medigraphic.com
ENGLISH

Orthotips AMOT

ISSN 2007-8560 (Impreso)
Órgano Oficial de Difusión Científica de la Federación Mexicana de Colegios de Ortopedia y Traumatología, A.C. (FEMECOT)
  • Mostrar índice
  • Números disponibles
  • Información
    • Información general        
    • Directorio
  • Publicar
    • Instrucciones para autores        
  • medigraphic.com
    • Inicio
    • Índice de revistas            
    • Registro / Acceso
  • Mi perfil

2024, Número 1

<< Anterior Siguiente >>

Ortho-tips 2024; 20 (1)


Quiste de Baker gigante. Presentación de un caso

Dryjanski Lerner, Andrés1; Rodríguez Rodríguez, Iza Fernanda1; Trueba Vasavilbaso, Cesáreo1; Trueba Davalillo, Cesáreo Ángel1; Gil Orbezo, Félix1
Texto completo Cómo citar este artículo 10.35366/114215

DOI

DOI: 10.35366/114215
URL: https://dx.doi.org/10.35366/114215
Artículos similares

Idioma: Español
Referencias bibliográficas: 21
Paginas: 42-47
Archivo PDF: 222.77 Kb.


PALABRAS CLAVE

quiste de Baker, gigante, menisco, intraarticular, reporte de caso.

RESUMEN

El quiste de Baker fue descrito por Adams en 1840 como un ensanchamiento de la bursa con comunicación hacia la articulación de la rodilla. Este término proviene del Dr. William Baker quien concluyó que su aparición era debido a patología intraarticular de la rodilla, o por artritis reumatoide. Es producido por un mecanismo de válvula unidireccional de la articulación a la bursa. Los quistes se presentan en circunstancias de efusión excesiva. Presentamos un paciente femenino de 77 años con edema progresivo de pierna izquierda que imposibilita la deambulación y los arcos de movilidad. La exploración física evidenció aumento de volumen a nivel de rodilla y pierna hasta ambos maléolos, dolor a la palpación sobre hueco poplíteo y arcos de movilidad de rodilla limitados. Abordaje diagnóstico con resonancia magnética de rodilla, la cual reportó quiste de Baker de gran tamaño. Se solicitó complemento de resonancia magnética de pierna simple y contrastada con imágenes que corresponden a un quiste de Baker que se extiende hasta tercio distal de la pierna, reportándose con medidas de 31 × 4.6 × 3.9 cm, volumen de 289 cm3. Posterior a la aplicación de gadolinio, no muestra reforzamiento que sugiera otra patología. La paciente fue candidata a tratamiento conservador por patología cardiovascular.



INTRODUCCIóN

El quiste de Baker (QB) fue descrito por Adams en 1840 como un ensanchamiento de la bursa con comunicación hacia la articulación de la rodilla. Este término proviene del Dr. William Morrant Baker quien concluyó que su aparición era debida a patología intraarticular de la rodilla, o en algunos casos por artritis reumatoide.1 Actualmente se define como el acúmulo anormal de líquido sinovial en la bursa del gastrocnemio-semimembranosa.2

Los quistes poplíteos son los quistes de rodilla más frecuentes.3 Se producen por un mecanismo de válvula unidireccional de la articulación a la bursa. Los quistes se presentan en circunstancias donde existe efusión a causa de patología intraarticular o enfermedades inflamatorias o degenerativas.4 En la literatura se han descrito principalmente dos tipos: el primario idiopático donde no se reconoce un reflujo del quiste a la articulación, el cual se presenta principalmente en niños y adultos jóvenes; y por otro lado, el secundario en el que se confiere un flujo libre del quiste a la articulación, que en la mayoría de los casos se relaciona con patología intraarticular.5 Se ha observado que 25.8% de los pacientes con dolor de rodilla presentan concomitantemente un QB y que esta prevalencia aumenta con la edad.6 En adultos, se considera que la asociación con patología intraarticular es de aproximadamente 94%.7 Se ha observado que, cuando se asocia a gonartrosis, su prevalencia aumenta proporcional a la severidad de la patología en la clasificación de Kellgren y Lawrence.8 En México, no existen suficientes datos epidemiológicos acerca de esta patología, por lo que es importante tener más datos sobre este tema. Generalmente es un hallazgo incidental, sobre todo en niños.4,9 Si se presenta antes de los 15 años, es asintomático y no existe derrame articular.4 En adultos puede tener distintas manifestaciones. Se puede presentar como una neuropatía con dolor, sensación quemante, y parestesias; y puede llevar a atrofia de los gastrocnemios. Si la vena poplítea se comprime, puede dar síntomas parecidos a una trombosis venosa profunda (TVP).10-12 A la exploración física se palpa una masa de consistencia elástica, no pulsátil, no dolorosa, en hueco poplíteo.13 También podemos encontrar el signo de Foucher, que se refiere a la palpación de una masa indurada en extensión seguida de una masa de consistencia blanda a la flexión.3 Para realizar el diagnóstico del QB, se puede utilizar ultrasonido y resonancia magnética, siendo ésta el estándar de oro diagnóstico.3,4 El diagnóstico diferencial de un QB es tumor benigno o maligno, aneurisma poplíteo, TVP, quiste parameniscal y ganglión. Puede ser de gran dificultad diferenciar el QB de otros quistes o masas, por lo que la clave para ello se centra en su localización en la bursa del gastrocnemio medial-semimembranoso.8,10

