medigraphic.com
ENGLISH

Acta Ortopédica Mexicana

ISSN 2992-8036 (Digital)
ISSN 2306-4102 (Impreso)
Órgano Oficial del Colegio Mexicano de Ortopedia y Traumatología
  • Mostrar índice
  • Números disponibles
  • Información
    • Información general        
    • Directorio
  • Publicar
    • Instrucciones para autores        
  • medigraphic.com
    • Inicio
    • Índice de revistas            
    • Registro / Acceso
  • Mi perfil

2023, Número 2

<< Anterior Siguiente >>

Acta Ortop Mex 2023; 37 (2)


¿Qué tan común es la deformidad extraarticular de rodilla? ¿Cómo lograr una artroplastia total de rodilla con alineación de ''zona segura'' en pacientes con deformidad extraarticular?

Salazar-López J, Yáñez-Mejía L, Rodríguez-Pesina A, Vázquez VA, Elizalde-Peña J, Solorzano-López M
Texto completo Cómo citar este artículo 10.35366/112986

DOI

DOI: 10.35366/112986
URL: https://dx.doi.org/10.35366/112986
Artículos similares

Idioma: Ingles.
Referencias bibliográficas: 31
Paginas: 79-84
Archivo PDF: 238.15 Kb.


PALABRAS CLAVE

alineación mecánica, alineación cinemática, alineación \"zona segura\", alineación funcional, deformidad extraarticular, corrección intraarticular.

RESUMEN

La necesidad de artroplastia total de rodilla está aumentando considerablemente y uno de los objetivos es lograr la alineación coronal postquirúrgica. La asistencia quirúrgica robótica consigue una alineación funcional, que es un ángulo cadera-rodilla-tobillo de 0°. Sin embargo, no es posible ofrecer cirugía asistida por robot a todos nuestros pacientes, por lo que debemos incluir la radiografía AP de soporte de peso de cadera a tobillo de cuerpo entero en la planificación preoperatoria para obtener una alineación de "zona segura", que es un ángulo postquirúrgico cadera-rodilla-tobillo de 0 ± 3°. ¿Cómo podemos conseguir una artroplastia total de rodilla con alineación de "zona segura" en pacientes con deformidad extraarticular?


REFERENCIAS (EN ESTE ARTÍCULO)

  1. Price AJ, Alvand A, Troelsen A. Knee replacement. Lancet. 2018; 392(10158): 1672-82. doi: 10.1016/S0140-6736(18)3234-4.

  2. Scott WN. Insall & Scott surgery of the knee. 6th ed. Philadelphia: Elsevier; 2018.

  3. Allen MM, Pagnano MW. Neutral mechanical alignment- is it necessary? Bone Joint J. 2016; 98B(1 Suppl A): 81-3. doi: 10.1302/0301-620X.98B1.36403.

  4. Hernández-Vaquero D. The alignment of the knee replacement. Old myths and new controversies. Rev Esp Cir Ortop Traumatol. 2021; 64: 386-97. doi: 10.1016/j.recote.2021.05.007.

  5. Oussedik S, Abdel MP, Victor J, Pagnano MW, Haddad FS. Alignment in total knee arthroplasty. Bone Joint J. 2020; 102-B(3): 276-9. doi: 10.1302/0301-620X.102B3.BJJ-2019-1729.

  6. Hirschmann MT, Becker R, Tandogan R, Vendittoli PA, Howell S. Alignment in TKA: what has been clear is not anymore! Knee Surg Sports Traumatol Arthrosc. 2019; 27(7): 2037-9. doi: 10.1007/s00167-019-05558-4.

  7. Jaffe WL, Dundon JM, Camus T. Alignment and balance methods in total knee arthroplasty. J Am Acad Orthop Surg. 2018; 26(20): 709-16. doi: 10.5435/JAAOS-D-16-00428.

  8. Parisi TJ, Jennings JM, Dennis DA. Coronal alignment in TKA: traditional principles versus new concepts. Reconstructive Review. 2018; 8(2): 19-28. doi: 10.15438/rr.8.2.213.

  9. Riviere C, Iranpour F, Auvinet E, Howell S, Vendittoli PA, Cobb J, et al. Alignment options for total knee arthroplasty: A systematic review. Orthop Traumatol Surg Res. 2017; 103(7): 1047-56. doi: 10.1016/j.otsr.2017.07.010.

