medigraphic.com
ENGLISH

Orthotips AMOT

ISSN 2007-8560 (Impreso)
Órgano Oficial de Difusión Científica de la Federación Mexicana de Colegios de Ortopedia y Traumatología, A.C. (FEMECOT)
  • Mostrar índice
  • Números disponibles
  • Información
    • Información general        
    • Directorio
  • Publicar
    • Instrucciones para autores        
  • medigraphic.com
    • Inicio
    • Índice de revistas            
    • Registro / Acceso
  • Mi perfil

2024, Número 1

<< Anterior Siguiente >>

Ortho-tips 2024; 20 (1)


Síndrome de osteólisis idiopática en población pediátrica: enfermedad de Gorham-Stout

Acevedo Galindo, Roberto Andrés1; Robles Ortiz, Ricardo Erik2; Gijón Mitre, Rubén3; Sánchez Sánchez, José Francisco3; Rodríguez-Messina, Alejandro Fabián4; Cuéllar Muñoz , Yolanda5
Texto completo Cómo citar este artículo 10.35366/114214

DOI

DOI: 10.35366/114214
URL: https://dx.doi.org/10.35366/114214
Artículos similares

Idioma: Español
Referencias bibliográficas: 20
Paginas: 35-41
Archivo PDF: 262.04 Kb.


PALABRAS CLAVE

enfermedad de Gorham-Stout, descompresión, malla de titanio, instrumentación transpedicular.

RESUMEN

Introducción: la enfermedad de Gorham-Stout es una patología poco frecuente, se caracteriza por presentar linfangiomatosis y hemangiomatosis. La afectación primaria de la columna vertebral es menos frecuente, presentando dolor, debilidad y alteración de la sensibilidad e incluso compresión o sección medular. La dificultad para diagnosticar esta patología se debe a la gran cantidad de diagnósticos diferenciales y la escasa información respecto a su etiología, fisiopatología y manejo terapéutico. Objetivo: reportar la enfermedad de Gorham-Stout que condiciona compresión de la medular torácica en paciente pediátrico, diagnóstico y manejo. Caso clínico: paciente femenino de 12 años con antecedente de dorsalgia, disminución de fuerza y sensibilidad de extremidades inferiores. Se realizan estudios de imagen que confirman la presencia de una lesión en T10. Se realizó descompresión quirúrgica, corpectomía con sustitución de malla e instrumentación transpedicular. Se reporta en biopsia enfermedad de Gorham-Stout, con recuperación neurológica parcial en el postquirúrgico inmediato, sin mejoría progresiva a los seis meses. Conclusiones: la enfermedad de Gorham-Stout debe considerarse en el diagnóstico diferencial en compromiso neurológico localizado. No existe protocolo de manejo establecido; se debe individualizar el tratamiento con el fin de evitar lesión neurológica completa o parcial, reversible o no.



INTRODUCCIóN

La enfermedad de Gorham-Stout forma parte de un grupo de síndromes de osteólisis idiopática, descrita por Jackson en 1838 y reportada en 24 pacientes por Gorham y Stout, es un trastorno óseo extremadamente raro desencadenado por linfangiogénesis no neoplásica y hemangiogénesis a nivel medular. Se caracteriza por osteólisis, sin regeneración ósea, infiltración a tejidos blandos y fibrosis, que ocasiona deformidad esquelética y deterioro funcional.1-3 Los sitios más frecuentes con este tipo de lesiones son el cráneo, la clavícula, la escápula, el húmero, las costillas y la pelvis.4 Se han descrito 300 casos de los cuales aproximadamente 50 se han presentado en la columna vertebral.5,6

