medigraphic.com
ENGLISH

Revista Mexicana de Pediatría

ISSN 0035-0052 (Impreso)
  • Mostrar índice
  • Números disponibles
  • Información
    • Información general        
    • Directorio
  • Publicar
    • Instrucciones para autores        
    • Envío de artículos
  • medigraphic.com
    • Inicio
    • Índice de revistas            
    • Registro / Acceso
  • Mi perfil

2023, Número 1

<< Anterior Siguiente >>

Rev Mex Pediatr 2023; 90 (1)


Cráneo en cobre batido

Luján-Cortés, Emmanuel Itzcoatl1; Montoya-Moreno, Karla Patricia2; Del Ángel-Cruz, Magnolia2; Motta-Ramírez, Gaspar Alberto3
Texto completo Cómo citar este artículo 10.35366/112596

DOI

DOI: 10.35366/112596
URL: https://dx.doi.org/10.35366/112596
Artículos similares

Idioma: Español
Referencias bibliográficas: 13
Paginas: 27-31
Archivo PDF: 247.32 Kb.


PALABRAS CLAVE

cráneo en cobre batido, craneolacunia, hipertensión intracraneana, lactante, escolar.

RESUMEN

Se presenta el caso de una niña de seis años que acude a urgencias por traumatismo craneoencefálico leve, pero en la exploración física no se identificaron datos anormales. Se toma radiografía y tomografía de cráneo encontrando el signo radiológico denominado "cráneo en cobre batido". Este hallazgo se considera una variante normal, ante la ausencia de datos clínicos compatibles con cráneo hipertensivo.



INTRODUCCIóN

El "cráneo en cobre batido" o "cráneo en cobre martillado" hace alusión a las impresiones que el encéfalo en desarrollo genera en los huesos de la bóveda craneal. Inicialmente se atribuyó a procesos como craneosinostosis, hidrocefalia obstructiva y masas ocupativas; sin embargo, en la mayoría de los casos se trata de una variante anatómica normal.

El objetivo de este artículo es recordar el hallazgo radiológico denominado "cráneo en cobre batido", la cual constituye una variante normal en los primeros años de vida, la cual desaparece alrededor de la pubertad.



PRESENTACIóN DEL CASO

Paciente femenino de seis años, sin antecedentes perinatales de importancia, con desarrollo psicomotor normal, quien sufre caída de propia altura al realizar actividades recreativas golpeándose en región frontal, por lo que sus padres la llevan a consulta en el servicio de urgencias. En la evaluación clínica no se detectaron datos neurológicos anormales, pero se identificó un hematoma subgaleal en la región frontal, por lo cual se solicitaron radiografías anteroposterior y lateral de cráneo.

En la Figura 1 se muestran las radiografías de cráneo donde se observan múltiples imágenes radiolúcidas de tipo geográfico en todos los huesos de la bóveda craneal, con distribución simétrica, generalizada, delimitadas por imágenes lineales radiopacas bien definidas. Estos hallazgos radiográficos se consideran que, en conjunto, imitan la distribución y aspecto del patrón de giros y circunvoluciones cerebrales.

