medigraphic.com
ENGLISH

Cardiovascular and Metabolic Science

ISSN 2954-3835 (Digital)
ISSN 2683-2828 (Impreso)
Antes Revista Mexicana de Cardiología

Ver Revista Mexicana de Cardiología


  • Mostrar índice
  • Números disponibles
  • Información
    • Información general        
    • Directorio
  • Publicar
    • Instrucciones para autores        
    • Envío de artículos
  • medigraphic.com
    • Inicio
    • Índice de revistas            
    • Registro / Acceso
  • Mi perfil

2023, Número 4

<< Anterior Siguiente >>

Cardiovasc Metab Sci 2023; 34 (4)


''Una bota en el corazón''. Reporte de un caso de seno de Valsalva no roto de forma particular y revisión de la literatura

Rodríguez-Monserrate CP, Rivera-Del RJ, Collazo-Ornes P, López-De VO, Pérez-Ríos R, Moguel-Ancheita R
Texto completo Cómo citar este artículo 10.35366/113865

DOI

DOI: 10.35366/113865
URL: https://dx.doi.org/10.35366/113865
Artículos similares

Idioma: Inglés [English version]
Referencias bibliográficas: 5
Paginas: 165-168
Archivo PDF: 195.52 Kb.


PALABRAS CLAVE

aneurisma, seno de Valsalva, congénito, aneurisma de seno de Valsalva.

RESUMEN

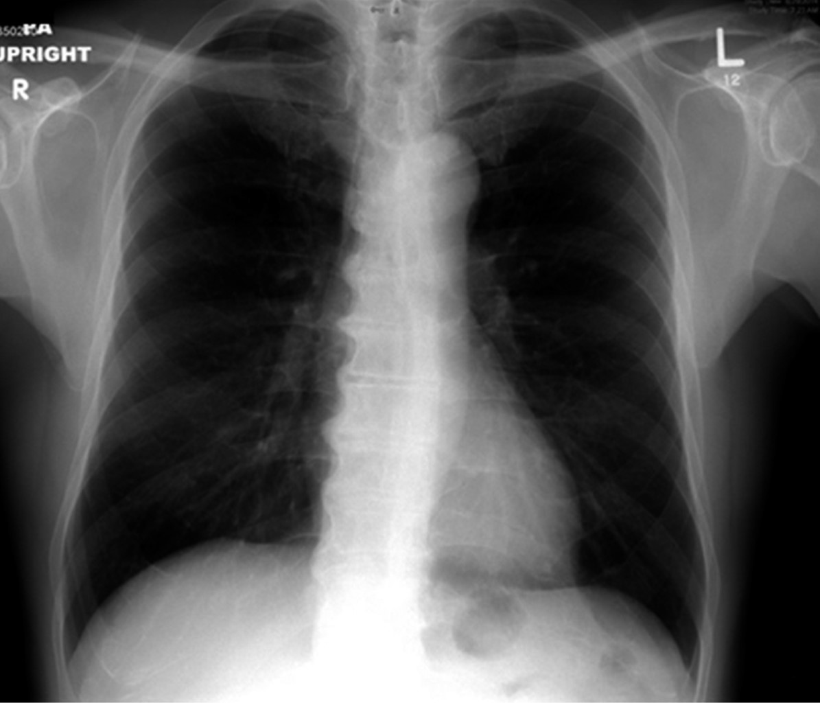
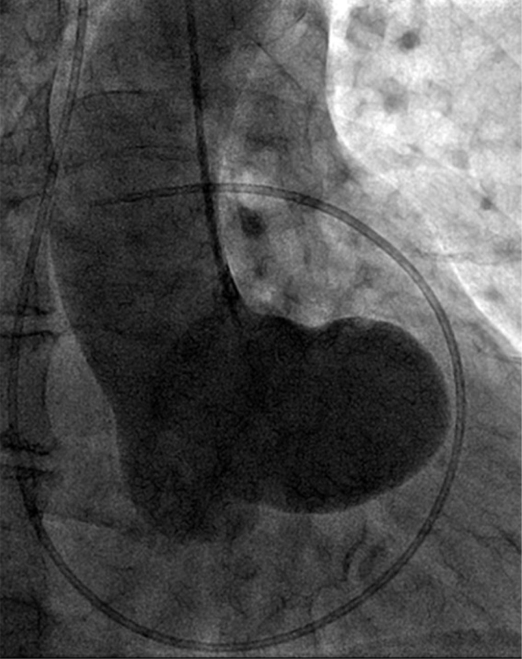
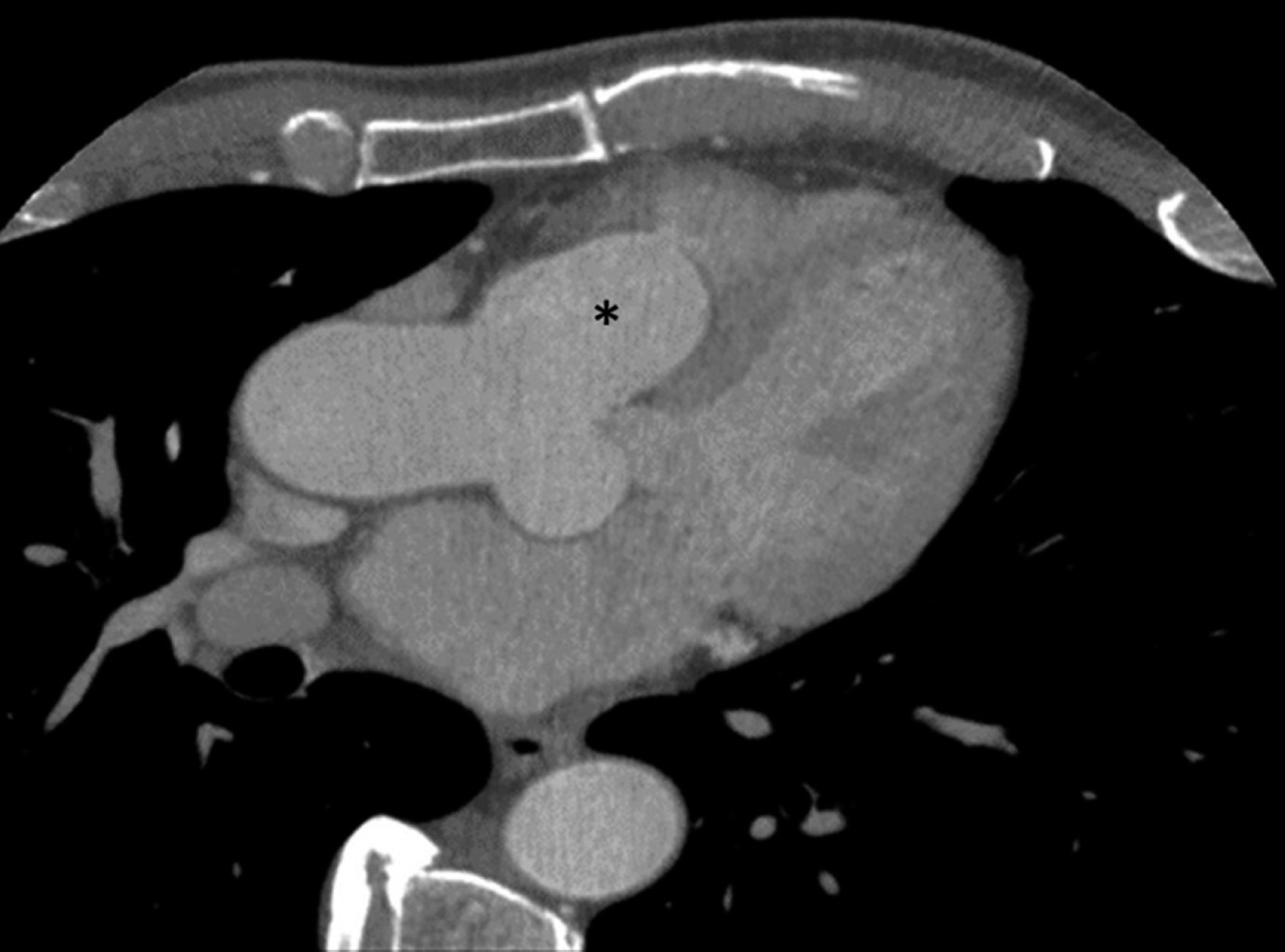
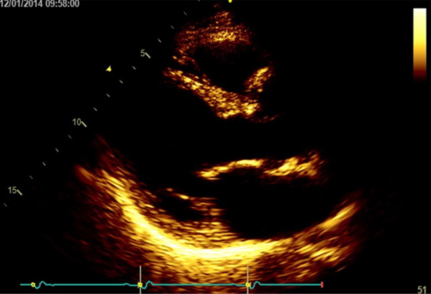
Los aneurismas del seno de Valsalva son dilataciones congénitas o adquiridas de la pared del seno aórtico a nivel justo por encima de las tres cúspides de la válvula aórtica, que pueden ser casos asintomáticos o fatales si se rompen, más frecuentemente hacia las cavidades cardiacas derechas. Estos casos son relativamente raros. Presentamos el caso de un varón de 72 años remitido por sospecha de soplo pulmonar. La evaluación reveló un aneurisma del seno de Valsalva derecho, que causaba compresión del tracto de salida del ventrículo derecho (TSVD). El ecocardiograma, la tomografía computarizada y el aortograma revelaron imágenes interesantes y evocadoras. El paciente recibió una reparación quirúrgica mid-cap. Este artículo revisa y discute la literatura actual y presenta el caso.


