar4
Texto completo Cómo citar este artículo 10.35366/111344

DOI

DOI: 10.35366/111344
URL: https://dx.doi.org/10.35366/111344
Artículos similares

Idioma: Español
Referencias bibliográficas: 5
Paginas: 232-235
Archivo PDF: 189.25 Kb.


PALABRAS CLAVE

tractografía, anisotropía fraccionada, tensor de difusión, pediatría, neuritis óptica.

RESUMEN

Introducción: la neuritis óptica es una enfermedad neuroinmunológica, caracterizada por una lesión inflamatoria aguda del nervio óptico. El estudio de tractografía permite obtener datos de desmielinización mucho antes de la aparición de lesiones en sustancia blanca, permitiéndonos un diagnóstico y manejo precoz. Objetivo: describir las características de las vías ópticas en niños con neuritis mediante tensor de difusión y tractografía. Material y métodos: observación de resonancia magnética nuclear más tractografía de pacientes con neuritis óptica. Resultados: revisamos los estudios de resonancia magnética funcional con tractografía de tensor de difusión (DTI, por sus siglas en inglés) de tres pacientes diagnosticados con neuritis óptica, los resultados obtenidos se compararon con un caso control (paciente sano), donde obtuvimos como resultado que tanto el valor de anisotropía fraccionada (FA, por sus siglas en inglés) como el de coeficiente de difusión aparente (ADC, por sus siglas en inglés) fueron menores en nuestros casos en relación con el control, lo que refleja la presencia de desmielinización y daño axonal propio de la patología de base, además de un trastorno de la difusibilidad, hallazgo que se observa en presencia de daño en el epineuro en casos severos. Conclusiones: los hallazgos en FA y ADC del nervio óptico podrían ser predictores del curso de la enfermedad; sin embargo, para establecer este hecho es necesaria una cohorte de pacientes con la enfermedad; por lo tanto, este estudio piloto abre la perspectiva.



INTRODUCCIóN

Dentro de las enfermedades neuroinmunológicas tenemos la neuritis óptica, que es una lesión desmielinizante inflamatoria aguda del nervio óptico, caracterizada en los casos típicos por una pérdida visual monocular dolorosa que evoluciona de varias horas a unos pocos días.1 La inflamación visible del nervio óptico (papilitis) está presente en 30% de los pacientes, la inflamación es retrobulbar en el resto.2 El diagnóstico de neuritis óptica es clínico en el contexto de una pérdida de visión dolorosa unilateral. Un examen oftalmológico es esencial para la evaluación clínica. La resonancia magnética del cerebro y las órbitas con contraste de gadolinio confirman el diagnóstico en la mayoría de los casos.3

Se ha evidenciado un incremento en el diagnóstico de enfermedades neuroinmunológicas gracias a nuevas estrategias de abordaje y la posibilidad más amplia de estudios inmunológicos.3 En México no existen estudios tractográficos para la población pediátrica con neuritis óptica. En ausencia de estudios de resonancia magnética funcional que sean similares, existe la necesidad de poder investigar los hallazgos del tractor del nervio óptico y compararlos con pacientes sin compromiso del sistema nervioso. Este trabajo pretende dar inicio a la evidencia de las alteraciones que presentan estos pacientes y mostrar la utilidad de la tractografía como método de evaluación diagnóstica.

El estudio de tractografía de tensor de difusión (DTI, por sus siglas en inglés) con medida de anisotropía fraccionada (FA, por sus siglas en inglés) y coeficiente de difusión aparente (ADC, por sus siglas en inglés) de los nervios ópticos ha demostrado su utilidad fundamentalmente en la valoración precoz de la neuritis óptica retrobulbar, en la que el estudio DTI permite obtener, en los pacientes afectados, datos sobre la pérdida de FA de los nervios ópticos antes de la aparición de lesiones desmielinizantes en la sustancia blanca.4



MATERIAL Y MéTODOS

Realizamos un estudio retrospectivo, descriptivo y observacional de tres pacientes con diagnóstico de neuritis óptica, a quienes se les realizó resonancia magnética de cerebro con DTI dentro del abordaje diagnóstico, del 1 de enero al 31 de diciembre de 2020. Cada expediente clínico fue revisado cuidadosamente para obtener información detallada. Se utilizó una base de datos con el fin de extraer información relevante para el estudio. Se analizaron variables como edad, sexo, FA y ADC.

