medigraphic.com
ENGLISH

Revista Mexicana de Periodontología

ISSN 2007-4360 (Impreso)
Asociación Mexicana de Periodontología, Colegio de Periodoncistas A.C
  • Mostrar índice
  • Números disponibles
  • Información
    • Información general        
    • Directorio
  • Publicar
    • Instrucciones para autores        
  • medigraphic.com
    • Inicio
    • Índice de revistas            
    • Registro / Acceso
  • Mi perfil

2022, Número 1-3

<< Anterior Siguiente >>

Rev Mex Periodontol 2022; 13 (1-3)


Regeneración tisular guiada mediante uso de xenoinjerto en combinación con proteínas derivadas del esmalte Emdogain®: reporte de caso

Méndez Xicoténcatl, Gabriela1; Villar Mercado, Jorge Armando1; Gómez Flores, Mara1; García Arévalo, Fernando1
Texto completo Cómo citar este artículo 10.35366/113893

DOI

DOI: 10.35366/113893
URL: https://dx.doi.org/10.35366/113893
Artículos similares

Idioma: Español
Referencias bibliográficas: 19
Paginas: 37-42
Archivo PDF: 309.87 Kb.


PALABRAS CLAVE

regeneración tisular guiada, defectos intraóseos, proteínas derivadas del esmalte, biomateriales.

RESUMEN

Introducción: la terapia periodontal tiene como objetivo principal la eliminación y control de los factores etiológicos que desencadenan los procesos proinflamatorios que inducen a la pérdida de tejidos de soporte y tiene como resultado el mantenimiento y disminución de la morbilidad dental. Se han utilizado diversos biomateriales y técnicas que contribuyen en la actividad de los mediadores biológicos para lograr una restauración parcial o completa de los tejidos afectados. Los injertos óseos, membranas, proteínas derivadas del esmalte, células madre y factores de crecimiento son, en la actualidad, las propuestas habituales en la práctica periodontal y, por lo tanto, una correcta anamnesis, el estudio y selección del caso permite establecer un enfoque personalizado según las necesidades del paciente, que puede abarcar uno o varios dientes, así como implantes; el objetivo es mantener y devolver la función y estructura circundante al reducir la morbilidad e incomodidad del paciente. Objetivo: tratamiento periodontal y regeneración tisular guiada mediante xenoinjerto en combinación con proteínas derivadas del esmalte en un defecto intraóseo de una pared según la clasificación de Goldman y Cohen. Resultados: seguimiento de seis meses de una regeneración tisular guiada con un defecto intraóseo de una pared, movilidad grado uno y profundidad de sondaje de 10 mm muestra una disminución de la bolsa periodontal a 5 mm de profundidad, un alto grado de regeneración, aparente formación de ligamento periodontal, movilidad grado cero y sin presencia de sangrado. Conclusión: la posibilidad de regenerar tejidos se debe a una correcta selección de caso y técnica, conociendo la biología y biomateriales para elaborar un abordaje quirúrgico que permita restructurar la arquitectura tisular y evitar la pérdida prematura de dientes.



INTRODUCCIóN

El tratamiento periodontal tiene como objetivo eliminar los factores etiológicos que conducen a la pérdida de los tejidos de sostén de los dientes, que como consecuencia, si no es controlado de manera oportuna, desencadena una serie de sucesos proinflamatorios que inducen a la pérdida de soporte. Dicho tratamiento es realizado mediante el control de placa, raspado que consiste en la eliminación de los depósitos calcificados y el alisado que comprende la eliminación del cemento radicular enfermo mediante la remodelación de la superficie de la raíz.1 Sin embargo, el tratamiento periodontal no es sólo el control de la enfermedad, sino también regenerar el tejido dañado. El diseño de diversas técnicas de regeneración se ha desarrollado al paso de los años en búsqueda de la preservación dental.

