medigraphic.com
ENGLISH

Latin American Journal of Oral and Maxillofacial Surgery

ISSN 2992-7757 (Digital)
Órgano de difusión de la Asociación Latinoamericana de Cirugía y Traumatología Bucomaxilofacial (ALACIBU)
  • Mostrar índice
  • Números disponibles
  • Información
    • Información general        
    • Directorio
  • Publicar
    • Instrucciones para autores        
  • medigraphic.com
    • Inicio
    • Índice de revistas            
    • Registro / Acceso
  • Mi perfil

2023, Número 2

<< Anterior Siguiente >>

Lat Am J Oral Maxillofac Surg 2023; 3 (2)


Ameloblastoma recurrente en fosa temporal. Reporte de caso

Adrián Marchena, Dianis Sinaí1; Delgado Martinez, Sarahi Daniela1; Gudiño Martinez, Ronar Alejandro2; García, Maria Esther3; García Guevara, Henry Arturo4; Villarroel Dorrego, Mariana5
Texto completo Cómo citar este artículo 10.35366/113477

DOI

DOI: 10.35366/113477
URL: https://dx.doi.org/10.35366/113477
Artículos similares

Idioma: Español
Referencias bibliográficas: 10
Paginas: 87-93
Archivo PDF: 306.23 Kb.


PALABRAS CLAVE

ameloblastoma, recurrencia, invasión, fosa temporal.

RESUMEN

Introducción: el ameloblastoma es el segundo tumor ontogénico más frecuente, son localmente invasivos de crecimiento lento que siguen un curso benigno con tendencia a la expansión y destrucción de los huesos maxilares, infiltración a tejidos circundantes y con altas tasas de recurrencia local. El tumor suele ser asintomático, y las lesiones más pequeñas se detectan sólo durante un examen radiográfico. La mayoría de los estudios enfatizan que el tratamiento inadecuado del ameloblastoma resultará en recurrencia. El tratamiento recomendado para las recurrencias es la cirugía radical. Presentación del caso: se presenta un caso de paciente masculino de 56 años de edad, que asiste a la consulta del Servicio de Cirugía Maxilofacial del Hospital Universitario de Caracas, en el año 2020. El paciente presenta antecedentes quirúrgicos de tres cirugías de exéresis de ameloblastoma mandibular derecho. Al examen clínico, se observa asimetría facial asociada a aumento de volumen en región temporal derecha. Se evaluó una tomografía computarizada (TC) de cabeza, una imagen isodensa en región de fosa temporal derecha, la cual se observa infiltrando músculo temporal derecho, extendiéndose a región de articulación temporomandibular (ATM) derecha. Resultados: el paciente se preparó para realizar biopsia excisional de la lesión. Se realizó un abordaje coronal con extensión a región preauricular. Disección por planos hasta exponer la lesión tumoral, la cual se encontraba en toda la extensión de la fosa temporal derecha, infiltrando 2/3 del músculo temporal derecho. Diversas modalidades de tratamiento quirúrgico se han descrito de "conservador" a "radical". Sin embargo, las modalidades de tratamiento conservador tienen tasas de recurrencia muy altas. La recurrencia se atribuye a remoción inadecuada, histología agresiva y diseminación a lo largo de la inserción del músculo. Conclusiones: el enfoque quirúrgico radical, tomando márgenes de seguridad adecuados, es el manejo más idóneo para evitar recurrencias. A su vez es importante realizar seguimiento regular con estos pacientes.



INTRODUCCIóN

El ameloblastoma es el segundo tumor ontogénico más frecuente, son tumores localmente invasivos de crecimiento lento que siguen un curso benigno en la mayoría de los casos con tendencia a la expansión y destrucción de los huesos maxilares, infiltración a tejidos circundantes y altas tasas de recurrencia local. La Organización Mundial de la Salud (OMS) en 2017 lo clasificó como ameloblastoma convencional, ameloblastoma uniquístico, extra óseo y metastatizante. Con variedad de patrones histológicos, como folicular, plexiforme, acantomatoso, desmoplásico, de células granulares y de células basales. En 2022, la OMS reestructuró la clasificación del ameloblastoma e incluyó el ameloblastoma adenoide, con nuevas características histológicas que comprenden componentes similares al ameloblastoma, patrones cribiformes tubulares y células helicoidales, con o sin estructuras similares a la dentina.1-3