En las primeras etapas de la enfermedad, se presenta inflamación de tejidos blandos y posteriormente pérdida de hueso. La presentación clínica varía desde el hallazgo incidental de osteólisis regional hasta la pérdida ósea masiva, condicionando inflamación, debilidad, fracturas patológicas y deterioro neurológico. Se ha relacionado con traumatismos menores que inician una reacción inflamatoria inespecífica que afecta al periostio, ocasionando osteólisis.7-10 Radiográficamente, evoluciona desde lesión osteolítica subcortical, seguido de atrofia progresiva, fractura y desaparición de parte de algunas vértebras. La tomografía computarizada evalúa la extensión de la destrucción ósea y la resonancia magnética simple es útil para diferenciar entre etapas tempranas, activas y tardías al demostrar cambios en la intensidad de la señal a lo largo del tiempo, mediante la inflamación, aumento de la permeabilidad capilar y la fibrosis.11 Histopatológicamente, se caracteriza por proliferación vascular endotelial intraósea que conduce a reabsorción ósea focal, sustitución de fibrosis, fractura y cambios en el tejido blando adyacente.12,13 Heffez estableció un conjunto de criterios diagnósticos para la enfermedad de Gorham-Stout: 1. biopsia de tejido angiomatoso o conectivo fibroso; 2. ausencia de atipia celular; 3. respuesta osteoblástica mínima o nula; 4. reabsorción ósea local progresiva; 5. lesión no ulcerativa y no provoca expansión cortical; 6. ausencia de afectación visceral; 7. patrón radiográfico osteolítico; 8. sin etiología hereditaria, metabólica, neoplásica, inmunológica e infecciosa.14

A pesar de que la fisiopatología no está completamente definida, investigaciones recientes sugieren que los fagocitos mononucleares, los osteoclastos multinucleares y el endotelio vascular, entre otros, están involucrados en la inducción de osteólisis masiva y el desarrollo de una nueva red de vasos linfáticos y vasculares.15 La enfermedad puede ser autolimitada o conducir a la muerte; existen reportes de pacientes que presentan remisión espontánea y otros en los que la evolución es tan agresiva que comprometen la vida al año de evolución.14,16 Actualmente, no existe un tratamiento establecido para esta patología; dentro de las opciones se considera cirugía, radioterapia y medicamentos, como bisfosfonatos e interferón, los cuales han reportado un éxito variable. A pesar de que ninguno de estos es satisfactorio cuando se aplica de manera aislada, se ha reportado que la radioterapia como manejo terapéutico único presenta efectos adversos como lesión por radiación, y que la resección completa de la lesión evita la progresión de la enfermedad.17 Otro procedimiento, del cual existe evidencia de mejoría, es la realización de vertebroplastia, siendo satisfactoria en el seguimiento a cuatro años.18

Se han informado pocos casos de lesiones vertebrales en niños diagnosticados con síndrome de Gorham-Stout en la literatura, por lo que se debe informar al paciente y a los cuidadores sobre la incertidumbre del resultado y el pronóstico.19,20 La importancia radica en reportar la enfermedad de Gorham-Stout, la cual condiciona compresión de la medular torácica con compromiso neurológico en un paciente pediátrico, el diagnóstico y opciones de manejo terapéutico.



PRESENTACIóN DEL CASO

Femenino de 12 años de edad, sin antecedentes heredofamiliares de importancia para padecimiento actual, niega antecedentes crónico-degenerativos, antecedentes ginecoobstétricos amenorrea primaria, alérgica a ibuprofeno, niega fracturas y cirugías con antecedente de seis meses de dolor de tipo punzante en región toracolumbar 7/10 de la escala visual análoga del dolor, posterior a caída de cama con carga axial de extremidades inferiores, el cual disminuye con el reposo y se exacerba a la deambulación. El dolor irradia a extremidades inferiores de predominio izquierdo, acompañándose de alteraciones en la sensibilidad, caracterizadas por hipoestesias en región posterior de la pierna y en la región plantar, progresando a pérdida de fuerza e incapacidad para mantener la bipedestación, motivo por el cual acude a esta unidad hospitalaria.

Es ingresada al servicio de urgencias pediátricas; valorada por el servicio de neurología pediátrica, se realiza protocolo de estudios con radiografías, potenciales evocados y electromiografía de extremidades inferiores, reportados como normales. Se complementa protocolo con punción lumbar de líquido cefalorraquídeo que presenta alteración de la relación albumino-citológica, integrándose el diagnóstico de probable Guillain-Barré atípico. Se inicia tratamiento con inmunoglobulina y metilprednisolona en bolos con mejoría parcial, se egresa con medicamento y terapia física.

