medigraphic.com
ENGLISH

Acta Ortopédica Mexicana

ISSN 2992-8036 (Digital)
ISSN 2306-4102 (Impreso)
Órgano Oficial del Colegio Mexicano de Ortopedia y Traumatología
  • Mostrar índice
  • Números disponibles
  • Información
    • Información general        
    • Directorio
  • Publicar
    • Instrucciones para autores        
  • medigraphic.com
    • Inicio
    • Índice de revistas            
    • Registro / Acceso
  • Mi perfil

2022, Número 6

<< Anterior Siguiente >>

Acta Ortop Mex 2022; 36 (6)


Dehiscencia de herida quirúrgica y exposición material de osteosíntesis. ¿Infección segura?

Moril-Peñalver, L1; Sevilla-Monllor, A1; Saura-Sánchez, E1; Verdú-Aznar, C1; Lizaur-Utrilla, A2; López-Prats, F1,2;
Texto completo Cómo citar este artículo 10.35366/111873

DOI

DOI: 10.35366/111873
URL: https://dx.doi.org/10.35366/111873
Artículos similares

Idioma: Español
Referencias bibliográficas: 8
Paginas: 385-388
Archivo PDF: 188.01 Kb.


PALABRAS CLAVE

fractura-luxación de Monteggia, fractura abierta, dehiscencia de herida quirúrgica, exposición de osteosíntesis.

RESUMEN

Introducción: la dehiscencia de herida quirúrgica con exposición de material de fijación interna es un grave problema en cirugía ortopédica y un factor importante de infección. Objetivo: descripción del caso inusual de un paciente adulto con dehiscencia de la herida quirúrgica y exposición completa de 20 cm de largo de una placa de cúbito tras seis años de la cirugía, sin signos de infección, consolidación ósea y reepitelización debajo de la placa y adherida al hueso. Caso clínico: hombre de 39 años que sufrió una fractura-luxación de Monteggia, abierta grado II y multifragmentaria. El paciente tenía historia de drogodependencia en tratamiento con metadona. Fue tratado con fijación interna del cúbito mediante una placa de reconstrucción larga. Postoperatoriamente, el paciente dejó de acudir para evaluación. A los seis años de la cirugía presentaba una completa exposición de la placa (20 cm de longitud), sin signos de infección y consolidación con malalineación de la fractura. Tras el retiro de la placa se observó epitelización espontánea adherida al lecho óseo cubital. La cobertura cutánea fue completa a los dos meses. Conclusión: aunque inusual, es posible la consolidación ósea y la ausencia de infección en una fractura abierta con exposición de larga evolución de una placa de antebrazo en el adulto.



INTRODUCCIóN

La dehiscencia de herida quirúrgica con exposición de material de fijación interna es un grave problema en cirugía ortopédica y un factor importante de infección.1 En la mayoría de los casos y en ausencia de infección, las alternativas son aportar cobertura cutánea o músculo-cutánea a la osteosíntesis si la región anatómica lo permite o bien la extracción de la osteosíntesis para facilitar la cicatrización y el injerto de piel.2 Un caso particular es la cara medial del antebrazo, donde el cúbito está superficial y con escasa cobertura de tejido subcutáneo.

Ante la exposición de la osteosíntesis se sabe que el riesgo de infección se correlaciona con la duración del tiempo en que la osteosíntesis está expuesta. Por otro lado, el retiro de material de osteosíntesis no está exento de complicaciones, entre ellas la sobreinfección,3 mientras que la fijación de una fractura abierta con una osteosíntesis estable reduce la incidencia de infección.4

En resumen, la dehiscencia de la herida quirúrgica con exposición de la fijación interna en una fractura de antebrazo, especialmente si se trata de una fractura abierta, parece tener el máximo riesgo de infección y seudoartrosis, pero ¿siempre es así? Se presenta un caso de fractura-luxación de Monteggia, multifragmentaria y abierta, en la que ocurrió una dehiscencia de la herida quirúrgica con un largo tiempo de exposición de una placa de cúbito sin recibir tratamiento y que sorprendentemente no evolucionó a infección.



