medigraphic.com
ENGLISH

Revista Mexicana de Periodontología

ISSN 2007-4360 (Impreso)
Asociación Mexicana de Periodontología, Colegio de Periodoncistas A.C
  • Mostrar índice
  • Números disponibles
  • Información
    • Información general        
    • Directorio
  • Publicar
    • Instrucciones para autores        
  • medigraphic.com
    • Inicio
    • Índice de revistas            
    • Registro / Acceso
  • Mi perfil

2022, Número 1-3

<< Anterior Siguiente >>

Rev Mex Periodontol 2022; 13 (1-3)


Colgajo pediculado palatino de tejido conectivo subepitelial para preservación alveolar posterior a extracción dental: reporte de caso

Díaz Jáuregui, Enrique1; García Arévalo, Fernando1; Gómez Flores, Mara1; Fontes García, Zureya1
Texto completo Cómo citar este artículo 10.35366/113890

DOI

DOI: 10.35366/113890
URL: https://dx.doi.org/10.35366/113890
Artículos similares

Idioma: Español
Referencias bibliográficas: 33
Paginas: 20-28
Archivo PDF: 404.04 Kb.


PALABRAS CLAVE

colgajo pediculado palatino, preservación del reborde alveolar, extracción dental, quiste de retención.

RESUMEN

La extracción dental es un procedimiento muy común en la odontología. La cicatrización ósea y de los tejidos blandos, posterior a la misma, se produce con un cierto grado de atrofia alveolar y también ocurren modificaciones en dichos tejidos. La cicatrización ósea conlleva reabsorción y aposición de hueso neoformado en sus porciones buco-lingual y ápico-coronal. Para facilitar los tratamientos posteriores a la extracción dental (como la colocación de implantes), se requiere mantener los tejidos duros y blandos y estabilizar el volumen del proceso alveolar. Existen procedimientos que se enfocan en cumplir con estas características. Las técnicas de preservación de reborde alveolar se enfocan en reducir la reabsorción ósea horizontal y vertical después de una extracción. Se utilizan sustitutos óseos como los aloinjertos o xenoinjertos. Uno de ellos es el colgajo pediculado palatino de tejido conectivo subepitelial, descrito por Wang y colaboradores (1993) y por Nemcovsky y Artzi (1999). Este colgajo permite corregir defectos en anchura y altura y consiste en una banda de tejido conectivo separada de la bóveda palatina y rotada sobre el defecto. La zona donante se cubre por la porción epitelial remanente del colgajo palatino. El objetivo de este reporte de caso es la presentación de las generalidades, relevancia, indicaciones, ventajas y desventajas del procedimiento y su eficacia complementaria a técnicas de preservación de la cresta alveolar del maxilar.



INTRODUCCIóN

La extracción dental es un procedimiento muy común en la odontología que se lleva a cabo por diferentes motivos. Entre los más comunes se encuentran: caries dental y sus secuelas, periodontitis, razones ortodónticas, razones protésicas, trauma y fracturas. Otros no tan comunes son; dientes no tratables endodónticamente, dientes ectópicos, dientes incluidos relacionados a patologías quísticas, posibles retenciones radiculares, desequilibrio en las arcadas, entre otros.1

La extracción produce una cascada de eventos biológicos, mediados por la respuesta inflamatoria local que procede a la intervención quirúrgica y la ausencia de la estimulación masticatoria del periodonto, que se traduce a una alteración de la homeostasis y estructura de los tejidos periodontales. Como consecuencia, un proceso fisiológico de atrofia por falta de estimulación, caracterizado por una reabsorción del hueso alveolar e invaginación parcial de la mucosa, ocurre a lo largo de las primeras semanas después de la exodoncia. La extensión y magnitud del proceso de remodelado óseo puede variar dependiendo de factores locales y sistémicos, pero usualmente resulta en un cierto grado de reducción horizontal y vertical, que afecta de inicio la tabla vestibular. Se indican procedimientos de aumento óseo o de tejidos blandos para el manejo de rebordes edéntulos deficientes, antes o al momento de la colocación de un implante.2

En una revisión sistemática hecha por Tan y colegas. (2012),3 de los 20 estudios que cumplieron con sus criterios de inclusión, revelaron que, posterior a la extracción dental en humanos, existe una reducción marcada en el tejido duro en dimensión horizontal después de seis meses (reducción de 3.79 ± 0.23 mm). La reducción en la dimensión vertical es menos marcada (1.24 ± 0.11 mm, 0.84 ± 0.62 mm y 0.80 ± 0.71 mm en los sitios bucal, mesial y distal). Estos cambios significan que, no preservar un alveolo de manera simultánea con una extracción, se vuelve un reto en la práctica diaria por la subsecuente reabsorción ósea y reducción en sus dimensiones.4

Para intentar disminuir los eventos de reabsorción que siguen a una pérdida dental y minimizar la necesidad de procedimientos auxiliares de aumento de reborde previo a la colocación de un implante y/o restauraciones dentosoportadas (FDP), diferentes terapias interceptivas se han propuesto, como: protocolos de extracción parcial, extrusión ortodóntica y preservación del reborde alveolar (ARP) de manera inmediata después de la extracción.2

Una amplia variedad de modalidades de tratamiento de ARP ha sido descrita en los últimos 20 años, incluyendo injerto en el alveolo con un biomaterial por sí sólo,5 sobreconstrucción de la tabla vestibular,6 oclusión del acceso al alveolo al interponer un elemento de barrera,7 o una combinación de algunos de ellos,8 con o sin cicatrización por primera intención. Las terapias de ARP están indicadas con amplitud en la práctica dental actual y existe evidencia que apoya su efectividad.2

