medigraphic.com
ENGLISH

Salud Jalisco

ISSN 2448-8747 (Impreso)
Publicación cuatrimestral editada por la Secretaría de Salud Jalisco
  • Mostrar índice
  • Números disponibles
  • Información
    • Información general        
    • Directorio
  • Publicar
    • Instrucciones para autores        
  • medigraphic.com
    • Inicio
    • Índice de revistas            
    • Registro / Acceso
  • Mi perfil

2024, Número 1

<< Anterior Siguiente >>

Sal Jal 2024; 11 (1)


Síndrome de neurotoxicidad irreversible secundario a litio (SILENT) y trastorno bipolar: reporte de caso

Covarrubias-Castillo, Sergio Armando1,2,3,4; Muñoz-Chacón, Daniel Alejandro1,5; Gómez-Huitrón, Jaqueline1,6; Becerra-Alvarez, Edson Ramsés1,7
Texto completo Cómo citar este artículo 10.35366/114842

DOI

DOI: 10.35366/114842
URL: https://dx.doi.org/10.35366/114842
Artículos similares

Idioma: Español
Referencias bibliográficas: 11
Paginas: 44-49
Archivo PDF: 189.56 Kb.


PALABRAS CLAVE

demencia, intoxicación, litio, psicosis, trastorno bipolar.

RESUMEN

Introducción: las alteraciones primordiales del síndrome de neurotoxicidad irreversible secundario a litio (SILENT) son trastornos cerebelosos de tipo vermiano, síndrome extrapiramidal persistente, disfunción del tallo cerebral y demencia. Se pretende comunicar esta complicación rara del consumo de litio, a propósito de un caso con trastorno bipolar tipo 1. Caso clínico: se trata de paciente femenino de 47 años, previamente diagnosticada con trastorno bipolar tipo 1 y tratada con litio a dosis desconocidas. Ingresada a medicina interna por intoxicación con litio moderado-grave que persiste con secuelas neurológicas y psiquiátricas por más de dos meses desde su ingreso. Se realizan estudios de laboratorio, imagen y pruebas cognitivas que demuestran cambios anatómicos y funcionales de predominio frontal, así como evidente deterioro cognitivo. Conclusión: destacamos la importancia del adecuado control terapéutico y continua evaluación de niveles séricos de litio para prevenir la aparición de niveles tóxicos de litio, procurando evitar la aparición de secuelas neurológicas potencialmente permanentes, con alto riesgo de generar grave disfunción.



INTRODUCCIóN

Las sales de litio se han recetado ampliamente como reguladores del estado de ánimo en el tratamiento del trastorno bipolar desde el trabajo publicado en 1949 por el psiquiatra australiano Cade.1 El litio es un ion altamente tóxico, los órganos diana para la toxicidad del litio son principalmente el cerebro y el riñón. Sin embargo, cada vez hay más pruebas de que el litio puede causar secuelas neurológicas duraderas, las causas pueden ser multifactoriales, como resultado principalmente de una sobredosis, asociación con la terapia neuroléptica y la presencia de hipertermia.2 El litio tiene una ventana terapéutica estrecha. Se justifica el control frecuente de los niveles séricos y los signos clínicos de toxicidad porque la toxicidad puede estar presente incluso cuando las concentraciones están dentro del rango terapéutico.3 El rango de litio en suero es estricto entre 0.6 y 1.3 mmol/l, observándose una toxicidad leve por litio en el estado estacionario de 1.5-2.5 mEq/l, toxicidad moderada cuando el litio alcanza 2.5-3.5 mEq/l e intoxicación grave con niveles séricos observados en niveles > 3.5 mEq/l. Su perfil bioquímico favorable permite la filtración completa y la reabsorción parcial en el riñón debido a la similitud con el sodio y también la eliminación completa por terapia de reemplazo renal, que debe considerarse en condiciones específicas de intoxicación.4 Como se requiere tiempo para que el litio penetre en el sistema nervioso central (SNC), los efectos neurológicos se desarrollan tarde en la intoxicación aguda por litio, pero se presentan con mayor frecuencia en la toxicidad crónica por litio.5 En casi todos los pacientes, el curso de la intoxicación se desarrolla de forma gradual, con predominio de los síntomas mentales y neurológicos. Respecto a la afectación al sistema nervioso central, en la intoxicación aguda pueden aparecer temblor, rigidez, hiperreflexia y mioclonías. En los cuadros crónicos aparece temblor, hipertonía, fasciculaciones y parestesias. Los síntomas de encefalopatía durante una intoxicación aguda son hipoprosexia, desorientación, disartria, alteraciones amnésicas y alteraciones en el estado de conciencia. En algunos casos se puede llegar a conformar un cuadro con ideas delirantes o alteraciones en la sensopercepción. También se han descrito las alteraciones en los movimientos involuntarios, como coreoatetosis o mioclonías.6 El síndrome SILENT (Syndrome of Irreversible Lithium Effectuated Neurotoxicity) es un término propuesto por Adityanjee en 1987 para describir a las secuelas neurológicas persistentes consecuencia de una intoxicación por litio.

