medigraphic.com
ENGLISH

Latin American Journal of Oral and Maxillofacial Surgery

ISSN 2992-7757 (Digital)
Órgano de difusión de la Asociación Latinoamericana de Cirugía y Traumatología Bucomaxilofacial (ALACIBU)
  • Mostrar índice
  • Números disponibles
  • Información
    • Información general        
    • Directorio
  • Publicar
    • Instrucciones para autores        
  • medigraphic.com
    • Inicio
    • Índice de revistas            
    • Registro / Acceso
  • Mi perfil

2023, Número 2

<< Anterior Siguiente >>

Lat Am J Oral Maxillofac Surg 2023; 3 (2)


Una alternativa a los implantes dentarios: manejo quirúrgico y endodóntico con planificación digital y guía de fresado de autotrasplantes de terceros molares. Reporte de un caso

Llanos, Silvio1; García, Henry2; Manresa, Carlos3; Bonilla, Carolina4; Tebres, Julio5; Requejo, Stefanía6; Baasch, Alessandra7
Texto completo Cómo citar este artículo 10.35366/113476

DOI

DOI: 10.35366/113476
URL: https://dx.doi.org/10.35366/113476
Artículos similares

Idioma: Español
Referencias bibliográficas: 11
Paginas: 80-86
Archivo PDF: 322.18 Kb.


PALABRAS CLAVE

autotrasplante dentario, planificación digital, modelo creación rápida de prototipos asistida por computadora, ligamento periodontal.

RESUMEN

Introducción: el autotrasplante dentario es el movimiento quirúrgico de un diente de un alvéolo a otro, a partir de un mismo individuo. El auge de la planificación digital ha disminuido los fracasos y el tiempo quirúrgico en este tratamiento. Objetivo: evaluar la tasa de éxito del autotrasplante dentario con planificación digital, tomando en cuenta los parámetros clínicos y radiográficos del diente trasplantado en una paciente. Reporte de caso: la planificación digital se utilizó para la creación de un modelo rápido prototipado del diente donador y una férula quirúrgica de fresado para la conformación del lecho receptor. El manejo quirúrgico fue realizado en un paciente femenino donde se autotrasplantó el órgano dentario 1.8 ubicado por isomorfismo anatómico en el alvéolo postextracción del OD 3.7. El manejo endodóntico se realizó a las dos semanas hasta su obturación al mes de postoperatorio. Varios controles radiográficos fueron realizados para evaluar el diente a las dos semanas, al primer mes, a los tres meses y a los seis meses. Para determinar su tasa de éxito, se tomó en cuenta, el aspecto clínico de la encía, la movilidad y la profundidad del sondaje, en cuanto a los controles radiográficos, se evaluó la ausencia de patología periapical, ausencia de rizalisis y ausencia de anquilosis del autotrasplante. Conclusiones: el éxito del tratamiento influye en la viabilidad de las fibras del ligamento periodontal, lo cual va a permitir una cicatrización ósea adecuada, una formación de ligamento periodontal y evitar las resorciones radiculares; sin embargo, es un método que requiere destreza y un manejo endodóntico adecuado.



INTRODUCCIóN

El autotrasplante dentario es definido como el movimiento quirúrgico dentario de un alvéolo a otro, en un mismo paciente, preparando quirúrgicamente un reborde edéntulo o en un alvéolo postextracción.1 Siendo éste, un tratamiento indicado para reemplazar dientes perdidos o con un mal pronóstico.

El autotrasplante incluye tres procedimientos diferentes: trasplante, reposicionamiento quirúrgico y reimplantación intencional.

En el año 1728, el médico francés Pierre Fauchard describió el movimiento quirúrgico intencional de un diente para reimplantarlo en otro lado del mismo paciente.1 En 1950, tomó auge este tipo de tratamiento, por la gran demanda de tratamientos protésicos, aunque la falta de conocimiento del tema provocaba una alta tasa de complicaciones, por lo que quedo casi obsoleto con el advenimiento de los implantes dentales.

