medigraphic.com
ENGLISH

Acta Ortopédica Mexicana

ISSN 2992-8036 (Digital)
ISSN 2306-4102 (Impreso)
Órgano Oficial del Colegio Mexicano de Ortopedia y Traumatología
  • Mostrar índice
  • Números disponibles
  • Información
    • Información general        
    • Directorio
  • Publicar
    • Instrucciones para autores        
  • medigraphic.com
    • Inicio
    • Índice de revistas            
    • Registro / Acceso
  • Mi perfil

2022, Número 6

<< Anterior

Acta Ortop Mex 2022; 36 (6)


Herida crónica digital: ¿quiste epidermoide, osteomielitis o ambos? Presentación de dos casos clínicos y revisión de la literatura

Portes-Chiva, A1; Martorell-de Fortuny, L1; Pardo, A1; Domínguez, E1; Ciriaco, N2; Agustí-Claramunt, A3; Pérez-Prieto, D1
Texto completo Cómo citar este artículo 10.35366/111874

DOI

DOI: 10.35366/111874
URL: https://dx.doi.org/10.35366/111874
Artículos similares

Idioma: Español
Referencias bibliográficas: 16
Paginas: 389-394
Archivo PDF: 205.10 Kb.


PALABRAS CLAVE

herida crónica digital, quiste epidermoide, osteomielitis, caso clínico.

RESUMEN

Introducción: ante una herida crónica a nivel digital se plantea el diagnóstico diferencial entre osteomielitis o tumor primario. No es infrecuente la coexistencia entre osteomielitis y quiste óseo epidermoide. Material y métodos: en este artículo describimos dos casos de quistes epidermoides en falange distal de la mano asociados a osteomielitis y se presenta una revisión de la literatura. Resultados: tanto la osteomielitis como el quiste óseo epidermoide se han relacionado con la presencia de un traumatismo previo en el sitio de la lesión, alteraciones ungueales y signos flogóticos crónicos, por lo que es importante llegar a un diagnóstico certero mediante un estudio anatomopatológico y realizar un buen desbridamiento quirúrgico que asegure la curación de ambas entidades. Conclusiones: el desbridamiento quirúrgico asociado a curetaje y relleno del defecto óseo con sustituto óseo por medio de antibiótico es una buena opción terapéutica en el tratamiento de estas lesiones.



INTRODUCCIóN

Ante una herida crónica a nivel de partes acras se plantea el diagnóstico diferencial entre osteomielitis (OM) o tumores primarios. La OM es una infección ósea que se caracteriza por la inflamación progresiva y la alteración del ciclo de aposición-destrucción fisiológico. Sabemos que la OM en la mano es infrecuente debido al gran aporte sanguíneo que recibe,1,2 lo que afecta únicamente a un hueso en 70% de los casos. Las falanges distales son los huesos más afectados, con una incidencia de 38%, por delante de las falanges proximales y los metacarpianos.3 La inoculación suele ser directa, los mecanismos frecuentes son las fracturas abiertas y las mordeduras de humanos y animales. Los patógenos más frecuentemente aislados son el Staphylococcus aureus y el Staphylococcus epidermidis.4,5

Los quistes epidermoides son neoplasias benignas revestidas de epitelio escamoso estratificado con acumulación de queratina laminada en su interior. Tienen su origen en la implantación de elementos epidérmicos en tejidos más profundos y por la proximidad de la epidermis con la dermis, los quistes epidermoides cutáneos son la presentación habitual. De hecho, son la primera causa de tumor cutáneo. Aunque está descrito, menos de 1% de los quistes epidermoides malignizan a carcinoma escamoso.6 A pesar de que es poco frecuente hay descritas localizaciones atípicas6 como el sistema nervioso central, testículos, bazo, lengua, hueso, etcétera.

Como se ha mencionado anteriormente, en el diagnóstico diferencial de esta entidad encontramos las metástasis y la osteomielitis, esta última es una entidad que coexiste en algunos casos.

En este artículo describimos dos casos de quistes epidermoides en la falange distal de la mano, asociados a osteomielitis, además se presenta una revisión de la literatura.



