medigraphic.com
ENGLISH

Revista ADM Órgano Oficial de la Asociación Dental Mexicana

ISSN 0001-0944 (Impreso)
Órgano Oficial de la Asociación Dental Mexicana
  • Mostrar índice
  • Números disponibles
  • Información
    • Información general        
    • Directorio
  • Publicar
    • Instrucciones para autores        
    • Envío de artículos
  • medigraphic.com
    • Inicio
    • Índice de revistas            
    • Registro / Acceso
  • Mi perfil

2023, Número 5

<< Anterior Siguiente >>

Rev ADM 2023; 80 (5)


Manejo odontológico en paciente con síndrome de Cornelia de Lange.

Lozoya-Ramírez, María de Jesús1; Martínez-Rider, Ricardo2; Márquez-Preciado, Raúl1; Ortiz-Magdaleno, Marine3; Alejandri-Gamboa, Vanessa1
Texto completo Cómo citar este artículo 10.35366/113139

DOI

DOI: 10.35366/113139
URL: https://dx.doi.org/10.35366/113139
Artículos similares

Idioma: Español
Referencias bibliográficas: 14
Paginas: 274-279
Archivo PDF: 372.41 Kb.


PALABRAS CLAVE

Cornelia de Lange, tratamiento odontológico, manifestaciones orales clínicas.

RESUMEN

El síndrome de Cornelia de Lange (SCdL) es un trastorno genético poco frecuente y se atribuye principalmente a mutaciones en los genes NIPBL, SMC3 y SMC1A. Sus principales características clínicas son múltiples anomalías congénitas, dimorfismo facial, hirsutismo, hipertricosis, retraso psicomotor, discapacidad intelectual, restricción del crecimiento prenatal y postnatal, anomalías de manos y pies, así como malformaciones congénitas que afectan a distintos órganos. En pacientes con SCdL es necesario hacer hincapié en la higiene oral debido a la discapacidad intelectual que puede presentarse y asegurarse de que se realiza una adecuada valoración y saneamiento dental de forma periódica con el fin de prevenir enfermedades bucodentales. El objetivo de este reporte de caso es describir el manejo odontológico de un paciente de 10 años con SCdL y revisar las características clínicas y hallazgos radiológicos presentes en la cavidad oral.



INTRODUCCIóN

El síndrome de Cornelia de Lange (SCdL) es una anomalía genética y existe una prevalencia a nivel mundial entre 1:62,000 y 1:45,000 nacidos vivos. Se expresa con retraso en el crecimiento y desarrollo, anomalías en extremidades, múltiples malformaciones congénitas que afectan a distintos órganos y sistemas del cuerpo humano.1,2 El síndrome de Cornelia de Lange lleva este nombre por la pediatra holandesa Dra. Cornelia de Lange, quien en 1933 describió las características físicas en dos niños, y el Dr. W. Brachmann detalló las anomalías en los miembros superiores e inferiores en otro paciente.3,4

En la mayoría de los casos el SCdL es causado por una mutación genética en el gen NIPBL; sin embargo, pueden presentarse mutaciones en los genes SMC1A, SMC3, RAD21 y HDAC8, estos genes codifican proteínas reguladoras o estructurales del complejo de cohesinas, al existir una alteración en este complejo genera que no funcione correctamente y ocasiona alteraciones en el desarrollo del ser humano, por lo que también es considerado como una cohesinopatía.5 En 50% de los casos la etiología del SCdL es por una mutación del gen NIPBL, localizado en el brazo corto del cromosoma 5 (5p13-14).6

El diagnóstico del SCdL se realiza con el reconocimiento de los rasgos fenotípicos faciales característicos, alteraciones en el neurodesarrollo y anormalidades en extremidades, también puede detectarse durante el periodo prenatal en una ecografía en donde el principal hallazgo es el retraso del crecimiento intrauterino y con un análisis cromosómico que muestre una variante en cualquiera de los genes asociados con el SCdL.7

