medigraphic.com
ENGLISH

Revista Mexicana de Trasplantes

ISSN 3122-3893 (Digital)
  • Mostrar índice
  • Números disponibles
  • Información
    • Información general        
    • Directorio
  • Publicar
    • Instrucciones para autores        
    • Envío de artículos
  • Políticas
  • medigraphic.com
    • Inicio
    • Índice de revistas            
    • Registro / Acceso
  • Mi perfil

2023, Número 3

<< Anterior Siguiente >>

Rev Mex Traspl 2023; 12 (3)


Citomegalovirus y neumonía por aspergilosis en paciente con trasplante renal de donador fallecido

Rodríguez-Zúñiga, Laura Margarita1; Salgado-Flores, Liliana1
Texto completo Cómo citar este artículo 10.35366/112288

DOI

DOI: 10.35366/112288
URL: https://dx.doi.org/10.35366/112288
Artículos similares

Idioma: Español
Referencias bibliográficas: 5
Paginas: 159-161
Archivo PDF: 199.80 Kb.


PALABRAS CLAVE

citomegalovuris, aspergilosis, neumonía, neumonía, trasplante renal.

RESUMEN

La infección por citomegalovirus (CMV) es una complicación en pacientes con trasplante renal. Se presenta en el primer año postrasplante y cuando aparece tiene complicaciones en el paciente y el injerto, y se presenta en forma de infección o enfermedad por CMV. La profilaxis universal y terapia anticipada han disminuido el riesgo de CMV. Las infecciones por Aspergillus spp. son principalmente pulmonares invasivas. La Aspergilosis es un problema diagnóstico y terapéutico en trasplantados. La determinación del antígeno galactomanano de Aspergillus spp. es útil en el diagnóstico precoz.



INTRODUCCIóN

La infección por citomegalovirus (CMV) continúa siendo una complicación frecuente en los pacientes con trasplante renal. Suele ocurrir en el primer año postrasplante y cuando aparece tiene consecuencias en el paciente y el injerto, tanto a corto como a largo plazo, presentándose en forma de infección o enfermedad por CMV. La profilaxis universal y terapia anticipada han conseguido disminuir el riesgo de ambas.1 Las infecciones por Aspergillus spp. son principalmente pulmonares invasivas.2 Aspergillus spp. es un problema diagnóstico y terapéutico mayor en trasplantados.3 La determinación del antígeno galactomanano de Aspergillus spp. es promisoria en el diagnóstico precoz.



