medigraphic.com
ENGLISH

Salud Jalisco

ISSN 2448-8747 (Impreso)
Publicación cuatrimestral editada por la Secretaría de Salud Jalisco
  • Mostrar índice
  • Números disponibles
  • Información
    • Información general        
    • Directorio
  • Publicar
    • Instrucciones para autores        
  • medigraphic.com
    • Inicio
    • Índice de revistas            
    • Registro / Acceso
  • Mi perfil

2023, Número S1

<< Anterior Siguiente >>

Sal Jal 2023; 10 (S1)


Carcinoma anexial microquístico un reto clínico-diagnóstico

Sánchez-Tadeo, María Trinidad1; Ferguson-Rodríguez, Carol Aida2; Fajardo-Barajas, Daniel3; Munguía-Sánchez, José Antonio4; Carrillo-Manguart, Valeria5; Alcázar-García, Liliana Berenice6
Texto completo Cómo citar este artículo 10.35366/113702

DOI

DOI: 10.35366/113702
URL: https://dx.doi.org/10.35366/113702
Artículos similares

Idioma: Español
Referencias bibliográficas: 12
Paginas: s51-55
Archivo PDF: 257.82 Kb.


PALABRAS CLAVE

carcinoma, anexial, microquístico, histopatológico, reporte de caso.

RESUMEN

Introducción: el carcinoma anexial microquístico es una neoplasia cutánea infrecuente, asintomática y maligna que puede presentar diferenciación folicular o ductal debido a que proviene de queratinocitos anexiales pluripotenciales. En la población caucásica, la media de edad va de los 60 a los 70 años. Se presenta como placa o pápula eritematosa única, en áreas fotoexpuestas de la cabeza y cuello. Su presentación característicamente benigna resulta en un subdiagnóstico y subtratamiento que agrega morbilidad y aumenta el riesgo de invasión local. En la literatura médica existen pocos reportes de casos que documenten este tipo de carcinomas, por lo que es importante tenerlo en cuenta como diagnóstico diferencial de neoplasias faciales. Caso clínico: se presenta el caso de una paciente sin factores de riesgo para el desarrollo del mismo y fuera del rango de edad de aparición. Conclusión: el carcinoma anexial microquístico es una neoplasia poco frecuente, de crecimiento lento, invasivo y localmente destructivo, muy raramente produce metástasis; es importante realizar el diagnóstico diferencial con la neoplasia más confundida, que es el carcinoma basocelular, y hacer uso de herramientas extras como la inmunohistoquímica y, de ser necesario, realizar consenso entre expertos.



INTRODUCCIóN

El carcinoma anexial microquístico es una neoplasia maligna cutánea que consiste en una diferenciación pilar o ecrina debido a que proviene de queratinocitos anexiales pluripotenciales. Es infrecuente, asintomática y se presenta como placa o pápula eritematosa o amarilla única, lisa, de 1-3 cm en áreas fotoexpuestas de la cabeza. Suele presentarse con mayor recurrencia en el labio superior, pero también en barbilla, pliegue nasolabial, mejilla y cuello. En la población caucásica, la media de edad con mayor presencia es entre los 60 a 70 años.1,2

Se describe el caso de una paciente pediátrica con una neoplasia pigmentada y ulcerada, sin factores de riesgo para desarrollar esta tumoración; con la finalidad de enfatizar la importancia de la correlación clínico-patológica ante la duda diagnóstica y brindar tratamiento adecuado y oportuno.



CASO CLíNICO

Femenino de 10 años, estudiante, originaria y residente Autlán de Navarro, Jalisco. Presenta una dermatosis que afecta mejilla izquierda, en su tercio distal, localizada y asimétrica, constituida por neoformación circular de 12 × 12 mm, bordes precisos, perlados, con puntos de pigmento, superficie ulcerada, húmeda y eritematosa de evolución aparente crónica (Figura 1).

Por interrogatorio indirecto se menciona que la lesión tiene 18 meses de evolución; inicia con "piquete de insecto", asintomática que paulatinamente aumenta de tamaño, por lo que la automedican con crema a base de betametasona, clotrimazol y gentamicina a razón de una o dos veces por día, por lapso no especificado. La lesión aumenta de tamaño y presenta sangrado escaso de la superficie con el mínimo traumatismo. Acude a consulta donde se tiene la impresión clínica de granuloma piógeno, se inicia manejo con secantes y antibiótico tópico; dos semanas después, al no obtener mejoría, se procede a tomar biopsia con sacabocado de 4 mm, reportando carcinoma basocelular sólido y pigmentado. Ante la aparente incongruencia clínico-patológica, se solicitan nuevos cortes y revisión de laminillas, concluyéndose que es compatible con tricoblastoma.