La extracción dental y ARP se definió como "cualquier intervención terapéutica local adicional a la extracción llevada a cabo de inmediato posterior a la extracción y primordialmente enfocada a preservar contornos de reborde alveolar para proveer máxima disponibilidad de hueso y/o tejido blando para colocación futura de implante o colocación de una FDP".2

Las intervenciones de ARP pueden incluir relleno del alveolo con un biomaterial (por ejemplo; partículas óseas, esponjas de colágeno o productos autólogos derivados de la sangre), que en general se conoce como preservación de reborde alveolar a través de injerto de alveolo, la aplicación única de un material de barrera (autógeno o exógeno) para proteger el compartimiento óseo subyacente, comúnmente llamado en inglés socket sealing (SS), o una combinación de ambos, ya sea por cicatrización primaria después de un avance de colgajo (cubierto) o cicatrización por segunda intención (expuesta).2

Los resultados de interés de una ARP se dividen en tres:2

  • 1. Clínicos: cambios dimensionales (lineal [horizontal, mesiobucal, medio-lingual, mesial y distal] y volumétrico) del reborde alveolar (incluyendo medidas de tejido blando y óseo), factibilidad de colocación de implante, necesidad de injerto adicional al momento de la colocación del implante, y tasa de éxito del implante.
  • 2. Radiográficos: cambios dimensionales radiográficos (lineal [horizontal, medio-bucal, medio-lingual, mesial y distal] y volumétrico) del hueso alveolar y pérdida ósea marginal alrededor de implantes.
  • 3. Medidas de resultados reportados por pacientes: incomodidad, percepción del beneficio y calidad de vida.

Al momento, no está claro si la herida principal en la cirugía de preservación o reconstrucción alveolar debe cubrir las membranas y los biomateriales. Los abordajes utilizados a la fecha varían desde simplemente colocar el injerto en el alveolo de la extracción hasta elevar y reemplazar un colgajo en la posición original con o sin exposición de la membrana a la cavidad oral.9 Yilmaz y colegas4 y Babbush y su equipo10 cerraron de manera parcial la herida sin utilizar una membrana de barrera, mientras Iasella y colaboradores8 y Carmagnola y asociados11 cerraron de manera parcial la herida primaria, pero cubrieron el alveolo/injerto expuesto con una membrana de colágeno. En contraste, Froum y su grupo12 dejaron la membrana de barrera expuesta e indicaron a sus pacientes enjuagues de clorhexidina por un periodo de tiempo prolongado. Sin embargo, la mayoría de los estudios reportaron cierre primario, ya sea por medio de un colgajo de avance coronal (CAF) sobre el alveolo/injerto por sí sólo al cubrir la membrana o por medio de un injerto palatino pediculado de espesor parcial sobre el injerto.

El colgajo palatino pediculado de tejido conectivo subepitelial para la cobertura de tejidos blandos en sitios de extracción fue publicado por Wang en el año 199313 y después por Nemcovsky y Artzi en 1999.14 Este colgajo consiste en una banda de tejido conectivo separado de la bóveda palatina y rotado sobre el defecto. El sitio donante se mantiene cubierto primordialmente gracias a la porción epitelial remanente del colgajo palatino. Este colgajo incrementa la altura y anchura del tejido blando en el sitio receptor.

El éxito con el colgajo palatino depende del grosor de la mucosa palatina, que es mayor entre caninos y molares. El colgajo puede realizarse desde los premolares al rotar a la zona anterior o desde el canino, rotando a la zona de molares o premolares, sólo cambia el suministro sanguíneo que viene desde la arteria nasopalatina o desde la arteria palatina mayor. Otro factor importante es la distancia del margen gingival al paquete neurovascular palatino que varía desde siete a diecisiete milímetros a nivel de los segundos premolares.

Indicaciones para el colgajo pediculado palatino:9,15,16

  • • Cierre de alvéolos postextracción.
  • • Cierre primario en alvéolos preservados, implantes inmediatos y regeneraciones óseas.
  • • Incremento del grosor de tejidos blandos.
  • • Corrección de defectos verticales y horizontales, dehiscencias y cierre posterior al injerto óseo.

Ventajas:9,15-18

  • • Presenta un aporte sanguíneo desde la base del pedículo, lo que reduce el riesgo de necrosis.
  • • La estética obtenida es satisfactoria.
  • • Poca morbilidad.
  • • Incremento del volumen de tejido blando en la zona receptora tanto en anchura como en altura.
  • • Es un colgajo autógeno, por lo que se integra bien con el tejido queratinizado circundante.

Desventajas:19

  • • Procedimiento quirúrgico complicado.
  • • Posible exposición de superficie ósea palatina.
  • • Dolor.
  • • Irregularidades posteriores en la superficie del área quirúrgica por epitelización secundaria a los dos o tres meses.
  • • Posible necrosis del colgajo por rotación excesiva del mismo.
  • • Lesión a la arteria palatina y hemorragia.