Dos semanas después reingresa a hospitalización, refiriendo lumbalgia, debilidad de extremidades inferiores y dolor abdominal secundario a realizar ejercicios de rehabilitación. A la exploración, paciente en silla de ruedas con dolor lumbar y abdominal difuso a la sedestación fuerza 1/5 de la escala de Daniels L2-S1 bilateral, disestesias en mismos niveles, signo de la navaja de muelle, hiperreflexia rotuliana y Babinski bilateral. Se realiza tomografía axial computarizada de cráneo y toracoabdominal, se identifica nivel de T10 lesión lítica que compromete hemicuerpo, pedículo y lámina izquierdos, con imagen sugerente de invasión parcial de conducto medular de predominio izquierdo (Figura 1). En la resonancia magnética nuclear simple de columna torácica se observa, en cortes coronal sagital y axial a nivel de T10, una lesión isointensa en T1 e hiperintensa en T2 de predominio izquierdo que compromete el conducto medular (Figura 2).

Se realizan estudios de laboratorio con hemoglobina de 9.8 mg/dl, plaquetas 260,000/µl, leucocitos 732,000/µl, marcadores tumorales Ca 19-9, Ca 125, alfa-fetoproteína, antígeno carcinoembrionario dentro de parámetros normales.

Se integra el diagnóstico de síndrome de neurona motora inferior secundario a lesión intrarraquídea extradural T10. Se decide manejo quirúrgico consistente biopsia excisional de T10; sin embargo, se presenta sangrado de 750 cm3 por lo que se toma de biopsia; se realiza hemostasia para posterior manejo definitivo en segundo tiempo quirúrgico. Se obtiene muestra tejido tumoral de aspecto cartilaginoso y se reporta que la pieza de patología presenta características histológicas correspondientes a condroma periostal versus hemangioma.

Dos semanas después, durante seguimiento se retiran puntos de sutura; la paciente refiere sensación de chasquido y dolor intenso en región torácica. A la exploración extremidades superiores con disminución de la fuerza 4/5 y extremidades inferiores fuerza 0/5, reflejos osteotendinosos disminuidos, con reflejo de retirada al estímulo álgico en ambas extremidades, pérdida de sensibilidad en discriminación de dos puntos, pérdida de termoalgesia, pérdida de la vibración hasta el nivel T10, reflejos de estiramiento muscular con hiperreflexia patelar bilateral, clonus derecho, respuesta flexora plantar, tono y trofismo de extremidades inferiores. Babinski bilateral sin datos de irritación meníngea, sin control de esfínteres. Debido a compromiso neurológico, se realiza nueva tomografía axial computarizada y resonancia magnética nuclear de columna torácica con cambios postquirúrgicos, infiltración de la lesión a tejidos blandos, sin observarse solución de continuidad ósea patológica.

Se ingresa a hospitalización con el diagnóstico de lesión medular completa ASIA A T10 N4M2; se propone tratamiento quirúrgico consistente en abordaje toracolumbar posterior + instrumentación transpedicular T7-T8-T9 T11-T12 + corpectomía T10 + sustitución con malla de titanio vía posterior + laminectomía T8-T11.

Se realiza procedimiento quirúrgico definitivo en el cual obtenemos biopsia transoperatoria que reporta neoplasia fusocelular a clasificar en estudio definitivo. Durante evento quirúrgico encontramos tumoración dependiente de la apófisis espinosa de T10 que invade conducto medular, lámina derecha y cuerpo vertebral. Se colocan tornillos transpediculares T7-T8-T9-T11-T12, se realiza laminectomía de los mismos niveles y resección de componente tumoral, obteniéndose masa de características similares al cartílago con sangrado activo, por lo que se retira rápidamente para realizar hemostasia; al retirarse, se libera conducto medular, con expansión del saco dural no indurado. Se realiza corpectomía T10 transpedicular, retirando totalidad de lesión tumoral vertebral, así como disco intervertebral supra e infrayacente. Se realiza reemplazo vertebral con malla cilíndrica de titanio y se colocan barras y cross-link, colocándose DRENOVAC y cerrando por planos.

