medigraphic.com
ENGLISH

Revista Mexicana de Periodontología

ISSN 2007-4360 (Impreso)
Asociación Mexicana de Periodontología, Colegio de Periodoncistas A.C
  • Mostrar índice
  • Números disponibles
  • Información
    • Información general        
    • Directorio
  • Publicar
    • Instrucciones para autores        
  • medigraphic.com
    • Inicio
    • Índice de revistas            
    • Registro / Acceso
  • Mi perfil

2022, Número 1-3

<< Anterior

Rev Mex Periodontol 2022; 13 (1-3)


Ozonoterapia como método alternativo en el tratamiento de penfigoide ampolloso: reporte de caso clínico

Peralta Estrada, Ricardo1; Valera González, Eligio1; Coronado Pérez, Daniel2; Cuevas González, Juan Carlos3; Guzmán Gastelum, Dalia Abril1; Espinosa Cristóbal, León Francisco4; García Calderón, Alma Graciela1; Castellanos Vargas, Rosa Olimpia5; Donohue Cornejo, Alejandro1; Tovar Carrillo, Karla Lizette3
Texto completo Cómo citar este artículo 10.35366/113894

DOI

DOI: 10.35366/113894
URL: https://dx.doi.org/10.35366/113894
Artículos similares

Idioma: Español
Referencias bibliográficas: 21
Paginas: 43-47
Archivo PDF: 309.84 Kb.


PALABRAS CLAVE

terapia con ozono, penfigoide ampolloso, enfermedades autoinmunes.

RESUMEN

Introducción: el penfigoide ampolloso es un trastorno sistémico que ocasiona rupturas en el epitelio debido a la formación de ampollas subepiteliales de origen autoinmune, que pueden manifestarse en diferentes partes del cuerpo, incluyendo la mucosa oral, y suele tener afinidad por el sexo femenino. Existen diferentes tratamientos para tratar el penfigoide ampolloso. El procedimiento que mejores resultados ha mostrado es la terapia a base de corticoesteroides; sin embargo, sigue existiendo una gran cantidad de pacientes a quienes esa opción no provee los resultados esperados, por lo que se continúan buscando tratamientos que puedan proporcionar una alternativa. Presentación del caso: el objetivo de este trabajo es mostrar el efecto de la terapia a base de ozono en un caso de penfigoide ampolloso con resultados favorables. El tratamiento consistió en realizar una terapia con el uso de colutorios de agua ozonizada. Los resultados del tratamiento mostraron una mejoría clínica del paciente y el alivio de la sintomatología en cada una de las citas posteriores, lo que sugiere una eficacia del uso de agua ozonizada para el tratamiento de las lesiones de penfigoide ampolloso. Conclusión: el uso de la ozonoterapia parece tener un potencial adecuado para el tratamiento del penfigoide ampolloso. Sin embargo, la investigación de este tema a futuro será importante para su aplicación en posibles tratamientos.



INTRODUCCIóN

La cavidad bucal es uno de los principales órganos en los que se desarrollan los cuadros clínicos de distintas patologías.1 Las alteraciones gingivales mediadas por factores sistémicos y locales pueden incluir procesos autoinmunes encargados de generar degradación en la zona de la membrana basal, dando así origen al desarrollo de lesiones en forma de ampolla.2,3

Estos padecimientos en la cavidad oral son: pénfigo, penfigoide, algunos tipos de gingivitis no inducida por placa y liquen plano. Sus manifestaciones incluyen el desarrollo de úlceras, máculas eritematosas, pápulas urticariales, erosiones, vesículas y ampollas que al reventarse ocasionan mucho dolor; suelen curarse rápido y dejan una zona residual pigmentada, pero no una cicatriz.1,4-6

El pénfigo se caracteriza por el desarrollo de lesiones en forma de ampolla; suele aparecer entre los 40 y 60 años y tiene predisposición por el sexo femenino.7 El pénfigo vulgar (PV) representa aproximadamente 90% de los diagnósticos de pénfigo, teniendo manifestaciones orales en 50-90% de los casos identificados clínicamente mediante el signo de Nikolsky.7,8

