medigraphic.com
ENGLISH

Salud Jalisco

ISSN 2448-8747 (Impreso)
Publicación cuatrimestral editada por la Secretaría de Salud Jalisco
  • Mostrar índice
  • Números disponibles
  • Información
    • Información general        
    • Directorio
  • Publicar
    • Instrucciones para autores        
  • medigraphic.com
    • Inicio
    • Índice de revistas            
    • Registro / Acceso
  • Mi perfil

2023, Número S1

<< Anterior Siguiente >>

Sal Jal 2023; 10 (S1)


Neumonía recurrente en lactante con síndrome de Down, hernia diafragmática congénita de Bochdalek e hipotiroidismo congénito. Reporte de caso

Barrón-Balderas, Alejandro1,2,3; Cruz-Revilla, Rubén2,4; Lona-Reyes, Juan Carlos1,5,6; Robledo-Aceves, Mireya5,7; Solano-González, Karla Ivana1,8
Texto completo Cómo citar este artículo 10.35366/113701

DOI

DOI: 10.35366/113701
URL: https://dx.doi.org/10.35366/113701
Artículos similares

Idioma: Español
Referencias bibliográficas: 10
Paginas: s46-50
Archivo PDF: 228.43 Kb.


PALABRAS CLAVE

neumonía recurrente, síndrome de Down, hipotiroidismo, hernia diafragmática, pediatría, reporte de caso.

RESUMEN

Introducción: la neumonía recurrente es un problema frecuente en niños con síndrome de Down, debido a mayor susceptibilidad a infecciones de las vías respiratorias (por sistema inmunitario deficiente, hipotonía de las vías respiratorias, alteraciones anatómicas, alteraciones hormonales, etcétera). Caso clínico: presentamos el caso de un paciente portador de síndrome de Down, hipotiroidismo congénito, hernia diafragmática congénita, que en conjunto condicionan la presencia de cuadros recurrentes de neumonía. Conclusión: en los niños con síndrome de Down que presentan datos de neumonía recurrente y que, además en el estudio radiológico se observan opacidades persistentes, se deberá plantear la posibilidad de algún defecto de la pared diafragmática. En el caso presentado, permitieron el diagnóstico y tratamiento de neumonía recurrente; sin embargo, no se tomó en consideración la presencia de un defecto diafragmático, que aunado a alteraciones hormonales contribuyeron a modificar la motilidad de la vía respiratoria e incrementar el acumulo de secreciones, induciéndose así cambios tanto en las presiones pulmonares como en la distensibilidad. Como parte del seguimiento de un paciente con síndrome de Down, es imperativo asegurar mantener perfiles hormonales adecuados, ya que la asociación de estas entidades son un riesgo indirecto para el buen funcionamiento pulmonar.



INTRODUCCIóN

La neumonía recurrente es un problema frecuente en niños con síndrome de Down, debido a una mayor susceptibilidad a infecciones de las vías respiratorias, ya sea por un sistema inmunitario deficiente,1 hipotonía de las vías respiratorias, alteraciones anatómicas, alteraciones hormonales y algunas patologías asociadas como son el reflujo gastroesofágico y la insuficiencia cardiaca congestiva.2 En la literatura se ha descrito la asociación de síndrome de Down con defectos de la pared diafragmática y alteraciones hormonales como es el hipotiroidismo; la combinación de estas tres entidades permite la presencia de cuadros de dificultad respiratoria recurrentes, condicionados por alteraciones del sistema inmune, hipotonía de la vía respiratoria, obstrucción mecánica visceral y, finalmente, modificaciones en las presiones y distensibilidad pulmonar.

Presentamos el caso de un paciente portador de síndrome de Down, hipotiroidismo congénito, hernia diafragmática congénita, que en conjunto condicionan la presencia de cuadros recurrentes de neumonía.



CASO CLíNICO

Femenino de un año seis meses, hospitalizada por presentar datos de dificultad respiratoria, cuenta con antecedentes de hospitalización al nacimiento por diagnóstico de neumonía congénita durante 20 días, además de datos clínicos de síndrome de Down e hipotiroidismo. Madre de 42 años de edad, producto de la séptima gestación, Apgar 3-6-9, Silverman-Anderson 7-5; hipotónica, con datos de hipoxia neonatal, manejo con presión positiva continua en la vía aérea (CPAP) y fase III durante ocho días, se corrobora síndrome de Down por cariotipo trisomía 21 regular (47, XX, +21).

