medigraphic.com
ENGLISH

Acta Médica Grupo Ángeles

Órgano Oficial del Hospital Ángeles Health System
  • Mostrar índice
  • Números disponibles
  • Información
    • Información general        
    • Directorio
  • Publicar
    • Instrucciones para autores        
    • Envío de artículos
    • Políticas
    • Nombre y afiliación del Comité Editorial
  • Nosotros
    • Plan de gestión e intercambio de datos
    • Objetivos declarados y alcance
  • medigraphic.com
    • Inicio
    • Índice de revistas            
    • Registro / Acceso
  • Mi perfil

2023, Número 4

<< Anterior Siguiente >>

Acta Med 2023; 21 (4)


Tratamiento del escafoides accesorio sintomático

Ochoa Cázares, René1; Rodríguez Martínez, Luis Alberto2; López Castro, Juan Carlos2
Texto completo Cómo citar este artículo 10.35366/112652

DOI

DOI: 10.35366/112652
URL: https://dx.doi.org/10.35366/112652
Artículos similares

Idioma: Español
Referencias bibliográficas: 3
Paginas: 384-386
Archivo PDF: 148.68 Kb.


PALABRAS CLAVE

escafoides accesorio, procedimiento de Kidner, talo valgo.

RESUMEN

Introducción: el escafoides accesorio es una variante del desarrollo en los centros de osificación secundarios, considerado erróneamente como normal; cuando es sintomático causa dolor, además de que puede provocar un pie plano. El diagnóstico y tratamiento oportuno son importantes para el pronóstico. Caso clínico: presentamos el caso de un adolescente con escafoides accesorio sintomático, tratado inicialmente de forma conservadora, pero sin mejoría, sometido a cirugía. Resultados: luego de seis semanas postquirúrgicas el paciente se reintegró a sus actividades, sin dolor y logrando un resultado exitoso. Conclusión: no debe desestimarse la clínica y sus complicaciones. Sólo debe realizarse en casos refractarios el tratamiento conservador.



INTRODUCCIóN

El escafoides accesorio es una variación en los centros de osificación secundarios. La incidencia va de 9-20% de la población. Existen tres tipos, el primero: osículo pequeño unido al tibial posterior; el segundo: unido mediante sincondrosis; y por último: el que está fusionado al escafoides. Por inserción anómala del tendón tibial posterior, cambia su capacidad de palanca e interfiere con la mecánica, caída del arco y causa dolor.1 El diagnóstico y manejo temprano previenen complicaciones. Hay edema en cara medial del pie, talo valgo con antepié aducto. El estándar de oro es la resonancia magnética. La gammagrafía ósea es útil.1,2 El tratamiento inicial es conservador; cuando no responden a tratamiento requiere cirugía.2



CASO CLíNICO

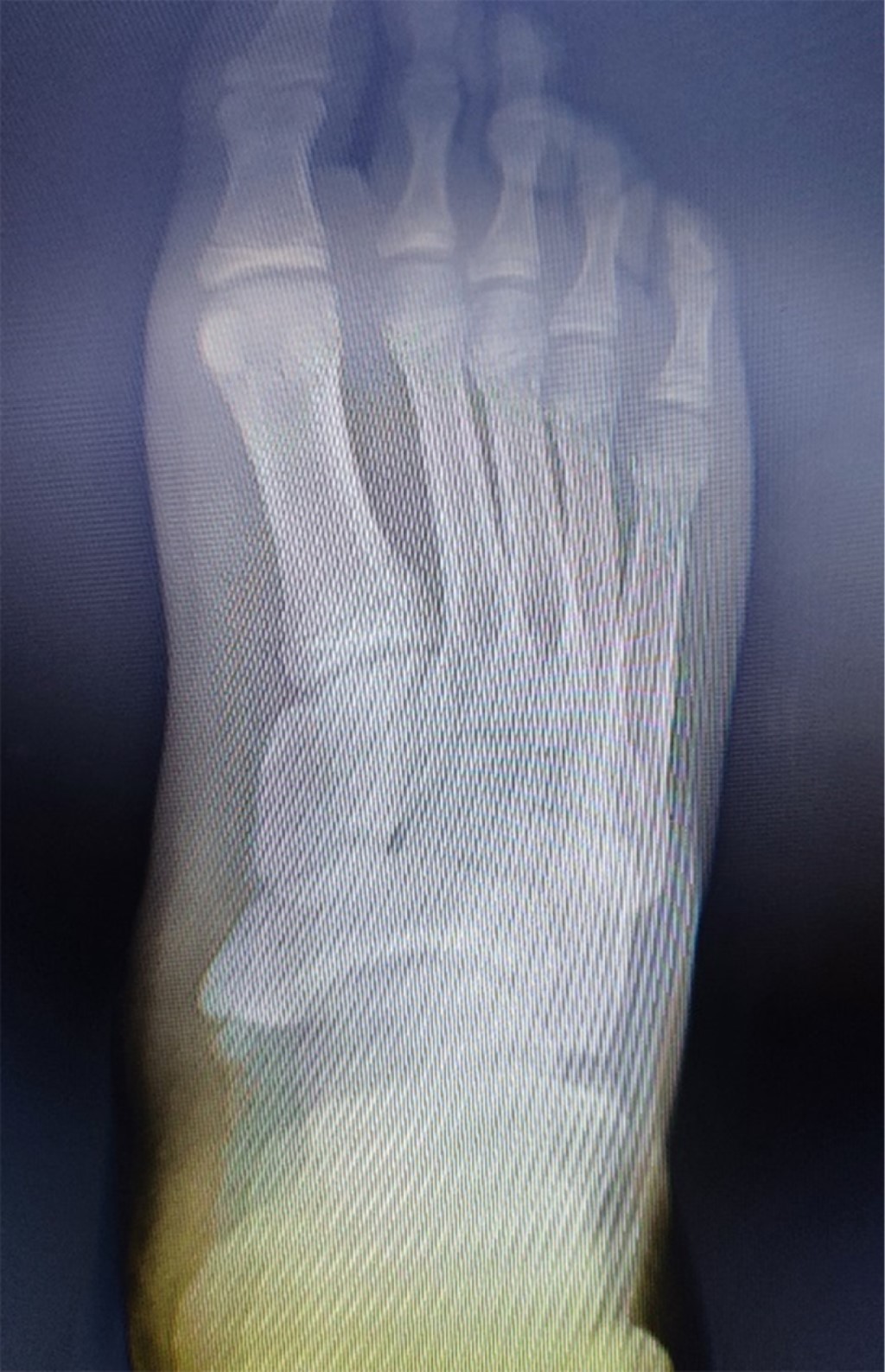
Masculino de 14 años que presentaba tres meses de dolor en cara interna de pie derecho, sin trauma (Figura 1). Al realizar la exploración se notó claudicación, talo valgo, pronación de antepié, dolor en escafoides tarsiano, sin pie plano. En la radiografía dorsoplantar y oblicua se evidenció prominencia unida al escafoides por puente óseo (tipo III) (Figura 2). Se optó por tratamiento conservador (descarga, analgésicos orales y tópicos) durante dos semanas, pero no hubo mejoría, por lo que se propuso cirugía.