Desde la década de 1960 se han estudiado las diversas terapias regenerativas que proponen una comprensión de la biología, fisiología y función normal de los tejidos.2

En 1984, Gotlow y colaboradores establecieron el principio biológico de la regeneración periodontal, que consistió en la colocación de una membrana como barrera que impedía la migración de células epiteliales dentro del defecto, lo que permitía que el ligamento periodontal y las células pudieran repoblar selectivamente el defecto óseo.3

La base biológica de la regeneración tisular guiada es el impedimento de la migración apical del epitelio mediante el uso de biomateriales que permitan la neoformación ósea, mineralización y osteoinducción.4 Esto permite que las células que se encuentran en el ligamento periodontal sean albergadas en el sitio regenerado.5

La ingeniería tisular beneficia de manera directa y cuantitativa a la regeneración periodontal mediante biomateriales que proporcionan andamios (aloinjertos, xenoinjertos, excluyendo o dejando como última opción a los aloplásticos) que pueden ser combinados con moléculas de señalización, tales como factores de crecimiento, proteínas derivadas del esmalte, proteínas morfogenéticas y células troncales que provocan una interacción positiva al estar en contacto con los tejidos, mejorando el pronóstico y disminuyendo la morbilidad dental.6,7

Los materiales utilizados en la regeneración tisular periodontal son: proteínas derivadas del esmalte (Emdogain®), factores de crecimiento, diferenciación, proteínas morfogénicas (rhPDGF, BMP-2, OP-1/BMP-7, FGF-2, GDF-5), fibrina rica en plaquetas.8

En 1976, Slavkin definió que las proteínas se secretan durante el desarrollo de los dientes en la vaina epitelial de Hertwig y son fundamentales en el desarrollo y formación de la raíz.9