PRESENTACIóN DEL CASO

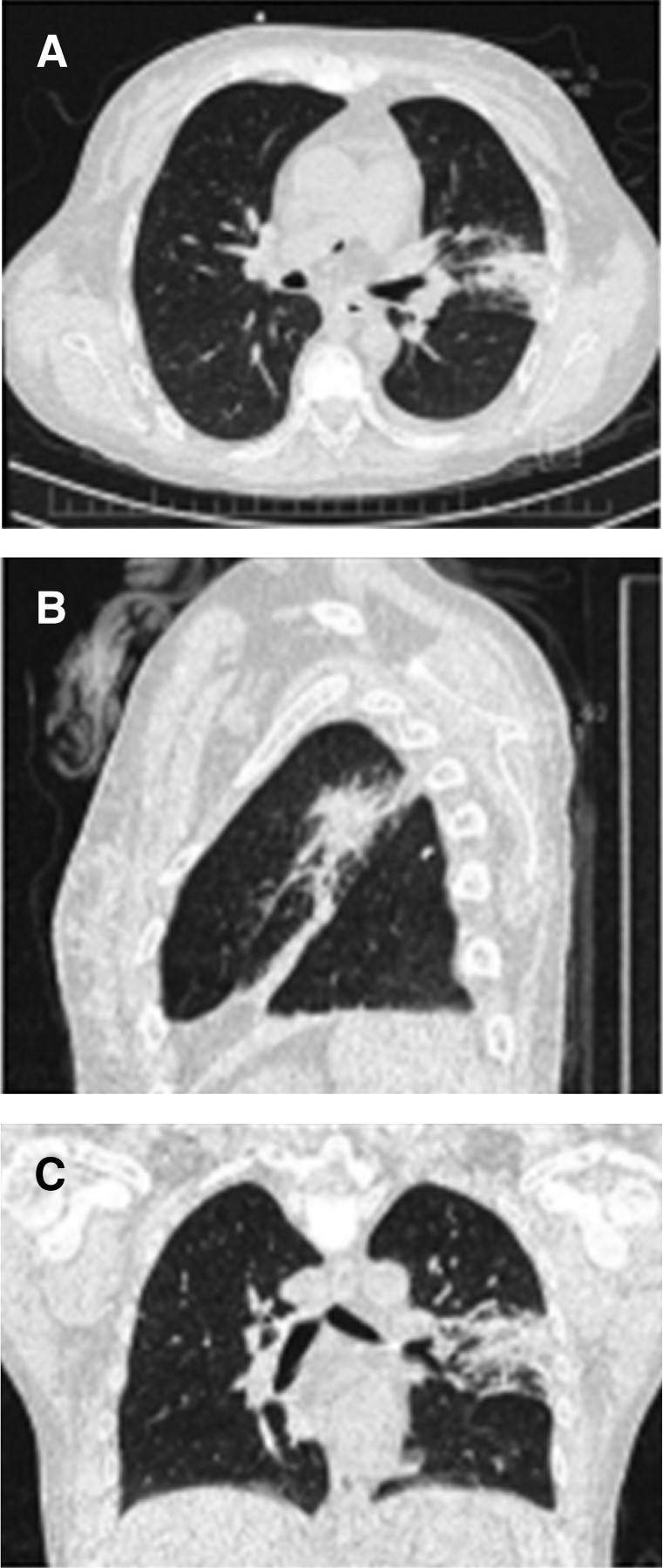
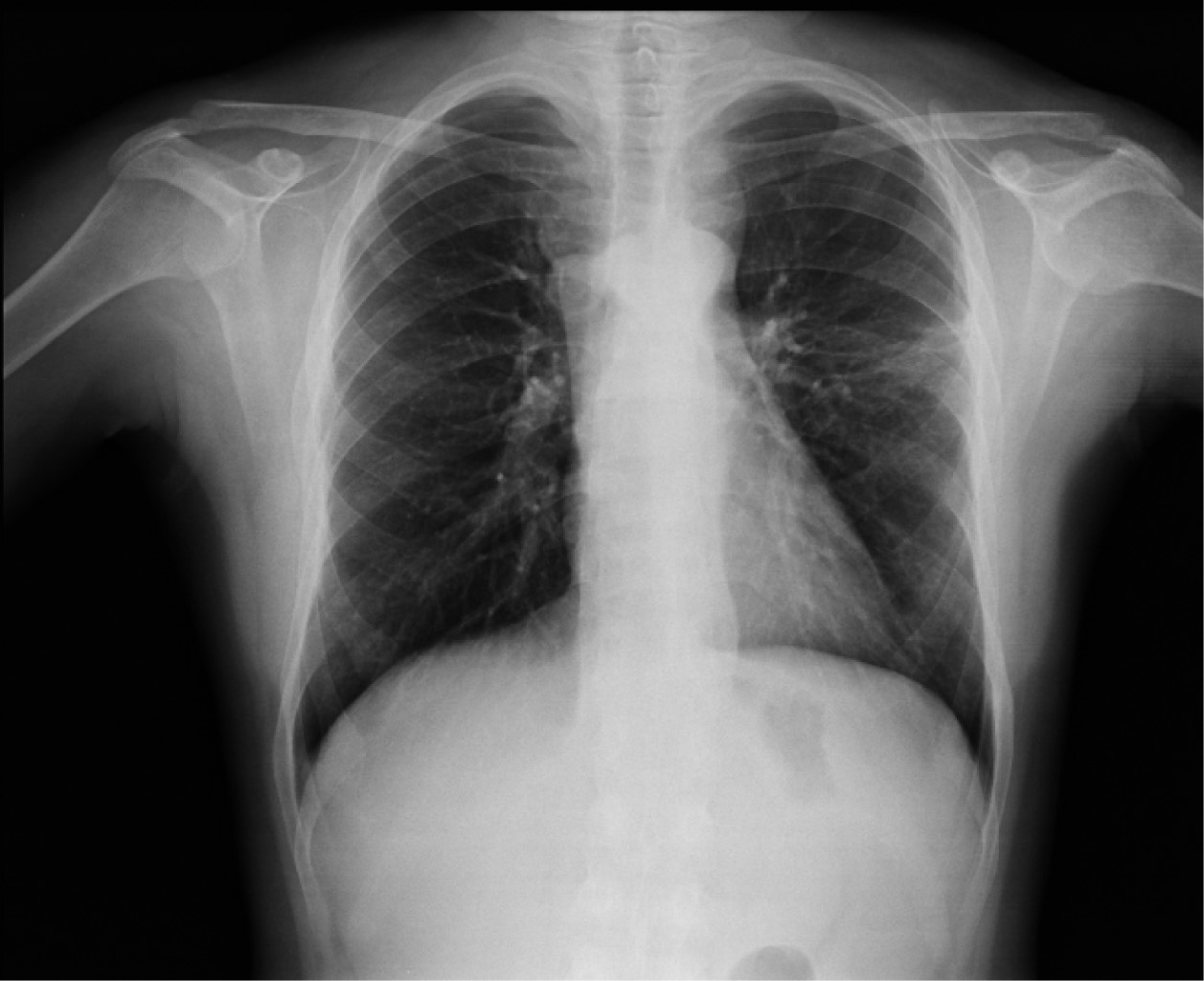
Mujer de 29 años con trasplante renal de donador fallecido en 2017. Con riesgo alto para CMV. Se dio inducción con basiliximab. Sin manejo profiláctico con valganciclovir. Inmunosupresión con micofenolato de mofetilo, prednisona y tacrolimus. Tres meses después ingresa por encontrar en consulta externa lesiones ulceradas en mejillas, además de carga viral de un millón de copias, por lo cual decide hospitalizarse. Documentándose además disfunción aguda de injerto, trombocitopenia de 95,000 plaquetas por µL, niveles de tacrolimus de 18 ng/mL. Se inicia manejo con valganciclovir y a las 48 horas presenta fiebre de 38 °C, tos seca, disnea, polipnea, motivo por el cual se solicita tomografía axial computarizada (TAC) de tórax que muestra imagen en vidrio despulido bilateral, engrosamiento pleural, zonas de atelectasia, lesión intercisural izquierda, de bordes deshilachados, aspecto de "lesión en erizo", imagen que sugiere aspergilosis pulmonar, (Figura 1) por lo cual se inicia manejo con voriconazol y al egreso virando a itraconazol. Se realiza fibrobroncoscopia y se reporta prueba de galactomanano positivo. Se mantuvo con manejo con valganciclovir por tres meses con posterior carga viral no detectada, así como itraconazol por un año con mejoría radiográfica y clínica y controles periódicos (Figura 2).