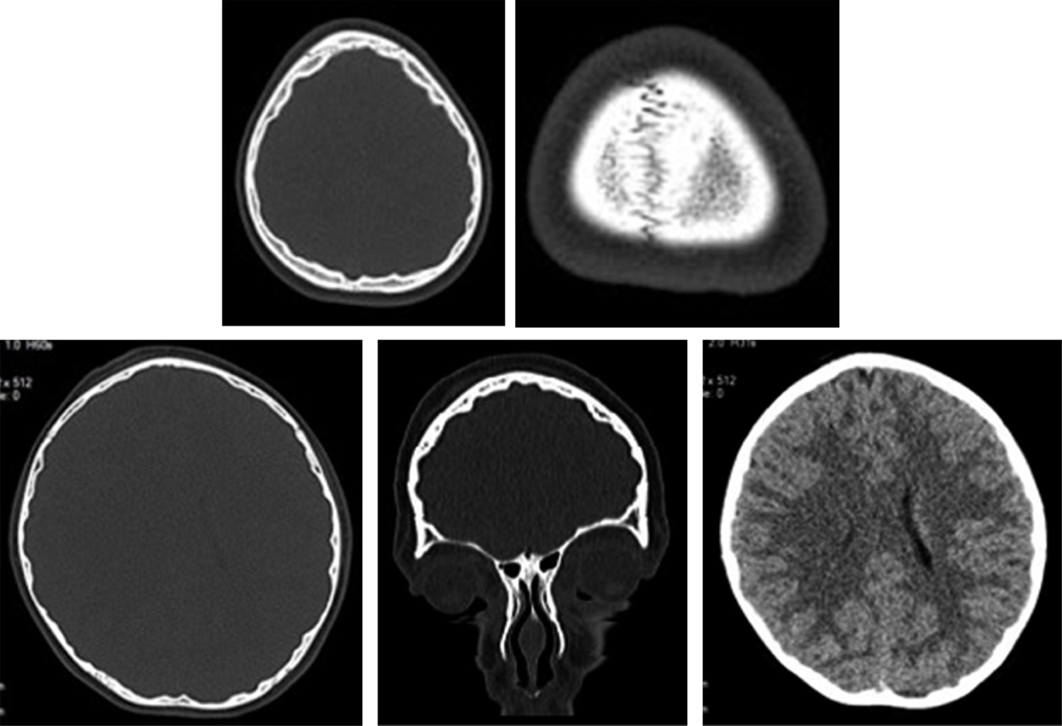
Sin embargo, el médico de guardia decide realizar tomografía simple de cráneo, en la cual se confirman que se trata de suturas normales, sin lesiones líticas o blásticas ni trazos de fractura; el encéfalo es de características normales, descartando datos de cráneo hipertensivo (Figura 2). Solamente se identificó adelgazamiento multifocal y geográfico de la tabla interna del cráneo, que asemeja la forma, distribución y anatomía al patrón de giros, surcos y circunvoluciones cerebrales. Los huesos del macizo facial y vértebras cervicales son normales. Con estos datos se confirma que se trata de un "cráneo en cobre batido" o "cobre martillado".



DISCUSIóN

El cráneo humano es una estructura constituida por 28 huesos. Una división embriológico-anatómica los separa en neurocráneo (calvarium, que envuelve al encéfalo), y viscerocráneo (constituido por el macizo facial).1 El encéfalo en etapas embrionaria y fetal está envuelto por un neurocráneo membranoso; aproximadamente a las nueve semanas de gestación se inicia la proliferación de células óseas mesenquimatosas en un entramado de fibras de colágena, la cual, en etapas posteriores se transforman en osteoblastos, comenzando el depósito de matriz osteoide para que ocurra la osificación de la bóveda craneana, en ausencia de un modelo óseo cartilaginoso previo. Por el contrario, los huesos de la base se originan por osificación cartilaginosa.2

Los huesos de la bóveda, del macizo facial y el vómer, en su origen, son enteramente intramembranosos y al nacimiento exhiben un proceso de mineralización incompleto, separados por zonas lineales (suturas) y parches (fontanelas) de tejido conectivo no osificado.2,3

En la infancia, la presencia de enfermedades que afectan las suturas y fontanelas puede llevar a distintas alteraciones en la forma y tamaño del cráneo, así como diversas manifestaciones clínicas, como la hipertensión intracraneal.3-5 Pero el "cráneo en cobre batido o martillado" (aunque también se utilizan como sinónimos a latón martillado, plata golpeada o bronce martillado) se considera como una variante anatómica normal; el nombre hace alusión al aspecto observado en radiografía convencional y tomografía de impresiones de las circunvoluciones y de los surcos del encéfalo en la tabla interna del cráneo (Figura 3).5 Este signo radiológico ha sido descrito entre el primer año de vida y hasta los 13 años, y se cree que es una manifestación radiológica resultado de un crecimiento rápido del cerebro.6,7

Históricamente se le consideró un hallazgo sugestivo de incremento en la presión intracraneal; pero se ha demostrado que los datos radiográficos que hemos comentado tienen poca sensibilidad para identificar datos de hipertensión intracraneana, a menos que coexista con datos de remodelación de la silla turca, cierre o fusión prematura anormal de fontanelas, aumento del perímetro cefálico (macrocefalia) o deformidad craneal.7 Además, para la interpretación, siempre se deben tener en cuenta los datos clínicos compatibles como papiledema, vómitos en proyectil, alteraciones del estado de alerta o crisis convulsivas.7-9

Ante la presencia de los hallazgos radiográficos, se deben considerar el diagnóstico diferencial con craneolacunia9 también llamada "cráneo fenestrado", "luckenschadel" –en alemán– (Figura 4),10 o bien, cráneo "en burbujas de jabón" (Figura 5).10 Esta entidad se desarrolla en la vida fetal, y se puede observar radiológicamente desde el nacimiento, desapareciendo entre el quinto y sexto mes de vida.11