El tratamiento del SCdL debe de ser multidisciplinario debido a los diferentes sistemas que afecta en el organismo y su tratamiento se basa en los síntomas de cada paciente. El diagnóstico diferencial incluye el síndrome de Fryns, trastorno del espectro alcohólico fetal, síndrome de Coffin-Siris, síndrome de Roberts, por lo tanto, se recomienda realizar una prueba genética para realizar un diagnóstico definitivo. Debido a que el SCdL afecta diferentes sistemas del organismo es necesario que un equipo médico multidisciplinario preste la atención necesaria en los pacientes.8,9

Las características clínicas más comunes del SCdL se describen en la Tabla 1.3-5 Las malformaciones en extremidades son frecuentes, dependiendo de la gravedad del SCdL podemos encontrar acortamiento, ausencia de los segmentos medio y proximal, implantación proximal de pulgares, falta de formación de uno o más dedos o fusión de ellos entre sí, agenesia o hipoplasia del cúbito y pliegue palmar único.10 Existe poca literatura científica que describa las manifestaciones clínicas asociadas con la salud bucal y su tratamiento; sin embargo, se ha reportado retraso en la erupción de los dientes permanentes, micrognatia, alteraciones en tamaño, agenesia, apiñamiento, maloclusiones, dientes supernumerarios, caries, enfermedad periodontal, bruxismo y erosión dental.11,12

El objetivo de este reporte de caso es describir las características clínicas orales y físicas de un paciente femenino de 10 años y 11 meses de edad, diagnosticado con SCdL, así como el manejo odontopediátrico del paciente y las consideraciones que se requieren para un tratamiento odontológico.



PRESENTACIóN DEL CASO

Paciente femenino de 10 años, acude con sus padres a la Clínica del Postgrado en Estomatología Pediátrica de la Facultad de Estomatología de la Universidad Autónoma de San Luis Potosí. Su madre refiere que el motivo de consulta es porque "los dientes de su hija están chuecos". En sus antecedentes perinatales es producto de la tercera gesta normoevolutiva, embarazo a 36 semanas, peso al nacer de 2.200 kg, talla 48 cm, sin hipoxia neonatal. La paciente fue diagnosticada con SCdL a los tres meses de su nacimiento, no se reportan otros trastornos genéticos en la familia y no se refieren antecedentes heredofamiliares de importancia.

La anamnesis médica reveló presencia de soplo cardiaco funcional e hipoplasia del pulmón derecho, retraso del crecimiento, retraso global del desarrollo y problemas del lenguaje, hirsutismo generalizado, sinofridia, pestañas largas y rizadas, nariz pequeña, labio superior fino, filtrum largo y liso, implantación baja de las orejas, retraso del crecimiento y desarrollo, micromelia, clinodactilia del dedo meñique y pliegue palmar único (Figura 1).

El estado actual del paciente es estable, anteriormente ya había sido atendida odontológicamente y su experiencia fue negativa. De acuerdo con la Academia Americana de Anestesiología13 se clasificó como ASA II (paciente con enfermedad sistémica leve o compensada). En la exploración clínica extraoral se observó cara redonda, tercio medio aumentado, ligera asimetría facial, perfil convexo y retrognatismo mandibular (Figura 2). La paciente tiene una conducta no cooperadora y se clasifica en una escala de Frankl 2,14 por lo que la exploración oral inicial se realizó fuera del sillón dental. Las características clínicas intraorales observadas fueron: boca simétrica con mal posición dentaria por falta de espacio, retraso en la erupción dentaria, microdoncia, micrognatia, línea media desviada, presencia de dentición mixta, arcadas de forma cuadrada, mucosas hidratadas, clase I molar derecha e izquierda y apiñamiento dental (Figura 3). Se solicitó radiografía lateral de cráneo y el análisis vertebral indicó un estadio CS3, los bordes inferiores de C2 y C3 mostraron concavidades y C4 superficies planas (Figura 4A). En la radiografía panorámica se observó agenesia de órgano dentario 42 (Figura 4B).