RELEVANCIA CLíNICA

Es un procedimiento quirúrgico ideal como complemento a otras técnicas de regeneración ósea, al igual que para aumentos de tejido blando en la zona anterosuperior. Presenta ventajas como son el cierre primario y perfusión sanguínea, aumento horizontal y vertical en zona receptora, simplicidad, mínimas complicaciones y múltiples aplicaciones en periodoncia, implantología y prostodoncia.16



QUISTE DE RETENCIóN

Los quistes de retención mucosos del seno maxilar son lesiones asintomáticas encontradas durante la examinación de imágenes. En las radiografías se observan como estructuras radiopacas, en forma de domos con un borde redondeado característico. Son lesiones de lento crecimiento. Su etiología no está muy clara, pero pueden estar relacionados con procesos alérgicos e inflamatorios de la mucosa nasal y sinusal, trauma, infecciones periapicales, periodontales, endodónticas, humedad relativa y temperatura ambiente. Por su tasa de regresión y desaparición espontánea (16 a 41%), se les debe dar seguimiento clínico y radiográfico, pero aun cuando incrementar considerablemente, no se debe llevar a cabo ningún tratamiento específico, excepto para aliviar los síntomas en caso de ser necesario.20,21 La formación de un quiste de retención se atribuye a la combinación de una obstrucción sinusal e inflamación. En cuanto a su tratamiento, en caso de requerirlo, se puede llevar a cabo una técnica de enucleación, removiéndolo por completo. En casos de quistes grandes, se puede utilizar una técnica de marsupialización. A su remoción tiene excelente pronóstico y raramente ocurre recidiva después de la sustracción.20



PRESENTACIóN DEL CASO

Se presentó paciente masculino de 27 años de edad a la Clínica de Especialidad en Periodoncia de la Facultad de Odontología de la Universidad Autónoma de Baja California en Mexicali. A la anamnesis, el paciente no refirió presentar antecedentes personales patológicos y no patológicos relevantes o que pudieran comprometer su estado periodontal o contraindicar algún procedimiento. Periodontalmente se observaron sólo cuatro sitios con bolsas periodontales de 4 mm de profundidad. Su motivo de consulta fue "rehabilitación general y estética".

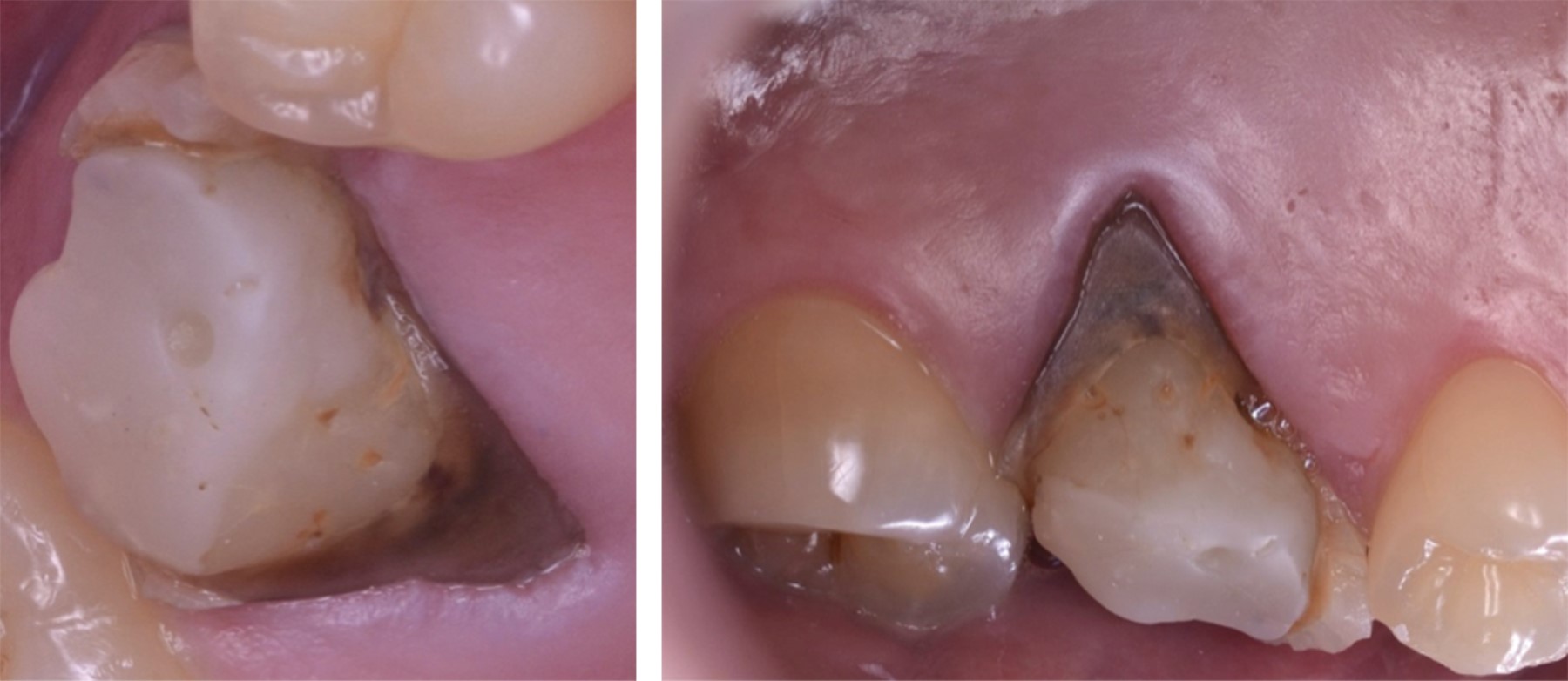
A la exploración clínica, se observó el primer molar superior derecho (OD #16) con aparente reconstrucción protésica, tejido dental remanente deficiente y una recesión palatina de en promedio cuatro milímetros y un sondaje en el sitio palatino de dos milímetros; lo que resulta en una pérdida de nivel de inserción clínica (CAL) de seis milímetros (Figura 1).

