medigraphic.com
ENGLISH

Revista del Centro Dermatológico Pascua

ISSN 1405-1710 (Impreso)
  • Mostrar índice
  • Números disponibles
  • Información
    • Información general        
    • Directorio
  • Publicar
    • Instrucciones para autores        
  • medigraphic.com
    • Inicio
    • Índice de revistas            
    • Registro / Acceso
  • Mi perfil

2023, Número 1

Siguiente >>

Rev Cent Dermatol Pascua 2023; 32 (1)


Enfermedad de Morbihan. Aspectos clínico-patológicos en 15 pacientes atendidos en el Centro Dermatológico ''Dr. Ladislao de la Pascua''

Navarrete-Franco, Gisela1; Jurado-Santa Cruz, Fermín2; Guarneros-Campos, Arturo3; Ramos-Garibay, José Alberto4; González-González, Maribet4; Baldassarri-Ortego, Luisa Fernanda5; Marín-Rivera, Daniela5
Texto completo Cómo citar este artículo 10.35366/114844

DOI

DOI: 10.35366/114844
URL: https://dx.doi.org/10.35366/114844
Artículos similares

Idioma: Español
Referencias bibliográficas: 18
Paginas: 5-10
Archivo PDF: 469.60 Kb.


PALABRAS CLAVE

enfermedad de Morbihan, edema facial resistente, edema eritematoso crónico facial superior.

RESUMEN

Objetivo: conocer la frecuencia y características clínico-patológicas de la enfermedad de Morbihan en el Centro Dermatológico "Dr. Ladislao de la Pascua" (CDP), así como una revisión de la literatura. Material y métodos: estudio retrospectivo y observacional, se revisaron los archivos del Servicio de Dermatopatología del CDP en un periodo de 32 años (enero de 1989 a diciembre de 2021), se seleccionaron los pacientes que por correlación clínico-patológica correspondieron a la enfermedad de Morbihan. Resultados: se identificaron 15 pacientes con diagnóstico de enfermedad de Morbihan, de los cuales, 13 (86.6%) correspondieron al sexo masculino. La edad fluctuó entre 19 y 65 años, con media de 35 años. En todos los casos, la cara fue la topografía más afectada, 12 de forma bilateral y simétrica y tres en los que fue unilateral. Morfológicamente predominó el eritema y edema. La evolución fue crónica y asintomática. La histopatología destacó un proceso granulomatoso. Conclusiones: esta entidad es poco frecuente, el diagnóstico se integra por correlación clínico-patológica.



INTRODUCCIóN

La enfermedad de Morbihan, también conocida como edema facial sólido y persistente; es una dermatosis crónica, benigna y poco frecuente. Esta entidad fue descrita en 1957 por Robert Degos, en un paciente originario de Morbihan que presentaba en frente y párpados un edema importante, eritematoso, crónico y resistente a tratamiento, dando el nombre a este cuadro de edema eritematoso crónico facial superior.1



MATERIAL Y MéTODOS

Se realizó un estudio retrospectivo, transversal, descriptivo y observacional.

Se revisó el archivo del Servicio de Dermatopatología del Centro Dermatológico Pascua de la Ciudad de México, de enero de 1989 a diciembre de 2021. Se identificaron los pacientes con diagnóstico por correlación clínico-patológica con enfermedad de Morbihan. Los datos clínicos se obtuvieron de la solicitud del estudio histológico.

Todas las biopsias se fijaron en formol al 10%, se procesaron por el método de parafina y se tiñeron con hematoxilina y eosina.



RESULTADOS

En un periodo de 32 años (1989-2021) encontramos 15 pacientes con diagnóstico de enfermedad de Morbihan (Tabla 1), de los cuales, 13 (86.6%) correspondieron al sexo masculino. La edad fluctuó entre 19 y 65, con una media de 35 años. Uno (6.6%) tenía el antecedente de acné y tres (20%) de rosácea.

La cara fue la topografía afectada en todos los casos, en 12 de ellos de manera bilateral y simétrica y en tres en forma unilateral. Morfológicamente se observó eritema y edema en todos los casos, telangiectasias en uno (6.6%) y lesiones de aspecto papular y pustular en dos (13.3%) (Figura 1).