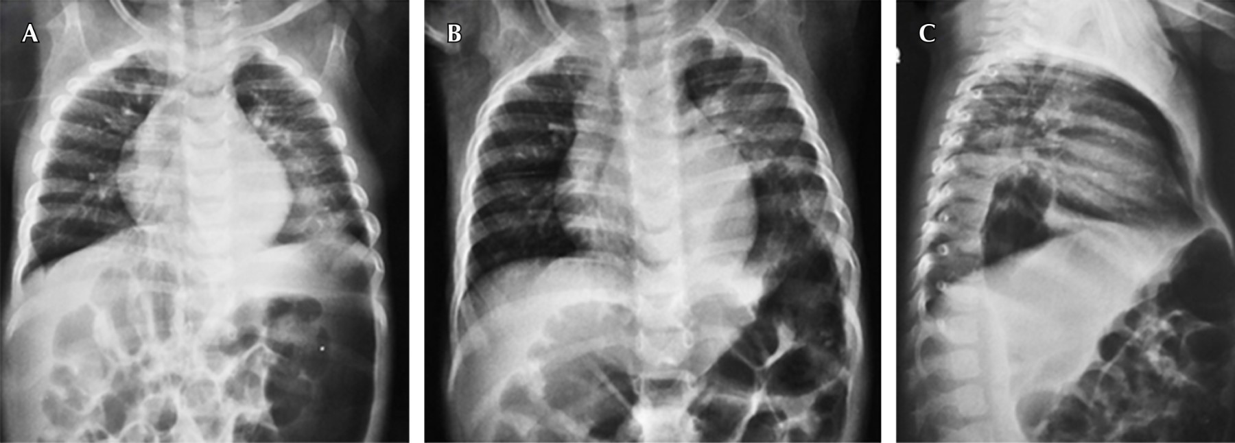
Hospitalizada en cuatro ocasiones desde los siete meses por dificultad respiratoria catalogada como neumonía de la comunidad (Figura 1A). A la exploración física: frecuencia cardiaca 162 lpm, respiración de 45 rpm, saturación: 89%. Fenotipo Down (braquicefalia, epicanto, cuello corto, puente nasal aplanado, protrusión lingual pliegue palmar), campos pulmonares con hipoventilado en hemitórax izquierdo, así como crepitantes en base pulmonar izquierda, abdomen blando depresible. Pruebas de laboratorio: TSH 48 mU/l, T4 0.5 ng/dl, radiografía de tórax revela niveles hidroaéreos, así como asa intestinal en el espacio retroesternal (Figura 1B y 1C). Medio de contraste demostrando imagen de asa intestinal en cavidad torácica (Figura 2). El Servicio de Cirugía reportó saco herniario con presencia de estómago y bazo, defecto de 4 cm de diámetro aproximadamente.



DISCUSIóN

El síndrome de Down es la anomalía cromosómica más común entre los bebés nacidos vivos, la literatura reporta una incidencia 1:1,000 recién nacidos y prevalencia de 13.5 casos por cada 10,000 nacidos vivos; se distingue por una variedad de características dismórficas, que pueden incluir malformaciones congénitas y que no necesariamente están presentes en todos los pacientes con el síndrome de Down. Dentro de estas alteraciones se pueden incluir a las cardiopatías congénitas (comunicación interauricular, conducto arterioso permeable), las anomalías gastrointestinales (atresia esofágica, ano imperforado), los desórdenes endocrinológicos (disfunción tiroidea, diabetes), los trastornos hematológicos (policitemia, leucemia), los defectos diafragmáticos (hernia diafragmática), las alteraciones inmunológicas, etcétera. Estas alteraciones incluso pueden manifestarse de tal manera que afecten a la vía respiratoria directa o indirectamente, presentándose datos clínicos e incluso radiográficos que asemejen un problema neumónico, como es el caso del reflujo gastroesofágico, la insuficiencia cardiaca congestiva y la hipotonía de las vías respiratorias.2

La neumonía recurrente es un problema común entre los pacientes con síndrome de Down, ya que se reconoce la existencia de cierta susceptibilidad a las infecciones de las vías respiratorias, esto como consecuencia de un sistema inmunitario relativamente deficiente, causado por anomalías complejas, tales como una cantidad baja de células T CD4, una relación CD4/CD8 invertida, deficiencia de células B, alteraciones en la respuesta proliferativa de linfocitos a mitógenos, deficiencias de subclase IgG, respuesta reducida de anticuerpos a patógenos, así como también disfunción fagocítica con disminución de la quimiotaxis y la actividad bactericida.1

Otra de las alteraciones asociadas son las hernias diafragmáticas congénitas (HDC).