En pacientes con QB asintomático o con presencia de osteoartritis, se puede realizar un manejo conservador. La artroscopia y la escisión quirúrgica son otras opciones de tratamiento en pacientes con QB sintomático. La resolución de las lesiones intraarticulares para mejoría del QB ante la presencia de osteoartrosis grado III o IV son poco realistas.10,14-17 En este artículo presentamos el caso de una paciente con un quiste de Baker de aparición atípica con las dimensiones más grandes reportadas en la literatura actual y exponemos su abordaje diagnóstico, tratamiento y seguimiento.



PRESENTACIóN DEL CASO

Paciente femenino de 77 años de edad con diagnóstico de insuficiencia cardiaca con fracción de eyección del ventrículo izquierdo preservada, New York Heart Association (NYHA) 4, American Heart Association (AHA) C. Inicia su padecimiento tres semanas previas con edema progresivo de miembros pélvicos de predominio izquierdo, el cual imposibilita la deambulación y los arcos de movilidad.

A su llegada a urgencias, se realizó un ultrasonido Doppler ante sospecha de TVP por presentar disnea de medianos que progresa a pequeños esfuerzos (Figura 1), en el cual se reporta: trombosis de la vena safena izquierda parcialmente canalizada, pantorrilla izquierda con imagen hipoecoica. Asimismo, por sospecha diagnóstica de tromboembolia pulmonar (TEP), se realizó angiotomografía axial computarizada de tórax en la que se reportó tromboembolia pulmonar segmentaria bilateral, por lo que se inició manejo con enoxaparina 60 mg subcutáneos cada 24 horas, así como furosemida 60 mg intravenosos dosis única. En la exploración física, se encontró una extremidad pélvica izquierda con aumento de volumen a nivel de rodilla y pierna hasta ambos maléolos y datos de insuficiencia venosa periférica. Dolor a la palpación sobre hueco poplíteo, línea articular medial y lateral de rodilla sin crépito óseo palpable. Arcos de movilidad de rodilla con flexión activa de 20°, flexión pasiva de 30°, limitadas por dolor sobre hueco poplíteo, línea articular medial y lateral. Fuerza de rodilla 4/5 de la escala de Daniels por dolor referido sobre hueco poplíteo, línea articular medial y lateral y debilidad. Sensibilidad conservada por dermatomas. Reflejos osteotendinosos patelar y aquíleo ++/++. Pulsos distales presentes. Llenado capilar inmediato. Se realizaron radiografías anteroposteriores con apoyo, lateral a 30° y axial a 45° de rodilla izquierda; se observa gonartrosis con presencia de disminución del espacio articular de predominio medial, esclerosis subcondral y osteofitos, además de edema de tejidos blandos (Figura 2). Se solicitaron estudios de laboratorio los cuales informaron los siguientes resultados: péptido natriurético cerebral (BNP) 128, glucosa 71, nitrógeno ureico en sangre (BUN) 16.3, creatinina 0.45, sodio 135, potasio 6.16, tiempo de protrombina (TP) 11.7, INR 1.04, dímero D 10,994, leucocitos 11.2, hemoglobina 11.1, examen general de orina: nitritos positivos, esterasa leucocitaria 250 leu/UI.

