medigraphic.com
ENGLISH

Acta Ortopédica Mexicana

ISSN 2992-8036 (Digital)
ISSN 2306-4102 (Impreso)
Órgano Oficial del Colegio Mexicano de Ortopedia y Traumatología
  • Mostrar índice
  • Números disponibles
  • Información
    • Información general        
    • Directorio
  • Publicar
    • Instrucciones para autores        
  • medigraphic.com
    • Inicio
    • Índice de revistas            
    • Registro / Acceso
  • Mi perfil

2023, Número 2

<< Anterior Siguiente >>

Acta Ortop Mex 2023; 37 (2)


No-consolidación diafisaria de húmero en pacientes adultos con osteoporosis. Tratamiento quirúrgico y resultados a largo plazo

Paz, ML1; Gutiérrez, N1; Díaz, M1; Allende, C1,2
Texto completo Cómo citar este artículo 10.35366/112987

DOI

DOI: 10.35366/112987
URL: https://dx.doi.org/10.35366/112987
Artículos similares

Idioma: Español
Referencias bibliográficas: 43
Paginas: 85-93
Archivo PDF: 248.74 Kb.


PALABRAS CLAVE

no-consolidación, húmero, diafisarias, osteoporosis.

RESUMEN

Introducción: evaluar los resultados radiográficos y funcionales obtenidos a largo plazo en pacientes adultos que presentaron no-consolidaciones atróficas diafisarias de húmero asociadas a osteoporosis; tratadas quirúrgicamente mediante reducción abierta y fijación interna con placas e injerto óseo. Material y métodos: evaluamos retrospectivamente 22 pacientes, con edad promedio de 72 años, el tiempo desde el trauma inicial hasta la cirugía definitiva promedió, 18 meses. Once pacientes eran fumadores y cuatro presentaban infección activa. El score de Constant y el DASH preoperatorios promediaron 23.13 y 81.04, respectivamente. El valor de la escala analógica del dolor preoperatorio promedió 7.45 puntos. Resultados: el seguimiento promedió 69 meses. Se obtuvo la consolidación en todos los casos, luego de un promedio de 4.68 meses. Al último seguimiento, los valores del DASH promediaron 20.27 puntos y el score de Constant promedió 79.31 puntos. La escala analógica del dolor promedió 0.77 puntos. La estabilización se realizó utilizando clavos placa bloqueados en 12 no-consolidaciones, placas bloqueadas de compresión en seis y doble placa en cuatro. Los pacientes con infección activa fueron tratados en dos etapas utilizando la técnica descripta por Masquelet. Se asoció injerto óseo en todas las reconstrucciones (autoinjerto esponjoso de cresta ilíaca en 17, aloinjerto en tres y se combinó aloinjerto estructural con autoinjerto esponjoso en dos). Dos gramos de vancomicina en polvo fueron asociados localmente al injerto óseo. Conclusión: la combinación de reducción abierta y fijación interna con placas e injerto óseo permitió obtener la consolidación y resultados funcionales objetivos y subjetivos buenos y predecibles a largo plazo en todos los casos, sin complicaciones mayores ni la necesidad de intervenciones quirúrgicas sucesivas.



INTRODUCCIóN

Las fracturas de húmero representan 0.5 a 5% de todas las fracturas,1,2 son más frecuentes en el sexo femenino, particularmente prevalentes en mayores de 50 años y se asocian con frecuencia a osteoporosis.3 Diez a 15% de las fracturas diafisarias de húmero pueden evolucionar hacia una no-consolidación;1,4 los reportes bibliográficos evidencian mayores porcentajes de no-consolidación luego de la estabilización de estas fracturas con clavos intramedulares.5,6 Los principales factores que predisponen al desarrollo de no-consolidación en fracturas diafisarias de húmero son: patrones complejos de fractura, cirugías previas, infección, pérdida ósea, medicamentos inmunosupresores, desvitalización de tejidos blandos, fumar, alcoholismo, diabetes, obesidad, antiinflamatorios no esteroideos (AINE), deficiencia de vitamina D y falta de adhesión a las indicaciones postoperatorias.1,7,8

El tratamiento de no-consolidaciones de húmero en pacientes adultos con osteoporosis representa un verdadero desafío para el cirujano ortopedista. Por un lado, debido a su frecuente asociación con factores propios de toda no-consolidación del húmero, como inestabilidad, dolor, angulación, rigidez articular, pérdida ósea, atrofia muscular y ósea, déficit neurológico o infección.7 Por otro lado, el cirujano debe considerar la edad avanzada del paciente y sus comorbilidades, además del hecho de que con frecuencia han sufrido un período prolongado de desuso de la extremidad, cirugías previas e implantes flojos; todos factores que alteran significativamente la calidad ósea del hueso afectado.9,10

El objetivo de este estudio fue evaluar los resultados radiográficos y funcionales obtenidos en pacientes adultos con no-consolidaciones atróficas, osteoporóticas e inestables de la diáfisis humeral, tratados quirúrgicamente mediante reducción abierta y fijación interna con placas e injerto óseo.