REFERENCIAS (EN ESTE ARTÍCULO)

  1. Mirdamadi A, Mirmohammadsadeghi M, Marashinia F, Nourbakhsh M. Sinus of Valsalva aneurysm: An uncommon presentation. ARYA Atheroscler. 2012; 8 (3): 164-166.

  2. Rothbaum DA, Dillon JC, Chang S, Feigenbaum H. Echocardiographic manifestation of right sinus of Valsalva aneurysm. Circulation. 1974; 49 (4): 768-771. doi: 10.1161/01.cir.49.4.768.

  3. Alasti M, Omidvar B, Mali S, Majidi S. Sinus of Valsalva aneurysm: a reversible cause of complete heart block. Tex Heart Inst J. 2011; 38 (4): 450-451.

  4. Moustafa S, Mookadam F, Cooper L, Adam G et al. Sinus of Valsalva aneurysms-47 years of a single center experience and systematic overview of published reports. Am J Cardiol. 2007; 99 (8): 1159-1164. doi: 10.1016/j.amjcard.2006.11.047.

  5. Nguyen Q, Vervoort D, Phan K, Luc JGY. Surgical management for unruptured sinus of Valsalva aneurysms: a narrative review of the literature. J Thorac Dis. 2021; 13 (3): 1833-1850. doi: 10.21037/jtd-20-2682.




Figura 1
Figura 2
Figura 3
Figura 4
Figura 5

2020     |     www.medigraphic.com

Mi perfil

C?MO CITAR (Vancouver)

Cardiovasc Metab Sci . 2023;34

ARTíCULOS SIMILARES

CARGANDO ...