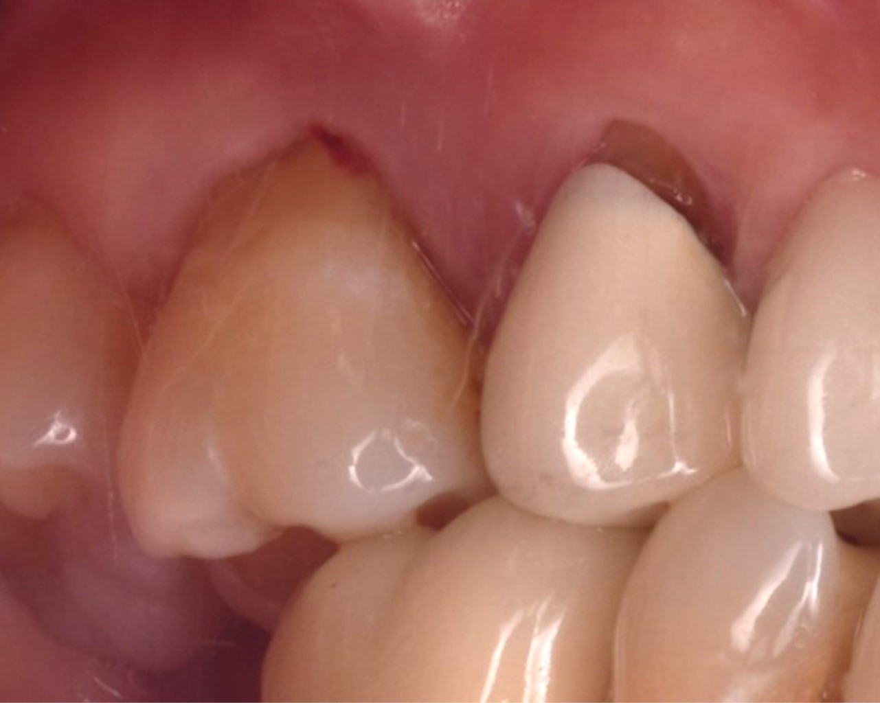
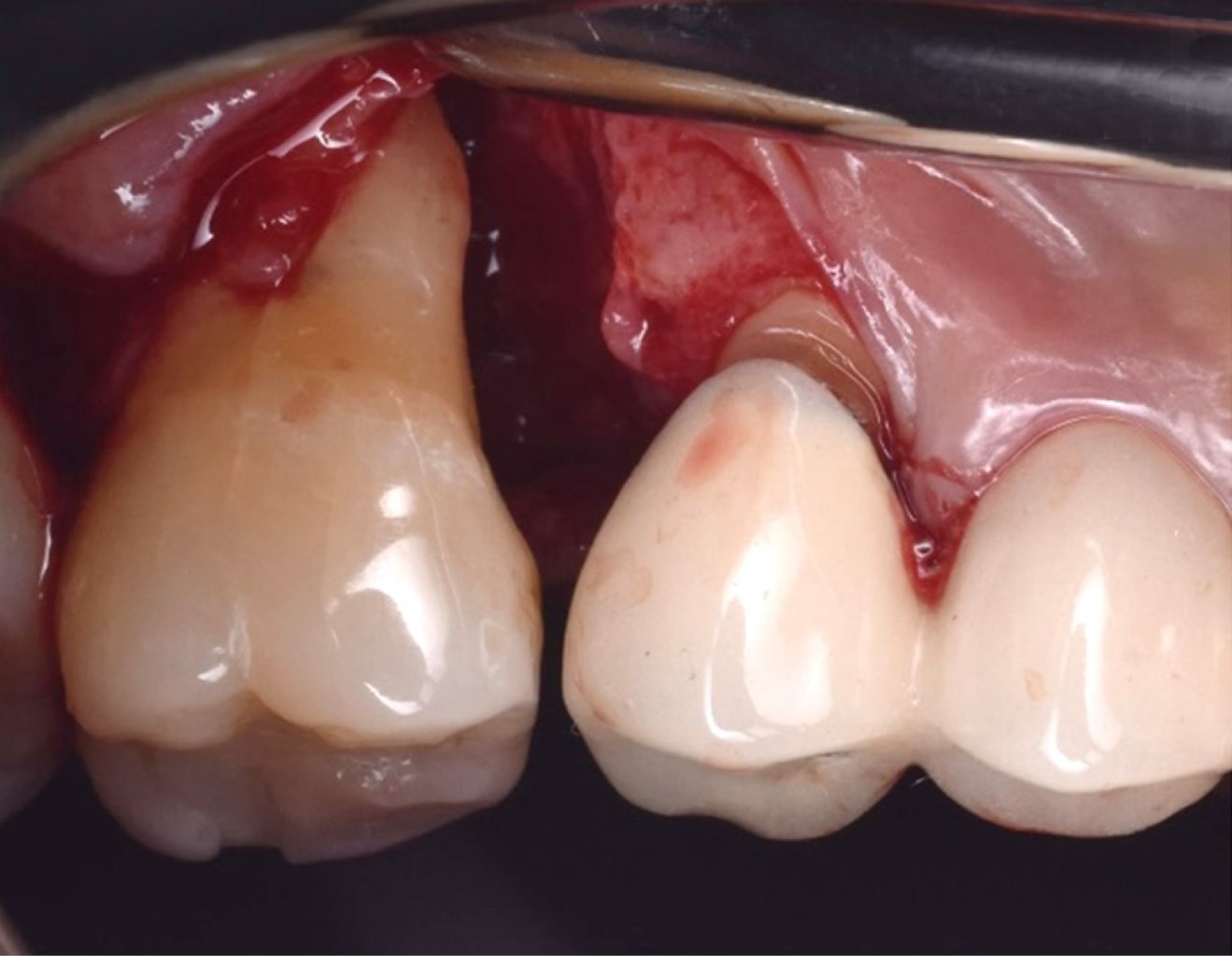
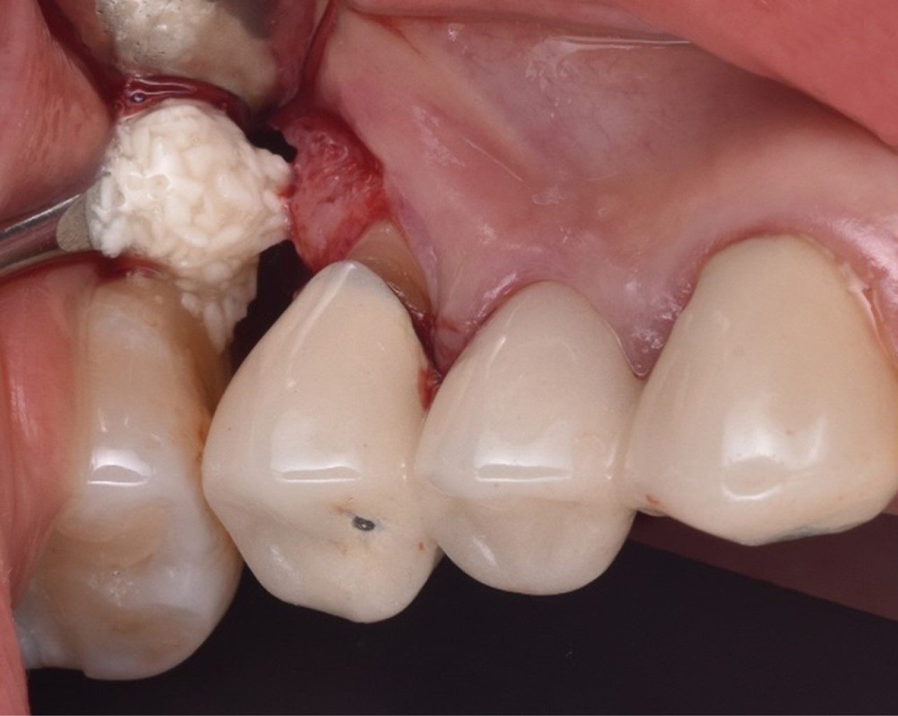
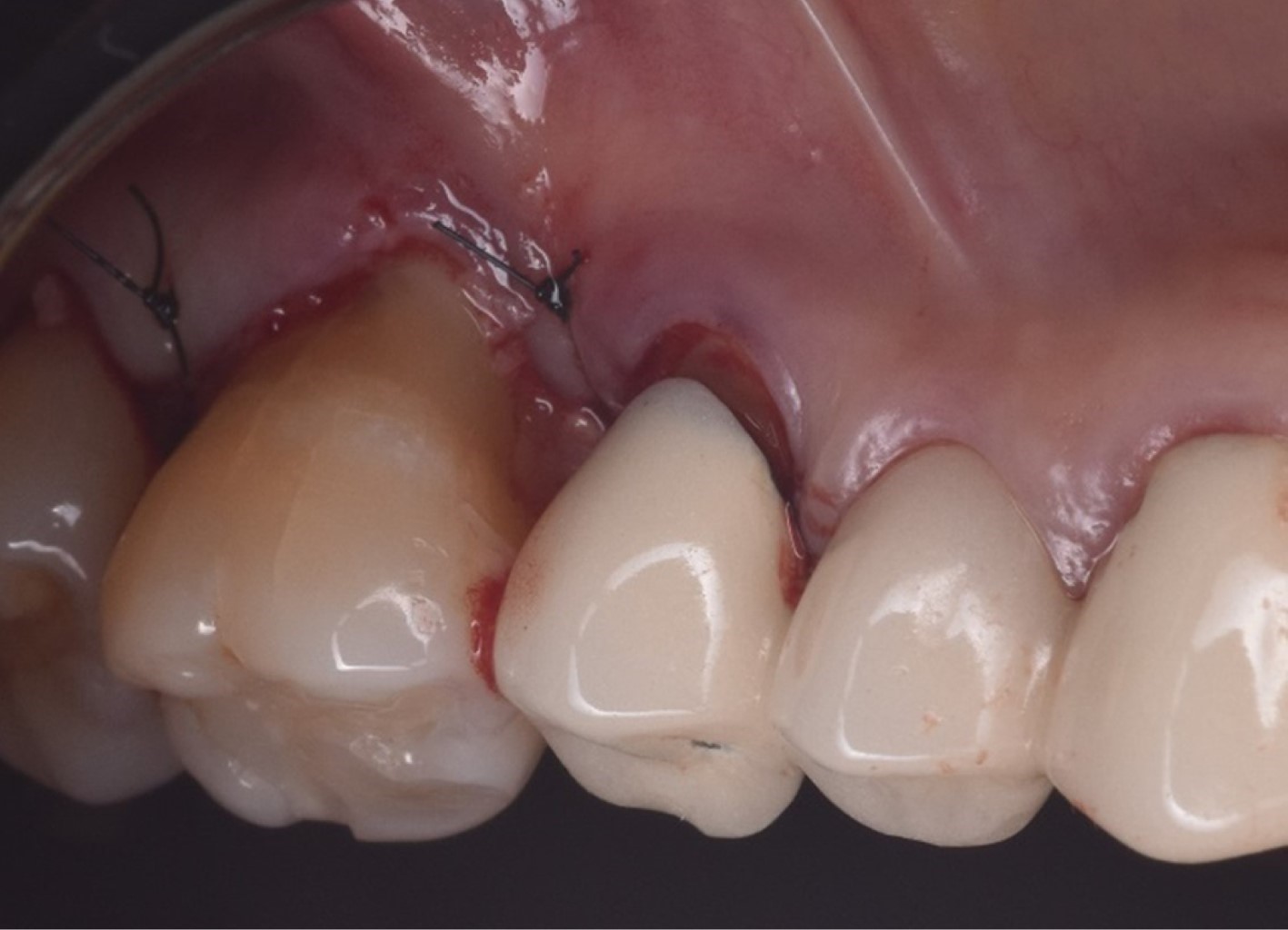
Las proteínas derivadas del esmalte (Emdogain®) se obtienen por medio de la odontogénesis en el periodo de yema de la dentadura porcina; la proteína principal es la amelogenina que presenta una biocompatibilidad con las proteínas del esmalte humano. Los cultivos in vitro han demostrado que Emdogain® al ser agregado a los fibroblastos causa una mejora en la producción de proteínas y colágeno, mineralización y proporciona condiciones favorables a la matriz, proliferación celular, migración, diferenciación y síntesis (Figuras 1, 2, 3, 4, 5 y 6). La capacidad osteogénica se relaciona de manera directa con las proteínas que contiene y esto produce una capacidad osteoinductiva y puede contener factor de crecimiento transformante beta y proteína morfogénica ósea (BMP, por sus siglas en inglés) aunque en menor cantidad.10