MATERIAL Y MéTODOS

Veintidós pacientes con el diagnóstico de no-consolidaciones diafisarias inestables y atróficas de húmero,11 todas asociadas a osteoporosis, fueron evaluados retrospectivamente. Se excluyeron: retardos de consolidación, no-consolidaciones con buena calidad ósea y no-consolidaciones epifisarias del húmero. Todos los pacientes presentaban severa discapacidad funcional del miembro afectado, debido a dolor e inestabilidad a nivel del foco de no-consolidación. La edad de los pacientes promedió 72 años (rango: 60 a 81). Diecisiete eran del sexo femenino y seis del masculino. Once pacientes eran fumadores y cuatro presentaban sobrepeso. El índice de la tuberosidad deltoidea (ITD) fue utilizado para determinar la calidad ósea del húmero e identificar los pacientes con osteoporosis.12 El ITD fue determinado utilizando una radiografía anteroposterior del hombro, justo por encima de la tuberosidad deltoidea, donde los bordes de las corticales externas se tornan paralelos. El ITD es igual a la relación entre el diámetro de la cortical externa y el diámetro endóstico interno. Usamos el programa Carestream (Carestream Health, NY, USA) para realizar las mediciones. Se consideró que los pacientes tenían osteoporosis cuando el ITD fue < 1.44; siendo el valor promedio de ITD en los pacientes incluidos en este estudio de 1.03 (rango: 1 a 1.1).

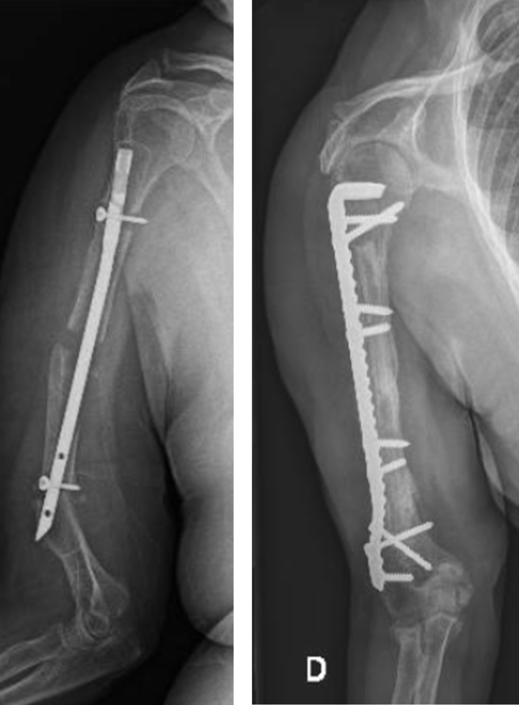
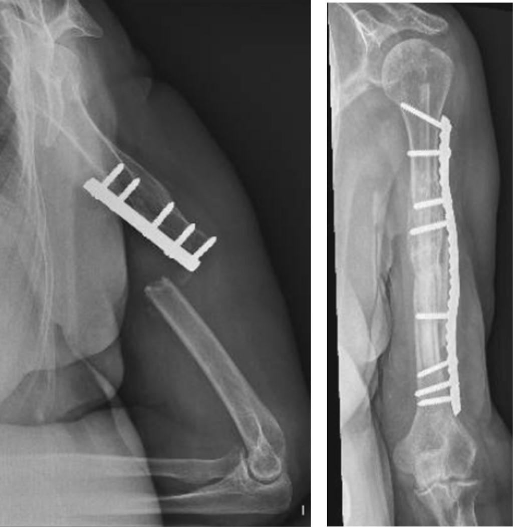
El miembro superior derecho estaba comprometido en nueve pacientes y el izquierdo en 13; el miembro dominante fue el afectado en 10 casos. El tercio proximal de la diáfisis humeral estaba involucrado en ocho pacientes, el tercio medio en otros ocho, el tercio distal en cuatro y dos pacientes presentaban no-consolidaciones segmentarias de la diáfisis humeral (Figura 1). El tiempo desde el trauma inicial hasta el tratamiento definitivo de la no-consolidación promedió 18 meses (rango: 6 a 51). El tratamiento inicial había sido conservador con yeso o brace termoplástico en cuatro pacientes y en 18 el tratamiento inicial fue quirúrgico; 12 pacientes habían tenido una cirugía previa, tres habían tenido dos cirugías previas, dos habían tenido tres cirugías con anterioridad y un paciente había tenido cuatro cirugías previas (Tabla 1). Al momento de realizar la última cirugía, ocho pacientes presentaban un dispositivo endomedular (seis clavos rígidos y dos clavos elásticos), nueve tenían una placa y en un paciente el implante había sido removido. En 16 de estos 17 casos los implantes fueron removidos en la cirugía definitiva; en un caso, que había sido tratado con clavo endomedular, en el cual la fractura evolucionó hacia la no-consolidación, la estabilización definitiva se realizó con una placa puente LCP larga de 3.5 mm, sin remover el clavo endomedular. Al momento de la cirugía definitiva, tres pacientes presentaban infección activa y tres presentaban antecedente de infección previa. Las reconstrucciones en los tres casos con infección activa fueron realizadas en dos etapas, siguiendo la técnica de la membrana inducida por cemento, descrita por Pelissier y colaboradores para reconstrucción de defectos óseos infectados (Figura 2).13

