medigraphic.com
ENGLISH

Revista Mexicana de Cirugía Bucal y Maxilofacial

ISSN 2007-3178 (Impreso)
Asociación Mexicana de Cirugía Bucal y Maxilofacial, Colegio Mexicano de Cirugía Bucal y Maxilofacial, A.C.
  • Mostrar índice
  • Números disponibles
  • Información
    • Información general        
    • Directorio
  • Publicar
    • Instrucciones para autores        
    • Envío de artículos
  • medigraphic.com
    • Inicio
    • Índice de revistas            
    • Registro / Acceso
  • Mi perfil

2023, Número 1

<< Anterior Siguiente >>

Rev Mex Cir Bucal Maxilofac 2023; 19 (1)


Cementoblastoma. Informe de un caso

Ramos Nieto, José de Jesús1; Ramos Nieto, Marco Arturo2; Salgado Chavarría, Fabiola3; Vázquez Cárdenas, María Fernanda4; Mercado Cabrera, Galia Ximena5; Martínez Escobar, René Alejandro6; Robles Gil Villalobos, Carlos Eduardo7
Texto completo Cómo citar este artículo 10.35366/113149

DOI

DOI: 10.35366/113149
URL: https://dx.doi.org/10.35366/113149
Artículos similares

Idioma: Español
Referencias bibliográficas: 20
Paginas: 46-53
Archivo PDF: 517.08 Kb.


PALABRAS CLAVE

cementoblastoma, patología bucal, osteosarcoma, mandíbula, biopsia escisional.

RESUMEN

El cementoblastoma es un tumor odontogénico benigno, de origen mesenquimal, que generalmente cursa como un aumento de volumen de crecimiento lento y bien circunscrito. En algunas ocasiones, es identificado por serendipia imagenológica. Clínicamente puede presentarse como una entidad aislada, asociada a la raíz de un órgano dentario (cementoblastoma verdadero) o asociado a un patrón de herencia autosómico dominante, en coalescencia con algunas otras lesiones fibro-óseas (cementoblastoma gigantiforme familiar), el cual representa una entidad patológica aún más rara en frecuencia. Las características clínicas e imagenológicas del cementoblastoma pueden ser similares a las presentadas por lesiones malignas, por ello, es importante la toma de biopsia incisional para poder establecer un diagnóstico y llevar la terapéutica adecuada. Presentamos un caso clínico de cementoblastoma, resaltando sus características clínicas, imagenológicas, histológicas y el seguimiento del mismo, destacando el rol de comunicación entre el médico, el cirujano dentista y los especialistas en patología bucal y cirugía maxilofacial.



INTRODUCCIóN

Los cementoblastomas son neoplasias odontogénicas mesenquimales benignas. Derivan o se originan dependientes del cemento de la raíz de órganos dentarios vitales. También se les conoce como cementoblastoma verdadero u osteoblastoma benigno. Se presentan regularmente tanto en hombres como en mujeres menores de 25 años (existiendo excepciones), generalmente en la mandíbula en la región molar. Suelen crecer como aumentos de volumen de aspecto nodular, casi siempre asintomáticos, de desarrollo lento. En algunos casos son identificados por medio de estudios imagenológicos de rutina como un hallazgo por casualidad (serendipia). En algunos casos pueden causar sintomatología, especialmente en los órganos dentarios contiguos a la lesión, en los que por lo general causa rizólisis.1-3

Histológicamente, se describe la presencia de trabéculas y áreas sólidas o dispuestas en láminas, constituidas por cemento paucicelular, las cuales se encuentran adheridas a la raíz del diente. El cemento presenta prominentes líneas de inversión basófilas y bordes cementoblásticos, con diferentes grados de mineralización y afinidad tintorial (conocidas como líneas de crecimiento o de crecimiento concéntrico). Los cementoblastos inmersos en el cemento suelen ser amplios con cantidades moderadas de citoplasma, núcleos hipercromáticos y nucléolos conspicuos. El estroma intermedio consiste en tejido fibrovascular, que puede presentar infiltrado inflamatorio con diversas características. En la periferia de la lesión pueden encontrarse columnas de tejido no mineralizado, dispuestas de manera radial, orientadas perpendicularmente a la superficie de la lesión. El aspecto macroscópico de esta lesión suele ser variable en tamaño, pero siempre guarda la característica de íntima asociación con la raíz de un diente generalmente vital y una consistencia de dura a pétrea.4