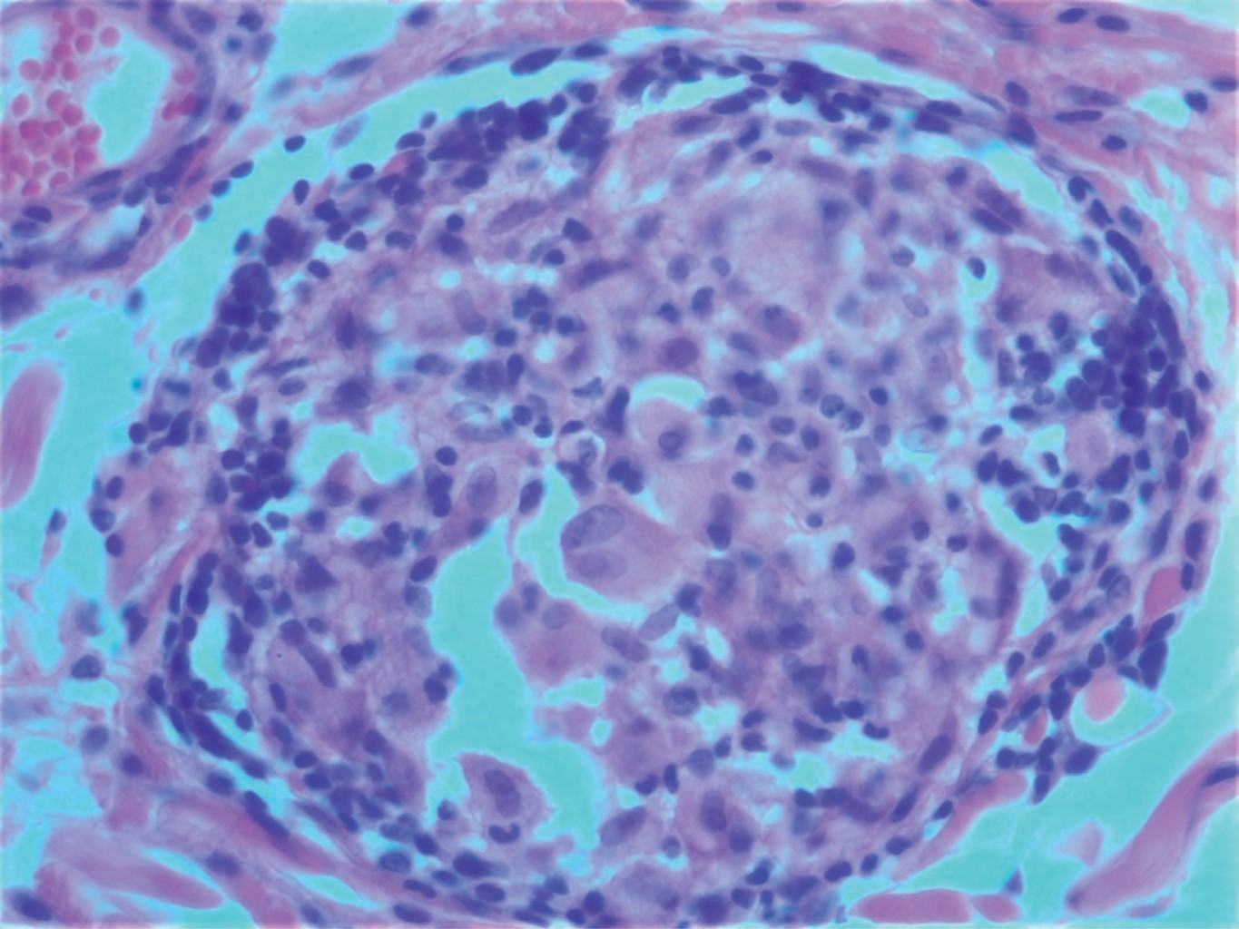
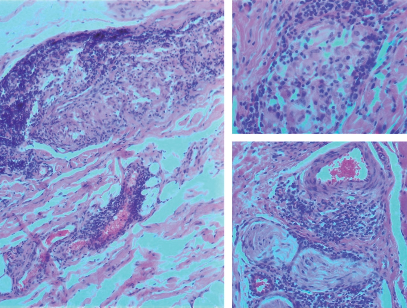
La evolución fue de tres meses a 10 años. Asintomática. La histopatológía destacó un proceso granulomatoso en cinco (33.3%) de los casos (Figuras 2 y 3). El diagnóstico clínico presuntivo de enfermedad de Morbihan se hizo en 11 (73.3%) pacientes.