Al análisis radiográfico se observó dicho órgano dental con tratamiento de conductos y reconstrucción protésica y, al análisis tomográfico, se muestra un cuerpo radiopaco inusual dentro del seno paranasal derecho (Figura 2).

Se remitió al paciente a otorrinolaringología para la evaluación de dicho hallazgo. En la consulta, el médico especialista señaló como diagnóstico quiste de retención. El órgano dental se indica para extracción por fines protésicos, fractura dental y la presencia de dicho quiste.1 Se solicita autorización médica por escrito (la cual se otorgó por parte del otorrinolaringólogo) para poder realizar extracción, y se sugiere antibioticoterapia con quinolona, que en este caso fue levofloxacino de 750 mg por siete días antes de la intervención y siete días posteriores a ella.

Se realizó fase higiénica periodontal (detartraje y profilaxis). Se citó al paciente para extracción y se llevó a cabo ARP; se colocó una matriz colágena (MatrixDerm Tape) en los ápices del alveolo y se colocó injerto óseo de tipo aloinjerto2,9 (Allograft-LifeNet Health) (Figura 3). Se seleccionó la técnica de colgajo pediculado de paladar de tejido conectivo subepitelial para cubrir el alveolo.9

Se realizó una incisión paramarginal palatina, en promedio a dos milímetros apical de la recesión palatina (margen gingival) desde la porción distal del segundo molar superior derecho hasta la porción mesial del segundo premolar superior derecho, y una descarga distal (diseño descrito por Liu y colegas.)22 y se reflejó un colgajo mucoperióstico para obtener acceso al tejido conectivo donante (Figura 4).9

Después se realizó una incisión aguda del tejido subepitelial, paralela a la primera incisión para obtener un injerto de tejido conectivo (se buscó mantener un grosor constante de dos milímetros,15 dejándolo pediculado en la región posterior) (Figura 5). Se colocó una matriz colágena sobre el injerto óseo, se elevó el colgajo de tejido conectivo subepitelial, se tunelizó por debajo de la porción palatina y se rotó para cubrir el defecto (Figura 6).

La base del pedículo fue más ancha que la porción coronal para asegurar la adecuada vascularización.15 El colgajo pediculado se suturó en la zona vestibular con un punto simple (vicryl 4-0); se colocó otra matriz colágena sobre el injerto pediculado cubriendo el alveolo y se instaló otra matriz colágena dentro de la zona donante (por debajo del epitelio) y se realizó una sutura (nilón 4-0) en X para fijar la matriz (Figura 6).

Se indicó antibioticoterapia vía oral y terapia farmacológica antiinflamatoria vía oral (ibuprofeno de 600 mg cada ocho horas por cinco días como máximo y ketorolaco sublingual de 30 mg cada 12 horas por tres días como máximo).

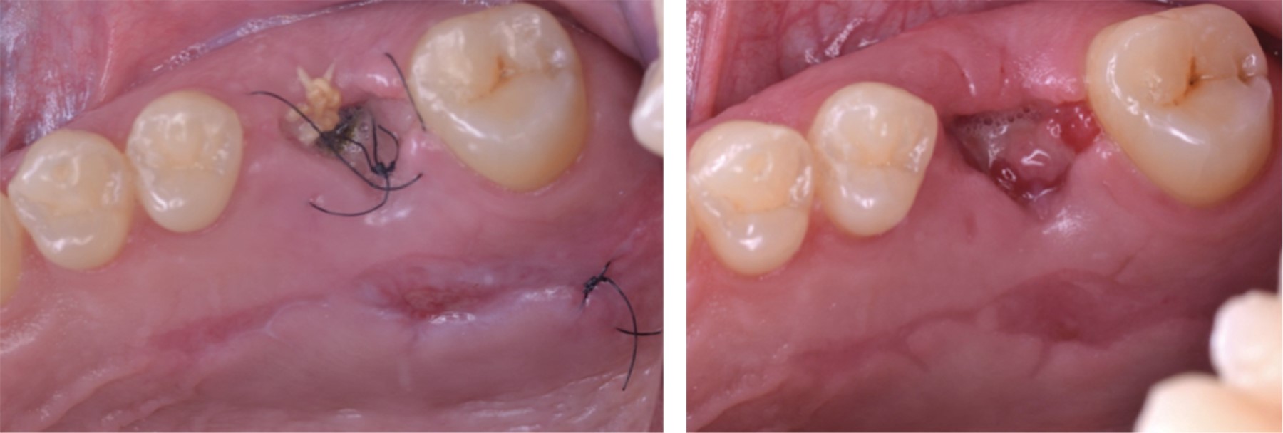
Se citó al paciente a 10 días de la intervención (Figura 7). Se observó el tejido palatino y del alveolo en proceso de epitelización con ligeras zonas de granulación. Se retiraron suturas de nilón y se citó al paciente dentro de cuatro días posteriores.

