medigraphic.com
ENGLISH

Revista Mexicana de Periodontología

ISSN 2007-4360 (Impreso)
Asociación Mexicana de Periodontología, Colegio de Periodoncistas A.C
  • Mostrar índice
  • Números disponibles
  • Información
    • Información general        
    • Directorio
  • Publicar
    • Instrucciones para autores        
  • medigraphic.com
    • Inicio
    • Índice de revistas            
    • Registro / Acceso
  • Mi perfil

2022, Número 1-3

<< Anterior Siguiente >>

Rev Mex Periodontol 2022; 13 (1-3)


Abordaje quirúrgico de canino mandibular impactado para tracción ortodóntica, asociado a un quiste dentígero y un odontoma: reporte de caso

González Gómez, Luis Antonio1; Sahagún Munguía, Katia2; Gómez Sandoval, Juan R1; Varela Hernández, Juan J3; Martínez Rodríguez, Vianeth1; Guerrero Bernal, Cristian G1; Lomelí Martínez, Sarah M1,2,4
Texto completo Cómo citar este artículo 10.35366/113889

DOI

DOI: 10.35366/113889
URL: https://dx.doi.org/10.35366/113889
Artículos similares

Idioma: Español
Referencias bibliográficas: 23
Paginas: 14-19
Archivo PDF: 325.60 Kb.


PALABRAS CLAVE

canino impactado mandibular, quiste dentígero, tracción ortodóntica, odontoma.

RESUMEN

El quiste dentígero y el odontoma son entidades comúnmente asociadas a órganos dentarios impactados. Estos últimos pueden comprometer la movilidad dentaria, afectar de manera grave la funcionalidad y la estética. En el presente reporte de caso, se describe el abordaje quirúrgico de una paciente de 12 años de edad con retención del canino mandibular derecho, acompañado de enucleación de un quiste dentígero, remoción de un odontoma y colocación de aparatología ortodóntica en el canino para la tracción del órgano dental impactado. Un enfoque multidisciplinario, un diagnóstico oportuno con las herramientas adecuadas y un adecuado manejo quirúrgico-ortodóncico permiten a los dientes retenidos la posibilidad para la erupción correcta en el arco dental. El objetivo de este caso clínico fue eliminar los procesos patológicos asociados al diente retenido y llevar éste a su correcta posición en el arco dental.



INTRODUCCIóN

La impactación dental puede ocasionar una serie de patologías entre las que destacan: quistes, tumores, caries dental, reabsorción radicular y pérdida ósea periodontal.1 Se ha sugerido que, en promedio, 63.7% de todos los dientes impactados causan alguna patología, dentro de las cuales 8.6% corresponde a quistes o tumores.1 Un diente impactado se define como aquel que tiene una posición intraósea después de haber pasado su tiempo normal de erupción,2 o si se ha formado más de 75% de la porción radicular; en caninos superiores ocurre en aproximadamente 2% de la población, mientras que en caninos mandibulares sucede en 0.35%.1-3

Un quiste dentígero se origina por la separación del folículo alrededor de la corona de un diente impactado, presentándose en aproximadamente 20% de todos los quistes en maxilares revestidos de epitelio. El quiste encierra la corona y se adhiere justo a la unión amelocementaria.4 Con frecuencia son encontrados en pacientes entre 10 y 30 años de edad, con ligera predilección por los hombres.5 El tratamiento de elección es la enucleación del quiste con la extracción del diente asociado; si se considera que el diente es necesario y se puede traccionar a su posición correcta, se debe hacer la enucleación del quiste y forzar la erupción del diente con ayuda ortodóntica.2,6-8 En ocasiones, los quistes dentígeros están relacionados con odontomas.1

En 2016, Thistle L y colegas 9 refieren que el odontoma es el tumor odontogénico benigno más común originado por una alteración de células odontogénicas mesenquimales y epiteliales diferenciadas, se presenta en 35-76%.9 Su etiología es desconocida; sin embargo, se ha asociado a infecciones, anomalías hereditarias, hiperactividad odontoblástica y traumatismos.9 La mayoría son detectados en las primeras dos décadas de vida, alrededor de los 14 años de edad, sin predilección en género.9-11 Los odontomas suelen ser asintomáticos y, por lo común, son descubiertos en exámenes radiográficos de rutina, generalmente tomados para identificar causas asociadas a problemas en la erupción de órganos dentarios. Según lo mencionan varios autores,1,4,9 son más frecuentes en el maxilar que en la mandíbula, y el tratamiento de elección es el enfoque quirúrgico con un excelente pronóstico.

