medigraphic.com
ENGLISH

Salud Jalisco

ISSN 2448-8747 (Impreso)
Publicación cuatrimestral editada por la Secretaría de Salud Jalisco
  • Mostrar índice
  • Números disponibles
  • Información
    • Información general        
    • Directorio
  • Publicar
    • Instrucciones para autores        
  • medigraphic.com
    • Inicio
    • Índice de revistas            
    • Registro / Acceso
  • Mi perfil

2024, Número 1

<< Anterior Siguiente >>

Sal Jal 2024; 11 (1)


Histoplasmosis cutánea primaria: serie de casos con diagnóstico histopatológico en el periodo 2021-2023 en el Hospital General de Occidente

Sánchez-Tadeo, María Trinidad1,2; Estrada-Moreno, Blanca Estela1,3; Castañeda-Chávez, Agar1,4; Flores-Martínez, Cesar Augusto1,5
Texto completo Cómo citar este artículo 10.35366/114841

DOI

DOI: 10.35366/114841
URL: https://dx.doi.org/10.35366/114841
Artículos similares

Idioma: Español
Referencias bibliográficas: 14
Paginas: 37-43
Archivo PDF: 340.59 Kb.


PALABRAS CLAVE

Histoplasma capsulatum, histoplasmosis cutánea, dermatosis, VIH, histopatología.

RESUMEN

La infección por Histoplasma capsulatum en el paciente inmunocomprometido puede afectar múltiples sistemas; la afectación cutánea se presenta con una miríada de manifestaciones clínicas; el estudio histopatológico con tinciones adecuadas demostrando el patógeno causal es suficiente para establecer el diagnóstico. Presentamos una serie de casos recopilados en el período de dos años (2021-2023); siendo un total de 10 pacientes, todos con algún tipo de inmunosupresión, la mayoría hombres, de entre 27 a 65 años que se presentaron con dermatosis generalizada de evolución crónica y cuyo diagnóstico definitivo se estableció mediante estudio histopatológico.



INTRODUCCIóN

La infección por el hongo dimorfo Histoplasma capsulatum es una de las micosis endémicas del continente americano.1 El método de adquisición primario es la inhalación de las microconidias, resultando en la infección pulmonar con resolución espontánea en la mayoría de los casos; no obstante, en pacientes con alguna clase de inmunosupresión, la infección puede desarrollar múltiples manifestaciones pulmonares y extrapulmonares, de estas últimas, la histoplasmosis cutánea representa un reto para el clínico, ya que los síntomas, topografía, morfología y evolución de las lesiones primarias pueden variar ampliamente.2,3 Se pueden encontrar pápulas, úlceras, nódulos, abscesos y hasta fístulas; pudiendo ser localizada o diseminada, esta última más frecuente en aquellos inmunosuprimidos.3

Los hombres son más afectados que las mujeres en relaciones reportadas de 4:1 hasta de 29:1.4,5

Los diagnósticos diferenciales más comunes en pacientes inmunocomprometidos son: tuberculosis, micobacteriosis "atípicas", criptococosis, sífilis, pápulas pruriginosas asociadas a VIH, molusco contagioso, variantes de herpes simple, entre otras.6

El diagnóstico puede realizarse de múltiples maneras, incluyendo la visualización directa en el estudio histopatológico, métodos antigénicos en los casos diseminados, métodos moleculares de las muestras obtenidas, entre otros; para el caso de la histoplasmosis cutánea el estudio histopatológico de la lesión se considera suficiente para el diagnóstico, éste demuestra elementos compatibles con levaduras del patógeno, que usualmente son intracelulares, ovoides, de entre 2 a 4 micrómetros con gemación de base estrecha con citoplasma tenue simulando una cápsula que tiñen con ácido peryódico de Schiff, Giemsa o Gomori.7



MATERIAL Y MéTODOS

Se trata de una investigación con enfoque cuantitativo, de tipo descriptivo, retrospectivo y transversal. Se consideró como universo de estudio las biopsias realizadas en el servicio de Dermatología e interpretadas en el departamento de Anatomía Patológica del Hospital General de Occidente (HGO) de enero de 2021 a enero 2023; considerando como casos confirmados todos aquéllos que cumplieron con los criterios histopatológicos referidos por los Centros para el Control y la Prevención de Enfermedades (CDC, por sus siglas en inglés).7 Se incluyeron hombres y mujeres de todos los grupos de edad, mexicanos, que cuenten con registro y expediente en HGO.