DISCUSIóN Y COMENTARIOS

La enfermedad de Morbihan, también conocida como edema facial sólido y persistente y linfedema de rosácea fue descrita en 1957 por Robert Degos, en un paciente originario de un distrito llamado Morbihan en Britania, Francia. En México, la primera comunicación la realizaron los doctores Saúl y Novales en 1982.1

La prevalencia de esta enfermedad es baja como se confirma en nuestro estudio. En una revisión sistemática de 2019, Boparai y colaboradores comunicaron 89 casos publicados hasta abril de 2018, con predominio en caucásicos, y hombres con un promedio de edad de 51 años.2

La etiopatogenia es desconocida. La mayoría de los autores consideran que es una complicación en la etapa final de episodios recurrentes de dilatación e inflamación vascular de la rosácea y el acné. Estos factores, aunado a la producción de sustancias vasoactivas por los mastocitos, causan destrucción del tejido conectivo alrededor de vasos sanguíneos y linfáticos de la dermis, en particular de las fibras elásticas y colágeno; lo que traduce pérdida de la integridad y daño a las paredes vasculares, aumentando la permeabilidad de los vasos, trasudación de líquido y dificultad en el drenaje linfático causando edema persistente.2-4

Clínicamente, se inicia en los 2/3 superiores de la cara (frente, glabela y párpados), con diseminación posterior a mejillas. En general, la topografía es bilateral y simétrica; sin embargo, hay reportes en la literatura de casos unilaterales,5,6 como en dos de nuestros pacientes. Morfológicamente está constituida por eritema de inicio lento y persistente, así como edema sólido y firme debido a la inflamación crónica y a la fibrosis, por lo que no deja fóvea. En algunos casos se agregan telangiectasias y pápulas.1-4,7-10 Estas lesiones son persistentes y no involucionan de forma espontánea sin tratamiento, causando deformación facial importante, lo que origina el motivo de consulta e impacta en la calidad de vida de los pacientes.11,12

Histopatológicamente, los hallazgos no son específicos, pero el estudio es importante para descartar otros diagnósticos diferenciales.

Las características histológicas más frecuentes son: edema dérmico, infiltrado linfohistiocitario y en algunos casos mastocitos que rodean vasos y a nexos, hiperplasia de glándulas sebáceas y vasodilatación linfática. Se ha comunicado en algunos pacientes la presencia de granulomas peri e intralinfáticos, lo que podría explicar el desarrollo del linfedema. También se han observado depósitos de mucina y elastosis solar. Algunos autores señalan que la histopatología encaja dentro del espectro del linfedema localizado.9,10,12-15

La inmunohistoquímica muestra sobreexpresión de D2-40 por el endotelio linfático lo que refleja el aumento de la linfangiogénesis como parte de la patología de la enfermedad.15,16

Con respecto al tratamiento, en esta entidad constituye el problema principal, ya que no existe hasta la fecha una terapéutica eficaz. Se ha utilizado desde cloroquinas, sulfonas y talidomida, esta última mostró cierta acción en casos iniciales, más no en los muy crónicos.1 El manejo habitual incluye antiinflamatorios sistémicos, así como antibióticos y de éstos las tetraciclinas, las cuales mejoran el edema y el eritema. La doxiciclina (40-200 mg/día) es bien tolerada y puede darse por un tiempo prolongado, disminuyendo el riesgo de recaídas. También se han utilizado los antibióticos en combinación con triamcinolona intralesional.13,14

La isotretinoína oral (Figura 4) ha sido uno de los medicamentos más utilizados en los últimos años, observándose periodos de remisión por algunos meses;8 se ha utilizado en combinación con el ketotifeno y la desloratadina, por su interferencia con la degranulación de los mastocitos, sus propiedades antiinflamatorias y capacidad para disminuir la lipogénesis, de igual manera se ha combinado con deflazacort.12,16

Algunos consideran a la terapia descongestiva completa (drenaje linfático manual, vendaje compresivo y ejercicios para mejorar el drenaje linfático) (Figura 5) como una opción terapéutica en aquellos pacientes que no se benefician o rechazan el tratamiento farmacológico.17

También se ha utilizado como estabilizante de los mastocitos el omalizumab, anticuerpo monoclonal que se une a los anticuerpos IgE circulantes, contribuyendo a disminuir el edema de forma temporal.3

La resección quirúrgica (Figura 6) es de gran utilidad para el edema palpebral persistente y ha sido utilizada desde los primeros casos.5,15,18

Es importante mencionar que la enfermedad de Morbihan impacta de manera negativa en la calidad de vida de los pacientes desde el punto de vista estético; motivo por el cual un diagnóstico correcto y terapia segura son imprescindibles. Por todo lo expuesto en la literatura, consideramos que lo más adecuado es la combinación de cirugía, acompañado de terapia descongestiva, más tratamiento farmacológico (Figura 7).


REFERENCIAS (EN ESTE ARTÍCULO)

  1. Saúl A, Novales J. Edema eritematoso crónico facial superior. Rev Leprol Fontilles. 1982; 13: 643-650.

  2. Boparai RS, Levin AM, Lelli GJ Jr. Morbihan disease treatment: two case reports and a systematic literature review. Ophthalmic Plast Reconstr Surg. 2019; 35: 126-132.