Las cirugías se realizaron en todos los casos asociando anestesia con bloqueo regional supraclavicular y anestesia general. Radioscopía intraoperatoria se utilizó en todos los casos. Los pacientes fueron posicionados en posición de silla de playa en las no-consolidaciones localizadas en el tercio proximal de la diáfisis humeral y en las no-consolidaciones segmentarias; en decúbito dorsal con el brazo colocado a 90° sobre una mesa de mano, en no-consolidaciones del tercio medio de la diáfisis humeral; y en decúbito ventral en no-consolidaciones del tercio distal de la diáfisis humeral. Un abordaje deltopectoral extendido hacia lateral en el brazo fue utilizado en nueve no-consolidaciones, un abordaje lateral transdeltoideo extendido hacia el brazo fue empleado en ocho casos, en las cuatro no-consolidaciones localizadas en el tercio distal de la diáfisis fue usado un abordaje posterior paratricipital bilateral14 y en un caso, en el que el clavo de la cirugía previa no fue removido, fue utilizado un abordaje MIPPO lateral transdeltoideo, asociando una tercera pequeña incisión a nivel del sitio de no-consolidación para realizar la decorticación osteoperióstica y colocar autoinjerto óseo. En todos los casos: los tejidos necróticos, avasculares e infectados localizados a nivel de la no-consolidación fueron removidos, se realizó decorticación circunferencial usando escoplos rodeando la no-consolidación15 y se resecó el tejido fibroso del foco de no-consolidación. En todos los casos, excepto en el que se dejó el clavo endomedular de la cirugía previa, se abrió el canal medular utilizando una punta cuadrada.

Las reconstrucciones fueron protegidas en el postoperatorio empleando un cabestrillo antirrotatorio, utilizado continuamente por cuatro semanas y luego de manera intermitente hasta la consolidación. La movilidad pasiva se comenzó a las cuatro semanas, evitando rotaciones; a las seis semanas se comenzó con movilidad activa según tolerancia, evitando rotaciones. Se comenzó con antibióticos endovenosos una hora antes de la cirugía y se continuaron por 72 horas; excepto en los cuatro casos con infección activa y dos con historia de infección, en los que los antibióticos se comenzaron en el intraoperatorio luego de extraer las muestras para análisis bacteriológico. La evaluación funcional preoperatoria y postoperatoria se realizó utilizando el sistema de Constant y Murley y el DASH (Disabilities of the Arm, Shoulder, and Hand questionnaire); el dolor preoperatorio y al último control fue evaluado usando la escala visual analógica, siendo 0 nada de dolor y 10 dolor intenso. En el preoperatorio, el score de Constant y Murley y el DASH promediaron 23.13 (8-44) y 81.04 (64-93), respectivamente. La escala analógica del dolor en el preoperatorio promedió 7.45 (Tabla 2). Se consideró que las lesiones consolidaron cuando hubo evidencia radiográfica de formación ósea puenteando el foco, sin signos del aflojamiento de los implantes. Estadística básica inferencial fue utilizada para calcular valores p y desviaciones estándar.



RESULTADOS

La estabilización definitiva se realizó utilizando clavos placa bloqueados de 4.5 mm en 12 no-consolidaciones (siete localizadas en el tercio proximal de la diáfisis, dos segmentarias y tres del tercio medio de la diáfisis humeral); placas de compresión bloqueadas (LCP) de 4.5 mm en cinco no-consolidaciones (cinco diafisarias y una del tercio proximal de la diáfisis); en el paciente en el que el clavo endomedular no fue removido, se utilizó una placa LCP de 3.5 mm y se utilizaron dos placas en las cuatro no-consolidaciones del tercio distal de la diáfisis humeral. El largo de las placas promedió 21.38 centímetros (rango: 10.88 a 26.2). El número de orificios de las placas promedió 12.56 (rango: 10 a 16) (Tabla 3); en todos los casos en que se utilizó clavos placa bloqueados o placas LCP, se colocaron de manera híbrida, combinando tornillos de compresión a ambos lados de la no-consolidación primero (para comprimir el foco de no-consolidación), seguidos de tornillos bloqueados a continuación. En los tres pacientes que presentaban infección activa se realizó la reconstrucción en dos etapas, utilizando espaciadores de cemento impregnados con antibiótico (gentamicina y dos gramos de vancomicina) en la primera etapa; el espaciador con antibióticos fue colocado paralelo a la no-consolidación en dos casos e intramedular en el tercer caso. El tiempo entre la colocación del espaciador y el segundo tiempo quirúrgico, en el que se realizó la reconstrucción definitiva, fue de tres meses en los tres casos.