  10. Lording T, Lustig S, Neyret P. Coronal alignment after total knee arthroplasty. EFORT Open Rev. 2017; 1(1): 12-7. doi: 10.1302/2058-5241.1.000002.

  11. Tanzer M, Makhdom AM. Preoperative planning in primary total knee arthroplasty. J Am Acad Orthop Surg. 2016; 24: 220-30. doi: 10.5435/JAAOS-D-14-00332.

  12. McDaniel G, Mitchell KL, Charles C, Kraus VB. A comparison of five approaches to measurement of anatomic knee alignment from radiographs. Osteoarthritis Cartilage. 2010; 18(2): 273-7. doi: 10.1016/j.joca.2009.10.005.

  13. Cooke TDV, Sled EA, Scudamore RA. Frontal plane knee alignment: a call for standardized measurement. J Rheumatol. 2007; 34(9): 1796-801.

  14. Durandet A, Ricci PL, Saveh AH, Vanat Q, Wang B, Esat I, Chizari M. Radiographic analysis of lower limb axial alignments. London, U.K.: World Congress on Engineering; 2013. Available in: http://www.iaeng.org/publication/WCE2013/WCE2013_pp1354-1358.pdf

  15. Fawdington RA, Johnson B, Kiely NT. Lower limb deformity assessment and correction. Orthop Traumatol. 2014; 28(1): 33-40. doi: 10.1016/j.mporth.2013.10.004.

  16. Shenoy R, Pastides PS, Nathwani D. (iii) Biomechanics of the knee and TKR. Orthopaedics Trauma. 2013; 27(6): 364-71. doi: 10.1016/j.mporth.2013.10.003.

  17. Masouros SD, Bull AMJ, Amis AA. Biomechanics of the knee joint. Orthopaedics Trauma. 2010; 24(2): 84-91. doi: 10.1016/j.mporth.2010.03.005.

  18. Sculco PK, Kahlenberg CA, Fragomen AT. Management of extra-articular deformity in the setting of total knee arthroplasty. J Am Acad Orthop Surg. 2019; 27(18): e819-30. doi: 10.5435/JAAOS-D-18-00-361.

  19. Hazratwala K, Matthews B, Wilkinson M, Barroso-Rosa S. Total knee arthroplasty in patients with extra-articular deformity. Arthroplast Today. 2016; 2(1): 26-36. doi: 10.1016/j.artd.2015.11.002.

  20. Abdelaal AH, Yamamoto N, Hayashi K, Takeuchi A, Morsy AF, Miwa S, et al. Radiological assessment of the femoral bowing in Japanese population. SICOT J. 2016; 2: 2. doi: 10.1051/sicotj/2015037.

  21. Del Sel H, Vedoya SP, Garabano G. Reemplazo total de rodilla en gonartrosis asociada a deformidad extraarticular. Rev Asoc Argent Ortop Traumatol. 2012; 77(3): 178-84.

  22. Wang JW, Wang CJ. Total knee arthroplasty for arthritis of the knee with extra-articular deformity. J Bone Joint Surg Am. 2002; 84(10): 1769-74.

  23. Howell SM, Bini SA, Steele GD. Caliper kinematically aligned total knee arthroplasty- theory, surgical techniques, and perspectives. Philadelphia: Elsevier; 2022.

  24. Hiranaka T, Suda Y, Saitoh A. Current concept of kinematic alignment total knee arthroplasty and its derivatives. Bone Jt Open. 2022; 3(5): 390-7. doi: 10.1302/2633-1462.35.BJO-2022-0021.R2.

  25. de Grave PW, Luyckx T, Claeys K. Higher satisfaction after total knee arthroplasty using restricted inverse kinematic alignment compared to adjusted mechanical alignment. Knee Surg Sports Traumatol Arthrosc. 2022; 30(2): 488-99. doi: 10.1007/s00167-020-06165-4.

  26. Lustig S, Sappey-Marinier E, Fary C, Servien E, Parratte S, Batailler C. Personalized alignment in total knee arthroplasty: current concepts. SICOT J. 2021; 7: 19. doi: 10.1051/sicotj/2021021.