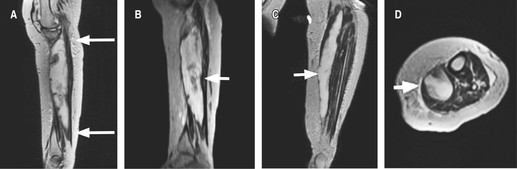
Se continuó abordaje diagnóstico con resonancia magnética de rodilla izquierda en la que se reportó: quiste de Baker, desgarro del ligamento cruzado anterior, derrame articular, contusión y acodamiento del ligamento cruzado posterior, desgarros meniscales complejos (Figura 3). En las imágenes obtenidas se visualizó un quiste de Baker de gran tamaño que no podía ser correctamente definido por las grandes dimensiones del mismo, así como por falta de cortes distales para observar bien el tamaño. Por tal motivo, se solicitó complemento de resonancia magnética de pierna izquierda simple y contrastada con proyecciones angiográficas: trayectos vasculares regulares en todos los segmentos explorados. Se observa desplazamiento de estructuras vasculares que no compromete el calibre ni morfología (Figura 4). Dicho desplazamiento se debe al efecto de masa que condiciona una lesión quística que corresponde a quiste de Baker que se extiende hasta tercio distal de la pierna, el cual presenta heterogeneidad intraluminal, con pliegues parciales de la sinovial que es de grosor uniforme y delgada, reportándose con medidas de 31 × 4.6 × 3.9 cm, con volumen de 289 cm3; posterior a la aplicación del gadolinio, no muestra reforzamiento que sugiera otra patología. Edema en tejido graso subcutáneo, identificando colecciones pequeñas adyacentes a fascias musculares de caras medial y lateral en tercios medio y proximal (Figura 5). Como complemento, se realizaron pruebas de laboratorio para descartar artritis reumatoide; se encuentra factor reumatoide y anticuerpos contra péptido cíclico citrulinado negativos; además, la paciente no cumplía con el resto de los criterios diagnósticos para artritis reumatoide. El tratamiento inicial para la paciente fue manejo conservador con antiinflamatorios no esteroideos e inicio de fisioterapia. Se propuso manejo quirúrgico, así como punción y drenaje del quiste, pero, al contar con los antecedentes cardiovasculares ya mencionados, la paciente rechazó este manejo y se continuó con un tratamiento conservador a base de antiinflamatorios, fisioterapia y vigilancia. A los seis meses de seguimiento, la paciente presenta mejoría clínica y funcional basada en la exploración física y en la sintomatología. Se solicitan estudios de imagen de control, los cuales rechaza la paciente por motivos personales; se decide continuar con seguimiento en la consulta externa con base en clínica y funcionalidad.