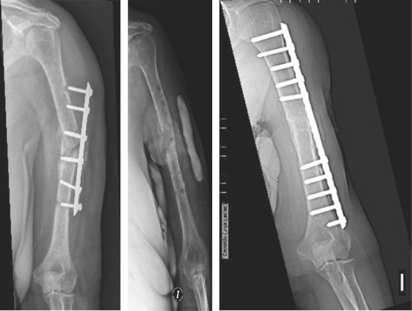
Se asoció injerto óseo en todos los casos; en 17 no-consolidaciones solo injerto óseo esponjoso autólogo de cresta ilíaca (16 de cresta ilíaca anterior y uno de cresta ilíaca posterior), en tres casos se utilizó aloinjerto (estructural en uno y triturado en dos) y en dos fueron combinados aloinjerto estructural e injerto óseo esponjoso autólogo de cresta ilíaca anterior (Figura 1). Las tablas de aloinjerto fueron colocadas endomedulares en dos casos (Figura 1); y en uno se colocaron tablas de aloinjerto tanto endomedular como extramedular (Figura 3). En todos los casos se asoció al injerto óseo dos gramos de vancomicina en polvo colocada localmente a nivel de la no-consolidación.

El seguimiento promedió 69 meses (rango: 24 a 144). Se obtuvo consolidación clínica y radiográfica en todos los casos luego de un promedio de 4.68 meses (rango: 3 a 7). Una paciente sufrió neuropraxia transitoria del nervio radial, la cual se recuperó completamente antes del quinto mes postoperatorio. Ningún paciente requirió de procedimientos quirúrgicos adicionales. Los pacientes que presentaban infección activa están actualmente libres de infección. El DASH en el último control promedió 20.27 puntos (rango: 0 a 36) y el Constant al último seguimiento promedió 79.31 puntos (rango: 61 a 100). La diferencia en los puntajes entre el preoperatorio y el postoperatorio fue estadísticamente significativa con una p = 0.0001 (Tabla 4 y Figura 4). La escala analógica del dolor al último control promedió 0.77 puntos (rango: 0 a 3).



DISCUSIóN

El tratamiento de no-consolidaciones osteoporóticas, atróficas e inestables del húmero representan un gran desafío, debido a la pobre calidad ósea y frecuente asociación a comorbilidades propias de pacientes adultos, a su frecuente asociación con infección, rigidez articular, cirugías previas, pérdida de stock óseo, desuso del miembro afectado, pobre vascularización, nicotina y obesidad.4,16 Algunos de estos factores son propios del paciente y el cirujano poco puede hacer para modificarlos, pero otros son potencialmente modificables y deben ser abordados. A pesar de que hay consenso de que en este tipo de no-consolidación el tratamiento quirúrgico es de elección, hay pocos reportes en la bibliografía que muestren los resultados del tratamiento quirúrgico en pacientes adultos con no-consolidaciones osteoporóticas, atróficas e inestables de la diáfisis humeral.9,10,17 El objetivo del tratamiento en estas no-consolidaciones es obtener una osteosíntesis estable y crear un lecho biológicamente adecuado que estimule la formación de callo óseo;17 alcanzar este objetivo en pacientes adultos mayores es un desafío y puede estar asociado a peores resultados.18 En nuestra serie, combinando osteosíntesis con diferentes placas e injertos óseos, obtuvimos la consolidación en las 22 no-consolidaciones atróficas, inestables de la diáfisis humeral asociadas a osteoporosis; obteniendo buenos resultados funcionales y sin ninguna complicación mayor. Basamos el tratamiento en un abordaje individualizado, "paciente específico" y meticulosamente planificado, enfocado en corregir los factores sistémicos que pueden alterar la consolidación, crear un ambiente biológico adecuado con un lecho receptor bien vascularizado a nivel de la no-consolidación, armar una estructura que restaure la alineación con adecuada estabilidad para hueso osteoporótico, minimizar el daño a la vascularización del húmero, aportar estabilidad y material osteoinductor mediante el uso de diferentes injertos óseos y disminuir las infecciones combinando antibióticos sistémicos con antibióticos tópicos locales. Las principales limitaciones de este estudio son: ser retrospectivo, la falta de grupo control y el tamaño de la muestra; sin embargo, consideramos que la baja frecuencia de este subgrupo de no-consolidaciones de húmero, los pocos reportes existentes en la literatura y el hecho de haber obtenido resultados buenos y predecibles, le dan a este reporte de casos marcada relevancia.