El presente reporte de caso describe el abordaje quirúrgico del órgano dentario 43 impactado, asociado a un quiste dentígero y un odontoma en un paciente pediátrico femenino de 12 años de edad, manejado con un enfoque conservador. Se realizó la remoción de ambas entidades y se colocó aparatología ortodóntica en el canino para realizar la tracción a su correcta posición en el arco dentario.



PRESENTACIóN DEL CASO

Paciente femenino de 12 años de edad sin antecedentes patológicos relevantes; fue referida al postgrado de periodoncia de la Universidad de Guadalajara, por observar radiográficamente un canino mandibular impactado, identificado por su ortodoncista tratante. En la evaluación clínica intraoral se identificó la ausencia del órgano dentario 43 y la presencia de un diastema entre los órganos dentarios 42 y 44; no se observó abultamiento o deformidad en la mucosa asociada a esa zona.

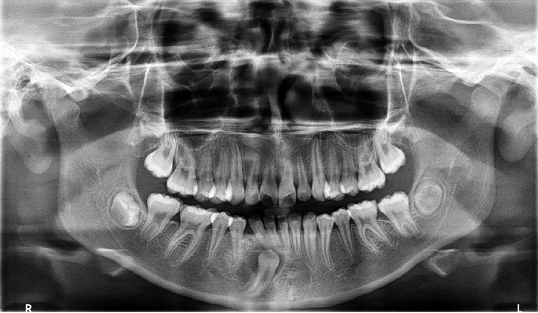
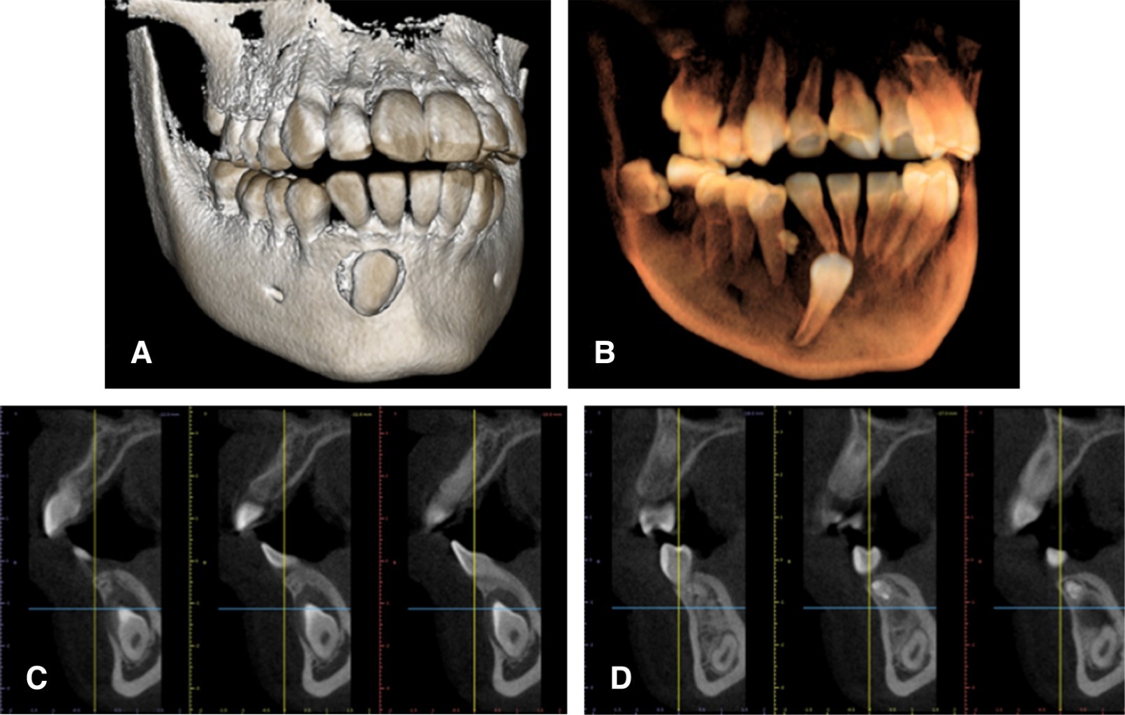
En la radiografía panorámica se observó una zona radiolúcida alrededor de la corona del órgano dentario 43, con márgenes bien delimitados que emergen de la unión amelocementaria, con medida aproximada de 15 mm de diámetro; también se identificó una imagen independiente a la anterior, la cual es mixta radiolúcida y radiopaca con bordes bien definidos, mesial al órgano dentario 44, a nivel de tercio medio radicular (Figura 1). La tomografía computarizada (TC) reveló que la cavidad quística rodeaba la corona del órgano dentario 43 (Figura 2). Por las características de los exámenes radiográficos, el diagnóstico presuntivo de la entidad alrededor de la corona del órgano dentario 43 fue un quiste dentígero, y el de la entidad mesial al 44 fue un odontoma. Se planificó una cirugía con el objetivo de realizar la escisión quirúrgica completa de ambas entidades y efectuar estudio histopatológico para corroborar su diagnóstico y, de ser posible, la colocación de un aditamento de ortodoncia en el órgano dentario 43 para su futura tracción y correcto posicionamiento en la arcada.