El penfigoide es un trastorno poco frecuente caracterizado por la formación de ampollas subepiteliales; las formas más comunes que tienen repercusión en la cavidad oral son el penfigoide ampolloso (PA) y el penfigoide de membrana mucosas.9

El PA, es una enfermedad subdérmica que afecta de inicio a mujeres de edad avanzada.10 En 1953, Lever identificó el PA clínica e histológicamente diferente al pénfigo vulgar. En 1967, Jordon sugirió su autoinmunidad como principal factor etiológico.5 Además, se asocia a trauma cutáneo, exposición a radiaciones ionizantes o ultravioletas y algunos medicamentos sistémicos (furosemida, benzotiazidas, espironolactona y diazepam).4 Las lesiones suelen localizarse en áreas de flexión, pliegues, abdomen, teniendo repercusión en mucosas en 10-35% de los casos. Clínicamente, se manifiestan ampollas grandes y tensas, maculas eritematosas, pápulas urticariales, placas, vesículas, ampollas en la piel y mucosas de 1 a 4 cm en zonas sanas.4,5

Dentro de las alteraciones gingivales no inducidas por placa podemos identificar aquellas en las que existe una disminución del tamaño de la encía con una superficie eritematosa, lisa y pulida, de aspecto moteado con áreas rojas y grises brillantes a nivel de la encía insertada y marginal. En estadios avanzados, se observa un epitelio gris y frágil que forman vesículas que, al romperse, liberan un fluido acuoso y delgado.8,11 Tiene predisposición por el sexo femenino, suele aparecer después de los 30 años y se le ha relacionado principalmente a un desbalance hormonal.8 En casos leves, sólo estarán involucrados los tejidos gingivales; mientras que, en casos más avanzados, la mucosa bucal, la lengua y el paladar presentarán descamación dolorosa.12

El tratamiento del pénfigo y penfigoide está basado en el uso de corticosteroides,7 así como en el uso de anestésicos y tópicos como tratamiento paliativo6 y en la utilización de inmunosupresores para evitar la progresión de la enfermedad. Respecto a estos padecimientos, se ha sugerido que el tratamiento sea a través de una incisión quirúrgica más allá del límite del tejido enfermo, en algunas ocasiones, exponiendo el proceso alveolar.11

En la actualidad se recomienda eliminar todos aquellos factores locales causantes de irritación, modificar los auxiliares de higiene y el uso de estrógenos en pacientes que presenten una posible etiología hormonal.8

El ozono es una forma de oxígeno que no tiene color ni sabor y presenta una energía e inestabilidad muy grande; sus primeros usos se dieron en el siglo XIX como desinfectante para el agua. Después, el Dr. Edward Fisch fue el primero en utilizarlo como método alternativo para algunas patologías.13,14 El ozono tiene propiedades antivirales, antimicrobianas y antifúngicas, debido a que su efectividad se basa en la oxidación, lo que genera rompimiento de paredes celulares y membranas citoplasmáticas, lo cual permite una permeabilidad más grande (ozonólisis).13,15 Reportes indican que el agua que ha sido sometido de manera previa a la exposición de ozono desarrolla un alto nivel de biocompatibilidad con algunos componentes celulares, como es el caso de fibroblastos, cementoblastos y células epiteliales. Sin embargo, no existen aquellas presentaciones que tengan afinidad por microorganismos específicos.16

La Administración de Alimentos y Medicamentos de EE. UU. (FDA, por sus siglas en inglés) exige que la producción de ozono de los dispositivos médicos en interiores no supere las 0.05 ppm;17 mientras que la Administración de Seguridad y Salud Ocupacional (OSHA, por sus siglas en inglés), establece que es recomendable que en el aire exista una exposición máxima de 0.1 ppm durante ocho horas como cantidad límite.18



PRESENTACIóN DEL CASO

Paciente femenino de 61 años se presentó a consulta, refería ardor y dolor en la encía, que va de lo moderado a severo con mayor intensidad al momento de ingerir alimentos, además menciona que le incomoda la apariencia de su encía.