Las variables para estudiar fueron de tipo cuantitativo, edad, sexo, comorbilidades, niveles séricos de hemoglobina (Hb), plaquetas (Plaq), carga viral (CV), CD4, deshidrogenasa láctica (DHL), aspartato aminotransferasa (AST), alanina aminotransferasa (ALT).

Los datos obtenidos se programaron en Excel, para verificar la confiabilidad y coherencia se utilizaron técnicas descriptivas.

El presente trabajo se considera en la Categoría I: sin riesgo según el Reglamento de la Ley General de Salud en Materia de Investigación para la Salud, en el Título Segundo de las Aspectos Éticos de la Investigación en Seres Humanos, Capítulo I, Artículo 17.



RESULTADOS

Se identificó un total de 10 pacientes en el periodo comprendido de enero de 2020 a diciembre de 2022 los cuales fueron atendidos en la consulta de Infectología y Dermatología, con sospecha clínica de histoplasmosis cutánea y que fueron diagnosticados por estudio histopatológico encontrando elementos compatibles con Histoplasma capsulatum.

Noventa por ciento fueron hombres, con un promedio de edad de 35 años (27 – 65), el tipo de inmunosupresión más común fue infección por VIH (ocho pacientes), un caso de cirrosis hepática de etiología alcohólica y otro con neoplasia hematológica (Leucemia linfocítica crónica) en manejo con quimioterapia sistémica (esquema R-CHOP) al momento del diagnóstico.

La manifestación clínica en todos los casos correspondió a dermatosis generalizada constituida por nódulos y/o pápulas eritematosas, en ocasiones pruriginosas y excoriadas, y que también llegaron a afectar palmas y plantas (Figuras 1, 2 y 3). De los pacientes con VIH, el conteo de células CD4+ al momento de la presentación fue en promedio de 211 (27-504), 50% de estos pacientes presentaron otro comórbido al momento del diagnóstico, dos pacientes con sífilis concurrente, uno con sarcoma de Kaposi y un último con tuberculosis pulmonar.

En cuanto a los paraclínicos, ningún paciente presentó LDH por arriba del límite superior con un promedio 231 UI/l, (108-403), 40% de los pacientes presentó elevación de transaminasas, sólo uno de estos cinco por arriba del valor normal (Tabla 1).

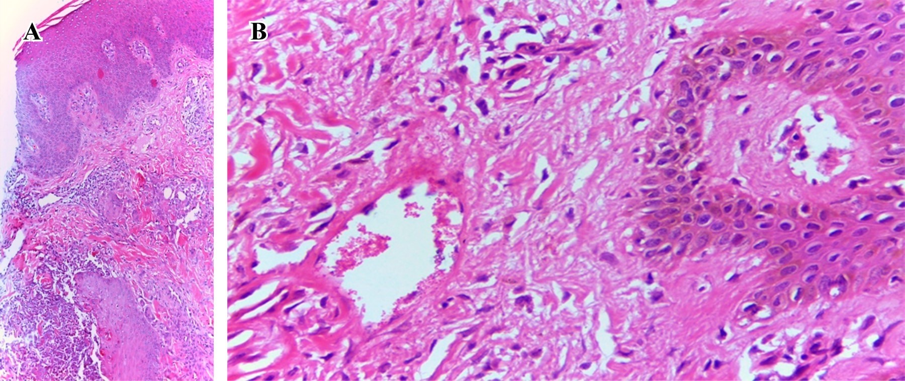
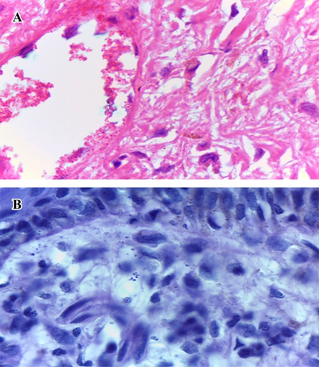
En todos los casos se realizaron biopsias de piel con técnica de sacabocado, encontrando infiltrados inflamatorios con respuesta a cuerpo extraño, así como elementos histomórficos compatibles con Histoplasma capsulatum (Figuras 4 y 5).