Ochenta por ciento de todos los ameloblastomas se encuentran en la mandíbula; ocurren más a menudo en la región posterior. Seguido por sector anterior mandibular. Se encuentra en pacientes de un amplio rango de edad. Es raro en niños menores de 10 años y relativamente poco común en el grupo de 10 a 19 años. El tumor muestra una prevalencia aproximadamente igual en la tercera a la séptima décadas de la vida. No hay predilección sexual significativa. Algunos estudios indican una mayor frecuencia en personas de piel oscura; otros no muestran predilección racial. El tumor suele ser asintomático, y las lesiones más pequeñas se detectan sólo durante un examen radiográfico. Aumento de volumen o expansión indolora de la mandíbula es la presentación clínica habitual. Si no se trata, la lesión puede crecer lentamente hasta lograr asimetrías faciales importantes, dolor y las parestesias son poco comunes, incluso con tumores grandes. Radiográficamente se observa como imagen radiolúcida multilocular o unilocular. Las lesiones multiloculares se describen con aspecto de "burbuja de jabón" o de "panal de abeja", la expansión cortical bucal y lingual con frecuencia está presente. Puede causar reabsorción de raíces de dientes adyacentes y puede estar asociado un diente no erupcionado, generalmente el tercer molar inferior. Los ameloblastomas pueden aparecer radiográficamente como defectos radiolúcidos uniloculares, que pueden parecerse a casi cualquier tipo de lesión quística. Sin embargo, los márgenes de estas lesiones radiotransparentes a menudo muestran un festoneado irregular. Aunque las características radiográficas, en particular del defecto multilocular típico, pueden ser altamente sugestivas de ameloblastoma, una variedad de lesiones ondontogénicas y no ondontogénicas pueden mostrar características radiográficas similares.1-3

La evidencia sugiere que los ameloblastomas deben ser considerados como neoplasias benignas pero agresivas con una recurrencia potencialmente alta. Artículos históricos sugieren una tasa de recurrencia de 60-80% con tratamiento local. La recurrencia puede ocurrir 20 años después del tratamiento inicial, pero por lo general ocurre de dos a cinco años después. Una sección histológica de mandíbula resecada que contiene ameloblastoma muestra que las células se pueden encontrar hasta 8 mm del margen radiográfico y clínico de la lesión. Esto ha llevado a un principio general que la cirugía debe realizarse con un 1 cm de margen óseo alrededor de la radiografía y límites de la lesión. En el caso de lesiones que comprometan tejido blando, se toman márgenes de seguridad en al menos un plano de tejido alrededor de la lesión tumoral. En el caso de lesiones que perforan la placa bucal o lingual, esta significa que cualquier disección debe ser supraperióstica. En la mandíbula, puede ser posible dejar márgenes de 1 cm con una resección marginal, pero en la mayoría de los casos se requiere resección segmentaria. El nervio alveolar inferior a menudo se sacrifica y puede reconstruirse con un injerto de nervio si está indicado, pero en la mayoría de los casos los pacientes toleran la pérdida del nervio alveolar inferior sin dificultad. Las técnicas han sido descritas para la resección segmentaria de la mandíbula con preservación del nervio, pero esto corre el riesgo de recurrencia del ameloblastoma a partir de restos celulares dejados adheridos al nervio alveolar inferior.4-6

La mayoría de los estudios enfatizan que el tratamiento inadecuado del ameloblastoma resultará en recurrencia, pero pocos artículos que describen el manejo de los ameloblastomas recurrentes. El tratamiento recomendado para las recurrencias es la cirugía radical, particularmente con el ameloblastoma maxilar donde la diseminación puede ocurrir a las estructuras posteriores. Atención especial debe darse a cualquier extensión de tejido blando presente en la recurrencia.7,8

En el maxilar, márgenes de 1 cm normalmente dan lugar a la perforación del seno y, a menudo, la cavidad nasal y posiblemente incluso la órbita y fosa infratemporal. En general, las lesiones maxilares pueden ser más problemáticas que las lesiones mandibulares porque, aunque son histológicamente idénticas, lesiones en la parte posterior del maxilar tienen diferentes vías para infiltrarse y pueden extenderse a la pared posterior del maxilar y hacia el espacio pterigomaxilar. Infiltración del canal palatino mayor a la también se ha descrito la base del cráneo. El tratamiento actual es la escisión quirúrgica amplia, incluyendo un área de hueso más allá de márgenes radiográficos. La cirugía conservadora, produce una alta tasa de recurrencia (60-80%). El tipo histológico no determina el pronóstico. Más de 50% de las recurrencias ocurren dentro cinco años después del tratamiento inicial. Un seguimiento debe tener al menos 25 años, pero toda la vida se debe considerar.4

Con base en la evidencia y la justificación antes expuesta el objetivo de este reporte es explicar el manejo de un ameloblastoma recurrente en fosa temporal.