Las características que describen al síndrome SILENT son:

  • 1. Las disfunciones neurológicas son directamente atribuibles al carbonato de litio, en ausencia de enfermedad neurológica previa.
  • 2. Persistencia de las secuelas durante periodos variables más allá de los dos meses posteriores a la interrupción del litio.
  • 3. Pueden persistir durante periodos extremadamente largos y, a todos los efectos prácticos, pueden ser irreversibles.7

La característica primordial del síndrome es el trastorno cerebeloso de tipo vermiano, el síndrome extrapiramidal persistente, la disfunción del tallo cerebral y la demencia de diversa severidad. Adicionalmente, se observa apraxia del cuerpo, alteraciones de la coordinación y del equilibrio, disartria, así como un temblor cerebeloso de tipo intencional y cinético, movimientos involuntarios de tipo discinesias bucofaciales o temblor en reposo.8 La fisiopatología exacta del SILENT no se ha descifrado por completo. Según algunas hipótesis, las lesiones de desmielinización causadas por el litio en varias regiones del sistema nervioso, incluido el cerebelo, son responsables de los persistentes déficits neurológicos causados por el litio.7 Según Schneider, en algunos estudios se ha evidenciado pérdida neuronal y gliosis en la corteza cerebelosa, así como en núcleos dentados, y también se ha observado degeneración esponjosa de las neuronas en la sustancia blanca del cerebelo.9 Actualmente, no existe un tratamiento definitivo para SILENT. Si persisten los déficits neurológicos, puede producirse una mejora durante un periodo de varios meses. La fisioterapia, la terapia del habla y la rehabilitación han demostrado utilidad tanto psicológica como mejoría en la funcionalidad del paciente.10 Según compilaciones realizadas por Adityajee hasta el 2005, solamente unos 90 casos de toxicidad irreversible han sido reportados.7

El presente reporte de caso clínico fue llevado a cabo de acuerdo a los lineamientos del CARE (Guidelines for Case Reports).11



CASO CLíNICO

Paciente femenino de 47 años de edad, originaria de Guadalajara, Jalisco, y residente de Etzatlán, Jalisco; soltera, dedicada al hogar, con escolaridad carrera técnica en secretariado y computación, católica y con lateralidad diestra.

Diagnosticada con trastorno bipolar tipo 1 en el 2001, se desconoce tratamiento inicial. En el 2016 acude a atención a unidad de atención mental pública, donde se inicia tratamiento con sertralina 50 mg, quetiapina 25 mg y carbonato de litio 600 mg, todos por vía oral (VO) cada 24 horas.

Después, en ese mismo año, presenta un duelo con episodio depresivo mayor sobreagregado posterior al fallecimiento de madre; episodio caracterizado por ánimo triste, astenia, adinamia, anhedonia y labilidad emocional con tendencia al llanto; se continúa con el tratamiento previamente establecido. Se refiere mejoría parcial de la sintomatología previamente referida con este manejo; sin embargo, la información obtenida por el interrogatorio es parca y de pobre calidad, por lo que se desconocen algunos aspectos de esta etapa, especialmente acerca del apego terapéutico, funcionamiento global, otros episodios afectivos sobreagregados, entre otras cosas.

Inicia tres semanas previas a su ingreso a nuestra institución hospitalaria con bradilalia, sialorrea, fluctuaciones en el estado de alerta y vómitos de contenido gastrobiliar en incontables ocasiones. El día 15 de septiembre de 2019 acude al Hospital General de Occidente y se hospitaliza con tratamiento mediante hidroterapia; sin embargo, debido a persistencia de la sintomatología, se solicita su alta voluntaria por parte del familiar. El 16 de septiembre acude al Instituto Jalisciense de Salud Mental (SALME) en donde es valorada y se refiere al Hospital Civil de Guadalajara "Fray Antonio Alcalde" con el diagnóstico de intoxicación por litio con litemia de 2.8 mEq/l.