CASO CLíNICO

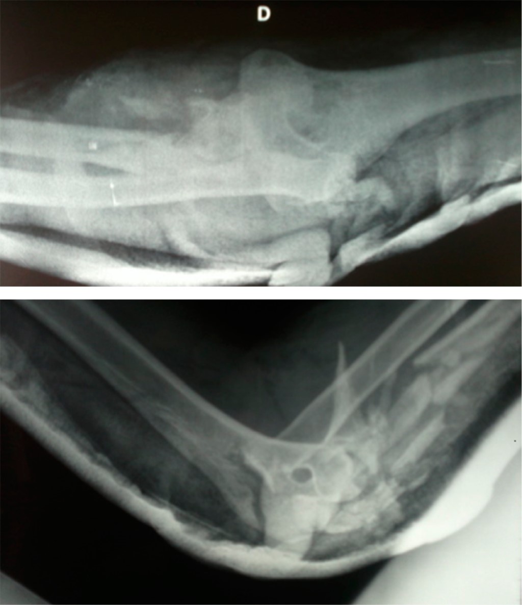
Un hombre de 39 años, drogodependiente en tratamiento con metadona, sufrió un accidente con el cual presentó una fractura luxación de Monteggia, abierta grado II de Gustilo y multifragmentaria de cúbito derecho (Figura 1). No había déficit nervioso.

De urgencia se realizó reducción cerrada de la cabeza radial y fijación provisional con dos agujas de Kirschner percutáneas, cierre de la herida, inmovilización con férula de yeso braquial y profilaxis antibiótica con cefalosporina. A los seis días se llevó a cabo la estabilización definitiva de la fractura mediante una placa de reconstrucción de titanio en el cúbito y fijación de la apófisis coronoides con un tornillo (Figura 2). El paciente no volvió a acudir a la evaluación tras ocho meses postoperatorios.

A los dos años postoperatorios, el paciente regresó a la consulta por tener dolor en el codo y grandes defectos de cobertura cutánea con exposición del material de osteosíntesis (Figura 3). Algunos de los tornillos de la placa de cúbito habían sido extraídos por el propio paciente. Se le aconsejó el retiro de la placa, debido al riesgo de infección, pero el paciente se rehusó y no volvió para revisión.

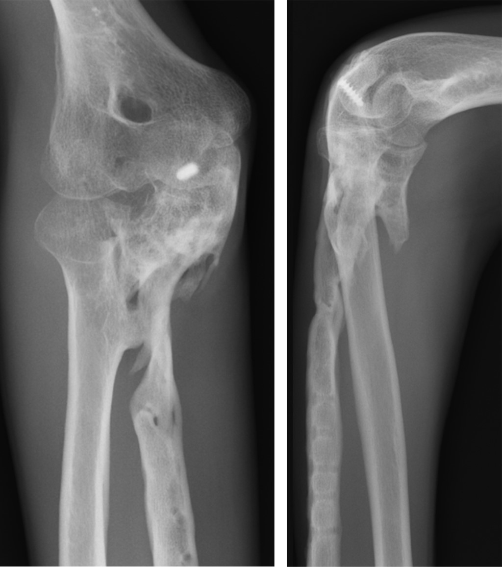
Cuatro años después, el paciente fue ingresado en Urgencias por haber sufrido un nuevo accidente, tuvo una fractura intertrocantérea de la cadera derecha. Además, presentó una exposición completa de 20 cm de largo de la placa del antebrazo, sin signos de infección tras seis años de evolución desde la cirugía (Figura 4A). En la misma intervención, se hizo una fijación interna de la fractura de cadera y extracción de la placa de cúbito. En el antebrazo se observó crecimiento cutáneo por debajo de la placa (Figura 4B).

Radiológicamente (Figura 5), había consolidación con malalineación del cúbito proximal y sinostosis radiocubital proximal. Clínicamente, el paciente tenía gran limitación de la pronosupinación, flexión de codo de 100° y un déficit de 50° de la extensión. El paciente evolucionó favorablemente, sin presentar infección y con reepitelización completa del antebrazo. La Figura 6 muestra el resultado cutáneo a los seis años y medio.



DISCUSIóN

La dehiscencia de la herida quirúrgica con exposición del material de osteosíntesis es un factor de riesgo de infección.5 Otros factores de riesgo descritos son la fractura abierta, diabetes mellitus, pacientes inmunodeprimidos y drogodependientes.6

El presente caso muestra diversos factores que incrementaban el riesgo de infección, como la fractura abierta, drogodependencia y amplia exposición de la placa durante un tiempo muy prolongado. A pesar de todo ello, no hubo infección precoz o tardía, la fractura se consolidó y hubo epitelización espontánea bajo la placa y adherida al hueso. La consolidación con malalineación del cúbito se debió al retiro de tornillos por el propio paciente, a la falta de supervisión postoperatoria y al uso inapropiado de la extremidad.

El manejo más seguro ante una dehiscencia de la herida y exposición del material de osteosíntesis parece ser el retiro de la fijación interna si la fractura está consolidada o en su caso colocar un fijador externo, seguido de desbridamiento de los bordes y valoración de la necesidad de cobertura de partes blandas mediante injerto.