En la literatura, existen reportes de caso que acentúan la necesidad de la toma de una biopsia incisional para evitar errores en el diagnóstico, ya que es posible confundir clínica e imagenológicamente al cementoblastoma con otras entidades, tal es el caso del osteosarcoma, con quien puede compartir ciertas características clínicas e incluso de grupos etarios; sin embargo, sus tratamientos y pronósticos son totalmente distintos.5

Cabe mencionar que hay una entidad distinta denominada cementoblastoma gigantiforme familiar, que si bien tienen características histopatológicas similares, es una entidad ósea autosómica dominante que causa expansión masiva del esqueleto facial, se presenta hasta en tres generaciones y en la que se busca establecer calidad de vida adecuada en los pacientes que la poseen (preservando o restaurando el sitio de presentación), ya que muestran lesiones masivas o de gran tamaño.6

Debido a las similitudes entre los cementoblastomas (propios de la región maxilofacial) y los osteoblastomas (que se presentan en el esqueleto periférico o axial) que han descrito diversos autores, se han realizado pruebas de inmunohistoquímica para FOS (expresión positiva en osteoblastomas) y reordenamiento por FISH (c-Fos) en cementoblastomas, resultando en una positividad de 71%, lo que sugiere que ambas entidades podrían representar partes del espectro de la misma enfermedad.7

Las características clínicas, llámense de crecimiento, localización y sintomatología; imagenológicas, histológicas y de manejo o terapéutica, suelen ser similares en el abanico de casos clínicos reportados.8-11

Sin embargo, podemos encontrar, en menor medida, casos en los que el cementoblastoma se presenta con ciertas particularidades: en diferentes grupos etarios, asociado a la dentición decidua o en pacientes de la tercera edad; con involucro a estructuras anatómicas continuas, como es el caso del seno maxilar; entidades consideradas de un tamaño muy grande o "gigante", sin ser precisamente asociado a un trastorno genético autosómico dominante; concomitante a dientes temporales, involucro a seno y recidivante.12-17

El manejo quirúrgico de estas entidades habitualmente es conservador, aunque depende de variables como el compromiso y la extensión de la lesión. En casos de lesiones de menor tamaño, suele ser suficiente con la remoción de la misma, incluso se encuentran reportes de casos en los cuales se colocan materiales de relleno con fines de regeneración desde el momento de la exéresis.18

Existen publicaciones de análisis de serie de casos en los que se reporta una recurrencia de solamente 11.8%, además de algunos estudios aislados donde se menciona una reaparición de 6-8%, siendo un factor asociado a dicha característica la perforación cortical y lo que sugiere la extracción de los órganos dentarios afectados como método de prevención, aunque se necesita mayor información sobre este tema.19,20



PRESENTACIóN DEL CASO

Se trata de un hombre de 19 años (al momento de la primera consulta), referido por médico especialista de manera virtual, quien envía estudios de imagen: ortopantomografía, tomografía computarizada volumétrica, fase simple y reconstrucción tridimensional, en las cuales se identifica una lesión mixta en la mandíbula del lado derecho, de aproximadamente 3.5 centímetros en su mayor eje, bien delimitada, asociada a la raíz del órgano dentario 46 y que causa rizólisis del órgano dentario 45; dicha lesión presenta un halo alrededor de la misma, presumiéndose de una delimitación pseudocapsular (Figuras 1, 2, 3 y 4).

Se realiza una consulta presencial, el paciente refiere haber tenido tratamiento de ortodoncia, el cual tenía contratiempos a causa de que la banda colocada en el órgano dentario 46 era desplazada de manera constante debido al aumento de volumen, además de haber sido diagnosticado como un proceso infeccioso, motivo por el cual se le indicó el tratamiento endodóntico. Cabe mencionar que se revisó la ortopantomografía previa al tratamiento ortodóntico, en la cual no hay evidencia de la entidad patológica actual.

A la exploración intraoral se identifica en la región antes descrita un proceso que cursa con aumento de volumen derecho, de aspecto oval, de aproximadamente 3 cm, con mucosa de revestimiento de color similar al de la mucosa adyacente con algunas áreas de aspecto isquémico hacia la región vestibular, consistencia dura y de crecimiento lento (meses de evolución sin posibilidad de especificación, pero aproximadamente 12 meses), con sintomatología dolosa a la palpación, debido a sobreinfección asociada a tratamiento de conductos deficiente e inconcluso. Motivo por el cual se decide realizar una biopsia incisional, obteniendo fragmentos de tejido duro tanto de la región vestibular como lingual (Figura 5).