En el abordaje quirúrgico, se realizó un colgajo mucoperióstico para tener total acceso y visibilidad de la zona para remover las dos entidades. Para la enucleación de la lesión asociada al canino, se utilizó una cureta de Lucas, con la cual se removió la cápsula y el tejido circundante a la corona del canino retenido. El tejido removido fue tejido mucoso con forma irregular de diámetros variados (4 a 12 mm), de coloración grisácea blanquecina, de aspecto fibroso, que fue colocado en solución de formaldehído al 10% para someterse al análisis histopatológico. Posteriormente, una vez localizado el sitio anatómico donde se encontraba la segunda entidad en relación con la corona del canino retenido y a la raíz del órgano dentario 44, se procedió a realizar la osteotomía con una fresa quirúrgica bola #8 de baja velocidad e irrigando con solución fisiológica (Figura 3A-C). Se removió la entidad completa en una sola pieza (Figura 4). Después se realizó osteoplastia y se procedió a la cementación con resina de un aditamento para tracción (botón ortodóncico) en la porción coronaria expuesta del canino (Figura 3D). Para realizar la tracción del canino, se utilizó una cadena elástica que va del botón recién colocado hacía la aparatología de ortodoncia. Se le indicaron instrucciones postoperatorias, evitar el cepillado y uso de hilo dental en la zona donde se realizó la cirugía, llevar una dieta blanda, evitar actividad física y exposición al sol, todo esto para mantener su higiene oral y obtener una cicatrización sin complicaciones. Después de la cirugía, el enfoque terapéutico consistió en amoxicilina 500 mg una cápsula cada ocho horas, además de ibuprofeno 600 mg una tableta cada ocho horas durante cinco días al postoperatorio. El análisis histopatológico del tejido mucoso removido reveló un quiste dentígero (Figura 5).



DISCUSIóN

En el presente caso, un paciente femenino de 12 años de edad presentó un canino mandibular impactado asociado con la presencia de un quiste dentígero y un odontoma. Los quistes dentígeros con frecuencia están asociados al tercer molar mandibular, seguidos por el canino superior, el tercer molar superior y, raramente, por el incisivo central superior, según la incidencia mostrada en el estudio del 2006 realizado por Meningaud JP y colaboradores.10 Por otro lado, el odontoma es un tumor benigno con una predilección en la arcada maxilar y comúnmente asociado a los órganos dentarios impactados.9 Estos últimos tienen clara predilección en la arcada superior con 34%, en comparación con la arcada inferior en 4%.11

