medigraphic.com
ENGLISH

Revista del Centro Dermatológico Pascua

ISSN 1405-1710 (Impreso)
  • Mostrar índice
  • Números disponibles
  • Información
    • Información general        
    • Directorio
  • Publicar
    • Instrucciones para autores        
  • medigraphic.com
    • Inicio
    • Índice de revistas            
    • Registro / Acceso
  • Mi perfil

2023, Número 1

<< Anterior Siguiente >>

Rev Cent Dermatol Pascua 2023; 32 (1)


Carcinomas basocelulares múltiples con características clínicas poco comunes

Somerville-Caso, Santiago Walter1; Ramos-Garibay, José Alberto2; Luengo-Fernández, Lorenza María3; Rivera-Macias, Rosa Andrea4; Ortega-Ramos, Clío Galilea5; Medina-Bojórquez, Armando6
Texto completo Cómo citar este artículo 10.35366/114845

DOI

DOI: 10.35366/114845
URL: https://dx.doi.org/10.35366/114845
Artículos similares

Idioma: Español
Referencias bibliográficas: 14
Paginas: 11-14
Archivo PDF: 304.97 Kb.


PALABRAS CLAVE

carcinomas basocelulares múltiples, presentación atípica, miembros inferiores.

RESUMEN

El carcinoma basocelular es el tipo de cáncer de piel más frecuente a nivel mundial. Cuando se manifiesta en forma múltiple, se le relaciona con factores de riesgo como algunas genodermatosis y síndromes específicos. Su diagnóstico y tratamiento suelen ser tempranos; pero una presentación clínica atípica puede retardar este proceso, con el consecuente riesgo de desarrollar complicaciones. En este artículo se comunica el caso de un hombre de 57 años, quien acude por presentar varias lesiones de aspecto psoriasiforme en las extremidades inferiores, una de ellas ulcerada. El diagnóstico histopatológico de todas ellas corresponde a Carcinomas basocelulares. El paciente no cuenta con antecedentes personales patológicos relacionados con su enfermedad dermatológica actual, o factor de riesgo comprobado.



INTRODUCCIóN

El carcinoma basocelular (CBC) es el tipo de cáncer con mayor prevalencia a nivel mundial.1 Se origina de las células pluripotenciales de la piel, en la capa basal de la epidermis, o de la vaina radicular externa del pelo. Constituye aproximadamente 80% de los carcinomas queratinociticos.2-4 Su incidencia está aumentando a nivel mundial y cada vez es más frecuente observarlo en mujeres y en individuos menores de 40 años.4 El factor de riesgo más importante para su desarrollo continúa siendo la exposición crónica a radiación ultravioleta. El tiempo y la cantidad de exposición juegan un papel importante, y son acumulativos. Otros factores que influyen en su desarrollo son los fototipos cutáneos claros, pertenecer al sexo masculino, exposición a radiación ionizante, arsénico, psoralenos y coexistencia con estados de inmunodepresión, en especial pacientes post-trasplantados, en quienes el riesgo es 10 veces mayor que en el resto de la población.3,5 Las genodermatosis como el xeroderma pigmentoso y el albinismo oculocutáneo; el síndrome de Gorlin-Goltz, de Bazex y Cutis Romboidal también se consideran factores causales intrínsecos.6 Aproximadamente 40 a 50% de los pacientes con un CBC único desarrollarán tumores subsecuentes. Un factor de riesgo importante para el desarrollo de múltiples CBC parece ser el antecedente de una lesión previa, que representa la acumulación de interacciones genético-ambientales. El tipo histopatológico superficial en un primer CBC, localización que no sea cabeza y cuello, parece también aumentar la probabilidad de desarrollar lesiones subsecuentes.5 Existen variantes clínicas del CBC a saber, las más frecuentes son la nodular y la superficial, que ocupan aproximadamente 80% del total.1,7 En cuanto a las variantes histopatológicas, predomina el tipo sólido, con prevalencia de 32%, seguida de la infiltrante con 23%. Las menos frecuentes son: micronodular, morfeiforme, adenoide, quístico y queratósico.6-8