Muchos autores concordaron en que la condición general y local del paciente es de gran importancia; no obstante, es un tratamiento que tiene sus indicaciones específicas en cada individuo, en cuanto a la preservación del ligamento periodontal es un factor crítico de éxito en este tratamiento.

Con el avance de la tecnología, la planificación digital ha tomado ventaja y muchas cirugías han podido planificarse mediante tomografías computarizadas; en el caso del autotrasplante dental, se han realizado planificaciones más precisas, con mediciones en tres dimensiones que permiten disminuir tiempo quirúrgico y tener resultados más predecibles.2 Lee y colaboradores describieron el uso de los modelos prototipados rápidos diseñados en computadora "Computer Aided Rapid Prototyping (CARP)", en el autotrasplante y la fabricación de guías quirúrgicas para el fresado del lecho receptor, tal como se hace en la colocación de implantes.3

Es importante considerar el estadio de formación radicular del diente a autotrasplantar, ya que de ello depende el manejo endodóntico.

Los controles radiográficos posteriores al tratamiento, determinan el éxito del mismo. Schwetha y colegas4 recomiendan realizar radiografías periapicales: preoperatoria, postoperatoria inmediata, radiografía periapical inicial del tratamiento endodóntico, periapical final con su tratamiento de conducto, controles postendodónticos con una radiografía periapical al mes, a los tres meses, a los seis meses y al año.5

Slagsvold y su equipo, en su artículo publicado en 1979 en la Universidad de Oslo, establecieron un protocolo para la determinar la tasa de éxito en el autotrasplante, mediante controles clínicos y radiográficos,6 los cuales fueron utilizados para la evaluación del caso.



REPORTE DE CASO

Se trata de paciente femenino de 19 años de edad, sin antecedentes médicos conocidos, quien acudió a nuestro servicio para valoración y tratamiento por presentar pérdida de sustancia calcificada a nivel coronal de OD 3.7 y 3.8. Al momento de la evaluación clínica del paciente se observó la presencia de los OD 1.8 y 2.8 y resto radicular de OD 2.5, 3.7, 3.8 y 4.8 (Figura 1A y B).

Se le explicó al paciente el protocolo de autotrasplante a realizar y la autorización del tratamiento por medio de un consentimiento informado.

Se presentó el protocolo quirúrgico endodóntico con planificación digital, mediante un modelo CARP y una férula de fresado, donde se realizó autotrasplante del órgano dentario 1.8 en el alvéolo postextracción del 3.8, a partir de imágenes del tomógrafo de haz cónico Trophy Trophypan Excel 3D (Trophy imaging 8) con los parámetros de adquisición de 150 micras y un campo de visión 12 × 10 con 90Kv y 2.5mA.

Se utilizó el visor de tomografía del programa "Blue Sky plan" desarrollado por Blue Sky Bio mediante los archivos "Digital Imaging and Communications in Medicine (DICOM)" de la tomografía computarizada de haz cónico se realizaron mediciones de las dimensiones del diente donador, en conjunto con las mediciones óseas del lecho receptor (distancia entre diente y diente) y la distancia mesio-distal entre los dientes adyacentes al mismo. Evaluando cuidadosamente las dimensiones del diente donador y del lecho receptor.

Se realizaron impresiones maxilares y mandibulares con alginato (tropicalgin, Zhermack), a los cuales posterior al vaciado con yeso rosado tipo IV (Pribanic) se les realizó escaneo con un escáner de mesa 3D (Medit MD-ID0300) para importar los modelos STL de los modelos al proyecto de planificación digital en el programa Blue Sky, plan desarrollado por Blue Sky Bio (Figura 2A y B).

