medigraphic.com
ENGLISH

Revista Mexicana de Pediatría

ISSN 0035-0052 (Impreso)
  • Mostrar índice
  • Números disponibles
  • Información
    • Información general        
    • Directorio
  • Publicar
    • Instrucciones para autores        
    • Envío de artículos
  • medigraphic.com
    • Inicio
    • Índice de revistas            
    • Registro / Acceso
  • Mi perfil

2023, Número 2

<< Anterior Siguiente >>

Rev Mex Pediatr 2023; 90 (2)


Diagnóstico de glándula tiroidea ectópica por gammagrafía

Montes-Osorio, Mario Germán1; Carrizales-Medina, Lilyana2; Vázquez-Monroy, Miguel Ángel3; Estrada-Durán, Dora María4
Texto completo Cómo citar este artículo 10.35366/113270

DOI

DOI: 10.35366/113270
URL: https://dx.doi.org/10.35366/113270
Artículos similares

Idioma: Español
Referencias bibliográficas: 15
Paginas: 76-79
Archivo PDF: 221.83 Kb.


PALABRAS CLAVE

adolescente, gammagrafía, hipotiroidismo, tiroides ectópica.

RESUMEN

Introducción: la glándula tiroidea ectópica es la presencia de tejido tiroideo fuera de la ubicación habitual de la glándula. La gammagrafía con tecnecio 99 metaestable es la mejor herramienta diagnóstica y tiene la capacidad de detectar sitios anormales de ubicación de tejido tiroideo. Presentación de caso: femenino de 13 años, con diagnóstico de quiste tirogloso e hipotiroidismo. En ultrasonografía se determinó la presencia de un nódulo. Se realizó gammagrama tiroideo en el que no se demostró captación del radiofármaco en el sitio anatómico normal de la glándula tiroidea, sin embargo, se identificó la glándula tiroides en localización ectópica a nivel sublingual. Conclusiones: la gammagrafía es parte fundamental para el diagnóstico de una glándula tiroides ectópica.



INTRODUCCIóN

La glándula tiroidea ectópica es una anormalidad del desarrollo que involucra un defecto o aberración de la embriogénesis de la tiroides, durante su paso desde el piso del intestino anterior primitivo hasta su posición usual en la región pretraqueal. Se define como la presencia de tejido tiroideo fuera de la ubicación habitual de la glándula tiroides.1,2

La localización de tejidos ectópicos puede ser como quiste del conducto tirogloso, tiroides lingual, nódulo parasitario, tejido tiroideo dentro de un ganglio linfático y estroma ovárico.2 Hasta en 70% de los casos, la localización ectópica es el único tejido tiroideo que se encuentra.3,4 Cuando se presenta como una masa sublingual, en línea media, se deben considerar diagnósticos diferenciales, como el quiste tirogloso, quistes benignos de origen salival, quistes branquiales y enfermedad metastásica.5

Para el diagnóstico de una glándula tiroidea ectópica se requiere de estudios de imagen como el ultrasonido y la gammagrafía, que además de determinar su extensión y su localización,6 también ayudan a planear el tratamiento quirúrgico por la presencia de tejido ortotópico. La gammagrafía se recomienda como estudio complementario en casos de quiste tirogloso, ya que tiene mejor sensibilidad (90%) que el ultrasonido (21%).7,8

La gammagrafía con tecnecio 99 metaestable (99mTcO4), en su forma química de pertecnetato, es una herramienta diagnóstica capaz de identificar sitios adicionales de tejido tiroideo, debido a su alta afinidad a este tejido que conduce a la captación del radioisótopo para detectar ectopias y tejido ortotópico.1,9-11

El objetivo de este trabajo es demostrar la utilidad de la gammagrafía con el radiofármaco 99mTcO4 para el diagnóstico de una glándula tiroidea ectópica.



PRESENTACIóN DEL CASO

Paciente femenino de 13 años, quien fue referida por Hospital General de Zona (HGZ) al Servicio de Endocrinología Pediátrica de un hospital de tercer nivel de atención (Hospital General Centro Médico Nacional La Raza, IMSS) con el diagnóstico de quiste tirogloso e hipotiroidismo.

A la edad de cuatro años, su tutor observó una masa cervical, motivo por el cual fue valorada en el HGZ en donde se le diagnosticó quiste y se indicó manejo conservador. En los últimos dos años existió incremento del tamaño de la masa cervical y dolor leve a su palpación, sin otra sintomatología, como fatiga o cansancio. En el HGZ, a la exploración física de la paciente se encontró en un estadio de Tanner 2; mientras que a nivel cervical se encontró masa bien delimitada, móvil, no dolorosa en línea media superior, sin cambios en la piel, pero no se palpó la glándula tiroides. Se solicitó ultrasonido cervical, identificando glándula tiroidea de localización central de características normales, sin patología ecográfica ni imágenes sólidas o quísticas, reportando nódulo de origen a determinar.