CASO 1

Mujer de 53 años de edad sin antecedentes médicos de interés, con historia reciente de herida con avulsión ungueal en el primer dedo de la mano derecha tras una caída. En el estudio radiográfico anteroposterior y lateral del dedo no se objetivaron lesiones óseas. Se reinsertó la uña, se suturó la herida y se pautó tratamiento con antibiótico vía oral durante una semana. Siete meses más tarde acudió a consultas del Servicio de Traumatología de nuestro hospital por un cuadro de dos meses de evolución de dolor, eritema y tumefacción a nivel del pulpejo del primer dedo de la mano derecha. Se repitió el estudio radiográfico que evidenció una lesión osteolítica a nivel de la falange distal.

En la resonancia magnética nuclear (RMN) presentaba una ocupación medular completa de la falange, hipointensa con márgenes hiperintensos en T1, lo que es conocido como signo de penumbra. También presentaba reabsorción endóstica y rotura cortical. A nivel subcutáneo asociaba un leve edema sin presencia de colecciones ni afectación articular (Figura 1). Ante tales hallazgos se sugirió como primera opción diagnóstica la osteomielitis con un absceso subagudo y se programó la intervención quirúrgica.

Mediante una incisión lateral distal al pliegue interfalángico distal se realizó un desbridamiento y curetaje del material caseoso que ocupaba prácticamente la totalidad de la falange, respetando únicamente la base de la falange y la inserción del flexor largo del pulgar y extensor. Intraoperatoriamente se tomaron muestras para microbiología y anatomía patológica (AP) según el protocolo habitual utilizado en nuestro centro (cinco muestras para microbiología y una para AP). Una vez obtenidas todas las muestras se procedió al lavado con ocho litros de solución de suero fisiológico + clorhexidina acuosa, relleno de la cavidad con 2.5 cm3 de CERAMENT® con gentamicina y se instauró el tratamiento endovenoso con vancomicina y ceftazidima hasta resultados de cultivos intraoperatorios.

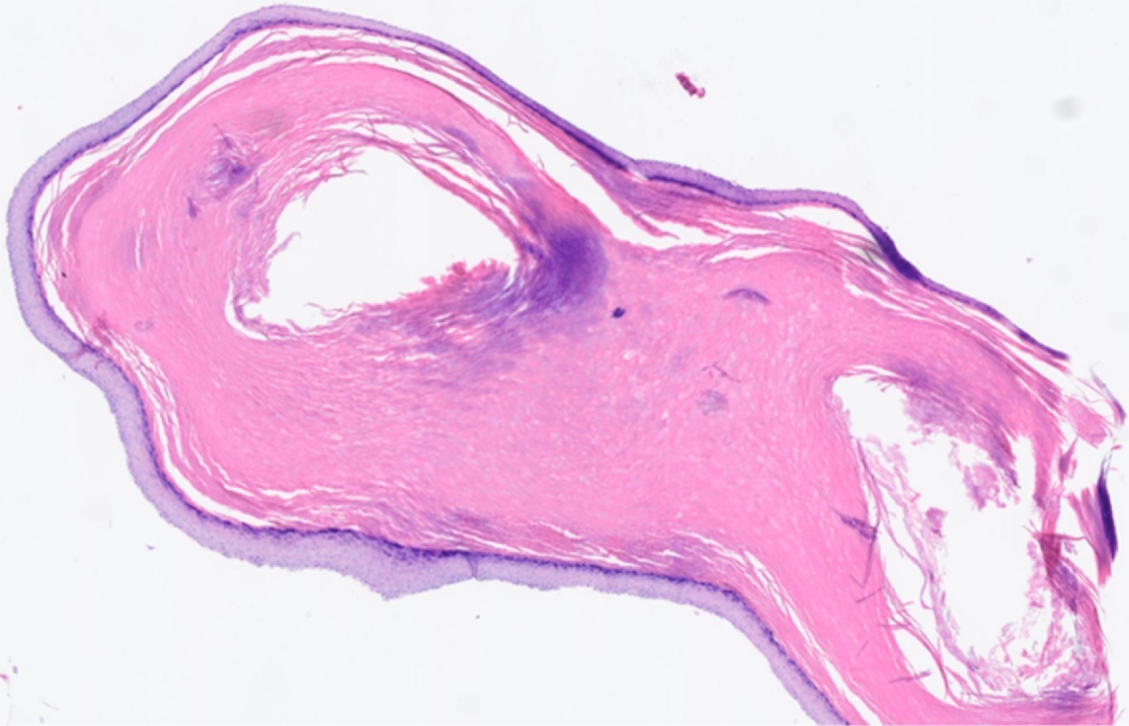
La evolución postoperatoria fue buena tanto clínica como analíticamente. Los cultivos fueron negativos. Fue la anatomía patológica la que sugirió la presencia de un quiste epidermoide sobreinfectado (Figura 2). Actualmente la paciente lleva seis meses de evolución, con correcto estado local y remodelación ósea (Figura 3).