PRESENTACIóN DEL CASO

Se presenta un caso de paciente masculino de 56 años de edad, que asiste a la consulta del Servicio de Cirugía Maxilofacial del Hospital Universitario de Caracas, en el año 2020, el cual indica inicio de enfermedad actual hace aproximadamente 10 años por aumento de volumen en región temporal derecha de crecimiento lento y progresivo e indoloro. El paciente presenta antecedentes quirúrgicos de tres cirugías de exéresis de ameloblastoma mandibular derecho. La primera cirugía fue en el año 1984 donde le realizaron enucleación y curetaje de ameloblastoma en cuerpo mandibular derecho. Luego en 1992, el paciente asiste al Servicio de Cirugía Maxilofacial del Hospital Universitario de Caracas con recidiva de la lesión, en donde le realizan resección en bloque de cuerpo mandibular derecho más reconstrucción primaria con placa de osteosíntesis. En el año 1994 asiste de nuevo al servicio presentando nueva recidiva en la cual se realiza una resección en bloque tomando márgenes de seguridad más extensos, realizando resección completa de parasínfisis cuerpo y parte de rama mandibular derecha, conservando el cóndilo mandibular donde es fijado a una placa de reconstrucción mandibular del sistema 2.7.

Al examen clínico, se observa asimetría facial asociada a aumento de volumen en región temporal derecha, por lesión tumoral normocrómica, normotérmico, indurado, e indoloro a la palpación, no móvil, los movimientos faciales se encontraban conservados al examen intraoral se observa paciente con edéntulos parcial mandibular, mucosa con características normales (Figura 1).

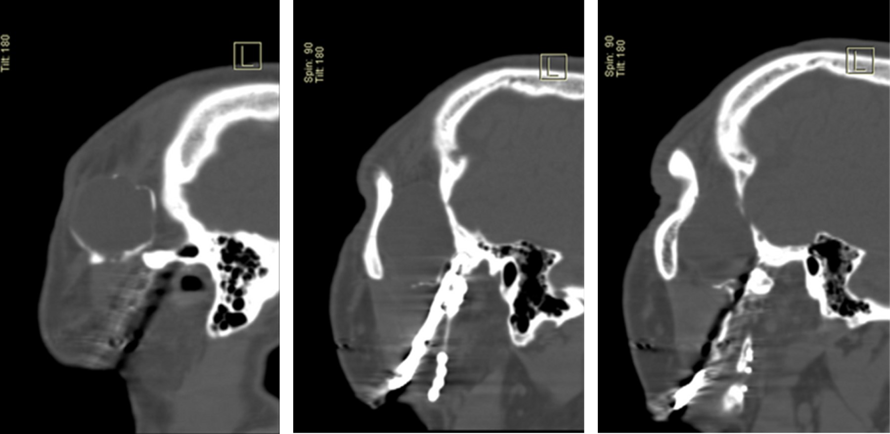
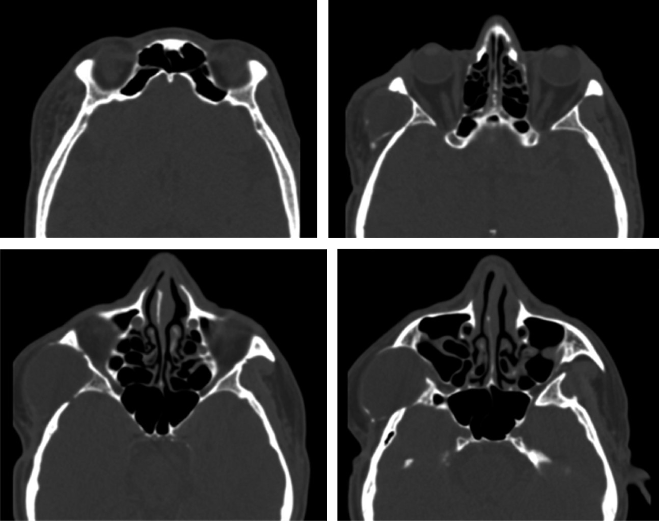
Se evaluó una tomografía computarizada (TC) de cabeza, una imagen isodensa en región de fosa temporal derecha, en la cual se observa infiltrando músculo temporal, extendiéndose a región de ATM derecha. Causando erosión de cortical del arco cigomático (Figura 2). Donde se evidencia imagen hiperdensa la cual se extiende imitando el contorno mandibular derecho hasta región de parasínfisis mandibular izquierda. Compatible con material de osteosíntesis de reconstrucción mandibular por el defecto óseo postresección de cuerpo, para sínfisis y rama mandibular derecha (Figura 3).