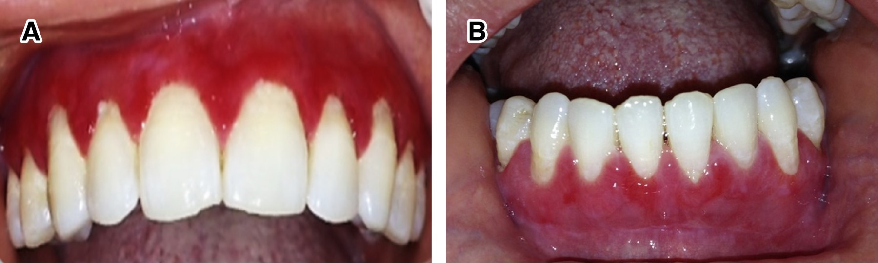
Al momento de la exploración clínica, se observaron pequeñas lesiones en piel, así como presencia de encías eritematosas positivas al signo de Nikolsky, pequeñas zonas de desprendimiento de epitelio y tejido conectivo adyacente hemorrágico, con carácter descamativo y erosivo, así como acúmulo significativo de cálculo y placa dentobacteriana (Figura 1).

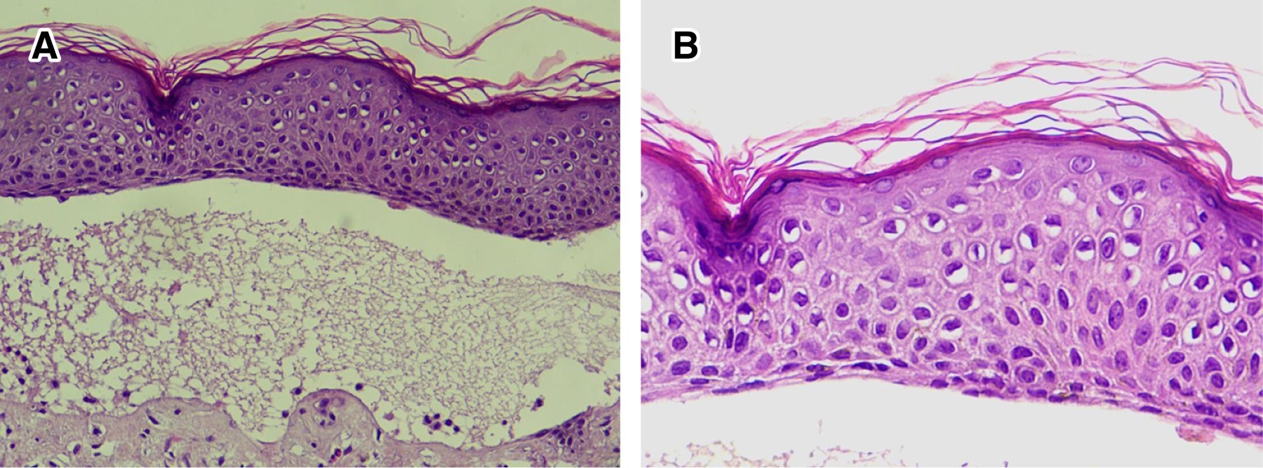
Debido a sus características clínicas y dar positivo al signo de Nikolsky se indicó la toma de biopsia de unas de las lesiones ubicadas en el antebrazo izquierdo para descartar diagnósticos diferenciales y llevar a cabo su estudio histopatológico. Microscópicamente, se encontraron vesículas subepidérmicas no acantolíticas ocupadas por leucocitos, eosinófilos entremezclados con leucocitos neutrófilos y linfocitos, así como presencia de infiltrado inflamatorio crónico con predominio linfocitario. El diagnostico histopatológico fue PA (Figura 2).

El plan de tratamiento se estableció con detartraje, profilaxis y la eliminación del tejido descamado, acompañados de la irrigación de una solución ozonizada por parte del clínico; mientras que a la paciente se le instruyó el uso de agua ozonizada generada por medio de un sistema generador de ozono en corona de la casa Carbar's modelo 03AOD (Figura 3), a una concentración de 0.0465 ppm como colutorio de tres a cinco veces por día e indicaciones de higiene, así como revisiones cada 15 días para valorar la progresión del tratamiento y su evolución.

En la primera cita, se realizó profilaxis y, debido al desprendimiento del epitelio gingival, se optó por la remoción parcial del tejido descamado al irrigarlo con una solución ozonizada.