Los objetivos de la regeneración tisular guiada es tener una profundidad al sondaje menor o igual a 5 mm, sin sangrado al sondaje, regeneración o cierre de defectos intraóseos y defectos de furca (clase I y II). Por lo que la regeneración periodontal proveerá un nuevo cemento, ligamento periodontal y hueso alveolar.



PRESENTACIóN DEL CASO

Se presenta, en la Especialidad en Periodoncia de la Universidad Autónoma de Baja California (UABC) campus Mexicali, un paciente femenino de 60 años, ASA I, sin antecedentes patológicos, cuyo motivo de consulta es "tengo una bolsa periodontal desde los ocho años". Se realizó una evaluación extraoral en la que se detectó hipertrofia bilateral del músculo masetero, de manera intraoral se observó un fenotipo delgado, presencia de restauraciones desajustadas, desgaste por bruxismo en bordes incisales y cúspides. En el análisis clínico-radiográfico se obtuvo una profundidad de sondaje de 12 mm, efecto intraóseo de una pared según la clasificación de Goldman & Cohen (Figura 7) por vestibular del segundo molar superior derecho, movilidad grado II, con presencia de sangrado, sin sensibilidad. Radiográficamente se observó una zona radiolúcida adyacente a la raíz mesial del segundo molar superior derecho sin presencia de lesión periapical (Figura 8) y, por lo tanto, se estableció el diagnóstico según la "Clasificación de Condiciones y Enfermedades Periodontales y Periimplantarias 2017" como: salud gingival y periodontal en un periodonto reducido, paciente no periodontal, asociado a un trauma oclusal primario;11 y como factor de riesgo se tiene el antecedente de la pérdida prematura del primer molar superior derecho y la mesialización del segundo molar superior derecho.