El paciente se preparó para realizar biopsia excisional de la lesión, bajo anestesia general, con una impresión diagnóstica de posible recidiva de ameloblastoma. Se realizó un abordaje coronal con extensión a región preauricular, a través de cicatriz previa, disección por planos hasta exponer la lesión tumoral, la cual se encontraba en toda la extensión de la fosa temporal derecha, infiltrando 2/3 del músculo temporal derecho (Figura 4), extendiéndose a región de cóndilo mandibular derecho, el cual se encontraba fijado a la placa de reconstrucción mandibular que presentaba el paciente. La lesión discurría por debajo del arco cigomático causando erosión del mismo. Se realiza la exéresis de la lesión tomando márgenes de seguridad, extrayendo el músculo temporal derecho en su totalidad, incluyendo pericráneo asociado evidenciándose erosión y expansión de corticales en escama del temporal. Se realiza resección de arco cigomático por la erosión que presentaba, se extrae cóndilo mandibular derecho el cual se encontraba fijado a placa de reconstrucción. Para evitar depresión y asimetría facial en la región del arco cigomático, se colocó una placa de osteosíntesis del sistema 2.0 en la continuidad del mismo (Figura 5). Se realizan síntesis de tejidos por planos, se coloca dren portovac y vendaje compresivo. La muestra del espécimen fue llevada para su estudio histopatológico, mostrando una neoplasia conformada por epitelio odontogénico cilíndrico de polarización invertida. La cual se dispone en islas con centro similar al retículo estrellado en otras áreas produce espacios multiquísticos abundantes. Alrededor se aprecia abundante tejido adiposo y tejido fibroso denso. Zonas de hialinización prominentes. No hay evidencia de malignidad en el tejido evaluado dando como conclusión diagnóstica ameloblasma folicular (Figura 6).

El paciente fue evaluado las primeras 24 horas posteriores a la cirugía, presentaba paresia de los músculos faciales del tercio superior derecho. Apertura bucal disminuida aproximadamente 25 mm debido a edema. Y con un drenaje hemático de 10 cm3. Al tercer día se retira drenaje activo. Se mantiene vendaje compresivo. Se realiza postoperatorio a los siete días donde se realiza retiro de puntos de sutura y se evidencia parálisis facial asociada a tercio superior derecho. Apertura bucal conservada, el paciente no refiere dolor. Se realiza control 15 días después, no presentaba edema, dolor (Figura 7), a los tres y seis meses se realizan estudios radiográficos donde no se evidencia signos de lesión aparente. El paciente se encuentra en controles radiográficos anuales en nuestro servicio.



DISCUSIóN

El ameloblastoma es un tumor odontogénico benigno con comportamiento localmente invasivo. Los ameloblastomas son histológicamente benignos, representan 1% de todos los tumores de cabeza y cuello, y 11% de los tumores odontogénicos son considerados el segundo tumor odontogénicos más frecuentes después de los odontomas.1,2

Diversas modalidades de tratamiento quirúrgico se han descrito de "conservador" a "radical". Enucleación, cauterización o curetaje, son "enfoques conservadores" mientras que la resección segmentaria se conoce como "radical". Debido a su histología benigna es probable que se deba realizar un abordaje quirúrgico conservador. Sin embargo, las modalidades de tratamiento conservador han presentado tasas de recurrencia muy altas (90% para tumores mandibulares, 100% para tumores maxilares). El tiempo hasta la recidiva es muy variable, (Rango 1-30 años, promedio cinco años). La recurrencia se atribuye a remoción inadecuada, histología agresiva y diseminación a lo largo de la inserción del músculo. El tratamiento de la recurrencia a menudo ordena cirugía ablativa y reconstructiva extensa con morbilidad inherente, incluso en manos expertas. Es una carga para el paciente, física, psicológica y económicamente.4,6-8