En la segunda cita, se repitió la profilaxis y sólo se continuó con la irrigación de la solución ozonizada en la zona gingival afectada; la paciente refirió disminución paulatina del ardor y reducción del dolor casi en su totalidad (Figura 4).

En la tercera cita, el cuadro clínico fue satisfactorio al momento de la exploración y se repitió el mismo protocolo al identificar la ausencia del desprendimiento epitelial. Al finalizar el procedimiento, se le dieron las mismas indicaciones ya mencionadas (Figura 5).

Después, se le recomendó presentarse a consulta para realizar citas control cada tres meses y seguir usando el mismo protocolo sin modificar las indicaciones en casa.



DISCUSIóN

El diagnóstico adecuado de las alteraciones gingivales mediadas por factores sistémicos y locales se puede confirmar por medio de técnicas histológicas que permiten al clínico poder distinguir de sus principales diferenciales como liquen plano, eritema multiforme, pénfigo y lupus eritematoso sistémico y así poder desarrollar un plan de tratamiento con base en la etiología de la enfermedad.7 Los resultados histológicos en este caso arrojaron el diagnóstico de PA de la biopsia tomada en la piel de la región del antebrazo izquierdo de la paciente. De acuerdo con los parámetros arrojados en la cita de evaluación, el caso clínico presentado coincidió con el signo de Nikolsky como auxiliar de diagnóstico.19,20 El manejo del PA dependerá por completo de la etiología y de los factores de riesgo; en los casos donde los signos y las molestias no disminuyan, será necesario optar por un tratamiento diferente.7

El tratamiento principal de estas lesiones se basa en el uso de corticoesteroides como primera opción y suelen estar acompañados de anestésicos locales, antiinflamatorios e inmunosupresores con el fin de disminuir las molestias del paciente, aunque en algunos casos pueden ser de baja eficiencia o no brindar mejoría clínica debido a la alta incidencia de regresión.9,10,21



CONCLUSIONES

En el caso presentado, el ozono mostró ser una alternativa adecuada como complemento al tratamiento al evitar los efectos secundarios que se pueden derivar del uso de ciertos fármacos.

Con base en nuestros resultados clínicos obtenidos podemos sugerir realizar este protocolo y modificarlo de ser necesario. Un solo caso clínico no marca un protocolo a seguir, pero la baja afluencia de pacientes con este tipo de trastorno limita el tener un estudio con mayor número de participantes. Al aminorar los signos y síntomas en la paciente se pudo determinar que esta terapia alternativa es segura y efectiva en lesiones bucales relacionadas a PA.



AGRADECIMIENTOS

Al Consejo Nacional de Ciencia y Tecnología (CONACYT) y al Programa para el Desarrollo Profesional Docente (PRODEP) por el financiamiento parcial de este estudio. Al Lic. Carlos G-M Barajas Díaz, Director General de Ozono Carbar's, y al Lic. Mauricio Barajas, Gerente de Marketing, por el apoyo para el presente trabajo.


REFERENCIAS (EN ESTE ARTÍCULO)

  1. Ariyawardana A, Johnson N. Nonneoplastic diseases and disorders of the oral mucosa: A contemporary overview. Periodontol 2000. 2019; 80 (1): 7-11.

  2. Caton JG, Armitage G, Berglundh T, Chapple ILC, Jepsen S, Kornman KS et al. A new classification scheme for periodontal and peri-implant diseases and conditions - Introduction and key changes from the 1999 classification. J Clin Periodontol. 2018; 45 Suppl 20: S1-S8.

  3. Bieber K, Ernst A, Tukaj S, Holtsche M, Schmidt E, Zillikens D et al. Analysis of serum markers of cellular immune activation in patients with bullous pemphigoid. Exp Dermatol. 2017; 26 (12): 1248-1252.

  4. Pulido N, Ángulo D. Penfigoide ampolloso localizado, secundario a trauma en adulto joven: a propósito de un caso. Dermatología CMQ. 2012; 10 (4): 276-278.

  5. Cabanillas J, Guerra C. Penfigoide Ampolloso. Dermatol Peru, 2011; 21 (2): 70-75.

  6. Guiglia R, Di Liberto C, Pizzo G, Picone L, Lo Muzio L, Gallo P et al. A combined treatment regimen for desquamative gingivitis in patients with oral lichen planus. J Oral Pathol Med. 2007; 36 (2): 110-116.