Se ingresa a la paciente en el servicio de medicina interna el día 16 de septiembre del 2019. Durante su estancia en este servicio, persiste con sintomatología neurológica sin mejoría desde su ingreso, así como elevación de niveles de urea, creatinina e hipernatremia. Se interconsulta al servicio de nefrología, quienes deciden efectuar terapia de sustitución renal mediante hemodiálisis con colocación de catéter Mahurkar. Se realiza examen general de orina, que se reporta con datos de infección de vías urinarias, por lo que recibe tratamiento con ceftriaxona por tres días con adecuada remisión. Recibe dos sesiones de hemodiálisis con notable mejoría del estado neurológico y niveles de sodio; sin embargo, inicia con afecto hipertímico con tendencia a la expansividad, verborrea, aumento de la actividad intencionada, disminución de la necesidad de sueño, aumento de la energía, irritabilidad, pobre control de impulsos, ideas delirantes de megalomanía e hiperreligiosidad, por lo que se presenta al servicio de psiquiatría. Al realizar la valoración, se decide su traslado al área de hospitalización psiquiátrica; debido a los antecedentes y cuadro clínico actual, se llega al diagnóstico de trastorno bipolar tipo 1, actual episodio de manía con síntomas psicóticos.

a) Examen mental. Paciente acostada en cama, posición libremente escogida, se pone de pie y en movimiento constantemente durante la valoración. Orientada autopsíquicamente y desorientada alopsíquicamente a expensas de tiempo. Ánimo "excelente" (sic paciente). Afecto hipertímico con tendencia a la expansividad. Atención activa hipoproséxica y pasiva hiperproséxica. Capacidad de concentración disminuida. Funciones mentales con síntesis, cálculo y abstracción alteradas. Memoria inmediata, mediata y remota sin alteraciones aparentes. Lenguaje coherente e incongruente; de volumen, velocidad y producción aumentados. Pensamiento circunstancial, con asociaciones laxas; refiere ideas delirantes de megalomanía. Niega alteraciones sensoperceptuales al momento de la valoración. Juicio desviado. Nula introspección y conciencia de enfermedad. Pobre control de impulsos e intolerancia a la frustración. CI impresiona acorde al promedio.