En pacientes con no-consolidación diafisaria de húmero, el uso de fijación interna con placas combinado con injerto autólogo ha evidenciado elevados porcentajes de consolidación y pocas complicaciones.6 Resultados disimiles han sido publicados en no-consolidaciones de húmero tratadas mediante cambio de clavos endomedulares fallidos;19,20,21 mientras que la revisión con placas en no-consolidaciones diafisarias humeral tratadas inicialmente con clavos endomedulares ha demostrado resultados mejores y más predecibles.22,23 Diversas técnicas han sido descritas para mejorar la fijación interna en hueso osteoporótico, incluyendo placas bloqueadas, combinación de implantes, aumento con cemento, la asociación de tablas de aloinjerto o el cambiar tornillos corticales flojos de 4.5 mm por tornillos de esponjosa de 6.5 mm; todas estas técnicas son útiles y cada una tiene ventajas y desventajas.10 En nuestra serie, clavos placa bloqueados de 4.5 mm se utilizaron en no-consolidaciones que afectaban el tercio proximal de la diáfisis (ocho casos), en no-consolidaciones segmentarias (dos casos) y en no-consolidaciones medio-diafisarias en las que se consideró necesario usar implantes con buen anclaje en la cabeza humeral (dos casos). El uso de clavos placa bloqueados es técnicamente demandante, pero tiene la ventaja de permitir mayor agarre y estabilidad proximal, aspecto de gran relevancia en hueso osteoporótico.7 En los 22 casos se utilizaron placas largas, puenteando el área afectada por implantes previos; el uso de placas largas permitió incrementar la resistencia al arranque de los implantes, incrementar su largo de trabajo y flexibilidad.22

Las no-consolidaciones atróficas no son avasculares24 y parte de la estrategia de tratamiento en estas no-consolidaciones debe enfocarse en crear un lecho adecuado y estimular la osteogénesis a nivel del foco de no-consolidación.25 En nuestra serie, en todos los casos se realizó decorticación osteoperióstica con escoplos a nivel de la no-consolidación para reactivar la osteogénesis y osteoinducción. El uso de injerto óseo es recomendado en no-consolidaciones atróficas o en presencia de defectos óseos;26 y cuando el aumento biológico es considerado necesario, el injerto óseo autólogo sigue siendo el estándar de oro en no-consolidaciones de húmero.6,17,27,28,29,30 En nuestra serie utilizamos injerto óseo en los 22 casos, autoinjerto esponjosos de cresta ilíaca en 17 casos, aloinjerto en tres y una combinación de autoinjerto y aloinjerto en dos; obteniendo buena osteointegración en todos los casos. Las dos críticas comúnmente realizadas al uso de aloinjertos estructurales en no-consolidaciones son el riesgo incrementado de infección y una mayor agresividad con los tejidos blandos; sin embargo, diferentes autores han reportado altos porcentajes de consolidación sin riesgo elevado de infección utilizando aloinjertos estructurales asociados a osteosíntesis.17,18,31,32,33,34 Las tablas de aloinjerto actúan como férulas internas, cubren defectos óseos intramedulares o extramedulares, proveen soporte estructural, ayudan a la estabilidad de la osteosíntesis e incrementan la fuerza de agarre de los tornillos, lo que incrementa la fuerza y resistencia de la construcción.26,35 Los aloinjertos tienen la ventaja de reducir la morbilidad del sitio dador y el tiempo quirúrgico, siendo particularmente beneficiosos en defectos óseos significativos;6,30 pero el uso rutinario de aloinjertos óseos está limitado, por su baja disponibilidad y por la escasa experiencia de los cirujanos en su uso; y estudios prospectivos de mayor calidad son necesarios para poder determinar qué tipo de injerto óseo o sustituto óseo es ideal para cada no-consolidación. En nuestra serie utilizamos aloinjerto molido en dos casos y aloinjerto estructural en tres no-consolidaciones; las cinco no-consolidaciones eran asépticas. El aloinjerto esponjoso molido de cabeza femoral fue indicado en dos pacientes de sexo femenino, con cirugías previas, en las que autoinjerto de cresta ilíaca ya había sido utilizado; y siendo informadas de las ventajas y desventajas del uso de aloinjerto, ambas decidieron por el uso del mismo; en estos dos casos se prefirió aloinjerto molido porque el contacto óseo obtenido intraoperatoriamente entre los cabos a nivel de la no-consolidación fue bueno, pero el defecto parcial resultante de los implantes flojos de las cirugías previas era significativo e irregular. En los tres casos que se utilizó aloinjerto estructural utilizamos tablas de peroné divididas longitudinalmente y colocadas intramedulares (en uno de estos casos una segunda tabla de aloinjerto fue colocada por debajo de una placa moldeada en onda) (Figura 3). Los pacientes en que se utilizaron tablas de aloinjerto tenían marcada osteoporosis, con una cortical humeral muy fina en toda su extensión; uno de estos casos presentaba no-consolidación segmentaria. El uso de injertos óseos vascularizados, ya sea de peroné o injertos óseos pediculados como el recientemente descrito por Zaidenberg y colaboradores, tienen mejor indicación en no-consolidaciones recalcitrantes, con defectos óseos segmentarios mayores;29 su utilización en pacientes mayores puede generar controversias por las comorbilidades de los enfermos, el tiempo quirúrgico y la morbilidad del sitio dador. En nuestra serie asociamos dos gramos de vancomicina en polvo de manera local a nivel del foco de no-consolidación en todos los casos, una vez terminada la reconstrucción y antes de cerrar los tejidos blandos; su utilización la basamos en el hecho de que ha demostrado ser efectivo en fracturas expuestas;30 en nuestros pacientes no hubo ninguna complicación relacionada con su empleo, todas las no-consolidaciones evidenciaron unión ósea y ninguna no-consolidación se infectó.