Se realizó un plan de tratamiento basado en la desensibilización como técnica principal de manejo de conducta para lograr la confianza de la paciente y, de esta manera, las citas posteriores fueran un poco más aceptables. Se explicó a los padres, en presencia de la paciente, la técnica de cepillado de Stillman modificada con apoyo parental, y se sugirió utilizar pasta dental con flúor (1.450 ppm) y enjuague bucal fluorado (240 ppm).

Con el manejo de conducta empleada (desensibilización, decir-mostrar-hacer y refuerzo positivo) se logró comenzar con el tratamiento dental en el sillón dental. Se realizó una profilaxis dental y aplicación tópica de barniz de flúor (Colgate® Duraphat®, 22.600 ppm). En las citas posteriores la cooperación de la paciente se categorizó en una escala Frankl 3 y se realizaron tratamientos preventivos aplicando selladores de fosetas y fisuras en órganos dentarios 16, 26, 36 y 46 (ClinproTM Sealant, 3M ESPE).

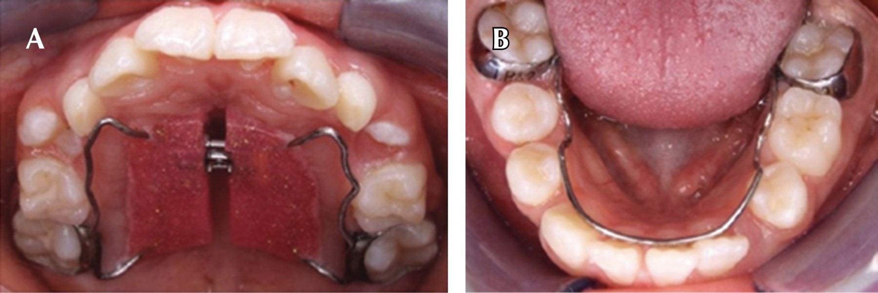
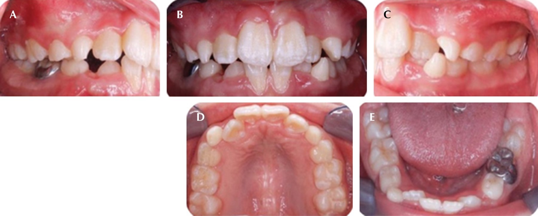
Posterior a la fase preventiva se propuso comenzar con la fase de ortopedia maxilar para mejorar la discrepancia de los maxilares, se tomaron modelos de estudio, fotografías intraorales y extraorales para realizar un diagnóstico. En la primera fase del tratamiento ortodóntico/ortopédico se colocó un botón de Nance en el maxilar superior y un arco lingual en el maxilar inferior para mantener espacio y evitar mesialización de órganos dentarios, ya que radiográficamente se observaron varios dientes con próxima exfoliación, además de estimular el posicionamiento adecuado de la lengua al deglutir. Se dieron las indicaciones de higiene bucal a los padres y a la paciente para valorar su cooperación con el uso de aparatología fija (Figura 5). En la segunda fase (cinco meses después) se realizó el cambio del botón de Nance por un tornillo de expansión tipo Hass debido a la falta de espacio en la arcada superior y por retrusión de órgano dentario 22 (Figura 6), se dieron indicaciones de activación del aparato, una vuelta por semana (0.25 mm) y se continuó con citas mensuales para control del tratamiento.

Después de 10 meses de tratamiento y buena cooperación de la paciente, tuvo una higiene bucal adecuada, en las arcadas dentales se observó una mejor conformación con un aliviamiento temporal del apiñamiento dental, relación molar clase I de Angle derecha e izquierda y relación canina indeterminable por la ausencia de caninos temporales (Figura 7). Se continuó con el uso de los aparatos por dos o tres meses más y se propuso realizar una revaloración del caso para continuar el tratamiento.