DISCUSIóN

El QB es el quiste más común que se forma en la articulación de la rodilla. La bursa del gastrocnemio-semimembranoso se llena y distiende por líquido que proviene de la articulación13 vía una apertura en la cápsula posterior al cóndilo femoral medial. La integridad de la cápsula articular se degenera con la edad y su apertura es resultado de ello. El mecanismo de válvula unidireccional que se forma se suma a la producción excesiva de líquido sinovial que se presenta en pacientes con patología intraarticular o enfermedades inflamatorias o degenerativas.5 La causa más común es la lesión meniscal, seguida de lesión del ligamento cruzado anterior y/o lesiones condrales. De las lesiones meniscales, 70.2% son del cuerno posterior del menisco medial.5 En el caso de nuestra paciente, la presencia de gonartrosis y lesión meniscal dieron como resultado la formación del QB. Esta patología se ha asociado a artritis reumatoide en muchos casos,1,2,13,18,19 a diferencia del caso presentado en el que se descartó el diagnóstico. Un estudio observó QB en 4% de la población adulta y que este aumenta con la edad.20 Otra investigación reporta hasta 25.8% de prevalencia en pacientes adultos.6 El volumen de los QB es variable; el tamaño más frecuentemente encontrado es de alrededor de 3 cm. Los QB con un contenido mayor de 50 ml de líquido no son frecuentes y, en general, están asociados a otras patologías inflamatorias.2 En este caso, a pesar del tamaño del quiste, se descartó la existencia de enfermedades inflamatorias, por lo que la presencia del mismo se puede atribuir a la patología intraarticular y artrosis avanzada de la rodilla que tiene la paciente. Los quistes con contenido mayor a 150 ml suelen producir fenómenos compresivos a nivel poplíteo;18 sobre todo del nervio tibial, nervio ciático, nervio ciático poplíteo externo, y de vena y arteria poplíteas.13 En este caso, a pesar del volumen del quiste, no se presentaron datos de compresión neurovascular. En la literatura no se encuentra un valor específico para delimitar un QB gigante; en la revisión bibliográfica que se realizó, no encontramos reporte de un quiste con las medidas presentadas en este caso. Hoffman y colaboradores reportan hasta el día de hoy el QB más grande encontrado en la literatura con dimensiones de 19.6 × 5.8 cm.2 El tamaño del quiste no sólo depende de la gran cantidad de líquido sinovial producido, sino también de la calidad de los tejidos de la cápsula posterior.1 Para realizar el diagnóstico de QB, se pueden utilizar ultrasonido y resonancia magnética, siendo ésta el estándar de oro diagnóstico.5 Se puede observar QB en resonancia magnética en 19% de los pacientes con patología de rodilla.13 El diagnóstico diferencial de un QB es tumor benigno o maligno, aneurisma poplíteo, TVP, quiste parameniscal y ganglión. Como pudimos observar en este caso, la TVP es un diagnóstico diferencial que debemos descartar debido a su alta mortalidad; además, la paciente acudió con disnea de medianos a pequeños esfuerzos motivo por el cual es importante descartar esta patología. En 2-6% de los pacientes con sospecha de TVP, la causa es un QB sintomático.5,20 Una posible complicación ante la presencia de un QB gigante es la pseudotromboflebitis, la cual tiene la misma presentación clínica de TVP, por lo que hay que descartar esta patología, pero es causada por un QB roto que puede llegar a comprometer la extremidad con la formación de un síndrome compartimental.5 Se ha recomendado manejo conservador con aspiración guiada por ultrasonido e inyección de esteroides, sobre todo en pacientes con diagnóstico de osteoartritis. En pacientes con QB y artritis reumatoide, una opción de tratamiento es la inyección intralesional de metotrexato. El manejo mediante artroscopia ha ganado relevancia en los últimos años, ya que se puede reparar la causa adyacente como lesiones del menisco medial y la escisión de la válvula; actualmente, es el procedimiento utilizado con mayor frecuencia. En casos sintomáticos y recurrentes, se recomienda la escisión quirúrgica.5,20 Con base en la literatura revisada, nuestra paciente podría beneficiarse de la realización de aspiración guiada por ultrasonido, la cual no se efectuó debido a que presentó mejoría con el manejo analgésico; además, en la literatura no está descrita la punción de quistes de tal magnitud, ya que el riesgo de recidiva es alto.21 Otra opción es la administración intralesional de esteroides para mejorar los rangos de movilidad de la rodilla. Una alternativa de tratamiento para esta paciente sería la realización de una artroscopia para cierre de la cápsula posterior; la resección quirúrgica no está indicada en este caso, por el alto riesgo quirúrgico que presenta la paciente debido a los antecedentes cardiovasculares.

A partir de este caso se reconoció que hace falta literatura y reportes de casos de QB de grandes dimensiones para determinar mejor su abordaje diagnóstico, tratamiento y seguimiento.



CONCLUSIONES

Existe deficiencia de parámetros establecidos para el diagnóstico del QB gigante; la presencia de esta patología no siempre se encuentra asociada a artritis reumatoide o enfermedades inflamatorias como se reporta en la literatura. En casos sintomáticos, es importante descartar otras enfermedades como la TVP por el alto riesgo de presentar una tromboembolia pulmonar. En casos sintomáticos, se prefiere el tratamiento de la patología intraarticular a la escisión quirúrgica.


REFERENCIAS (EN ESTE ARTÍCULO)

  1. Ravlic-Gulan J, Gulan G, Novak S, Sestan B. Rapid recurrence of a giant popliteal cyst in a patient with rheumatoid arthritis. J Clin Rheumatol. 2009; 15 (6): 300-302. doi: 10.1097/RHU.0b013e3181b5c653.

  2. Hoffman F, Hernández C, Solano C, et al. Quiste de Baker gigante tratado con metotrexato intralesional. Cir Cir. 2013; 81: 64-68. Disponible en: https://www.medigraphic.com/pdfs/circir/cc-2013/cc131k.pdf

  3. Frush TJ, Noyes FR. Baker's cyst: diagnostic and surgical recommendations. Sports Health. 2015; 7 (4): 359-365. doi: 10.1177/1941738113520130.

  4. Wang JY, Wang K, Yuan T, Liu P, Zhang M. Diagnosis and therapy of popliteal cysts. Zhongguo Gu Shang. 2019; 32 (2): 181-185. doi: 10.3969/j.issn.1003-0034.2019.02.018.

  5. Herman A, Marzo J. Popliteal cysts: a current review. Orthopedics. 2014; 37 (8): 678-684. doi: 10.3928/01477447-20140728-52.

  6. Nanduri A, Stead TS, Kupsaw GE, DeLeon J, Ganti L. Baker's cyst. Cureus. 2021; 13 (12): e20403. doi: 10.7759/cureus.20403.