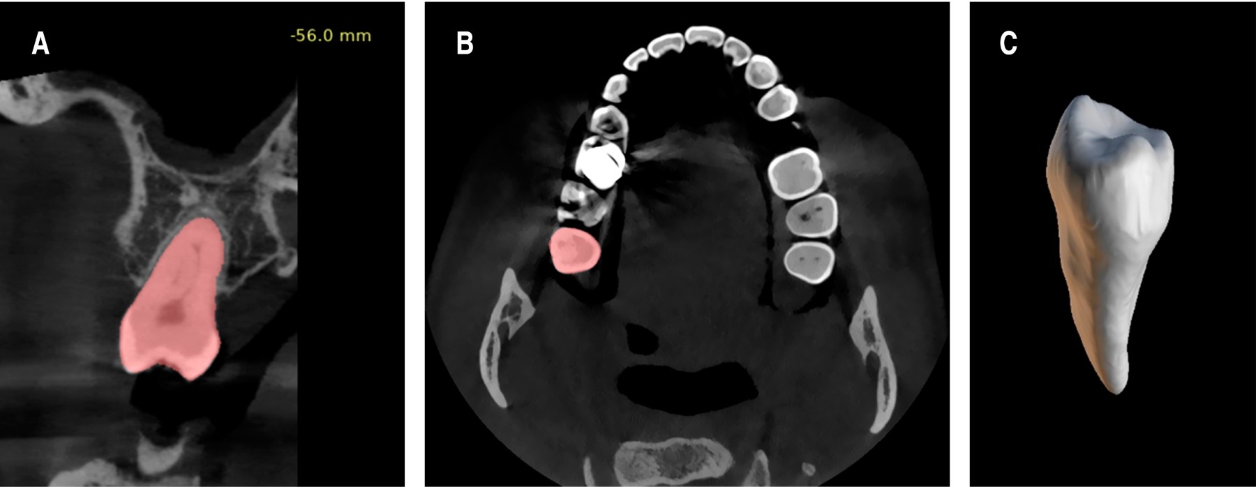
En el software de planificación digital se realizó mediante el panel de segmentación, la segmentación axial, coronal y sagital del diente donador para la creación de la reconstrucción volumétrica del diente (Figura 3A-C).

La reconstrucción volumétrica del diente donador se superpuso en el lecho receptor del modelo STL mandibular y se ubicó en la posición deseada, en infraoclusión con respecto al plano oclusal mandibular (Figura 4A). Posterior a esto, en el panel de la creación de la guía quirúrgica, se realizó la colocación de implantes digitales personalizados con una medida de oclusal de 4.5 mm y una medida apical de 4 mm con una longitud de 13 mm, para la creación de la guía de fresado del lecho receptor (Figura 4B).

Se importaron los modelos STL del diente donador (modelo CARP) y la guía quirúrgica impreso en la impresora 3D (Anycubic Photon Mono 4K) con resina (Dental non-castable UV resin, Anycubic).

La paciente fue llevada a mesa operatoria bajo anestesia local y se realizó la siguiente secuencia de tratamiento para autotrasplante de OD 1.8. Se procede a la extracción del resto radicular del OD 3.7 y 3.8.

Se realiza colocación de férula quirúrgica multifresado en cuadrante III para fresado y acondicionamiento del alvéolo postextracción con fresas para implantes con tope de 4.5 × 13 (Mediment-Stainless) (Figura 5A).

Se realiza prueba en el alvéolo con modelo CARP del 1.8 hasta lograr oclusión (Figura 5B).

El OD 1.8 es llevado al lecho receptor con un tiempo fuera del alvéolo de 15 segundos. Se realiza colocación de fijación semirrígida con alambre 0.46 mm con puntos de resina fluida en OD 3.6 fijado al OD 1.8 (Figura 5C).

Posterior a la segunda semana del autotrasplante se realizó un primer control postoperatorio (Figura 6A). El paciente acudió con el especialista en endodoncia para realización del tratamiento de conducto con la colocación de hidróxido de calcio el cual se mantuvo en los conductos radiculares hasta el primer mes de postoperatorio, realizando así el control radiográfico (Figura 6B).