Se obtiene control postquirúrgico imagenológico con adecuada colocación de tornillos transpediculares y malla cilíndrica de titanio, en resonancia magnética simple se corrobora liberación del conducto medular sin cambio de intensidad de señal medular (Figura 3).

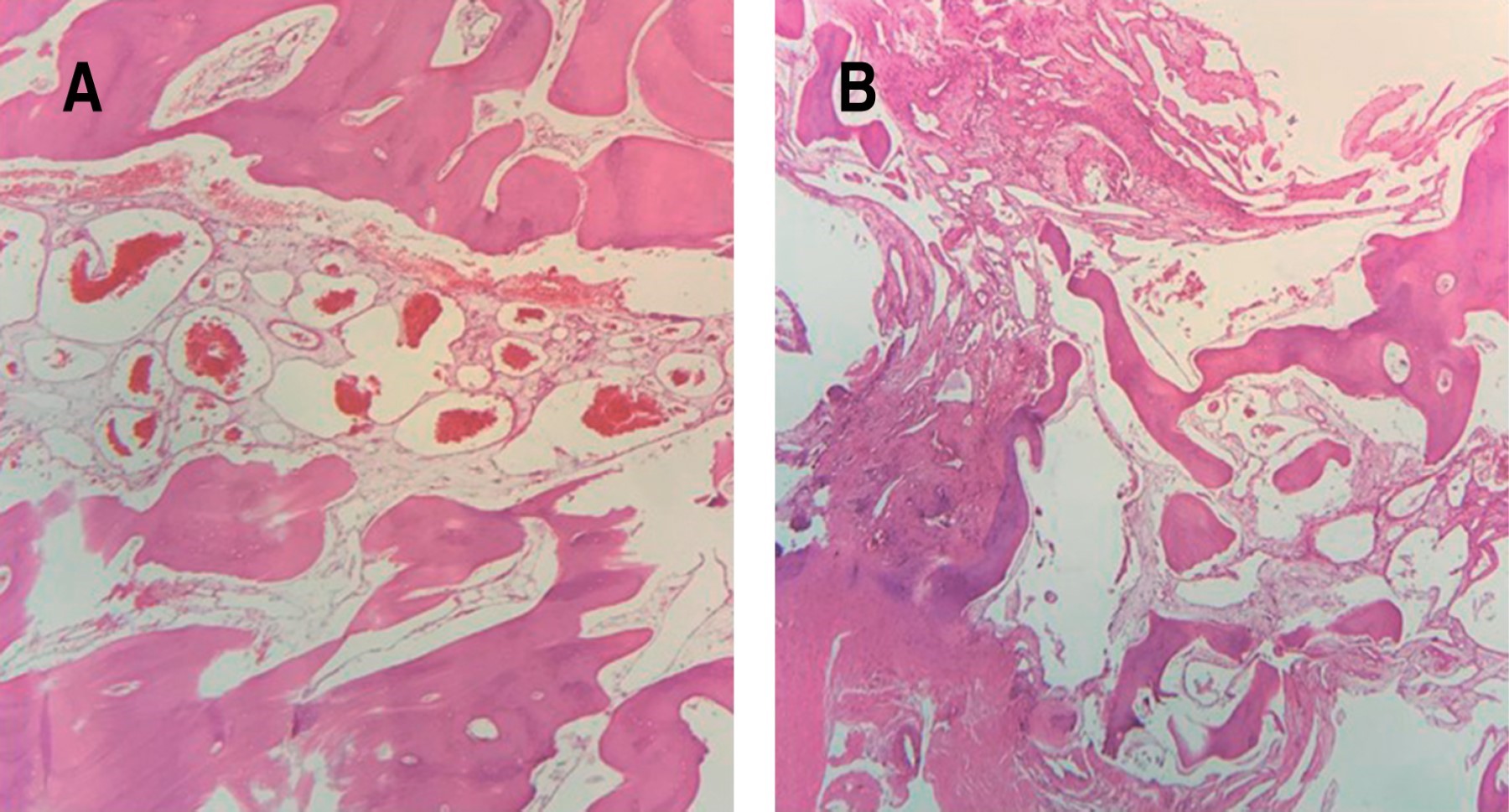
Se recaba reporte de patología con hemolinfangioma difuso compatible con la enfermedad de Gorham-Stout, el cual infiltra tejido óseo, médula ósea, tejido fibroadiposo y músculo estriado (Figura 4).