Se somete a manejo quirúrgico con margen de seguridad de 5 mm y se envía pieza a patología. El reporte de patología es un epitelio con focos de ulceración y necrosis; de sus estratos inferiores se origina una proliferación que se extiende hasta dermis superficial, media y parte de la profunda a manera de masas y cordones de células epiteliales atípicas de morfología basaloide dispuestas en palizada periférica con áreas de calcificación, quistes córneos, numerosas figuras mitóticas, infiltración a músculo erector; el diagnóstico es carcinoma basocelular sólido con bordes laterales y lecho libre de tumor.

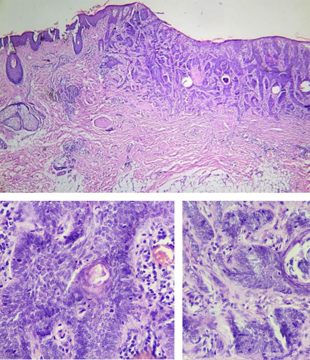
Al tratarse de una niña, sana, sin antecedentes patológicos o familiares relevantes para el caso, se decide realizar tinciones de inmunohistoquímica y consultar un tercer patólogo. Se identifican, en todo el espesor de la dermis, estructuras que forman individualización celular, nidos, cordones y láminas en su centro; se aprecian cavidades microquísticas con diferenciación anexial ecrina, son células pequeñas basaloides y atípicas con citoplasma abundante, eosinófilo con núcleo pleomórfico, con cromatina en gránulos, nucléolo prominente y mitosis atípicas, algunas queratinizan, forman estructuras siringomatoides y cavidades quísticas inmersas en tejido fibroconjuntivo denso esclerótico con vasos sanguíneos dilatados congestivos; infiltración tumoral peri e intramuscular del músculo erector del pelo. El infiltrado inflamatorio está constituido por linfocitos, células plasmáticas y melanófagos. En la hipodermis hay infiltración tumoral focal en escasos racimos (Figura 2).

Antígeno epitelial de membrana (EMA): positividad focal en algunos acrosiringios y cordones tumorales (Figura 3). Antígeno carcinoembrionario (ACE): positividad en cordones y láminas de los acrosiringios tumorales en su chapa de las estructuras glandulares (Figura 3).

Con los hallazgos descritos se integra el diagnóstico de un carcinoma anexial microquístico.



DISCUSIóN

El carcinoma anexial microquístico es una neoplasia descrita por Goldstein en 1982, con menos de 700 casos reportados mundialmente. Es rara, con incidencia de 1.6 a 6.5 por 10'000,000 personas. La edad media de presentación es entre 40-60 años y más frecuente en mujeres. Esta tumoración puede ser clínica e histológicamente similar a otras lesiones cutáneas benignas o malignas, lo que con frecuencia conduce a un tratamiento inicial erróneo. Se caracteriza por su naturaleza local agresiva, una elevada capacidad infiltrante, así como por un marcado neurotropismo. Los pacientes generalmente son asintomáticos, algunos desarrollan escozor, ulceración o parestesias si hay invasión perineural. El involucro de los nódulos linfáticos y metástasis a distancia son raras. Está subdiagnosticado en 30% de las ocasiones, más comúnmente confundido con un carcinoma basocelular.3,4

Como factores de riesgo están la historia de radiación previa hasta en 10%, radiación ultravioleta e inmunosupresión. El periodo de latencia entre la radiación y el aparecimiento de la neoplasia puede ser hasta de 30 años, la asociación más corta se reportó de siete años.5

El diagnóstico es difícil debido a que las biopsias superficiales sólo revelan hallazgos benignos. Histopatológicamente, es pobremente circunscrito y se puede extender a tejido subcutáneo y a músculo esquelético. A la tinción de hematoxilina y eosina, se puede encontrar diferenciación ecrina y folicular. Con una apariencia superficial compuesta por numerosos quistes de queratina que apoyan al origen folicular; y pequeñas islas o cordones de epitelio basaloide y escamoso con diferenciación ductal que pueden invadir profundamente la dermis y que apoyan el origen ecrino. Ambos hallazgos concordantes con el origen de queratinocitos pluripotenciales. El componente más profundo consiste en nidos de células en un estroma hialino y denso. También se encuentra infiltrado subcutáneo, perineural, atipia celular y mitosis específicos de esta neoplasia. Las células cerca de la periferia tienden a elongarse y se disponen en forma de palizada. Los quistes córneos pueden llegar a calcificarse. Hay ductos alineados en dos capas llenos de material eosinofílico positivos al ácido peryódico de Schiff. La presencia de estructuras ductales es lo que la diferencia del tricoepitelioma desmoplásico y tricoadenoma. En inmunohistoquímica, el antígeno carcinoembrionario se tiñe en las estructuras glandulares.2,5,6