Posterior a la colocación del hidróxido de calcio, se realizó la obturación definitiva del diente autotrasplantado con gutapercha y su posterior control a los tres meses (Figura 7A), hasta su control de los seis meses (Figura 7B).



DISCUSIóN

El autotrasplante dentario es un tratamiento que requiere una evaluación clínica y radiográfica exhaustiva para determinar su indicación. Es necesario realizar medidas en el diente donador, evaluar la forma de las raíces, estadio de formación radicular, medir el lecho receptor, al evaluar si es un alvéolo postextracción o un reborde edéntulo. En nuestro caso, se realizó una primera evaluación clínica y una evaluación radiográfica con una ortopantomografía para indicar el plan de tratamiento de autotrasplante, luego una evaluación tomográfica para realizar las medidas del diente donador y receptor y realizar la planificación digital.1

Tshukiboshi y colegas, en su libro de autotrasplante, describen las ventajas y desventajas del autotrasplante, siendo una de sus ventajas más importante la relación costo-efectividad en comparación con otros tratamientos como el de los implantes dentarios. La cicatrización de los tejidos en el autotransplante involucra: cicatrización del ligamento periodontal (LPD), osteoinducción, cicatrización pulpar y crecimiento de la raíz.7 En el caso del autotrasplante en dientes con apicoformación completa, la osteoinducción es la propiedad que nos brinda mayores ventajas al compararlo con los implantes, ya que no hay necesidad de colocar injertos óseos que fomenten la cicatrización ósea. En el caso de nuestra paciente, luego del autotrasplante, se realizó la fijación semirrígida para fomentar esta cicatrización ósea e inducir la osteoconducción del lecho receptor.

Los modelos prototipados realizados en computadora son una herramienta valiosa en la planificación y resolución de estos casos. Lee y colaboradores en su estudio realizaron un modelo CARP para el autotrasplante dentario, una de las razones del éxito en este tratamiento con planificación digital es la reducción del tiempo del diente fuera del alvéolo que también favorece la estabilidad del diente autotrasplantado en el lecho receptor.3 En nuestro caso se utilizó este modelo impreso en 3D del diente donador, logrando un tiempo del diente fuera del alvéolo significativamente corto (10 segundos), lo que permitió también una disminución del tiempo quirúrgico y para mantener viables la mayor cantidad de fibras del ligamento periodontal.

Andreassen y su equipo determinaron que las fibras del ligamento periodontal se dañaban irreversiblemente a partir de 18 minutos fuera del alvéolo; sin embargo, hay estudios que disminuyen este tiempo a 15 minutos, según los cuales la viabilidad de estas fibras se encuentra comprometida y aumenta la tasa de reabsorciones óseas o anquilosis.5

En un metaanálisis realizado por Almpani y colegas evaluaron que el estadio de apicoformación influye en el éxito del autotrasplante debido a que en órganos dentario con ápices cerrados existe un riesgo mayor de patologías pulpares.8

Cui y su equipo, en el año 2021, publicaron un artículo, el cual habla del efecto en la terapia endodóntica y la tasa de éxito en dientes autotrasplantados con apicoformación completa, el cual puede realizarse bajo tres protocolos:

  • 1. Tratamiento de conducto preoperatorio, previo al acto quirúrgico.
  • 2. Tratamiento de conducto transoperatorio, se realiza de manera retrógrada, seccionando los últimos 3 mm de ápice.
  • 3. Tratamiento de conducto postoperatorio, entre la primera y segunda semana.9

Andersson y colegas indican que el tratamiento de conducto debe realizarse a las dos semanas, con lo que se evita así resorciones. Protocolo que compartimos, ya que al ser un tercer molar con su apicoformación completa, el paciente acudió a las dos semanas para la conformación y desinfección del sistema de conductos radiculares y la colocación de hidróxido de calcio y luego la obturación del mismo con gutapercha.10,11