DISCUSIóN

El SCdL es un trastorno genético hereditario con transmisión dominante poco frecuente. Debido a la alta susceptibilidad de enfermedades bucodentales en niños con SCdL por el retraso en el desarrollo neuronal, es imperativa la aplicación de medidas preventivas, utilizando fluoruros, selladores de fosetas y fisuras para disminuir el riesgo de caries.5,6 Debido a las diferentes alteraciones de crecimiento en los maxilares y a los hábitos parafuncionales que pueden presentarse, es necesario realizar una intervención temprana con el uso de la ortopedia maxilar y proporcionar un crecimiento armonioso en ambas arcadas.7,12

El manejo odontológico y la prevención de los problemas bucodentales permite manejar y moldear el comportamiento del paciente, para brindar una atención odontológica de calidad, interviene un equipo multidisciplinario con trabajo interdisciplinario entre los distintos especialistas que dan seguimiento y vigilancia a la salud integral de los pacientes con el SCdL.8,12 El retraso de la erupción es uno de los signos más comunes en el SCdL, enfatizar en la importancia de la cronología de erupción puede estar relacionado con el retraso en el crecimiento, por lo que puede presentarse en diferentes edades.8

Inicialmente en este reporte de caso se trabajó en moldear la conducta con técnicas básicas de comportamiento de conducta (desensibilización, decir-mostrar-hacer y refuerzo positivo), gracias a ello se logró que la paciente pasara de ser una categoría Frankl 2 a Frankl 3, es un comportamiento levemente positivo, colabora y sigue las indicaciones, está temeroso pero mantiene la calma, por lo que se realizaron los procedimientos preventivos y posteriormente se propuso el uso de ortopedia maxilar para disminuir discrepancia maxilar.9

Para lograr un tratamiento integral y de calidad se deben incluir diversas especialidades médicas según la complejidad de cada paciente, el papel del odontopediatra es realizar intervenciones preventivas (higiene dental, aplicación de flúor y asesoramiento dietético) o intervenciones más complejas cuando el paciente así lo requiera, es por ello que el diagnóstico y tratamiento se deben de realizar de manera individualizada y temprana.10

Los odontopediatras deben desempeñar un papel fundamental en la prevención debido a que estos pacientes suelen presentar un alto riesgo a caries y hacer énfasis en las enfermedades bucodentales que pueden llegar a desarrollar. Para ello es necesario contar con los conocimientos adecuados para que, al momento de la atención odontológica, el diagnóstico y tratamiento se realicen de acuerdo con las necesidades de cada uno de ellos, la discapacidad intelectual que pueden llegar a presentar, el retraso en el crecimiento y desarrollo, así como los problemas de lenguaje que dificultan la relación médico-paciente.

Es importante considerar que la atención odontológica en el sillón dental puede llegar a ser difícil, es crucial realizar citas de desensibilización mediante técnicas de manejo de conducta como primera opción para lograr la rehabilitación bucal necesaria, esto puede limitar el uso de sedación y anestesia general y sólo usarlo para los casos más extremos en los que exista nula cooperación por parte del paciente o en casos en los que existan posibles riesgos para la salud.



CONCLUSIONES

Debido a las múltiples necesidades clínicas de los pacientes con SCdL es necesario el uso oportuno de la odontología preventiva para mantener la salud oral y prevenir las enfermedades bucodentales. Las alteraciones funcionales y estructurales que ocasiona el SCdL repercuten y generan diversas manifestaciones clínicas en la cavidad oral comprometiendo las funciones del sistema estomatognático y facilitando la aparición de otras enfermedades bucales. Por lo tanto, no debe de ser ignorada la atención odontológica oportuna en pacientes con trastornos genéticos relacionados a su salud oral por diversas anomalías de forma, número y posición dental.


REFERENCIAS (EN ESTE ARTÍCULO)

  1. Boyle MI, Jespersgaard C, Brondum-Nielsen K, Bisgaard AM, Tümer Z. Cornelia de Lange syndrome. Clin Genet. 2015; 88: 1-12.