Sin embargo, algunos han argumentado el uso del azul de toluidina para una detección más fácil de colecciones de células tumorales perineurales. Así como el receptor del factor de crecimiento epidérmico, citoqueratinas (CK19 y CK17) como marcadores de agresividad y progresión.7,8

Los principales diagnósticos diferenciales incluyen: carcinoma de células basales, siringoma, quiste, carcinoma de células escamosas, tricoblastomas, tricoepitelioma desmoplásico, carcinoma de células basales infiltrativo y liquen simple crónico.9 La invasión perineural se reporta en 17.5-59% de los casos de carcinomas anexiales, lo cual se asocia más al riesgo de recurrencia, por lo que el margen quirúrgico debe ser más grueso que el clínico debido a la propiedad infiltrativa de crecimiento del tumor.

La radiación postquirúrgica se debería de considerar en los pacientes con alto riesgo de recurrencia o cuando se estiman pobres resultados cosméticos o funcionales con el tratamiento quirúrgico estándar. King, en 2018, dilucidó que la lesión preoperatoria estaba significativamente asociada con la recurrencia; ésta aumentaba 11% por cada 1 cm2 de superficie tumoral. Si el tamaño era mayor a 5 cm, la tasa de recurrencia aumentaba 13 veces más.10-12

La cirugía micrográfica de Mohs es el estándar de oro para el tratamiento. Tiene tasa de recurrencia de 0-22% en cinco años, comparada con la escisión local que presenta tasa de recurrencia de 47% en los primeros tres años. El cierre primario o injerto cutáneo se utilizan para defectos superficiales, pero defectos profundos requieren reconstrucción con colgajos locales, regionales o libres. Para pacientes con grandes lesiones, invasión perineural o extensión a músculo o hueso, obtener márgenes limpios no es factible, por lo que en estos casos se reporta la radiación como terapia adyuvante, aunque no debe utilizarse como una opción terapéutica aislada de un carcinoma anexial microquístico primario, ya que se ha demostrado que en este caso resulta ineficaz y es capaz de inducir la conversión en una variante tumoral de mayor agresividad clínica e histológica.1,3,4

El 90% de los pacientes tienen supervivencia a cinco años. El seguimiento a largo plazo es importante debido a su naturaleza agresiva, con recurrencia a 10 años en 18% de los casos. Se sugiere examinarse al menos cada seis meses y, en algunos casos, hasta 30 años después del tratamiento inicial.2,5,8

La dermatosis de la paciente se presentó en una de las topografías más comunes. Sin embargo, su edad difiere de la reportada en la literatura; además, la morfología probablemente pudo haberse visto modificada por el uso de agentes tópicos. El caso se caracterizó inicialmente por la incongruencia clínico-patológica y, debido a las limitaciones de la biopsia tomada de primera instancia, se tuvo la necesidad de reevaluar la biopsia inicial y consensuar entre patólogos. Los hallazgos comunes histopatológicos coincidieron que se trataba de una neoplasia con células basaloides atípicas, diferenciación folicular, glandular ecrina, quistes córneos y mitosis (Tabla 1).



CONCLUSIóN

El carcinoma anexial microquístico es una neoplasia poco frecuente, de crecimiento lento, invasivo y localmente destructivo, muy raramente produce metástasis; representó un reto diagnóstico debido a su baja frecuencia. A pesar de que no existen características clínicas o histológicas patognomónicas de esta entidad, la presencia de hallazgos foliculares y glandulares orienta al diagnóstico. Es importante realizar el diagnóstico diferencial con la neoplasia más confundida, que es el carcinoma basocelular, y hacer uso de herramientas extras como la inmunohistoquímica y, de ser necesario, realizar consenso entre expertos.


REFERENCIAS (EN ESTE ARTÍCULO)

  1. Gerall CD, Sippel MR, Yracheta JL, Hogan FS. Microcystic adnexal carcinoma: a rare, commonly misdiagnosed malignancy. Mil Med [Internet]. 2019;184(11-12):948-950. Available in: https://academic.oup.com/milmed/article/184/11-12/948/5498203

  2. Elder DE. Lever's histopathology of the skin. Pennsylvania: Wolters Kluwer; 2015. pp. 1663-1667.

  3. Kim DW, Lee G, Lam MB, Harris EJ, Lam AC, Thomas T, et al. Microcystic adnexal carcinoma of the face treated with definitive chemoradiation: a case report and review of the literature. Adv Radiat Oncol [Internet]. 2020;5(2):301-310. Available in: https://linkinghub.elsevier.com/retrieve/pii/S2452109419301733