Este tipo de tumores son de crecimiento lento; se ubican principalmente en cabeza y cuello en 84-90% de los casos.3 Inicia como una pequeña lesión, de forma y tamaño variable, algunas veces pigmentada, plana o elevada, de superficie lisa, brillante y con telangiectasias. Con el tiempo incrementa su tamaño, y en la periferia se desarrolla el característico "borde perlado". El centro puede observarse atrófico o ulcerado. Algunos subtipos pueden llegar a ser localmente destructivos. La prevalencia de metástasis es muy baja, oscilando entre 0.0028 y 0.55%.3 El aspecto clínico es sugestivo del diagnóstico, pero la histopatología lo confirma.6 Ante un paciente adulto con múltiples carcinomas basocelulares es importante hacer diagnóstico diferencial con el síndrome de Gorlin-Goltz, y buscar intencionalmente otras manifestaciones clínicas del mismo, como quistes odontogénicos, quistes óseos, hoyuelos o "pits" palmo-plantares y calcificaciones ectópicas.



CASO CLíNICO

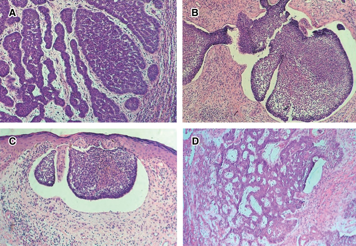
Hombre de 57 años de edad, quien acude por presentar una úlcera de 1.0 cm de diámetro en la cara dorsal de pie derecho, asintomática. Refiere evolución de ocho meses, manejada con antibióticos tópicos, sin mejoría. Entre sus antecedentes personales patológicos refiere cursar con hipertensión arterial sistémica de ocho años de evolución, en tratamiento con telmisartán 40 mg y amlodipino 5 mg. Portador de acromegalia secundaria a adenoma hipofisiario tratado con pegvisomant. En otros antecedentes destacan el tabaquismo crónico y la exposición solar prolongada atribuida a actividades de jardinería. A la exploración física se observan seis placas de aspecto eritemato-escamoso en ambas piernas y dorso de pie derecho. Las lesiones miden algunos milímetros de diámetro; de bordes bien delimitados, la mayor está ulcerada y cubierta por una costra sanguínea (Figura 1). El diagnóstico clínico presuntivo fue de psoriasis en gotas. Se tomó biopsia de una lesión. La pieza se fijó en formol al 10% y los cortes se procesaron con la técnica de H&E. Las imágenes muestran epidermis atrófica. La dermis subyacente está ocupada por cordones tumorales de células basaloides que forman una empalizada periférica; algunos de ellos adoptan un patrón glandular. El diagnóstico histopatológico fue de CBC sólido-adenoide. Luego de esto, se decidió la extirpación de las lesiones restantes. El diagnóstico del resto de las lesiones es el mismo. Tres son de variedad sólido, uno superficial y otro sólido-adenoide (Figura 2). A la fecha de este manuscrito, el paciente no ha desarrollado nuevas lesiones y mantiene manejo con protector solar, previa explicación de su padecimiento.



CONSIDERACIONES

Los CBC múltiples localizados en miembros inferiores, como el caso que nos ocupa, son poco frecuentes, menos de 5%.3,6 Por otro lado, el aspecto clínico de las lesiones del caso motivo de esta publicación no eran características de algún CBC, sino de una dermatosis eritemato-escamosas, como la psoriasis. Podemos concluir que, aunque la sospecha clínica de CBC no sea la primera opción en un caso con lesiones parecidas, debemos considerar realizar la toma de una biopsia en toda dermatosis que no responda a ningún tratamiento en un tiempo prudente, para descartar otros padecimientos o, como en este caso, detectar la presencia de una neoplasia.

Existen pocas publicaciones sobre pacientes con CBC múltiples sin otro tipo de manifestaciones fenotípicas, como el síndrome de los nevos basocelulares (síndrome de Gorlin-Goltz), el síndrome de Rombo o el síndrome de Bazex.9 Nuestro paciente, a pesar de presentar múltiples CBC, no tenía alguna característica fenotípica para pensar en alguno de estos si?ndromes.10-14

Es importante realizar un diagnóstico oportuno para implementar un tratamiento temprano y así evitar complicaciones. Una presentación con topografía y morfología atípicas puede retrasar su diagnóstico y tratamiento.