DISCUSIóN

La infección por el hongo dimorfo Histoplasma capsulatum tiene como áreas endémicas algunas regiones de Estados Unidos de América (cuenca de los ríos Mississippi y Ohio), América Latina (Incluyendo México), Australia y África, no obstante, se han reportado casos autóctonos alrededor del mundo.1,8,9 La forma de adquisición es la inhalación de esporas que se encuentran presentes en el suelo, aunque también se considera una posible vía la inoculación directa en los casos de histoplasmosis cutánea.6

El aspecto microbiológico de este hongo dimorfo se caracteriza por sus hifas que miden entre 1.5 a 2 µm de diámetro, y aunque se han reportado casos de endocarditis asociados a esta forma, la mayoría de las infecciones son causadas por la conidias de la fase de micelio; estas pueden ser divididas en macroconidas que van de los 8 a los 15 µm y las microconidias variando entre los 2 a 5 µm, estas últimas siendo las causantes de la propagación de la enfermedad al ser inhaladas y transportadas a los alveolos distales. La transformación de micelio a levadura es inducida principalmente por cambios en la temperatura (óptima 37oC). La forma levadura consiste en células ovoides, midiendo de 2 a 4 µm reproduciéndose mediante gemación polar otorgando su característica apariencia de base estrecha con un puente entre la célula madre e hija.10,11

Los mecanismos de virulencia intrínsecos asociados a este patógeno van desde la capacidad de transformación de la forma miceliar a la levadura, su pequeño tamaño que le permite burlar los mecanismos de defensa de la vía aérea y llegar a las porciones terminales del árbol respiratorio y un complejo armamento que le permite sobrevivir a la fagocitosis por los macrófagos e inducir su apoptosis.10

Adquiere una variedad de presentaciones clínicas que van desde la infección aguda que puede cursar con resolución espontánea, las formas pulmonares (subaguda, cavitatoria crónica, nódulos pulmonares), la diseminación progresiva o bien la afectación a órganos y sistemas como son ganglios linfáticos, mediastino, pericardio, sistema nervioso central, adrenales, tracto digestivo, hígado12 o, como el caso de la presente revisión, la piel. La expresión clínica de la enfermedad primaria cutánea es inespecífica, de evolución crónica, con lesiones únicas, múltiples o diseminadas, que van desde pápulas, nódulos, úlceras, eritemas, entre otras.2,3,13 De aquí la importancia de la sospecha diagnóstica sobre todo en pacientes con algún tipo de inmunosupresión.

El diagnóstico puede ser realizado mediante el cultivo micológico, las pruebas moleculares, serologías y el estudio histopatológico;9,11 de éstos, el último representa la herramienta más accesible para la mayoría de escenarios y es considerada una prueba con suficiente sensibilidad y especificidad para establecer de manera contundente el diagnóstico. El estándar de oro continúa siendo el cultivo micológico con el uso de medios de cultivo convencionales para hongos, no obstante, el largo tiempo de incubación y la necesidad de espacios físicos adecuados para el manejo de esta clase de patógenos imposibilitan su uso de manera rutinaria. La detección de antígenos de Histoplasma capsulatum en fluidos corporales representa la prueba más rápida y sensible para el diagnóstico. Dentro de las pruebas moleculares la PCR y la NAAT representan herramientas prometedoras con sensibilidades reportadas de entre el 70 al 100%.9 Para el diagnóstico histopatológico se requiere de un alto índice de sospecha, los elementos histomórficos característicos son las células de entre 2 a 4 µm con gemación de base estrecha, en ocasiones rodeadas de un halo claro, que pueden encontrarse extracelulares, intracelulares, dentro de granulomas o inclusive intravasculares; para su identificación se utilizan tinciones como hematoxilina y eosina así como ácido peryódico de Schiff (PAS) y Gomori-Grocott. Se han descrito cuatro tipos histológicos basados en la reacción del hospedero contra el patógeno: tuberculoide, anérgica, mixta y secuelas.12