Debido a su naturaleza localmente invasiva, los ameloblastomas pueden diseminarse a la fosa infratemporal, fosa pterigopalatina, espacio parafaríngeo, órbita y espacio intracraneal. La recurrencia de un ameloblastoma es de gran preocupación. Las razones para la recurrencia incluyen la naturaleza localmente invasiva del tumor, la clínica tipo de ameloblastoma, el tipo histológico, ubicación (mandibular vs maxilar), y modalidades de tratamiento. En raras ocasiones, el periodo de recurrencia de un ameloblastoma puede ser tan largo como 49 años, pero 50% de los ameloblastomas recurren dentro cinco años después de la cirugía. El tratamiento conservador (enucleación o curetaje) es el modo más inaceptable de tratamiento para lesiones multiloculares. Los ameloblastomas uniquísticos tienen tasas de recurrencia mucho más bajas. Alrededor de 75 a 100% de los tumores sólidos recurren si se tratan conservadoramente, pero sólo 18% o menos recurren cuando es tratado agresivamente. De las variantes histológicas, los tipos folicular y granular se asocian con las tasas de recurrencia más altas.7,8

Si bien la resección mandibular se ha establecido como tratamiento preferido para el ameloblastoma, la disputa sobre los márgenes de resección óptimos ha sido siempre cuestionada por diferentes investigadores. Algunos investigadores apoyan que el margen de resección esté al menos 1 a 2 cm más allá del límite radiológico del tumor para garantizar que todas las microlesiones se eliminen por completo.

Este paciente se había sometido previamente a tres cirugías por ameloblastoma. La primera en el año 1984, luego en 1992, resección en bloque, en el año 1994 presenta nueva recidiva en la cual se realiza una resección en bloque tomando márgenes de seguridad más extensos, realizando resección completa de parasínfisis cuerpo y parte de rama mandibular derecha, conservando el cóndilo mandibular donde está fijado un material de osteosíntesis para reconstrucción mandibular. En el año 2021 el paciente asiste de nuevo a consulta presentando recidiva en región temporal 27 años después de la última cirugía.

En este caso, la hipótesis es que la recurrencia del ameloblastoma en la fosa temporal probablemente fue por infiltración de las células patógenas en el músculo temporal, por la presencia de enfermedad en la porción de la apófisis coronoides que no fue totalmente removida en la última cirugía del paciente.

La histopatología es el estándar de oro para confirmar el diagnóstico de recurrencias en estos sitios raros. En este caso, las recurrencias de ameloblastoma pueden ocurrir en condiciones no convencionales. Sitios como la fosa temporal e infratemporal. La biopsia central de estas lesiones recurrentes puede no ser concluyente o incluso engañosamente sugestivos de malignidad, por lo tanto, el examen clínico y la radiología son de inmenso valor. Buena comunicación entre cirujano, radiólogo y patólogo es de suma importancia. Las recurrencias se deben a la eliminación incompleta en la cirugía, en lugar de lesiones de novo. El cumplimiento estricto de los principios de la cirugía ablativa, que incluyen una exposición adecuada, eliminación en bloque con márgenes de seguridad adecuados y márgenes de los tejidos blandos es obligatorio. El uso intraoperatorio de sección de congelados puede ayudar a una escisión completa.7,9

Es importante identificar y definir las características de alto riesgo antes de la operación. Extensa destrucción ósea de la cortical en la rama, la coronoides y cóndilo mandibular son características de alto riesgo y debe evaluarse mediante tomografía computarizada/imágenes por resonancia magnética para buscar infiltración de músculos adheridos. Del mismo modo, los ameloblastomas maxilares con erosión de las paredes óseas son tumores de alto riesgo ya que pueden infiltrar músculos pterigoideos posteriormente o extenderse superiormente. En piso orbitario, senos paranasales. clínico-radiológico el seguimiento cada año es necesario para estos casos de alto riesgo.7