TéCNICA QUIRúRGICA

Se realizó abordaje dorsomedial de 6 cm en cara medial de mediopié a nivel de escafoides, disección del retináculo medial, capsulotomía, desinserción del tibial posterior, resección en la base y reinserción con ancla SutureTak 2.4 mm en escafoides verdadero (Figura 3), colocación de fibra de vidrio suropodálica. La fibra se retiró a las cuatro semanas y se le indicó el uso de zapato ortopédico durante dos semanas, sin requerir rehabilitación.



RESULTADOS

El paciente se reintegró a sus actividades a las seis semanas con 40° de flexión plantar, 20° de dorsiflexión e inversión y eversión del tobillo sin dolor.



DISCUSIóN

Existen muchas técnicas para tratar el caso, casi todas basadas en resección del escafoides accesorio, con pocas complicaciones. Por su parte, Kidner propuso la reinserción del tibial posterior inferiormente, procedimiento que hemos llevado a cabo, mejorando así la disfunción tendinosa. Su modificación considera la reinserción del tendón con un ancla al cuerpo escafoideo. Se considera el fresado de la sincondrosis con la falange proximal del primer dedo inmadura.1,2

La planificación quirúrgica incluye la reconstrucción de cualquier problema estructural (deformidad severa del pie plano, hipermovilidad de la columna medial y equino).3 Para el pie plano grave se complementa con cirugía correctiva que se considere (artrorrisis, alargamiento lateral de la columna, osteotomía medializante del calcáneo o fusiones selectivas). En este caso no fue necesario debido a la ausencia del mismo.3



CONCLUSIóN

Los síntomas son frecuentes. El diagnóstico y manejo tempranos pueden detener su progresión a dolor crónico y deformidades. En nuestro caso, el diagnóstico se basó en sospecha clínica, confirmado radiográficamente; no fueron necesarios estudios de extensión. El tratamiento conservador es suficiente para la mayoría de los pacientes. En caso de continuar con dolor, está indicada la cirugía.


REFERENCIAS (EN ESTE ARTÍCULO)

  1. Rammelt S, Sands AK. The accessory navicular and its association with flatfoot. Fuß & Sprunggelenk. 2020; 18 (1): 60-71.

  2. Shi C, Li M, Zeng Q, Wen X, Tian F, Li Y. Subtalar arthroereisis combined with medial soft tissue reconstruction in treating pediatric flexible flatfoot with accessory navicular. J Orthop Surg Res. 2023; 18: 55.

  3. Tian F, Wang J, Liu C, Li Y, Liang X, Wang X. Medial column reinforcement for the correction of flatfoot deformity with accessory navicular bone. Am J Transl Res. 2022; 14 (9): 6368-6374.



AFILIACIONES

1 Titular. Curso de Alta Especialidad en Artroscopia y Reconstrucción Articular. Hospital Angeles Pedregal. Universidad La Salle. Ciudad de México, México.

2 Residente. Curso de Alta Especialidad en Artroscopia y Reconstrucción Articular. Hospital Angeles Pedregal. Universidad La Salle. Ciudad de México, México.



Conflicto de intereses: los autores declaran que no tienen ningún conflicto de intereses.

Financiamiento: ninguno.



CORRESPONDENCIA

René Ochoa Cázares. Correo electrónico: roc.ortopedia@gmail.com




Aceptado: 22-03-2023.

Figura 1
Figura 2
Figura 3

2020     |     www.medigraphic.com

Mi perfil

C?MO CITAR (Vancouver)

Acta Med. 2023;21

ARTíCULOS SIMILARES

CARGANDO ...