Criterios de inclusión: pacientes masculinos o femeninos con diagnóstico definitivo de neuritis óptica.

Criterio de exclusión: pacientes con diagnóstico previo de neuritis óptica, otras patologías inmunológicas o un diagnóstico diferente a los incluidos en los criterios de inclusión, y pacientes con aparatología dental o prótesis metálica que no permitían un estudio de imagen de calidad.



DEFINICIONES

Anisotropía fraccionada. Mediante la técnica de resonancia magnética, que es sensible a la difusión de agua, se evalúa la red de mentalización que incluye regiones anatómicas de interés como: lóbulo temporal anterior, corteza cingulada posterior, corteza prefrontal frontomedial, amígdala y giro frontal inferior; cada uno tanto del lado derecho como del izquierdo. Valores normales en niñas: 0.29 ± 4 × 103 UA. Valores normales en niños: 0.45 ± 3 × 102 UA.5

Coeficiente de difusión aparente. Se refiere a la difusión que existe entre las moléculas de agua con el tejido circundante a nivel extracelular. Valor normal en niñas: 2.18 ± 0.22 103 mm2/s. Valor normal en niños: 2.85 ± 0.05 103 mm2/s.5

Análisis estadístico. Para cada paciente se valoraron los siguientes parámetros: edad, sexo, FA y ADC medio.

Los valores de todos los datos obtenidos en el estudio se almacenaron en una base de datos Excel. Se realizó un análisis descriptivo, en el que las variables cualitativas se describieron como frecuencias o proporciones. Las variables cuantitativas no tuvieron una distribución normal, por lo que se reportaron como mediana y rangos intercuartílicos (RIC).



RESULTADOS

Se realizó una revisión de la resonancia magnética funcional con DTI de pacientes con neuritis óptica, donde se obtuvieron los siguientes resultados:

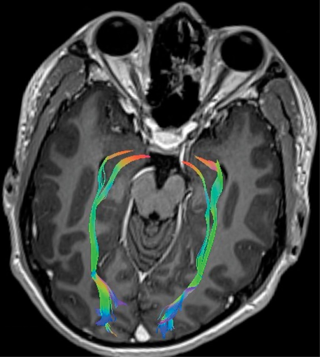
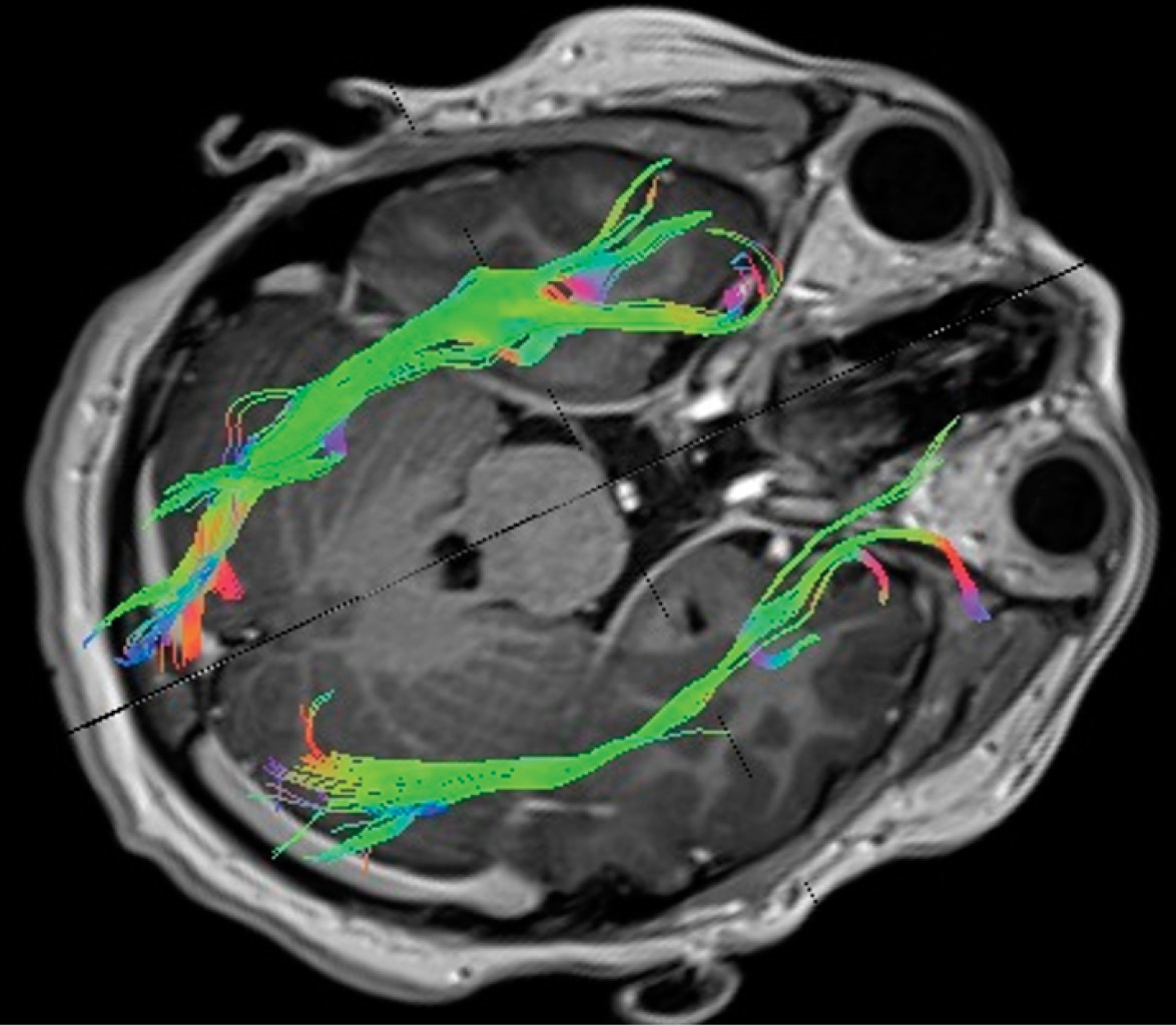
Paciente 1, 12 años, masculino, los valores obtenidos de FA fueron 0.000677609 (Figura 1) y de ADC 0.00647864.