  2. Cheung K, Upton J. Cornelia de Lange syndrome. J Hand Surg Am. 2015; 40: 2501-2503.

  3. Braddock SR, Lachman RS, Stoppenhagen CC, Carey JC, Ireland M, Moeschler JB et al. Radiological features in Brachmann-de Lange syndrome. Am J Med Genet. 1993; 47: 1006-1013.

  4. Jackson L, Kline AD, Barr MA, Koch S. de Lange syndrome: a clinical review of 310 individuals. Am J Med Genet. 1993; 47: 940-946.

  5. Oliver C, Arron K, Sloneem J, Hall S. Behavioural phenotype of Cornelia de Lange syndrome: case-control study. Br J Psychiatry. 2008; 193: 466-470.

  6. Sarogni P, Pallotta MM, Musio A. Cornelia de Lange syndrome: from molecular diagnosis to therapeutic approach. J Med Genet. 2020; 57: 289-295.

  7. Gupta D, Goyal S. Cornelia de-Lange syndrome. J Indian Soc Pedod Prev Dent. 2005; 23: 38-41.

  8. Grau Carbó J, López Jiménez J, Giménez Prats MJ, Sánchez Molins M. Cornelia de Lange syndrome: a case report. Med Oral Patol Oral Cir Bucal. 2007; 12: 445-448.

  9. Guadagni MG, Cetrullo N, Piana G. Cornelia de Lange syndrome: description of the orofacial features and case report. Eur J Paediatr Dent. 2008; 9 (4 Suppl): 9-13.

  10. Hei MY, Chen J, Wu LQ, Yu B, Tan YJ, Zhao LL. Cornelia de Lange syndrome: report of a case and the review of literature on 17 cases. Zhonghua Er Ke Za Zhi. 2012; 50: 606-611.

  11. Mehta DN, Bhatia R. Cornelia de-Lange syndrome: a case report. Int J Clin Pediatr Dent. 2013; 6: 115-118.

  12. Sandhu M, Nagpal M, Gulia S, Sachdev V. Dental management of Cornelia de Lange syndrome: a rare case report. J Clin Diagn Res. 2015; 9: 12-14.

  13. Doyle DJ, Hendrix JM, Garmon EH. American Society of Anesthesiologists Classification. In: StatPearls [Internet]. Treasure Island (FL): StatPearls Publishing; 2023. Available in: https://www.ncbi.nlm.nih.gov/books/NBK441940/

  14. Frankl S, Shiere FR, Fogels HR. Should the parent remain with the child in the dental operatory? J Dent Child. 1962; 29: 150-163.



AFILIACIONES

1 Especialista en Estomatología Pediátrica. Facultad de Estomatología de la Universidad Autónoma de San Luis Potosí. San Luis Potosí, México.

2 Cirujano Maxilofacial. Facultad de Estomatología de la Universidad Autónoma de San Luis Potosí. San Luis Potosí, México.

3 Doctor en Ingeniería y Ciencia de Materiales. Facultad de Estomatología de la Universidad Autónoma de San Luis Potosí. San Luis Potosí, México.



Conflicto de intereses: no hay conflicto de intereses de los autores.

Aspectos éticos: se cuenta con el consentimiento informado firmado por los padres (representantes de la menor) para uso de datos, fotografías e imágenes clínicas.

Financiamiento: no hay fuentes de financiamiento para el trabajo.



CORRESPONDENCIA

Marine Ortiz-Magdaleno. E-mail: marine.ortiz@uaslp.mx




Recibido: 25 de julio de 2023. Aceptado: 10 de agosto de 2023.

Figura 1
Figura 2
Figura 3
Figura 4
Figura 5
Figura 6
Figura 7
Tabla 1

2020     |     www.medigraphic.com

Mi perfil

C?MO CITAR (Vancouver)

Rev ADM. 2023;80

ARTíCULOS SIMILARES

CARGANDO ...