CASO 2

Hombre de 20 años sin antecedentes patológicos de interés que presenta un cuadro de dos años de evolución de episodios de inflamación y drenaje purulento espontáneo a nivel periungueal del quinto dedo de la mano derecha, sin aparente traumatismo o herida previa. Había consultado el Servicio de Urgencias en dos ocasiones, en una de ellas consta el drenaje de una colección e inicio de antibioterapia oral (amoxicilina-ácido clavulánico 875/125 mg oral cada ocho horas, durante siete días). El caso se había orientado como una paroniquia recurrente con melanoniquia residual, pero al ampliarse el estudio con una radiografía simple se evidenció una lesión lítica en el tercio distal de la tercera falange, por lo que el paciente fue remitido al Servicio de Traumatología.

Se amplió el estudio de imagen con una resonancia magnética que informaba de una lesión lítica con rotura de la cortical dorsal sin alteración del remanente óseo de la base de la falange distal, por lo que se clasificó como una lesión focal abscesificada (Figura 4) que también correspondería con un signo de la penumbra. Ante tales hallazgos, esta vez con la sospecha de quiste epidermoide óseo sobreinfectado, se programó la intervención quirúrgica.

Mediante el mismo abordaje que en el caso previo, se llegó hasta el hueso y tras realizar una pequeña osteotomía se procedió a la extracción del material caseoso, desbridamiento y curetaje de los bordes óseos. Se tomaron muestras según el protocolo habitual. Tras ello se realizó el lavado con suero fisiológico y clorhexidina acuosa, relleno del defecto con CERAMENT G® y se inició tratamiento antibiótico endovenoso con linezolid y ceftazidima dado que el paciente era alérgico a vancomicina (Figura 5).

El paciente permaneció ingresado con antibioterapia intravenosa hasta el resultado de los cultivos y la AP. Los cultivos fueron positivos para un Staphylococcus epidermidis y la AP informaba de lesión compatible con un quiste epidérmico (Figura 6). Una vez conocido el antibiograma del S. epidermidis se modificó el antibiótico a levofloxacino 750 mg/24 horas hasta completar las cuatro semanas de tratamiento. La evolución postoperatoria fue buena, sin dolor ni otros signos de recidiva clínica con correcta remodelación ósea.



DISCUSIóN

Los quistes óseos epidermoides son difíciles de diagnosticar dada su baja frecuencia y la facilidad con la que pueden confundirse con otras entidades como una osteomielitis o una metástasis ósea. Debe sospecharse ante cualquier paciente con antecedentes traumáticos en el dedo afectado, signos flogóticos locales o alteraciones ungueales. Los quistes o tumores epidermoides son una de las principales causas de tumor cutáneo; sin embargo, los quistes epidermoides óseos son una entidad de muy baja incidencia. La ubicación más habitual de éstos son las falanges, aunque existen casos descritos en la literatura de afectación de huesos largos como fémur, tibia, cúbito o radio.7 De entre las falanges la más frecuentemente afectada es la distal, como sucedió con los casos presentados aquí, dada su singular anatomía regional y la adhesión del lecho ungueal al periostio subyacente.8 Fueron descritos por primera vez en esta localización por Harris y su equipo en 1930.9

De etiología desconocida la hipótesis más aceptada a día de hoy es la postraumática, la lesión puede aparecer meses o incluso años después del mecanismo lesional. Se cree que el quiste óseo epidermoide se forma al desplazarse las células epiteliales superficiales hasta el compartimento óseo subyacente como consecuencia de una herida, la manipulación de la misma o una intervención quirúrgica.10 Por ello se considera importante hacer una anamnesis dirigida a posibles antecedentes traumáticos. También existe una teoría congénita que relaciona estos tumores con el tejido epitelial embrionario, aunque dicha teoría es más aceptada para los quistes epidermoides intramedulares espinales, que claramente se asocian a malformaciones congénitas como la espina bífida o el sinus dérmico.11