  7. Rupp S, Seil R, Jochum P, Kohn D. Popliteal cysts in adults. Prevalence, associated intraarticular lesions, and results after arthroscopic treatment. Am J Sports Med. 2002; 30 (1): 112-115. doi: 10.1177/03635465020300010401.

  8. Saylik M, Gokkus K, Sahin MS. Factors affecting Baker cyst volume, with emphasis on cartilage lesion degree and effusion in the young and middle-aged population. BMC Musculoskeletal Disorders. 2021; 22 (1): 851. Available in: https://doi.org/10.1186/s12891-021-04721-8

  9. Abate M, Di Carlo L, Di Iorio A, Salini V. Baker's cyst with knee osteoarthritis: clinical and therapeutic implications. Med Princ Pract. 2021; 30 (6): 585-591. doi: 10.1159/000518792.

  10. Bansal K, Gupta A. Ruptured Baker's cyst: a diagnostic dilemma. Cureus. 2021; 13 (10): e18501. doi: 10.7759/cureus.18501.

  11. Daniels P, Vlazny D, Meverden R, et al. Popliteal cysts are not a risk factor for lower extremity deep vein thrombosis. J Thromb Thrombolysis. 2022; 54 (3): 492-499. doi: 10.1007/s11239-022-02685-7.

  12. Naringrekar H, Sun J, Ko C, Rodgers SK. It's not all deep vein thrombosis: Sonography of the painful lower extremity with multimodality correlation. J Ultrasound Med. 2019; 38 (4): 1075-1089. doi: 10.1002/jum.14776.

  13. Trivedi S, Sinha MB, Sharma DK, et al. Bakers cyst: a case report and its clinical significance. International Journal of Biomedical Research. Jan 2015; 6 (1): 55-57. doi: 10.7439/ijbr.v6i1.1575.

  14. Qu H, Dong J, Wang Y, Wang W, Zhang Z Xu C. Treatment of popliteal cyst through radiofrequency thermocoagulation under ultrasound guidance. Pain Studies and Treatment. 2021; 9 (2): 7-15. doi: 10.4236/pst.2021.92002.

  15. You C, Cheng Z, Xia Y, Deng C, Zhou Y. Comparison of arthroscopic internal drainage and open excision for the treatment of popliteal cysts. BMC Muskuloskeletal Disorders. 2022; 23: 732. Available in: https://doi.org/10.1186/s12891-022-05658-2

  16. Han J, Bae J, Nha K, et al. Arthroscopic treatment of popliteal cysts with and without cystectomy: A systematic review and meta-analysis. Knee Surg Relat Res. 2019; 31 (2): 103-112. doi: 10.5792/ksrr.18.068.

  17. Goto K, Saku I. Ultrasound-guided arthroscopic communication enlargement surgery may be an ideal treatment option for popliteal cysts-indications and technique. J Exp Orthop. 2020; 7 (1): 93. doi: 10.1186/s40634-020-00314-x.

  18. Alonso N, Pérez A, Martínez A, et al. Quiste de Baker gigante. Diagnóstico diferencial de trombosis venosa profunda. Reumatol Clin. 2015; 11 (3): 179-181. doi: 10.1016/j.reuma.2014.04.009.

  19. Serfaty A, Afonso F, Severo A, et al. Giant Baker cyst in a patient with rheumatoid arthritis. J Clin Rheumatol. 2020; 26 (8): e314. doi: 10.1097/RHU.0000000000001166.

  20. Adiyeke L; Bilgin E; Mutlu T; et al. Giant Baker's cyst associated with rheumatoid arthritis. Case Reports in Orthopedics. 2017; 2017: 4293104. doi: 10.1155/2017/4293104.

  21. Van Nest D, Tjoumakaris F, Smith B, Beatty M, Freedman B. Popliteal cysts: a systematic review of nonoperative and operative treatment. JBJS Rev. 2020; 8 (3): e0139. doi: 10.2106/JBJS.RVW.19.00139.



AFILIACIONES

1Hospital Español de México.



Conflicto de intereses: Sin conflicto de intereses por parte de los autores.



CORRESPONDENCIA

Dr. Andrés Dryjanski Lerner. E-mail: addryjanski@gmail.com




Recibido: 25-01-2023. Aceptado: 18-05-2023.

Figura 1
Figura 2
Figura 3
Figura 4
Figura 5

2020     |     www.medigraphic.com

Mi perfil

C?MO CITAR (Vancouver)

Ortho-tips. 2024;20

ARTíCULOS SIMILARES

CARGANDO ...