medigraphic.com
ENGLISH

Cardiovascular and Metabolic Science

ISSN 2954-3835 (Digital)
ISSN 2683-2828 (Impreso)
Antes Revista Mexicana de Cardiología

Ver Revista Mexicana de Cardiología


  • Mostrar índice
  • Números disponibles
  • Información
    • Información general        
    • Directorio
  • Publicar
    • Instrucciones para autores        
    • Envío de artículos
  • medigraphic.com
    • Inicio
    • Índice de revistas            
    • Registro / Acceso
  • Mi perfil

2023, Número 4

<< Anterior Siguiente >>

Cardiovasc Metab Sci 2023; 34 (4)


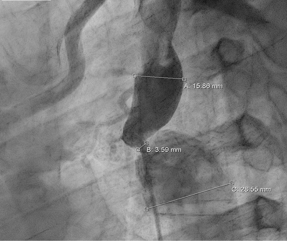
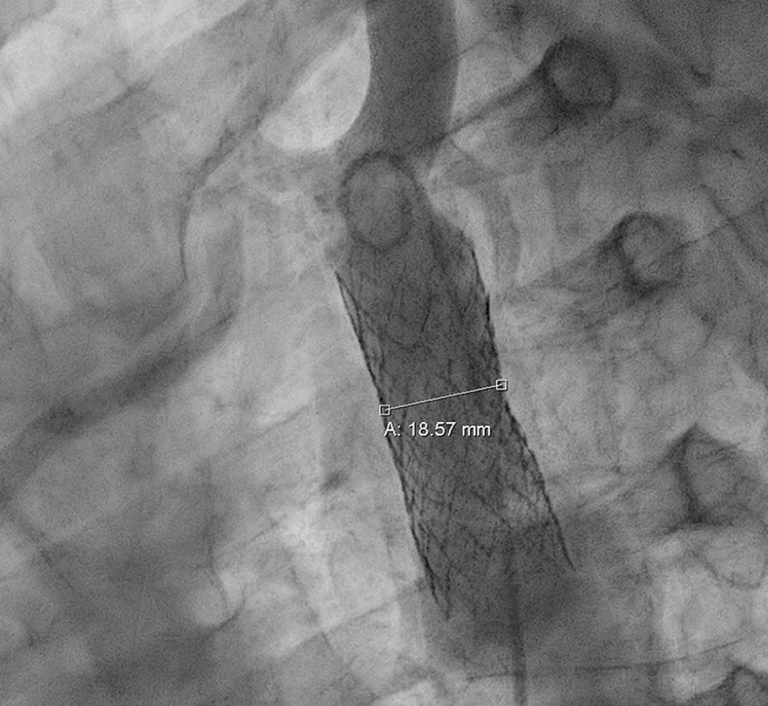
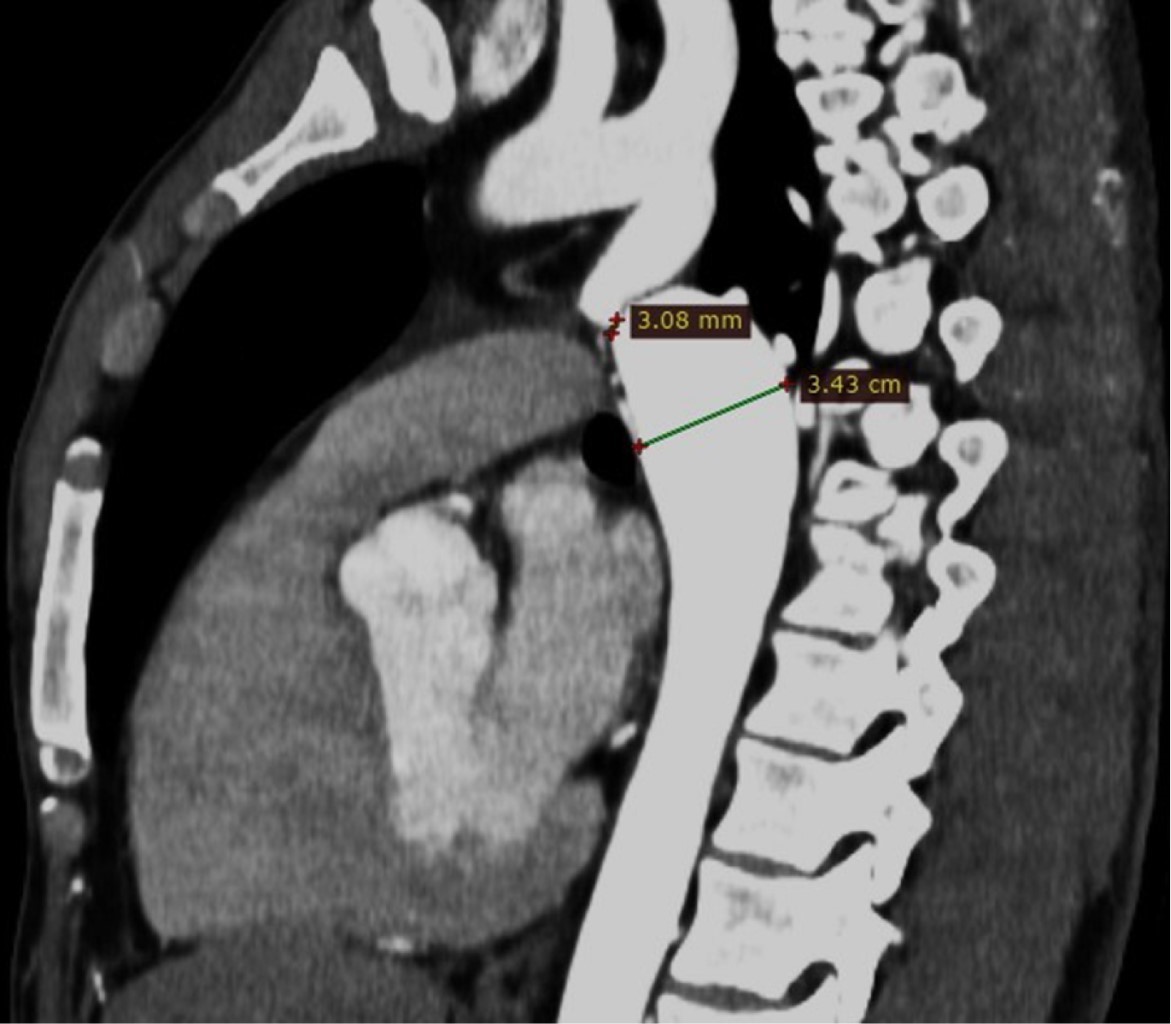
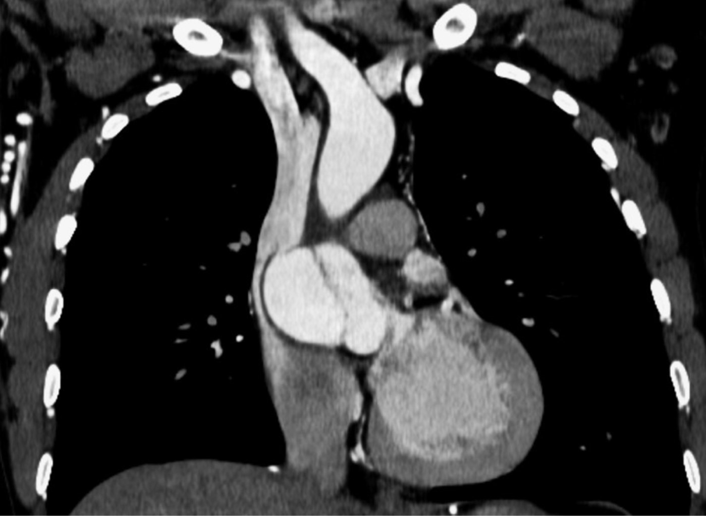
Coartación aórtica asociada a válvula aórtica bicúspide complicada con aneurisma aórtico postdisección

Sánchez-Amaya DJ, Godínez-Córdova LB, López-Lizárraga MÁ, Araiza-Garaygordobil D, Arias-Mendoza A
Texto completo Cómo citar este artículo 10.35366/113864

DOI

DOI: 10.35366/113864
URL: https://dx.doi.org/10.35366/113864
Artículos similares

Idioma: Inglés [English version]
Referencias bibliográficas: 17
Paginas: 159-164
Archivo PDF: 385.53 Kb.