Las no-consolidaciones infectadas están frecuentemente asociadas a pérdida ósea, cirugías previas con implantes flojos o rotos, fístulas activas, pobre vascularización de los extremos óseos, pobre calidad ósea y rigidez de las articulaciones vecinas.36 La técnica de la membrana inducida por cemento, descrita por Masquelet y que consiste en la reconstrucción en etapas, siendo la primera la colocación de un espaciador de polimetilmetacrilato (PMMA) a nivel de la no-consolidación, tiene ventajas mecánicas porque permite rellenar los espacios muertos previniendo la invasión del área afectada por tejido fibroso poco vascularizado, ayuda a mantener la anatomía normal (alineación y largo del hueso) y ayuda a mantener el trofismo de los extremos óseos, mientras prepara una seudomembrana rica en factores de crecimiento y osteoconductivos, que va a servir como lecho receptor bien vascularizado para la colocación del injerto óseo al momento de remover el PMMA.37,38 En los tres casos con infección activa de nuestra serie utilizamos esta técnica, colocando espaciadores de PMMA con gentamicina y dos gramos de vancomicina en la etapa inicial; el uso de antibióticos en el cemento permite administrar altas dosis de antibióticos locales con mínima distribución sistémica;39,40,41 en estos tres casos se erradicó la infección y se obtuvo la consolidación.

El tabaquismo aumenta la incidencia de no-consolidaciones e infecciones postoperatorias.42 Aunque la diabetes es un factor de riesgo conocido en el desarrollo de no-consolidaciones, pocos traumatólogos están al tanto del riesgo similar que tienen los pacientes fumadores de desarrollar no-consolidaciones e infecciones. De acuerdo con el estudio de Zura y colaboradores, los pacientes fumadores tendrían un riesgo mayor de desarrollar no-consolidaciones que pacientes con diabetes tipo II.43 En nuestra serie 11 pacientes eran fumadores, en todos los casos se comprometieron a abandonar ese hábito durante el tratamiento de su no-consolidación; nueve pacientes cumplieron al menos hasta la consolidación y dos no, pero estos dos disminuyeron significativamente su consumo.



CONCLUSIóN

En esta serie de pacientes adultos con no-consolidación diafisaria de húmero osteoporótica, atrófica e inestable, combinamos osteosíntesis con diferentes placas e injertos óseos, obteniendo la consolidación a significativas mejorías funcionales objetivas y subjetivas en todos los pacientes, sin complicaciones mayores o necesidad de cirugías sucesivas.


REFERENCIAS (EN ESTE ARTÍCULO)

  1. Jupiter JB, von Deck M. Ununited humeral diaphyses. J Shoulder Elbow Surg. 1998; 7(6): 644-53.

  2. Rupp M, Biehl C, Budak M, Thormann U, Heiss C, Alt V. Diaphyseal long bone nonunions — types, aetiology, economics, and treatment recommendations. Int Orthop. 2018; 42(2): 247-58.

  3. Launonen AP, Lepola V, Saranko A, Flinkkila T, Laitinen M, Mattila VM. Epidemiology of proximal humerus fractures. Arch Osteoporos. 2015; 10: 209.

  4. Cheung WH, Miclau T, Chow SK, Yang FF, Alt V. Fracture healing in osteoporotic bone. Injury. 2016; 47 Suppl 2: S21-6.

  5. Nandra R, Grover L, Porter K. Fracture non-union epidemiology and treatment. Trauma. 2016; 18(1): 3-11.

  6. Peters RM, Claessen FM, Doornberg JN, Kolovich GP, Diercks RL, van den Bekerom MP. Union rate after operative treatment of humeral shaft nonunion--A systematic review. Injury. 2015; 46(12): 2314-24.