Las HDC son poco frecuentes en la población general; sin embargo, se ha reportado su asociación desde 5 hasta 20% en aquellos pacientes que coexisten con síndrome de Down.2

Las HDC suelen ser diagnosticadas a lo largo del embarazo y en el periodo neonatal; no obstante, existen casos cuyos defectos son tan pequeños que son detectados hasta la edad adulta y de manera fortuita.3

En cuanto a la presentación clínica, la mayoría de los niños con HDC presentan síntomas de taquipnea, disnea e incluso infecciones respiratorias de repetición.4 La HDC, al ser un defecto en el desarrollo del diafragma, permite que las vísceras abdominales se hernien hacia el tórax; existen teorías que atribuyen el defecto a fallas en el cierre de los pliegues pleuroperitoneales entre la cuarta y décima semana de gestación.5

En general, podemos encontrar dos tipos de hernias: la hernia de Bochdalek que es un defecto anatómico en la parte posterolateral del diafragma y suele predominar sobre el lado izquierdo del tórax; por otro lado, la hernia de Morgagni, se trata de una unión deficiente de la cara anteromedial del diafragma sobre las costillas y el esternón, permitiendo así que las vísceras abdominales entren en la cavidad torácica por la parte anterior de la caja; la mayoría de estos defectos predominan sobre el lado derecho del tórax, aunque en raras ocasiones se han reportado del lado izquierdo o incluso bilaterales,6 se estima una incidencia de uno por cada 2,000-5,000 nacidos vivos y representa 2% de la totalidad de los casos de HDC.5 Más aún, dentro de lo poco frecuente, se ha reportado a la hernia de Morgagni como la que se encuentra siempre presente en la asociación de HDC y síndrome de Down.2

El diagnóstico de HDC se establece mediante un estudio de contraste del tracto gastrointestinal (Figura 2B).6

El hipotiroidismo es una de las enfermedades más comunes en este tipo de pacientes. Su prevalencia es 30 veces mayor que en la población general; para hipotiroidismo congénito y en niños con síndrome de Down se estima una prevalencia entre 20 a 48%, llegando incluso hasta 90% en los primeros años de vida de infancia.7 Mientras que la incidencia de presentar hipotiroidismo suele ser hasta 1:50 recién nacidos.8

Dentro de los mecanismos propuestos para explicar la disfunción tiroidea, se encuentra la existencia de disfunciones del eje hipotálamo-tiroides, insensibilidad leve a TSH y bioactividad disminuida de TSH. Se ha reportado que existe una relación entre el hipotiroidismo y modificaciones en las presiones respiratorias, lo que ocasiona debilidad diafragmática e hipoventilación alveolar, así como inexcitabilidad, fibrosis y desmielinización del nervio frénico, provocando alteraciones en la capacidad vital pulmonar.9,10

En el caso presentado, al tratarse de un paciente portador de síndrome de Down, los hallazgos clínicos recurrentes de dificultad respiratoria permitieron se perpetuara el diagnóstico y tratamiento de neumonía recurrente; sin embargo, no se tomó en consideración la presencia de un defecto diafragmático que, aunado a las alteraciones hormonales, contribuyeron a modificar la motilidad de la vía respiratoria e incrementar el acumulo de secreciones, además de la restricción pulmonar ocasionada por la ocupación de las vísceras intestinales en la cavidad torácica, induciéndose así cambios tanto en las presiones pulmonares como en la distensibilidad.



CONCLUSIONES

En los niños con síndrome de Down que presentan datos de neumonía recurrente y que, además en el estudio radiológico se observan opacidades persistentes, se deberá plantear la posibilidad de algún defecto de la pared diafragmática.

El diagnóstico precoz permitirá una reparación quirúrgica temprana, evitando así complicaciones a mediano y largo plazo, tales como el pobre desarrollo pulmonar ocasionado por la ocupación de vísceras intestinales y los cambios en las presiones y distensibilidad pulmonar asociadas con las alteraciones hormonales coexistentes.

Como parte del seguimiento de un paciente con síndrome de Down, es imperativo asegurar mantener perfiles hormonales adecuados, ya que la asociación de estas entidades son un riesgo indirecto para el buen funcionamiento pulmonar.