La prevalencia es más elevada en el sexo masculino entre la tercera y la quinta décadas de la vida. El dolor es el síntoma guía que puede asociar cierto grado de deformidad, de hecho, en caso de tumores epidermoides a nivel de falange distal es frecuente la deformidad ungueal.12 Otros hallazgos clínico descritos en la literatura son los episodios de inflamación que a menudo confunden en el proceso diagnóstico. En cuanto a las características radiológicas esta entidad se comporta como una lesión osteolítica con adelgazamiento de la cortical, por lo que son poco habituales la esclerosis y la reacción cortical asociada. En la resonancia magnética nos encontramos una lesión que no capta contraste, hipointensa en T1 e hiperintensa en T2.13

Un diagnóstico certero se obtiene mediante el estudio anatomopatológico, debido a la baja especificidad tanto de la clínica como de las pruebas de imagen. Es característica, a nivel histológico, la presencia de una capa externa de epitelio escamoso estratificado que recubre una estructura quística central que contiene células epiteliales queratinizadas.14 Esta anatomía patológica tan característica permite diferenciar al quiste epidermoide del resto de entidades que conforman el diagnóstico diferencial, entre las que destacan: tumores de células gigantes, quistes óseos aneurismáticos, encondromas, metástasis y osteomielitis.15

A día de hoy se dispone de poca literatura al respecto, la mayoría de estudios son reportes de casos aislados (Tabla 1). En varios de los trabajos previamente citados se hace hincapié en la importancia de la anatomía patológica en el diagnóstico por la similitud del cuadro clínico con el de una osteomielitis.7,13 En la serie presentada, los dos quistes epidermoides asociaban una osteomielitis falángica. Este hallazgo supone un elemento clave a tener en cuenta en el tratamiento definitivo. A pesar de que el curetaje parece, hasta el día de hoy, el estándar de oro en el tratamiento de los quistes epidermoides falángicos, la elevada coexistencia de éstos con la osteomielitis nos hace pensar en que dicho gesto terapéutico puede no ser suficiente. Tampoco hay un consenso sobre el relleno del defecto óseo tras el curetaje de los tumores epidermoides.15 El motivo de la utilización de injerto o sustituto óseo es doble, por un lado consideramos que ante estas lesiones es imprescindible un desbridamiento y un curetaje extensos que van a debilitar el remanente óseo; por el otro, ante la elevada sospecha de proceso séptico asociado, el relleno del defecto permite disponer antibiótico local que va a ser una herramienta útil, además del tratamiento antibiótico sistémico que creemos que el paciente debe recibir hasta la obtención de los resultados de microbiología de las muestras para cultivo obtenidas intraoperatoriamente.

Tal y como se observa en el caso presentado por Mimura y colaboradores,7 la utilización de un sustitutivo óseo con antibiótico como el CERAMENT® proporciona una liberación local de antibióticos asociada a una ayuda en la remodelación ósea por su componente de hidroxiapatita. Esto es lo mismo que se ha observado en los dos casos presentados aquí, con una aceptable remodelación ósea en las radiografías de control.



CONCLUSIONES

A nivel de las falanges distales, no es infrecuente la coexistencia de un quiste epidermoide con una osteomielitis. Dado que el diagnóstico definitivo se obtiene a partir del estudio anatomopatológico y los cultivos microbiológicos, estos no suelen estar disponibles de inmediato, es importante que el tratamiento propuesto asegure la curación de las dos entidades. El desbridamiento quirúrgico, asociado al curetaje y relleno del defecto óseo por medio de sustituto óseo con antibióticos, es una buena opción terapéutica en el tratamiento de estas lesiones.


REFERENCIAS (EN ESTE ARTÍCULO)

  1. McDonald LS, Bavaro MF, Hofmeister EP, Kroonen LT. Hand infections. J Hand Surg Am. 2011; 36(8): 1403-12. doi: 10.1016/j.jhsa.2011.05.035.

  2. Türker T, Capdarest-Arest N, Bertoch ST, Bakken EC, Hoover SE, Zou J. Hand infections: a retrospective analysis. Peer J. 2014; 2: e513. doi: 10.7717/peerj.513.