  4. Martorell-Calatayud A, Requena-Caballero C, Botella-Estrada R, Almenar-Medina S, Sanmartín-Jiménez O, Llombart-Cussac B, et al. Microcystic adnexal carcinoma: Mohs micrographic surgery as the treatment of choice. Actas Dermosifiliogr [Internet]. 2009;100(8):693-699. Available in: https://linkinghub.elsevier.com/retrieve/pii/S1578219009701519

  5. Gordon S, Fischer C, Martin A, Rosman IS, Council ML. Microcystic adnexal carcinoma: a review of the literature. Dermatologic Surg [Internet]. 2017;43(8):1012-1016. Available in: https://journals.lww.com/00042728-201708000-00002

  6. Goldstein DJ, Barr RJ, Cruz DJS. Microcystic adnexal carcinoma: a distinct clinicopathologic entity. Cancer [Internet]. 1982;50(3):566-572. Available in: https://onlinelibrary.wiley.com/doi/10.1002/1097-0142(19820801)50:3%3C566::AID-CNCR2820500330%3E3.0.CO;2-Q

  7. Palamaras I, McKenna JD, Robson A, Barlow RJ. Microcystic adnexal carcinoma. Dermatologic Surg [Internet]. 2010;36(4):446-452. Available in: https://journals.lww.com/00042728-201004000-00002

  8. Tse JY, Nguyen AT, Le LP, Hoang MP. Microcystic adnexal carcinoma versus desmoplastic trichoepithelioma. Am J Dermatopathol [Internet]. 2013;35(1):50-55. Available in: https://journals.lww.com/00000372-201302000-00008

  9. Chiller K, Passaro D, Scheuller M, Singer M, McCalmont T, Grekin RC. Microcystic adnexal carcinoma. forty-eight cases, their treatment, and their outcome. Arch Dermatol [Internet]. 2000;136(11):1355-1359. Available in: http://archderm.jamanetwork.com/article.aspx?doi=10.1001/archderm.136.11.1355

  10. Pugh TJ, Lee NY, Pacheco T, Raben D. Microcystic adnexal carcinoma of the face treated with radiation therapy: A case report and review of the literature. Head Neck [Internet]. 2012 Jul;34(7):1045–50. Available from: https://onlinelibrary.wiley.com/doi/10.1002/hed.21690

  11. King BJ, Tolkachjov SN, Winchester DS, Baum CL, Brewer JD, Arpey CJ, et al. Demographics and outcomes of microcystic adnexal carcinoma. J Am Acad Dermatol [Internet]. 2018;79(4):756-758. Available in: https://linkinghub.elsevier.com/retrieve/pii/S0190962218304602

  12. Chaudhari SP, Mortazie MB, Blattner CM, Garelik J, Wolff M, Daulat J, et al. Treatments for microcystic adnexal carcinoma – A review. J Dermatolog Treat [Internet]. 2016;27(3):278-284. Available in: https://www.tandfonline.com/doi/full/10.3109/09546634.2015.1089351



AFILIACIONES

1 Dermatóloga, Cirujana Dermatóloga, Maestría en Salud Pública, Hospital General de Occidente Secretaría de Salud Jalisco. ORCID 0009-0006-3336-8102

2 Médico dermatólogo, práctica privada. Autlán de Navarro, Jalisco. ORCID 0009-0003-6567-6052

3 Médico patólogo y dermatopatólogo, Hospital General de Occidente. Zapopan, Jalisco. ORCID 0009-0000-3221-7405

4 Estudiante de Medicina, Centro Universitario de Ciencias de la Salud, Universidad de Guadalajara. Guadalajara, Jalisco. ORCID 0009-0005-9671-0094

5 Médico Residente de Medicina Interna, Hospital General de Occidente. Zapopan, Jalisco. ORCID 0009-0009-6300-7772

6 Médico Residente de Medicina Interna, Hospital Civil de Guadalajara "Fray Antonio Alcalde". Guadalajara, Jalisco. ORCID 0000-0002-6496-8892



Consentimiento informado y confidencialidad de datos: el presente trabajo cuenta con dictamen de comité de investigación del Hospital General de Occidente. Para garantizar la integridad y confidencialidad de los datos se cuenta con consentimiento informado para toma de imágenes, autorización para uso y tratamiento de datos personales, dicho documento firmado por madre de la paciente y dos testigos.

Conflicto de intereses y financiamiento: declaramos que no existe conflicto de intereses.



CORRESPONDENCIA

María Trinidad Sánchez-Tadeo. E-mail: dra.triny68@hotmail.com




Recibido: 29/11/2021. Aceptado: 01/11/2022.

Figura 1
Figura 2
Figura 3
Tabla 1

2020     |     www.medigraphic.com

Mi perfil

C?MO CITAR (Vancouver)

Sal Jal. 2023;10

ARTíCULOS SIMILARES

CARGANDO ...