Para el correcto diagnóstico de lesiones orales, son necesarias las herramientas adecuadas como: las radiografías y la tomografía computarizada (TC), que permiten observar y analizar estructuras anatómicas más definidas.7 Estas herramientas son una guía para realizar un correcto diagnóstico y permiten estructurar el plan de tratamiento y el pronóstico de patologías bucales.6-8 Alqahtani,12 en su estudio prospectivo, mostró que la TC fue el estudio diagnóstico de elección para la mayoría de los ortodoncistas al mejorar el nivel de confianza con respecto a la ubicación canina, la presencia de reabsorción radicular y la planificación del tratamiento al evitar daños a las estructuras anatómicas esenciales durante el abordaje quirúrgico. En el presente caso, la detección del quiste y del odontoma fue atribuida a la radiografía panorámica y TC solicitadas para la planeación del tratamiento de ortodoncia. Estos instrumentos permitieron una identificación temprana del quiste dentígero, por lo que sugerimos enfatizar en la importancia de un diagnóstico oportuno de las patologías orales y maxilofaciales a través de instrumentos de diagnóstico correctos; en particular del quiste dentígero debido a la posibilidad de poder originar asimetría facial, expansión del hueso, gran desplazamiento de los dientes o reabsorción radicular de los órganos dentarios adyacentes.4 Manjunatha BS y asociados,13 así como Jayanandan M y su equipo,14 recalcan la importancia de que el quiste dentígero puede sufrir un cambio neoplásico y desarrollarse en diferentes patologías como: ameloblastoma, carcinoma de células escamosas o carcinoma mucoepidermoide.

Un determinante para la elección del tratamiento del quiste dentígero es el tamaño de éste, ya que los pequeños (2 cm en promedio) idealmente deberían ser extirpados de manera quirúrgica en su totalidad, según lo mencionan Peñarrocha D y colaboradores en su artículo de 2020.15 Los quistes de mayor tamaño, que conllevan gran pérdida de hueso y lo adelgazan de forma peligrosa, con frecuencia son tratados mediante descompresión por la inserción de un drenaje quirúrgico (fenestración) o bien mediante la marsupialización, según concuerdan varios autores.6-8 En un cuadro clínico en el cual existe espacio adecuado para posicionar al diente retenido y hay vía libre desde el lugar de origen hasta el lugar de posicionamiento, la tracción con ortodoncia se puede realizar a la par de la marsupialización o la enucleación.6,8,16,17

Las técnicas quirúrgicas para exponer los caninos impactados se clasifican en intervenciones abiertas y cerradas. Con respecto a la impactación vestibular, Kokich18 propuso tres técnicas quirúrgicas: gingivectomía, colgajo en posición apical y técnica cerrada. La elección depende de la posición bucolingual, la posición vertical en relación con la unión mucogingival, la posición mesiodistal y la cantidad de encía queratinizada. Una vez que el canino impactado está en posición coronal con un adecuado espesor de encía queratinizada (2 a 3 mm de encía adherida), se puede usar cualquier técnica. Si el canino impactado se localiza apicalmente a la unión mucogingival y mesiovestibular a la raíz del incisivo lateral, se indica un colgajo en posición apical. La técnica cerrada está indicada si el canino está impactado con profundidad apicalmente a la línea mucogingival.12,18 Esta última técnica fue la implementada en el presente caso por dos consideraciones importantes. Primera, tener total acceso y visibilidad de la zona para remover el quiste y odontoma. Segunda, con la finalidad de la colocación de un aditamento de ortodoncia en el órgano dentario 43 para su futura tracción y correcto posicionamiento en la arcada. En esta técnica, particularmente es de vital importancia el seguimiento de los movimientos dentarios, esto debido a la posibilidad de que se desprenda alguno de los aditamentos ortodónticos en el proceso de la tracción.