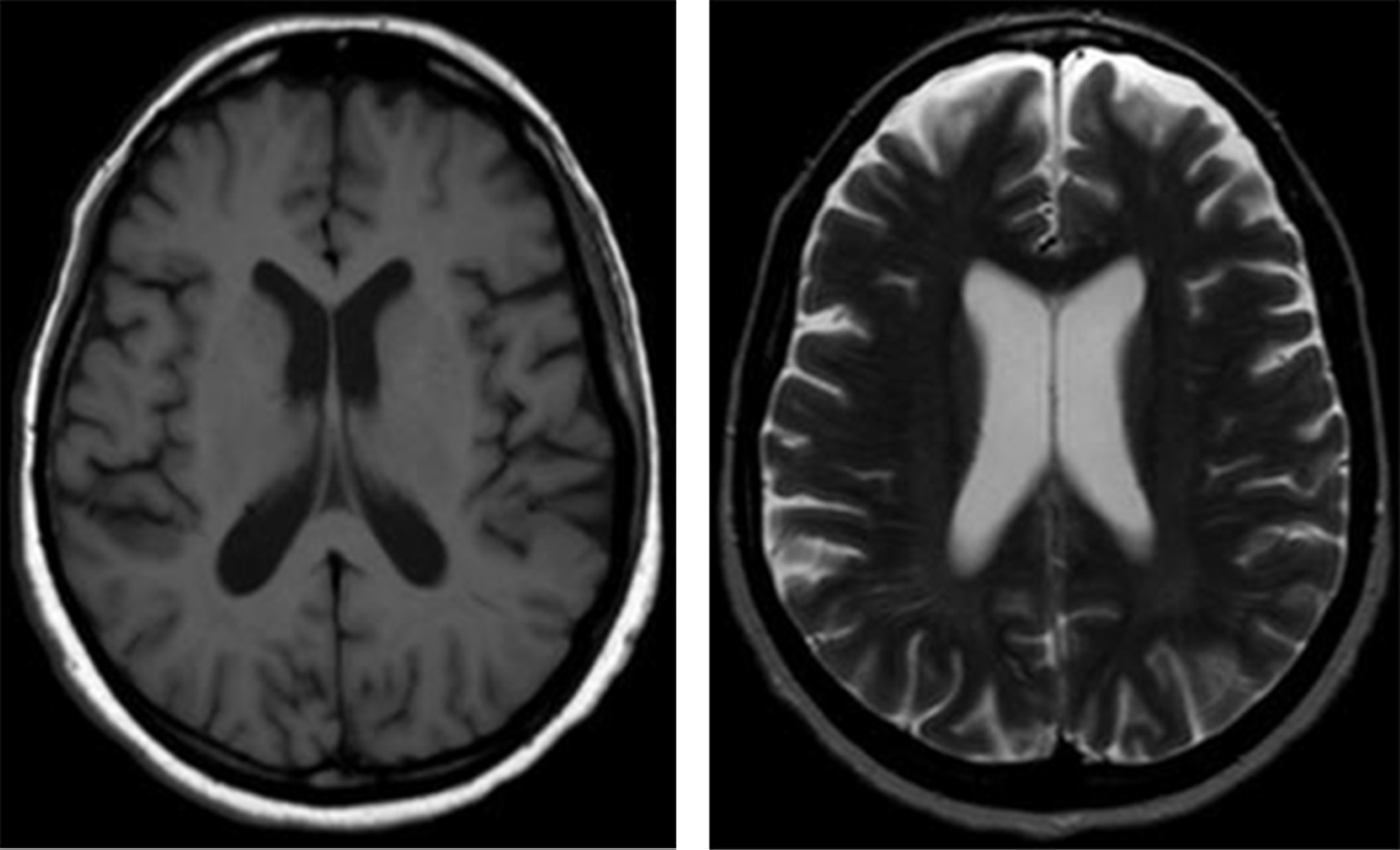
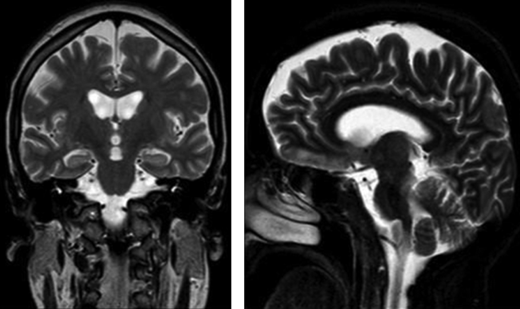
b) Evolución intrahospitalaria. Durante su estancia intrahospitalaria en psiquiatría continúa con la misma sintomatología, con desorientación en autopsíquica y alopsíquica (en función de tiempo y espacio), irritabilidad, agresividad, capacidad de concentración disminuida, funciones mentales no valorables, lenguaje incoherente, incongruente, ideas delirantes de daño y referencia, alucinaciones visuales, juicio desviado, pobre control de impulsos e intolerancia a la frustración. A la exploración neurológica se evidencia temblor intencional, disartria, ataxia cerebelosa, disdiadococinesia, apraxia ideomotora y del vestido, leve disminución de la fuerza en extremidades inferiores con alteraciones para la marcha. Exploración de pares craneales, reflejos osteotendinosos y función sensorial se encuentran sin alteraciones. El día 28 de septiembre del 2019 se reportaron niveles séricos de litio con 0.15 mEq/l. Se toma resonancia magnética con reporte del 15 de octubre, en el que se informa pérdida de volumen hacia la porción rostral de los lóbulos frontales y temporales de manera bilateral, sugestiva de atrofia cortico subcortical en esta región anatómica (Figuras 1 y 2). Posteriormente, el 18 de octubre se realiza electroencefalograma con resultado anormal, con signos de moderada alteración funcional cortico subcortical difusa con discreto predominio anterior bilateral.

La paciente persiste sintomática, con leve mejoría de la irritabilidad, control de impulsos y de ideas delirantes y alucinaciones; sin embargo, continúa desorientada, con notables alteraciones en las funciones mentales superiores, alteración del juicio y con trastornos del sueño, persisten las alteraciones neurológicas. Se reportan episodios de hipersexualidad, hiperoralidad e hipersomnia diurna. Se intenta realizar Test Mini Mental de Folstein y MoCA con nula cooperación de la paciente, por lo que las pruebas no son valorables.

La paciente permanece hospitalizada por más de 60 días desde su ingreso. Por la persistencia de los síntomas y signos de alteración neuropsiquiátrica y con el apoyo de los estudios de gabinete, se realiza diagnóstico de SILENT.