Paciente 2, 12 años, masculino, los valores de FA fueron de 0.000525248 (Figura 2) y de ADC 0.0200861.

Paciente 3, 15 años, masculino, los valores de FA fueron de 0.000104941 (Figura 3) y ADC 0.0198284.

En los tres casos, nuestros pacientes tuvieron valores disminuidos tanto de FA como de ADC en relación con el control.



DISCUSIóN

La FA tiene un rango de 0 a 1, cuanto más cercano sea el valor numérico de este índice a 1, indicará que el tracto en estudio presenta preferencia por el movimiento o difusión en una dirección, secundario a la integridad de la capa de mielina que lo rodea (valor alto de FA), cuanto más cerca esté el valor de 0 (valor bajo de FA), reflejará una pérdida de la dirección preferencial, probablemente debido a una pérdida focal o difusa de la vaina de mielina.4 La fracción anisotrópica fue menor que los valores de control en nuestros tres pacientes, en el paciente 1 el resultado fue 0.000677609, en el paciente 2 fue 0.000525248, y en el paciente 3 fue 0.000104941, lo que refleja la presencia de desmielinización y daño axonal. Esto demuestra relación en cuanto a la base fisiopatológica de la enfermedad, donde la respuesta inmune provoca pérdida de mielina del nervio óptico y manifestaciones clínicas relacionadas con la neuritis óptica mediada o no por neuromielitis óptica o anticuerpos antiacuaporina, lo cual es interesante porque se inicia en la búsqueda definitiva, no sólo como cambios en las vías visuales sino también en un seguimiento a largo plazo, como un estudio que nos permita definir la severidad de la enfermedad y la respuesta a los tratamientos. En ese sentido el uso de la tractografía, especialmente en enfermedades neurológicas como la epilepsia y los tumores, ha abierto un camino más claro y novedoso en la evaluación de imágenes cerebrales, que ahora no sólo se limitan al conocimiento de las estructuras y su integridad, sino también al estudio de las vías y sus tractos.