En el servicio de endocrinología pediátrica, por los estudios de laboratorio, se consideró que la paciente cursaba con hipotiroidismo (TSH elevada y el resto de las hormonas normales): hormona estimulante de tiroides (TSH) en 10.28 µUI/mL (normal 0.51 a 4.3 µUI/mL), triyodotironina total 1.31 ng/mL (normal 0.9 a 2.1 ng/mL), triyodotironina libre 5.58 pg/mL (normal 2.5 a 5.0 pg/mL), tiroxina total 7.96 μg/dL (normal 5.9 a 13.2 μg/dL), tiroxina libre 1.17 ng/dL (normal 0.98 a 1.63 ng/dL) y anticuerpo antitiroglobulina 7.86 UI/mL (normal <4.0 UI/mL).

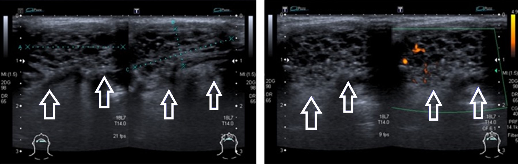
Se indicó un nuevo ultrasonido en el que se localizó una lesión en línea media cervical, sublingual, de morfología ovalada, de bordes bien definidos, con medidas de 21 × 9 × 22 mm, el volumen aproximado de 2.2 cm3; heterogénea a expensas de múltiples imágenes hipoecogénicas redondeadas, de bordes bien definidos. A la aplicación de Doppler color se presentó flujo intralesional, concluyendo: tiroides ectópica sublingual, con presencia de múltiples quistes coloides (Figura 1).

Se realizó por el servicio de medicina nuclear un gammagrama tiroideo y por vía intravenosa se administraron siete milicuries (mCi) de 99mTcO4-. Como se muestra en la Figura 2, el pertecnetato se concentró en la línea media del cuello, en una estructura ovoide en la parte superior en relación con tejido tiroideo ectópico funcionante; en el sitio de proyección anatómica de la glándula tiroides no se observó concentración del radioisótopo, concluyendo que se trataba de una glándula tiroides sublingual. Con estos datos el diagnóstico fue de tiroides ectópica.

Posteriormente, 27 días después se realizó cirugía, ejecutando la resección de la tiroides ectópica. Egresó a los cinco días del postquirúrgico. Se inició terapia sustitutiva con hormonas tiroideas, a base de levotiroxina 65 µg/24 horas.

El reporte histopatológico: lesión de región sublingual; tejido tiroideo ectópico con hiperplasia folicular y cambios degenerativos quísticos; negativo a cambios neoplásicos.



DISCUSIóN

La alteración del desarrollo embrionario tiroideo es, con frecuencia, responsable de hipotiroidismo congénito.12 Aproximadamente 90% de las glándulas tiroideas ectópicas se presentan en la base de la lengua, como tiroides linguales; lo que representa una ausencia total de migración tiroidea. En 75% de los casos es el único tejido tiroideo existente y la única fuente de hormonas tiroideas, lo que lleva a que 70% desarrollen hipotiroidismo (pero también hay casos de hipertiroidismo).4 En la paciente que presentamos, la localización de la ectopia coincidió con el mayor porcentaje de localización (sublingual), acompañado de hipotiroidismo.

Otra presentación clínica frecuente es una tumoración en cuello e hipotiroidismo, así como sintomatología obstructiva, descripción que se encuentra relacionada al tamaño del tejido tiroideo ectópico, con una edad promedio de diagnóstico de 18 años. Sin embargo, generalmente estos pacientes se encuentran asintomáticos.1,5 En el caso de esta publicación, la paciente cursó con hipotiroidismo y con tumoración en cuello, lo cual es similar a lo reportado en la literatura.

Otros datos clínicos que pueden presentar estos pacientes son: tos, dolor, disfagia, disfonía, disnea y hemorragia. También se han reportado apnea del sueño y obstrucción respiratoria. Existen pacientes en los que se identifica una masa firme en la base de la lengua que puede incrementar su tamaño secundario a la estimulación por la TSH, ante la insuficiente producción de hormonas tiroideas, lo que incrementa la sintomatología. La tiroides sublingual o pretraqueal se presenta como una masa en cuello anterior, a la altura o por debajo de hioides; la cual es indolora pero con incremento gradual de tamaño y que puede moverse al tragar.1

La visualización de una tiroides ectópica en el examen de ultrasonido puede ser un desafío para los ecografistas inexpertos.1,13 En nuestra paciente, el primer ultrasonido de cuello no sugirió alteraciones morfológicas; no obstante, un segundo estudio reportó una lesión en línea media cervical.