Por otra parte, el odontoma tiende a ser asintomático y a observar su presencia tras realizar un estudio radiográfico rutinario.4 El tratamiento sugerido, en el que coinciden varios autores, es la exodoncia del odontoma y del órgano dentario retenido.1,4,19-21 Por otro lado, algunos casos clínicos reportados sugieren que el tratamiento acertado siempre será la extirpación del odontoma y si hay presencia de órganos dentarios incluidos, cuando el pronóstico es favorable y viable, se procederá a su conservación.9,11 Además, el tratamiento integral quirúrgico para la remoción del odontoma y el ortodóncico para el canino incluido que se reposicionará en la arcada, se han implementado de manera exitosa.9,11,22,23

En el presente caso, debido al tamaño del quiste, a la profundidad del órgano dentario retenido, al poco espacio disponible en la arcada y a la vía de trayecto del diente al posicionamiento final, se decidió que el tratamiento más conveniente era la enucleación del quiste, la remoción del odontoma y la colocación de aparatología ortodóntica en el mismo abordaje quirúrgico.



CONCLUSIONES

El manejo de los caninos impactados es relevante en términos de función y de estética. Un adecuado trabajo multidisciplinario y un correcto manejo quirúrgico-ortodóncico permite a los caninos retenidos una erupción correcta en el arco dental, siempre y cuando se disponga de suficiente espacio para reposicionarlos; sin embargo, esto no es posible en todos los casos.


REFERENCIAS (EN ESTE ARTÍCULO)

  1. Sarica I, Derindag G, Kurtuldu E, Naralan ME, Caglayan F. A retrospective study: Do all impacted teeth cause pathology? Niger J Clin Pract. 2019; 22 (4): 527-533. doi: 10.4103/njcp.njcp_563_18.

  2. Manne R, Gandikota C, Juvvadi SR, Rama HR, Anche S. Impacted canines: Etiology, diagnosis, and orthodontic management. J Pharm Bioallied Sci. 2012; 4 (Suppl 2): S234-S238. doi: 10.4103/0975-7406.100216.

  3. Bishara SE. Impacted maxillary canines: a review. Am J Orthod Dentofacial Orthop. 1992; 101 (2): 159-171.

  4. Neville BW, Damm DD, Allen CM, Chi AC. Oral and maxillofacial pathology. 4th ed. Missouri: Elsevier; 2015.

  5. Flores Ruiz R, Simón Sánchez E, Yánez Vico RM, Torres Lagares D, Gutiérrez Pérez JL. Odontoma compuesto asociado a un canino permanente inferior incluido. Gaceta Dental. 2013; (244): 120-127. Disponible en: http://www.coeal.es/colegiodentistas/documentos/file/244_CASO_CLINICO_Odontoma_asociado_canino.pdf

  6. Maltoni I, Maltoni M, Santucci G, Ramina F, Lombardo L, Siciliani G. Marsupialization of a dentigerous cyst followed by orthodontic traction of two retained teeth: A case report. Int Orthod. 2019; 17 (2): 365-374. doi: 10.1016/j.ortho.2019.03.019.

  7. Aoki N, Ise K, Inoue A, Kosugi Y, Koyama C, Iida M et al. Multidisciplinary approach for treatment of a dentigerous cyst - marsupialization, orthodontic treatment, and implant placement: a case report. J Med Case Rep. 2018; 12 (1): 305.

  8. Chung KR, Noh MK, Oh SH, Jeong DM, Kim SH, Nelson G. Treatment of 2 impacted molars in a large dentigerous cyst (expansile cystic lesion) with combined orthodontic and surgical therapy. Am J Orthod Dentofacial Orthop. 2020; 158 (5): 752-758. doi: 10.1016/j.ajodo.2020.06.029.

  9. Thistle BL, Muela Campos D, Nevárez Rascón MM, Ríos Barrera VA, Nevárez Rascón A. Aspectos descriptivos del odontoma: revisión de la literatura. Rev Odont Mex. 2016; 20 (4): 272-276.

  10. Meningaud JP, Oprean N, Pitak-Arnnop P, Bertrand JC. Odontogenic cysts: a clinical study of 695 cases. J Oral Sci. 2006; 48 (2): 59-62.

  11. Contar CM, Thomé CA, Pompermayer A, Sarot JR, Vinagre RO, Machado MA. Marsupialization of dentigerous cyst: report of a case. J Maxillofac Oral Surg. 2015; 14 (Suppl 1): 4-6. doi: 10.1007/s12663-011-0172-6.