En cuanto al ADC, éste nos habla de la difusión que existe entre las moléculas de agua con el tejido que la rodea a nivel extracelular. En nuestros tres pacientes los resultados obtenidos fueron inferiores en relación con el control (paciente 1: 0.00647864; paciente 2: 0.0200861; paciente 3: 0.0198284), estos hallazgos se observan cuando se produce un daño en el epineuro, dando como resultado un trastono en la difusibilidad, al entender que el epineuro es la capa nerviosa que puede sufrir un daño más inmediato ante procesos inflamatorios de diversas etiologías.4



CONCLUSIONES

  • 1. Se estudiaron tres pacientes con diagnóstico de neuritis óptica, 100% de los casos fueron pacientes del sexo masculino; la edad media fue de 12 años.
  • 2. Además, 100% de los pacientes presentó alteraciones tanto en FA como en ADC, lo que corrobora la presencia de desmielinización y daño axonal.

En conclusión, los hallazgos en FA y ADC del nervio óptico podrían ser predictores del curso de la enfermedad; sin embargo, para establecer este hecho es necesaria una cohorte de pacientes con la enfermedad; por lo tanto, este estudio piloto abre la perspectiva. Es interesante observar en las imágenes por tractografía, como muestra nuestro estudio, que la desmielinización en pacientes con neuritis óptica no sólo se limita a la porción intraorbitaria del nervio, sino que también afecta a toda la vía óptica.

Como comentamos antes, este estudio piloto abre una importante brecha en el análisis de imágenes de resonancia magnética en pacientes con neuritis óptica, donde las imágenes convencionales normalmente sólo se realizan con el fin de conocer la alteración en la estructura de los nervios comúnmente caracterizada por edema o inflamación de la primera porción del nervio óptico; sin embargo, la tractografía, además de evidenciar la interrupción de los trayectos por el mismo proceso inflamatorio, nos permite observar el número y volumen de las fibras afectadas, lo que finalmente será interesante analizar en una mayor muestra de pacientes que realice un seguimiento más estrecho de la respuesta al tratamiento con nuevos estudios de tractografía y que correlacione tanto la disminución del número de fibras como las alteraciones de FA y ADC con potenciales visuales (esta prueba con buena sensibilidad y especificidad para detectar anomalías en las vías visuales, en pacientes con neuritis óptica, las mediciones de latencia anormales pueden contribuir al diagnóstico de desmielinización subclínica, lo cual es un sello distintivo de las enfermedades desmielinizantes; estos hallazgos respaldan que los cambios subclínicos ocurren en ojos con neuritis óptica dentro de un corto intervalo de tiempo), esto sumado a la exploración oftalmológica de la agudeza visual, lo que podría entonces dar relevancia a la tractografía del nervio óptico en pacientes con neuritis óptica.


REFERENCIAS (EN ESTE ARTÍCULO)

  1. Waldman AT, Stull LB, Galetta SL, Balcer LJ, Liu GT. Pediatric optic neuritis and risk of multiple sclerosis: meta-analysis of observational studies. J AAPOS. 2011; 15 (5): 441-446.

  2. Medina K. Chapter 4: Overview of the immune system. In: Pittock SJ, Vincent A. Handbook of clinical neurology. Autoimmune neurology. Vol. 133. 3rd ed. Rochester, MN, USA: Elsevier; 2016. pp. 61-76.

  3. García JC, Barragán E. Autoimmune encephalitis in pediatrics. Acta Pediatr Mex. 2017; 38 (4): 274-279.

  4. Yamada K, Sakai K, Akazawa K, Yuen S, Nishimura T. MR tractography: a review of its clinical applications. Magn Reson Med Sci. 2009; 8 (4): 165-174.

  5. Sumi M, Nakamura T. Diagnostic importance of focal defects in the apparent diffusion coefficient-based differentiation between lymphoma and squamous cell carcinoma nodes in the neck. Eur Radiol. 2009; 19 (4): 975-981.



AFILIACIONES

1 Médico residente de Neurofisiología Clínica. Facultad Mexicana de Medicina de la Universidad La Salle México. México.

2 Neurofisiología Clínica. Hospital Angeles Pedregal. Facultad Mexicana de Medicina de la Universidad La Salle México. México.

3 Departamento de Neuropediatría del Hospital Infantil de México "Federico Gómez". México.

4 Departamento de Imagenología del Hospital Infantil de México "Federico Gómez". México.



CORRESPONDENCIA

Isabel María Mateo Mena. Correo electrónico: isamar3172@gmail.com




Aceptado: 25-10-2022.

Figura 1
Figura 2
Figura 3

2020     |     www.medigraphic.com

Mi perfil

C?MO CITAR (Vancouver)

Acta Med. 2023;21

ARTíCULOS SIMILARES

CARGANDO ...