  7. Schmidt E, Kasperkiewicz M, Joly P. Pemphigus. Lancet. 2019; 394: 882-894.

  8. Glickman I, Smulow J. Chronic desquamative gingivitis — its nature and treatment. J Periodontol. 1964; 35 (5): 397-405.

  9. Leuci S, Ruoppo E, Adamo D, Calabria E, Mignogna M. Oral autoimmune vesicobullous diseases: Classification, clinical presentations, molecular mechanisms, diagnostic algorithms, and management. Periodontol 2000. 2019; 80 (1): 77-88.

  10. Williams D. Vesiculo-bullous mucocutaneous disease: benign mucous membrane and bullous pemphigoid. J Oral Pathol Med. 1990; 19 (1): 16-23.

  11. Merritt AH. Chronic desquamative gingivitis. J Periodontol. 1933; 4 (1): 30-34.

  12. Scopp IW. Desquamative gingivitis. J Periodontol. 1964; 35 (2): 149-154.

  13. Almaz ME, Sonmez IŞ. Ozone therapy in the management and prevention of caries. J Formos Med Assoc. 2015; 114 (1): 3-11.

  14. Peralta R, Vázquez F, Portilla J, Carrasco N, Donohué A, Cuevas J et al. Terapia con ozono como posible tratamiento de enfermedad periodontal. Rev Mex Periodontol. 2016; 7 (3): 84-92.

  15. Di Mauro R, Cantarella G, Bernardini R, Di Rosa M, Barbagallo I, Distefano A et al. The biochemical and pharmacological properties of ozone: the smell of protection in acute and chronic diseases. Int J Mol Sci. 2019; 20 (3): 634.

  16. Huth KC, Quirling M, Lenzke S, Paschos E, Kamereck K, Brand K. Effectiveness of ozone against periodontal pathogenic microorganisms. Eur J Oral Sci. 2011; 119 (3): 204-210.

  17. Schwartz A, Martinez G. Potential use of ozone in SARS-CoV-2/COVID-19. Covid19-evidence.paho.org. [Internet]. 2020 [cited 5 December 2020]; 1-18. Available in: https://covid19-evidence.paho.org/handle/20.500.12663/1128?show=full&locale-attribute=pt_BR

  18. Canarias I. El Ozono como desinfectante frente al SARS-CoV-2. INSST [Internet]. 2020 [citado el 5 de diciembre de 2020]; 1-12. Disponible en: https://issuu.com/icaselcanarias/docs/el_ozono_como_desinfectante_frente_al_sars-cov-2__

  19. Kridin K. Pemphigus group: overview, epidemiology, mortality, and comorbidities. Immunol Res. 2018; 66 (2): 255-270.

  20. Discepoli N, Bascones Martínez A. Enfermedad de la mucosa oral: penfigoide de las membranas mucosas. Av Odontoestomatol. 2009; 25 (2): 59-66.

  21. Jiménez Y, Díaz J. Enfermedades ampollares en la cavidad oral: pénfigo. RCOE. 2004; 9 (4): 439-447.



AFILIACIONES

1 Docente del Programa de la Especialidad en Periodoncia. Universidad Autónoma de Ciudad Juárez. México.

2 Alumno Residente del Programa de la Especialidad en Periodoncia. Universidad Autónoma de Ciudad Juárez. México.

3 Docente del Programa de la Especialidad en Patología y Medicina Bucal. Universidad Autónoma de Ciudad Juárez. México.

4 Docente del Programa de la Maestría en Ciencias Odontológicas. Universidad Autónoma de Ciudad Juárez. México.

5 Docente del Programa de la Licenciatura en Gerontología. Universidad Autónoma de Ciudad Juárez. México.



CORRESPONDENCIA

Eligio Valera González. E-mail: eligio.valera@uacj.mx




Recibido: 22 de febrero de 2022. Aceptado: 23 de febrero de 2023.

Figura 1
Figura 2
Figura 3
Figura 4
Figura 5

2020     |     www.medigraphic.com

Mi perfil

C?MO CITAR (Vancouver)

Rev Mex Periodontol. 2022;13

ARTíCULOS SIMILARES

CARGANDO ...