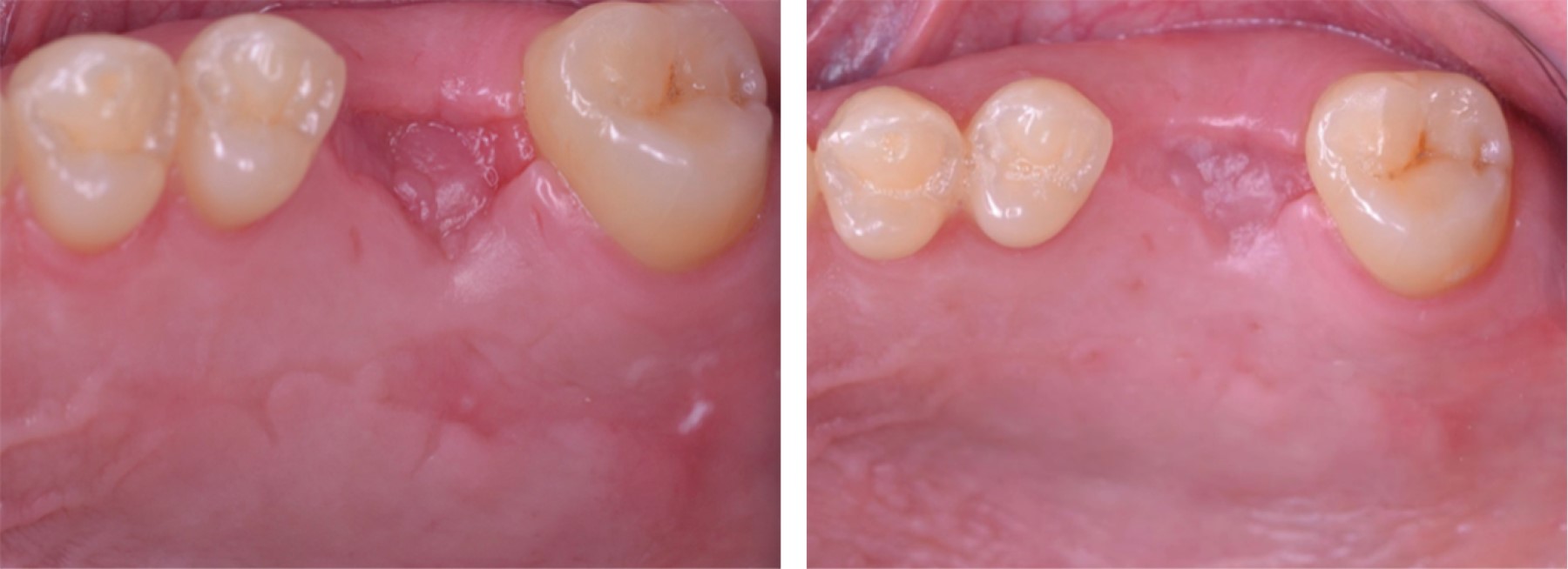
A los 14 días, se observó zona palatina aún en proceso de epitelización. En la zona del reborde, se observaron zonas ligeramente edematosas y eritematosas (Figura 7). Al mes se observó tonalidad de tejidos más uniforme, aunque todavía levemente eritematosa. A la fecha se observan resultados exitosos de la intervención, con base en la consistencia y tonalidad de los tejidos. A los seis meses se observa tonalidad de tejidos uniforme y una invaginación en la zona del alveolo. Se encuentra por completo epitelizada la zona de la recesión gingival (Figura 8).



DISCUSIóN

Un injerto pediculado de tejido conectivo subepitelial tiene resultados más predecibles ya que tiene mejor oportunidad de éxito, dado que se mantiene gran parte del suministro sanguíneo durante y después del procedimiento.9,15,23,24 La adecuada vascularización del colgajo puede explicar el porqué ocurre contracción mínima.15,24

Una limitante de este procedimiento se relaciona con la forma de la bóveda palatina. En paladares poco profundos, el paquete neurovascular está más cercano al margen gingival, que resulta en un colgajo más angosto. Si la bóveda palatina es alta y empinada, el colgajo tiende a ser más delgado.25 Otra limitante importante es el grosor del paladar. Mientras la colocación del tejido blando sobre el reborde alveolar resulta en un aumento vertical, el grado de ganancia vertical se limita al grosor del colgajo.15 Orsini y colaboradores26 reportaron que los injertos libres de tejido conectivo se encogen 43.25% al año. Esto es mayor que la contracción reportada por los injertos gingivales libres utilizados para aumento de procedimientos gingivales (25% posterior a cuatro años de seguimiento). No obstante, el incremento de tejido queratinizado en esta zona se presenta con una ganancia significativa.

En la serie de casos presentada por García y su equipo,9,16,20 se utilizó una membrana de colágeno en todos los casos donde la regeneración fue inducida si se usa un injerto en bloque o regeneración ósea guiada con biomateriales. Al igual que Simion27 y Buser,28 García y su equipo9,16,20 creen que el uso de una membrana otorga una regeneración ósea más predecible. El colgajo pediculado palatino de tejido conectivo tendrá una mejor predictibilidad en el momento que se utilizan membranas de colágeno porque, aunque la superficie del colgajo que se coloca sobre la membrana no tendrá suministro sanguíneo directo, será vascularizado con amplitud por la base y el colgajo vestibular (en caso de que se haya reflejado uno) y el palatino.24 El tejido conectivo rotado también protegerá parcialmente la membrana si se desarrolla una dehiscencia vestibular durante la cicatrización. Por ende, el colgajo reduce el riesgo de mayores complicaciones de regeneración ósea guiada que ocurren en el momento que se expone la membrana.24

Nemcovsky14 y Goldstein29 propusieron la fijación del pedículo al suturarlo en el área vestibular, simplificando la técnica y ayudando a reducir el tiempo de trabajo.