DISCUSIóN

La evolución favorable de la paciente fue atribuida al inicio temprano de la terapia anticipada para CMV; sin embargo, muchos casos de riesgo alto podrían no presentar manifestaciones clínicas de iniciar profilaxis, desgraciadamente el costo del medicamento para muchos es inalcanzable. La neumonía por Aspergillus fue favorecida por factores de riesgo como sobreinmunosupresión por tacrolimus, así como la inducción previa con basiliximab. La respuesta de la paciente fue hacia la mejoría y actualmente se encuentra con neumonía resuelta y continúa con adecuada función del injerto. La sospecha temprana de Aspergillus se traduce en una mayor supervivencia y en la reducción de la morbilidad. El itraconazol continúa siendo una terapia efectiva, sin evidencia de falla terapéutica en los casos.4



CONCLUSIONES

  • 1. El tratamiento temprano es la mejor opción terapéutica para CMV aun a pesar del alto costo del medicamento.5
  • 2. Hay que evitar la sobreinmunosupresión para no aumentar el riesgo infeccioso.
  • 3. La prevención antifúngica asociada a la antiviral previene el riesgo de estas enfermedades infecciosas.


REFERENCIAS (EN ESTE ARTÍCULO)

  1. Sagedal S, Nordal KP, Hartmann A et al. The impact of cytomegalovirus infection and disease on rejection episodes in renal allograft recipients. Am J Transplant. 2002; 2 (9): 850-856.

  2. Karacan O, Akcay S, Eyubohlu FO et al. Solid organ transplant alicilarinda invaziv pulmoner aspergillozis [Invasive pulmonary aspergillosis in solid organ transplant recipients]. Tuberk Toraks. 2003; 51 (2): 177-182.

  3. Gupta A, Khaira A, Lata S et al. Primary cutaneous aspergillosis in renal transplant recipient. Saudi J Kidney Dis Transpl. 2009; 20 (5): 848-849.

  4. Kato K, Nagao M, Yunoki T et al. Itraconazole prophylaxis for invasive aspergillus infection in lung transplantation. Transpl Infect Dis. 2014; 16 (2): 340-343.

  5. Razonable RR, Humar A; AST Infectious Diseases Community of Practice. Cytomegalovirus in solid organ transplantation. Am J Transplant. 2013; 13 Suppl 4: 93-106.



AFILIACIONES

1 Servicio de Infectología y Nefro-Trasplantes del Hospital Regional de Alta Especialidad del Bajío, León, Gto.



CORRESPONDENCIA

Dra. Laura Margarita Rodríguez-Zúñiga. E-mail: laura.nefro13@gmail.com




Recibido: 15-Jul-2022. Aceptado: 18-Abr-2023

Figura 1
Figura 2

2020     |     www.medigraphic.com

Mi perfil

C?MO CITAR (Vancouver)

Rev Mex Traspl. 2023;12

ARTíCULOS SIMILARES

CARGANDO ...