PALABRAS CLAVE

coartación aórtica, disección aórtica crónica, aneurisma aorta ascendente, válvula aórtica bicúspide.

RESUMEN

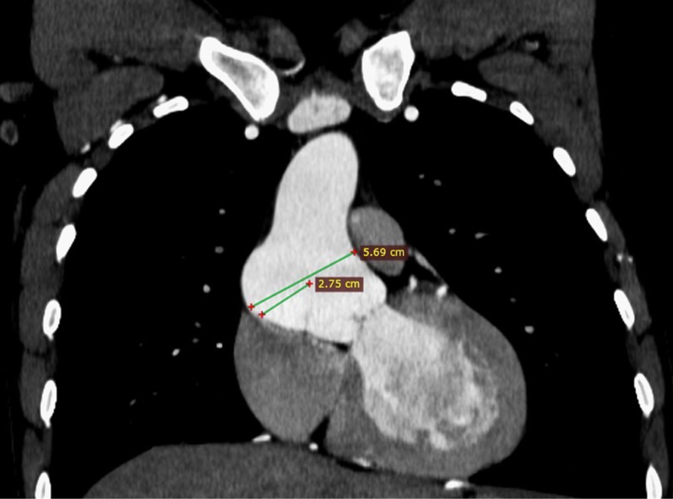
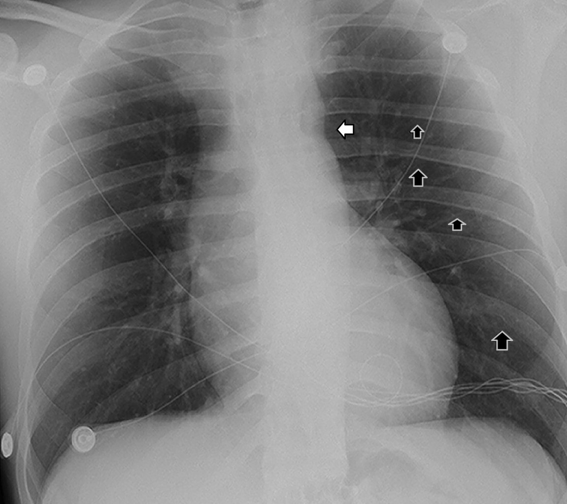
La coartación aórtica es un trastorno congénito que afecta no solamente a la aorta, sino que también puede asociarse a válvula aórtica bicúspide y predispone a síndromes aórticos. Se reporta el caso de un paciente de 28 años de edad con hipertensión secundaria debido a coartación aórtica postductal asociada a válvula aórtica bicúspide que a su vez presentó disección crónica de la aorta ascendente. La coexistencia de enfermedad valvular aórtica, así como múltiples condiciones aórticas, es una situación rara que requiere una evaluación altamente especializada para garantizar un resultado favorable. El tratamiento se estableció en dos fases: aortoplastia con colocación de stent y luego cirugía de reemplazo aórtico y valvular, con una recuperación favorable.


REFERENCIAS (EN ESTE ARTÍCULO)

  1. Nance JW, Ringel RE, Fishman EK. Coarctation of the aorta in adolescents and adults: A review of clinical features and CT imaging. J Cardiovasc Comput Tomogr. 2016; 10 (1): 1-12. doi: 10.1016/j.jcct.2015.11.002.

  2. Cribbs M. Coarctation: a review. US Cardiology Review. 2019; 13 (2): 99-104. doi: 10.15420/usc.2019.15.2.

  3. Warnes CA. Bicuspid aortic valve and coarctation: two villains part of a diffuse problem. Heart. 2003; 89 (9): 965-966. doi: 10.1136/heart.89.9.965.

  4. Jenkins NP, Ward C. Coarctation of the aorta: natural history and outcome after surgical treatment. QJM. 1999; 92 (7): 365-371. doi: 10.1093/qjmed/92.7.365.