Posteriormente, se decide el egreso hospitalario debido a máxima mejoría en los síntomas de manía, remiten agresividad, ideas delirantes de daño, persecución y referencia, mejoría en el insomnio y parcial mejoría en las funciones mentales superiores; persisten temblor intencional, alteraciones en la marcha, así como funciones mentales superiores alteradas.

c) Estudios de gabinete y laboratorio. Ingreso a medicina interna (15 de septiembre del 2019). Biometría hemática: hemoglobina: 9.95 g/dl, hematocrito: 30.2%, volumen corpuscular medio (VCM): 91.84 fl, plaquetas: 135.2 × 103/ml, leucocitos: 6.62 × 103 /ml. Química sanguínea: glucosa: 122 mg/dl. Pruebas de función hepática: proteínas totales: 5.0 g/dl, albúmina: 2.9 g/dl, alanino aminotransferasa (ALT): 78 UI/l, aspartato aminotransferasa (AST): 54 UI/l, fosfatasa alcalina (FA): 136 UI/l, deshidrogenasa láctica (DHL): 213 UI/l, gamma-glutamil transpeptidasa (GGT): 62 UI/l.

Litio en suero (a su ingreso): 2.8 mEq/l.

Litio en suero (28 de septiembre del 2019): 0.15 mEq/l.

Resto de resultados laboratoriales sin alteraciones.

Electroencefalograma realizado el 18 de octubre del 2019: signos de moderada alteración funcional cortico subcortical difusa con discreto predominio anterior bilateral, en ausencia de grafoelementos irritativos focales.

Test Mini Mental de Folstein y Test Montreal Cognitive Assessment (MoCA): no valorables por manifestaciones clínicas de la paciente.



DISCUSIóN

Las repercusiones neurológicas de la intoxicación con litio que persisten por más de dos meses desde el cese del tratamiento y hasta el momento se han mostrado irreversibles permiten establecer el diagnóstico de SILENT en la paciente. Según Adityanjee, la característica primordial del síndrome es el trastorno cerebeloso de tipo vermiano, el síndrome extrapiramidal persistente, la disfunción del tallo cerebral y la demencia de diversa severidad. Adicionalmente, se observa apraxia del cuerpo, alteraciones de la coordinación y del equilibrio, disartria, así como un temblor cerebeloso de tipo intencional y cinético, movimientos involuntarios de tipo discinesias bucofaciales o temblor en reposo.5 Nuestra paciente presentó temblor intencional, dismetría, disdiadococinesia, alteraciones de la marcha, apraxia ideomotora y del vestido, ataxia cerebelosa y demencia de inicio súbito, precoz y que característicamente inició posterior a la intoxicación con litio que no cedieron durante 60 días, lo cual concuerda con las características diagnósticas de SILENT. Asimismo, de acuerdo a los casos anteriormente publicados, el SILENT ocurre más frecuentemente con niveles séricos de litio elevados; sin embargo, existen casos en los que aparece con niveles terapéuticos, además la severidad de las secuelas neurológicas no se correlaciona con los niveles séricos.4 En nuestra paciente la intoxicación ocurrió gradualmente, se descartó una tentativa suicida o un error de juicio que motivara a la ingesta aguda de una gran cantidad de litio. En comparación con otros casos en los que se observan niveles séricos de litio muy elevados con leves repercusiones neurológicas, la paciente desarrolló una demencia de inicio precoz con grave afectación en funciones mentales superiores y en la funcionalidad de la vida cotidiana, además de las alteraciones motoras mencionadas anteriormente, con una intoxicación de litio considerada como moderada.

El manejo de este síndrome es expectante, se busca la máxima mejoría de las alteraciones presentadas mediante rehabilitación física y manejo farmacológico. El tratamiento de la paciente fue con ácido valproico 500 mg VO cada ocho horas, olanzapina 15 mg VO cada 24 horas por la noche y zolpidem 10 mg VO cada 24 horas, con lo cual se logró leve mejoría de la sintomatología anteriormente descrita. Destacamos la importancia del adecuado control terapéutico y continua evaluación de niveles séricos de litio para prevenir una intoxicación aguda. Asimismo, es importante informar al paciente respecto a las principales manifestaciones clínicas asociadas a una intoxicación por litio que permitan un diagnóstico oportuno y evitar las consecuencias de la misma, así como descartar, de acuerdo a la presentación clínica, patologías neurológicas o psiquiátricas primarias que pudieran ser tratadas y que permitan la reversibilidad de la sintomatología. A pesar de que el pronóstico suele ser desfavorable, es necesario el manejo por parte de rehabilitación y las especialidades correspondientes, para de esta manera alcanzar la máxima mejoría en la funcionalidad y en la calidad de vida del paciente.