  3. Kafi P, Edén I, Swartling C. Morbihan syndrome successfully treated with omalizumab. Acta Derm Venereol. 2019; 99: 677-678.

  4. Aboutaam A, Hali F, Baline K, Regragui M, Marnissi F, Chiheb S. Morbihan disease: treatment difficulties and diagnosis: a case report. Pan Afr Med J. 2018; 30: 226.

  5. Carruth BP, Meyer DR, Wladis EJ, Bradley EA, Al-Rohil R, Jones DM et al. Extreme eyelid lymphedema associated with rosacea (Morbihan disease): case series, literature review, and therapeutic considerations. Ophthalmic Plast Reconstr Surg. 2017; 33: S34-S38.

  6. Belousova IE, Kastnerova L, Khairutdinov VR, Kazakov DV. Unilateral periocular intralymphatic histiocytosis, associated with rosacea (Morbihan disease). Am J Dermatopathol. 2020; 42: 452-454.

  7. Wohlrab J, Lueftl M, Marsch WC. Persistent erythema and edema of the midthird and upper aspect of the face (morbus Morbihan): evidence of hidden immunologic contact urticaria and impaired lymphatic drainage. J Am Acad Dermatol. 2005; 52: 595-602.

  8. Smith LA, Cohen DE. Successful long-term use of oral isotretinoin for the management of Morbihan disease: a case series report and review of the literature. Arch Dermatol. 2012; 148: 1395-1398.

  9. Veraldi S, Persico MC, Francia C. Morbihan syndrome. Indian Dermatol Online J. 2013; 4: 122-124.

  10. Nagasaka T, Koyama T, Matsumura K, Chen KR. Persistent lymphoedema in Morbihan disease: formation of perilymphatic epithelioid cell granulomas as a possible pathogenesis. Clin Exp Dermatol. 2008; 33: 764-767.

  11. Jansen T, Regele D, Schirren CG, Trautner B, Plewig G. Persistierendes erythem und odem des gesichts bei rosazea und lymphgefassdysplasie. Hautarzt. 1998; 49: 932-935.

  12. de Vasconcelos RCF, Eid NT, Eid RT, Moriya FS, Braga BB, Michalany AO. Morbihan syndrome: a case report and literature review. An Bras Dermatol. 2016; 91: 157-159.

  13. Okubo A, Takahashi K, Akasaka T, Amano H. Four cases of Morbihan disease successfully treated with doxycycline. J Dermatol. 2017; 44: 713-716.

  14. Tsiogka A, Koller J. Efficacy of long-term intralesional triamcinolone in Morbihan's disease and its possible association with mast cell infiltration. Dermatol Ther. 2018; 31: e12609.

  15. Ramírez-Bellver JL, Pérez-González YC, Chen KR, Díaz-Recuero JL, Requena L, Carlson JA et al. Clinicopathological and immunohistochemical study of 14 cases of Morbihan disease: an insight into its pathogenesis. Am J Dermatopathol. 2019; 41: 701-710.

  16. Cabral F, Lubbe LC, Nóbrega MM, Obadia DL, Souto R, Gripp AC. Morbihan disease: a therapeutic challenge. An Bras Dermatol. 2017; 92: 847-850.

  17. Kutlay S, Ozdemir EC, Pala Z, Ozen S, Sanli H. Complete decongestive therapy is an option for the treatment of rosacea lymphedema (Morbihan disease): two cases. Phys Ther. 2019; 99: 406-410.

  18. Welsch K, Schaller M. Combination of ultra-low-dose isotretinoin and antihistamines in treating Morbihan disease - a new long-term approach with excellent results and a minimum of side effects. J Dermatolog Treat. 2021; 32: 941-944. doi: 10.1080/09546634.2020.1721417.



AFILIACIONES

1 Jefe del Servicio de Dermatopatología.

2 Director.

3 Jefe del Servicio de Oftalmología.

4 Dermatólogo y Dermatopatólogo.

5 Residente de Dermatología.
Centro Dermatológico "Dr. Ladislao de la Pascua", CDMX.



CORRESPONDENCIA

Gisela Navarrete-Franco. E-mail: giselanavarrete@hotmail.com


Figura 1
Figura 2
Figura 3
Figura 4
Figura 5
Figura 6
Figura 7

2020     |     www.medigraphic.com

Mi perfil

C?MO CITAR (Vancouver)

Rev Cent Dermatol Pascua. 2023;32

ARTíCULOS SIMILARES

CARGANDO ...