Slagsvold y su equipo, en su estudio radiográfico de la formación de la raíz de premolares autotrasplantados, basaron los criterios de éxito en la información aportada en los controles radiográficos con periapicales: con lo que evaluaron la ausencia de patología periapical, la ausencia de resorciones radiculares y la formación de la raíz, en el caso de dientes con apicoformación incompleta.6 Los controles clínicos y radiográficos realizados al paciente fueron adecuados según los protocolos descritos por Andreassen, al evaluar radiografías periapicales, sin patologías en el espacio del ligamento periodontal, ni en la superficie del cemento radicular.

Los implantes dentales no están indicados en pacientes donde no se ha culminado su etapa de crecimiento de la pubertad, ya que éstos no siguen el patrón de crecimiento de los maxilares, lo que provoca que se queden sumergidos aún más en el hueso. Los dientes autotrasplantados mantienen su inserción del ligamento periodontal, lo que provoca un seguimiento del patrón de crecimiento de los maxilares.1,7

Según Tsukiboshi y colaboradores, una de las indicaciones de los autotrasplantes es tener una suficiente cantidad de hueso en el reborde, situación que es complicada en pacientes con extracciones de larga data, razón por la cual está más indicada en dientes no restaurables o restos radiculares. En nuestro caso el lecho receptor de la paciente estaba asociado a un resto radicular del OD 3.7 en la evaluación tomográfica no existía perdida de la tabla vestibular ni lingual, por lo que facilitó la colocación del diente donador.7



CONCLUSIONES

Se analizaron variables, para determinar la tasa de éxito del autotrasplante, siendo unas de las más importantes, la posición del tercer molar y el tiempo del diente fuera del alvéolo, el cual nos va a mantener la mayoría de las fibras del ligamento periodontal viables, para evitar así las resorciones a corto y largo plazo. Es un procedimiento que depende de la destreza del operador y conocimientos generales en planificación digital; sin embargo, con la evaluación tomográfica del caso, la planificación digital con un modelo CARP y un protocolo de evaluación radiográfica postoperatoria, realizando controles con radiografías periapicales a las dos y cuatro semanas, tres, seis meses y al año del autotrasplante, el tratamiento es más predecible en el tiempo, lo que evita así complicaciones tardías. Este tratamiento es ideal en casos selectos, para la rehabilitación de dientes no restaurables o en espacios edéntulos no atróficos, con una alta tasa de éxito si se realiza de manera digital, además de un manejo endodóntico que permita evitar complicaciones y aumentar esa tasa de éxito. Como recomendaciones es necesario el seguimiento a largo plazo de estos pacientes, debido a sus complicaciones tardías como la resorción por reemplazo o por resorción de superficie y la realización de más casos para disminuir la curva de aprendizaje.


REFERENCIAS (EN ESTE ARTÍCULO)

  1. Tsukiboshi M, Yamauchi N, Tsukiboshi Y. Long-term outcomes of autotransplantation of teeth: a case series. Dent Traumatol. 2019; 35 (6): 358-367.

  2. Lucas-Taulé E, Llaquet M, Muñoz-Peñalver J, Somoza J, Satorres-Nieto M, Hernández-Alfaro F. Fully guided tooth autotransplantation using a multidrilling axis surgical stent: proof of concept. J Endod. 2020; 46 (10): 1515-1521.

  3. Lee SJ, Kim E. Minimizing the extra-oral time in autogeneous tooth transplantation: use of computer-aided rapid prototyping (CARP) as a duplicate model tooth. Restor Dent Endod. 2012; 37 (3): 136-141.

  4. Shwetha RS, Venugopal SS, Rashmi K, Sourabh JT, Jyoti T, Suganya G, et al. Auto transplantation of a Mandibular Third Molar tooth with immediate root canal therapy: A Case series. International Journal of Advance Research and Development [Internet]. 2018; 3 (10): 43-48.