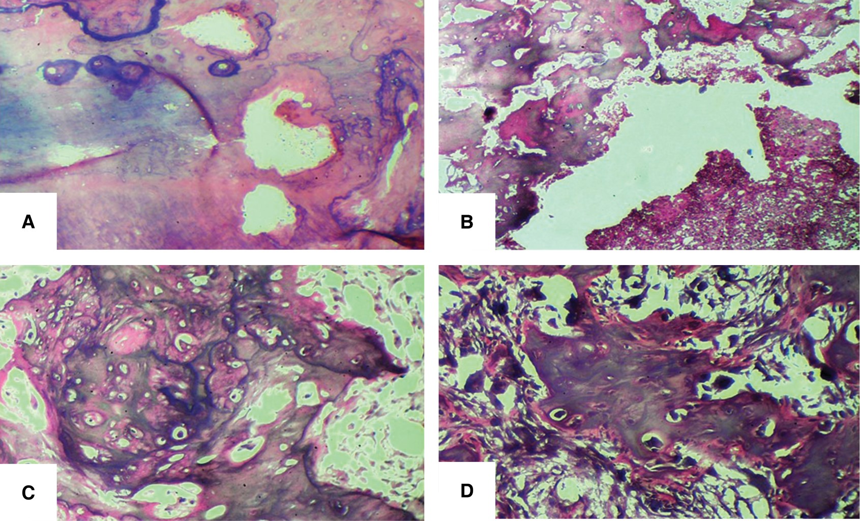
Microscópicamente se observan múltiples trabéculas de tejido mineralizado con diferentes afinidades tintoriales, concordante con cemento con diversos grados de maduración, dispuesto de manera sólida con franjas basófilas, sugerentes de crecimiento concéntrico (líneas de crecimiento concéntrico), en el cual se identifican células correspondientes a cementocitos y cementoblastos. Dicho tejido coalescente con tejido óseo lamelar maduro y vital, en el cual se aprecian también áreas de tejido conjuntivo medular (Figura 6).

Una vez obtenido el diagnóstico histopatológico, se realizó biopsia escisional y colocación de injerto óseo, el cual presentó dehiscencia e infección, por lo que se decidió el retiro del mismo. El paciente evolucionó satisfactoriamente (16 meses) sin presentar alteración o complicación agregada; actualmente, se encuentra en protocolo para regeneración ósea guiada de la región (Figura 7).

Producto de la resección se obtiene espécimen macroscópico fijado en formol al 10%, el cual está constituido por tres fragmentos, uno de mayor tamaño, de aproximadamente 3.5 centímetros en su mayor eje, de forma oval u aspecto esférico, el cual rodea y contiene al órgano dentario 46, de color café, superficie irregular y consistencia dura; asimismo, se identifica un órgano dentario con inserciones y raíz irregular (proceso de rizólisis) consistente con órgano dentario 45; así como un fragmento de tejido blando. El tejido de mayor tamaño se descalcifica y se realizan cortes longitudinales de manera vestíbulo lingual, observándose la íntima asociación a las raíces del diente 46, mostrando una superficie de corte sólida, heterogénea, que exhibe áreas de crecimiento concéntrico y pequeños focos de aspecto hemorrágico (Figura 8).

Microscópicamente se confirma la presencia de abundante tejido mineralizado dispuesto en trabéculas irregulares, con afinidad tintorial basófila, correspondiente a cemento paucicelular, el cual rodea la raíz del órgano dentario y se identifica íntimamente asociado y dependiente de ella. También se identifican áreas de tejido conectivo que alojan infiltrado inflamatorio crónico mixto, concordante con proceso infeccioso crónico (Figura 9).