La craneolacunia es una cráneo-displasia12 del hueso membranoso en donde la tabla interna de los huesos de la bóveda tiene un patrón de osificación heterogéneo, irregular y discontinuo dado por crestas de hueso normal, que delimitan defectos óseos redondeados (lagunas) en los cuales hay disminución en el espesor de la tabla ósea interna, en algunas zonas el defecto es tan grave que sólo hay periostio y duramadre cubriendo al encéfalo, de ahí el término "lacunar skull".12,13 Se presenta desde el nacimiento (a diferencia del cráneo martillado que suele detectarse durante la infancia) y generalmente coexiste con defectos del tubo neural (meningocele, mielomeningocele, encefalocele, espina bífida, paladar hendido y malformación Arnold Chiari de tipo II). Algunos autores refieren que se afecta con mayor frecuencia los huesos parietal y occipital.13 En la Tabla 1, se describen datos para diferenciar la craneolacunia del cráneo en cobre batido.


REFERENCIAS (EN ESTE ARTÍCULO)

  1. Phore S, Panchal RS. Beaten silver appearance: Normal or pathognomic in children? Int J Oral Health Sci. 2018;8:51-54.

  2. Pemmaiah DC. Copper beaten skull. J Med Sci Health. 2015; 1(2): 46-48.

  3. Swischuk LE. Radiología en el niño y en el recién nacido. 5a edición, México. Editorial. B/N Marban. 2005.

  4. Mahomed N, Sewchuran T, Mahomed Z. The copper-beaten skull. SA J Radiol. 2012, 25-26.

  5. Van der Meulen J, Van der Vlugt J, Okkerse J, Hoffman B. Early beaten-copper pattern: its long term effect on intelligence quotients in 95 children with craniosynostosis. J Neurosurgery: Pediatrics. 2008; 1: 25-30.

  6. Glass BJR, Fernbach SK, Norton KI, Choi SP, Naidich TP. The infant skull: a vault of information. Radiographics. 2004; 24: 507-522.

  7. Poonia A, Giridhara P, Sheoran D. Copper beaten skull. J Pediatr. 2019; 206: 297.

  8. Márquez-García JC, Uribe-Vargas M, Mendez-Ayala JA, Londoño-Arevalo MA. ¿Craneolacunia o cobre martillado? Rev Colomb Radiol. 2013; 24(4): 3849-3850.

  9. Younghee Yim, Won-Jin Moon, Hyeong Su An, Joon Cho, Myung Ho Rho, MD. Imaging findings of various calvarial bone lesions with a focus on osteolytic lesions. J Korean Soc Radiol. 2016; 74(1): 43-54.

  10. Tuite GF, Evanson J, Chong WK, Thompson DN, Harkness WF, Jones BM et al. The beaten copper cranium: a correlation between intracranial pressure, cranial radiographs, and computed tomographic scans in children with craniosynostosis. Neurosurgery. 1996; 39(4): 691-699.

  11. Desai V, Priyadarshini SR, Sharma R. Copper beaten skull! can it be a usual appearance? Int J Clin Pediatr Dent. 2014; 7(1): 47-49.

  12. Chang CY, Rosenthal DI, Mitchell DM, Handa A, Kattapuram SV, Huang AJ. Imaging findings of metabolic bone disease. RadioGraphics. 2016; 36: 1871-1887.

  13. Castriota-Scanderbeg A, Dallapiccola B. Abnormal skeletal phenotypes from simple signs to complex diagnoses. Berlin Heidelberg, New York. Editorial Springer 2005.



AFILIACIONES

1 Jefe del Servicio de Rayos X

2 Médico Interno de Pregrado

3 Director del Hospital. Hospital Militar Regional de Puebla. Puebla, México.



Conflicto de intereses: los autores declaran que no tienen.



CORRESPONDENCIA

Karla Patricia Montoya-Moreno, E-mail: karlapatricia.montoya@upaep.edu.mx




Recibido: 09/07/2022. Aceptado: 23/01/2023

Figura 1
Figura 2
Figura 3
Figura 4
Figura 5
Tabla 1

2020     |     www.medigraphic.com

Mi perfil

C?MO CITAR (Vancouver)

Rev Mex Pediatr. 2023;90

ARTíCULOS SIMILARES

CARGANDO ...