REFERENCIAS (EN ESTE ARTÍCULO)

  1. Cameron MC, Lee E, Hibler BP, Barker CA, Mori S, Cordova M et al. Basal cell carcinoma: epidemiology; pathophysiology; clinical and histological subtypes; and disease associations. J Am Acad Dermatol. 2019; 80: 303-317.

  2. Karimkhani C, Boyers LN, Dellavalle RP, Weinstock MA. It's time for "keratinocyte carcinoma" to replace the term "nonmelanoma skin cancer". J Am Acad Dermatol. 2015; 72: 186-187.

  3. Rubin AI, Chen EH, Ratner D. Basal-cell carcinoma. N Engl J Med. 2005; 353: 2262-2269.

  4. Totonchy M, Leffell D. Emerging concepts and recent advances in basal cell carcinoma. F1000Res. 2017; 6: 2085.

  5. Kiiski V, de Vries E, Flohil SC, Bijl MJ, Hofman A, Stricker BH et al. Risk factors for single and multiple basal cell carcinomas. Arch Dermatol. 2010; 146: 848-855.

  6. Alcalá PD, Medina BA, Torres GS, Navarrete FG, Ramos GA, Peralta PML et al. Correlación clínica, histológica y dermatoscópica del carcinoma basocelular. Rev Cent Dermatol Pascua. 2013; 22: 5-14.

  7. Saxena K, Manohar V, Bhakhar V, Bahl S. Adenoid basal cell carcinoma: a rare facet of basal cell carcinoma. BMJ Case Rep. 2016; 2016: 10.1136/bcr-2015-214166.

  8. Tambe SA, Ghate SS, Jerajani HR. Adenoid type of basal cell carcinoma: rare histopathological variant at an unusual location. Indian J Dermatol. 2013; 58: 159.

  9. Wallberg P, Kaaman T, Lindberg M. Multiple basal cell carcinoma. A clinical evaluation of risk factors. Acta Derm Venereol. 1998; 78: 127-129.

  10. Ali IK, Karjodkar FR, Sansare K, Salve P, Dora A, Goyal S. Nevoid basal cell carcinoma syndrome - clinical and radiological findings of three cases. Cureus. 2016; 8: e727.

  11. Rosón-Gómez S, González-García R, Naval-Gías L, Sastre-Pérez J, Muñoz-Guerra MF, Díaz-González FJ. Síndrome de Gorlin-Goltz: serie de 7 casos. Rev Esp Cirug Oral y Maxilofac. 2009; 31: 309-315.

  12. Gilabert RR, Infante CP, Redondo PP, Torres CE, García-Perla GA, Sicilia CD. Síndrome de Gorlin-Goltz: manejo del carcinoma basocelular facial. Rev Esp Cirug Oral y Maxilofac. 2013; 35: 23-30.

  13. van Steensel MA, Jaspers NG, Steijlen PM. A case of Rombo syndrome. Br J Dermatol. 2001; 144: 1215-1218.

  14. Goeteyn M, Geerts ML, Kint A, De Weert J. The Bazex-Dupré-Christol syndrome. Arch Dermatol. 1994; 130: 337-342.



AFILIACIONES

1 Dermatólogo egresado y ex adscrito del CDP. Práctica privada. Centro Médico ABC.

2 Jefe del Laboratorio de Dermatopatología.

3 Residente de tercer año de Dermatología. Hospital General de México "Dr. Eduardo Liceaga".

4 Residente de segundo año de Medicina Interna. Hospital General Regional No. 251.

5 Médico Interno de Pregrado, Facultad de Medicina de la UNAM.

6 Dermato-oncólogo y Subdirector de Atención Médica.
Centro Dermatológico "Dr. Ladislao de la Pascua", SSCDMX.



CORRESPONDENCIA

Santiago Walter Somerville-Caso. E-mail: sscl@prodigy.net.mx


Figura 1
Figura 2

2020     |     www.medigraphic.com

Mi perfil

C?MO CITAR (Vancouver)

Rev Cent Dermatol Pascua. 2023;32

ARTíCULOS SIMILARES

CARGANDO ...