DISCUSIóN

Los cementoblastomas son lesiones que generalmente crecen de manera lenta, en la mandíbula, en la región molar, en concordancia con el caso presentado. Del mismo modo, este caso se desarrolló en un varón menor de 25 años, que aparentemente cursaba de manera inicial asintomático, tornándose sintomático una vez que se presentó una sobreinfección, así como rizólisis del órgano dentario adyacente.1-3

Macroscópicamente se evidenció crecimiento íntimamente asociado a la raíz de un primer molar inferior derecho (por medio de la superficie de corte); mientras que el estudio histopatológico evidenció la presencia de trabéculas y áreas sólidas o dispuestas en láminas, constituidas por cemento paucicelular, las cuales se encuentran adheridas a la raíz del diente, así como líneas basófilas con diferentes grados de mineralización y afinidad tintorial (conocidas como líneas de crecimiento concéntrico), al igual que las poblaciones celulares constituidas por cementoblastos y cementocitos inmersos en el cemento; un estroma intermedio consiste en tejido fibrovascular, coalescencia con áreas de tejido óseo con espacios medulares y presencia de infiltrado inflamatorio crónico mixto, a razón de un proceso inflamatorio infeccioso.4

Nuestro caso apoya la necesidad de la toma de una biopsia incisional, puesto que, de manera inicial, había sido diagnosticado por un clínico como un osteosarcoma, sin mayor evidencia e información que la proporcionada por la ortopantomografía.5

Dadas las características clínicas, etarias, imagenológicas y morfológicas, el caso pudo ser abordado de una manera conservadora.13-17

Es importante mencionar que, aunque reportamos un seguimiento superior al del primer año, es ideal mantener contacto con el paciente a fin de monitorear un poco probable episodio de recidiva de la lesión.19,20



CONCLUSIONES

El cementoblastoma es una entidad patológica benigna que debe ser considerada un diagnóstico clínico e imagenológico diferencial, en pacientes de la segunda y tercera década de la vida.

Es importante destacar el rol de una biopsia incisional para poder llevar a cabo el tratamiento quirúrgico, el cual es totalmente dependiente de un correcto diagnóstico.

El pronóstico de estas lesiones es favorable, por lo que es importante realizar tratamientos conservadores, especialmente fundamentados en el diagnóstico definitivo basado en los hallazgos encontrados en la biopsia escisional (o resección).



AGRADECIMIENTOS

Al paciente y la hermana del mismo, por la confianza para llevar a cabo el abordaje de manera inicial y el diagnóstico definitivo luego de la remoción de la lesión, así como la presentación de este caso clínico.

A los colaboradores, desde los encargados de la cuestión clínica, a los alumnos de verano científico y los referidores.


REFERENCIAS (EN ESTE ARTÍCULO)

  1. Neville BW, Damm DD, Allen CM, Bouquot J. Oral and maxillofacial pathology. 4th ed. Philadelphia, WB: Saunders; 2015.

  2. El-Naggar AK, Chan JKC, Grandis JR, Takata T, Slootweg P eds. WHO classification of head and neck tumours. 4th ed. Lyon: IARC Press; 2017.

  3. Pernick N, Pathology outlines.com Inc., 2020, [último acceso el 6 de Agosto de 2023] Available in: https://www.pathologyoutlines.com/topic/mandiblemaxillacementoblastoma.html

  4. Huber AR, Folk GS. Cementoblastoma. Head Neck Pathol. 2009; 3 (2): 133-135. doi: 10.1007/s12105-008-0099-5.

  5. Fang Z, Jin S, Zhang C, Wang L, He Y. Misdiagnosis of osteosarcoma as cementoblastoma from an atypical mandibular swelling: A case report. Oncol Lett. 2016; 11 (6): 3761-3765.

  6. Prasad C, Kumar KA, Balaji J, Arulmozhi M, Jayanandhini S, Priyadharshini R. A family of familial gigantiform cementoma: clinical study. J Maxillofac Oral Surg. 2022; 21 (1): 44-50. doi: 10.1007/s12663-021-01515-2.

  7. Lam SW, Cleven AHG, Briaire-de Bruijn IH, Schreuder WH, Kroon HM, Savci-Heijink DC et al. FOS Rearrangement and expression in cementoblastoma. Am J Surg Pathol. 2021; 45 (5): 690-693. doi: 10.1097/PAS.0000000000001695.

  8. Hiremath MC, Srinath SK, Srinath S, Ashwathy T. Benign cementoblastoma associated with primary mandibular second molar: A rare case report. J Oral Maxillofac Pathol. 2020; 24 (Suppl 1): S11-S14. doi: 10.4103/jomfp.JOMFP_2_20.

  9. Van Hoe S, Shaheen E, de Faria Vasconcelos K, Schoenaers J, Politis C, Jacobs R. Contribution of three-dimensional images in the planning of cementoblastoma resection. BJR Case Rep. 2021; 7 (3): 20200156. doi: 10.1259/bjrcr.20200156.