El sangrado en el sitio donador se reportó con otras técnicas donde se toma un injerto de tejido conectivo subepitelial.15,30,31 Se sugiere el uso de una plantilla para minimizar el riesgo potencial de sangrado.15

Nemcovsky y Artzi14 describieron una técnica para lograr el cierre primario en alvéolos extraídos del maxilar. Esta técnica ofrece un abordaje valioso para lograr el cierre primario de los tejidos blandos sobre injertos óseos y/o membranas oclusivas (aunque no siempre se requieren en caso de extracción de un sólo diente). Su estudio consistió en 40 sitios de extracción en un total de 32 pacientes. Dos grupos de tratamientos fueron evaluados. En el grupo A, que involucró 20 sitios en 20 pacientes, no se utilizaron membranas de barrera. En el grupo B, que incluyó 20 sitios en 12 pacientes, se utilizaron membranas oclusivas. Ninguno de los sitios era candidato a colocación de implante simultánea a la extracción. Se colocaron implantes de seis a nueve meses después del primer procedimiento, ya que cicatrizaron los tejidos duros y blandos.

Grupo A (sin uso de membrana): se realizó una incisión intrasulcular alrededor del diente o dientes a extraerse y alrededor de los dientes proximales en la zona palatina. Se preservó la máxima cantidad de tejido blando posible, incluyendo las papilas. Se reflejó un colgajo mucoperióstico palatino. Se extendió al menos un diente mesial y un diente distal desde el diente o dientes indicados para extracción.

El tejido de granulación, el epitelio y las fibras de Sharpey que se insertaban al hueso, fueron desbridadas posterior a la extracción atraumática. Ya que no se utilizó una membrana, no se reflejó un colgajo bucal. El colgajo palatino se dividió en dos colgajos; el más profundo contenía periostio y tejido conectivo y el colgajo superficial contenía epitelio y tejido conectivo. Una segunda incisión que comprendía sólo el colgajo profundo desconectó a estos dos colgajos. El colgajo más profundo se transformó en un colgajo pediculado, que se volvió móvil y con facilidad rotado (para asegurar el adecuado suministro sanguíneo, el pedículo se debe planificar para recibir nutrición de la arteria palatina). Los alvéolos fueron injertados con hueso y el colgajo pediculado fue colocado sobre los sitios injertados y se insertó debajo de la encía vestibular. El colgajo pediculado se suturó a la encía no reflejada y la capa superficial del colgajo palatino fue reposicionada y suturada. Se colocaron implantes después de seis a nueve meses.

Grupo B (con uso de membrana): si una membrana fue utilizada, la misma técnica que se realizó en el grupo A fue llevada a cabo, pero con el reflejado de un colgajo bucal. Posterior a la colocación del injerto óseo se cubrió el área con una membrana recortada a la medida. El colgajo palatino pediculado fue rotado, empaquetado por debajo y suturado al colgajo bucal sobre la membrana. La capa superficial del colgajo palatino fue reposicionada y suturada.

Resultados: Las inconveniencias postquirúrgicas en el grupo A fueron mínimas. El desprendimiento del colgajo palatino se observó en cuatro pacientes; sin embargo, esto no comprometió el resultado final ya que no ocurrió una mayor exposición del colgajo. En los 20 pacientes, un implante se pudo colocar de manera apropiada después del periodo de cicatrización. La anatomía de los tejidos duros y blandos fue aceptable. En tres de los 20 pacientes, al momento de la colocación del implante fue realizado otro procedimiento menor de colocación de injerto sin membrana.

Se obtuvo cierre primario sobre la membrana en todos los casos del grupo B. No se observaron reacciones tisulares adversas. En seis casos se utilizaron membranas no reabsorbibles. En todos los casos, excepto en uno, la membrana se removió al momento de la colocación del implante. En el único paciente en el que se tuvo que retirar la membrana, ocurrió una exposición prematura a las 12 semanas postquirúrgicas. Se observó exposición prematura de una membrana reabsorbible, pero la cicatrización progresó sin problemas. La anatomía de los tejidos duros y blandos fue considerada aceptable en todos los pacientes y no se realizaron procedimientos de aumento adicionales. La técnica reportada, que utiliza un colgajo palatino rotado y pediculado ofrece un abordaje para lograr un cierre de tejidos blandos sobre injertos óseos y/o membranas oclusivas.

Los quistes odontogénicos con frecuencia se encuentran en la práctica odontológica. En los senos maxilares, la patología más frecuente es el quiste de retención mucoso y ocurre en promedio en 10.1% de los casos. La edad media de los pacientes afectados es de 29 años. La condición dental y periodontal no influyen de manera significativa en la presencia de quistes de retención. No obstante, la edad y condición endodóntica se asocian con la ubicación del quiste.20

Kim y su equipo32 realizaron un estudio en donde se pretendió evaluar el pronóstico clínico del injerto óseo en el seno en pacientes con quiste de retención. En este estudio retrospectivo se realizó injerto óseo en 23 pacientes. El grupo uno consistió de ocho sujetos (10 senos) que presentaban un quiste de retención; el grupo dos incluyó 15 individuos (17 senos) sin historial patológico del seno maxilar. Para estos pacientes se realizó injerto óseo sinusal y se usó la técnica de ventana lateral. 51 implantes fueron colocados 6.22 semanas (en promedio) después del injerto sinusal. Se analizaron complicaciones como: perforación de la membrana sinusal durante la intervención, complicaciones postoperatorias, pérdida de hueso marginal después de función restaurativa, grado de éxito de los implantes y grado de supervivencia. En sus resultados no se observaron complicaciones en el grupo uno y hubo tres complicaciones en el grupo dos. En el grupo dos, dos implantes fallaron. Los tipos de complicaciones postoperatorias consistieron de dos infecciones menores y una dehiscencia. Dos implantes de los 51 en total fueron removidos y el grado de supervivencia de los implantes fue de 96.08% (grupo 1: 100%, grupo 2: 93.5%). El grado de éxito total de los implantes fue de 92.2% (grupo 1: 95%, grupo 2: 90.3%). Kim y su equipo concluyeron que el pronóstico clínico no se vio afectado por la presencia del quiste de retención.