  27. Schelker BL, Nowakowski AM, Hirschmann MT. What is the "safe zone" for transition of coronal alignment from systematic to a more personalised one in total knee arthroplasty? A systematic review. Knee Surg Sports Traumatol Arthrosc. 2022; 30(2): 419-27. doi: 10.1007/s00167-021-06811-5.

  28. Lambrechts A, Wirix-Speetjens R, Maes F, Van Huffel S. Artificial intelligence based patient-specific preoperative planning algorithm for total knee arthroplasty. Front Robot AI. 2022; 9: 840282. doi: 10.3389/frobt.2022.840282. Erratum in: Front Robot AI. 2022; 9: 899349.

  29. Fontalis A, Kayani B, Asokan A, Haddad IC, Tahmassebi J, Konan S, et al. Inflammatory response in robotic-arm-assisted versus conventional jig-based TKA and the correlation with early functional outcomes: results of a prospective randomized controlled trial. J Bone Joint Surg Am. 2022; 104(21): 1905-14. doi: 10.2106/JBJS.22.00167.

  30. Matsumoto T, Hashimura M, Takayama K, Ishida K, Kawakami Y, Matsuzaki T, et al. A radiographic analysis of alignment of the lower extremities--initiation and progression of varus-type knee osteoarthritis. Osteoarthritis Cartilage. 2015; 23(2): 217-23. doi: 10.1016/j.joca.2014.11.015.

  31. Yau WP, Chiu KY, Tang WM, Ng TP. Coronal bowing of the femur and tibia in Chinese: its incidence and effects on total knee arthroplasty planning. J Orthop Surg (Hong Kong). 2007; 15(1): 32-6. doi: 10.1177/230949900701500108.




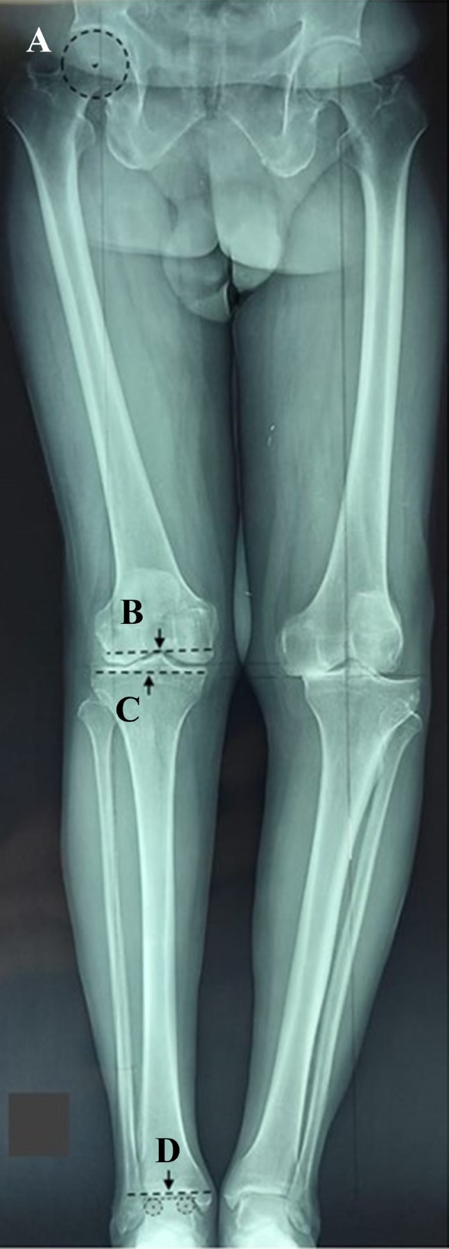
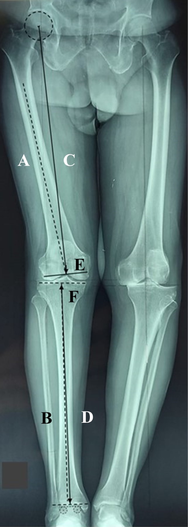
Figura 1
Figura 2
Figura 3
Figura 4
Figura 5
Figura 6

2020     |     www.medigraphic.com

Mi perfil

C?MO CITAR (Vancouver)

Acta Ortop Mex. 2023 Mar-Abr;37

ARTíCULOS SIMILARES

CARGANDO ...