  5. Sinning C, Zengin E, Kozlik-Feldmann R et al. Bicuspid aortic valve and aortic coarctation in congenital heart disease-important aspects for treatment with focus on aortic vasculopathy. Cardiovasc Diagn Ther. 2018; 8 (6): 780-788. doi: 10.21037/cdt.2018.09.20.

  6. Baumgartner H, DeBacker J, Babu-Narayan S et al. 2020 ESC Guidelines for the management of adult congenital heart disease. Eur Heart J. 2021; 42 (6): 563-645. doi: 10.1093/eurheartj/ehaa554.

  7. Edwards JE. Aneurysms of the thoracic aorta complicating coarctation. Circulation. 1973; 48: 195-201. doi: 10.1161/01.CIR.48.1.195.

  8. Larson EW, Edwards WD. Risk factors for aortic dissection: a necropsy study of 161 cases. Am J Cardiol. 1984; 53: 849-855. doi: 10.1016/0002-9149(84)90418-1.

  9. Tsai TT, Nienaber CA, Eagle KA. Acute aortic syndromes. Circulation. 2005; 112: 3802-3813. doi: 10.1161/CIRCULATIONAHA.105.534198.

  10. Erbel R, Aboyans V, Boileau C et al. 2014 ESC Guidelines on the diagnosis and treatment of aortic diseases: Document covering acute and chronic aortic diseases of the thoracic and abdominal aorta of the adult. The Task Force for the Diagnosis and Treatment of Aortic Diseases of the European Society of Cardiology (ESC). Eur Heart J. 2014; 35 (41): 2873-2926. doi: 10.1093/eurheartj/ehu281.

  11. Pavlou A, Cardenas Ramos L, Vanek M, Regelmann DJ. A case of chronic aortic dissection with hemopericardium and tamponade. Cureus. 2022; 14 (4): e23924. doi: 10.7759/cureus.23924.

  12. Abugroun A, Subahi A, Gaznabi S, Daoud H. Chronic type A aortic dissection: rare presentation of incidental pericardial effusion. Case Rep Cardiol. 2019; 2019: 3562871. doi: 10.1155/2019/3562871.

  13. Rylski B, Milewski RK, Bavaria JE et al. Outcomes of surgery for chronic type A aortic dissection. Ann Thorac Surg. 2015; 99: 88-93. doi: 10.1016/j.athoracsur.2014.07.032.

  14. Fleischmann D, Rana C, Cassanegra A et al. American Heart Association Council on cardiovascular radiology and intervention; council on arteriosclerosis, thrombosis and vascular biology; council on clinical cardiology; and council on cardiovascular surgery and anesthesia. imaging and surveillance of chronic aortic dissection: a scientific statement from the American Heart Association. Circ Cardiovasc Imaging. 2022; 15 (3): e000075. doi: 10.1161/HCI.0000000000000075.

  15. Guerrero F, Bautista K, Salas G, Callalli E, Ríos JC. Acute Stanford type A aortic dissection associated with aortic coarctation repaired by Tirone E. David & debranching techniques with combined axillar and femoral perfusion: a case report. Arch Peru Cardiol Cir Cardiovasc. 2021; 2 (3): 211-215. doi: 10.47487/apcyccv.v2i3.154.

  16. Wu J, Xie E, Qiu J, Huang Y, Jiang W, Zafar MA et al. Subacute/chronic type A aortic dissection: a retrospective cohort study. Eur J Cardiothorac Surg. 2020; 57 (2): 388-396. doi: 10.1093/ejcts/ezz209.

  17. Jiang Q, Du J, Yu T, Huang X, Zuo M, Huang K. Ascending aortic aneurysm and dissection secondary to bicuspid aortic valve with concomitant coarctation of descending aorta successfully repaired with extracorporeal membrane oxygenation support: a case report. Cardiol Discov. 2022; 2 (2): 124-126. doi: 10.1097/CD9.0000000000000041.




Figura 1
Figura 2
Figura 3
Figura 4
Figura 5
Figura 6
Figura 7

2020     |     www.medigraphic.com

Mi perfil

C?MO CITAR (Vancouver)

Cardiovasc Metab Sci . 2023;34

ARTíCULOS SIMILARES

CARGANDO ...