  10. Bilodeau EA, Seethala RR. Update on odontogenic tumors: proceedings of the North American head and neck pathology society. Head Neck Pathol. 2019; 13 (3): 457-465. doi: 10.1007/s12105-019-01013-5.

  11. Subramani V, Narasimhan M, Ramalingam S, Anandan S, Ranganathan S. Revisiting cementoblastoma with a rare case presentation. Case Rep Pathol. 2017; 2017: 8248691. doi: 10.1155/2017/8248691.

  12. Bravo López IM. Cementoblastoma maxilar en adulto mayor. Caso clínico [Tesis de titulación]. México: Universidad Nacional Autónoma de México; 2018.

  13. Nuvvula S, Manepalli S, Mohapatra A, Mallineni SK. Cementoblastoma relating to right mandibular second primary molar. Case Rep Dent. 2016; 2016: 2319890. doi: 10.1155/2016/2319890.

  14. Javed A, Hussain Shah SM. Giant cementoblastoma of left maxilla involving a deciduous molar. J Ayub Med Coll Abbottabad. 2017; 29 (1): 145-146.

  15. Dadhich AS, Nilesh K. Cementoblastoma of posterior maxilla involving the maxillary sinus. Ann Maxillofac Surg. 2015; 5 (1): 127-129. doi: 10.4103/2231-0746.161135.

  16. Suhasini GP, Wadhwan V, Garg N. Cementoblastoma of a primary molar: A rare pediatric occurrence. J Oral Maxillofac Pathol. 2020; 24 (3): 548-553. doi: 10.4103/jomfp.JOMFP_307_19.

  17. Yoon YA, Kwon YE, Choi SY, Choi KS, An SY, An CH. Recurrent benign cementoblastoma: A case report and literature review. Imaging Sci Dent. 2021; 51 (4): 447-454. doi: 10.5624/isd.20210170.

  18. Feli M, Taheri A, Raeesi P, Mashhadi Abbas F, Alam M. Conservative management of periapical cementoblastoma: a case report. Iran Endod J. 2022; 17 (3): 151-155. doi: 10.22037/iej.v17i3.37470.

  19. Chrcanovic BR, Gomez RS. Cementoblastoma: An updated analysis of 258 cases reported in the literature. J Craniomaxillofac Surg. 2017; 45 (10): 1759-1766. doi: 10.1016/j.jcms.2017.08.002.

  20. Sánchez MAM. Cementoblastoma: metaanálisis y diagnóstico diferencial. Reporte de un caso. México: Universidad Nacional Autónoma de México; 2015.



AFILIACIONES

1 Práctica privada en Patología y Medicina Bucal. Especialista en Patología Bucal. Profesor en la Universidad Nacional Autónoma de México (UNAM), Facultad de Odontología (FO) y División de Estudios de Postgrado e Investigación (DEPeI). México. ORCID: 0000-0002-9599-6538.

2 Médico cirujano. Adscrito a hospital privado en la Ciudad de México. ORCID: 0000-0003-4810-6472.

3 Especialista en Cirugía Oral y Maxilofacial. Adscrita en la Clínica de Cirugía Oral y Maxilofacial de la DEPeI de la FO, UNAM. México. ORCID: 0000-0002-8507-8346.

4 Odontóloga general. Práctica privada en Consultorios de Especialidades Odontológicas en la Ciudad de México y área metropolitana. México. ORCID: 0009-0007-7423-4511.

5 Estancia de Verano Científico. Alumna de licenciatura en la FO, UNAM. México. ORCID: 0009-0007-3788-4240.

6 Estancia de Verano Científico. Alumno de licenciatura en la FO, UNAM. ORCID: 0009-0000-3654-3435.

7 Estancia de Verano Científico. Alumno de licenciatura en la FO, UNAM. ORCID: 0009-0002-9255-6972.



Conflicto de intereses: no existe ningún conflicto de intereses.



CORRESPONDENCIA

Esp. José de Jesús Ramos Nieto. E-mail: josedejesusramos@fo.odonto.unam.mx, venison.13@hotmail.com




Recibido: Agosto 2023. Aceptado: Agosto 2023.

Figura 1
Figura 2
Figura 3
Figura 4
Figura 5
Figura 6
Figura 7
Figura 8
Figura 9

2020     |     www.medigraphic.com

Mi perfil

C?MO CITAR (Vancouver)

Rev Mex Cir Bucal Maxilofac. 2023;19

ARTíCULOS SIMILARES

CARGANDO ...