  7. Allende C, Allende BT. The use of a new locking 90 degree blade plate in the treatment of atrophic proximal humerus nonunions. Int Orthop. 2009; 33(6): 1649-54.

  8. Koh J, Tornetta P 3rd, Walker B, Jones C, Sharmaa T, Sems S, et al. What is the real rate of radial nerve injury after humeral nonunion surgery? J Orthop Trauma. 2020; 34(8): 441-6.

  9. Ring D, Perey BH, Jupiter JB. The functional outcome of operative treatment of ununited fractures of the humeral diaphysis in older patients. J Bone Joint Surg Am. 1999; 81(2): 177-90.

  10. Ring D, Kloen P, Kadzielski J, Helfet D, Jupiter JB. Locking compression plates for osteoporotic nonunions of the diaphyseal humerus. Clin Orthop Relat Res. 2004; 425(425): 50-4.

  11. Weber BG, Cech O. Pseudarthrosis: pathophysiology, biomechanics, therapy, results. London, England: Grune & Stratton; 1976.

  12. Spross C, Kaestle N, Benninger E, Fornaro J, Erhardt J, Zdravkovic V, et al. Deltoid tuberosity index: A simple radiographic tool to assess local bone quality in proximal humerus fractures. Clin Orthop Relat Res. 2015; 473(9): 3038-45.

  13. Pelissier P, Masquelet AC, Bareille R, Pelissier SM, Amedee J. Induced membranes secrete growth factors including vascular and osteoinductive factors and could stimulate bone regeneration. J Orthop Res. 2004; 22(1): 73-9.

  14. Alonso-Llames M. Bilaterotricipital approach to the elbow. Its application in the osteosynthesis of supracondylar fractures of the humerus in children. Acta Orthop Scand. 1972; 43(6): 479-90.

  15. Tall M, Bonkoungou D, Sawadogo M, Da SC, Toe MF; Bone and Joint Trauma Study Group (GETRAUM). Treatment of nonunion in neglected long bone shaft fractures by osteoperiosteal decortication. Orthop Traumatol Surg Res. 2014; 100(6 Suppl): S299-303.

  16. McMillan TE, Johnstone AJ. Technical considerations to avoid delayed and non-union. Injury. 2017; 48 Suppl 1: S64-8.

  17. Toro G, Lepore F, Calabro G, Toro G, Rossini M, Vasso M, et al. Humeral shaft non-union in the elderly: Results with cortical graft plus stem cells. Injury. 2019; 50 Suppl 2: S75-9.

  18. Miska M, Findeisen S, Tanner M, Biglari B, Studier-Fischer S, Grützner PA, et al. Treatment of nonunions in fractures of the humeral shaft according to the Diamond Concept. Bone Joint J. 2016; 98-B(1): 81-7.

  19. Lin J, Chiang H, Hou SM. Open exchange locked nailing in humeral nonunions after intramedullary nailing. Clin Orthop Relat Res. 2003; 411(411): 260-8.

  20. McKee MD, Miranda MA, Riemer BL, Blasier RB, Redmond BJ, Sims SH, et al. Management of humeral nonunion after the failure of locking intramedullary nails. J Orthop Trauma. 1996; 10(7): 492-9.

  21. Flinkkila T, Ristiniemi J, Hamalainen M. Nonunion after intramedullary nailing of humeral shaft fractures. J Trauma. 2001; 50(3): 540-4.

  22. Gerber A, Marti R, Jupiter J. Surgical management of diaphyseal humeral nonunion after intramedullary nailing: Wave-plate fixation and autologous bone grafting without nail removal. J Shoulder Elbow Surg. 2003; 12(4): 309-13.

  23. Allende C, Paz A, Altube G, Boccolini H, Malvarez A, Allende B. Revision with plates of humeral nonunions secondary to failed intramedullary nailing. Int Orthop. 2014; 38(4): 899-903.

  24. Reed AA, Joyner CJ, Brownlow HC, Simpson AH. Human atrophic fracture non-unions are not avascular. J Orthop Res. 2002; 20(3): 593-9.

  25. Garcia P, Pieruschka A, Klein M, Tami A, Histing T, Holstein JH, et al. Temporal and spatial vascularization patterns of unions and nonunions: role of vascular endothelial growth factor and bone morphogenetic proteins. J Bone Joint Surg Am. 2012; 94(1): 49-58.

  26. Vidyadhara S, Vamsi K, Rao SK, Gnanadoss JJ, Pandian S. Use of intramedullary fibular strut graft: a novel adjunct to plating in the treatment of osteoporotic humeral shaft nonunion. Int Orthop. 2009; 33(4): 1009-14.

  27. Meier RA, Messmer P, Regazzoni P, Rothfischer W, Gross T. Unexpected high complication rate following internal fixation of unstable proximal humerus fractures with an angled blade plate. J Orthop Trauma. 2006; 20(4): 253-60.