En el postquirúrgico inmediato, la paciente refiere mejoría parcial de la sintomatología específicamente, recuperación parcial de la sensibilidad de extremidades inferiores, fuerza muscular 1/5 L2-S1 bilateral, sensibilidad 1/2 L2-S1 bilateral, control de esfínteres, sin datos de neurotensión ni irritación meníngea, reflejos osteotendinosos y de estiramiento musculares normales, Babinski y clonus ausentes. Actualmente cumple su sexto mes postoperada; permanece postrada en cama, sin progreso a la mejoría, termoalgesia y vibración a nivel de T11, continúa con fuerza muscular 1/5 L2-S1 bilateral, sensibilidad 1/2 L2-S1 bilateral y control de esfínteres (Figura 5).



DISCUSIóN

La enfermedad de Gorham-Stout que compromete la columna es extremadamente rara; la mayoría de los pacientes tiene menos de 20 años, siendo la columna torácica la segunda zona más común.1 La etiología y la patogenia de la enfermedad siguen siendo desconocidas a pesar de los cerca de 300 casos informados en la literatura.5,6 Debido a la baja frecuencia de presentación del síndrome de Gorham-Stout, el diagnóstico es un desafío para los médicos y requiere la exclusión de otros trastornos asociados con la osteólisis.3 El diagnóstico cuenta con cierta complejidad pues es clínico, radiográfico e histológico; afortunadamente, en nuestro hospital contamos con estudios de gabinete y laboratorio, así como facilidad para interconsultar distintas especialidades afines al tema.

La paciente presentó dolor posterior a caída en bipedestación, lo cual se relaciona con los traumatismos menores como precursores en el origen de la enfermedad.10 El diagnóstico oportuno presenta un gran desafío y requiere un alto nivel de sospecha y especialización; en un principio se manejó como una probable patología autoinmune, con mejoría relativa posterior al tratamiento, pero al presentar un cuadro clínico con súbito compromiso neurológico y localizado, se solicitan estudios de imagen específicos. Cuando existe la sospecha de lesión vertebral que comprime la médula en un paciente pediátrico, es imperativo identificar las características de las imágenes que podrían indicar un proceso infiltrativo. En la resonancia magnética nuclear se observaba la lesión hipointensa en las imágenes en secuencia T1 e hiperintensa en T2, lo cual, según la literatura, corresponde a fibrosis y aumento de la permeabilidad capilar e inflamación, respectivamente.11 El resultado de patología reportó abundantes vasos sanguíneos ocupados por eritrocitos y fibrina, así como vasos linfáticos ocupados por una sustancia amorfa. Tanto los vasos sanguíneos como los linfáticos sin atipia, infiltran el tejido adiposo, músculo estriado, cartílago, tejido fibroso parcialmente hialinizado, espículas óseas y médula ósea, correspondiente a la enfermedad de Gorham-Stout.14

El deterioro neurológico progresivo secundario a la enfermedad de Gorham-Stout es indicación para realizar descompresión quirúrgica, a pesar de que se ha asociado a sangrado excesivo, fusión intersomática fallida, síntomas sin cambios y fracturas patológicas.11 Sin embargo, la presencia de déficit neurológico secundario a compresión nerviosa justifica la intervención quirúrgica temprana con el objetivo de disminuir el riesgo de lesión medular irreversible. En este caso como módulo especializado en cirugía de columna, hemos realizado la combinación de distintos procedimientos, laminectomía para descomprimir la médula espinal por el hemangioma, corpectomía con la resección de la lesión tumoral, instrumentación con tornillos transpediculares y malla para estabilizar la vértebra afectada, logrando resultados favorecedores a corto plazo.