Los resultados previos fueron similares a los de la revisión sistemática realizada por Anitua y colaboradores19 Ellos cuestionaron si la aspiración o remoción de los quistes de retención antes o durante la elevación de seno y colocación de implantes dentales afecta la supervivencia de los implantes. Identificaron 19 estudios, compuestos de dos estudios de cohorte y 17 series de caso/reporte de caso. Estos estudios comprendieron 182 pacientes con historial previo de quiste de retención o pseudoquiste en 195 senos maxilares donde se colocaron 233 implantes. Sólo se reportaron dos fallos. No se observaron diferencias en relación con el abordaje quirúrgico o en relación con la remoción/aspiración de la lesión sinusal (previo o simultáneo al injerto sinusal) o sin su remoción/aspiración. Con base en esto, concluyeron que, con los datos disponibles en la literatura: la colocación de implantes dentales, posterior a un procedimiento de elevación de seno en pacientes con quiste de retención y pseudoquistes, parece ser segura y presentar alta supervivencia independientemente de la lesión o no.



CONCLUSIONES

La técnica de colgajo pediculado rotado palatino de tejido conectivo subepitelial es un procedimiento quirúrgico complementario a otras técnicas de regeneración ósea, preservación del reborde alveolar, aumentos de tejido blando, corrección de defectos, posterior a implantes inmediatos, entre otros. Consta de una técnica especializada por las características y variantes anatómicas que presenta el paladar. El éxito depende del grosor de la mucosa palatina, de la adecuada toma del injerto y del adecuado aporte sanguíneo desde la base del injerto pediculado. Presenta también la versatilidad de que se puede aplicar en las áreas de implantología, periodoncia y prostodoncia. Una de las ventajas y características fundamentales es que es un colgajo autógeno, por lo que logra una buena integración con el tejido circundante.

En este caso se consiguieron los objetivos deseados: la extracción de un diente comprometido que no cumplía con funcionalidad ideal u óptima; se logró preservar en anchura y altura el reborde alveolar posterior a la extracción; se corrigieron los defectos de los tejidos blandos y la cicatrización de los tejidos ocurrió de manera adecuada.33

El éxito de este caso, al igual que el de todos los procedimientos y técnicas que se llevan a cabo en el área periodontal, depende de la planeación y de la correcta selección de la técnica según sea el caso.


REFERENCIAS (EN ESTE ARTÍCULO)

  1. Medina-Solís CE, Pontigo-Loyola AP, Pérez-Campos E, Hernández-Cruz P, De la Rosa-Santillana R, Navarete-Hernández JJ et al. Principales razones de extracción de dientes permanentes en una muestra de adultos mexicanos. Rev Invest Clin. 2013; 65 (2): 141-149.

  2. Ávila Ortiz G, Chambrone L, Vignoletti F. Effect of alveolar ridge preservation interventions following tooth extraction: a systematic review and meta-analysis. J Clin Periodontol. 2019; 46 (21): 195-223.

  3. Tan WL, Wong TL, Wong MC, Lang NP. A systematic review of post-extractional alveolar hard and soft tissue dimensional changes in humans. Clin Oral Implants Res. 2012; 23 (5): 1-21.

  4. Yilmaz S, Efeoglu E, Kilic AR. Alveolar ridge reconstruction and/or preservation using root form bioglass cones. J Clin Periodontol. 1998; 25 (10): 832-839.

  5. Artzi Z, Tal H, Dayan D. Porous bovine bone mineral in healing of human extraction sockets. Part 1: histomorphometric evaluations at 9 months. J Periodontol. 2000; 71 (6): 1015-1023.

  6. Brugnami F, Caiazzo A. Efficacy evaluation of a new buccal bone plate preservation technique: a pilot study. Int J Periodontics Restorative Dent. 2011; 31 (1): 67-73.

  7. Lekovic V, Camargo PM, Klokkevold PR, Weinlaender M, Kenney EB, Dimitrijevic B et al. Preservation of alveolar bone in extraction sockets using bioabsorbable membranes. J Periodontol. 1998; 69 (9): 1044-1049.

  8. Iasella JM, Greenwell H, Miller RL, Hill M, Drisko C, Bohra AA et al. Ridge preservation with freeze-dried bone allograft and a collagen membrane compared to extraction alone for implant site development: a clinical and histologic study in humans. J Periodontol. 2003; 74 (7): 990-999.

  9. García S, Molina J, Galve A, Hernández F. Usefulness of subepithelial connective tissue pedicled palatal flap in alveolar reconstruction: A report of case series. J Indian Soc Periodontol. 2022; 26: 287-294.

  10. Babbush CA. Histologic evaluation of human biopsies after dental augmentation with a demineralized bone matrix putty. Implant Dent. 2003; 12 (4): 325-332.

  11. Carmagnola D, Adriaens P, Berglundh T. Healing of human extraction sockets filled with Bio-Oss. Clin Oral Implants Res. 2003; 14 (2): 137-143.

  12. Froum S, Cho SC, Elian N, Rosenberg E, Rohrer M, Tarnow D. Extraction sockets and implantation of hydroxyapatites with membrane barriers: a histologic study. Implant Dent. 2004; 13 (2): 153-164.