DISCUSIóN

Los defectos intraóseos representan cierto grado de complejidad debido a que comprometen la morbilidad del diente. Se ha demostrado que los sitios que presentan mayor pérdida ósea y que no reciben tratamiento periodontal suelen evolucionar de manera negativa, condenando a una pérdida prematura dental. Una alternativa conocida con antigüedad consistía en el desbridamiento quirúrgico periodontal, eliminación mediante raspado y alisado y con el uso de cinceles, limas y fresas, devolviendo una arquitectura positiva al hueso con el fin de facilitarle al paciente la higiene en esas áreas; no obstante, el tejido de soporte se veía severamente afectado y el pronóstico del diente disminuía de manera notable.12

Un estudio realizado por Trombelli en 2002 evaluó la efectividad del injerto óseo para la regeneración periodontal y mostró resultados positivos, ya que superó a la técnica de desbridamiento por colgajo; esto quiere decir que el uso de injertos mejora el pronóstico del tratamiento.13

En 1979, Caton y Zander demostraron que con la terapia periodontal se forma un epitelio de unión largo; sin embargo, la superficie radicular tratada queda expuesta.14

Dichas circunstancias trasladaron al tratamiento periodontal a buscar el procedimiento para inducir una reparación/regeneración del tejido.

Una regeneración periodontal implica una ganancia de inserción clínica y una neoformación de cemento. Esto permite una inserción de fibras de colágeno que tendrán una orientación preferente a la forma de la raíz expuesta del diente; dicho proceso, en conjunto con la formación de hueso alveolar y ligamento periodontal, dará lugar a la estabilización del periodonto al que se le puede denominar reconstrucción periodontal.15

La regeneración tisular guiada empleada en la terapia periodontal favorece y mejora el pronóstico dental, debido a los resultados en supervivencia dental en un mediano a largo plazo y sobrepasa a la terapia convencional periodontal; esto mediante una correcta selección de caso y diagnóstico previo al tratamiento.15

El enfoque actual sobre el uso de biomateriales, en específico las proteínas derivadas de la matriz del esmalte produce una regeneración periodontal, es decir, la neoformación de ligamento periodontal, cemento, fibras del ligamento y hueso alveolar. Esto ha sido evaluado mediante estudios histológicos, en modelos animales y después en humanos.16

Se ha reportado el éxito del uso de proteínas derivadas de la matriz del esmalte con un seguimiento de hasta 21.3 años, siendo un beneficio adicional al tratamiento periodontal convencional.16

La combinación de proteínas derivadas del esmalte y xenoinjerto proporcional al defecto óseo, el ambiente propicio para reconstruirse y establecer un andamio celular que sirva como soporte al diente, el uso de xenoinjerto que es un hueso de origen bovino, porcino o equino, es biocompatible y presenta actividad osteoconductora, manteniendo el equilibrio en el crecimiento vascular, migración celular y diferenciación que, al paso de cuatro a seis meses, los espacios interparticulares se rellenan con hueso nuevo. Nannmark y colegas realizaron un estudio experimental, en el que observaron el remodelado de osteonas en sitios proximales a las partículas del injerto.17

Es importante mencionar que se puede presentar una periodontitis posterior a la terapia de regeneración, debido a los hábitos del paciente que son inherentes al tratamiento regenerativo;18 la estabilidad de los biomateriales colocados en los defectos óseos tiene una gran relación con la colaboración del paciente, la recurrencia a las citas de terapia de soporte periodontal, hábitos y el mantenimiento de higiene.



CONCLUSIONES

El uso de Emdogain® permite una regeneración periodontal con resultados positivos, ya que reduce la profundidad del sondaje, mejora la cicatrización y actúa como estimulante para la neoformación de tejidos de soporte.


REFERENCIAS (EN ESTE ARTÍCULO)

  1. Graziani F, Karapetsa D, Alonso B, Herrera D. Nonsurgical and surgical treatment of periodontitis: how many options for one disease? Periodontol 2000. 2017; 75 (1): 152-188.

  2. Sculean A, Chapple IL, Giannobile WV. Wound models for periodontal and bone regeneration: the role of biologic research. Periodontol 2000. 2015; 68 (1): 7-20.

  3. Kim CS, Choi SH, Chai JK, Cho KS, Moon IS, Wikesjo UM et al. Periodontal repair in surgically created intrabony defects in dogs: influence of the number of bone walls on healing response. J Periodontol. 2004; 75 (2): 229-235.

  4. García-Gareta E, Coathup MJ, Blunn GW. Osteoinduction of bone grafting materials for bone repair and regeneration. Bone. 2015; 81: 112-121.