El manejo se encuentra basado en la gravedad del paciente y la afectación por órganos y sistemas; en los casos graves el uso inicial de anfotericina B ha demostrado una adecuada tasa de éxito, posteriormente la terapia con Itraconazol por hasta 24 semanas es la recomendación, no obstante, en pacientes con VIH se recomienda su uso indefinido.14



CONCLUSIóN

La serie de casos presentada coincide con los reportes de la literatura médica actual como es que la enfermedad fue más prevalente en el sexo masculino, las alteraciones paraclínicas demuestran que, en pacientes con infección por VIH, un conteo de CD4+ por debajo de 250 cel/ml es un factor de riesgo para el desarrollo de la enfermedad. A diferencia de la histoplasmosis diseminada, las alteraciones en pruebas de función hepática, renal o la presentación con citopenias no son un marcador que permita guiar al clínico en el diagnóstico de histoplasmosis cutánea. Acorde a las guías actuales de micosis sistémicas, la biopsia cutánea representa una herramienta sencilla con suficiente sensibilidad y especificidad para el diagnóstico de histoplasmosis cutánea.

Para realizar el diagnóstico de histoplasmosis cutánea requiere un alto índice de sospecha en el paciente inmunocomprometido, esto por la variedad de lesiones cutáneas con las que puede manifestarse, por lo que el trabajo en equipo y la comunicación permanente entre los diferentes clínicos que atienden a pacientes con algún grado de inmunosupresión y el servicio de patología permitirá el diagnóstico y tratamiento tempranos de esta infección oportunista que se espera que encontremos cada vez con mayor frecuencia en el contexto de la epidemia de VIH y otros tipos de inmunosupresión, ya sea como enfermedad única o en combinación con otra infección oportunista.


REFERENCIAS (EN ESTE ARTÍCULO)

  1. Araúz AB, Papineni P. Histoplasmosis. Infect Dis Clin North Am. 2021;35(2):471-491. doi: 10.1016/j.idc.2021.03.011. PMID: 34016287.

  2. Gómez-Santana LV, Torre AC, Hernández BA, Volonteri VI, Laura B, Luis-Galimberti R. Mucocutaneous manifestations of infection by Histoplasma capsulatum in HIV-negative immunosuppressed patients. Actas Dermosifiliogr (Engl Ed). 2018;109(4):e27-e32. doi: 10.1016/j.ad.2017.08.006.

  3. Tobón AM, Agudelo CA, Rosero DS, Ochoa JE, De Bedout C, Zuluaga A, et al. Disseminated histoplasmosis: a comparative study between patients with acquired immunodeficiency syndrome and non-human immunodeficiency virus-infected individuals. Am J Trop Med Hyg. 2005;73(3):576-582.

  4. Fernández ACM, Illnait ZMT, Martínez MG, Perurena LMR, Monroy VE. Una actualización acerca de histoplasmosis. Rev Cubana Med Trop. 2011;63(3):189-205. Disponible en: http://scielo.sld.cu/scielo.php?script=sci_arttext&pid=S0375-07602011000300001&lng=es.

  5. Mittal J, Ponce MG, Gendlina I, Nosanchuk JD. Histoplasma capsulatum: mechanisms for pathogenesis. Curr Top Microbiol Immunol. 2019;422:157-191. doi: 10.1007/82_2018_114.