La poca información sobre esta patología, la alta mortalidad cuando el esqueleto axial está involucrado, el fracaso del implante debido a la osteólisis, el riesgo de fusión fallida, el riesgo-beneficio de la radioterapia y los resultados variables con el uso de los modificadores metabólicos óseos, representan un reto diagnóstico y terapéutico, por lo que es importante reportar el diagnóstico y la eficacia del manejo terapéutico. Dentro de las limitaciones del estudio encontramos que, al ser reporte de caso único, no se cuenta con la facilidad de comparar historia clínica, diagnóstico y evolución. Se necesita futura investigación en la misma línea para obtener más información que dirija hacia la estrategia de tratamiento más adecuada, por lo que no se puede generalizar la eficacia del manejo quirúrgico realizado en este caso.



CONCLUSIONES

La enfermedad de Gorham-Stout es un padecimiento poco común debe considerarse en el diagnóstico diferencial en compromiso neurológico localizado. Con base en este reporte se pueden realizar futuros manejos terapéuticos con el fin de encontrar el tratamiento óptimo. No existe protocolo de manejo establecido, pero el objetivo es evitar lesión neurológica completa o parcial, reversible o no.

Al ser una patología poco frecuente, especialmente en pediátricos, el manejo expuesto en este reporte parece una forma segura y efectiva de lograr una descompresión adecuada, eliminar el dolor y estabilizar la columna. Se requiere de seguimiento a largo plazo para evaluar la eficacia de esta combinación de procedimientos y seguimiento histopatológico para corroboración de los mismos.


REFERENCIAS (EN ESTE ARTÍCULO)

  1. Srivastava SK, Aggarwal RA, Nemade PS, Bhoale SK. Vanishing bone disease of chest wall and spine with kyphoscoliosis and neurological deficit: a case report and review of literature. Indian J Orthop. 2017; 51 (1): 107-114.

  2. Lekovic GP, Mariwalla NR, Horn EM, Chang S, Rekate HL, Theodore N. Skeletal dysplasia involving the subaxial cervical spine. Report of two cases and review of the literature. Neurosurg Focus. 2006; 20 (2): E8.

  3. López García IM, Lorenzo Domínguez MT, Fernández Martínez AM, Cuesta Marcos MT. Massive osteolysis in a patient with Gorham-Stout syndrome. Reumatol Clin. 2021; 17 (8): 485-488.

  4. Khosrovi H, Ortiz O, Kaufman HH, Schochet SS, Reddy GN, Simmons D. Massive osteolysis of the skull and upper cervical spine. Case report and review of the literature. J Neurosurg. 1997; 87 (5): 773-780.

  5. Maillot C, Cloche T, Le Huec JC. Thoracic osteotomy for Gorham-Stout disease of the spine: a case report and literature review. Eur Spine J. 2018; 27 (9): 2285-2290.

  6. Ganal-Antonio AK, Samartzis D, Bow C, Cheung KMC, Luk KDK, Wong YW. Disappearing bone disease of the humerus and the cervico-thoracic spine: a case report with 42-year follow-up. Spine J Off J North Am Spine Soc. 2016; 16 (2): e67-75.

  7. Al Kaissi A, Bouchoucha S, Shboul M, Kenis V, Grill F, Ganger R, et al. Massive axial and appendicular skeletal deformities in connection with Gorham-Stout syndrome. Medicines. 2019; 6 (2): 54.

  8. Chong Ng L, Sell P. Gorham disease of the cervical spine-a case report and review of the literature. Spine. 2003; 28 (18): E355-358.

  9. Esper A, Alhoulaiby S, Emran A, Youssef S, Alshehabi Z. Gorham Stout disease: a case report from Syria. Oxf Med Case Rep. 2021; 2021(1): omaa121.