  3. Flevas DA, Syngouna S, Fandridis E, Tsiodras S, Mavrogenis AF. Infections of the hand: an overview. EFORT Open Rev. 2019; 4(5): 183-93. doi: 10.1302/2058-5241.4.180082.

  4. Pinder R, Barlow G. Osteomyelitis of the hand. J Hand Surg Eur Vol. 2016; 41(4): 431-40. doi: 10.1177/1753193415612373.

  5. Koshy JC, Bell B. Hand infections. J Hand Surg Am. 2019; 44(1): 46-54. doi: 10.1016/j.jhsa.2018.05.027.

  6. Weir CB, St. Hilaire NJ. Epidermal inclusion cyst. 2021. In: StatPearls [Internet]. Treasure Island (FL): StatPearls Publishing; 2022.

  7. Mimura T, Yamazaki H, Hayashi M, Kato H. Intraosseous epidermoid cyst of the radius. J Hand Surg Am. 2019; 44(11): 996.e1-e5. doi: 10.1016/j.hsa.2018.12.004.

  8. Ruchelsman DE, Laino DK, Chhor KS, Steiner GC, Kenan S. Digital intraosseous epidermoid inclusion cyst of the distal phalanx. J Hand Microsurg. 2010; 2(1): 24-7. doi: 10.1007/s12593-010-0001-z.

  9. Harris RI. Sebaceous cyst of the terminal phalanx of the thumb, an unusual form of bone tumor. J Bone Joint Surg. 1930; 12: 647-48.

  10. Schajowicz F, Aiello CL, Slullitel I. Cystic and pseudocystic lesions of the terminal phalanx with special reference to epidermoid cysts. Clin Orthop Relat Res. 1970; 68: 84-92.

  11. Sirbu OM, Chirtes AV, Mitrica M, Sirbu CA. Spinal intramedullary epidermoid cyst: case report and updated literature review. World Neurosurg. 2020; 139: 39-50. doi: 10.1016/j.wneu.2020.03.207.

  12. Prasad R, Bhamidi A, Rajeswaran AK, Bhuvaneshwari R. Intraosseous keratin cyst of the distal phalanx. Indian J Plast Surg. 2015; 48(2): 212-4. doi: 10.4103/0970-0358.163066.

  13. Sugimoto H, Yasue K, Hara M, Takakuma S, Yumura W, Arai T, et al. Intraosseous epidermal cyst of the great toe that was difficult to distinguish from chronic osteomyelitis: A case report and literature review. Clin Case Rep. 2021; 9(4): 1890-5. doi: 10.1002/ccr3.3814.

  14. McGraw P, Bonvento B, Moholkar K. Phalangeal intraosseous epidermoid cyst. Acta Orthop Belg. 2004; 70(4): 365-7.

  15. Park IJ, Kim HM, Lee JY, Park HW, Kang SH. An intraosseous epidermal cyst developing in a metacarpal bone after K-wire fixation: a case report. Skeletal Radiol. 2015; 44(10): 1523-7. doi: 10.1007/s00256-2186-5.

  16. Sasaki H, Nagano S, Shimada H, Nakashima T, Yokouchi M, Ishidou Y, et al. Intraosseous epidermoid cyst of the distal phalanx reconstructed with synthetic bone graft. J Orthop Surg (Hong Kong). 2017; 25(1): 2309499016684096. doi: 10.1177/2309499016684096.



AFILIACIONES

1 Servicio de Cirugía Ortopédica y Traumatológica. Hospital del Mar, Universitat Autònoma de Barcelona. Barcelona, España.

2 Servicio de Anatomía Patológica. Hospital del Mar, Universitat Autònoma de Barcelona. Barcelona, España.

3 Servicio de Radiología. Hospital del Mar, Universitat Autònoma de Barcelona. Barcelona, España.



CORRESPONDENCIA

Alba Portes-Chiva. E-mail: aporteschiva@psmar.cat




Recibido: 14-03-2023. Aceptado: 13-04-2023.

Figura 1
Figura 2
Figura 3
Figura 4
Figura 5
Figura 6
Tabla 1

2020     |     www.medigraphic.com

Mi perfil

C?MO CITAR (Vancouver)

Acta Ortop Mex. 2022 Nov-Dic;36

ARTíCULOS SIMILARES

CARGANDO ...