  12. Alqahtani H. Management of maxillary impacted canines: A prospective study of orthodontists' preferences. Saudi Pharm J. 2021; 29 (5): 384-390. doi: 10.1016/j.jsps.2021.03.010.

  13. Manjunatha BS, Mahajan A, Mody BM, Shah V. Adenomatoid odontogenic tumor (AOT) arising from a dentigerous cyst: literature review and report of a case. J Maxillofac Oral Surg. 2015; 14 (2): 393-397.

  14. Jayanandan M, Shamsudeen SM, Srinivasan SK, Kumar SN, Pulikkottil TB. Desmoplastic ameloblastoma arising in a dentigerous cyst - a case report and discussion. J Clin Diagn Res. 2016; 10 (8): ZD38-ZD40.

  15. Peñarrocha D, Soto D, Bernabeu JC, Peñarrocha M. Enucleación de quiste dentígero mandibular y rehabilitación con implantes dentales. Dental Tribune. 2020. Disponible en: https://la.dental-tribune.com/clinical/enucleacion-de-quiste-dentigero-mandibular-y-rehabilitacion-con-implantes-dentales/

  16. Macias-Escalada E, Cobo-Plana J, Carlos-Villafranca F, Pardo-López B. Abordaje ortodóncico quirúrgico de las inclusiones dentarias. RCOE. 2005; 10 (1): 69-82.

  17. Miyawaki S, Hyomoto M, Tsubouchi J, Kirita T, Sugimura M. Eruption speed and rate of angulation change of a cyst-associated mandibular second premolar after marsupialization of a dentigerous cyst. Am J Orthod Dentofacial Orthop. 1999; 116 (5): 578-584.

  18. Kokich VG. Surgical and orthodontic management of impacted maxillary canines. Am J Orthod Dentofacial Orthop. 2004; 126 (3): 278-283. doi: 10.1016/j.ajodo.2004.06.009.

  19. Ballesteros G, Goenaga B, Toro F, Villa L, Arango M. Odontoma compuesto maxilar, reporte de un caso y revisión de literatura. Acta Odontol Venez. 2011; 49 (2): 1-11.

  20. Loughney A, Loughney JC, Vila B, Fernández M. Odontoma compuesto. Cient Dent. 2011; 8 (2): 123-126.

  21. Sinko K, Nemec S, Seemann R, Eder-Czembirek C. Clinical management of impacted and transmigrated lower canines. J Oral Maxillofac Surg. 2016; 74 (11): 2142.e1-2142.e16. doi: 10.1016/j.joms.2016.07.001.

  22. Ullaguari Landeta M, Cruz A. Tracción quirúrgica de canino impactado maxilar en paciente pediátrico asociado a la presencia de un odontoma, diagnóstico radiográfico; reporte de caso. KIRU. 2021; 18 (1): 32-39.

  23. Moturi K, Puvvada D, Kotha PR. A novel, minimally invasive technique in the management of a large cyst involving the maxilla in a child: a case report. Cureus. 2018; 10 (4): e2503. doi: 10.7759/cureus.2503.



AFILIACIONES

1 Especialidad de Periodoncia, Departamento de Clínicas Odontológicas Integrales, Centro Universitario de Ciencias de la Salud, Universidad de Guadalajara. México.

2 Práctica privada en Ortodoncia.

3 Departamento de Ciencias Médicas y de la Vida, Centro Universitario de la Ciénega, Universidad de Guadalajara. México.

4 Departamento de Bienestar y Desarrollo Sustentable, Centro Universitario del Norte, Universidad de Guadalajara. México.



CORRESPONDENCIA

Luis Antonio González Gómez. E-mail: luis_gonzalez.93@hotmail.co.




Recibido: 11 de septiembre de 2022. Aceptado: 23 de febrero de 2023.

Figura 1
Figura 2
Figura 3
Figura 4
Figura 5

2020     |     www.medigraphic.com

Mi perfil

C?MO CITAR (Vancouver)

Rev Mex Periodontol. 2022;13

ARTíCULOS SIMILARES

CARGANDO ...