  13. Wang PD, Pitman DP, Jans HH. Ridge augmentation using a subepithelial connective tissue pedicle graft. Pract Periodontics Aesthet Dent. 1993; 5 (2): 47-51; quiz 52.

  14. Nemcovsky CE, Artzi Z. Split palatal flap. I. A surgical approach for primary soft tissue healing in ridge augmentation procedures: technique and clinical results. Int J Periodontics Restorative Dent. 1999; 19 (2): 175-181.

  15. Khoury F, Happe A. The palatal subepithelial connective tissue flap method for soft tissue management to cover maxillary defects: A clinical report. Int J Oral Maxillofac Implants. 2000; 15: 415-418.

  16. García S, Molina J, Lázaro A, Aboul-Hosn S, Hernández F. Aumento de tejidos blandos mediante colgajo rotado pediculado subepitelial de paladar. A propósito de un caso. Periodoncia Clínica. 2017; 1: 27-35.

  17. Sclar AG. The vascularized interposition periosteal-connective tissue (VIP-CT) flap. In: Sclar AG, editor. Soft tissues and esthetic considerations in implant therapy. Kimberly Drive: Quintessence Books; 2003. pp. 163-187.

  18. Agarwal C, Deora S, Abraham D, Gaba R, Kumar BT, Kudva P. Vascularized interpositional periosteal connective tissue flap: A modern approach to augment soft tissue. J Indian Soc Periodontol. 2015; 19: 72-77.

  19. Balakrishnan, Ebenezer V, Prakash. Buccal & palatal advancement flap in post extraction. Eur J Mol Clin Med. 2020; 7 (5): 1585-1588.

  20. García R, Egas LS, Carneiro P, Farnezi AP, Ávila F, Ponzoni D. Mucous retention cyst in maxillary sinus expansion of maxillary tuberosity: case report. J Oral Diag. 2018; 3: 1-7.

  21. Donizeth-Rodrigues C, Fonseca-Da Silveira M, Goncalves-De Alencar AH, Garcia-Santos-Silva MA, Francisco-De-Mendonca E, Estrela C. Three-dimensional images contribute to the diagnosis of mucous retention cyst in maxillary sinus. Med Oral Patol Oral Cir Bucal. 2013; 18 (1): e151-e157.

  22. Liu CL, Weisgold AS. Connective tissue graft: A classification for incision design from the palatal site and clinical case reports. Int J Periodontics Restorative Dent. 2002; 22: 373-379.

  23. Rosenquist B. A comparison of various methods of soft tissue management following the immediate placement of implants into extraction sockets Int J Oral Maxillofac Implants. 1997; 12: 43-51.

  24. Martinez-Garcia A, Bueno JM. Incisive vessel-based palatal flap for the reconstruction of anterior maxillary soft tissues. Int J Periodontics Restorative Dent. 2011; 31: 83-89.

  25. Reiser GM, Bruno JF, Mahan PE, Larkin LH. The subepithelial connective tissue graft palatal donor site: Anatomic considerations for surgeons. Int J Periodontics Restorative Dent. 1996; 16: 130-137.

  26. Orsini M, Orsini G, Benlloch D, Aranda JJ, Lázaro P, Sanz M. Esthetic and dimensional evaluation of free connective tissue grafts in prosthetically treated patients: A 1-year clinical study. J Periodontol. 2004; 75: 470-477.

  27. Simion M, Trisi P, Piattelli A. Vertical ridge augmentation using a membrane technique associated with osseointegrated implants. Int J Periodontics Restorative Dent. 1994; 14: 496-511.

  28. Buser D, Dula K, Hirt HP, Schenk RK. Lateral ridge augmentation using autografts and barrier membranes: A clinical study with 40 partially edentulous patients. J Oral Maxillofac Surg. 1996; 54: 420-432.

  29. Goldstein M, Boyan BD, Schwartz Z. The palatal advance flap: A pedicle flap for primary coverage of immediately placed implants. Clin Oral Impl Res. 2002; 13: 644-550.

  30. Langer B, Langer L. Subepithelial connective tissue graft technique for root coverage. J Periodontol. 1985; 56: 715-720.

  31. Langer B, Calagna LJ. The subepithelial connective tissue graft. A new approach to the enhancement of anterior cosmetics. Int J Periodontics Restorative Dent. 1982; 2: 22-33.

  32. Kim SB, Yun PY, Kim YK. Clinical evaluation of sinus bone graft in patients with mucous retention cyst. Maxillofac Plast Reconstr Surg. 2016; 38 (1): 35.

  33. Anitua E, Alkhraisat MH, Torre A, Eguía A. Are mucous retention cysts and pseudocysts in the maxillary sinus a risk factor for dental implants? A systematic review. Med Oral Patol Oral Cir Bucal. 2021; 26 (3): 276-283.



AFILIACIONES

1 Especialidad en Periodoncia, Facultad de Odontología Mexicali, Universidad Autónoma de Baja California. México.



CORRESPONDENCIA

Enrique Díaz Jáuregui. E-mail: enrique.diaz@uabc.edu.mx




Recibido: 14 de marzo de 2023. Aceptado: 03 de abril de 2023.

Figura 1
Figura 2
Figura 3
Figura 4
Figura 5
Figura 6
Figura 7
Figura 8

2020     |     www.medigraphic.com

Mi perfil

C?MO CITAR (Vancouver)

Rev Mex Periodontol. 2022;13

ARTíCULOS SIMILARES

CARGANDO ...