  28. Emara KM, Diab RA, Emara AK. Recent biological trends in management of fracture non-union. World J Orthop. 2015; 6(8): 623-8.

  29. Zaidenberg EE, Juarez Cesca F, Pastrana MJ, Zaidenberg CR. Pedicled vascularized bone graft of the distal radius for recalcitrant nonunion of the distal humerus. J Orthop Trauma. 2018; 32(10): e394-9.

  30. Obremskey WT, Rickert MM, Miller AN, Schemitsch GW, Nauth A, Crist BD, et al. Augmentation of fracture repair: is anything ready for prime time? Instr Course Lect. 2022; 71: 329-344.

  31. Van Houwelingen AP, McKee MD. Treatment of osteopenic humeral shaft nonunion with compression plating, humeral cortical allograft struts, and bone grafting. J Orthop Trauma. 2005; 19(1): 36-42.

  32. Marinelli A, Antonioli D, Guerra E, Bettelli G, Zaccarelli L, Rotini R. Humeral shaft aseptic nonunion: treatment with opposite cortical allograft struts. Chir Organi Mov. 2009; 93 Suppl 1: S21-8.

  33. Campochiaro G, Baudi P, Gialdini M, Corradini A, Duca V, Rebuzzi M, et al. Humeral shaft non-union after intramedullary nailing. Musculoskelet Surg. 2017; 101(2): 189-93.

  34. Willis MP, Brooks JP, Badman BL, Gaines RJ, Mighell MA, Sanders RW. Treatment of atrophic diaphyseal humeral nonunions with compressive locked plating and augmented with an intramedullary strut allograft. J Orthop Trauma. 2013; 27(2): 77-81.

  35. Yadav SS. The use of a free fibular strut as a "Biological Intramedullary Nail" for the treatment of complex nonunion of long bones. JB JS Open Access. 2018; 3(2): e0050.

  36. Struijs PA, Poolman RW, Bhandari M. Infected nonunion of the long bones. J Orthop Trauma. 2007; 21(7): 507-11.

  37. Masquelet A, Kanakaris NK, Obert L, Stafford P, Giannoudis PV. Bone repair using the Masquelet technique. J Bone Joint Surg Am. 2019; 101(11): 1024-36.

  38. Alford AI, Nicolaou D, Hake M, McBride-Gagyi S. Masquelet's induced membrane technique: Review of current concepts and future directions. J Orthop Res. 2021; 39(4): 707-18.

  39. Bagliardelli J, Díaz Gallardo P, Flores J, Bustos D, Bruno P, Allende C. Valor de la utilización de espaciadores de cemento y aloinjerto con antibiótico para reconstruir defectos óseos infectados: estudio experimental en conejos. Rev Asoc Argent Ortop Traumatol. 2011; 76(2): 133-40.

  40. Laux CJ, Grubhofer F, Werner CML, Simmen HP, Osterhoff G. Current concepts in locking plate fixation of proximal humerus fractures. J Orthop Surg Res. 2017; 12(1): 137.

  41. Allende C, Mangupli M, Bagliardelli J, Diaz P, Allende BT. Infected nonunions of long bones of the upper extremity: staged reconstruction using polymethylmethacrylate and bone graft impregnated with antibiotics. Chir Organi Mov. 2009; 93(3): 137-42.

  42. Smolle MA, Leitner L, Bohler N, Seibert FJ, Glehr M, Leithner A. Fracture, nonunion and postoperative infection risk in the smoking orthopaedic patient: a systematic review and meta-analysis. EFORT Open Rev. 2021; 6(11): 1006-19.

  43. Zura R, Xiong Z, Einhorn T, Watson JT, Ostrum RF, Prayson MJ, et al. Epidemiology of fracture nonunion in 18 human bones. JAMA Surg. 2016; 151(11): e162775.



AFILIACIONES

1 Departamento del Miembro Superior y Cirugía Reconstructiva. Sanatorio Allende. Instituto Allende. Córdoba, Argentina.

2 Profesor Titular de Ortopedia y Traumatología. Sanatorio Allende. Instituto Allende. Córdoba, Argentina.



Consentimiento informado: todos los individuos involucrados en el trabajo otorgaron un consentimiento informado para participar en el estudio y el proyecto fue aprobado por el Comité de Investigación de nuestra institución (Sanatorio Allende).



NIVEL DE EVIDENCIA

IV



CORRESPONDENCIA

Christian Allende. E-mail: christian_allende@fcm.unc.edu.ar




Recibido: 18-05-2023. Aceptado: 13-07-2023.

Figura 1
Figura 2
Figura 3
Figura 4
Tabla 1
Tabla 2
Tabla 3
Tabla 4

2020     |     www.medigraphic.com

Mi perfil

C?MO CITAR (Vancouver)

Acta Ortop Mex. 2023 Mar-Abr;37

ARTíCULOS SIMILARES

CARGANDO ...