Algunos estudios refieren buenos resultados con terapia de presión negativa en el caso de dehiscencia aguda de la herida quirúrgica.7 Sin embargo, otros estudios han referido buenos resultados para el tratamiento de infecciones postoperatorias precoces mediante desbridamiento, antibióticos y mantenimiento del material de osteosíntesis.2,8

En la literatura faltan evidencias sobre la exposición crónica de material de osteosíntesis por dehiscencia de la herida quirúrgica. Tan sólo un estudio1 describió tres casos en niños con exposición crónica de placas de osteosíntesis en la diáfisis tibial. Los pacientes no presentaban infecciones y fueron tratados con desbridamiento de los bordes de la herida quirúrgica y cuidados locales de la herida, sin antibióticos ni cierre secundario o extracción del material de osteosíntesis, de manera que evolucionaron favorablemente. En uno de los casos observaron crecimiento cutáneo por debajo de la placa, como en el presente caso. No hemos encontrado otros estudios que hayan referido la ausencia de infección asociada a exposición de larga evolución de una fijación interna.

Son muchas las reflexiones sobre este caso, por ejemplo, las características atípicas y las circunstancias del paciente nos han permitido observar cómo se ha adaptado la naturaleza al medio. En el caso de haberse realizado una adecuada supervisión postoperatoria, nosotros probablemente hubiéramos actuado de manera más agresiva ante el riesgo de que se desarrollase una infección.

Mantener el material de osteosíntesis a pesar de una dehiscencia cutánea extensa con osteosíntesis expuesta es inevitable en algunos casos; sin embargo, Melhem y colaboradores1 observaron la consolidación ósea y reepitelización en niños, al igual que nosotros lo hemos observado en un adulto.

El caso presentado es atípico y muy infrecuente, por lo que su resultado no puede ser generalizado. Nosotros pensamos que ante la situación descrita el tratamiento debe ser agresivo; en ausencia de infección, sugerimos aportar una adecuada cobertura de partes blandas mediante injerto; en presencia de infección, optamos por la retirada de la osteosíntesis y colocación de un fijador externo, al realizar desbridamiento de la herida hasta la curación de la infección. Por otro lado, debe realizarse una evaluación cuidadosa sobre la conveniencia de retirar la osteosíntesis, pues no está exenta de complicaciones.3



CONCLUSIONES

El impacto de este caso radica en la ausencia de complicaciones en un paciente con factores de riesgo de infección, placa expuesta durante largo tiempo, ausencia de infección y presencia de cicatrización cutánea por debajo del material de osteosíntesis.


REFERENCIAS (EN ESTE ARTÍCULO)

  1. Melhem E, Bayoud W, Ghanem I. Bone healing is achievable despite extensive wound dehiscence and wide plate and screws exposure in children. Orthop Traumatol Surg Res. 2019; 105(4): 757-60.

  2. Rightmire E, Zurakowski D, Vrahas M. Acute infections after fracture repair: management with hardware in place. Clin Orthop Relat Res. 2008; 466(2): 466-72.

  3. Acklin YP, Bircher A, Morgenstern M, Richards RG, Sommer C. Benefits of hardware removal after plating. Injury. 2018; 49 Suppl 1: S91-5.

  4. Merritt K, Dowd JD. Role of internal fixation in infection of open fractures: studies with Staphylococcus aureus and Proteus mirabilis. J Orthop Res. 1987; 5(1): 23-8.

  5. Dellinger EP, Miller SD, Wertz MJ, Grypma M, Droppert B, Anderson PA. Risk of infection after open fracture of the arm or leg. Arch Surg. 1988; 123(11): 1320-7.

  6. Trampuz A, Zimmerli W. Diagnosis and treatment of infections associated with fracture-fixation devices. Injury. 2006; 37 Suppl 2: S59-66.

  7. Wang C, Zhang Y, Qu H. Negative pressure wound therapy for closed incisions in orthopedic trauma surgery: a meta-analysis. J Orthop Surg Res. 2019; 14(1): 427.

  8. Berkes M, Obremskey WT, Scannell B, Ellington JK, Hymes RA, Bosse M; Southeast Fracture Consortium. Maintenance of hardware after early postoperative infection following fracture internal fixation. J Bone Joint Surg Am. 2010; 92(4): 823-8.



AFILIACIONES

1 Departamento de Cirugía Ortopédica y Traumatología, Hospital General Universitario de Elche. España.

2 Departamento de Traumatología y Ortopedia, Universidad Miguel Hernández. España.



CORRESPONDENCIA

Lorena Moril Peñalver. E-mail: lomopei@hotmail.com




Recibido: 07-10-2020. Aceptado: 30-03-2023.

Figura 1
Figura 2
Figura 3
Figura 4
Figura 5
Figura 6

2020     |     www.medigraphic.com

Mi perfil

C?MO CITAR (Vancouver)

Acta Ortop Mex. 2022 Nov-Dic;36

ARTíCULOS SIMILARES

CARGANDO ...