CONCLUSIONES

En este caso presentamos nuestra experiencia con un ameloblastoma multirrecurrente planteando un problema quirúrgico. Tomando en cuenta las altas tasas de recidiva del ameloblastoma, es importante demostrar qué puede pasar si no se realiza el tratamiento adecuado para la escisión completa de estas lesiones. El enfoque quirúrgico radical, tomando márgenes de seguridad adecuados, es el manejo más idóneo para evitar recurrencias. A su vez es importante realizar seguimiento regular con estos pacientes, por la naturaleza de la lesión, en un intento de minimizar los riesgos de recurrencia local y transformación maligna.10


REFERENCIAS (EN ESTE ARTÍCULO)

  1. Neville D. Oral y maxillofacial pathology. 4ta edition. 2014.

  2. Naggar E, Can J, Grandis J, Takata J. WHO classification of head and neck tumours. 2017.

  3. Vered M, Wright JM. Update from the 5th edition of the world health organization classification of head and neck tumors: odontogenic and maxillofacial bone tumours. Head Neck Pathol. 2022; 16 (1): 63-75. Available in: http://dx.doi.org/10.1007/s12105-021-01404-7.

  4. Pogrel MA, Montes DM. Is there a role for enucleation in the management of ameloblastoma? Int J Oral Maxillofac Surg. 2009; 38 (8): 807-812. doi: 10.1016/j.ijom.2009.02.018.

  5. Sampson DE, Pogrel MA. Management of mandibular ameloblastoma: the clinical basis for a treatment algorithm. J Oral Maxillofac Surg. 1999; 57 (9): 1074-1077; discussion 1078-1079.

  6. Wu TC, Chen Z, Tian FC, et al. Ameloblastoma of the mandible treated by resection, preservation of the inferior alveolar nerve, and bone grafting. J Oral Maxillofac Surg. 1984; 42: 93.

  7. Vaishampayan S, Nair D, Patil A, Chaturvedi P. Recurrent ameloblastoma in temporal fossa: a diagnostic dilemma. Contemp Clin Dent. 2013; 4 (2): 220. Available in: http://dx.doi.org/10.4103/0976-237x.114852

  8. Al-Bayaty HF, Murti PR, Thomson ERE, Niamat J. Soft tissue recurrence of a mandibular ameloblastoma causing facial deformity in the temporal region: Case report. J Oral Maxillofac Surg. 2002; 60 (2): 204-207. Available in: http://dx.doi.org/10.1053/joms.2002.29826

  9. Anyanechi CE, Shetty SS. Ameloblastoma of the jaws in adult: A retrospective review of local recurrent lesions based on the resection margin in the adjacent apparent healthy tissues. Heliyon. 2023; 9 (5): e16243. Available in: http://dx.doi.org/10.1016/j.heliyon.2023.e16243.

  10. Faras F, Abo-Alhassan F, Israël Y, Hersant B, Meningaud J-P. Multi-recurrent invasive ameloblastoma: a surgical challenge. Int J Surg Case Rep. 2017; 30: 43-45. Available in: http://dx.doi.org/10.1016/j.ijscr.2016.11.039



AFILIACIONES

1 Residente del Postgrado de Cirugía y Traumatología Bucal y Maxilofacial del Hospital Universitario de Caracas, Venezuela.

2 Cirujano Oral y Maxilofacial y Jefe de Postgrado de Cirugía y Traumatología Bucal y Maxilofacial del Hospital Universitario de Caracas, Jefe del Servicio de Cirugía Maxilofacial del Hospital Universitario de Caracas. Venezuela.

3 Cirujano Oral y Maxilofacial, adjunto del Servicio de Cirugía Maxilofacial del Hospital Universitario de Caracas. Venezuela

4 Cirujano Oral y Maxilofacial y Profesor del Departamento de Cirugía Bucal y Maxilofacial, Fundación Hospital Ortopédico Infantil de Caracas, Venezuela. Adjunto colaborador del postgrado de Cirugía y Traumatología Bucal y Maxilofacial del Hospital Universitario de Caracas. Venezuela.

5 Médico Bucal. Patólogo Maxilofacial. Caracas, Venezuela.



CORRESPONDENCIA

Dianis Sinaí Adrián Marchena. E-mail: od.dianisadrian@gmail.com




Recibido: 19/09/2023. Aceptado: 12/10/2023.

Figura 1
Figura 2
Figura 3
Figura 4
Figura 5
Figura 6
Figura 7

2020     |     www.medigraphic.com

Mi perfil

C?MO CITAR (Vancouver)

Lat Am J Oral Maxillofac Surg. 2023;3

ARTíCULOS SIMILARES

CARGANDO ...