  5. Andreasen JO, Paulsen HU, Yu Z, Bayer T. A long-term study of 370 autotransplanted premolars. Part IV. Root development subsequent to transplantation. Eur J Orthod. 1990; 12 (1): 38-50.

  6. Slagsvold O, Bjercke B. Autotransplantation of premolars with partly formed roots. A radiographic study of root growth. Am J Orthod. 1974; 66 (4): 355-366. Available in: https://www.sciencedirect.com/science/article/pii/0002941674900463

  7. Tsukiboshi M, Andreasen JO. Autotransplantation of teeth. Quintessence Publishing (IL); 2001.

  8. Almpani K, Papageorgiou SN, Papadopoulos MA. Autotransplantation of teeth in humans: a systematic review and meta-analysis. Clin Oral Investig. 2015; 19 (6): 1157-1179.

  9. Jang Y, Choi YJ, Lee SJ, Roh BD, Park SH, Kim E. Prognostic factors for clinical outcomes in autotransplantation of teeth with complete root formation: survival analysis for up to 12 years. J Endod. 2016; 42 (2): 198-205.

  10. Cui X, Cui N, Li X, Du X, Zhang S, Wu C, et al. Effect of root canal therapy on the success rate of teeth with complete roots in autogenous tooth transplantation. Scanning. 2021; 2021: 6675604.

  11. Andersson L, Andreasen JO, Day P, Heithersay G, Trope M, Diangelis AJ, et al. International association of dental traumatology guidelines for the management of traumatic dental injuries: 2. avulsion of permanent teeth. Dent Traumatol. 2012; 28 (2): 88-96.



AFILIACIONES

1 Residente de postgrado de Cirugía y Traumatología Bucal y Maxilofacial del Hospital General del Oeste "Dr. José Gregorio Hernández", Caracas, Venezuela. ORCID: 0009-0005-0498-3504

2 Especialista Cirugía y Traumatología Bucal y Maxilofacial. Servicio de Cirugía Maxilofacial del Hospital Ortopédico Infantil e Instituto Médico La Floresta. ORCID: 0000-0002-1840-7568

3 Maestría en Ciencias Cirugía Bucal y Maxilofacial. Servicio de Cirugía Maxilofacial del Hospital General del Oeste "Dr. José Gregorio Hernández", Caracas, Venezuela. ORCID: 0009-0003-0190-9347

4 Especialista Cirugía Bucal. Servicio de Cirugía Maxilofacial del Hospital General del Oeste "Dr. José Gregorio Hernández", Caracas, Venezuela. ORCID: 0009-0005-2157-2731

5 Especialista Cirugía y Traumatología Bucal y Maxilofacial. Servicio de Cirugía Maxilofacial del Hospital General del Oeste "Dr. José Gregorio Hernández", Caracas, Venezuela. ORCID: 0009-0003-4733-5676

6 Especialista Cirugía y Traumatología Bucal y Maxilofacial. Servicio de Cirugía Maxilofacial del Hospital General del Oeste "Dr. José Gregorio Hernández", Caracas, Venezuela. ORCID: 0000-0001-7967-5032

7 Especialista en Endodoncia. Facultad de Odontología, Universidad Santa María, Caracas, Venezuela. ORCID: 0000-0003-3591-3072



CORRESPONDENCIA

Silvio Llanos. E-mail: llanosdelahoz94@gmail.com




Recibido: 13/09/2023. Aceptado: 30/10/2023

Figura 1
Figura 2
Figura 3
Figura 4
Figura 5
Figura 6
Figura 7

2020     |     www.medigraphic.com

Mi perfil

C?MO CITAR (Vancouver)

Lat Am J Oral Maxillofac Surg. 2023;3

ARTíCULOS SIMILARES

CARGANDO ...