REFERENCIAS (EN ESTE ARTÍCULO)

  1. Ananworanich J, Shearer WT. Immune deficiencies in congenital and metabolic diseases: glycogen storage disease type Ib. In: Rich RR, Fleisher TA, Shearer WT, Kotzin BL, Schroeder HWJ, editors. Clinical immunology: principles and practice. 2nd ed. New York, NY: Mosby; 2001. pp. 421-422.

  2. Picard E, Ben Nun A, Fisher D, Schwartz S, Goldberg M, Goldberg S. Morgagni hernia mimicking pneumonia in Down syndrome. J Pediatr Surg. 2007;42(9):1608-11. doi: 10.1016/j.jpedsurg.2007.04.039. PMID: 17848258.

  3. Downard CD, Jaksic T, Garza JJ, Dzakovic A, Nemes L, Jennings RW, et al. Analysis of an improved survival rate for congenital diaphragmatic hernia. J Pediatr Surg [Internet]. 2003;38(5):729-732. Available in: https://linkinghub.elsevier.com/retrieve/pii/S0022346803000381

  4. Pokorny WJ, McGill CW, Harberg FJ. Morgagni hernias during infancy: presentation and associated anomalies. J Pediatr Surg [Internet]. 1984;19(4):394-397. Available in: https://linkinghub.elsevier.com/retrieve/pii/S0022346884802602

  5. Hedrick H, Adizick N. Congenital diaphragmatic hernia: prenatal diagnosis and management. In: Rose B, editor. Up To Date in medicine. Wellesley: Up To Date; 2009.

  6. Al-Salem AH, Nawaz A, Matta H, Jacobsz A. Herniation through the foramen of Morgagni: early diagnosis and treatment. Pediatr Surg Int [Internet]. 2002;18(2-3):93-97. Available in: http://link.springer.com/10.1007/s003830100653

  7. Myslek-Prucnal M, Sadowska L, Gruna-Ozarowska A. The diagnostics and developmental stimulation of small children with 21 trisomy in compliance with thyroid function. Pediatr Endocrinol Diabetes Metab [Internet]. 2008;14(4):243-247. Available in: http://www.ncbi.nlm.nih.gov/pubmed/19239793

  8. Bas VN, Ozgelen S, Cetinkaya S, Aycan Z. Diseases accompanying congenital hypothyroidism. J Pediatr Endocrinol Metab [Internet]. 2014;27(5-6):485-489. Available in: https://www.degruyter.com/document/doi/10.1515/jpem-2013-0282/html

  9. Martinez FJ, Bermudez-Gomez M, Celli BR. Hypothyroidism. Chest [Internet]. 1989;96(5):1059-1063. Available in: https://linkinghub.elsevier.com/retrieve/pii/S0012369216351285

  10. Siafakas NM, Salesiotou V, Filaditaki V, Tzanakis N, Thalassinos N, Bouros D. Respiratory muscle strength in hypothyroidism. Chest [Internet]. 1992;102(1):189-194. Available in: https://linkinghub.elsevier.com/retrieve/pii/S0012369216358676



AFILIACIONES

1 Centro Universitario de Ciencias de la Salud. Universidad de Guadalajara. Guadalajara, Jalisco, México.

2 Servicio de Neumología Pediátrica, Hospital Civil de Guadalajara "Dr. Juan I. Menchaca". Guadalajara, México.

3 ORCID: 0000-0002-2534-5238

4 ORCID: 0009-0007-2410-2254

5 Servicio de Pediatría, Hospital Civil de Guadalajara "Dr. Juan I. Menchaca". Guadalajara, México.

6 ORCID: 0000-0002-5507-3931

7 ORCID: 0000-0003-3671-8834

8 ORCID: 0009-0005-7324-094X



Derecho a la privacidad y consentimiento informado: los autores han obtenido el consentimiento informado de los pacientes y/o sujetos referidos en el artículo. Este documento obra en poder del autor de correspondencia.

Conflicto de intereses: declaramos no presentar conflicto de intereses en la realización del estudio o con los resultados.

Financiamiento: no se recibió financiamiento para el trabajo, los gastos corrieron por los autores y la institución en la cual se desarrolló.



CORRESPONDENCIA

Alejandro Barrón-Balderas. E-mail: dr.alex.barron@gmail.com




Recibido: 03/04/2023. Aceptado: 11/10/2023.

Figura 1
Figura 2

2020     |     www.medigraphic.com

Mi perfil

C?MO CITAR (Vancouver)

Sal Jal. 2023;10

ARTíCULOS SIMILARES

CARGANDO ...