  6. Caceres DH, Valdes A. Histoplasmosis and tuberculosis co-occurrence in people with advanced HIV. J Fungi (Basel). 2019;5(3):73. doi: 10.3390/jof5030073.

  7. Donnelly JP, Chen SC, Kauffman CA, Steinbach WJ, Baddley JW, Verweij PE, et al. Revision and update of the consensus definitions of invasive fungal disease from the European Organization for Research and Treatment of Cancer and the Mycoses Study Group Education and Research Consortium. Clin Infect Dis. 2020;71(6):1367-1376. doi: 10.1093/cid/ciz1008.

  8. Ferreira MS, Borges AS. Histoplasmose [Histoplasmosis]. Rev Soc Bras Med Trop. 2009;42(2):192-198.

  9. Buitrago MJ, Martín-Gómez MT. timely diagnosis of histoplasmosis in non-endemic countries: a laboratory challenge. Front Microbiol. 2020;11:467. doi: 10.3389/fmicb.2020.00467.

  10. Mittal J, Ponce MG, Gendlina I, Nosanchuk JD. Histoplasma capsulatum: mechanisms for pathogenesis. Curr Top Microbiol Immunol. 2019;422:157-191. doi: 10.1007/82_2018_114.

  11. Azar MM, Hage CA. Laboratory diagnostics for histoplasmosis. J Clin Microbiol. 2017;55(6):1612-1620. doi: 10.1128/JCM.02430-16.

  12. Drak-Alsibai K, Couppié P, Blanchet D, Adenis A, Epelboin L, Blaizot R, et al. Cytological and histopathological spectrum of histoplasmosis: 15 years of experience in French Guiana. Front Cell Infect Microbiol. 2020;10:591974. doi: 10.3389/fcimb.2020.591974.

  13. Batista JM, Martins MAP, Bertollo CM. Primary cutaneous histoplasmosis difficult to treat in immunocompetent patient: case report and literature review. Einstein (Sao Paulo). 2021;19:eRC5488. doi: 10.31744/einstein_journal/2021RC5488.

  14. Johnson PC, Wheat LJ, Cloud GA, Goldman M, Lancaster D, Bamberger DM, et al. Safety and efficacy of liposomal amphotericin B compared with conventional amphotericin B for induction therapy of histoplasmosis in patients with AIDS. Ann Intern Med. 2002;137(2):105-109. doi: 10.7326/0003-4819-137-2-200207160-00008.



AFILIACIONES

1 Hospital General de Occidente. Zapopan, Jalisco.

2 Médico dermatólogo, Cirugía Dermatológica, Maestría en Salud Pública.

3 Médico Infectólogo.

4 Médico Patólogo.

5 Médico residente de Geriatría.



Conflicto de intereses: declaramos no presentar conflicto de intereses respecto a haber recibido fondos o apoyos económicos para asistir a actividades educativas o para investigación, no se tiene ninguna relación laborar, acciones u algún otro interés económico con alguna organización que pudiese de algún modo verse beneficiada o perjudicada económicamente por la publicación del artículo.

Fuentes de financiación: no se recibió financiación para el trabajo, los gastos corrieron por los autores.

Responsabilidades éticas: el presente trabajo cuenta con dictamen de comité de investigación del Hospital General de Occidente

Derecho a la privacidad y consentimiento informado: los autores han obtenido el consentimiento informado de los pacientes y/o sujetos referidos en el artículo para toma de imágenes, uso y tratamiento de datos personales. Este documento está firmado por los pacientes y dos testigos (entregado a la Jefatura de Enseñanza del Hospital General de Occidente.



CORRESPONDENCIA

María Trinidad Sánchez-Tadeo. E-mail: dra.triny68@hotmail.com




Recibido: 15/04/2023. Aceptado: 16/01/2024.

Figura 1
Figura 2
Figura 3
Figura 4
Figura 5
Tabla 1

2020     |     www.medigraphic.com

Mi perfil

C?MO CITAR (Vancouver)

Sal Jal. 2024;11

ARTíCULOS SIMILARES

CARGANDO ...