REFERENCIAS (EN ESTE ARTÍCULO)

  1. Cade JF. Lithium salts in the treatment of psychotic excitement. Med J Aust. 1949;2(10):349-352.

  2. Payen C, Boudinaud M, Johanny A, Grobost R, Vial T. Toxicité cardiaque du lithium: à propos d'un cas de bradycardie sinusale. Ann Toxicol Anal. 2015;27(2):128.

  3. Silva AL, Ourique C, Martins F, Friões F. Síndrome de neurotoxicidade irreversível causada por lítio [Syndrome of Irreversible Lithium-Effectuated NeuroToxicity]. Acta Med Port. 2017 Feb 27;30(2):151-153. doi: 10.20344/amp.7907.

  4. Spatola L, Maringhini S, Canale C, Granata A, D'Amico M. Lithium poisoning and renal replacement therapy: pathophysiology and current clinical recommendations. Int Urol Nephrol. 2023 Oct;55(10):2501-2505. doi: 10.1007/s11255-023-03558-5.

  5. Señga MM, Sarapuddin G, Saniel E. A case report on an atypical presentation of the syndrome of irreversible lithium-effectuated neurotoxicity (SILENT) in a war veteran with bipolar disorder and PTSD. Case Rep Psychiatry. 2020 Jun 4;2020:5369297. doi: 10.1155/2020/5369297.

  6. Jordán-Mondragón V, Oviedo-Lugo GF. Neurotoxicidad por litio. Rev Colomb Psiquiatr. 2008;37(3):418-427.

  7. Adityanjee, Munshi KR, Thampy A. The syndrome of irreversible lithium-effectuated neurotoxicity. Clin Neuropharmacol. 2005 Jan-Feb;28(1):38-49.

  8. Osorio Sabogal IA. Un caso de síndrome SILENT. Psiquiatr Biol. 2012;19(1):27-29.

  9. Schneider JA, Mirra SS. Neuropathologic correlates of persistent neurologic deficit in lithium intoxication. Ann Neurol. 1994;36(6):928-931.

  10. Hallab B, Hallab S, Battas O, Agoub M. Syndrome de neurotoxicité irréversible de lithium-effectuated ou SILENT: à propos d'un cas [Syndrome of irreversible lithium-effectuated neurotoxicity or SILENT: A case report]. Therapie. 2017;72(3):403-407.

  11. Riley DS, Barber MS, Kienle GS, Aronson JK, von Schoen-Angerer T, Tugwell P, et al. CARE guidelines for case reports: explanation and elaboration document. J Clin Epidemiol. 2017;89:218-235. doi: 10.1016/j.jclinepi.2017.04.026.



AFILIACIONES

1 Servicio de Psiquiatría, Hospital Civil de Guadalajara "Fray Antonio Alcalde", Guadalajara, México.

2 Departamento de Clínicas Médicas, Centro Universitario de Ciencias de la Salud, Universidad de Guadalajara. Guadalajara, México.

3 Departamento de Clínicas Médicas, Centro Universitario de Tlajomulco, Universidad de Guadalajara. Guadalajara, México.
ORCID:

4 0000-0003-0297-4223

5 0009-0009-5605-3498

6 0009-0001-5224-7932

7 0009-0009-3130-852X



Aspectos éticos y confidencialidad: por las características inherentes al presente, el trabajo no fue sometido al comité de ética institucional para su realización; solicitando, en su lugar, una carta de autorización del jefe de servicio para este fin.
Se solicitó consentimiento informado institucional para protocolos y uso de datos con fines de divulgación e investigación médica-científica.
Los datos personales fueron protegidos de acuerdo a las políticas internas de confidencialidad de información sensible.

Conflicto de intereses: ninguno de los autores refiere tener conflicto de intereses que declarar.

Financiamiento: el presente fue realizado sin apoyo económico específicamente destinado con este fin.



CORRESPONDENCIA

Dr. Sergio Armando Covarrubias-Castillo. E-mail: scovarrubias@hcg.gob.mx




Recibido: 16/04/2023. Aceptado: 16/01/2024.

Figura 1
Figura 2

2020     |     www.medigraphic.com

Mi perfil

C?MO CITAR (Vancouver)

Sal Jal. 2024;11

ARTíCULOS SIMILARES

CARGANDO ...