  5. Gottlow J, Nyman S, Lindhe J, Karring T, Wennstrom J. New attachment formation in the human periodontium by guided tissue regeneration. Case reports. J Clin Periodontol. 1986; 13 (6): 604-616.

  6. Lynch SE, Genco RJ, Marx RE. Tissue engineering: applications in maxillofacial and periodontics. Chicago: Quintessence Publishing Co. Ltd.; 1999.

  7. Mancini L, Romandini M, Fratini A, Americo LM, Panda S, Marchetti E. Biomaterials for periodontal and peri-implant regeneration. Materials (Basel). 2021; 14 (12): 3319.

  8. Sculean A, Nikolidakis D, Nikou G, Ivanovic A, Chapple IL, Stavropoulos A. Biomaterials for promoting periodontal regeneration in human intrabony defects: a systematic review. Periodontol 2000. 2015; 68 (1): 182-216.

  9. Slavkin HC, Boyde A. Cementum: an epithelial secretory product? J Dent Res. 1975; 53: 157 (abstr.409).

  10. Velasquez-Plata D, Scheyer ET, Mellonig JT. Clinical comparison of an enamel matrix derivative used alone or in combination with a bovine-derived xenograft for the treatment of periodontal osseous defects in humans. J Periodontol. 2002; 73 (4): 433-440.

  11. Herrera D, Figuero E, Shapira L, Jin L, Sanz M. La nueva clasificación de las enfermedades periodontales y periimplantarias. Revista científica de la Sociedad Española de Periodoncia. 2018; 11: 94-110.

  12. Trombelli L. Which reconstructive procedures are effective for treating the periodontal intraosseous defect? Periodontol 2000. 2005; 37: 88-105.

  13. Trombelli L, Heitz-Mayfield LJ, Needleman I, Moles D, Scabbia A. A systematic review of graft materials and biological agents for periodontal intraosseous defects. J Clin Periodontol. 2002; 29 Suppl 3: 117-135; discussion 160-162.

  14. Caton JG, Zander HA. The attachment between tooth and gingival tissues after periodic root planing and soft tissue curettage. J Periodontol. 1979; 50 (9): 462-466.

  15. Stavropoulos A, Bertl K, Spineli LM, Sculean A, Cortellini P, Tonetti M. Medium- and long-term clinical benefits of periodontal regenerative/reconstructive procedures in intrabony defects: systematic review and network meta-analysis of randomized controlled clinical studies. J Clin Periodontol. 2021; 48 (3): 410-430.

  16. Sculean A, Windisch P, Keglevich T, Fabi B, Lundgren E, Lyngstadaas PS. Presence of an enamel matrix protein derivative on human teeth following periodontal surgery. Clin Oral Investig. 2002; 6 (3): 183-187.

  17. Nannmark U, Sennerby L. The bone tissue responses to prehydrated and collagenated cortico-cancellous porcine bone grafts: a study in rabbit maxillary defects. Clin Implant Dent Relat Res. 2008; 10 (4): 264-270.

  18. Matuliene G, Studer R, Lang NP, Schmidlin K, Pjetursson BE, Salvi GE et al. Significance of periodontal risk assessment in the recurrence of periodontitis and tooth loss. J Clin Periodontol. 2010; 37 (2): 191-199.

  19. Papapanou PN, Tonetti MS. Diagnosis and epidemiology of periodontal osseous lesions. Periodontol 2000. 2000; 22: 8-21.



AFILIACIONES

1 Especialidad en Periodoncia de la Universidad Autónoma de Baja California. México.



CORRESPONDENCIA

Gabriela Méndez Xicoténcatl. E-mail: mendez.gabriela@uabc.edu.mx
gabrielam1816@gmail.com




Recibido: 31 de mayo de 2023. Aceptado: 04 de octubre de 2023.

Figura 1
Figura 2
Figura 3
Figura 4
Figura 5
Figura 6
Figura 7
Figura 8

2020     |     www.medigraphic.com

Mi perfil

C?MO CITAR (Vancouver)

Rev Mex Periodontol. 2022;13

ARTíCULOS SIMILARES

CARGANDO ...