Se decidió realizar la gammagrafía con 99mTcO4-, ya que es el isótopo radioactivo de elección para gammagrafía tiroidea debido a que la radiación es menor, su vida media es de 6 horas y no interfiere en la fisiología tiroidea. Esto es diferente al usar yodo (I-131), que está indicado para el diagnóstico y tratamiento de hipertiroidismo, pues tiene una vida media de ocho días y puede provocar destrucción de las células de la glándula tiroidea.14,15


REFERENCIAS (EN ESTE ARTÍCULO)

  1. Jain S, Jain S, Singh D. Thyroid scintigraphy and hybrid SPECT/CT in a rare case of dual ectopic thyroid. J Nucl Med Technol. 2022: jnmt.122.264508. doi: 10.2967/jnmt.122.264508.

  2. Barbieri A, Prasad ML, Gilani SM. Thyroid tissue outside the thyroid gland: Differential diagnosis and associated diagnostic challenges. Ann Diagn Pathol. 2020; 48: 151584.

  3. Manohar K, Bhattacharya A, Kashyap R, Kamaleshwaran KK, Mittal BR. Concurrent sublingual thyroid and thyroglossal cyst with functioning thyroid tissue in the absence of an orthotopic thyroid gland. Jpn J Radiol. 2010; 28(7): 552-554.

  4. Sturniolo G, Vermiglio F, Moleti M. Thyroid cancer in lingual thyroid and thyroglossal duct cyst. Endocrinol Diabetes Nutr. 2017; 64(1): 40-43.

  5. Vukkadala N, Desai K, Megwalu U. Dual ectopic thyroid glands. Endocr Pract. 2019; 25(12).

  6. Lukas J, Drábek J, Lukas D, Zemanová I, Rulseh A. Ectopic thyroid with benign and malignant findings: A case series. Int J Surg Case Rep. 2020; 66: 33-38.

  7. Jain TK, Meena RS, Bhatia A, Sood A, Bhattacharya A, Mittal BR. Dual thyroid ectopia-role of thyroid scintigraphy and neck ultrasonography. Indian J Nucl Med. 2015; 30(4): 338-340.

  8. Sood A, Kumar R. The ectopic thyroid gland and the role of nuclear medicine techniques in its diagnosis and management. Hell J Nucl Med. 2008; 11(3): 168-171.

  9. Giovanella L, Avram AM, Ovcaricek PP, Clerc J. Thyroid functional and molecular imaging. Presse Med. 2022; 51(2): 104116.

  10. Gandhi A, Wong KK, Gross MD, Avram AM. Lingual thyroid ectopia: diagnostic SPECT/CT imaging and radioactive iodine treatment. Thyroid. 2016; 26(4): 573-579.

  11. Noussios G, Anagnostis P, Goulis DG, Lappas D, Natsis K. Ectopic thyroid tissue: anatomical, clinical, and surgical implications of a rare entity. Eur J Endocrinol. 2011; 165(3): 375-382.

  12. Brent GA, Davies TF, Larsen PR. Hipotiroidismo y tiroiditis. En: Melmed S. Williams. Tratado de endocrinología. 13a ed. España: Elsevier; 2017.

  13. Szczepanek-Parulska E, Hernik A, Ruchala M. Thyroid ectopy - diagnostic and therapeutic challenges before and in the era of TSH neonatal screening. Endokrynol Pol. 2017; 68(6): 708-721.

  14. Malek H, Hedayati R. A rare case of coexistence ectopic lingual thyroid and thyroglossal cyst with Tc 99 m thyroid scintigraphy. Indian J Otolaryngol Head Neck Surg. 2022; 74(Suppl 3): 6108-6111.

  15. Tritou I, Vakaki M, Sfakiotaki R, Kalaitzaki K, Raissaki M. Pediatric thyroid ultrasound: a radiologist's checklist. Pediatr Radiol. 2020; 50(4): 563-574.



AFILIACIONES

1 Especialista en Medicina Nuclear. ORCID: 0000-0001-7263-3630

2 Especialista en Medicina Nuclear. ORCID: 0000-0002-0116-7975

3 Residente de Medicina Familiar. ORCID: 0000-0003-1182-0576

4 Especialista en Medicina Familiar. ORCID: 0000-0002-3987-8908, Instituto Mexicano del Seguro Social, México.



Conflicto de intereses: los autores declaran que no tienen.



CORRESPONDENCIA

Dora María Estrada-Durán, E-mail: dmed1277@hotmail.com




Recibido: 04/09/2022. Aceptado: 11/05/2023

Figura 1
Figura 2

2020     |     www.medigraphic.com

Mi perfil

C?MO CITAR (Vancouver)

Rev Mex Pediatr. 2023;90

ARTíCULOS SIMILARES

CARGANDO ...