medigraphic.com
ENGLISH

Acta Médica Grupo Ángeles

Órgano Oficial del Hospital Ángeles Health System
  • Mostrar índice
  • Números disponibles
  • Información
    • Información general        
    • Directorio
  • Publicar
    • Instrucciones para autores        
    • Envío de artículos
    • Políticas
    • Nombre y afiliación del Comité Editorial
  • Nosotros
    • Plan de gestión e intercambio de datos
    • Objetivos declarados y alcance
  • medigraphic.com
    • Inicio
    • Índice de revistas            
    • Registro / Acceso
  • Mi perfil

2024, Número 1

<< Anterior Siguiente >>

Acta Med 2024; 22 (1)


Un acercamiento a Sarcoptes scabiei: el temible ectoparásito

Cano García, Fernando1; Ruíz Cano, Alexia Michelle2; Hernández Lugo, Ana Marcela3
Texto completo Cómo citar este artículo 10.35366/114603

DOI

DOI: 10.35366/114603
URL: https://dx.doi.org/10.35366/114603

Idioma: Español
Referencias bibliográficas: 0
Paginas: 76-77
Archivo PDF: 170.58 Kb.


PALABRAS CLAVE

Sin palabras Clave



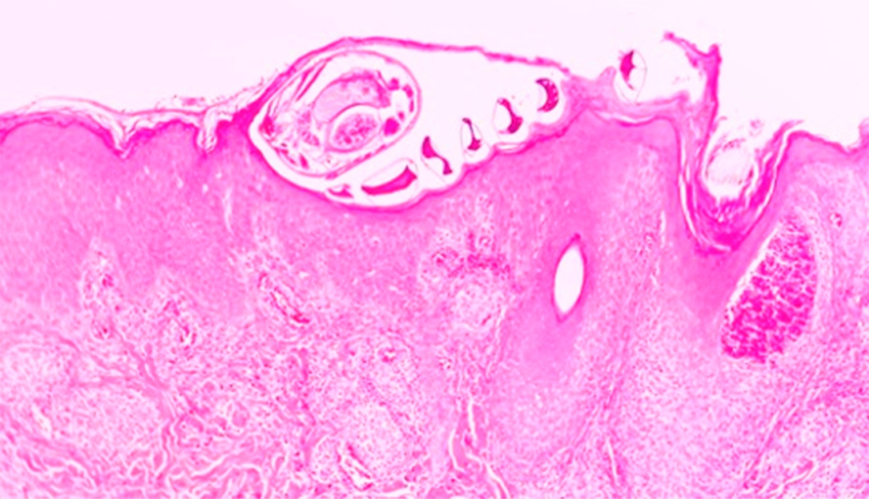
Se trata de masculino de 29 años con lesiones nodulares pruriginosas en piel de brazos, abdomen y piernas. Se le realizó biopsia de antebrazo izquierdo con diagnóstico clínico de foliculitis eosinofílica. El diagnóstico histológico corresponde a infección por Sarcoptes scabiei (escabiasis). En las imágenes histológicas se identifica piel con un túnel localizado en el estrato córneo de la epidermis (Figura 1); en el fondo del túnel se ubica un ácaro con cuerpo oval y espinas en su exoesqueleto (Figura 2). En el trayecto hay presencia de huevos en diferentes estadios de maduración (Figura 3). La dermis cuenta con un infiltrado inflamatorio mixto y en los folículos pilosos hay cúmulos de eosinófilos, lo que corrobora la impresión clínica de foliculitis eosinofílica secundaria a infección por ácaros (Figura 4). La escabiasis tiene diversas formas de contagio, pero en todas se incluye el contacto directo. Las principales manifestaciones clínicas incluyen prurito y lesiones lineales entre los pliegues y dedos correspondientes a los túneles. El ciclo de vida de los microorganismos comienza cuando la hembra deposita los huevos en la epidermis, tardando de tres a cuatro días para convertirse en larva, de 10 a 14 en madurar y después de este tiempo transportarse a través de la epidermis.




AFILIACIONES

1 Jefe de Servicio de Patología del Hospital Angeles Acoxpa. México.

2 Estudiante de cuarto semestre de la Facultad de Medicina de la Universidad del Valle de México, Campus Coyoacán. México.

3 Dermatóloga del Hospital Angeles Acoxpa. México.



CORRESPONDENCIA

Fernando Cano García. Correo electrónico: dr.fernandocano@hotmail.com




Aceptado: 03-05-2023.

Figura 1
Figura 2
Figura 3
Figura 4

2020     |     www.medigraphic.com

Mi perfil

C?MO CITAR (Vancouver)

Acta Med. 2024;22

ARTíCULOS SIMILARES

CARGANDO ...