  10. Du CZ, Li S, Xu L, Zhou QS, Zhu ZZ, Sun X, et al. Spinal Gorham-Stout syndrome: radiological changes and spinal deformities. Quant Imaging Med Surg. 2019; 9 (4): 565-578.

  11. Carbó E, Riquelme Ó, García A, González JL. Vertebroplasty in a 10-year-old boy with Gorham-Stout syndrome. Eur Spine J. 2015; 24 Suppl 4: S590-593.

  12. Wang P, Liao W, Cao G, Jiang Y. A rare case of Gorham-stout syndrome involving the thoracic spine with progressive bilateral chylothorax: a case report. BMC Musculoskelet Disord. 2019; 20: 154.

  13. Ahmetgjekaj I, Kola E, Parisapogu A, Hyseni F, Roy P, Hassan A, et al. Gorham-Stout disease, a diagnosis of exclusion. Radiol Case Rep. 2022; 17 (9): 3243-3246.

  14. Liu M, Liu W, Qiao C, Han B. Mandibular Gorham-Stout disease: A case report and literature review. Medicine (Baltimore). 2017; 96 (42): e8184.

  15. Momanu A, Caba L, Gorduza NC, Arhire OE, Popa AD, Ianole V, et al. Gorham-Stout disease with multiple bone involvement-challenging diagnosis of a rare disease and literature review. Med Kaunas Lith. 2021; 57 (7): 681.

  16. Hyseni F, Vokshi V, Kola E, Fathma S, Guy A, Bushati F, et al. The importance of computed tomography (CT) scans in the early diagnosis of Gorham-Stout disease. A case report. Radiol Case Rep. 2022; 17 (3): 492-495.

  17. Jaccard A, Macedo C, Castro G, Guiroy A. Thoracic spine dislocation in Gorham-Stout syndrome: case report and literature review. Surg Neurol Int. 2018; 9: 223.

  18. Liu S, Zhou X, Song A, Kong X, Wang Y, Liu Y. Successful treatment of Gorham-Stout syndrome in the spine by vertebroplasty with cement augmentation: a case report and literature review. Medicine (Baltimore). 2018; 97 (29): e11555.

  19. Zhang H, Han C, Pang D, Yong H, Yang J, Yin P, et al. Surgical treatment of severe thoracic kyphosis and neurological deficit in a patient with Gorham-Stout syndrome: a case report and literature review. Front Surg. 2022; 9: 981025.

  20. Sell P. Expert's comment concerning Grand Rounds case entitled "Thoracic osteotomy for Gorham-Stout disease of the spine: a case report and literature review" by C. Maillot et al., Eur Spine J: doi 10.1007/s00586-014-3613-3. Eur Spine J. 2018; 27 (9): 2291-2293.



AFILIACIONES

1Residente de tercer año de la Especialidad de Traumatología y Ortopedia, Hospital Regional Puebla, ISSSTE

2Médico Especialista en Traumatología y Ortopedia INRLGII. Alta Especialidad en Cirugía de Columna Vertebral INR

3Médico Especialista en Neurocirugía

4Médico Especialista en Traumatología y Ortopedia, Hospital Regional Puebla, ISSSTE; Alta Especialidad en Cirugía de Columna Vertebral, Hospital de Ortopedia "Dr. Germán Díaz Lombardo".

5Médico Especialista en Anatomía Patológica.



Conflicto de intereses: No se reporta conflicto de intereses por ninguno de los autores ni coautores.



CORRESPONDENCIA

Dr. Roberto Andrés Acevedo Galindo. E-mail: andres.acevedogalindo@gmail.com




Recibido: 12-12-2022. Aceptado: 11-05-2023.

Figura 1
Figura 2
Figura 3
Figura 4
Figura 5

2020     |     www.medigraphic.com

Mi perfil

C?MO CITAR (Vancouver)

Ortho-tips. 2024;20

ARTíCULOS SIMILARES

CARGANDO ...